JavaScript is disabled in your browser. Please enable JavaScript to view this website.
AB68459

重组Anti-Cytokeratin 7抗体[EPR1619Y] - Cytoskeleton Marker

Anti-Cytokeratin 7 antibody [EPR1619Y] - Cytoskeleton Marker

  • KO Validated
  • RabMAb
  • Recombinant
  • Lab Essentials
  • 了解详情

5

(1 Review)

|

(41 Publications)

Anti-Cytokeratin 7 antibody [EPR1619Y] - Cytoskeleton Marker (ab68459) is a rabbit monoclonal antibody detecting Cytokeratin 7 in Western Blot, Flow Cytometry (Intra), Flow Cytometry, IP, IHC-P, ICC/IF. Suitable for Human.

- KO validated for confirmed specificity
- Biophysical QC for unrivalled batch-batch consistency
- Over 30 publications
- Trusted since 2008

查看别名

SCL, KRT7, Cytokeratin-7, Keratin-7, Sarcolectin, Type-II keratin Kb7, CK-7, K7

16 Images
Immunohistochemistry (Formalin/PFA-fixed paraffin-embedded sections) - Anti-Cytokeratin 7 antibody [EPR1619Y] - Cytoskeleton Marker (AB68459)
  • IHC-P

Unknown

Immunohistochemistry (Formalin/PFA-fixed paraffin-embedded sections) - Anti-Cytokeratin 7 antibody [EPR1619Y] - Cytoskeleton Marker (AB68459)

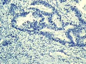
ab68459 showing negative staining in human colonic adenocarcinoma tissue.

Perform heat mediated antigen retrieval before commencing with IHC staining protocol.

Immunohistochemistry (Formalin/PFA-fixed paraffin-embedded sections) - Anti-Cytokeratin 7 antibody [EPR1619Y] - Cytoskeleton Marker (AB68459)
  • IHC-P

Unknown

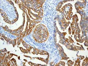
Immunohistochemistry (Formalin/PFA-fixed paraffin-embedded sections) - Anti-Cytokeratin 7 antibody [EPR1619Y] - Cytoskeleton Marker (AB68459)

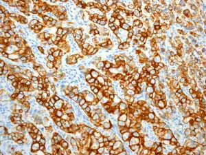
Immunohistochemistry (Formalin/PFA-fixed paraffin-embedded sections) analysis of human urinary bladder transitional carcinoma tissue labelling Cytokeratin 7 with unpurified ab68459.

Perform heat mediated antigen retrieval before commencing with IHC staining protocol.

Immunohistochemistry (Formalin/PFA-fixed paraffin-embedded sections) - Anti-Cytokeratin 7 antibody [EPR1619Y] - Cytoskeleton Marker (AB68459)
  • IHC-P

Unknown

Immunohistochemistry (Formalin/PFA-fixed paraffin-embedded sections) - Anti-Cytokeratin 7 antibody [EPR1619Y] - Cytoskeleton Marker (AB68459)

ab68459 showing negative staining in human sarcoma tissue.

Perform heat mediated antigen retrieval before commencing with IHC staining protocol.

Immunohistochemistry (Formalin/PFA-fixed paraffin-embedded sections) - Anti-Cytokeratin 7 antibody [EPR1619Y] - Cytoskeleton Marker (AB68459)
  • IHC-P

Lab

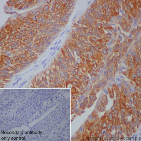
Immunohistochemistry (Formalin/PFA-fixed paraffin-embedded sections) - Anti-Cytokeratin 7 antibody [EPR1619Y] - Cytoskeleton Marker (AB68459)

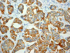
Immunohistochemistry (Formalin/PFA-fixed paraffin-embedded sections) analysis of human bladder carcinoma tissue labelling Cytokeratin 7 with purified ab68459 at a dilution of 1/1000. Heat mediated antigen retrieval was performed using EDTA buffer pH 9. ab97051, a HRP-conjugated goat anti-rabbit IgG (H+L) was used as the secondary antibody (1/500). Negative control using PBS instead of primary antibody. Counterstained with hematoxylin.

