JavaScript is disabled in your browser. Please enable JavaScript to view this website.
AB53280

Anti-Cytokeratin 8 抗体 [EP1628Y] - Cytoskeleton Marker

Anti-Cytokeratin 8 antibody [EP1628Y] - Cytoskeleton Marker

  • KO Validated
  • RabMAb
  • Recombinant
  • Lab Essentials
  • 20ul selling size
  • 了解详情

5

(9 Reviews)

|

(197 Publications)

Anti-Cytokeratin 8 antibody [EP1628Y] - Cytoskeleton Marker (ab53280) is a rabbit monoclonal antibody detecting Cytokeratin 8 in Western Blot, Flow Cytometry (Intra), Flow Cytometry, IP, IHC-P, IHC-Fr, ICC/IF. Suitable for Human, Mouse, Rat.

- KO validated for confirmed specificity
- Biophysical QC for unrivalled batch-batch consistency
- Over 130 publications
- Trusted since 2007

查看别名

CYK8, KRT8, Cytokeratin-8, Keratin-8, Type-II keratin Kb8, CK-8, K8

20 Images
Immunohistochemistry (Formalin/PFA-fixed paraffin-embedded sections) - Anti-Cytokeratin 8 antibody [EP1628Y] - Cytoskeleton Marker (AB53280)
  • IHC-P

Unknown

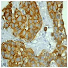
Immunohistochemistry (Formalin/PFA-fixed paraffin-embedded sections) - Anti-Cytokeratin 8 antibody [EP1628Y] - Cytoskeleton Marker (AB53280)

Immunohistochemistry (Formalin/PFA-fixed paraffin-embedded sections) analysis of human thyroid carcinoma tissue sections labeling Cytokeratin 8 with Purified ab53280 at 1 : 250 dilution. Heat mediated antigen retrieval was performed using ab93684 (Tris/EDTA buffer, pH 9.0). Tissue was counterstained with Hematoxylin. ImmunoHistoProbe one step HRP Polymer (ready to use) secondary antibody was used at 1 : 0 dilution. PBS instead of the primary antibody was used as the negative control.

Immunohistochemistry (Formalin/PFA-fixed paraffin-embedded sections) - Anti-Cytokeratin 8 antibody [EP1628Y] - Cytoskeleton Marker (AB53280)
  • IHC-P

Unknown

Immunohistochemistry (Formalin/PFA-fixed paraffin-embedded sections) - Anti-Cytokeratin 8 antibody [EP1628Y] - Cytoskeleton Marker (AB53280)

Fluorescent immunohistochemical analysis of paraffin-embedded human breast carcinoma tissue using unpurified ab53280. Green-CK8 red-PI

Immunohistochemistry (Formalin/PFA-fixed paraffin-embedded sections) - Anti-Cytokeratin 8 antibody [EP1628Y] - Cytoskeleton Marker (AB53280)
  • IHC-P

Unknown

Immunohistochemistry (Formalin/PFA-fixed paraffin-embedded sections) - Anti-Cytokeratin 8 antibody [EP1628Y] - Cytoskeleton Marker (AB53280)

Unpurified ab53280 (1 : 250) staining human Cyotkeratin 8 in human breast adenocarcinoma tissue by immunohistochemistry using paraffin embedded tissue.

Flow Cytometry (Intracellular) - Anti-Cytokeratin 8 antibody [EP1628Y] - Cytoskeleton Marker (AB53280)
  • Flow Cyt (Intra)

Unknown

Flow Cytometry (Intracellular) - Anti-Cytokeratin 8 antibody [EP1628Y] - Cytoskeleton Marker (AB53280)

Overlay histogram showingHeLa cells stained with unpurifiedab53280 (red line). The cells were fixed with 2%PFA (room temperature, 30 min) and then permeabilized with 1%FACS permeabilizing solutionfor 30 min. The cells were then incubated in3% FBS in 1X PBSfollowed by the antibody (ab53280, 1/20 dilution) for1 hourat room temperature. The cells were then incubated for 30 min at room temperature with the secondary antibody. An isotype control antibody (black line) was used and an unlabelled sample (blue line) was also used as a control.

Flow Cytometry (Intracellular) - Anti-Cytokeratin 8 antibody [EP1628Y] - Cytoskeleton Marker (AB53280)
  • Flow Cyt (Intra)

Unknown

Flow Cytometry (Intracellular) - Anti-Cytokeratin 8 antibody [EP1628Y] - Cytoskeleton Marker (AB53280)

Intracellular Flow Cytometry analysis of HeLa (Human cervix adenocarcinoma epithelial cell) cells labeling Cytokeratin 8 with purified ab53280 at 1/20 dilution (red). Cells were fixed with 4% Paraformaldehyde. A Goat anti rabbit IgG (Alexa Fluorr® 488) secondary antibody was used at 1/2000 dilution. Isotype control - Rabbit monoclonal IgG (Black). Unlabeled control - Cell without incubation with primary antibody and secondary antibody (Blue).

