JavaScript is disabled in your browser. Please enable JavaScript to view this website.
AB240156

重组Anti-DC-SIGNR抗体[EPR11211] - BSA and Azide free

Anti-DC-SIGNR antibody [EPR11211] - BSA and Azide free

Be the first to review this product! Submit a review

|

(0 Publication)

Rabbit Recombinant Monoclonal DC-SIGNR antibody. Carrier free. Suitable for IHC-P, WB and reacts with Human samples.

查看别名

CD299, CD209L, CD209L1, CLEC4M, C-type lectin domain family 4 member M, CD209 antigen-like protein 1, DC-SIGN-related protein, Dendritic cell-specific ICAM-3-grabbing non-integrin 2, Liver/lymph node-specific ICAM-3-grabbing non-integrin, DC-SIGNR, DC-SIGN2, L-SIGN

3 Images
Immunohistochemistry (Formalin/PFA-fixed paraffin-embedded sections) - Anti-DC-SIGNR antibody [EPR11211] - BSA and Azide free (AB240156)
  • IHC-P

Unknown

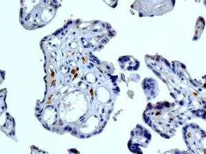
Immunohistochemistry (Formalin/PFA-fixed paraffin-embedded sections) - Anti-DC-SIGNR antibody [EPR11211] - BSA and Azide free (AB240156)

Immunohistochemical analysis of formalin-fixed, paraffin-embedded Human placenta tissue, labeling DC-SIGNR using ab169783 at a 1/100 dilution.

Perform heat mediated antigen retrieval with citrate buffer pH 6 before commencing with IHC staining protocol.

This data was developed using the same antibody clone in a different buffer formulation containing PBS, BSA, glycerol, and sodium azide (ab169783).

Immunohistochemistry (Formalin/PFA-fixed paraffin-embedded sections) - Anti-DC-SIGNR antibody [EPR11211] - BSA and Azide free (AB240156)
  • IHC-P

Unknown

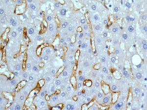
Immunohistochemistry (Formalin/PFA-fixed paraffin-embedded sections) - Anti-DC-SIGNR antibody [EPR11211] - BSA and Azide free (AB240156)

Immunohistochemical analysis of formalin-fixed, paraffin-embedded Human liver tissue, labeling DC-SIGNR using ab169783 at a 1/100 dilution.

Perform heat mediated antigen retrieval with citrate buffer pH 6 before commencing with IHC staining protocol.

This data was developed using the same antibody clone in a different buffer formulation containing PBS, BSA, glycerol, and sodium azide (ab169783).

Immunohistochemistry (Formalin/PFA-fixed paraffin-embedded sections) - Anti-DC-SIGNR antibody [EPR11211] - BSA and Azide free (AB240156)
  • IHC-P

Unknown

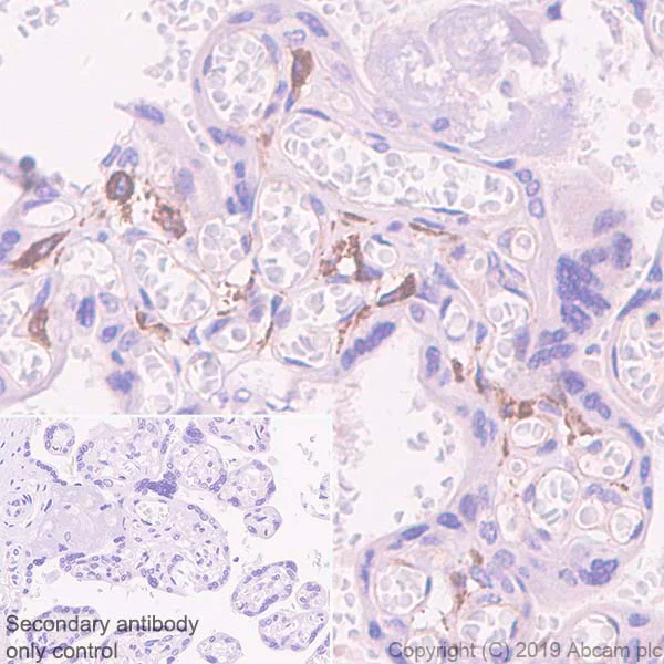
Immunohistochemistry (Formalin/PFA-fixed paraffin-embedded sections) - Anti-DC-SIGNR antibody [EPR11211] - BSA and Azide free (AB240156)

Immunohistochemistry (Formalin/PFA-fixed paraffin-embedded sections) analysis of human placenta tissue sections labeling DC-SIGNR with purified ab169783 at 1/500 dilution (0.502 μg/ml). Heat mediated antigen retrieval using Bond™ Epitope Retrieval Solution 1 (pH 6.0). Rabbit specific IHC polymer detection kit HRP/DAB (ab209101) was used as the secondary antibody. Negative control : PBS instead of the primary antibody. Hematoxylin was used as a counterstain.

This data was developed using the same antibody clone in a different buffer formulation containing PBS, BSA, glycerol, and sodium azide (ab169783).

