JavaScript is disabled in your browser. Please enable JavaScript to view this website.
AB249304

重组Anti-DCTN5抗体[EPR11253] - BSA and Azide free

Anti-DCTN5 antibody [EPR11253] - BSA and Azide free

Be the first to review this product! Submit a review

|

(0 Publication)

Rabbit Recombinant Monoclonal DCTN5 antibody. Carrier free. Suitable for IHC-P, ICC/IF, IP, WB and reacts with Human samples.

查看别名

Dynactin subunit 5, Dynactin subunit p25, DCTN5

4 Images
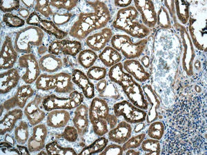
Immunohistochemistry (Formalin/PFA-fixed paraffin-embedded sections) - Anti-DCTN5 antibody [EPR11253] - BSA and Azide free (AB249304)
  • IHC-P

Unknown

Immunohistochemistry (Formalin/PFA-fixed paraffin-embedded sections) - Anti-DCTN5 antibody [EPR11253] - BSA and Azide free (AB249304)

This data was developed using ab157197, the same antibody clone in a different buffer formulation.

Immunohistochemical analysis of paraffin-embedded Human kidney tissue labeling DCTN5 with ab157197 at 1/100 dilution.

Perform heat mediated antigen retrieval before commencing with IHC staining protocol.

Immunocytochemistry/ Immunofluorescence - Anti-DCTN5 antibody [EPR11253] - BSA and Azide free (AB249304)
  • ICC/IF

Unknown

Immunocytochemistry/ Immunofluorescence - Anti-DCTN5 antibody [EPR11253] - BSA and Azide free (AB249304)

This data was developed using ab157197, the same antibody clone in a different buffer formulation.Immunofluorescent analysis of MCF7 cells labeling DCTN5 with ab157197 at 1/250 dilution.

Immunoprecipitation - Anti-DCTN5 antibody [EPR11253] - BSA and Azide free (AB249304)
  • IP

Unknown

Immunoprecipitation - Anti-DCTN5 antibody [EPR11253] - BSA and Azide free (AB249304)

This data was developed using ab157197, the same antibody clone in a different buffer formulation.Detection of DCTN5 by Western Blot of Immunprecipitate. MCF7 cell lysate immunoprecipitated using ab156197 at 1/10 dilution.

All lanes:

Immunoprecipitation - Anti-DCTN5 antibody [EPR11253] (<a href='/products/primary-antibodies/dctn5-antibody-epr11253-ab157197'>ab157197</a>)

Predicted band size: 20 kDa

false

Western blot - Anti-DCTN5 antibody [EPR11253] - BSA and Azide free (AB249304)
  • WB

Unknown

Western blot - Anti-DCTN5 antibody [EPR11253] - BSA and Azide free (AB249304)

This data was developed using ab157197, the same antibody clone in a different buffer formulation.

All lanes:

Western blot - Anti-DCTN5 antibody [EPR11253] (<a href='/products/primary-antibodies/dctn5-antibody-epr11253-ab157197'>ab157197</a>) at 1/1000 dilution

Lane 1:

MCF-7 cell lysate at 10 µg

Lane 2:

Human fetal liver tissue lysate at 10 µg

Lane 3:

SH-SY5Y cell lysate at 10 µg

Secondary

All lanes:

Goat anti-rabbit HRP conjugated at 1/2000 dilution

Predicted band size: 20 kDa

false

不同偶联物与剂型 (1)

关键信息

宿主种属

Rabbit

克隆

Monoclonal

克隆号

EPR11253

亚型

IgG

不含载体蛋白

Yes

反应种属

Human

应用

IHC-P, IP, WB, ICC/IF

applications

免疫原

The exact immunogen used to generate this antibody is proprietary information.

