JavaScript is disabled in your browser. Please enable JavaScript to view this website.
AB151965

Anti-DDX3 抗体

Anti-DDX3 antibody

Be the first to review this product! Submit a review

|

(2 Publications)

Rabbit Polyclonal DDX3 antibody. Suitable for IHC-P, WB, ICC/IF and reacts with Human samples. Cited in 2 publications. Immunogen corresponding to Recombinant Fragment Protein within Human DDX3X aa 250-550.

查看别名

DBX, DDX3, DDX3X, ATP-dependent RNA helicase DDX3X, CAP-Rf, Helicase-like protein 2, HLP2

7 Images
Western blot - Anti-DDX3 antibody (AB151965)
  • WB

Unknown

Western blot - Anti-DDX3 antibody (AB151965)

7.5% SDS PAGE

All lanes:

Western blot - Anti-DDX3 antibody (ab151965) at 1/2000 dilution

All lanes:

Human Embryonic stem cell lysate at 20 µg

Predicted band size: 73 kDa

false

Immunocytochemistry/ Immunofluorescence - Anti-DDX3 antibody (AB151965)
  • ICC/IF

Unknown

Immunocytochemistry/ Immunofluorescence - Anti-DDX3 antibody (AB151965)

Immunofluorescence analysis of paraformaldehyde-fixed Human embryonic stem cells, labeling DDX3 with ab151965 at a 1/200 dilution.

Western blot - Anti-DDX3 antibody (AB151965)
  • WB

Supplier Data

Western blot - Anti-DDX3 antibody (AB151965)

Samples were separated by 7.5% SDS-PAGE.

All lanes:

Western blot - Anti-DDX3 antibody (ab151965) at 1/2000 dilution

Lane 1:

U87-MG whole cell lysates at 30 µg

Lane 2:

SK-N-SH whole cell lysates at 30 µg

Lane 3:

IMR32 whole cell lysates at 30 µg

Lane 4:

SK-N-AS whole cell lysates at 30 µg

Secondary

All lanes:

HRP-conjugated anti-rabbit IgG antibody

Predicted band size: 73 kDa

false

Western blot - Anti-DDX3 antibody (AB151965)
  • WB

Supplier Data

Western blot - Anti-DDX3 antibody (AB151965)

Samples were separated by 7.5% SDS-PAGE.

All lanes:

Western blot - Anti-DDX3 antibody (ab151965) at 1/2000 dilution

Lane 1:

293T whole cell lysates at 30 µg

Lane 2:

HeLa whole cell lysates at 30 µg

Lane 3:

HepG2 whole cell lysates at 30 µg

Secondary

All lanes:

HRP-conjugated anti-rabbit IgG antibody

Predicted band size: 73 kDa

true

Immunocytochemistry/ Immunofluorescence - Anti-DDX3 antibody (AB151965)
  • ICC/IF

Supplier Data

Immunocytochemistry/ Immunofluorescence - Anti-DDX3 antibody (AB151965)

Immunofluorescence analysis of SK-N-SH cells fixed in 4% paraformaldehyde at RT for 15 min labelling DDX3 protein at cytoplasm and nucleus using ab151965 at a 1/500 dilution (Green). Hoechst 33342 was used for nuclear staining (Blue).
Scale bar= 10 µm.

Western blot - Anti-DDX3 antibody (AB151965)
  • WB

Supplier Data

Western blot - Anti-DDX3 antibody (AB151965)

Samples were separated by 7.5% SDS-PAGE.

All lanes:

Western blot - Anti-DDX3 antibody (ab151965) at 1/2000 dilution

Lane 1:

U87-MG whole cell lysates at 30 µg

Lane 2:

U87-MG cytoplasm lysates at 30 µg

Predicted band size: 73 kDa

false

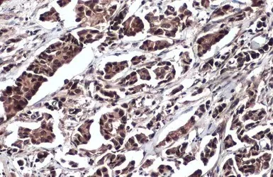
Immunohistochemistry (Formalin/PFA-fixed paraffin-embedded sections) - Anti-DDX3 antibody (AB151965)
  • IHC-P

Supplier Data

Immunohistochemistry (Formalin/PFA-fixed paraffin-embedded sections) - Anti-DDX3 antibody (AB151965)

Immunohistochemical analysis of paraffin-embedded human breast carcinoma tissue stained for DDX3 protein at cytoplasm and nucleus with ab151965 at a 1/500 dilution.

