JavaScript is disabled in your browser. Please enable JavaScript to view this website.
AB52625

Anti-Cytokeratin 19 抗体 [EP1580Y] - Cytoskeleton Marker

Anti-Cytokeratin 19 antibody [EP1580Y] - Cytoskeleton Marker

  • BOND RX™ Validated
  • RabMAb
  • Recombinant
  • Lab Essentials
  • 20ul selling size
  • Advanced Validation
  • 了解详情

5

(12 Reviews)

|

(380 Publications)

Anti-Cytokeratin 19 antibody [EP1580Y] - Cytoskeleton Marker (ab52625) is a rabbit monoclonal antibody detecting Cytokeratin 19 in Western Blot, Flow Cytometry (Intra), Flow Cytometry, IHC-P, ICC/IF, mIHC. Suitable for Human, Mouse.

- Multiplex IHC validated on the Leica BOND® MAX using Opal reagents
- Biophysical QC for unrivalled batch-batch consistency
- Over 230 publications
- Trusted since 2007

查看别名

Cytokeratin-19, Keratin-19, CK-19, K19, KRT19, ck19, ck 19

26 Images
Multiplex immunohistochemistry - Anti-Cytokeratin 19 antibody [EP1580Y] - Cytoskeleton Marker (AB52625)
  • mIHC

Lab

Multiplex immunohistochemistry - Anti-Cytokeratin 19 antibody [EP1580Y] - Cytoskeleton Marker (AB52625)

Fluorescence multiplex immunohistochemical analysis of the human pancreas (Formalin/PFA-fixed paraffin-embedded sections). Panel A : merged staining of anti-Carboxypeptidase A (ab278044, magenta; Opal™690), anti-Cytokeratin 19 (ab195872, green; Opal™520) and anti-Insulin (ab181547, red; Opal™570) on human pancreas. Panel B : anti-Carboxypeptidase A stained on acinar cells. Panel C : anti-Cytokeratin 19 stained on centroacinar cells and ducts. Panel D : anti-Insulin stained on beta cells. Opal Polymer HRP Ms + Rb was used as a secondary antibody. The section was incubated in three rounds of staining : in the order of ab278044 at 1/4000 dilution (0.135 μg/ml), ab195872 at 1/8000 dilution (0.127 μg/ml), and ab181547 at 1/20000 dilution (0.053 μg/ml) for 30 mins at room temperature. Each round was followed by a separate fluorescent tyramide signal amplification system. The immunostaining was performed on a Leica Biosystems BOND® RX instrument with an Opal™ 4-color kit. Image acquisition was performed with Leica SP8 confocal microscope. Heat mediated antigen retrieval with Tris-EDTA buffer (pH 9.0, epitope retrieval solution2) for 20 mins. DAPI (blue) was used as a nuclear counter stain. This data was developed using ab195872, the same antibody clone in a different buffer formulation.

Multiplex immunohistochemistry - Anti-Cytokeratin 19 antibody [EP1580Y] - Cytoskeleton Marker (AB52625)
  • mIHC

Collaborator

Multiplex immunohistochemistry - Anti-Cytokeratin 19 antibody [EP1580Y] - Cytoskeleton Marker (AB52625)

10-color fluorescence multiplex immunohistochemical analysis of human lung cancer tissue (formalin-fixed paraffin-embedded section).

Merged staining of anti-FOXP3 (ab215206; Cyan; TG540N), anti-PD1 (ab52587; Red; TG700N), anti-CD163 (ab182422; Brown; TG650N), anti-HLA-DR (ab92511; Yellow; TG570N), anti-CD4 (ab133616; Violet; TG620N), anti-CD8 alpha (ab101500; Purple; TG540S), anti-CD20 (ab9475; Grey; TG660S), anti-CD68 (ab192847; Green; TG520N), anti-Cytokeratin 19 (ab52625; Light blue; TG440N). TG470SN (dark blue) was used as a nuclear counter stain. The inset image shows the separate CD68 signal.

The section was incubated in nine rounds of staining; in the order of ab215206 (1/100 dilution), ab52587 (1/200 dilution), ab182422 (1/300 dilution), ab92511 (1/200 dilution), ab133616 (1/600 dilution), ab101500 (1/300 dilution), ab9475 (1/100 dilution), ab192847 (1/300 dilution), ab52625 (1/400 dilution); each using a separate fluorescent tyramide signal amplification system.

Sodium citrate antigen retrieval (pH6.0) was used in between rounds of tyramide signal amplification to remove the antibody from the previous round, to avoid any cross-reactivity.

Image acquisition was performed with TissueFAXS Spectra (TissueGnostics).

