JavaScript is disabled in your browser. Please enable JavaScript to view this website.
AB181252

重组Anti-D4 GDI抗体[EPR14212(B)]

Anti-D4 GDI antibody [EPR14212(B)]

5

(4 Reviews)

|

(6 Publications)

Rabbit Recombinant Monoclonal D4 GDI antibody. Suitable for WB, ICC/IF, Flow Cyt (Intra), IHC-P and reacts with Human samples. Cited in 6 publications.

查看别名

GDIA2, GDID4, RAP1GN1, ARHGDIB, Rho GDP-dissociation inhibitor 2, Rho GDI 2, Ly-GDI, Rho-GDI beta

6 Images
Immunocytochemistry/ Immunofluorescence - Anti-D4 GDI antibody [EPR14212(B)] (AB181252)
  • ICC/IF

AbReview50282****

Immunocytochemistry/ Immunofluorescence - Anti-D4 GDI antibody [EPR14212(B)] (AB181252)

Immunocytochemical immunoflurescence analysis of formaldehyde-fixed HEPG-2 cells, labelling D4 GDI with ab181252 at a dilution of 1/50 incubated for 3 hours at 22°C in 1% donkey serum in 0.1% PBST. Permeablization was with 0.2% Triton X-100. Blocking was with 1% donkey serum in 0.1% PBST for 1 hour at 22°C. Secondary used was a Donkey anti-rabbit polyclonal Alexa Fluor® 594 conjugate used at 1/200.

Image is courtesy of an Abreview submitted by Dr Armen Petrosyan.

Flow Cytometry (Intracellular) - Anti-D4 GDI antibody [EPR14212(B)] (AB181252)
  • Flow Cyt (Intra)

Supplier Data

Flow Cytometry (Intracellular) - Anti-D4 GDI antibody [EPR14212(B)] (AB181252)

Intracellular flow cytometrical analysis of HL60 cells labeling D4 GDI with ab181252 at 1/70 (red) compared to a negative control antibody (green).

Immunocytochemistry/ Immunofluorescence - Anti-D4 GDI antibody [EPR14212(B)] (AB181252)
  • ICC/IF

Supplier Data

Immunocytochemistry/ Immunofluorescence - Anti-D4 GDI antibody [EPR14212(B)] (AB181252)

Immunofluorescent analysis of HL60 cells labeling D4 GDI with ab181252 at 1/100 (green) with Goat anti rabbit IgG (Alexa Fluor®488) at 1/200 and DAPI staining (blue).

Immunohistochemistry (Formalin/PFA-fixed paraffin-embedded sections) - Anti-D4 GDI antibody [EPR14212(B)] (AB181252)
  • IHC-P

Supplier Data

Immunohistochemistry (Formalin/PFA-fixed paraffin-embedded sections) - Anti-D4 GDI antibody [EPR14212(B)] (AB181252)

Immunohistochemical analysis of paraffin embedded Human bone marrow tissue labeling D4 GDI with ab181252 at 1/500.

Perform heat mediated antigen retrieval with EDTA buffer pH 9 before commencing with IHC staining protocol.

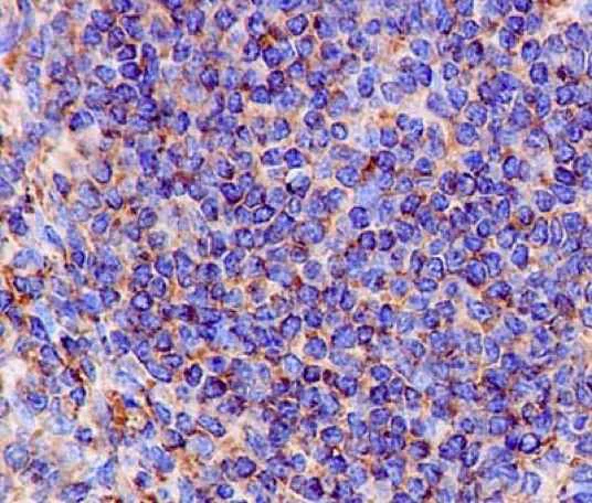
Immunohistochemistry (Formalin/PFA-fixed paraffin-embedded sections) - Anti-D4 GDI antibody [EPR14212(B)] (AB181252)
  • IHC-P

Supplier Data

Immunohistochemistry (Formalin/PFA-fixed paraffin-embedded sections) - Anti-D4 GDI antibody [EPR14212(B)] (AB181252)

Immunohistochemical analysis of paraffin embedded Human tonsil tissue labeling D4 GDI with ab181252 at 1/500.