Immunocytochemistry/ Immunofluorescence - Anti-Cytokeratin 7 antibody [EPR1619Y] - Cytoskeleton Marker (AB68459)
  • ICC/IF

Unknown

Immunocytochemistry/ Immunofluorescence - Anti-Cytokeratin 7 antibody [EPR1619Y] - Cytoskeleton Marker (AB68459)

Immunocytochemistry/Immunofluorescence analysis of HeLa cells labelling Cytokerain 7 with unpurified ab68459 at a dilution of 1/100.

Flow Cytometry (Intracellular) - Anti-Cytokeratin 7 antibody [EPR1619Y] - Cytoskeleton Marker (AB68459)
  • Flow Cyt (Intra)

Unknown

Flow Cytometry (Intracellular) - Anti-Cytokeratin 7 antibody [EPR1619Y] - Cytoskeleton Marker (AB68459)

Overlay histogram showing HeLa cells stained with unpurified ab68459 (red line). The cells were fixed with 80% methanol (5 min) and then permeabilized with 0.1% PBS-Tween for 20 min. The cells were then incubated in 1x PBS / 10% normal goat serum / 0.3M glycine to block non-specific protein-protein interactions followed by the antibody (unpurified ab68459, 1/100 dilution) for 30 min at 22°C. The secondary antibody used was DyLight® 488 goat anti-rabbit IgG (H+L) (ab96899) at 1/500 dilution for 30 min at 22°C. Isotype control antibody (black line) was rabbit IgG (monoclonal) (1μg/1x106 cells) used under the same conditions. Acquisition of >5,000 events was performed.

Immunocytochemistry/ Immunofluorescence - Anti-Cytokeratin 7 antibody [EPR1619Y] - Cytoskeleton Marker (AB68459)
  • ICC/IF

Lab

Immunocytochemistry/ Immunofluorescence - Anti-Cytokeratin 7 antibody [EPR1619Y] - Cytoskeleton Marker (AB68459)

Immunocytochemistry/Immunofluorescence analysis of T47D cells labelling Cytokeratin 7 with purified ab68459 at a dilution of 1/100. Cells were fixed with 4% paraformaldehyde and permeabilized with 0.1% Triton X-100. ab150077, an Alexa Fluor® 488-conjugated goat anti-rabbit IgG (1/1000) was used as the secondary antibody. DAPI (blue) was used as the nuclear counterstain. ab7291, a mouse anti-tubulin (1/1000) and ab150120, an Alexa Fluor® 594-conjugated goat anti-mouse IgG (1/1000) were also used.

Control 1 : primary antibody (1/100) and secondary antibody, ab150120, an Alexa Fluor® 594-conjugated goat anti-mouse IgG (1/1000).

Control 2 : ab7291 (1/1000) and secondary antibody, ab150077, an Alexa Fluor® 488-conjugated goat anti-rabbit IgG (1/1000).

Alexa Fluor® 488 (ab185048) and Alexa Fluor® 647 (ab192077) conjugated versions are available for this clone.

Immunohistochemistry (Formalin/PFA-fixed paraffin-embedded sections) - Anti-Cytokeratin 7 antibody [EPR1619Y] - Cytoskeleton Marker (AB68459)
  • IHC-P

Unknown

Immunohistochemistry (Formalin/PFA-fixed paraffin-embedded sections) - Anti-Cytokeratin 7 antibody [EPR1619Y] - Cytoskeleton Marker (AB68459)

Immunohistochemistry (Formalin/PFA-fixed paraffin-embedded sections) analysis of human breast carcinoma tissue labelling Cytokeratin 7 with unpurified ab68459.

Perform heat mediated antigen retrieval before commencing with IHC staining protocol.