This image is courtesy of TissueGnostics Asia Pacific Limited

Flow Cytometry (Intracellular) - Anti-Cytokeratin 19 antibody [EP1580Y] - Cytoskeleton Marker (AB52625)
  • Flow Cyt (Intra)

Unknown

Flow Cytometry (Intracellular) - Anti-Cytokeratin 19 antibody [EP1580Y] - Cytoskeleton Marker (AB52625)

Overlay histogram showing HeLa (human epithelial cell line from cervix adenocarcinoma) cells stained with unpurified ab52625 (red line). The cells were fixed with 80% methanol (5 min) and then permeabilized with 0.1% PBS-Tween for 20 min. The cells were then incubated in 1x PBS / 10% normal goat serum / 0.3M glycine to block non-specific protein-protein interactions followed by the antibody (ab52625, 1/100 dilution) for 30 min at 22°C. The secondary antibody used was DyLight® 488 goat anti-rabbit IgG (H+L) (ab96899) at 1/500 dilution for 30 min at 22°C. Isotype control antibody (black line) was rabbit IgG (monoclonal) (1μg/1x106 cells) used under the same conditions. Acquisition of >5,000 events was performed. This antibody gave a positive signal in HeLa cells fixed with 4% paraformaldehyde (10 min)/permeabilized with 0.1% PBS-Tween for 20 min used under the same conditions.

Flow Cytometry (Intracellular) - Anti-Cytokeratin 19 antibody [EP1580Y] - Cytoskeleton Marker (AB52625)
  • Flow Cyt (Intra)

Unknown

Flow Cytometry (Intracellular) - Anti-Cytokeratin 19 antibody [EP1580Y] - Cytoskeleton Marker (AB52625)

ab52625 staining Cytokeratin 19in the human cell line MCF-7 (human breast carcinoma) by intracellular flow cytometry. Cells were fixed with 4% paraformaldehyde, permeabilized with 90% methanol and the sample was incubated with the primary antibody at a dilution of 1/80. A goat anti rabbit IgG (Alexa Fluorr® 488) at a dilution of 1/2000 was used as the secondary antibody.

Isoytype control : Rabbit monoclonal IgG (Black)

Unlabelled control : Cell without incubation with primary antibody and secondary antibody (Blue).

Alexa Fluorr® 488 (ab192643) and Alexa Fluorr® 647 (ab192980) conjugated versions are available for this clone.

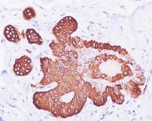
Immunohistochemistry (Formalin/PFA-fixed paraffin-embedded sections) - Anti-Cytokeratin 19 antibody [EP1580Y] - Cytoskeleton Marker (AB52625)
  • IHC-P

Unknown

Immunohistochemistry (Formalin/PFA-fixed paraffin-embedded sections) - Anti-Cytokeratin 19 antibody [EP1580Y] - Cytoskeleton Marker (AB52625)

Unpurified ab52625 showing positive staining in Breast carcinoma tissue.

Perform heat mediated antigen retrieval before commencing with IHC staining protocol.

Immunohistochemistry (Formalin/PFA-fixed paraffin-embedded sections) - Anti-Cytokeratin 19 antibody [EP1580Y] - Cytoskeleton Marker (AB52625)
  • IHC-P

Unknown

Immunohistochemistry (Formalin/PFA-fixed paraffin-embedded sections) - Anti-Cytokeratin 19 antibody [EP1580Y] - Cytoskeleton Marker (AB52625)

Immunohistochemical staining of paraffin-embedded human skin with purified ab52625 at a dilution of 1/400. A pre-diluted HRP polymer for rabbit/mouse IgG was used as the secondary antibody and the sample was counter-stained with hematoxylin. Antigen retrieval was perfomed using Tris-EDTA buffer, pH 9.0. PBS was used instead of the primary antibody as the negative control, and is shown in the inset.

Immunocytochemistry/ Immunofluorescence - Anti-Cytokeratin 19 antibody [EP1580Y] - Cytoskeleton Marker (AB52625)
  • ICC/IF

Lab

Immunocytochemistry/ Immunofluorescence - Anti-Cytokeratin 19 antibody [EP1580Y] - Cytoskeleton Marker (AB52625)

ab52625 staining KRT19 in MCF7 cells, with negative expression in SHSY5Y cells. The cells were fixed with 100% methanol (5 min), permeabilised with 0.1% Triton x-100 for 5 minutes and then blocked with 1% BSA/10% normal goat serum/0.3M glycine in 0.1% PBS-Tween for 1h. The cells were then incubated overnight at +4°C with ab52625 at 2 μg/ml and ab7291, Mouse monoclonal [DM1A] to alpha Tubulin at 0.5 μg/ml. Cells were then incubated with ab150081, Goat polyclonal Secondary Antibody to Rabbit IgG - H&L (Alexa Fluor® 488), pre-adsorbed at 1/1000 dilution (shown in green) and ab150119, Goat polyclonal Secondary Antibody to Mouse IgG - H&L (Alexa Fluor® 647), pre-adsorbed at 1/1000 dilution (shown in red). Nuclear DNA was labelled with DAPI (shown in blue). Image was acquired with a confocal microscope (Leica-Microsystems TCS SP8) and a single confocal section is shown. This product also work with 4% formaldehyde (10 min) fixation under the same testing conditions.