Alexa Fluorr®488 (ab192467) and Alexa Fluorr®647 (ab192468) conjugated versions are available for this clone.

Flow Cytometry (Intracellular) - Anti-Cytokeratin 8 antibody [EP1628Y] - Cytoskeleton Marker (AB53280)
  • Flow Cyt (Intra)

Lab

Flow Cytometry (Intracellular) - Anti-Cytokeratin 8 antibody [EP1628Y] - Cytoskeleton Marker (AB53280)

Flow cytometry overlay histogram showing left NIH3T3 positive cells and right negative Raw264.7 stained with ab53280 (red line). The cells were fixed with 80% methanol (5 min) and then permeabilised with 0.1% PBS-Triton X-100 for 15 min. The cells were then incubated in 1x PBS containing 10% normal goat serum to block non-specific protein-protein interaction followed by the antibody (ab53280) (1x 106 in 100μl at 0.2μg/ml (1/11500)) for 30min at 22°C.

The secondary antibody Goat Anti-Rabbit IgG H&L (Alexa Fluor® 488) preadsorbed was incubated at 1/4000 for 30min at 22°C

Isotype control antibody (black line) was Recombinant Rabbit IgG, monoclonal [EPR25A] - Isotype Control used at the same concentration and conditions as the primary antibody. Unlabelled sample (blue line) was also used as a control.

Acquisition of >5000 events were collected using a 50 mW Blue laser (488nm) and 525/40 bandpass filter.

Immunohistochemistry (Formalin/PFA-fixed paraffin-embedded sections) - Anti-Cytokeratin 8 antibody [EP1628Y] - Cytoskeleton Marker (AB53280)
  • IHC-P

AbReview34878****

Immunohistochemistry (Formalin/PFA-fixed paraffin-embedded sections) - Anti-Cytokeratin 8 antibody [EP1628Y] - Cytoskeleton Marker (AB53280)

Unpurified ab53280 staining Cytokeratin 8 in Mouse liver tissue sections by Immunohistochemistry (IHC-P - paraformaldehyde-fixed, paraffin-embedded sections). Tissue was fixed with formalin and blocked with 10% serum for 20 minutes at 23°C; antigen retrieval was by heat mediation in a citrate buffer. Samples were incubated with primary antibody (1/75 in TBS + 1% BSA) for 1 hour at 23°C. A Biotin-conjugated Goat anti-rabbit IgG polyclonal (1/500) was used as the secondary antibody.

This image is courtesy of an anonymous Abreview

Immunohistochemistry (Formalin/PFA-fixed paraffin-embedded sections) - Anti-Cytokeratin 8 antibody [EP1628Y] - Cytoskeleton Marker (AB53280)
  • IHC-P

Unknown

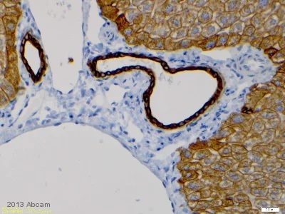
Immunohistochemistry (Formalin/PFA-fixed paraffin-embedded sections) - Anti-Cytokeratin 8 antibody [EP1628Y] - Cytoskeleton Marker (AB53280)

Immunohistochemistry (Formalin/PFA-fixed paraffin-embedded sections) analysis of mouse liver tissue sections labeling Cytokeratin 8 with Purified ab53280 at 1 : 250 dilution. Heat mediated antigen retrieval was performed using ab93684 (Tris/EDTA buffer, pH 9.0). Tissue was counterstained with Hematoxylin. ImmunoHistoProbe one step HRP Polymer (ready to use) secondary antibody was used at 1 : 0 dilution. PBS instead of the primary antibody was used as the negative control.

