JavaScript is disabled in your browser. Please enable JavaScript to view this website.
AB32140

重组Anti-Daxx抗体[E94]

Anti-Daxx antibody [E94]

2

(1 Review)

|

(18 Publications)

Anti-Daxx antibody [E94] (ab32140) is a rabbit monoclonal antibody detecting Daxx in Western Blot, IHC-P. Suitable for Human, Mouse, Rat.

- KO validated for confirmed specificity
- Biophysical QC for unrivalled batch-batch consistency
- Over 10 publications
- Trusted since 2006

查看别名

BING2, DAP6, DAXX, Death domain-associated protein 6, Daxx, ETS1-associated protein 1, Fas death domain-associated protein, hDaxx, EAP1

8 Images
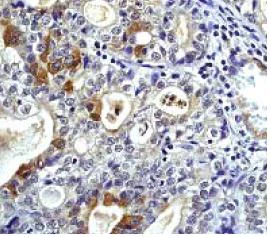
Immunohistochemistry (Formalin/PFA-fixed paraffin-embedded sections) - Anti-Daxx antibody [E94] (AB32140)
  • IHC-P

Unknown

Immunohistochemistry (Formalin/PFA-fixed paraffin-embedded sections) - Anti-Daxx antibody [E94] (AB32140)

ab32140, at a dilution of 1/50, staining Daxx in paraffin embedded human stomach adenocarcinoma tissue by Immunohistochemistry.

Perform heat mediated antigen retrieval with citrate buffer pH 6 before commencing with IHC staining protocol.

Western blot - Anti-Daxx antibody [E94] (AB32140)
  • WB

Lab

Western blot - Anti-Daxx antibody [E94] (AB32140)

Lanes 1- 2 : Merged signal (red and green). Green - ab32140 observed at 100 kDa. Red - Anti-GAPDH antibody [6C5] - Loading Control (ab8245) observed at 37 kDa.

ab32140 was shown to react with Daxx in wild-type HeLa cells in western blot. Loss of signal was observed when knockout cell line ab265233 (knockout cell lysate ab257408) was used. Wild-type HeLa and DAXX knockout HeLa cell lysates were subjected to SDS-PAGE. Membrane was blocked for 1 hour at room temperature in 0.1% TBST with 3% non-fat dried milk. ab32140 and Anti-GAPDH antibody [6C5] - Loading Control (ab8245) overnight at 4°C at a 1 in 5000 dilution and a 1 in 20000 dilution respectively. Blots were developed with Goat anti-Rabbit IgG H&L (IRDye®800CW) preadsorbed (ab216773) and Goat anti-Mouse IgG H&L (IRDye®680RD) preadsorbed (ab216776) secondary antibodies at 1 in 20000 dilution for 1 hour at room temperature before imaging.

All lanes:

Western blot - Anti-Daxx antibody [E94] (ab32140) at 1/5000 dilution

Lane 1:

Wild-type HeLa cell lysate at 20 µg

Lane 2:

DAXX knockout HeLa cell lysate at 20 µg

Lane 2:

Western blot - Human DAXX knockout HeLa cell line (<a href='/products/cell-lines/human-daxx-knockout-hela-cell-line-ab265233'>ab265233</a>)

Predicted band size: 81 kDa

Observed band size: 100 kDa

false

Western blot - Anti-Daxx antibody [E94] (AB32140)
  • WB

Lab

Western blot - Anti-Daxx antibody [E94] (AB32140)

False colour image of Western blot : Anti-Daxx antibody [E94] staining at 1/5000 dilution, shown in green; Mouse anti-GAPDH antibody [6C5] (ab8245) loading control staining at 1/20000 dilution, shown in red. In Western blot, ab32140 was shown to bind specifically to Daxx. A band was observed at 105 kDa in wild-type A549 cell lysates with no signal observed at this size in DAXX knockout cell line. To generate this image, wild-type and DAXX knockout A549 cell lysates were analysed. First, samples were run on an SDS-PAGE gel then transferred onto a nitrocellulose membrane. Membranes were blocked in 3 % milk in TBS-0.1 % Tween® 20 (TBS-T) before incubation with primary antibodies overnight at 4 °C. Blots were washed four times in TBS-T, incubated with secondary antibodies for 1 h at room temperature, washed again four times then imaged. Secondary antibodies used were Goat anti-Rabbit IgG H&L 800CW and Goat anti-Mouse IgG H&L 680RD at 1/20000 dilution.