Multiplex immunohistochemistry - Anti-Cytokeratin 19 antibody [EP1580Y] - Cytoskeleton Marker (AB52625)
  • mIHC

Lab

Multiplex immunohistochemistry - Anti-Cytokeratin 19 antibody [EP1580Y] - Cytoskeleton Marker (AB52625)

Multiplex immunohistochemistry analysis of formalin/PFA-fixed paraffin-embedded human liver tissue staining Carboxypeptidase A with ab317620 at a 1/1000 dilution, ab322202 anti-Inhibin beta E chain used at 1/2000 dilution and ab52625 anti-Cytokeratin 19 used at a 1/6000 dilution. Opal Polymer HRP Ms + Rb was used as a secondary antibody.

Panel A : merged staining of anti-VAP1 (green; Opal520), anti-Inhibin beta E chain (magenta; Opal690) and anti-Cytokeratin 19 (gray; Opal570) on human liver. Panel B : anti-VAP1 staining endothelium in human liver.
Panel C : anti-Inhibin beta E chain staining hepatocytes in human liver.
Panel D : anti-Cytokeratin 19 staining branch of bile ducts in human liver.
Nuclear DNA was labeled with DAPI (shown in blue).

The section was incubated in three rounds of staining : in the order of ab317620, ab322202 and ab52625 for 30 mins at room temperature. Each round was followed by a separate fluorescent tyramide signal amplification system.

The immunostaining was performed on a Leica Biosystems BOND® RX instrument with an Opal 4-color kit. Image acquisition was performed with Leica SP8 confocal microscope.

Heat mediated antigen retrieval with Tris-EDTA buffer (pH 9.0, epitope retrieval solution2) for 20 mins.

Multiplex immunohistochemistry - Anti-Cytokeratin 19 antibody [EP1580Y] - Cytoskeleton Marker (AB52625)
  • mIHC

Supplier Data

Multiplex immunohistochemistry - Anti-Cytokeratin 19 antibody [EP1580Y] - Cytoskeleton Marker (AB52625)

Fluorescence multiplex immunohistochemical analysis of human liver tissue (formalin-fixed paraffin-embedded section). Panel A shows merged staining of ab195872 anti-Cytokeratin 19 stained on branch of bile ducts (magenta; Opal™690) at 1 : 8000 ( 0.127 μg/ml) [Panel B], ab275376 anti-Factor VIII stained on endothelial cells (red; Opal™570) at 1 : 1000 ( 0.457 μg/ml) [Panel C], and ab150301 anti-alpha smooth muscle Actin stained on smooth muscles (green; Opal™520) at 1 : 200 ( 0.14 μg/ml) [Panel C] on human liver. DAPI was used as a nuclear counter stain. Followed by Opal Polymer HRP Ms + Rb secondary. The immunostaining was performed on a Leica Biosystems BOND® RX instrument with an Opal™ 4-color kit. Image acquisition was performed with Leica SP8 confocal microscope. The section was incubated in three rounds of staining : in the order of ab195872 for 30 mins, ab275376 for 30 mins and ab150301 for 10 mins at room temperature. Each round was followed by a separate fluorescent tyramide signal amplification system. Heat mediated antigen retrieval with Tris-EDTA buffer (pH 9.0, epitope retrieval solution2) for 20 mins was used.  This data was developed using ab195872, the same antibody clone in a different buffer formulation.

Multiplex immunohistochemistry - Anti-Cytokeratin 19 antibody [EP1580Y] - Cytoskeleton Marker (AB52625)
  • mIHC

Lab

Multiplex immunohistochemistry - Anti-Cytokeratin 19 antibody [EP1580Y] - Cytoskeleton Marker (AB52625)

Immunohistochemistry analysis of Formalin/PFA-fixed paraffin-embedded sections Human breast tissue labelling Fibrillin 1 with ab315384 at 1 : 100 dilution (B), Cytokeratin 19 with ab52625 at 1 : 6000 dilution (C) and Hormone sensitive lipase/HSL with ab322344 at 1 : 2000 dilution (D). Opal Polymer HRP Ms + Rb was used as a secondary antibody, and DAPI was used for a nuclear counter stain. Heat mediated antigen retrieval with Tris-EDTA buffer (pH 9.0, epitope retrieval solution2) for 20 mins.

Panel A : merged staining of anti-Fibrillin 1 (green; Opal™570), anti-Cytokeratin 19 (magenta; Opal™690) and anti-Hormone sensitive lipase/HSL (gray; Opal™570) on human breast.

Panel B : anti-Fibrillin 1 staining stromal connective tissue in human breast.

Panel C : ant-Cytokeratin 19 staining epithelium in human breast.

Panel D : ant-Hormone sensitive lipase/HSL staining adipocytes in human breast.

Nuclear DNA was labeled with DAPI (shown in blue).