Western blot - Anti-Cytokeratin 8 antibody [EP1628Y] - Cytoskeleton Marker (AB53280)
  • WB

Lab

Western blot - Anti-Cytokeratin 8 antibody [EP1628Y] - Cytoskeleton Marker (AB53280)

Lanes 1 - 4 : Merged signal (red and green). Green - ab53280 observed at 55 kDa. Red - loading control, ab8245 observed at 37 kDa.

ab53280 was shown to react with Cytokeratin 8 in wild-type HeLa cells. Loss of signal was observed when knockout cell line ab255400 (knockout cell lysate ab263785) was used. Wild-type and Cytokeratin 8 knockout samples were subjected to SDS-PAGE. ab53280 and Anti-GAPDH antibody [6C5] - Loading Control (ab8245) were incubated overnight at 4°C at 1 in 10000 (For unpurified use at 1/25,000 - 1/50,000) dilution and 1 in 20000 dilution respectively. Blots were developed with Goat anti-Rabbit IgG H&L (IRDye® 800CW) preadsorbed (ab216773) and Goat anti-Mouse IgG H&L (IRDye® 680RD) preadsorbed (ab216776) secondary antibodies at 1 in 20000 dilution for 1 hour at room temperature before imaging.

All lanes:

Western blot - Anti-Cytokeratin 8 antibody [EP1628Y] - Cytoskeleton Marker (ab53280) at 1/10000 dilution

Lane 1:

A431 cell lysate at 20 µg

Lane 2:

MCF7 cell lysate at 20 µg

Lane 3:

Wild-type HeLa cell lysate at 20 µg

Lane 4:

Western blot - Human KRT8 (Cytokeratin 8) knockout HeLa cell lysate (<a href='/products/cell-lysates/human-krt8-cytokeratin-8-knockout-hela-cell-lysate-ab263785'>ab263785</a>)

Lane 4:

Western blot - Human KRT8 (Cytokeratin 8) knockout HeLa cell line (<a href='/products/cell-lines/human-krt8-cytokeratin-8-knockout-hela-cell-line-ab255400'>ab255400</a>)

Secondary

All lanes:

Western blot - Goat anti-Rabbit IgG H&L (IRDye® 800CW) preadsorbed (<a href='/products/secondary-antibodies/goat-rabbit-igg-h-l-irdye-800cw-preadsorbed-ab216773'>ab216773</a>) at 1/20000 dilution

Predicted band size: 53 kDa

Observed band size: 37 kDa,52 kDa

false

Immunohistochemistry (Formalin/PFA-fixed paraffin-embedded sections) - Anti-Cytokeratin 8 antibody [EP1628Y] - Cytoskeleton Marker (AB53280)
  • IHC-P

Unknown

Immunohistochemistry (Formalin/PFA-fixed paraffin-embedded sections) - Anti-Cytokeratin 8 antibody [EP1628Y] - Cytoskeleton Marker (AB53280)

Fluorescent immunohistochemical analysis of paraffin-embedded human colonic adenocarcinoma tissue using unpurified ab53280. Green-CK8 red-PI.

Immunohistochemistry (Formalin/PFA-fixed paraffin-embedded sections) - Anti-Cytokeratin 8 antibody [EP1628Y] - Cytoskeleton Marker (AB53280)
  • IHC-P

PubMed

Immunohistochemistry (Formalin/PFA-fixed paraffin-embedded sections) - Anti-Cytokeratin 8 antibody [EP1628Y] - Cytoskeleton Marker (AB53280)

Panx1-/- mice have normal mammary gland epithelial differentiation at lactation

Immunofluorescent analysis of luminal epithelial marker keratin 8 (green) and myoepithelial marker keratin14 (red) revealed a similar staining pattern in Panx1-/- mice compared to control mice during lactation. Paraffin-embedded tissue samples.

Hoescht (blue) denotes nuclei. N = 6. Scale bars = 50 um.

Image from Stewart M.K. et al PLoS One. 2016 Apr 21;11(4):e0154162. doi: 10.1371/journal.pone.0154162. eCollection 2016.

Immunocytochemistry/ Immunofluorescence - Anti-Cytokeratin 8 antibody [EP1628Y] - Cytoskeleton Marker (AB53280)
  • ICC/IF

Unknown

Immunocytochemistry/ Immunofluorescence - Anti-Cytokeratin 8 antibody [EP1628Y] - Cytoskeleton Marker (AB53280)

Immunocytochemistry/ Immunofluorescence analysis of HT-29 (Human colorectal adenocarcinoma epithelial cell) cells labeling Cytokeratin 9 with Purified ab53280 at 1 : 500 dilution. Cells were fixed in 100% Methanol and permeabilized with None. Cells were counterstained with ab195889 Anti-alpha Tubulin antibody [DM1A] - Microtubule Marker (Alexa Fluor® 594) 1 : 200 (2.5 μg/ml). ab150077 Goat anti rabbit IgG(Alexa Fluor® 488) was used as the secondary antibody at 1 : 1000 dilution. DAPI nuclear counterstain. PBS instead of the primary antibody was used as the secondary antibody only control.