Lanes 1 - 3:

Western blot - Anti-Daxx antibody [E94] (ab32140) at 1/5000 dilution

Lanes 1 - 3:

Western blot - Anti-Daxx antibody [E94] - BSA and Azide free (<a href='/products/primary-antibodies/daxx-antibody-e94-bsa-and-azide-free-ab239806'>ab239806</a>) at 1/5000 dilution

Lane 1:

Wild-type A549 cell lysate at 20 µg

Lane 2:

Western blot - Human DAXX knockout A549 cell line (<a href='/products/cell-lines/human-daxx-knockout-a549-cell-line-ab287356'>ab287356</a>)

Lane 2:

DAXX knockout A549 cell lysate at 20 µg

Lane 3:

THP-1 cell lysate at 20 µg

Secondary

All lanes:

Goat anti-Rabbit IgG H&L 800CW and Goat anti-Mouse IgG H&L 680RD at 1/20000 dilution

Observed band size: 105 kDa

false

Western blot - Anti-Daxx antibody [E94] (AB32140)
  • WB

Unknown

Western blot - Anti-Daxx antibody [E94] (AB32140)

All lanes:

Western blot - Anti-Daxx antibody [E94] (ab32140) at 1/5000 dilution

All lanes:

Hela cell lysate

Predicted band size: 81 kDa

Observed band size: 100 kDa,48 kDa

false

Western blot - Anti-Daxx antibody [E94] (AB32140)
  • WB

Supplier Data

Western blot - Anti-Daxx antibody [E94] (AB32140)

False colour image of Western blot : Anti-Daxx antibody [E94] staining at 1/5000 dilution, shown in green; Mouse anti-GAPDH antibody [6C5] (ab8245) loading control staining at 1/20000 dilution, shown in red. In Western blot, ab32140 was shown to bind specifically to Daxx. A band was observed at 105 kDa in wild-type MCF7 cell lysates with no signal observed at this size in DAXX knockout cell line. To generate this image, wild-type and DAXX knockout MCF7 cell lysates were analysed. First, samples were run on an SDS-PAGE gel then transferred onto a nitrocellulose membrane. Membranes were blocked in 5 % milk in TBS-0.1 % Tween® 20 (TBS-T) before incubation with primary antibodies overnight at 4 °C. Blots were washed four times in TBS-T, incubated with secondary antibodies for 1 h at room temperature, washed again four times then imaged. Secondary antibodies used were Goat anti-Rabbit IgG H&L 800CW and Goat anti-Mouse IgG H&L 680RD at 1/20000 dilution.

All lanes:

Western blot - Anti-Daxx antibody [E94] (ab32140) at 1/5000 dilution

Lane 1:

Wild-type MCF7 cell lysate at 20 µg

Lane 2:

DAXX knockout MCF7 cell lysate at 20 µg

Lane 3:

THP-1 cell lysate at 20 µg

Lane 4:

K562 cell lysate at 20 µg

Secondary

All lanes:

Goat anti-Rabbit IgG H&L 800CW and Goat anti-Mouse IgG H&L 680RD at 1/20000 dilution

Predicted band size: 81 kDa

Observed band size: 105 kDa

false

Western blot - Anti-Daxx antibody [E94] (AB32140)
  • WB

Lab

Western blot - Anti-Daxx antibody [E94] (AB32140)

Lanes 1 - 2 : Merged signal (red and green). Green - ab32140 observed at 100 kDa. Red - loading control, ab9484, observed at 37 kDa.

ab32140 was shown to specifically react with Daxx in wild-type HAP1 cells as signal was lost in DAXX knockout cells. Wild-type and DAXX knockout samples were subjected to SDS-PAGE. ab32140 and ab9484 (Mouse anti-GAPDH loading control) were incubated overnight at 4°C at 1/5000 dilution and 1/20000 dilution respectively. Blots were developed with Goat anti-Rabbit IgG H&L (IRDye® 800CW) preabsorbed ab216773 and Goat anti-Mouse IgG H&L (IRDye® 680RD) preabsorbed ab216776 secondary antibodies at 1/20000 dilution for 1 hour at room temperature before imaging.