Antigen retrieval : Citrate buffer, pH 6.0, 15 min

关键信息

宿主种属

Rabbit

克隆

Polyclonal

亚型

IgG

不含载体蛋白

No

反应种属

Human

应用

ICC/IF, WB, IHC-P

applications

免疫原

Recombinant Fragment Protein within Human DDX3X aa 250-550. The exact immunogen used to generate this antibody is proprietary information.

O00571

反应性数据

{ "title": "Reactivity Data", "filters": { "stats": ["", "Species", "Dilution Info", "Notes"], "tabs": { "all-applications": {"fullname" : "All Applications", "shortname": "All Applications"}, "IHCP" : {"fullname" : "Immunohistochemistry (Formalin/PFA-fixed paraffin-embedded sections)", "shortname":"IHC-P"}, "WB" : {"fullname" : "Western blot", "shortname":"WB"}, "ICCIF" : {"fullname" : "Immunocytochemistry/ Immunofluorescence", "shortname":"ICC/IF"} }, "product-promise": { "all": "all", "testedAndGuaranteed": "tested", "guaranteed": "expected", "predicted": "predicted", "notRecommended": "not-recommended" } }, "values": { "Human": { "IHCP-species-checked": "testedAndGuaranteed", "IHCP-species-dilution-info": "1/100.00000 - 1/1000.00000", "IHCP-species-notes": "<p></p> Perform heat-mediated antigen retrieval with citrate buffer pH 6 before commencing with IHC staining protocol.", "WB-species-checked": "testedAndGuaranteed", "WB-species-dilution-info": "1/500.00000 - 1/3000.00000", "WB-species-notes": "<p></p>", "ICCIF-species-checked": "testedAndGuaranteed", "ICCIF-species-dilution-info": "1/100.00000 - 1/1000.00000", "ICCIF-species-notes": "<p></p>" }, "Mouse": { "IHCP-species-checked": "predicted", "IHCP-species-dilution-info": "", "IHCP-species-notes": "", "WB-species-checked": "predicted", "WB-species-dilution-info": "", "WB-species-notes": "", "ICCIF-species-checked": "predicted", "ICCIF-species-dilution-info": "", "ICCIF-species-notes": "" }, "Chicken": { "IHCP-species-checked": "predicted", "IHCP-species-dilution-info": "", "IHCP-species-notes": "", "WB-species-checked": "predicted", "WB-species-dilution-info": "", "WB-species-notes": "", "ICCIF-species-checked": "predicted", "ICCIF-species-dilution-info": "", "ICCIF-species-notes": "" }, "Cow": { "IHCP-species-checked": "predicted", "IHCP-species-dilution-info": "", "IHCP-species-notes": "", "WB-species-checked": "predicted", "WB-species-dilution-info": "", "WB-species-notes": "", "ICCIF-species-checked": "predicted", "ICCIF-species-dilution-info": "", "ICCIF-species-notes": "" }, "Xenopus laevis": { "IHCP-species-checked": "predicted", "IHCP-species-dilution-info": "", "IHCP-species-notes": "", "WB-species-checked": "predicted", "WB-species-dilution-info": "", "WB-species-notes": "", "ICCIF-species-checked": "predicted", "ICCIF-species-dilution-info": "", "ICCIF-species-notes": "" }, "Xenopus tropicalis": { "IHCP-species-checked": "predicted", "IHCP-species-dilution-info": "", "IHCP-species-notes": "", "WB-species-checked": "predicted", "WB-species-dilution-info": "", "WB-species-notes": "", "ICCIF-species-checked": "predicted", "ICCIF-species-dilution-info": "", "ICCIF-species-notes": "" } } }

性能和储存信息

形式
Liquid
纯化工艺
Affinity purification Immunogen
存储溶液
pH: 7 Preservative: 0.025% Proclin 300 Constituents: 79% PBS, 20% Glycerol (glycerin, glycerine)
运输条件
Blue Ice
推荐的短期储存条件
+4°C
推荐的长期储存条件
-20°C
分装信息
Upon delivery aliquot
储存信息
Avoid freeze / thaw cycle

补充信息

This supplementary information is collated from multiple sources and compiled automatically.