反应性数据

{ "title": "Reactivity Data", "filters": { "stats": ["", "Species", "Dilution Info", "Notes"], "tabs": { "all-applications": {"fullname" : "All Applications", "shortname": "All Applications"}, "IHCP" : {"fullname" : "Immunohistochemistry (Formalin/PFA-fixed paraffin-embedded sections)", "shortname":"IHC-P"}, "ICCIF" : {"fullname" : "Immunocytochemistry/ Immunofluorescence", "shortname":"ICC/IF"}, "IP" : {"fullname" : "Immunoprecipitation", "shortname":"IP"}, "FlowCyt" : {"fullname" : "Flow Cytometry", "shortname":"Flow Cyt"}, "WB" : {"fullname" : "Western blot", "shortname":"WB"} }, "product-promise": { "all": "all", "testedAndGuaranteed": "tested", "guaranteed": "expected", "predicted": "predicted", "notRecommended": "not-recommended" } }, "values": { "Human": { "IHCP-species-checked": "testedAndGuaranteed", "IHCP-species-dilution-info": "", "IHCP-species-notes": "<p></p>", "ICCIF-species-checked": "testedAndGuaranteed", "ICCIF-species-dilution-info": "", "ICCIF-species-notes": "<p></p>", "IP-species-checked": "testedAndGuaranteed", "IP-species-dilution-info": "", "IP-species-notes": "<p></p>", "FlowCyt-species-checked": "notRecommended", "FlowCyt-species-dilution-info": "", "FlowCyt-species-notes": "<p></p>", "WB-species-checked": "testedAndGuaranteed", "WB-species-dilution-info": "", "WB-species-notes": "<p></p>" }, "Mouse": { "IHCP-species-checked": "predicted", "IHCP-species-dilution-info": "", "IHCP-species-notes": "", "ICCIF-species-checked": "predicted", "ICCIF-species-dilution-info": "", "ICCIF-species-notes": "", "IP-species-checked": "predicted", "IP-species-dilution-info": "", "IP-species-notes": "", "FlowCyt-species-checked": "notRecommended", "FlowCyt-species-dilution-info": "", "FlowCyt-species-notes": "", "WB-species-checked": "predicted", "WB-species-dilution-info": "", "WB-species-notes": "" }, "Rat": { "IHCP-species-checked": "predicted", "IHCP-species-dilution-info": "", "IHCP-species-notes": "", "ICCIF-species-checked": "predicted", "ICCIF-species-dilution-info": "", "ICCIF-species-notes": "", "IP-species-checked": "predicted", "IP-species-dilution-info": "", "IP-species-notes": "", "FlowCyt-species-checked": "notRecommended", "FlowCyt-species-dilution-info": "", "FlowCyt-species-notes": "", "WB-species-checked": "predicted", "WB-species-dilution-info": "", "WB-species-notes": "" } } }

产品详情

ab249304 is the carrier-free version of ab157197.

Patented technology
Our RabMAb® technology is a patented hybridoma-based technology for making rabbit monoclonal antibodies. For details on our patents, please refer to RabMAb® patents.

What are the advantages of a recombinant monoclonal antibody?
This product is a recombinant monoclonal antibody, which offers several advantages including:

  • - High batch-to-batch consistency and reproducibility
  • - Improved sensitivity and specificity
  • - Long-term security of supply
  • - Animal-free batch production

For more information, read more on recombinant antibodies.

Conjugation ready
Our carrier-free antibodies are typically supplied in a PBS-only formulation, purified and free of BSA, sodium azide and glycerol. This conjugation-ready format is designed for use with fluorochromes, metal isotopes, oligonucleotides, and enzymes, which makes them ideal for antibody labelling, functional and cell-based assays, flow-based assays (e.g. mass cytometry) and Multiplex Imaging applications.

Use our conjugation kits for antibody conjugates that are ready-to-use in as little as 20 minutes with 1 minute hands-on-time and 100% antibody recovery: available for fluorescent dyes, HRP, biotin and gold.

Compatibility
This product is compatible with the Maxpar® Antibody Labeling Kit from Fluidigm, without the need for antibody preparation. Maxpar® is a trademark of Fluidigm Canada Inc.

性能和储存信息

形式
Liquid
纯化工艺
Affinity purification
存储溶液
pH: 7.2 - 7.4 Constituents: PBS
运输条件
Blue Ice
推荐的短期储存条件
+4°C
推荐的长期储存条件
+4°C
储存信息
Do Not Freeze

产品实验方案

For this product, it's our understanding that no specific protocols are required. You can visit:

靶点信息

Part of the dynactin complex that activates the molecular motor dynein for ultra-processive transport along microtubules.
See full target information DCTN5

Abcam Product Promise

我们致力于为您的研究提供高质量的试剂,为您科研的每一步提供支持。若我们的产品未能达到预期性能,我们向您提供 Abcam Product Promise 保障。
详情请参阅我们的条款与条件。

Please note: All products are 'FOR RESEARCH USE ONLY. NOT FOR USE IN DIAGNOSTIC OR THERAPEUTIC PROCEDURES'.

For licensing inquiries, please contact partnerships@abcam.com