Alexa Fluor® 488 (ab192467) and Alexa Fluor® 647 (ab192468) conjugated versions are available for this clone.

Immunohistochemistry (Formalin/PFA-fixed paraffin-embedded sections) - Anti-Cytokeratin 8 antibody [EP1628Y] - Cytoskeleton Marker (AB53280)
  • IHC-P

Unknown

Immunohistochemistry (Formalin/PFA-fixed paraffin-embedded sections) - Anti-Cytokeratin 8 antibody [EP1628Y] - Cytoskeleton Marker (AB53280)

Fluorescent immunohistochemical analysis of paraffin-embedded human ovarian carcinoma tissue using unpurified ab53280. Green-CK8 red-PI.

Immunocytochemistry/ Immunofluorescence - Anti-Cytokeratin 8 antibody [EP1628Y] - Cytoskeleton Marker (AB53280)
  • ICC/IF

Unknown

Immunocytochemistry/ Immunofluorescence - Anti-Cytokeratin 8 antibody [EP1628Y] - Cytoskeleton Marker (AB53280)

Immunocytochemistry/Immunofluorescence analysis of HeLa (human cervix adenocarcinoma) labelling Cytokeratin 8 with purified ab53280 at 1/500. Cells were fixed with 4% Paraformaldehyde and permeabilised by 0.1% tritonX-100. An Alexa Fluor® 488-conjugated goat anti-rabbit IgG (1/1000) was used as the secondary antibody (ab150077). Nuclei counterstained with DAPI (blue).

Immunohistochemistry (Formalin/PFA-fixed paraffin-embedded sections) - Anti-Cytokeratin 8 antibody [EP1628Y] - Cytoskeleton Marker (AB53280)
  • IHC-P

Unknown

Immunohistochemistry (Formalin/PFA-fixed paraffin-embedded sections) - Anti-Cytokeratin 8 antibody [EP1628Y] - Cytoskeleton Marker (AB53280)

Fluorescent immunohistochemical analysis of paraffin-embedded human endometrial carcinoma tissue using unpurified ab53280. Green-CK8 red-PI.

Immunohistochemistry (Frozen sections) - Anti-Cytokeratin 8 antibody [EP1628Y] - Cytoskeleton Marker (AB53280)
  • IHC-Fr

Collaborator

Immunohistochemistry (Frozen sections) - Anti-Cytokeratin 8 antibody [EP1628Y] - Cytoskeleton Marker (AB53280)

Image : Courtesy of Dr. Shaohua Li, UMDNJ-Robert Wood Johnson Medical School

Sample : mouse embryonic stem cell-differentiated embryoid bodies (EBs)

Preparation :

Fix in 3% PFA in PBS for 30 min at RT Incubate in 7.5% sucrose-PBS for 3h at RT Incubate in 15% sucrose-PBS at 4 degree Celsius overnight Embed the EBs in tissue-Tek OCT compound Cut frozen sections to 4-20 μm thickness

Primary antibody 1 : Rabbit anti cytokeratin 8 (unpurified ab53280), 1 : 100

Primary antibody 2 : Rat anti-perlecan, 1 : 100
Secondary antibody 1 : Goat polyclonal Secondary Antibody to Rabbit IgG - H&L (Alexa Fluor® 488) pre-adsorbed (ab150081), 1 : 200

Secondary antibody 2 : Goat polyclonal Secondary Antibody to Rat IgG - H&L (Cy5®) pre-adsorbed (ab150081), 1 : 200
Nuclei were counterstained with DAPI

This image is courtesy of Dr. Shaohua Li

Immunoprecipitation - Anti-Cytokeratin 8 antibody [EP1628Y] - Cytoskeleton Marker (AB53280)
  • IP

Unknown

Immunoprecipitation - Anti-Cytokeratin 8 antibody [EP1628Y] - Cytoskeleton Marker (AB53280)

ab53280 (purified) at 1 : 20 dilution (0.2μg) immunoprecipitating Cytokeratin 8 in HeLa whole cell lysate.

Lane 1 (input) : HeLa (Human cervix adenocarcinoma epithelial cell) whole cell lysate, 10μg
Lane 2 (+) : ab53280 & HeLa whole cell lysate
Lane 3 (-) : Rabbit monoclonal IgG (ab172730) instead of ab53280 in HeLa whole cell lysate

For western blotting, VeriBlot for IP Detection Reagent (HRP) (ab131366) was used for detection at 1 : 1000 dilution.
Blocking and diluting buffer : 5% NFDM/TBST.