Flow Cytometry (Intracellular) - Anti-Cytokeratin 7 antibody [EPR1619Y] - Cytoskeleton Marker (AB68459)
  • Flow Cyt (Intra)

Lab

Flow Cytometry (Intracellular) - Anti-Cytokeratin 7 antibody [EPR1619Y] - Cytoskeleton Marker (AB68459)

Intracellular Flow Cytometry analysis of HeLa cells labelling Cytokeratin 7 with purified ab68459 at a dilution of 1/20 (red). Cells were fixed with 80% methanol. An Alexa Fluorr®488-conjugated goat anti-rabbit IgG (1/500) was used as the secondary antibody. Black - Isotype control, rabbit monoclonal IgG. Blue - Unlabelled control, cells without incubation with primary and secondary antibodies.

Alexa Fluorr®488 (ab185048) and Alexa Fluorr®647 (ab192077) conjugated versions are available for this clone.

Immunohistochemistry (Formalin/PFA-fixed paraffin-embedded sections) - Anti-Cytokeratin 7 antibody [EPR1619Y] - Cytoskeleton Marker (AB68459)
  • IHC-P

Unknown

Immunohistochemistry (Formalin/PFA-fixed paraffin-embedded sections) - Anti-Cytokeratin 7 antibody [EPR1619Y] - Cytoskeleton Marker (AB68459)

Immunohistochemistry (Formalin/PFA-fixed paraffin-embedded sections) analysis of human endometrial carcinoma tissue labelling Cytokeratin 7 with unpurified ab68459.

Perform heat mediated antigen retrieval before commencing with IHC staining protocol.

Immunohistochemistry (Formalin/PFA-fixed paraffin-embedded sections) - Anti-Cytokeratin 7 antibody [EPR1619Y] - Cytoskeleton Marker (AB68459)
  • IHC-P

Unknown

Immunohistochemistry (Formalin/PFA-fixed paraffin-embedded sections) - Anti-Cytokeratin 7 antibody [EPR1619Y] - Cytoskeleton Marker (AB68459)

Immunohistochemistry (Formalin/PFA-fixed paraffin-embedded sections) analysis of human ovarian carcinoma tissue labelling Cytokeratin 7 with unpurified ab68459.

Perform heat mediated antigen retrieval before commencing with IHC staining protocol.

Immunoprecipitation - Anti-Cytokeratin 7 antibody [EPR1619Y] - Cytoskeleton Marker (AB68459)
  • IP

Lab

Immunoprecipitation - Anti-Cytokeratin 7 antibody [EPR1619Y] - Cytoskeleton Marker (AB68459)

ab68459 (purified) at 1/20 immunoprecipitating Cytokeratin 7 in HeLa whole cell lysate.

Lane 1 (input) : HeLa whole cell lysate (10μg)

Lane 2 (+) : ab68459 + HeLa whole cell lysate.

Lane 3 (-) : Rabbit monoclonal IgG (ab172730) instead of ab68459 in HeLa whole cell lysate.

For western blotting, VeriBlot for IP Detection Reagent (HRP) (ab131366), was used for detection at 1/1000 dilution.

Blocking buffer and concentration : 5% NFDM/TBST.

Diluting buffer and concentration : 5% NFDM /TBST.

All lanes:

Immunoprecipitation - Anti-Cytokeratin 7 antibody [EPR1619Y] - Cytoskeleton Marker (ab68459)

Predicted band size: 51 kDa

Observed band size: 51 kDa

false

Western blot - Anti-Cytokeratin 7 antibody [EPR1619Y] - Cytoskeleton Marker (AB68459)
  • WB

Lab

Western blot - Anti-Cytokeratin 7 antibody [EPR1619Y] - Cytoskeleton Marker (AB68459)

Blocking and dilution buffer : 5% NFDM/TBST.