All lanes:

Western blot - Anti-Daxx antibody [E94] (ab32140)

Lane 1:

Wild-type HAP1 whole cell lysate at 20 µg

Lane 2:

DAXX knockout HAP1 whole cell lysate at 20 µg

Predicted band size: 81 kDa

false

Western blot - Anti-Daxx antibody [E94] (AB32140)
  • WB

Lab

Western blot - Anti-Daxx antibody [E94] (AB32140)

False colour image of Western blot : Anti-Daxx antibody [E94] staining at 1/5000 dilution, shown in green; Mouse anti-GAPDH antibody [6C5] (ab8245) loading control staining at 1/20000 dilution, shown in red. In Western blot, ab32140 was shown to bind specifically to Daxx. A band was observed at 100 kDa in wild-type HCT 116 cell lysates with no signal observed at this size in DAXX knockout cell line. To generate this image, wild-type and DAXX knockout HCT 116 cell lysates were analysed. First, samples were run on an SDS-PAGE gel then transferred onto a nitrocellulose membrane. Membranes were blocked in 3 % milk in TBS-0.1 % Tween® 20 (TBS-T) before incubation with primary antibodies overnight at 4 °C. Blots were washed four times in TBS-T, incubated with secondary antibodies for 1 h at room temperature, washed again four times then imaged. Secondary antibodies used were Goat anti-Rabbit IgG H&L 800CW and Goat anti-Mouse IgG H&L 680RD at 1/20000 dilution.

All lanes:

Western blot - Anti-Daxx antibody [E94] (ab32140) at 1/5000 dilution

Lane 1:

Wild-type HCT 116 cell lysate at 20 µg

Lane 2:

Western blot - Human DAXX knockout HCT116 cell line (<a href='/products/cell-lines/human-daxx-knockout-hct116-cell-line-ab287355'>ab287355</a>)

Lane 2:

DAXX knockout HCT 116 cell lysate at 20 µg

Lane 3:

THP-1 cell lysate at 20 µg

Lane 4:

K562 cell lysate at 20 µg

Secondary

All lanes:

Goat anti-Rabbit IgG H&L 800CW and Goat anti-Mouse IgG H&L 680RD at 1/20000 dilution

Predicted band size: 81 kDa

Observed band size: 100 kDa

false

Western blot - Anti-Daxx antibody [E94] (AB32140)
  • WB

Lab

Western blot - Anti-Daxx antibody [E94] (AB32140)

Blocking and diluting buffer : 5% NFDM/TBST.

All lanes:

Western blot - Anti-Daxx antibody [E94] (ab32140) at 0.271 µg/mL

Lane 1:

PC-12(Rat adrenal gland pheochromocytoma) whole cell lysate at 20 µg

Lane 2:

NIH/3T3(Mouse embryonic fibroblast) whole cell lysate at 20 µg

Secondary

All lanes:

Western blot - Goat Anti-Rabbit IgG H&L (HRP) (<a href='/products/secondary-antibodies/goat-rabbit-igg-h-l-hrp-ab97051'>ab97051</a>) at 1/20000 dilution

Predicted band size: 81 kDa

false

Exposure time: 29s

不同偶联物与剂型 (10)

关键信息

宿主种属

Rabbit

克隆

Monoclonal

克隆号

E94

亚型

IgG

不含载体蛋白

No

反应种属

Mouse, Rat, Human

应用

IHC-P, WB

applications

免疫原

The exact immunogen used to generate this antibody is proprietary information.