All lanes:

Immunoprecipitation - Anti-Cytokeratin 8 antibody [EP1628Y] - Cytoskeleton Marker (ab53280)

Predicted band size: 53 kDa

false

Western blot - Anti-Cytokeratin 8 antibody [EP1628Y] - Cytoskeleton Marker (AB53280)
  • WB

Lab

Western blot - Anti-Cytokeratin 8 antibody [EP1628Y] - Cytoskeleton Marker (AB53280)

Blocking and diluting buffer : 5% NFDM/TBST.

All lanes:

Western blot - Anti-Cytokeratin 8 antibody [EP1628Y] - Cytoskeleton Marker (ab53280) at 1/10000 dilution

Lane 1:

A431 (Human epidermoid carcinoma epithelial cell) whole cell lysates at 20 µg

Lane 2:

Human breast cancer lysates at 20 µg

Lane 3:

HaCaT (Human skin keratinocyte) whole cell lysates at 20 µg

Lane 4:

Mouse colon lysates at 20 µg

Secondary

All lanes:

Goat Anti-Rabbit IgG (HRP) with minimal cross-reactivity with human IgG at 1/2000 dilution

Predicted band size: 53 kDa

false

Western blot - Anti-Cytokeratin 8 antibody [EP1628Y] - Cytoskeleton Marker (AB53280)
  • WB

Unknown

Western blot - Anti-Cytokeratin 8 antibody [EP1628Y] - Cytoskeleton Marker (AB53280)

All lanes:

Western blot - Anti-Cytokeratin 8 antibody [EP1628Y] - Cytoskeleton Marker (ab53280) at 1/50000 dilution

All lanes:

A431 cell lysate at 10 µg

Secondary

All lanes:

Goat anti-Rabbit HRP labeled at 1/2000 dilution

Predicted band size: 53 kDa

Observed band size: 52 kDa

false

OI-RD Scanning - Anti-Cytokeratin 8 antibody [EP1628Y] - Cytoskeleton Marker (AB53280)
  • OI-RD Scanning

Unknown

OI-RD Scanning - Anti-Cytokeratin 8 antibody [EP1628Y] - Cytoskeleton Marker (AB53280)

We have systematically measured KD (the equilibrium dissociation constant between the antibody and its antigen), of more than 840 recombinant antibodies to assess not only their individual KD values but also to see the average affinity of antibody. Based on the comparison with published literature values for mouse monoclonal antibodies, Recombinant antibodies appear to be on average 1-2 order of magnitude higher affinity.

不同偶联物与剂型 (6)

  • 421 Alexa Fluor® 405

    Alexa Fluor® 405 Anti-Cytokeratin 8 antibody [EP1628Y]

  • 578 PE

    PE Anti-Cytokeratin 8 antibody [EP1628Y]

  • 519 Alexa Fluor® 488

    Alexa Fluor® 488 Anti-Cytokeratin 8 antibody [EP1628Y]

  • 665 Alexa Fluor® 647

    Alexa Fluor® 647 Anti-Cytokeratin 8 antibody [EP1628Y]

  • HRP

    HRP Anti-Cytokeratin 8 antibody [EP1628Y]

  • Carrier free

    Anti-Cytokeratin 8 antibody [EP1628Y] - BSA and Azide free

关键信息

宿主种属

Rabbit

克隆

Monoclonal

克隆号

EP1628Y

亚型

IgG

不含载体蛋白

No

反应种属

Mouse, Rat, Human

应用

Flow Cyt (Intra), WB, IP, ICC/IF, IHC-Fr, IHC-P

applications

免疫原

The exact immunogen used to generate this antibody is proprietary information.