不同偶联物与剂型 (1)

关键信息

宿主种属

Rabbit

克隆

Monoclonal

克隆号

EPR11211

亚型

IgG

不含载体蛋白

Yes

反应种属

Human

应用

WB, IHC-P

applications

免疫原

The exact immunogen used to generate this antibody is proprietary information.

反应性数据

{ "title": "Reactivity Data", "filters": { "stats": ["", "Species", "Dilution Info", "Notes"], "tabs": { "all-applications": {"fullname" : "All Applications", "shortname": "All Applications"}, "IHCP" : {"fullname" : "Immunohistochemistry (Formalin/PFA-fixed paraffin-embedded sections)", "shortname":"IHC-P"}, "IP" : {"fullname" : "Immunoprecipitation", "shortname":"IP"}, "WB" : {"fullname" : "Western blot", "shortname":"WB"}, "ICCIF" : {"fullname" : "Immunocytochemistry/ Immunofluorescence", "shortname":"ICC/IF"} }, "product-promise": { "all": "all", "testedAndGuaranteed": "tested", "guaranteed": "expected", "predicted": "predicted", "notRecommended": "not-recommended" } }, "values": { "Human": { "IHCP-species-checked": "testedAndGuaranteed", "IHCP-species-dilution-info": "", "IHCP-species-notes": "<p></p>", "IP-species-checked": "notRecommended", "IP-species-dilution-info": "", "IP-species-notes": "<p></p>", "WB-species-checked": "guaranteed", "WB-species-dilution-info": "", "WB-species-notes": "<p></p>", "ICCIF-species-checked": "notRecommended", "ICCIF-species-dilution-info": "", "ICCIF-species-notes": "<p></p>" }, "Chimpanzee": { "IHCP-species-checked": "predicted", "IHCP-species-dilution-info": "", "IHCP-species-notes": "", "IP-species-checked": "notRecommended", "IP-species-dilution-info": "", "IP-species-notes": "", "WB-species-checked": "predicted", "WB-species-dilution-info": "", "WB-species-notes": "", "ICCIF-species-checked": "notRecommended", "ICCIF-species-dilution-info": "", "ICCIF-species-notes": "" }, "Gorilla": { "IHCP-species-checked": "predicted", "IHCP-species-dilution-info": "", "IHCP-species-notes": "", "IP-species-checked": "notRecommended", "IP-species-dilution-info": "", "IP-species-notes": "", "WB-species-checked": "predicted", "WB-species-dilution-info": "", "WB-species-notes": "", "ICCIF-species-checked": "notRecommended", "ICCIF-species-dilution-info": "", "ICCIF-species-notes": "" } } }

您可能对以下产品感兴趣:

AB277435

Human DC-SIGNR ELISA Kit

0

0 Reviews

查看产品
为什么推荐这个?

我们推荐这个产品,因为它经常被用于相同的实验或相关的研究。

我们建议您务必查阅产品说明书,以确认其是否符合您的实验需求;若有疑问,也可联系我们的技术团队获取协助。

产品详情

性能和储存信息

形式
Liquid
纯化工艺
Affinity purification Protein A
存储溶液
pH: 7.2 - 7.4 Constituents: PBS
运输条件
Blue Ice
推荐的短期储存条件
+4°C
推荐的长期储存条件
+4°C
储存信息
Do Not Freeze

产品实验方案

For this product, it's our understanding that no specific protocols are required. You can visit:

靶点信息

Probable pathogen-recognition receptor involved in peripheral immune surveillance in liver. May mediate the endocytosis of pathogens which are subsequently degraded in lysosomal compartments. Is a receptor for ICAM3, probably by binding to mannose-like carbohydrates.. (Microbial infection) Acts as an attachment receptor for Ebolavirus.. (Microbial infection) Acts as an attachment receptor for Hepatitis C virus.. (Microbial infection) Acts as an attachment receptor for HIV-1.. (Microbial infection) Acts as an attachment receptor for Human coronavirus 229E.. (Microbial infection) Acts as an attachment receptor for Human cytomegalovirus/HHV-5.. (Microbial infection) Acts as an attachment receptor for Influenzavirus.. (Microbial infection) Acts as an attachment receptor for SARS-CoV.. (Microbial infection) Acts as an attachment receptor for West-nile virus.. (Microbial infection) Acts as an attachment receptor for Japanese encephalitis virus.. (Microbial infection) Acts as an attachment receptor for Marburg virus glycoprotein.. (Microbial infection) Recognition of M.bovis by dendritic cells may occur partially via this molecule.
See full target information CLEC4M

Abcam Product Promise

我们致力于为您的研究提供高质量的试剂,为您科研的每一步提供支持。若我们的产品未能达到预期性能,我们向您提供 Abcam Product Promise 保障。
详情请参阅我们的条款与条件。

关联产品

Select an associated product type
Alternative Product
Primary Antibodies

AB232709

Anti-DC-SIGNR antibody

primary-antibodies

dc-signr-antibody-ab232709

0

(0 reviews)

Please note: All products are 'FOR RESEARCH USE ONLY. NOT FOR USE IN DIAGNOSTIC OR THERAPEUTIC PROCEDURES'.

For licensing inquiries, please contact partnerships@abcam.com