特异性

Not widely detected in Mouse and Rat

反应性数据

{ "title": "Reactivity Data", "filters": { "stats": ["", "Species", "Dilution Info", "Notes"], "tabs": { "all-applications": {"fullname" : "All Applications", "shortname": "All Applications"}, "IHCP" : {"fullname" : "Immunohistochemistry (Formalin/PFA-fixed paraffin-embedded sections)", "shortname":"IHC-P"}, "IP" : {"fullname" : "Immunoprecipitation", "shortname":"IP"}, "WB" : {"fullname" : "Western blot", "shortname":"WB"}, "ICCIF" : {"fullname" : "Immunocytochemistry/ Immunofluorescence", "shortname":"ICC/IF"}, "FlowCytIntra" : {"fullname" : "Flow Cytometry (Intracellular)", "shortname":"Flow Cyt (Intra)"} }, "product-promise": { "all": "all", "testedAndGuaranteed": "tested", "guaranteed": "expected", "predicted": "predicted", "notRecommended": "not-recommended" } }, "values": { "Human": { "IHCP-species-checked": "testedAndGuaranteed", "IHCP-species-dilution-info": "", "IHCP-species-notes": "<p></p> Perform heat-mediated antigen retrieval with citrate buffer pH 6 before commencing with IHC staining protocol.", "IP-species-checked": "notRecommended", "IP-species-dilution-info": "", "IP-species-notes": "<p></p>", "WB-species-checked": "testedAndGuaranteed", "WB-species-dilution-info": "1/5000", "WB-species-notes": "<p></p>", "ICCIF-species-checked": "notRecommended", "ICCIF-species-dilution-info": "", "ICCIF-species-notes": "<p></p>", "FlowCytIntra-species-checked": "notRecommended", "FlowCytIntra-species-dilution-info": "", "FlowCytIntra-species-notes": "<p></p>" }, "Mouse": { "IHCP-species-checked": "guaranteed", "IHCP-species-dilution-info": "", "IHCP-species-notes": "", "IP-species-checked": "notRecommended", "IP-species-dilution-info": "", "IP-species-notes": "<p></p>", "WB-species-checked": "testedAndGuaranteed", "WB-species-dilution-info": "1/5000", "WB-species-notes": "<p></p>", "ICCIF-species-checked": "notRecommended", "ICCIF-species-dilution-info": "", "ICCIF-species-notes": "<p></p>", "FlowCytIntra-species-checked": "notRecommended", "FlowCytIntra-species-dilution-info": "", "FlowCytIntra-species-notes": "<p></p>" }, "Rat": { "IHCP-species-checked": "guaranteed", "IHCP-species-dilution-info": "", "IHCP-species-notes": "", "IP-species-checked": "notRecommended", "IP-species-dilution-info": "", "IP-species-notes": "<p></p>", "WB-species-checked": "testedAndGuaranteed", "WB-species-dilution-info": "1/5000", "WB-species-notes": "<p></p>", "ICCIF-species-checked": "notRecommended", "ICCIF-species-dilution-info": "", "ICCIF-species-notes": "<p></p>", "FlowCytIntra-species-checked": "notRecommended", "FlowCytIntra-species-dilution-info": "", "FlowCytIntra-species-notes": "<p></p>" } } }

产品详情

What is this antibody validated in?
Anti-Daxx antibody [E94] (ab32140) is a rabbit recombinant monoclonal antibody and is validated for use in Western Blot (WB), Immunohistochemistry (IHC-P) in Human, Mouse, Rat samples.

What is the molecular weight of Daxx?
Anti-Daxx [E94] (ab32140) specifically detects a band for Daxx (UniProt: Q9UER7) at a molecular weight of 81kDa.

Trusted by the scientific community
Anti-Daxx [E94] (ab32140) was first used in a scientific publication in 2006 and has been cited over 10 times in peer-reviewed journals.

Trial sizes available!
Test your antibody or perform pre-screening before committing to a larger quantity. Sold in 10µl. Discover our selection of trial-size antibodies.

Specificity confirmed
The specificity of Anti-Daxx antibody [E94] (ab32140) has been confirmed by Western blot testing in DAXX Knockout HAP1 cells.