反应性数据

{ "title": "Reactivity Data", "filters": { "stats": ["", "Species", "Dilution Info", "Notes"], "tabs": { "all-applications": {"fullname" : "All Applications", "shortname": "All Applications"}, "IP" : {"fullname" : "Immunoprecipitation", "shortname":"IP"}, "WB" : {"fullname" : "Western blot", "shortname":"WB"}, "IHCFr" : {"fullname" : "Immunohistochemistry (Frozen sections)", "shortname":"IHC-Fr"}, "ICCIF" : {"fullname" : "Immunocytochemistry/ Immunofluorescence", "shortname":"ICC/IF"}, "FlowCytIntra" : {"fullname" : "Flow Cytometry (Intracellular)", "shortname":"Flow Cyt (Intra)"}, "IHCP" : {"fullname" : "Immunohistochemistry (Formalin/PFA-fixed paraffin-embedded sections)", "shortname":"IHC-P"} }, "product-promise": { "all": "all", "testedAndGuaranteed": "tested", "guaranteed": "expected", "predicted": "predicted", "notRecommended": "not-recommended" } }, "values": { "Human": { "IP-species-checked": "testedAndGuaranteed", "IP-species-dilution-info": "1/20", "IP-species-notes": "<p><strong>For unpurified use at 1:70.</strong></p>", "WB-species-checked": "testedAndGuaranteed", "WB-species-dilution-info": "1/10000", "WB-species-notes": "<p><strong>For unpurified use at 1/25,000 - 1/50,000.</strong></p>", "IHCFr-species-checked": "guaranteed", "IHCFr-species-dilution-info": "", "IHCFr-species-notes": "", "ICCIF-species-checked": "testedAndGuaranteed", "ICCIF-species-dilution-info": "1/100 - 1/500", "ICCIF-species-notes": "<p></p>", "FlowCytIntra-species-checked": "testedAndGuaranteed", "FlowCytIntra-species-dilution-info": "1/20", "FlowCytIntra-species-notes": "<p><a href='/products/primary-antibodies/rabbit-igg-monoclonal-epr25a-isotype-control-ab172730'>ab172730</a> - Rabbit monoclonal IgG, is suitable for use as an isotype control with this antibody.</p>", "IHCP-species-checked": "testedAndGuaranteed", "IHCP-species-dilution-info": "1/250", "IHCP-species-notes": "<p></p> Perform heat-mediated antigen retrieval with Tris/EDTA buffer pH 9.0 before commencing with IHC staining protocol." }, "Mouse": { "IP-species-checked": "guaranteed", "IP-species-dilution-info": "", "IP-species-notes": "", "WB-species-checked": "testedAndGuaranteed", "WB-species-dilution-info": "1/10000", "WB-species-notes": "<p><strong>For unpurified use at 1/25,000 - 1/50,000.</strong></p>", "IHCFr-species-checked": "testedAndGuaranteed", "IHCFr-species-dilution-info": "", "IHCFr-species-notes": "<p></p>", "ICCIF-species-checked": "guaranteed", "ICCIF-species-dilution-info": "", "ICCIF-species-notes": "", "FlowCytIntra-species-checked": "testedAndGuaranteed", "FlowCytIntra-species-dilution-info": "1/20", "FlowCytIntra-species-notes": "<p><a href='/products/primary-antibodies/rabbit-igg-monoclonal-epr25a-isotype-control-ab172730'>ab172730</a> - Rabbit monoclonal IgG, is suitable for use as an isotype control with this antibody.</p>", "IHCP-species-checked": "testedAndGuaranteed", "IHCP-species-dilution-info": "1/250", "IHCP-species-notes": "<p></p> Perform heat-mediated antigen retrieval with Tris/EDTA buffer pH 9.0 before commencing with IHC staining protocol." }, "Rat": { "IP-species-checked": "guaranteed", "IP-species-dilution-info": "1/20", "IP-species-notes": "<p><strong>For unpurified use at 1:70.</strong></p>", "WB-species-checked": "guaranteed", "WB-species-dilution-info": "1/10000", "WB-species-notes": "<p><strong>For unpurified use at 1/25,000 - 1/50,000.</strong></p>", "IHCFr-species-checked": "predicted", "IHCFr-species-dilution-info": "", "IHCFr-species-notes": "", "ICCIF-species-checked": "guaranteed", "ICCIF-species-dilution-info": "1/100 - 1/500", "ICCIF-species-notes": "<p></p>", "FlowCytIntra-species-checked": "predicted", "FlowCytIntra-species-dilution-info": "", "FlowCytIntra-species-notes": "", "IHCP-species-checked": "guaranteed", "IHCP-species-dilution-info": "1/250", "IHCP-species-notes": "<p></p> Perform heat-mediated antigen retrieval with Tris/EDTA buffer pH 9.0 before commencing with IHC staining protocol." } } }

产品详情

Anti-Cytokeratin 8 antibody [EP1628Y] - Cytoskeleton Marker (ab53280) was developed by Abcam using patented rabbit monoclonal antibody technology and is validated for use in Flow Cyt (Intra), ICC/IF, IHC-Fr, IHC-P, IP, WB in human, mouse, rat samples.

Anti-Cytokeratin 8 antibody [EP1628Y] - Cytoskeleton Marker (ab53280) has been cited over 135 times in peer reviewed journals and is trusted by the scientific community.

Abcams high quality manufacturing and validation processes ensure Anti-Cytokeratin 8 antibody [EP1628Y] - Cytoskeleton Marker (ab53280) has high sensitivity and specificity alongside high lot-to-lot consistency and reproducibility.

