JavaScript is disabled in your browser. Please enable JavaScript to view this website.
AB109452

重组Anti-Cytokeratin 8 (phospho S431)抗体[EP1630]

Anti-Cytokeratin 8 (phospho S431) antibody [EP1630]

Be the first to review this product! Submit a review

|

(3 Publications)

Rabbit Recombinant Monoclonal antibody. Suitable for IHC-P, ICC/IF, IP, WB and reacts with Human samples. Cited in 3 publications.
5 Images
Immunocytochemistry/ Immunofluorescence - Anti-Cytokeratin 8 (phospho S431) antibody [EP1630] (AB109452)
  • ICC/IF

Unknown

Immunocytochemistry/ Immunofluorescence - Anti-Cytokeratin 8 (phospho S431) antibody [EP1630] (AB109452)

Immunocytochemistry analysis of HeLa (human cervix adenocarcinoma epithelial cell) labeling Cytokeratin 8 with purified ab109452 at 1/500 dilution. Cells were fixed with 4% Paraformaldehyde and permeabilised with 0.1% tritonX-100. Goat anti rabbit IgG (Alexa Fluor® 488, ab150077) at 1/1000 (2 µg/ml) was used as the secondary antibody. ab195889 Anti-alpha Tubulin antibody [DM1A] - Microtubule Marker (Alexa Fluor® 594) 1/200 (2.26 µg/ml) was used as counterstain. Nuclei were stained blue with DAPI.
Negative control : PBS instead of the primary antibody.

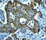
Immunohistochemistry (Formalin/PFA-fixed paraffin-embedded sections) - Anti-Cytokeratin 8 (phospho S431) antibody [EP1630] (AB109452)
  • IHC-P

Unknown

Immunohistochemistry (Formalin/PFA-fixed paraffin-embedded sections) - Anti-Cytokeratin 8 (phospho S431) antibody [EP1630] (AB109452)

ab109452 at 1/100 dilution staining Cytokeratin 8 in Human ductal breast carcinoma by Immunohistochemistry, Paraffin-embedded tissue.

Perform heat mediated antigen retrieval before commencing with IHC staining protocol.

Immunohistochemistry (Formalin/PFA-fixed paraffin-embedded sections) - Anti-Cytokeratin 8 (phospho S431) antibody [EP1630] (AB109452)
  • IHC-P

Unknown

Immunohistochemistry (Formalin/PFA-fixed paraffin-embedded sections) - Anti-Cytokeratin 8 (phospho S431) antibody [EP1630] (AB109452)

ab109452 at 1/100 dilution staining Cytokeratin 8 in Human stomach adenocarcinoma by Immunohistochemistry, Paraffin-embedded tissue.

Perform heat mediated antigen retrieval before commencing with IHC staining protocol.

Immunoprecipitation - Anti-Cytokeratin 8 (phospho S431) antibody [EP1630] (AB109452)
  • IP

Lab

Immunoprecipitation - Anti-Cytokeratin 8 (phospho S431) antibody [EP1630] (AB109452)

Purified ab109452 at 1/20 dilution (0.5μg) immunoprecipitating Cytokeratin 8 in HeLa treated with Calyculin A whole cell lysate.
Lane 1 (input) : HeLa (Human cervix adenocarcinoma epithelial cell) treated with Calyculin A whole cell lysate 10μg
Lane 2 (+) : ab109452 + HeLa treated with Calyculin A whole cell lysate.
Lane 3 (-) : Rabbit monoclonal IgG (ab172730) instead of ab109452 in HeLa treated with Calyculin A whole cell lysate.
VeriBlot for IP Detection Reagent (HRP) (ab131366) (1/1000 dilution) was used for Western blotting.
Blocking Buffer and concentration : 5% NFDM/TBST.
Diluting buffer and concentration : 5% NFDM/TBST.
Observed band size : 52 kDa

All lanes:

Immunoprecipitation - Anti-Cytokeratin 8 (phospho S431) antibody [EP1630] (ab109452)

Predicted band size: 53 kDa

false

Western blot - Anti-Cytokeratin 8 (phospho S431) antibody [EP1630] (AB109452)
  • WB

Unknown

Western blot - Anti-Cytokeratin 8 (phospho S431) antibody [EP1630] (AB109452)

All lanes:

Western blot - Anti-Cytokeratin 8 (phospho S431) antibody [EP1630] (ab109452) at 1/10000 dilution

Lane 1:

HeLa lysates, untreated at 10 µg

Lane 2:

HeLa lysates, treated with FBS and Calyculin A at 10 µg

Predicted band size: 53 kDa

Observed band size: 52 kDa

false

不同偶联物与剂型 (1)

  • Carrier free

    Anti-Cytokeratin 8 (phospho S431) antibody [EP1630] - BSA and Azide free

关键信息

宿主种属

Rabbit

克隆

Monoclonal

克隆号

EP1630

亚型

IgG

不含载体蛋白

No

反应种属

Human

应用

IP, ICC/IF, IHC-P, WB

applications

免疫原

The exact immunogen used to generate this antibody is proprietary information.