Other related products
We have a range of other formats of antibody clone [E94] also available for your convenience: ab32140, Carrier free - ab239806, PE - ab305758, APC - ab305759, HRP - ab305760, Alkaline Phosphatase - ab308826, Alexa Fluor® 488 - ab309766, Alexa Fluor® 647 - ab310136, Alexa Fluor® 594 - ab310558, Alexa Fluor® 555 - ab312087, Alexa Fluor® 568 - ab312566, Alexa Fluor® 750 - ab321581

Patented technology
Our RabMAb® technology is a patented hybridoma-based technology for making rabbit monoclonal antibodies. For details on our patents, please refer to RabMAb® patents.

What are the advantages of a recombinant monoclonal antibody?
This product is a recombinant monoclonal antibody, which offers several advantages including:

  • - High batch-to-batch consistency and reproducibility
  • - Improved sensitivity and specificity
  • - Long-term security of supply
  • - Animal-free batch production

For more information, read more on recombinant antibodies.

性能和储存信息

形式
Liquid
纯化工艺
Affinity purification Protein A
存储溶液
pH: 7.2 - 7.4 Preservative: 0.01% Sodium azide Constituents: PBS, 50% Glycerol (glycerin, glycerine), 0.05% BSA
运输条件
Blue Ice
推荐的短期储存条件
+4°C
推荐的长期储存条件
-20°C
分装信息
Upon delivery aliquot
储存信息
Avoid freeze / thaw cycle

产品实验方案

For this product, it's our understanding that no specific protocols are required. You can visit:

靶点信息

Transcription corepressor known to repress transcriptional potential of several sumoylated transcription factors. Down-regulates basal and activated transcription. Its transcription repressor activity is modulated by recruiting it to subnuclear compartments like the nucleolus or PML/POD/ND10 nuclear bodies through interactions with MCSR1 and PML, respectively. Seems to regulate transcription in PML/POD/ND10 nuclear bodies together with PML and may influence TNFRSF6-dependent apoptosis thereby. Inhibits transcriptional activation of PAX3 and ETS1 through direct protein-protein interactions. Modulates PAX5 activity; the function seems to involve CREBBP. Acts as an adapter protein in a MDM2-DAXX-USP7 complex by regulating the RING-finger E3 ligase MDM2 ubiquitination activity. Under non-stress condition, in association with the deubiquitinating USP7, prevents MDM2 self-ubiquitination and enhances the intrinsic E3 ligase activity of MDM2 towards TP53, thereby promoting TP53 ubiquitination and subsequent proteasomal degradation. Upon DNA damage, its association with MDM2 and USP7 is disrupted, resulting in increased MDM2 autoubiquitination and consequently, MDM2 degradation, which leads to TP53 stabilization. Acts as a histone chaperone that facilitates deposition of histone H3.3. Acts as a targeting component of the chromatin remodeling complex ATRX : DAXX which has ATP-dependent DNA translocase activity and catalyzes the replication-independent deposition of histone H3.3 in pericentric DNA repeats outside S-phase and telomeres, and the in vitro remodeling of H3.3-containing nucleosomes. Does not affect the ATPase activity of ATRX but alleviates its transcription repression activity. Upon neuronal activation associates with regulatory elements of selected immediate early genes where it promotes deposition of histone H3.3 which may be linked to transcriptional induction of these genes. Required for the recruitment of histone H3.3 : H4 dimers to PML-nuclear bodies (PML-NBs); the process is independent of ATRX and facilitated by ASF1A; PML-NBs are suggested to function as regulatory sites for the incorporation of newly synthesized histone H3.3 into chromatin. In case of overexpression of centromeric histone variant CENPA (as found in various tumors) is involved in its mislocalization to chromosomes; the ectopic localization involves a heterotypic tetramer containing CENPA, and histones H3.3 and H4 and decreases binding of CTCF to chromatin. Proposed to mediate activation of the JNK pathway and apoptosis via MAP3K5 in response to signaling from TNFRSF6 and TGFBR2. Interaction with HSPB1/HSP27 may prevent interaction with TNFRSF6 and MAP3K5 and block DAXX-mediated apoptosis. In contrast, in lymphoid cells JNC activation and TNFRSF6-mediated apoptosis may not involve DAXX. Shows restriction activity towards human cytomegalovirus (HCMV). Plays a role as a positive regulator of the heat shock transcription factor HSF1 activity during the stress protein response (PubMed : 15016915).
See full target information DAXX

文献 (18)

Recent publications for all applications. Explore the full list and refine your search

Cell reports 43:113810 PubMed38377004

2024

Proteogenomic characterization of primary colorectal cancer and metastatic progression identifies proteome-based subtypes and signatures.

