JavaScript is disabled in your browser. Please enable JavaScript to view this website.
AB226176

Anti-DACH1抗体

Anti-DACH1 antibody

5

(1 Review)

|

(3 Publications)

Rabbit Polyclonal DACH1 antibody. Suitable for IHC-P, IP, WB and reacts with Human samples. Cited in 3 publications. Immunogen corresponding to Synthetic Peptide within Human DACH1 aa 700 to C-terminus.

查看别名

DACH, DACH1, Dachshund homolog 1, Dach1

3 Images
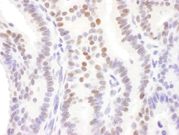
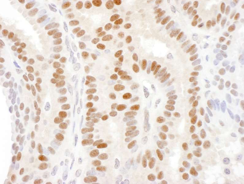
Immunohistochemistry (Formalin/PFA-fixed paraffin-embedded sections) - Anti-DACH1 antibody (AB226176)
  • IHC-P

Supplier Data

Immunohistochemistry (Formalin/PFA-fixed paraffin-embedded sections) - Anti-DACH1 antibody (AB226176)

Formalin-fixed, paraffin-embedded human breast carcinoma tissue stained for DACH1 using ab226176 at 1/200 dilution in immunohistochemical analysis. Detection : DAB staining. Counterstain : Hematoxylin (blue).

Immunoprecipitation - Anti-DACH1 antibody (AB226176)
  • IP

Supplier Data

Immunoprecipitation - Anti-DACH1 antibody (AB226176)

DACH1 was immunoprecipitated from HEK-293T (human epithelial cell line from embryonic kidney transformed with large T antigen) whole cell lysate (1 mg for IP, 20% of IP loaded) with ab226176 at 6 μg/mg lysate. Western blot was performed from the immunoprecipitate using ab226176 at 1 μg/ml.

Lane 1 : ab226176 IP in HEK-293T whole cell lysate.

Lane 2 : Control IgG IP in HEK-293T whole cell lysate.

Detection : Chemiluminescence with exposure time of 3 seconds.

All lanes:

Immunoprecipitation - Anti-DACH1 antibody (ab226176)

Predicted band size: 79 kDa

false

Western blot - Anti-DACH1 antibody (AB226176)
  • WB

Supplier Data

Western blot - Anti-DACH1 antibody (AB226176)

All lanes:

Western blot - Anti-DACH1 antibody (ab226176) at 0.04 µg/mL

Lane 1:

HEK-293T (human epithelial cell line from embryonic kidney transformed with large T antigen) whole cell lysate at 50 µg

Lane 2:

HEK-293T (human epithelial cell line from embryonic kidney transformed with large T antigen) whole cell lysate at 15 µg

Lane 3:

Jurkat (human T cell leukemia cell line from peripheral blood) whole cell lysate at 50 µg

Lane 4:

HeLa (human epithelial cell line from cervix adenocarcinoma) whole cell lysate at 50 µg

Predicted band size: 79 kDa

true

Exposure time: 30s

关键信息

宿主种属

Rabbit

克隆

Polyclonal

亚型

IgG

不含载体蛋白

No

反应种属

Human

应用

IHC-P, WB, IP

applications

免疫原

Synthetic Peptide within Human DACH1 aa 700 to C-terminus. The exact immunogen used to generate this antibody is proprietary information.