Perform heat mediated antigen retrieval with EDTA buffer pH 9 before commencing with IHC staining protocol.

Western blot - Anti-D4 GDI antibody [EPR14212(B)] (AB181252)
  • WB

Supplier Data

Western blot - Anti-D4 GDI antibody [EPR14212(B)] (AB181252)

All lanes:

Western blot - Anti-D4 GDI antibody [EPR14212(B)] (ab181252) at 1/10000 dilution

Lane 1:

Jurkat lysate at 20 µg

Lane 2:

U937 lysate at 20 µg

Lane 3:

HL60 lysate at 20 µg

Lane 4:

Human spleen lysate at 20 µg

Secondary

All lanes:

Goat Anti-Rabbit IgG, (H+L), Peroxidase conjugated at 1/1000 dilution

Predicted band size: 22 kDa

Observed band size: 23 kDa

false

关键信息

宿主种属

Rabbit

克隆

Monoclonal

克隆号

EPR14212(B)

亚型

IgG

不含载体蛋白

No

反应种属

Human

应用

Flow Cyt (Intra), ICC/IF, IHC-P, WB

applications

免疫原

The exact immunogen used to generate this antibody is proprietary information.

反应性数据

{ "title": "Reactivity Data", "filters": { "stats": ["", "Species", "Dilution Info", "Notes"], "tabs": { "all-applications": {"fullname" : "All Applications", "shortname": "All Applications"}, "WB" : {"fullname" : "Western blot", "shortname":"WB"}, "ICCIF" : {"fullname" : "Immunocytochemistry/ Immunofluorescence", "shortname":"ICC/IF"}, "FlowCytIntra" : {"fullname" : "Flow Cytometry (Intracellular)", "shortname":"Flow Cyt (Intra)"}, "IHCP" : {"fullname" : "Immunohistochemistry (Formalin/PFA-fixed paraffin-embedded sections)", "shortname":"IHC-P"} }, "product-promise": { "all": "all", "testedAndGuaranteed": "tested", "guaranteed": "expected", "predicted": "predicted", "notRecommended": "not-recommended" } }, "values": { "Human": { "WB-species-checked": "testedAndGuaranteed", "WB-species-dilution-info": "1/1000 - 1/10000", "WB-species-notes": "<p></p>", "ICCIF-species-checked": "testedAndGuaranteed", "ICCIF-species-dilution-info": "1/50 - 1/100", "ICCIF-species-notes": "<p></p>", "FlowCytIntra-species-checked": "testedAndGuaranteed", "FlowCytIntra-species-dilution-info": "1/70", "FlowCytIntra-species-notes": "<p><a href='/products/primary-antibodies/rabbit-igg-monoclonal-epr25a-isotype-control-ab172730'>ab172730</a> - Rabbit monoclonal IgG, is suitable for use as an isotype control with this antibody.</p>", "IHCP-species-checked": "testedAndGuaranteed", "IHCP-species-dilution-info": "1/250 - 1/500", "IHCP-species-notes": "<p></p>" }, "Mouse": { "WB-species-checked": "predicted", "WB-species-dilution-info": "", "WB-species-notes": "", "ICCIF-species-checked": "predicted", "ICCIF-species-dilution-info": "", "ICCIF-species-notes": "", "FlowCytIntra-species-checked": "predicted", "FlowCytIntra-species-dilution-info": "", "FlowCytIntra-species-notes": "", "IHCP-species-checked": "predicted", "IHCP-species-dilution-info": "", "IHCP-species-notes": "" }, "Rat": { "WB-species-checked": "predicted", "WB-species-dilution-info": "", "WB-species-notes": "", "ICCIF-species-checked": "predicted", "ICCIF-species-dilution-info": "", "ICCIF-species-notes": "", "FlowCytIntra-species-checked": "predicted", "FlowCytIntra-species-dilution-info": "", "FlowCytIntra-species-notes": "", "IHCP-species-checked": "predicted", "IHCP-species-dilution-info": "", "IHCP-species-notes": "" } } }

产品详情

Patented technology
Our RabMAb® technology is a patented hybridoma-based technology for making rabbit monoclonal antibodies. For details on our patents, please refer to RabMAb® patents.