Applications

Unspecified application

Species

Unspecified reactive species

Atsushi Tanaka,Makiko Ogawa,Yihua Zhou,Kei Namba,Ronald C Hendrickson,Matthew M Miele,Zhuoning Li,David S Klimstra,Patrick G Buckley,Jeffrey Gulcher,Julia Y Wang,Michael H A Roehrl

NPJ genomic medicine 6:104 PubMed34876591

2021

De novo variants in H3-3A and H3-3B are associated with neurodevelopmental delay, dysmorphic features, and structural brain abnormalities.

Applications

Unspecified application

Species

Unspecified reactive species

Volkan Okur,Zefu Chen,Liesbeth Vossaert,Sandra Peacock,Jill Rosenfeld,Lina Zhao,Haowei Du,Emily Calamaro,Amanda Gerard,Sen Zhao,Jill Kelsay,Ashley Lahr,Chloe Mighton,Hillary M Porter,Amy Siemon,Josh Silver,Shayna Svihovec,Chin-To Fong,Christina L Grant,Jordan Lerner-Ellis,Kandamurugu Manickam,Suneeta Madan-Khetarpal,Shawn E McCandless,Chantal F Morel,G Bradley Schaefer,Elizabeth M Berry-Kravis,Ryan Gates,Natalia Gomez-Ospina,Guixing Qiu,Terry Jianguo Zhang,Zhihong Wu,Linyan Meng,Pengfei Liu,Daryl A Scott,James R Lupski,Christine M Eng,Nan Wu,Bo Yuan

Gut 71:961-973 PubMed33849943

2021

Non-functional pancreatic neuroendocrine tumours: ATRX/DAXX and alternative lengthening of telomeres (ALT) are prognostically independent from ARX/PDX1 expression and tumour size.

Applications

Unspecified application

Species

Unspecified reactive species

Wenzel M Hackeng,Lodewijk A A Brosens,Joo Young Kim,Roderick O'Sullivan,You-Na Sung,Ta-Chiang Liu,Dengfeng Cao,Michelle Heayn,Jacqueline Brosnan-Cashman,Soyeon An,Folkert H M Morsink,Charlotte M Heidsma,Gerlof D Valk,Menno R Vriens,Els Nieveen van Dijkum,G Johan A Offerhaus,Koen M A Dreijerink,Herbert Zeh,Amer H Zureikat,Melissa Hogg,Kenneth Lee,David Geller,J Wallis Marsh,Alessandro Paniccia,Melanie Ongchin,James F Pingpank,Nathan Bahary,Muaz Aijazi,Randall Brand,Jennifer Chennat,Rohit Das,Kenneth E Fasanella,Asif Khalid,Kevin McGrath,Savreet Sarkaria,Harkirat Singh,Adam Slivka,Michael Nalesnik,Xiaoli Han,Marina N Nikiforova,Rita Teresa Lawlor,Andrea Mafficini,Boris Rusev,Vincenzo Corbo,Claudio Luchini,Samantha Bersani,Antonio Pea,Sara Cingarlini,Luca Landoni,Roberto Salvia,Massimo Milione,Michele Milella,Aldo Scarpa,Seung-Mo Hong,Christopher M Heaphy,Aatur D Singhi

Nature communications 12:1269 PubMed33627664

2021

Alternative lengthening of telomeres in childhood neuroblastoma from genome to proteome.