DDX3 also known as DEAD-box helicase 3 plays an important role mechanically as an RNA helicase involved in unwinding RNA secondary structures. The protein has a mass of approximately 73 kDa and is commonly expressed in the cytoplasm and nucleus of a wide range of cell types. Other names for DDX3 include DBX CAP-Rf and DDX3X highlighting its varied functional roles across different studies.
Biological function summary

DEAD-box helicase 3 serves as a multifunctional protein that regulates gene expression and is implicated in RNA splicing transport and translation. It forms part of various ribonucleoprotein complexes influencing processes such as mRNA export and translation initiation. DDX3 often interacts with other proteins like eIF4E which further modulates translation of specific mRNAs.

Pathways

DEAD-box helicase 3 acts as an essential component in several cellular pathways. It plays roles in the Wnt/β-catenin signaling pathway where it can influence gene transcription important for cell fate decisions. DDX3 also participates in the innate immune response pathway interacting with proteins like MAVS to modulate antiviral defense mechanisms.

DEAD-box helicase 3 has been associated with various cancers including hepatocellular carcinoma and breast cancer. Abnormal DDX3 function or expression can disrupt cell cycle regulation leading to uncontrolled cell growth. Additionally in viral infections such as Hepatitis C DDX3 interacts with viral proteins to facilitate replication showcasing its role in both promoting and hindering disease progression.

产品实验方案

For this product, it's our understanding that no specific protocols are required. You can visit:

靶点信息

Multifunctional ATP-dependent RNA helicase (PubMed : 17357160, PubMed : 21589879, PubMed : 31575075). The ATPase activity can be stimulated by various ribo-and deoxynucleic acids indicative for a relaxed substrate specificity (PubMed : 29222110). In vitro can unwind partially double-stranded DNA with a preference for 5'-single-stranded DNA overhangs (PubMed : 17357160, PubMed : 21589879). Binds RNA G-quadruplex (rG4s) structures, including those located in the 5'-UTR of NRAS mRNA (PubMed : 30256975). Involved in many cellular processes, which do not necessarily require its ATPase/helicase catalytic activities (Probable). Involved in transcription regulation (PubMed : 16818630, PubMed : 18264132). Positively regulates CDKN1A/WAF1/CIP1 transcription in an SP1-dependent manner, hence inhibits cell growth. This function requires its ATPase, but not helicase activity (PubMed : 16818630, PubMed : 18264132). CDKN1A up-regulation may be cell-type specific (PubMed : 18264132). Binds CDH1/E-cadherin promoter and represses its transcription (PubMed : 18264132). Potentiates HNF4A-mediated MTTP transcriptional activation; this function requires ATPase, but not helicase activity. Facilitates HNF4A acetylation, possibly catalyzed by CREBBP/EP300, thereby increasing the DNA-binding affinity of HNF4 to its response element. In addition, disrupts the interaction between HNF4 and SHP that forms inactive heterodimers and enhances the formation of active HNF4 homodimers. By promoting HNF4A-induced MTTP expression, may play a role in lipid homeostasis (PubMed : 28128295). May positively regulate TP53 transcription (PubMed : 28842590). Associates with mRNPs, predominantly with spliced mRNAs carrying an exon junction complex (EJC) (PubMed : 17095540, PubMed : 18596238). Involved in the regulation of translation initiation (PubMed : 17667941, PubMed : 18628297, PubMed : 22872150). Not involved in the general process of translation, but promotes efficient translation of selected complex mRNAs, containing highly structured 5'-untranslated regions (UTR) (PubMed : 20837705, PubMed : 22872150). This function depends on helicase activity (PubMed : 20837705, PubMed : 22872150). Might facilitate translation by resolving secondary structures of 5'-UTRs during ribosome scanning (PubMed : 20837705). Alternatively, may act prior to 43S ribosomal scanning and promote 43S pre-initiation complex entry to mRNAs exhibiting specific RNA motifs, by performing local remodeling of transcript structures located close to the cap moiety (PubMed : 22872150). Independently of its ATPase activity, promotes the assembly of functional 80S ribosomes and disassembles from ribosomes prior to the translation elongation process (PubMed : 22323517). Positively regulates the translation of cyclin E1/CCNE1 mRNA and consequently promotes G1/S-phase transition during the cell cycle (PubMed : 20837705). May activate TP53 translation (PubMed : 28842590). Required for endoplasmic reticulum stress-induced ATF4 mRNA translation (PubMed : 29062139). Independently of its ATPase/helicase activity, enhances IRES-mediated translation; this activity requires interaction with EIF4E (PubMed : 17667941, PubMed : 22323517). Independently of its ATPase/helicase activity, has also been shown specifically repress cap-dependent translation, possibly by acting on translation initiation factor EIF4E (PubMed : 17667941). Involved in innate immunity, acting as a viral RNA sensor. Binds viral RNAs and promotes the production of type I interferon (IFN-alpha and IFN-beta) (PubMed : 20127681, PubMed : 21170385, PubMed : 31575075). Potentiate MAVS/RIGI-mediated induction of IFNB in early stages of infection (PubMed : 20127681, PubMed : 21170385). Enhances IFNB1 expression via IRF3/IRF7 pathway and participates in NFKB activation in the presence of MAVS and TBK1 (PubMed : 18583960, PubMed : 18636090, PubMed : 19913487, PubMed : 21170385, PubMed : 27980081). Involved in TBK1 and IKBKE-dependent IRF3 activation leading to IFNB induction, acts as a scaffolding adapter that links IKBKE and IRF3 and coordinates their activation (PubMed : 23478265). Involved in the TLR7/TLR8 signaling pathway leading to type I interferon induction, including IFNA4 production. In this context, acts as an upstream regulator of IRF7 activation by MAP3K14/NIK and CHUK/IKKA. Stimulates CHUK autophosphorylation and activation following physiological activation of the TLR7 and TLR8 pathways, leading to MAP3K14/CHUK-mediated activatory phosphorylation of IRF7 (PubMed : 30341167). Also stimulates MAP3K14/CHUK-dependent NF-kappa-B signaling (PubMed : 30341167). Negatively regulates TNF-induced IL6 and IL8 expression, via the NF-kappa-B pathway. May act by interacting with RELA/p65 and trapping it in the cytoplasm (PubMed : 27736973). May also bind IFNB promoter; the function is independent of IRF3 (PubMed : 18583960). Involved in both stress and inflammatory responses (By similarity). Independently of its ATPase/helicase activity, required for efficient stress granule assembly through its interaction with EIF4E, hence promotes survival in stressed cells (PubMed : 21883093). Independently of its helicase activity, regulates NLRP3 inflammasome assembly through interaction with NLRP3 and hence promotes cell death by pyroptosis during inflammation. This function is independent of helicase activity (By similarity). Therefore DDX3X availability may be used to interpret stress signals and choose between pro-survival stress granules and pyroptotic NLRP3 inflammasomes and serve as a live-or-die checkpoint in stressed cells (By similarity). In association with GSK3A/B, negatively regulates extrinsic apoptotic signaling pathway via death domain receptors, including TNFRSF10B, slowing down the rate of CASP3 activation following death receptor stimulation (PubMed : 18846110). Cleavage by caspases may inactivate DDX3X and relieve the inhibition (PubMed : 18846110). Independently of its ATPase/helicase activity, allosteric activator of CSNK1E. Stimulates CSNK1E-mediated phosphorylation of DVL2, thereby involved in the positive regulation of Wnt/beta-catenin signaling pathway. Also activates CSNK1A1 and CSNK1D in vitro, but it is uncertain if these targets are physiologically relevant (PubMed : 23413191, PubMed : 29222110). ATPase and casein kinase-activating functions are mutually exclusive (PubMed : 29222110). May be involved in mitotic chromosome segregation (PubMed : 21730191).. (Microbial infection) Facilitates hepatitis C virus (HCV) replication (PubMed : 29899501). During infection, HCV core protein inhibits the interaction between MAVS and DDX3X and therefore impairs MAVS-dependent INFB induction and might recruit DDX3X to HCV replication complex (PubMed : 21170385).. (Microbial infection) Facilitates HIV-1 replication (PubMed : 15507209, PubMed : 18583960, PubMed : 21589879, PubMed : 22872150, PubMed : 29899501). Acts as a cofactor for XPO1-mediated nuclear export of HIV-1 Rev RNAs (PubMed : 15507209, PubMed : 18583960, PubMed : 29899501). This function is strongly stimulated in the presence of TBK1 and requires DDX3X ATPase activity (PubMed : 18583960).. (Microbial infection) Facilitates Zika virus (ZIKV) replication.. (Microbial infection) Facilitates Dengue virus (DENV) replication.. (Microbial infection) Facilitates Venezuelan equine encephalitis virus (VEEV) replication.
See full target information DDX3X