All lanes:

Western blot - Anti-Cytokeratin 7 antibody [EPR1619Y] - Cytoskeleton Marker (ab68459) at 1/10000 dilution

Lane 1:

HeLa whole cell lysate at 20 µg

Lane 2:

SK-OV-3 whole cell lysate at 20 µg

Lane 3:

T47D whole cell lysate at 20 µg

Secondary

All lanes:

Western blot - Goat Anti-Rabbit IgG H&L (HRP) (<a href='/products/secondary-antibodies/goat-rabbit-igg-h-l-hrp-ab97051'>ab97051</a>) at 1/20000 dilution

Predicted band size: 51 kDa

Observed band size: 51 kDa

false

Western blot - Anti-Cytokeratin 7 antibody [EPR1619Y] - Cytoskeleton Marker (AB68459)
  • WB

Unknown

Western blot - Anti-Cytokeratin 7 antibody [EPR1619Y] - Cytoskeleton Marker (AB68459)

All lanes:

Western blot - Anti-Cytokeratin 7 antibody [EPR1619Y] - Cytoskeleton Marker (ab68459) at 1/10000 dilution

Lane 1:

HeLa cell lysate at 10 µg

Lane 2:

T47D cell lysate at 10 µg

Secondary

All lanes:

HRP-conjugated goat anti-rabbit IgG at 1/2000 dilution

Predicted band size: 51 kDa

Observed band size: 51 kDa

false

Western blot - Anti-Cytokeratin 7 antibody [EPR1619Y] - Cytoskeleton Marker (AB68459)
  • WB

Lab

Western blot - Anti-Cytokeratin 7 antibody [EPR1619Y] - Cytoskeleton Marker (AB68459)

Lanes 1 - 4 : Merged signal (red and green). Green - ab68459 observed at 50 kDa. Red - loading control, ab8245, observed at 37 kDa.

ab68459 was shown to specifically react with KRT7 (Cytokeratin 7) in wild-type A549 cells as signal was lost in KRT7 knockout cells. Wild-type and KRT7 knockout samples were subjected to SDS-PAGE. ab68459 and ab8245 (Mouse anti-GAPDH loading control) were incubated overnight at 4°C at 1/5000 dilution and 1/20000 dilution respectively. Blots were developed with Goat anti-Rabbit IgG H&L (IRDye® 800CW) preabsorbed ab216773 and Goat anti-Mouse IgG H&L (IRDye® 680RD) preabsorbed ab216776 secondary antibodies at 1/20000 dilution for 1 hour at room temperature before imaging.

All lanes:

Western blot - Anti-Cytokeratin 7 antibody [EPR1619Y] - Cytoskeleton Marker (ab68459) at 1/5000 dilution

Lane 1:

Wild-type A549 (Human lung carcinoma cell line) whole cell lysate at 20 µg

Lane 2:

Western blot - Human KRT7 knockout A549 cell line (<a href='/products/cell-lines/human-krt7-knockout-a549-cell-line-ab261867'>ab261867</a>) at 20 µg

Lane 3:

HeLa (Human epithelial cell line from cervix adenocarcinoma) whole cell lysate at 20 µg

Lane 4:

MCF7 (Human breast adenocarcinoma cell line) whole cell lysate at 20 µg

Predicted band size: 51 kDa

Observed band size: 50 kDa

false

OI-RD Scanning - Anti-Cytokeratin 7 antibody [EPR1619Y] - Cytoskeleton Marker (AB68459)
  • OI-RD Scanning

Unknown

OI-RD Scanning - Anti-Cytokeratin 7 antibody [EPR1619Y] - Cytoskeleton Marker (AB68459)

We have systematically measured KD (the equilibrium dissociation constant between the antibody and its antigen), of more than 840 recombinant antibodies to assess not only their individual KD values but also to see the average affinity of antibody. Based on the comparison with published literature values for mouse monoclonal antibodies, Recombinant antibodies appear to be on average 1-2 order of magnitude higher affinity.

