JavaScript is disabled in your browser. Please enable JavaScript to view this website.
AB110117

Anti-DAP12抗体

Anti-DAP12 antibody

3

(1 Review)

|

(1 Publication)

Goat Polyclonal DAP12 antibody. Suitable for IHC-P and reacts with Human samples. Cited in 1 publication. Immunogen corresponding to Synthetic Peptide within Human TYROBP aa 50-100.

查看别名

DAP12, KARAP, TYROBP, TYRO protein tyrosine kinase-binding protein, DNAX-activation protein 12, Killer-activating receptor-associated protein, KAR-associated protein

2 Images
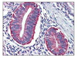
Immunohistochemistry (Formalin/PFA-fixed paraffin-embedded sections) - Anti-DAP12 antibody (AB110117)
  • IHC-P

Unknown

Immunohistochemistry (Formalin/PFA-fixed paraffin-embedded sections) - Anti-DAP12 antibody (AB110117)

Human Uterus (formalin-fixed, paraffin-embedded) stained with 3 µg/ml ab110117 followed by biotinylated secondary antibody, alkaline phosphatase-streptavidin and chromogen.

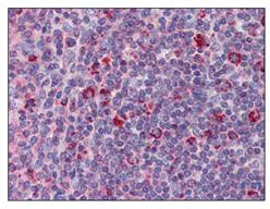
Immunohistochemistry (Formalin/PFA-fixed paraffin-embedded sections) - Anti-DAP12 antibody (AB110117)
  • IHC-P

Unknown

Immunohistochemistry (Formalin/PFA-fixed paraffin-embedded sections) - Anti-DAP12 antibody (AB110117)

Human Spleen (formalin-fixed, paraffin-embedded) stained with 3 µg/ml ab110117 followed by biotinylated secondary antibody, alkaline phosphatase-streptavidin and chromogen.

关键信息

宿主种属

Goat

克隆

Polyclonal

亚型

IgG

不含载体蛋白

No

反应种属

Human

应用

IHC-P

applications

免疫原

Synthetic Peptide within Human TYROBP aa 50-100. The exact immunogen used to generate this antibody is proprietary information.

O43914

反应性数据

{ "title": "Reactivity Data", "filters": { "stats": ["", "Species", "Dilution Info", "Notes"], "tabs": { "all-applications": {"fullname" : "All Applications", "shortname": "All Applications"}, "IHCP" : {"fullname" : "Immunohistochemistry (Formalin/PFA-fixed paraffin-embedded sections)", "shortname":"IHC-P"} }, "product-promise": { "all": "all", "testedAndGuaranteed": "tested", "guaranteed": "expected", "predicted": "predicted", "notRecommended": "not-recommended" } }, "values": { "Human": { "IHCP-species-checked": "testedAndGuaranteed", "IHCP-species-dilution-info": "3-6 µg/mL", "IHCP-species-notes": "<p></p> Perform heat-mediated antigen retrieval with citrate buffer pH 6 before commencing with IHC staining protocol." }, "Dog": { "IHCP-species-checked": "predicted", "IHCP-species-dilution-info": "", "IHCP-species-notes": "" }, "Sheep": { "IHCP-species-checked": "predicted", "IHCP-species-dilution-info": "", "IHCP-species-notes": "" } } }

性能和储存信息

形式
Liquid
纯化工艺
Affinity purification Immunogen
存储溶液
pH: 7.3 Preservative: 0.02% Sodium azide Constituents: Tris buffered saline, 0.5% BSA
运输条件
Blue Ice
推荐的短期储存时间
1-2 weeks
推荐的短期储存条件
+4°C
推荐的长期储存条件
-20°C
分装信息
Upon delivery aliquot

产品实验方案

For this product, it's our understanding that no specific protocols are required. You can visit:

靶点信息

Adapter protein which non-covalently associates with activating receptors found on the surface of a variety of immune cells to mediate signaling and cell activation following ligand binding by the receptors (PubMed : 10604985, PubMed : 9490415, PubMed : 9655483). TYROBP is tyrosine-phosphorylated in the ITAM domain following ligand binding by the associated receptors which leads to activation of additional tyrosine kinases and subsequent cell activation (PubMed : 9490415). Also has an inhibitory role in some cells (PubMed : 21727189). Non-covalently associates with activating receptors of the CD300 family to mediate cell activation (PubMed : 15557162, PubMed : 16920917, PubMed : 17928527, PubMed : 26221034). Also mediates cell activation through association with activating receptors of the CD200R family (By similarity). Required for neutrophil activation mediated by integrin (By similarity). Required for the activation of myeloid cells mediated by the CLEC5A/MDL1 receptor (PubMed : 10449773). Associates with natural killer (NK) cell receptors such as KIR2DS2 and the KLRD1/KLRC2 heterodimer to mediate NK cell activation (PubMed : 23715743, PubMed : 9490415, PubMed : 9655483). Also enhances trafficking and cell surface expression of NK cell receptors KIR2DS1, KIR2DS2 and KIR2DS4 and ensures their stability at the cell surface (PubMed : 23715743). Associates with SIRPB1 to mediate activation of myeloid cells such as monocytes and dendritic cells (PubMed : 10604985). Associates with TREM1 to mediate activation of neutrophils and monocytes (PubMed : 10799849). Associates with TREM2 on monocyte-derived dendritic cells to mediate up-regulation of chemokine receptor CCR7 and dendritic cell maturation and survival (PubMed : 11602640). Association with TREM2 mediates cytokine-induced formation of multinucleated giant cells which are formed by the fusion of macrophages (PubMed : 18957693). Stabilizes the TREM2 C-terminal fragment (TREM2-CTF) produced by TREM2 ectodomain shedding which suppresses the release of pro-inflammatory cytokines (PubMed : 25957402). In microglia, required with TREM2 for phagocytosis of apoptotic neurons (By similarity). Required with ITGAM/CD11B in microglia to control production of microglial superoxide ions which promote the neuronal apoptosis that occurs during brain development (By similarity). Promotes pro-inflammatory responses in microglia following nerve injury which accelerates degeneration of injured neurons (By similarity). Positively regulates the expression of the IRAK3/IRAK-M kinase and IL10 production by liver dendritic cells and inhibits their T cell allostimulatory ability (By similarity). Negatively regulates B cell proliferation (PubMed : 21727189). Required for CSF1-mediated osteoclast cytoskeletal organization (By similarity). Positively regulates multinucleation during osteoclast development (By similarity).
See full target information TYROBP

文献 (1)

Recent publications for all applications. Explore the full list and refine your search

Reproduction (Cambridge, England) 151:673-81 PubMed27002001

2016

Critical role of Emx2 in the pluripotency - differentiation transition in male gonocytes via regulation of FGF9/NODAL pathway.

Applications

Unspecified application

Species

Unspecified reactive species

Ma Tian-Zhong,Chen Bi,Zhang Ying,Jing Xia,Peng Cai-Ling,Zhang Yun-Shan,Huang Mei-Wen,Niu Yan-Ru
View all publications

Abcam Product Promise

我们致力于为您的研究提供高质量的试剂,为您科研的每一步提供支持。若我们的产品未能达到预期性能,我们向您提供 Abcam Product Promise 保障。
详情请参阅我们的条款与条件。

Please note: All products are 'FOR RESEARCH USE ONLY. NOT FOR USE IN DIAGNOSTIC OR THERAPEUTIC PROCEDURES'.

For licensing inquiries, please contact partnerships@abcam.com