What are the advantages of a recombinant monoclonal antibody?
This product is a recombinant monoclonal antibody, which offers several advantages including:

  • - High batch-to-batch consistency and reproducibility
  • - Improved sensitivity and specificity
  • - Long-term security of supply
  • - Animal-free batch production

For more information, read more on recombinant antibodies.

性能和储存信息

形式
Liquid
纯化工艺
Affinity purification Protein A
存储溶液
Preservative: 0.01% Sodium azide Constituents: PBS, 40% Glycerol (glycerin, glycerine), 0.05% BSA
运输条件
Blue Ice
推荐的短期储存时间
1-2 weeks
推荐的短期储存条件
+4°C
推荐的长期储存条件
-20°C
分装信息
Upon delivery aliquot
储存信息
Avoid freeze / thaw cycle

产品实验方案

For this product, it's our understanding that no specific protocols are required. You can visit:

靶点信息

Regulates the GDP/GTP exchange reaction of the Rho proteins by inhibiting the dissociation of GDP from them, and the subsequent binding of GTP to them (PubMed : 7512369, PubMed : 8356058). Regulates reorganization of the actin cytoskeleton mediated by Rho family members (PubMed : 8262133).
See full target information ARHGDIB

文献 (6)

Recent publications for all applications. Explore the full list and refine your search

Allergologia et immunopathologia 53:36-44 PubMed40923418

2025

Knockdown of ARHGDIB promotes autophagy and reduces inflammation in LPS-induced alveolar epithelial cells via the PRKACB/NF-κB pathway.

Applications

Unspecified application

Species

Unspecified reactive species

Haizhen Jin,Shuangxia Dong,Zhihui Li,Dai Xinjian

eNeuro 12: PubMed40032531

2025

Phosphorylation of NLGN4X Regulates Spinogenesis and Synaptic Function.

Applications

Unspecified application

Species

Unspecified reactive species

Alexander W Lehr,Thien A Nguyen,Wenyan Han,Eunhye Hong,John D Badger,Wei Lu,Katherine W Roche

Frontiers in pharmacology 12:632414 PubMed33995034

2021

Transcriptomic Analysis of the Mechanisms for Alleviating Psoriatic Dermatitis Using Taodan Granules in an Imiquimod-Induced Psoriasis-like Mouse Model.

Applications

Unspecified application

Species

Unspecified reactive species

Le Kuai,Ying Luo,Keshen Qu,Yi Ru,Yue Luo,Xiaojie Ding,Meng Xing,Liu Liu,Xiaoying Sun,Xin Li,Bin Li

Arthritis research & therapy 22:147 PubMed32552896

2020

Proteomic analysis in lupus mice identifies Coronin-1A as a potential biomarker for lupus nephritis.

Applications

Unspecified application

Species

Unspecified reactive species

Orthodoxia Nicolaou,Kleitos Sokratous,Zuzanna Makowska,María Morell,Aurélie De Groof,Pauline Montigny,Andreas Hadjisavvas,Kyriaki Michailidou,Anastasis Oulas,George M Spyrou,Christiana Demetriou,Marta E Alarcón-Riquelme,Savvas Psarellis,Andreas Kousios,Bernard Lauwerys,Kyriacos Kyriacou

Atherosclerosis 288:124-136 PubMed31362179

2019

RhoGDI stability is regulated by SUMOylation and ubiquitination via the AT1 receptor and participates in Ang II-induced smooth muscle proliferation and vascular remodeling.

Applications

Unspecified application

Species

Unspecified reactive species

Fan Dai,Yan Qi,Wei Guan,Guoliang Meng,Zhaoguo Liu,Ting Zhang,Wenjuan Yao

General physiology and biophysics 38:271-280 PubMed31219429

2019

ROCK inhibitors alleviate myofibroblast transdifferentiation and vascular remodeling via decreasing TGFβ1-mediated RhoGDI expression.

Applications

Unspecified application

Species

Unspecified reactive species

Jingjing Zhang,Lian Tang,Fan Dai,Yau Qi,Lifeng Yang,Zhaoguo Liu,Li Deng,Wenjuan Yao
View all publications

Abcam Product Promise

我们致力于为您的研究提供高质量的试剂,为您科研的每一步提供支持。若我们的产品未能达到预期性能,我们向您提供 Abcam Product Promise 保障。
详情请参阅我们的条款与条件。

Please note: All products are 'FOR RESEARCH USE ONLY. NOT FOR USE IN DIAGNOSTIC OR THERAPEUTIC PROCEDURES'.

For licensing inquiries, please contact partnerships@abcam.com