不同偶联物与剂型 (6)

  • 578 PE

    PE Anti-Cytokeratin 7 antibody [EPR1619Y] - Cytoskeleton Marker

  • 665 Alexa Fluor® 647

    Alexa Fluor® 647 Anti-Cytokeratin 7 antibody [EPR1619Y] - Cytoskeleton Marker

  • 519 Alexa Fluor® 488

    Alexa Fluor® 488 Anti-Cytokeratin 7 antibody [EPR1619Y] - Cytoskeleton Marker

  • 565 Alexa Fluor® 555

    Alexa Fluor® 555 Anti-Cytokeratin 7 antibody [EPR1619Y] - Cytoskeleton Marker

  • Carrier free

    Anti-Cytokeratin 7 antibody [EPR1619Y] - BSA and Azide free

  • 617 Alexa Fluor® 594

    Alexa Fluor® 594 Anti-Cytokeratin 7 antibody [EPR1619Y] - Cytoskeleton Marker

关键信息

宿主种属

Rabbit

克隆

Monoclonal

克隆号

EPR1619Y

亚型

IgG

不含载体蛋白

No

反应种属

Human

应用

WB, IP, Flow Cyt (Intra), IHC-P, ICC/IF

applications

免疫原

The exact immunogen used to generate this antibody is proprietary information.

反应性数据

{ "title": "Reactivity Data", "filters": { "stats": ["", "Species", "Dilution Info", "Notes"], "tabs": { "all-applications": {"fullname" : "All Applications", "shortname": "All Applications"}, "IHCP" : {"fullname" : "Immunohistochemistry (Formalin/PFA-fixed paraffin-embedded sections)", "shortname":"IHC-P"}, "IP" : {"fullname" : "Immunoprecipitation", "shortname":"IP"}, "WB" : {"fullname" : "Western blot", "shortname":"WB"}, "ICCIF" : {"fullname" : "Immunocytochemistry/ Immunofluorescence", "shortname":"ICC/IF"}, "FlowCytIntra" : {"fullname" : "Flow Cytometry (Intracellular)", "shortname":"Flow Cyt (Intra)"} }, "product-promise": { "all": "all", "testedAndGuaranteed": "tested", "guaranteed": "expected", "predicted": "predicted", "notRecommended": "not-recommended" } }, "values": { "Human": { "IHCP-species-checked": "testedAndGuaranteed", "IHCP-species-dilution-info": "1/1000", "IHCP-species-notes": "<p><strong>For unpurified use at 1/100 - 1/250.</strong></p>", "IP-species-checked": "testedAndGuaranteed", "IP-species-dilution-info": "1/20 - 1/30", "IP-species-notes": "<p></p>", "WB-species-checked": "testedAndGuaranteed", "WB-species-dilution-info": "1/5000 - 1/10000", "WB-species-notes": "<p></p>", "ICCIF-species-checked": "testedAndGuaranteed", "ICCIF-species-dilution-info": "1/100 - 1/250", "ICCIF-species-notes": "<p></p>", "FlowCytIntra-species-checked": "testedAndGuaranteed", "FlowCytIntra-species-dilution-info": "1/20 - 1/30", "FlowCytIntra-species-notes": "<p><a href='/products/primary-antibodies/rabbit-igg-monoclonal-epr25a-isotype-control-ab172730'>ab172730</a> - Rabbit monoclonal IgG, is suitable for use as an isotype control with this antibody.</p>" } } }

产品详情

What is this antibody validated in?
Anti-Cytokeratin 7 antibody [EPR1619Y] - Cytoskeleton Marker (ab68459) is a rabbit recombinant monoclonal antibody and is validated for use in Western Blot (WB), Flow Cytometry (Intra), Flow Cytometry (Flow Cyt), Immunoprecipitation (IP), Immunohistochemistry (IHC-P), Immunocytochemistry/immunofluorescence (ICC/IF) in Human samples.

What is the molecular weight of Cytokeratin 7?
Anti-Cytokeratin 7 [EPR1619Y] - Cytoskeleton Marker (ab68459) specifically detects a band for Cytokeratin 7 (UniProt: P08729) at a molecular weight of 51kDa.

Trusted by the scientific community
Anti-Cytokeratin 7 [EPR1619Y] - Cytoskeleton Marker (ab68459) was first used in a scientific publication in 2008 and has been cited over 30 times in peer-reviewed journals.