The section was incubated in three rounds of staining : in the order of ab315384, ab52625 and ab322344 for 30 mins at room temperature. Each round was followed by a separate fluorescent tyramide signal amplification system.

The immunostaining was performed on a Leica Biosystems BOND® RX instrument with an Opal™ 4-color kit. Image acquisition was performed with Leica SP8 confocal microscope.

Flow Cytometry (Intracellular) - Anti-Cytokeratin 19 antibody [EP1580Y] - Cytoskeleton Marker (AB52625)
  • Flow Cyt (Intra)

Lab

Flow Cytometry (Intracellular) - Anti-Cytokeratin 19 antibody [EP1580Y] - Cytoskeleton Marker (AB52625)

Flow cytometry overlay histogram showing left MCF7 positive cells and right negative SH-SY5Y stained with ab52625 (red line). The cells were fixed with 4% formaldehyde (10 min) and then permeabilised with 0.1% PBS-Triton X-100 for 15 mins. The cells were then incubated in 1x PBS containing 10% normal goat serum to block non-specific protein-protein interaction followed by the antibody (ab52625) (1x 106 in 100μl at 0.04μg/ml (1/50,000 dilution)) for 30 mins at 22°C.

The secondary antibody Goat Anti-Rabbit IgG H&L (Alexa Fluor® 488) preadsorbed was incubated at 1/4000 dilutionfor 30 mins at 22°C

Isotype control antibody (black line) was Recombinant Rabbit IgG, monoclonal [EPR25A] - Isotype Control used at the same concentration and conditions as the primary antibody. Unlabelled sample (blue line) was also used as a control.

Acquisition of >5000 events were collected using a 50 mW Blue laser (488nm) and 525/40 bandpass filter.

This antibody gave a positive signal in MCF7 Fixed with 80% methanol (5 min) / permeabilised with 0.1% PBS-Triton X-100 for 15 mins under the same conditions.

Immunohistochemistry (Formalin/PFA-fixed paraffin-embedded sections) - Anti-Cytokeratin 19 antibody [EP1580Y] - Cytoskeleton Marker (AB52625)
  • IHC-P

Lab

Immunohistochemistry (Formalin/PFA-fixed paraffin-embedded sections) - Anti-Cytokeratin 19 antibody [EP1580Y] - Cytoskeleton Marker (AB52625)

Immunohistochemical analysis of formalin fixed paraffin embedded human pancreas labelling Cytokeratin 19 with ab52625 at a concentration of 0.1µg/ml. The immunostaining was performed on a Ventana DISCOVERY ULTRA (Roche Tissue Diagnostics) instrument with a OptiView DAB IHC Detection Kit. Heat mediated antigen retrieval was performed with DISCOVERY cell conditioning solution (CC1) 100°C, pH8.5 for 32mins. ab52625 anti-Cytokeratin 19 antibody [EP1580Y] was incubated for 16mins at 37°C. Sections were counterstained with Hematoxylin II. Image inset shows absence of staining in secondary antibody only control.

Customers are encouraged to optimise antigen retrieval conditions, antibody concentration, incubation times and temperature for best results in their own IHC assay workflow (automated and manual).

Immunohistochemistry (Formalin/PFA-fixed paraffin-embedded sections) - Anti-Cytokeratin 19 antibody [EP1580Y] - Cytoskeleton Marker (AB52625)
  • IHC-P

Lab

Immunohistochemistry (Formalin/PFA-fixed paraffin-embedded sections) - Anti-Cytokeratin 19 antibody [EP1580Y] - Cytoskeleton Marker (AB52625)

Immunohistochemical analysis of formalin fixed paraffin embedded human pancreas labelling Cytokeratin 19 with ab52625 at a concentration of 0.1µg/ml. The immunostaining was performed on a Leica Biosystems BOND® RX instrument with a Bond™ Polymer Refine Detection kit. Heat mediated antigen retrieval was performed with Tris-EDTA buffer (pH 9.0, Epitope Retrieval Solution 2) for 20mins. ab52625 anti-Cytokeratin 19 antibody [EP1580Y] was incubated for 15mins at room temperature. Sections were counterstained with Hematoxylin. Image inset shows absence of staining in secondary antibody only control.

Customers are encouraged to optimise antigen retrieval conditions, antibody concentration, incubation times and temperature for best results in their own IHC assay workflow (automated and manual).

Immunocytochemistry/ Immunofluorescence - Anti-Cytokeratin 19 antibody [EP1580Y] - Cytoskeleton Marker (AB52625)
  • ICC/IF

Unknown

Immunocytochemistry/ Immunofluorescence - Anti-Cytokeratin 19 antibody [EP1580Y] - Cytoskeleton Marker (AB52625)

Immunocytochemistry/Immunofluorescence analysis of HepG2 (human liver hepatocellular carcinoma cell line) cells labelling Cytokeratin 19 (green) with purified ab52625 at 1/500. Cells were fixed with 4% Paraformaldehyde and permeabilized with 0.1% Triton X-100. ab150077, Alexa Fluor® 488-conjugated goat anti-rabbit IgG (1/1000) was used as the secondary antibody. Cells were counter-stained with ab7291, anti-Tubulin (mouse mAb) at 1/1000 followed by ab150120 Alexa Fluor® 594 goat anti-mouse secondary (1/1000). Nuclei were counterstained with DAPI (blue).

