JavaScript is disabled in your browser. Please enable JavaScript to view this website.
AB115785

Anti-DDT 抗体

Anti-DDT antibody

4

(2 Reviews)

|

(3 Publications)

Rabbit Polyclonal DDT antibody. Suitable for IHC-P, WB and reacts with Human, Rat, Mouse samples. Cited in 3 publications. Immunogen corresponding to Synthetic Peptide within Human DDT.

查看别名

D-dopachrome decarboxylase, D-dopachrome tautomerase, Phenylpyruvate tautomerase II, DDT

4 Images
Immunohistochemistry (Formalin/PFA-fixed paraffin-embedded sections) - Anti-DDT antibody (AB115785)
  • IHC-P

Supplier Data

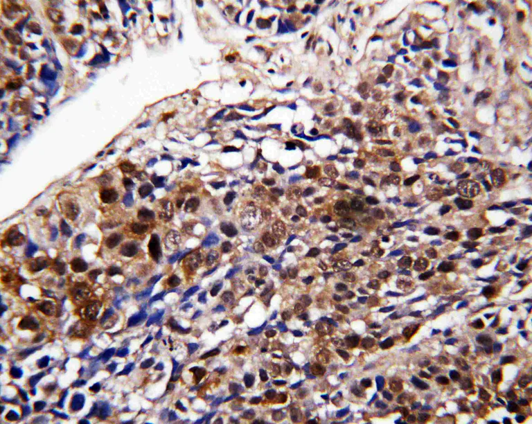
Immunohistochemistry (Formalin/PFA-fixed paraffin-embedded sections) - Anti-DDT antibody (AB115785)

DDT was detected in paraffin-embedded section of human lung cancer tissues. Heat mediated antigen retrieval was performed in citrate buffer (pH6, epitope retrieval solution) for 20 mins. The tissue section was blocked with 10% goat serum. The tissue section was then incubated with 1μg/ml ab115785 overnight at 4°C. Biotinylated goat anti-rabbit IgG was used as secondary antibody and incubated for 30 minutes at 37°C. The tissue section was developed using Strepavidin-Biotin-Complex DAB as the chromogen.

Immunohistochemistry (Formalin/PFA-fixed paraffin-embedded sections) - Anti-DDT antibody (AB115785)
  • IHC-P

Unknown

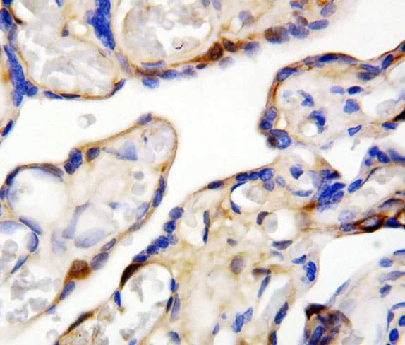
Immunohistochemistry (Formalin/PFA-fixed paraffin-embedded sections) - Anti-DDT antibody (AB115785)

ab115785 at 1μg/ml staining DTT in Paraffin-embedded Human placenta tissue by Immunohistochemistry.

Western blot - Anti-DDT antibody (AB115785)
  • WB

Unknown

Western blot - Anti-DDT antibody (AB115785)

All lanes:

Western blot - Anti-DDT antibody (ab115785) at 1 µg/mL

Lane 1:

Rat brain tissue lysate

Lane 2:

Rat pancreas tissue lysate

Lane 3:

Rat liver tissue lysate

Lane 4:

Rat lung tissue lysate

Predicted band size: 13 kDa

false

Western blot - Anti-DDT antibody (AB115785)
  • WB

Supplier Data

Western blot - Anti-DDT antibody (AB115785)

All lanes:

Western blot - Anti-DDT antibody (ab115785) at 0.5 µg/mL

Lane 1:

rat liver tissues lysate at 50 µg

Lane 2:

rat testis tissues lysate at 50 µg

Lanes 3 - 4:

mouse liver tissues lysate at 50 µg

Secondary

All lanes:

goat anti-rabbit IgG-HRP at 1/10000 dilution

Predicted band size: 13 kDa

false

关键信息

宿主种属

Rabbit

克隆

Polyclonal

亚型

IgG

不含载体蛋白

No

反应种属

Mouse, Rat, Human

应用

IHC-P, WB

applications

免疫原

Synthetic Peptide within Human DDT. The exact immunogen used to generate this antibody is proprietary information.

P30046

反应性数据

{ "title": "Reactivity Data", "filters": { "stats": ["", "Species", "Dilution Info", "Notes"], "tabs": { "all-applications": {"fullname" : "All Applications", "shortname": "All Applications"}, "IHCP" : {"fullname" : "Immunohistochemistry (Formalin/PFA-fixed paraffin-embedded sections)", "shortname":"IHC-P"}, "WB" : {"fullname" : "Western blot", "shortname":"WB"} }, "product-promise": { "all": "all", "testedAndGuaranteed": "tested", "guaranteed": "expected", "predicted": "predicted", "notRecommended": "not-recommended" } }, "values": { "Human": { "IHCP-species-checked": "testedAndGuaranteed", "IHCP-species-dilution-info": "1 µg/mL", "IHCP-species-notes": "<p></p> Perform heat-mediated antigen retrieval before commencing with IHC staining protocol.", "WB-species-checked": "guaranteed", "WB-species-dilution-info": "", "WB-species-notes": "" }, "Mouse": { "IHCP-species-checked": "guaranteed", "IHCP-species-dilution-info": "", "IHCP-species-notes": "", "WB-species-checked": "testedAndGuaranteed", "WB-species-dilution-info": "0.1-0.5 µg/mL", "WB-species-notes": "<p></p>" }, "Rat": { "IHCP-species-checked": "guaranteed", "IHCP-species-dilution-info": "", "IHCP-species-notes": "", "WB-species-checked": "testedAndGuaranteed", "WB-species-dilution-info": "0.1-0.5 µg/mL", "WB-species-notes": "<p></p>" } } }