文献 (2)

Recent publications for all applications. Explore the full list and refine your search

Development (Cambridge, England) 148: PubMed33318149

2021

The RNA helicase DDX3 induces neural crest by promoting AKT activity.

Applications

Unspecified application

Species

Unspecified reactive species

Mark Perfetto,Xiaolu Xu,Congyu Lu,Yu Shi,Natasha Yousaf,Jiejing Li,Yvette Y Yien,Shuo Wei

Scientific reports 5:9982 PubMed25918862

2015

Ketorolac salt is a newly discovered DDX3 inhibitor to treat oral cancer.

Applications

Unspecified application

Species

Unspecified reactive species

Sabindra K Samal,Samapika Routray,Ganesh Kumar Veeramachaneni,Rupesh Dash,Mahendran Botlagunta
View all publications

Abcam Product Promise

我们致力于为您的研究提供高质量的试剂,为您科研的每一步提供支持。若我们的产品未能达到预期性能,我们向您提供 Abcam Product Promise 保障。
详情请参阅我们的条款与条件。

关联产品

Select an associated product type
Alternative Product
Primary Antibodies

AB37160

Anti-DDX3 antibody

primary-antibodies

ddx3-antibody-ab37160

3

(1 reviews)

Alternative Product
Primary Antibodies

AB62581

Anti-DDX3 antibody

primary-antibodies

ddx3-antibody-ab62581

0

(0 reviews)

Alternative Product
Primary Antibodies

AB208109

Anti-DDX3 antibody [ABM27H2]

primary-antibodies

ddx3-antibody-abm27h2-ab208109

0

(0 reviews)

Alternative Product
Primary Antibodies

AB128206

Anti-DDX3 antibody

primary-antibodies

ddx3-antibody-ab128206

5

(1 reviews)

Alternative Product
Primary Antibodies

AB196032

Anti-DDX3 antibody [6G8-F4-E3]

primary-antibodies

ddx3-antibody-6g8-f4-e3-ab196032

0

(0 reviews)

Alternative Product
Primary Antibodies

AB235940

Anti-DDX3 antibody

primary-antibodies

ddx3-antibody-ab235940

0

(0 reviews)

Alternative Product
Primary Antibodies

AB61043

Anti-DDX3 (phospho T322) antibody

primary-antibodies

ddx3-phospho-t322-antibody-ab61043

0

(0 reviews)

Please note: All products are 'FOR RESEARCH USE ONLY. NOT FOR USE IN DIAGNOSTIC OR THERAPEUTIC PROCEDURES'.

For licensing inquiries, please contact partnerships@abcam.com