Trial sizes available!
Test your antibody or perform pre-screening before committing to a larger quantity. Sold in 10µl. Discover our selection of trial-size antibodies.

Specificity confirmed
The specificity of Anti-Cytokeratin 7 antibody [EPR1619Y] - Cytoskeleton Marker (ab68459) has been confirmed by Western blot testing in KRT7 Knockout A549 cells.

Other related products
We have a range of other formats of antibody clone [EPR1619Y] also available for your convenience: ab68459, Carrier free - ab181831, Alexa Fluor® 488 - ab185048, Alexa Fluor® 647 - ab192077, HRP - ab192079, Alexa Fluor® 594 - ab203427, Alexa Fluor® 555 - ab203434, PE - ab210628, Carrier free - ab302460

Patented technology
Our RabMAb® technology is a patented hybridoma-based technology for making rabbit monoclonal antibodies. For details on our patents, please refer to RabMAb® patents.

What are the advantages of a recombinant monoclonal antibody?
This product is a recombinant monoclonal antibody, which offers several advantages including:

  • - High batch-to-batch consistency and reproducibility
  • - Improved sensitivity and specificity
  • - Long-term security of supply
  • - Animal-free batch production

For more information, read more on recombinant antibodies.

性能和储存信息

形式
Liquid
纯化工艺
Affinity purification Protein A
存储溶液
pH: 7.2 - 7.4 Preservative: 0.01% Sodium azide Constituents: 59% PBS, 40% Glycerol (glycerin, glycerine), 0.05% BSA
运输条件
Blue Ice
推荐的短期储存时间
1-2 weeks
推荐的短期储存条件
+4°C
推荐的长期储存条件
-20°C
分装信息
Upon delivery aliquot
储存信息
Avoid freeze / thaw cycle

产品实验方案

For this product, it's our understanding that no specific protocols are required. You can visit:

靶点信息

Blocks interferon-dependent interphase and stimulates DNA synthesis in cells. Involved in the translational regulation of the human papillomavirus type 16 E7 mRNA (HPV16 E7).
See full target information KRT7

文献 (41)

Recent publications for all applications. Explore the full list and refine your search

Skin research and technology : official journal of International Society for Bioengineering and the Skin (ISBS) [and] International Society for Digital Imaging of Skin (ISDIS) [and] International Society for Skin Imaging (ISSI) 29:e13497 PubMed37881057

2023

Whole genome methylation sequencing reveals epigenetic landscape and abnormal expression of FABP5 in extramammary Paget's disease.

Applications

Unspecified application

Species

Unspecified reactive species

Ziwei Kang,Long Jiang,Diyan Chen,Guorong Yan,Guolong Zhang,Yongxian Lai,Qingyu Zeng,Xiuli Wang

Nature communications 14:3395 PubMed37296117

2023

Transparent tissue in solid state for solvent-free and antifade 3D imaging.

Applications

Unspecified application

Species

Unspecified reactive species

Fu-Ting Hsiao,Hung-Jen Chien,Ya-Hsien Chou,Shih-Jung Peng,Mei-Hsin Chung,Tzu-Hui Huang,Li-Wen Lo,Chia-Ning Shen,Hsiu-Pi Chang,Chih-Yuan Lee,Chien-Chia Chen,Yung-Ming Jeng,Yu-Wen Tien,Shiue-Cheng Tang

BMC pregnancy and childbirth 23:235 PubMed37038114

2023

High TXNIP expression accelerates the migration and invasion of the GDM placenta trophoblast.

Applications

Unspecified application

Species

Unspecified reactive species

Rina Sa,Jing Ma,Jie Yang,Dong Fang Li,Jie Du,Jian Chao Jia,Zhi Ying Li,Na Huang,Lamusi A,Rula Sha,Gal Nai,Bayar Hexig,Ji Qing Meng,Lan Yu

Stem cells translational medicine 12:154-168 PubMed36893290

2023

Exosome-Based Regimen Rescues Endometrial Fibrosis in Intrauterine Adhesions Via Targeting Clinical Fibrosis Biomarkers.