Applications

Unspecified application

Species

Unspecified reactive species

Sabine A Hartlieb,Lina Sieverling,Michal Nadler-Holly,Matthias Ziehm,Umut H Toprak,Carl Herrmann,Naveed Ishaque,Konstantin Okonechnikov,Moritz Gartlgruber,Young-Gyu Park,Elisa Maria Wecht,Larissa Savelyeva,Kai-Oliver Henrich,Carolina Rosswog,Matthias Fischer,Barbara Hero,David T W Jones,Elke Pfaff,Olaf Witt,Stefan M Pfister,Richard Volckmann,Jan Koster,Katharina Kiesel,Karsten Rippe,Sabine Taschner-Mandl,Peter Ambros,Benedikt Brors,Matthias Selbach,Lars Feuerbach,Frank Westermann

PeerJ 8:e9203 PubMed32596036

2020

DAXX mediates high phosphate-induced endothelial cell apoptosis in vitro through activating ERK signaling.

Applications

Unspecified application

Species

Unspecified reactive species

Shu Wang,Mingyu Wu,Ling Qin,Yaxiang Song,Ai Peng

Cancer cell 37:403-419.e6 PubMed32183952

2020

Genomic and Transcriptomic Characterization of Natural Killer T Cell Lymphoma.

Applications

Unspecified application

Species

Unspecified reactive species

Jie Xiong,Bo-Wen Cui,Nan Wang,Yu-Ting Dai,Hao Zhang,Chao-Fu Wang,Hui-Juan Zhong,Shu Cheng,Bin-Shen Ou-Yang,Yu Hu,Xi Zhang,Bin Xu,Wen-Bin Qian,Rong Tao,Feng Yan,Jian-Da Hu,Ming Hou,Xue-Jun Ma,Xin Wang,Yuan-Hua Liu,Zun-Min Zhu,Xiao-Bin Huang,Li Liu,Chong-Yang Wu,Li Huang,Yun-Feng Shen,Rui-Bin Huang,Jing-Yan Xu,Chun Wang,De-Pei Wu,Li Yu,Jian-Feng Li,Peng-Peng Xu,Li Wang,Jin-Yan Huang,Sai-Juan Chen,Wei-Li Zhao

Neoplasia (New York, N.Y.) 22:61-75 PubMed31846834

2019

Long interspersed element-1 ribonucleoprotein particles protect telomeric ends in alternative lengthening of telomeres dependent cells.

Applications

Unspecified application

Species

Unspecified reactive species

Thomas Aschacher,Brigitte Wolf,Olivia Aschacher,Florian Enzmann,Viktoria Laszlo,Barbara Messner,Adrian Türkcan,Serge Weis,Sabine Spiegl-Kreinecker,Klaus Holzmann,Günther Laufer,Marek Ehrlich,Michael Bergmann

Pancreas 48:396-399 PubMed30747827

2019

Performance of DAXX Immunohistochemistry as a Screen for DAXX Mutations in Pancreatic Neuroendocrine Tumors.

Applications

Unspecified application

Species

Unspecified reactive species

Jaclyn F Hechtman,David S Klimstra,Gouri Nanjangud,Denise Frosina,Jinru Shia,Achim A Jungbluth

Molecular cell 71:11-24.e7 PubMed29937341

2018

ATRX Promotes DNA Repair Synthesis and Sister Chromatid Exchange during Homologous Recombination.

Applications

Unspecified application

Species

Unspecified reactive species

Szilvia Juhász,Amira Elbakry,Arthur Mathes,Markus Löbrich

EMBO molecular medicine 9:1294-1313 PubMed28674081

2017

MG132-induced progerin clearance is mediated by autophagy activation and splicing regulation.

Applications

ICC/IF

Species

Unspecified reactive species

Karim Harhouri,Claire Navarro,Danielle Depetris,Marie-Geneviève Mattei,Xavier Nissan,Pierre Cau,Annachiara De Sandre-Giovannoli,Nicolas Lévy
View all publications

Abcam Product Promise

我们致力于为您的研究提供高质量的试剂,为您科研的每一步提供支持。若我们的产品未能达到预期性能,我们向您提供 Abcam Product Promise 保障。
详情请参阅我们的条款与条件。

Please note: All products are 'FOR RESEARCH USE ONLY. NOT FOR USE IN DIAGNOSTIC OR THERAPEUTIC PROCEDURES'.

For licensing inquiries, please contact partnerships@abcam.com