The specificity of Anti-Cytokeratin 8 antibody [EP1628Y] - Cytoskeleton Marker (ab53280) has been confirmed by testing in knockout samples.

Anti-Cytokeratin 8 antibody [EP1628Y] - Cytoskeleton Marker (ab53280) has 9 independent reviews from customers.

Anti-Cytokeratin 8 antibody [EP1628Y] - Cytoskeleton Marker (ab53280) specifically detects Cytokeratin 8 (UniProt ID: P05787; Molecular weight: 54kDa) and is sold in 100 uL and 1 mL selling sizes.

Conjugation-ready, carrier free format available for antibody clone EP1628Y - ab217173.

Antibody clone EP1628Y is also available pre-conjugated to a variety of labels for your convenience - Alexa Fluor® 488, Alexa Fluor® 647, HRP, PE, Alexa Fluor® 45 (ab192467, ab192468, ab19394, ab29297, ab21139).

Cytokeratin 8 (CK8) is a type II cytoskeletal keratin protein that is used as a diagnostic marker to differentiate various carcinomas. CK8 is involved in cell signaling, attachment, and stress adaptation, which are crucial for cancer cell survival and progression.

Patented technology
Our RabMAb® technology is a patented hybridoma-based technology for making rabbit monoclonal antibodies. For details on our patents, please refer to RabMAb® patents.

What are the advantages of a recombinant monoclonal antibody?
This product is a recombinant monoclonal antibody, which offers several advantages including:

  • - High batch-to-batch consistency and reproducibility
  • - Improved sensitivity and specificity
  • - Long-term security of supply
  • - Animal-free batch production

For more information, read more on recombinant antibodies.

Species reactivity
Rat: We have preliminary internal testing data to indicate this antibody may not react with this species.
Please contact us for more information.

性能和储存信息

形式
Liquid
纯化工艺
Affinity purification Protein A
存储溶液
pH: 7.2 - 7.4 Preservative: 0.01% Sodium azide Constituents: 59% PBS, 40% Glycerol (glycerin, glycerine), 0.05% BSA
运输条件
Blue Ice
推荐的短期储存时间
1-2 weeks
推荐的短期储存条件
+4°C
推荐的长期储存条件
-20°C
分装信息
Upon delivery aliquot
储存信息
Avoid freeze / thaw cycle

产品实验方案

For this product, it's our understanding that no specific protocols are required. You can visit:

靶点信息

Together with KRT19, helps to link the contractile apparatus to dystrophin at the costameres of striated muscle.
See full target information KRT8

文献 (197)

Recent publications for all applications. Explore the full list and refine your search

Nature genetics 57:2468-2481 PubMed41044247

2025

Targeting histone H2B acetylated enhanceosomes via p300/CBP degradation in prostate cancer.

Applications

Unspecified application

Species

Unspecified reactive species

Jie Luo,Zhixiang Chen,Yuanyuan Qiao,Jean Ching-Yi Tien,Eleanor Young,Rahul Mannan,Somnath Mahapatra,Rupam Bhattacharyya,Lanbo Xiao,Tongchen He,Sanjana Eyunni,Yuping Zhang,Yang Zheng,Fengyun Su,Xuhong Cao,Rui Wang,Yunhui Cheng,Rithvik Seri,James George,Miriam Shahine,Stephanie J Miner,Matthew G Rees,Melissa M Ronan,Jennifer A Roth,Ulka Vaishampayan,Mi Wang,Shaomeng Wang,Abhijit Parolia,Arul M Chinnaiyan

Nature communications 16:8822 PubMed41044182

2025

SFPQ-TFE3 reciprocally regulates mTORC1 and induces lineage plasticity in a mouse model of renal tumorigenesis.

Applications

Unspecified application

Species

Unspecified reactive species

Kaushal Asrani,Adrianna Amaral,Juhyung Woo,Sanaz Nourmohammadi Abadchi,Thiago Vidotto,Eddie Imada,Alyza Skaist,Kewen Feng,Hans B Liu,Mithila Kasbe,Yorifumi Satou,Masaya Baba,Yuichi Oike,Patricia Outeda,Terry Watnick,Avi Z Rosenberg,Laura S Schmidt,W Marston Linehan,Pedram Argani,Tamara L Lotan

Nature genetics 57:2177-2191 PubMed40858905

2025

ERG-driven prostate cancer initiation is cell-context dependent and requires KMT2A and DOT1L.