Applications

Unspecified application

Species

Unspecified reactive species

Yifeng Lin,Yaoshen Li,Panpan Chen,Yanye Zhang,Jiwei Sun,Xiao Sun,Jiaqun Li,Jiani Jin,Jinglei Xue,Junyan Zheng,Xin-Chi Jiang,Chuan Chen,Xiaoqing Li,Yiqing Wu,Wei Zhao,Juan Liu,Xiaohang Ye,Runju Zhang,Jianqing Gao,Dan Zhang

Molecular therapy. Methods & clinical development 28:220-237 PubMed36700121

2023

Characterization of the humanized FRG mouse model and development of an AAV-LK03 variant with improved liver lobular biodistribution.

Applications

Unspecified application

Species

Unspecified reactive species

Marti Cabanes-Creus,Renina Gale Navarro,Sophia H Y Liao,Suzanne Scott,Rodrigo Carlessi,Ramon Roca-Pinilla,Maddison Knight,Grober Baltazar,Erhua Zhu,Matthew Jones,Elena Denisenko,Alistair R R Forrest,Ian E Alexander,Janina E E Tirnitz-Parker,Leszek Lisowski

Sichuan da xue xue bao. Yi xue ban = Journal of Sichuan University. Medical science edition 53:1021-1027 PubMed36443046

2022

[Regulatory Effect of Vitamin D on Renin Expression at Maternal-Fetal Interface].

Applications

Unspecified application

Species

Unspecified reactive species

Chun-Yan Chen,Li-Bin Zheng,Yan-Ling Wang,Xun Li,Xue-Qin Zhang,Bin Cao

Cell systems 13:644-664.e8 PubMed35863345

2022

Mapping hormone-regulated cell-cell interaction networks in the human breast at single-cell resolution.

Applications

Unspecified application

Species

Unspecified reactive species

Lyndsay M Murrow,Robert J Weber,Joseph A Caruso,Christopher S McGinnis,Kiet Phong,Philippe Gascard,Gabrielle Rabadam,Alexander D Borowsky,Tejal A Desai,Matthew Thomson,Thea Tlsty,Zev J Gartner

Frontiers in oncology 12:860339 PubMed35463361

2022

Lapatinib Suppresses HER2-Overexpressed Cholangiocarcinoma and Overcomes ABCB1- Mediated Gemcitabine Chemoresistance.

Applications

Unspecified application

Species

Unspecified reactive species

Zhiqing Bai,Zhiying Guo,Jiaxing Liu,Yu-Ann Chen,Qian Lu,Ping Zhang,Lili Hong,Yunfang Wang,Jiahong Dong

American journal of physiology. Gastrointestinal and liver physiology 322:G598-G614 PubMed35380457

2022

A human Barrett's esophagus organoid system reveals epithelial-mesenchymal plasticity induced by acid and bile salts.

Applications

Unspecified application

Species

Unspecified reactive species

Qiuyang Zhang,Ajay Bansal,Kerry B Dunbar,Yan Chang,Jianning Zhang,Uthra Balaji,Jinghua Gu,Xi Zhang,Eitan Podgaetz,Zui Pan,Stuart Jon Spechler,Rhonda F Souza

Cell reports 38:110570 PubMed35354046

2022

Rif1 and Hmgn3 regulate the conversion of murine trophoblast stem cells.

Applications

Unspecified application

Species

Unspecified reactive species

Wenhao Zhang,Chunmeng Yao,Yanrui Luo,Qian Li,Qian Zhao,Yiding Zhao,Yuna Wang,Mengyang Geng,Qing Wang,Mei Xu,Shengyi Sun,Dan Wu,Qian Gao,Xudong Wu,Ling Shuai
View all publications

Abcam Product Promise

我们致力于为您的研究提供高质量的试剂,为您科研的每一步提供支持。若我们的产品未能达到预期性能,我们向您提供 Abcam Product Promise 保障。
详情请参阅我们的条款与条件。