For negative control 1, rabbit primary antibody and anti-mouse secondary antibody (ab150120) were used. For negative control 2, ab7291 (mouse primary antibody) was used followed by anti-rabbit secondary antibody (ab150077).

Alexa Fluor® 488 (ab192643) and Alexa Fluor® 647 (ab192980) conjugated versions are available for this clone.

Immunocytochemistry/ Immunofluorescence - Anti-Cytokeratin 19 antibody [EP1580Y] - Cytoskeleton Marker (AB52625)
  • ICC/IF

Unknown

Immunocytochemistry/ Immunofluorescence - Anti-Cytokeratin 19 antibody [EP1580Y] - Cytoskeleton Marker (AB52625)

Immunofluorescent staining of MCF-7 cells (fixed in 4% PFA, permeabilized with 0.1% Triton X 100) using purified ab52625 at a dilution of 1/200. An Alexa Fluor® 488 goat anti-rabbit antibody was used as the secondary at a dilution of 1/200 and the cells were counter stained with DAPI.

Multiplex immunohistochemistry - Anti-Cytokeratin 19 antibody [EP1580Y] - Cytoskeleton Marker (AB52625)
  • mIHC

Lab

Multiplex immunohistochemistry - Anti-Cytokeratin 19 antibody [EP1580Y] - Cytoskeleton Marker (AB52625)

Multiplex immunohistochemistry analysis of formalin/PFA-fixed paraffin-embedded mouse liver tissue staining COL4A2 with ab316099 at a 1/500 dilution, ab307696 anti-ALDH1L1 used at 1/5000 dilution and ab52625 anti-Cytokeratin 19 used at a 1/6000 dilution.

Panel A : merged staining of anti-COL4A2 (green; Opal520), anti-ALDH1L1 (magenta; Opal690) and anti-Cytokeratin 19 (grey; Opal570) on mouse liver.
Panel B : anti-COL4A2 staining endothelium in mouse liver.
Panel C : anti-ALDH1L1 staining hepatocytes in mouse liver.
Panel D : anti-Cytokeratin 19 staining branch of bile ducts in mouse liver.

Nuclear DNA was labeled with DAPI (shown in blue).

The section was incubated in three rounds of staining : in the order of ab316099, ab307696 and ab52625 for 30 mins at room temperature. Each round was followed by a separate fluorescent tyramide signal amplification system.

The immunostaining was performed on a Leica Biosystems BOND® RX instrument with an Opal 4-color kit. Image acquisition was performed with Leica SP8 confocal microscope.

Heat mediated antigen retrieval with Tris-EDTA buffer (pH 9.0, epitope retrieval solution2) for 20 mins.

Multiplex immunohistochemistry - Anti-Cytokeratin 19 antibody [EP1580Y] - Cytoskeleton Marker (AB52625)
  • mIHC

Lab

Multiplex immunohistochemistry - Anti-Cytokeratin 19 antibody [EP1580Y] - Cytoskeleton Marker (AB52625)

Multiplex immunohistochemistry analysis of formalin/PFA-fixed paraffin-embedded tissue staining C Peptide with ab314215 at a 1/500 dilution, ab318203 anti-Chymotrypsin used at 1/6000 dilution and ab52625 anti-Cytokeratin 19 used at a 1/6000 dilution.

Opal Polymer HRP Ms + Rb was used as a secondary antibody.

Panel A : merged staining of anti-C Peptide (green; Opal520), anti-Chymotrypsin (magenta; Opal690) and anti-Cytokeratin 19 (grey; Opal570) on mouse pancreas.
Panel B : anti-C Peptide staining beta cells in mouse pancreas.
Panel C : anti-Chymotrypsin staining exocrine gland in mouse pancreas.
Panel D : anti-Cytokeratin 19 staining pancreatic duct in mouse pancreas.
Nuclear DNA was labeled with DAPI (shown in blue).

The section was incubated in three rounds of staining : in the order of ab314215, ab318203 and ab52625 for 30 mins at room temperature. Each round was followed by a separate fluorescent tyramide signal amplification system.

The immunostaining was performed on a Leica Biosystems BOND® RX instrument with an Opal 4-color kit. Image acquisition was performed with Leica SP8 confocal microscope.

Heat mediated antigen retrieval with Tris-EDTA buffer (pH 9.0, epitope retrieval solution2) for 20 mins.

