JavaScript is disabled in your browser. Please enable JavaScript to view this website.
AB9005

Anti-Cytokeratin 5 + 8 抗体 [RCK102]

Anti-Cytokeratin 5 + 8 antibody [RCK102]

5

(1 Review)

|

(9 Publications)

Mouse Monoclonal Cytokeratin 5 antibody. Suitable for IHC-P, Flow Cyt, IHC-Fr and reacts with Human samples. Cited in 9 publications.

查看别名

58 kDa cytokeratin, Cytokeratin-5, Keratin-5, Type-II keratin Kb5, CK-5, K5, KRT5

5 Images
Immunohistochemistry (Frozen sections) - Anti-Cytokeratin 5 + 8 antibody [RCK102] (AB9005)
  • IHC-Fr

Supplier Data

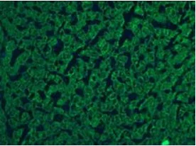
Immunohistochemistry (Frozen sections) - Anti-Cytokeratin 5 + 8 antibody [RCK102] (AB9005)

Immunohistochemistry analysis on frozen sections of human liver hepatocytes and bile ducts labeling Cytokeratin 5 + 8 using ab9005.

Flow Cytometry - Anti-Cytokeratin 5 + 8 antibody [RCK102] (AB9005)
  • Flow Cyt

Unknown

Flow Cytometry - Anti-Cytokeratin 5 + 8 antibody [RCK102] (AB9005)

Overlay histogram showing A431 cells stained with ab9005 (red line). The cells were fixed with 4% paraformaldehyde (10 min) and then permeabilized with 0.1% PBS-Triton for 20 min. The cells were then incubated in 1x PBS / 10% normal goat serum / 0.3M glycine to block non-specific protein-protein interactions followed by the antibody (ab9005, 1/100 dilution) for 30 min at 22°C. The secondary antibody used was DyLight® 488 goat anti-mouse IgG (H+L) (ab96879) at 1/500 dilution for 30 min at 22°C. Isotype control antibody (black line) was mouse mouse IgG1 [ICIGG1] (ab91353, 2μg/1x106 cells ) used under the same conditions. Acquisition of >5,000 events was performed. This antibody gave a positive signal in A431 cells fixed with 100% methanol (5 min)/permeabilized in 0.1% PBS-Triton used under the same conditions.

Immunohistochemistry (Frozen sections) - Anti-Cytokeratin 5 + 8 antibody [RCK102] (AB9005)
  • IHC-Fr

Supplier Data

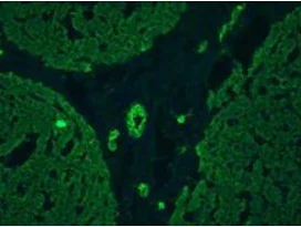
Immunohistochemistry (Frozen sections) - Anti-Cytokeratin 5 + 8 antibody [RCK102] (AB9005)

Immunohistochemistry analysis on frozen sections of human urinary bladder epithelium labeling Cytokeratin 5 + 8 using ab9005.

Immunohistochemistry (Frozen sections) - Anti-Cytokeratin 5 + 8 antibody [RCK102] (AB9005)
  • IHC-Fr

Supplier Data

Immunohistochemistry (Frozen sections) - Anti-Cytokeratin 5 + 8 antibody [RCK102] (AB9005)

Immunohistochemistry analysis on frozen sections of human liver hepatocytes labeling Cytokeratin 5 + 8 using ab9005.

Immunohistochemistry (Formalin/PFA-fixed paraffin-embedded sections) - Anti-Cytokeratin 5 + 8 antibody [RCK102] (AB9005)
  • IHC-P

Unknown

Immunohistochemistry (Formalin/PFA-fixed paraffin-embedded sections) - Anti-Cytokeratin 5 + 8 antibody [RCK102] (AB9005)

IHC image of ab9005 staining in human skin formalin fixed paraffin embedded tissue section, performed on a Leica BondTM system using the standard protocol F. The section was pre-treated using heat mediated antigen retrieval with sodium citrate buffer (pH6, epitope retrieval solution 1) for 20 mins. The section was then incubated with ab9005, 1µg/ml, for 15 mins at room temperature and detected using an HRP conjugated compact polymer system. DAB was used as the chromogen. The section was then counterstained with haematoxylin and mounted with DPX.