性能和储存信息

形式
Liquid
纯化工艺
Affinity purification Protein A
存储溶液
Preservative: 0.025% Sodium azide, 0.025% Thimerosal (merthiolate) Constituents: 2.5% BSA, 0.45% Sodium chloride, 0.1% Disodium hydrogenorthophosphate
运输条件
Blue Ice
推荐的短期储存条件
+4°C
推荐的长期储存条件
-20°C
分装信息
Upon delivery aliquot
储存信息
Avoid freeze / thaw cycle

补充信息

This supplementary information is collated from multiple sources and compiled automatically.

DDT also referred to as D-dopachrome tautomerase is an important protein involved in several biological processes. It has a molecular mass of approximately 12 kDa. The protein is widely expressed in multiple tissues particularly in the liver and macrophages which are integral to immune response and metabolism. Analyzing DDT expression through Western blot techniques can provide insights into its concentration and functional state in various tissues.
Biological function summary

D-dopachrome tautomerase plays roles in melanin biosynthesis and inflammatory processes. It forms part of a complex with the macrophage migration inhibitory factor (MIF) influencing immune response regulation. DDT shares structural and functional similarities with MIF suggesting evolutionary links between these proteins and indicating possible redundant or cooperative roles in immune system modulation.

Pathways

DDT is involved in the immune response pathway and the melanin synthesis pathway. Within the immune response its interactions have connections with cytokine regulation and leukocyte movement. DDT's interaction with MIF further highlights its involvement in modulating cytokine activity. In melanin synthesis DDT contributes to the conversion processes within the pathway although proteins like tyrosinase also play significant roles.

Links exist between DDT and inflammatory diseases like rheumatoid arthritis and skin disorders like melanoma. Higher DDT levels can coincide with increased inflammation seen in rheumatoid arthritis where it potentially works alongside MIF to modulate immune activity. In melanoma DDT's role in melanin synthesis may connect it to abnormal pigment cell growth and tumor progression. Understanding DDT's interactions with other proteins in these contexts could lead to better diagnostic or therapeutic strategies.

产品实验方案

For this product, it's our understanding that no specific protocols are required. You can visit:

靶点信息

Tautomerization of D-dopachrome with decarboxylation to give 5,6-dihydroxyindole (DHI).
See full target information DDT

文献 (3)

Recent publications for all applications. Explore the full list and refine your search

PLoS biology 22:e3002194 PubMed39495793

2024

Apoptotic extracellular vesicles carrying Mif regulate macrophage recruitment and compensatory proliferation in neighboring epithelial stem cells during tissue maintenance.

Applications

Unspecified application

Species

Unspecified reactive species

Safia A Essien,Ivanshi Ahuja,George T Eisenhoffer

Journal of virology 98:e0049724 PubMed39345142

2024

Duck circovirus regulates the expression of duck CLDN2 protein by activating the MAPK-ERK pathway to affect its adhesion and infection.

Applications

Unspecified application

Species

Unspecified reactive species

Mingyue Shen,Zhenhong Sun,Cheng Wang,Shuyu Zhang,Baoyu Jia,Bohan Huang,Li Xu,Zhiyu Zhu,Qingyun Bu,Chen Li,Ruiliang Zhu,Liangmeng Wei,Kai Wei

EBioMedicine 74:103714 PubMed34818622

2021

Proteomic profiling identifies signatures associated with progression of precancerous gastric lesions and risk of early gastric cancer.

Applications

Unspecified application

Species

Unspecified reactive species

Xue Li,Nai-Ren Zheng,Lin-Heng Wang,Zhong-Wu Li,Zong-Chao Liu,Hua Fan,Yi Wang,Jin Dai,Xiao-Tian Ni,Xin Wei,Ming-Wei Liu,Kai Li,Zhe-Xuan Li,Tong Zhou,Yang Zhang,Jing-Ying Zhang,Gaohaer Kadeerhan,Sha Huang,Wen-Hui Wu,Wei-Dong Liu,Xiu-Zhen Wu,Lan-Fu Zhang,Jian-Ming Xu,Markus Gerhard,Wei-Cheng You,Kai-Feng Pan,Wen-Qing Li,Jun Qin
View all publications

Abcam Product Promise

我们致力于为您的研究提供高质量的试剂,为您科研的每一步提供支持。若我们的产品未能达到预期性能,我们向您提供 Abcam Product Promise 保障。
详情请参阅我们的条款与条件。

Please note: All products are 'FOR RESEARCH USE ONLY. NOT FOR USE IN DIAGNOSTIC OR THERAPEUTIC PROCEDURES'.

For licensing inquiries, please contact partnerships@abcam.com