Multiplex immunohistochemistry - Anti-Cytokeratin 19 antibody [EP1580Y] - Cytoskeleton Marker (AB52625)
  • mIHC

Lab

Multiplex immunohistochemistry - Anti-Cytokeratin 19 antibody [EP1580Y] - Cytoskeleton Marker (AB52625)

Multiplex immunohistochemistry analysis of formalin/PFA-fixed paraffin-embedded rat liver tissue staining COL4A2 with ab316099 at a 1/500 dilution, ab307696 anti-ALDH1L1 used at 1/5000 dilution and ab52625 anti-Cytokeratin 19 used at a 1/6000 dilution.

Panel A : merged staining of anti-COL4A2 (green; Opal520), anti-ALDH1L1 (magenta; Opal690) and anti-Cytokeratin 19 (grey; Opal570) on rat liver.
Panel B : anti-COL4A2 staining endothelium in rat liver.
Panel C : anti-ALDH1L1 staining hepatocytes in rat liver.
Panel D : anti-Cytokeratin 19 staining branch of bile ducts in rat liver.

Nuclear DNA was labeled with DAPI (shown in blue).

The section was incubated in three rounds of staining : in the order of ab316099, ab307696 and ab52625 for 30 mins at room temperature. Each round was followed by a separate fluorescent tyramide signal amplification system.

The immunostaining was performed on a Leica Biosystems BOND® RX instrument with an Opal 4-color kit. Image acquisition was performed with Leica SP8 confocal microscope.

Heat mediated antigen retrieval with Tris-EDTA buffer (pH 9.0, epitope retrieval solution2) for 20 mins.

Multiplex immunohistochemistry - Anti-Cytokeratin 19 antibody [EP1580Y] - Cytoskeleton Marker (AB52625)
  • mIHC

Lab

Multiplex immunohistochemistry - Anti-Cytokeratin 19 antibody [EP1580Y] - Cytoskeleton Marker (AB52625)

Multiplex immunohistochemistry analysis of formalin/PFA-fixed paraffin-embedded rat pancreas tissue staining C Peptide with ab314215 at a 1/500 dilution, ab278044 anti-Carboxypeptidase A used at 1/4000 dilution and ab52625 anti-Cytokeratin 19 used at a 1/6000 dilution.

Opal Polymer HRP Ms + Rb was used as a secondary antibody.

Panel A : merged staining of anti-C Peptide (green; Opal520), anti-Carboxypeptidase A (magenta; Opal690) and anti-Cytokeratin 19 (grey; Opal570) on rat pancreas.
Panel B : anti-C Peptide staining beta cells in rat pancreas.
Panel C : anti-Carboxypeptidase A staining exocrine gland in rat pancreas.
Panel D : anti-Cytokeratin 19 staining pancreatic duct in rat pancreas.
Nuclear DNA was labeled with DAPI (shown in blue).

The section was incubated in three rounds of staining : in the order of ab314215, ab278044 and ab52625 for 30 mins at room temperature. Each round was followed by a separate fluorescent tyramide signal amplification system.

The immunostaining was performed on a Leica Biosystems BOND® RX instrument with an Opal 4-color kit. Image acquisition was performed with Leica SP8 confocal microscope.

Heat mediated antigen retrieval with Tris-EDTA buffer (pH 9.0, epitope retrieval solution2) for 20 mins.

Multiplex immunohistochemistry - Anti-Cytokeratin 19 antibody [EP1580Y] - Cytoskeleton Marker (AB52625)
  • mIHC

Lab

Multiplex immunohistochemistry - Anti-Cytokeratin 19 antibody [EP1580Y] - Cytoskeleton Marker (AB52625)

Multiplex immunohistochemistry analysis of formalin/PFA-fixed paraffin-embedded ® tissue staining C Peptide with ab314215 at a 1/500 dilution, ab318203 anti-Chymotrypsin used at 1/6000 dilution and ab52625 anti-Cytokeratin 19 used at a 1/6000 dilution.

Opal Polymer HRP Ms + Rb was used as a secondary antibody.

Panel A : merged staining of anti-C Peptide (green; Opal520), anti-Chymotrypsin (magenta; Opal690) and anti-Cytokeratin 19 (gray; Opal570) on rat pancreas.
Panel B : anti-C Peptide staining beta cells in rat pancreas.
Panel C : anti-Chymotrypsin staining exocrine gland in rat pancreas.
Panel D : anti-Cytokeratin 19 staining pancreatic duct in rat pancreas.
Nuclear DNA was labeled with DAPI (shown in blue).

The section was incubated in three rounds of staining : in the order of ab314215, ab318203 and ab52625 for 30 mins at room temperature. Each round was followed by a separate fluorescent tyramide signal amplification system.

The immunostaining was performed on a Leica Biosystems BOND® RX instrument with an Opal 4-color kit. Image acquisition was performed with Leica SP8 confocal microscope.

Heat mediated antigen retrieval with Tris-EDTA buffer (pH 9.0, epitope retrieval solution2) for 20 mins.