For other IHC staining systems (automated and non-automated) customers should optimize variable parameters such as antigen retrieval conditions, primary antibody concentration and antibody incubation times.

关键信息

宿主种属

Mouse

克隆

Monoclonal

克隆号

RCK102

亚型

IgG1

不含载体蛋白

No

反应种属

Human

应用

Flow Cyt, IHC-Fr, IHC-P

applications

特异性

This antibody reacts with cytokeratin 5 and cytokeratin 8, recognizing virtually all epithelial tissues and carcinomas.

反应性数据

{ "title": "Reactivity Data", "filters": { "stats": ["", "Species", "Dilution Info", "Notes"], "tabs": { "all-applications": {"fullname" : "All Applications", "shortname": "All Applications"}, "IHCP" : {"fullname" : "Immunohistochemistry (Formalin/PFA-fixed paraffin-embedded sections)", "shortname":"IHC-P"}, "FlowCyt" : {"fullname" : "Flow Cytometry", "shortname":"Flow Cyt"}, "IHCFr" : {"fullname" : "Immunohistochemistry (Frozen sections)", "shortname":"IHC-Fr"} }, "product-promise": { "all": "all", "testedAndGuaranteed": "tested", "guaranteed": "expected", "predicted": "predicted", "notRecommended": "not-recommended" } }, "values": { "Human": { "IHCP-species-checked": "testedAndGuaranteed", "IHCP-species-dilution-info": "1 µg/mL", "IHCP-species-notes": "<p></p> Perform heat-mediated antigen retrieval with citrate buffer pH 6 before commencing with IHC staining protocol.", "FlowCyt-species-checked": "testedAndGuaranteed", "FlowCyt-species-dilution-info": "1/100 - 1/200", "FlowCyt-species-notes": "<p><a href='/products/primary-antibodies/mouse-igg1-kappa-monoclonal-15-6e10a7-isotype-control-ab170190'>ab170190</a> - Mouse monoclonal IgG1, is suitable for use as an isotype control with this antibody.</p>", "IHCFr-species-checked": "testedAndGuaranteed", "IHCFr-species-dilution-info": "", "IHCFr-species-notes": "<p></p>" } } }

产品详情

Cytokeratins are a subfamily of intermediate filament proteins and are characterized by a remarkable biochemical diversity, represented in human epithelial tissues by at least 20 different polypeptides. They range in molecular weight between 40 kDa and 68 kDa and isoelectric pH between 4.9 – 7.8. The individual human cytokeratins are designated 1 to 20. The various epithelia in the human body usually express cytokeratins which are not only characteristic of the type of epithelium, but also related to the degree of maturation or differentiation within an epithelium. Cytokeratin subtype expression patterns are used to an increasing extent in the distinction of different types of epithelial malignancies. The cytokeratin antibodies are not only of assistance in the differential diagnosis of tumors using immunohistochemistry on tissue sections, but are also a useful tool in cytopathology and flow cytometric assays.

性能和储存信息

形式
Liquid
纯化工艺
Affinity purification Protein G
存储溶液
Preservative: 0.09% Sodium azide Constituents: PBS
运输条件
Blue Ice
推荐的短期储存时间
1-2 weeks
推荐的短期储存条件
+4°C
推荐的长期储存条件
-20°C
分装信息
Upon delivery aliquot
储存信息
Avoid freeze / thaw cycle

产品实验方案

For this product, it's our understanding that no specific protocols are required. You can visit:

靶点信息

Required for the formation of keratin intermediate filaments in the basal epidermis and maintenance of the skin barrier in response to mechanical stress (By similarity). Regulates the recruitment of Langerhans cells to the epidermis, potentially by modulation of the abundance of macrophage chemotactic cytokines, macrophage inflammatory cytokines and CTNND1 localization in keratinocytes (By similarity).
See full target information Keratin, type II cytoskeletal 5

其他靶点

KRT8

文献 (9)

Recent publications for all applications. Explore the full list and refine your search

Frontiers in oncology 11:752331 PubMed34956876

2021

Circadian Influences on Chemotherapy Efficacy in a Mouse Model of Brain Metastases of Breast Cancer.