Q9UI36

反应性数据

{ "title": "Reactivity Data", "filters": { "stats": ["", "Species", "Dilution Info", "Notes"], "tabs": { "all-applications": {"fullname" : "All Applications", "shortname": "All Applications"}, "IHCP" : {"fullname" : "Immunohistochemistry (Formalin/PFA-fixed paraffin-embedded sections)", "shortname":"IHC-P"}, "IP" : {"fullname" : "Immunoprecipitation", "shortname":"IP"}, "WB" : {"fullname" : "Western blot", "shortname":"WB"} }, "product-promise": { "all": "all", "testedAndGuaranteed": "tested", "guaranteed": "expected", "predicted": "predicted", "notRecommended": "not-recommended" } }, "values": { "Human": { "IHCP-species-checked": "testedAndGuaranteed", "IHCP-species-dilution-info": "1/100 - 1/500", "IHCP-species-notes": "<p></p> Perform heat-mediated antigen retrieval with citrate buffer pH 6 before commencing with IHC staining protocol.", "IP-species-checked": "testedAndGuaranteed", "IP-species-dilution-info": "2-10 µg/mg of lysate", "IP-species-notes": "<p></p>", "WB-species-checked": "testedAndGuaranteed", "WB-species-dilution-info": "1/2000 - 1/10000", "WB-species-notes": "<p></p>" }, "Mouse": { "IHCP-species-checked": "predicted", "IHCP-species-dilution-info": "", "IHCP-species-notes": "", "IP-species-checked": "predicted", "IP-species-dilution-info": "", "IP-species-notes": "", "WB-species-checked": "predicted", "WB-species-dilution-info": "", "WB-species-notes": "" } } }

性能和储存信息

形式
Liquid
纯化工艺
Affinity purification Immunogen
纯化说明
ab226176 was affinity purified using an epitope specific to DACH1 immobilized on solid support.
存储溶液
pH: 6.8 - 7.4 Preservative: 0.09% Sodium azide Constituents: Tris buffered saline, 0.1% BSA
运输条件
Blue Ice
推荐的短期储存时间
1-2 weeks
推荐的短期储存条件
+4°C
推荐的长期储存条件
+4°C
分装信息
Upon delivery aliquot
储存信息
Avoid freeze / thaw cycle

产品实验方案

For this product, it's our understanding that no specific protocols are required. You can visit:

靶点信息

Transcription factor that is involved in regulation of organogenesis. Seems to be a regulator of SIX1, SIX6 and probably SIX5. Corepression of precursor cell proliferation in myoblasts by SIX1 is switched to coactivation through recruitment of EYA3 to the SIX1-DACH1 complex. Transcriptional activation seems also to involve association of CREBBP. Seems to act as a corepressor of SIX6 in regulating proliferation by directly repressing cyclin-dependent kinase inhibitors, including the p27Kip1 promoter (By similarity). Inhibits TGF-beta signaling through interaction with SMAD4 and NCOR1. Binds to chromatin DNA via its DACHbox-N domain (By similarity).
See full target information DACH1

文献 (3)

Recent publications for all applications. Explore the full list and refine your search

Cell death discovery 7:351 PubMed34772908

2021

DACH1 inhibits breast cancer cell invasion and metastasis by down-regulating the transcription of matrix metalloproteinase 9.

Applications

Unspecified application

Species

Unspecified reactive species

Sattout Aman,Yanan Li,Yunmeng Cheng,Yuxi Yang,Linlin Lv,Bowen Li,Kangkai Xia,Shujing Li,Huijian Wu

Genomics 113:2495-2502 PubMed34022343

2021

Biallelic variant in DACH1, encoding Dachshund Homolog 1, defines a novel candidate locus for recessive postaxial polydactyly type A.

Applications

Unspecified application

Species

Unspecified reactive species

Muhammad Umair,Oliva Palander,Muhammad Bilal,Bader Almuzzaini,Qamre Alam,Farooq Ahmad,Muhammad Younus,Amjad Khan,Ahmed Waqas,Misbahuddin M Rafeeq,Majid Alfadhel

Cancer medicine 8:4380-4388 PubMed31215145

2019

DACH1 suppresses epithelial to mesenchymal transition (EMT) through Notch1 pathway and reverses progestin resistance in endometrial carcinoma.

Applications

Unspecified application

Species

Unspecified reactive species

Qing Zhou,Wenzhi Li,Deshui Kong,Zhiming Liu,Zhengzheng Shi,Xiaohong Ma,Yongmei Li,Jie Jiang
View all publications

Abcam Product Promise

我们致力于为您的研究提供高质量的试剂,为您科研的每一步提供支持。若我们的产品未能达到预期性能,我们向您提供 Abcam Product Promise 保障。
详情请参阅我们的条款与条件。

Please note: All products are 'FOR RESEARCH USE ONLY. NOT FOR USE IN DIAGNOSTIC OR THERAPEUTIC PROCEDURES'.

For licensing inquiries, please contact partnerships@abcam.com