Western blot - Anti-Cytokeratin 19 antibody [EP1580Y] - Cytoskeleton Marker (AB52625)
  • WB

Lab

Western blot - Anti-Cytokeratin 19 antibody [EP1580Y] - Cytoskeleton Marker (AB52625)

Different batches of ab52625 were tested on HepG2 (Human hepatocellular carcinoma epithelial cell) lysate at 0.2 µg/ml. 15 µg of lysate was loaded in each lane. Bands observed at 40 kDa.

All lanes:

Western blot - Anti-Cytokeratin 19 antibody [EP1580Y] - Cytoskeleton Marker (ab52625)

Predicted band size: 44 kDa

false

Western blot - Anti-Cytokeratin 19 antibody [EP1580Y] - Cytoskeleton Marker (AB52625)
  • WB

Lab

Western blot - Anti-Cytokeratin 19 antibody [EP1580Y] - Cytoskeleton Marker (AB52625)

Blocking buffer : 5% NFDM/TBST

Dilution buffer : 5% NFDM/TBST

All lanes:

Western blot - Anti-Cytokeratin 19 antibody [EP1580Y] - Cytoskeleton Marker (ab52625) at 1/45000 dilution

Lane 1:

HepG2 (liver hepatocellular carcinoma cell line) cell lysate at 20 µg

Lane 2:

NIH/3T3 (mouse embyro fibroblast cell line) cell lysate at 20 µg

Secondary

All lanes:

HRP goat anti-rabbit (H+L) at 1/1000 dilution

Predicted band size: 44 kDa

Observed band size: 40 kDa

false

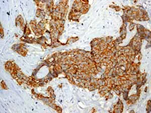
Immunohistochemistry (Formalin/PFA-fixed paraffin-embedded sections) - Anti-Cytokeratin 19 antibody [EP1580Y] - Cytoskeleton Marker (AB52625)
  • IHC-P

Unknown

Immunohistochemistry (Formalin/PFA-fixed paraffin-embedded sections) - Anti-Cytokeratin 19 antibody [EP1580Y] - Cytoskeleton Marker (AB52625)

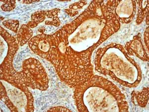
Unpurified ab52625 showing positive staining in Gastric adenocarcinoma tissue.

Perform heat mediated antigen retrieval before commencing with IHC staining protocol.

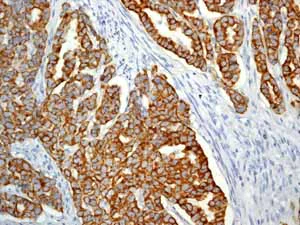
Immunohistochemistry (Formalin/PFA-fixed paraffin-embedded sections) - Anti-Cytokeratin 19 antibody [EP1580Y] - Cytoskeleton Marker (AB52625)
  • IHC-P

Unknown

Immunohistochemistry (Formalin/PFA-fixed paraffin-embedded sections) - Anti-Cytokeratin 19 antibody [EP1580Y] - Cytoskeleton Marker (AB52625)

Unpurified ab52625 showing positive staining in Endometrial carcinoma tissue.

Perform heat mediated antigen retrieval before commencing with IHC staining protocol.

Immunohistochemistry (Formalin/PFA-fixed paraffin-embedded sections) - Anti-Cytokeratin 19 antibody [EP1580Y] - Cytoskeleton Marker (AB52625)
  • IHC-P

Unknown

Immunohistochemistry (Formalin/PFA-fixed paraffin-embedded sections) - Anti-Cytokeratin 19 antibody [EP1580Y] - Cytoskeleton Marker (AB52625)

Unpurified ab52625 showing negative staining in Glioma tissue.

Perform heat mediated antigen retrieval before commencing with IHC staining protocol.

OI-RD Scanning - Anti-Cytokeratin 19 antibody [EP1580Y] - Cytoskeleton Marker (AB52625)
  • OI-RD Scanning

Unknown

OI-RD Scanning - Anti-Cytokeratin 19 antibody [EP1580Y] - Cytoskeleton Marker (AB52625)

We have systematically measured KD (the equilibrium dissociation constant between the antibody and its antigen), of more than 840 recombinant antibodies to assess not only their individual KD values but also to see the average affinity of antibody. Based on the comparison with published literature values for mouse monoclonal antibodies, Recombinant antibodies appear to be on average 1-2 order of magnitude higher affinity.