关联产品

Select an associated product type
Alternative Product
Primary Antibodies

AB154334

Anti-Cytokeratin 7 antibody

primary-antibodies

cytokeratin-7-antibody-ab154334

0

(0 reviews)

Alternative Product
Primary Antibodies

AB218439

Anti-Cytokeratin 7 antibody [rOV-TL12/30]

primary-antibodies

cytokeratin-7-antibody-rov-tl12-30-ab218439

0

(0 reviews)

Alternative Product
Primary Antibodies

AB218900

Anti-Cytokeratin 7 antibody [rOV-TL12/30] - BSA and Azide free

primary-antibodies

cytokeratin-7-antibody-rov-tl12-30-bsa-and-azide-free-ab218900

0

(0 reviews)

Alternative Product
Primary Antibodies

AB9021

Anti-Cytokeratin 7 antibody [RCK105] - Cytoskeleton Marker

primary-antibodies

cytokeratin-7-antibody-rck105-cytoskeleton-marker-ab9021

4

(16 reviews)

Alternative Product
Primary Antibodies

AB216016

Anti-Cytokeratin 7 antibody [OV-TL12/30]

primary-antibodies

cytokeratin-7-antibody-ov-tl12-30-ab216016

0

(0 reviews)

Alternative Product
Primary Antibodies

AB215887

Anti-Cytokeratin 7 antibody [OV-TL12/30] - BSA and Azide free

primary-antibodies

cytokeratin-7-antibody-ov-tl12-30-bsa-and-azide-free-ab215887

0

(0 reviews)

Alternative Product
Primary Antibodies

AB233905

Anti-Cytokeratin 7 antibody [KRT7/903]

primary-antibodies

cytokeratin-7-antibody-krt7-903-ab233905

0

(0 reviews)

Alternative Product
Primary Antibodies

AB53123

Anti-Cytokeratin 7 antibody

primary-antibodies

cytokeratin-7-antibody-ab53123

0

(0 reviews)

Alternative Product
Primary Antibodies

AB208273

Alexa Fluor® 488 Anti-Cytokeratin 7 antibody [EPR17078]

primary-antibodies

alexa-fluor-488-cytokeratin-7-antibody-epr17078-ab208273

0

(0 reviews)

Alternative Product
Primary Antibodies

AB209945

HRP Anti-Cytokeratin 7 antibody [EPR17078]

primary-antibodies

hrp-cytokeratin-7-antibody-epr17078-ab209945

0

(0 reviews)

Alternative Product
Primary Antibodies

AB209600

Alexa Fluor® 594 Anti-Cytokeratin 7 antibody [EPR17078]

primary-antibodies

alexa-fluor-594-cytokeratin-7-antibody-epr17078-ab209600

0

(0 reviews)

Alternative Product
Primary Antibodies

AB209601

Alexa Fluor® 555 Anti-Cytokeratin 7 antibody [EPR17078]

primary-antibodies

alexa-fluor-555-cytokeratin-7-antibody-epr17078-ab209601

5

(1 reviews)

Alternative Product
Primary Antibodies

AB181598

Anti-Cytokeratin 7 antibody [EPR17078] - Cytoskeleton Marker

primary-antibodies

cytokeratin-7-antibody-epr17078-cytoskeleton-marker-ab181598

5

(12 reviews)

Alternative Product
Primary Antibodies

AB68460

Anti-Cytokeratin 7 antibody [EP1620Y]

primary-antibodies

cytokeratin-7-antibody-ep1620y-ab68460

0

(0 reviews)

Alternative Product
Primary Antibodies

AB271885

Anti-Cytokeratin 7 antibody [SP52] - BSA and Azide free

primary-antibodies

cytokeratin-7-antibody-sp52-bsa-and-azide-free-ab271885

0

(0 reviews)

Please note: All products are 'FOR RESEARCH USE ONLY. NOT FOR USE IN DIAGNOSTIC OR THERAPEUTIC PROCEDURES'.

For licensing inquiries, please contact partnerships@abcam.com