Applications

Unspecified application

Species

Unspecified reactive species

William H Walker,Samuel A Sprowls,Jacob R Bumgarner,Jennifer A Liu,O Hecmarie Meléndez-Fernández,James C Walton,Paul R Lockman,A Courtney DeVries,Randy J Nelson

Regenerative medicine 14:15-31 PubMed30566028

2018

The effect of mesenchymal stem cell-secreted factors on airway epithelial repair.

Applications

Unspecified application

Species

Unspecified reactive species

Nur Ssa Halim,Wan M Aizat,Badrul H Yahaya

Scientific reports 7:11732 PubMed28916766

2017

Stimulatory Secretions of Airway Epithelial Cells Accelerate Early Repair of Tracheal Epithelium.

Applications

Unspecified application

Species

Unspecified reactive species

Egi Kardia,Rafeezul Mohamed,Badrul Hisham Yahaya

Translational psychiatry 2:e139 PubMed22781172

2012

A molecular characterization of the choroid plexus and stress-induced gene regulation.

Applications

IHC-Fr

Species

Rat

M Sathyanesan,M J Girgenti,M Banasr,K Stone,C Bruce,E Guilchicek,K Wilczak-Havill,A Nairn,K Williams,S Sass,J G Duman,S S Newton

Journal of immunology (Baltimore, Md. : 1950) 184:1918-30 PubMed20083673

2010

T cell/transmembrane, Ig, and mucin-3 allelic variants differentially recognize phosphatidylserine and mediate phagocytosis of apoptotic cells.

Applications

Unspecified application

Species

Unspecified reactive species

Rosemarie H DeKruyff,Xia Bu,Angela Ballesteros,César Santiago,Yee-Ling E Chim,Hyun-Hee Lee,Piia Karisola,Muriel Pichavant,Gerardo G Kaplan,Dale T Umetsu,Gordon J Freeman,José M Casasnovas

American journal of physiology. Lung cellular and 293:L69-76 PubMed17384084

2007

Bronchial epithelial cell growth regulation in fibroblast cocultures: the role of hepatocyte growth factor.

Applications

Unspecified application

Species

Unspecified reactive species

Grzegorz Skibinski,J Stuart Elborn,Madeleine Ennis

The American journal of pathology 136:641-55 PubMed1690512

1990

Use of monoclonal antibodies to keratin 7 in the differential diagnosis of adenocarcinomas.

Applications

Unspecified application

Species

Unspecified reactive species

F Ramaekers,C van Niekerk,L Poels,E Schaafsma,A Huijsmans,H Robben,G Schaart,P Vooijs

The American journal of pathology 136:657-68 PubMed1690513

1990

Changing patterns of keratin expression during progression of cervical intraepithelial neoplasia.

Applications

Unspecified application

Species

Unspecified reactive species

F Smedts,F Ramaekers,H Robben,M Pruszczynski,G van Muijen,B Lane,I Leigh,P Vooijs

The American journal of pathology 136:329-43 PubMed1689541

1990

Distribution of cytokeratin polypeptides in human transitional cell carcinomas, with special emphasis on changing expression patterns during tumor progression.

Applications

Unspecified application

Species

Unspecified reactive species

H E Schaafsma,F C Ramaekers,G N van Muijen,E B Lane,I M Leigh,H Robben,A Huijsmans,E C Ooms,D J Ruiter
View all publications

Abcam Product Promise

我们致力于为您的研究提供高质量的试剂,为您科研的每一步提供支持。若我们的产品未能达到预期性能,我们向您提供 Abcam Product Promise 保障。
详情请参阅我们的条款与条件。

Please note: All products are 'FOR RESEARCH USE ONLY. NOT FOR USE IN DIAGNOSTIC OR THERAPEUTIC PROCEDURES'.

For licensing inquiries, please contact partnerships@abcam.com