Applications

Unspecified application

Species

Unspecified reactive species

Weiran Feng,Erik Ladewig,Matthew Lange,Nazifa Salsabeel,Huiyong Zhao,Young Sun Lee,Anuradha Gopalan,Hanzhi Luo,Wenfei Kang,Ning Fan,Eric Rosiek,Elisa de Stanchina,Yu Chen,Brett S Carver,Christina S Leslie,Charles L Sawyers

PloS one 20:e0329503 PubMed40825003

2025

Cysteine dioxygenase knockout and taurine deficiency impair mouse uterine adenogenesis by inhibiting epithelial cell proliferation and enhancing apoptosis.

Applications

Unspecified application

Species

Unspecified reactive species

Hui Liu,Yuneng Gong,Xiaoyan Qu,Sheng Cui,Di Zhang

International journal of oral science 17:57 PubMed40730572

2025

c-Kit signaling confers damage-resistance to sweet taste cells upon nerve injury.

Applications

Unspecified application

Species

Unspecified reactive species

Su Young Ki,Jea Hwa Jang,Dong-Hoon Kim,Yong Taek Jeong

Nature communications 16:6200 PubMed40615395

2025

Divide-and-conquer strategy with engineered ossification center organoids for rapid bone healing through developmental cell recruitment.

Applications

Unspecified application

Species

Unspecified reactive species

Xianzhu Zhang,Wei Jiang,Xinyu Wu,Chang Xie,Yi Zhang,Liying Li,Yuqing Gu,Zihao Hu,Xinrang Zhai,Renjie Liang,Tao Zhang,Wei Sun,Jinchun Ye,Wei Wei,Xiaozhao Wang,Yi Hong,Shufang Zhang,Youzhi Cai,Xiaohui Zou,Yihe Hu,Hongwei Ouyang

Science (New York, N.Y.) 389:eadv2367 PubMed40570057

2025

Divergent FOXA1 mutations drive prostate tumorigenesis and therapy-resistant cellular plasticity.

Applications

Unspecified application

Species

Unspecified reactive species

Sanjana Eyunni,Rahul Mannan,Yuping Zhang,Eleanor Young,Qiuyang Zhang,Jie Luo,Matthew Pang,Somnath Mahapatra,Jean Ching-Yi Tien,James M George,Mustapha Jaber,Hamzah Hakkani,Sandra E Carson,Abigail J Todd,Noshad Hosseini,Mahnoor Gondal,Ryan J Rebernick,Xuhong Cao,Fengyun Su,Rui Wang,Rohit Mehra,Jing Li,Marcin Cieslik,Arul M Chinnaiyan,Abhijit Parolia

Nature communications 16:3748 PubMed40258811

2025

Targeted immunotherapy rescues pulmonary fibrosis by reducing activated fibroblasts and regulating alveolar cell profile.

Applications

Unspecified application

Species

Unspecified reactive species

Jing Yan,Song-Yu Wang,Qi Su,Min-Wen Zou,Zi-Yue Zhou,Jian Shou,Yunlong Huo

Cancer immunology research 13:729-748 PubMed40249209

2025

Antitumor CD4+ T Helper 1 Cells Target and Control the Outgrowth of Disseminated Cancer Cells.

Applications

Unspecified application

Species

Unspecified reactive species

Ganesan Ramamoorthi,Marie Catherine Lee,Carly M Farrell,Colin Snyder,Saurabh K Garg,Amy L Aldrich,Vincent Lok,William Dominguez-Viqueira,Sy K Olson-Mcpeek,Marilin Rosa,Namrata Gautam,Shari Pilon-Thomas,Ling Cen,Krithika N Kodumudi,Doris Wiener,Thordur Oskarsson,Ana P Gomes,Robert A Gatenby,Brian J Czerniecki

eLife 13: PubMed40213945

2025

Loss function of tumor suppressor FRMD8 confers resistance to tamoxifen therapy via a dual mechanism.

Applications

Unspecified application

Species

Unspecified reactive species

Weijie Wu,Miao Yu,Qianchen Li,Yiqian Zhao,Lei Zhang,Yi Sun,Zhenbin Wang,Yuqing Gong,Wenjing Wang,Chenying Liu,Jing Zhang,Yan Tang,Xiaojie Xu,Xiaojing Guo,Jun Zhan,Hongquan Zhang
View all publications

Abcam Product Promise

我们致力于为您的研究提供高质量的试剂,为您科研的每一步提供支持。若我们的产品未能达到预期性能,我们向您提供 Abcam Product Promise 保障。
详情请参阅我们的条款与条件。

Please note: All products are 'FOR RESEARCH USE ONLY. NOT FOR USE IN DIAGNOSTIC OR THERAPEUTIC PROCEDURES'.

For licensing inquiries, please contact partnerships@abcam.com