反应性数据

{ "title": "Reactivity Data", "filters": { "stats": ["", "Species", "Dilution Info", "Notes"], "tabs": { "all-applications": {"fullname" : "All Applications", "shortname": "All Applications"}, "IHCP" : {"fullname" : "Immunohistochemistry (Formalin/PFA-fixed paraffin-embedded sections)", "shortname":"IHC-P"}, "ICCIF" : {"fullname" : "Immunocytochemistry/ Immunofluorescence", "shortname":"ICC/IF"}, "IP" : {"fullname" : "Immunoprecipitation", "shortname":"IP"}, "FlowCyt" : {"fullname" : "Flow Cytometry", "shortname":"Flow Cyt"}, "WB" : {"fullname" : "Western blot", "shortname":"WB"} }, "product-promise": { "all": "all", "testedAndGuaranteed": "tested", "guaranteed": "expected", "predicted": "predicted", "notRecommended": "not-recommended" } }, "values": { "Human": { "IHCP-species-checked": "testedAndGuaranteed", "IHCP-species-dilution-info": "1/100 - 1/250", "IHCP-species-notes": "<p></p> Perform heat-mediated antigen retrieval before commencing with IHC staining protocol.", "ICCIF-species-checked": "testedAndGuaranteed", "ICCIF-species-dilution-info": "1/100 - 1/250", "ICCIF-species-notes": "<p></p>", "IP-species-checked": "testedAndGuaranteed", "IP-species-dilution-info": "1/50", "IP-species-notes": "<p></p>", "FlowCyt-species-checked": "notRecommended", "FlowCyt-species-dilution-info": "", "FlowCyt-species-notes": "<p></p>", "WB-species-checked": "testedAndGuaranteed", "WB-species-dilution-info": "1/10000 - 1/50000", "WB-species-notes": "<p></p>" } } }

产品详情

Species reactivity
Mouse, Rat: We have preliminary internal testing data to indicate this antibody may not react with these species.
Please contact us for more information.

Patented technology
Our RabMAb® technology is a patented hybridoma-based technology for making rabbit monoclonal antibodies. For details on our patents, please refer to RabMAb® patents.

性能和储存信息

形式
Liquid
纯化工艺
Affinity purification Protein A
存储溶液
pH: 7.2 - 7.4 Preservative: 0.05% Sodium azide Constituents: 50% Tissue culture supernatant, 40% Glycerol (glycerin, glycerine), 9.85% Tris glycine, 0.1% BSA
运输条件
Blue Ice
推荐的短期储存条件
+4°C
推荐的长期储存条件
-20°C
储存信息
Stable for 12 months at -20°C

产品实验方案

For this product, it's our understanding that no specific protocols are required. You can visit:

靶点信息

文献 (3)

Recent publications for all applications. Explore the full list and refine your search

Cellular and molecular life sciences : CMLS 79:95 PubMed35080691

2022

Autophagosome-lysosome fusion is facilitated by plectin-stabilized actin and keratin 8 during macroautophagic process.

Applications

Unspecified application

Species

Unspecified reactive species

Sumin Son,Ahruem Baek,Jong Hun Lee,Dong-Eun Kim

Pacific Symposium on Biocomputing. Pacific Symposium on Biocomputing 26:297-308 PubMed33691026

2021

A multi-scale integrated analysis identifies KRT8 as a pan-cancer early biomarker.

Applications

Unspecified application

Species

Unspecified reactive species

Madeleine K D Scott,Maneesha Limaye,Steven Schaffert,Robert West,Michael G Ozawa,Pauline Chu,Viswam S Nair,Albert C Koong,Purvesh Khatri

Journal of cell science 126:4721-31 PubMed23902688

2013

A novel mechanism of keratin cytoskeleton organization through casein kinase Iα and FAM83H in colorectal cancer.

Applications

Unspecified application

Species

Saccharomyces cerevisiae S288C

Takahisa Kuga,Hideaki Kume,Naoko Kawasaki,Misako Sato,Jun Adachi,Takashi Shiromizu,Isamu Hoshino,Takanori Nishimori,Hisahiro Matsubara,Takeshi Tomonaga
View all publications

Abcam Product Promise

我们致力于为您的研究提供高质量的试剂,为您科研的每一步提供支持。若我们的产品未能达到预期性能,我们向您提供 Abcam Product Promise 保障。
详情请参阅我们的条款与条件。

Please note: All products are 'FOR RESEARCH USE ONLY. NOT FOR USE IN DIAGNOSTIC OR THERAPEUTIC PROCEDURES'.

For licensing inquiries, please contact partnerships@abcam.com