不同偶联物与剂型 (10)

  • Carrier free

    Anti-Cytokeratin 19 antibody [EP1580Y] - BSA and Azide free

  • 603 Alexa Fluor® 568

    Alexa Fluor® 568 Anti-Cytokeratin 19 antibody [EP1580Y]

  • 617 Alexa Fluor® 594

    Alexa Fluor® 594 Anti-Cytokeratin 19 antibody [EP1580Y]

  • 565 Alexa Fluor® 555

    Alexa Fluor® 555 Anti-Cytokeratin 19 antibody [EP1580Y]

  • 578 PE

    PE Anti-Cytokeratin 19 antibody [EP1580Y]

  • 665 Alexa Fluor® 647

    Alexa Fluor® 647 Anti-Cytokeratin 19 antibody [EP1580Y]

  • 519 Alexa Fluor® 488

    Alexa Fluor® 488 Anti-Cytokeratin 19 antibody [EP1580Y]

  • 660 APC

    APC Anti-Cytokeratin 19 antibody [EP1580Y]

  • HRP

    HRP Anti-Cytokeratin 19 antibody [EP1580Y]

  • Unconjugated

    Anti-Cytokeratin 19 antibody [EP1580Y] - Mouse IgG2a (Chimeric)

关键信息

宿主种属

Rabbit

克隆

Monoclonal

克隆号

EP1580Y

亚型

IgG

不含载体蛋白

No

反应种属

Mouse, Human

应用

ICC/IF, WB, mIHC, Flow Cyt (Intra), IHC-P

applications

免疫原

The exact immunogen used to generate this antibody is proprietary information.

反应性数据

{ "title": "Reactivity Data", "filters": { "stats": ["", "Species", "Dilution Info", "Notes"], "tabs": { "all-applications": {"fullname" : "All Applications", "shortname": "All Applications"}, "mIHC" : {"fullname" : "Multiplex immunohistochemistry", "shortname":"mIHC"}, "IP" : {"fullname" : "Immunoprecipitation", "shortname":"IP"}, "WB" : {"fullname" : "Western blot", "shortname":"WB"}, "ICCIF" : {"fullname" : "Immunocytochemistry/ Immunofluorescence", "shortname":"ICC/IF"}, "IHCP" : {"fullname" : "Immunohistochemistry (Formalin/PFA-fixed paraffin-embedded sections)", "shortname":"IHC-P"}, "FlowCytIntra" : {"fullname" : "Flow Cytometry (Intracellular)", "shortname":"Flow Cyt (Intra)"} }, "product-promise": { "all": "all", "testedAndGuaranteed": "tested", "guaranteed": "expected", "predicted": "predicted", "notRecommended": "not-recommended" } }, "values": { "Human": { "mIHC-species-checked": "testedAndGuaranteed", "mIHC-species-dilution-info": "1/6000", "mIHC-species-notes": "<p></p>", "IP-species-checked": "notRecommended", "IP-species-dilution-info": "1/60", "IP-species-notes": "<p></p>", "WB-species-checked": "testedAndGuaranteed", "WB-species-dilution-info": "1/50000 - 1/200000", "WB-species-notes": "<p><strong>For unpurified, use 1/10000 - 1/50000.</strong></p>", "ICCIF-species-checked": "testedAndGuaranteed", "ICCIF-species-dilution-info": "2 µg/mL", "ICCIF-species-notes": "<p><strong>For unpurified, use 1/50. Signal can be observed in cells fixed with either methanol or paraformaldehyde.</strong></p><p><strong>This product gave a positive signal in MCF7 (-ve: SH-SY5Y) fixed with 100% methanol (5 min).</strong></p>", "IHCP-species-checked": "testedAndGuaranteed", "IHCP-species-dilution-info": "1/400 - 1/800", "IHCP-species-notes": "<p><strong>For unpurified, use at 1/100.</strong></p> Perform heat-mediated antigen retrieval with Tris/EDTA buffer pH 9.0 before commencing with IHC staining protocol.", "FlowCytIntra-species-checked": "testedAndGuaranteed", "FlowCytIntra-species-dilution-info": "1/262500", "FlowCytIntra-species-notes": "<p><a href='/products/primary-antibodies/rabbit-igg-monoclonal-epr25a-isotype-control-ab172730'>ab172730</a> - Rabbit monoclonal IgG, is suitable for use as an isotype control with this antibody.</p>" }, "Mouse": { "mIHC-species-checked": "testedAndGuaranteed", "mIHC-species-dilution-info": "1/6000", "mIHC-species-notes": "<p></p> Perform heat-mediated antigen retrieval with Tris/EDTA buffer pH 9.0 before commencing with IHC staining protocol.", "IP-species-checked": "notRecommended", "IP-species-dilution-info": "1/60", "IP-species-notes": "<p></p>", "WB-species-checked": "testedAndGuaranteed", "WB-species-dilution-info": "1/50000 - 1/200000", "WB-species-notes": "<p><strong>For unpurified, use 1/10000 - 1/50000.</strong></p>", "ICCIF-species-checked": "guaranteed", "ICCIF-species-dilution-info": "", "ICCIF-species-notes": "", "IHCP-species-checked": "guaranteed", "IHCP-species-dilution-info": "", "IHCP-species-notes": "", "FlowCytIntra-species-checked": "guaranteed", "FlowCytIntra-species-dilution-info": "", "FlowCytIntra-species-notes": "" }, "Rat": { "mIHC-species-checked": "testedAndGuaranteed", "mIHC-species-dilution-info": "1/6000", "mIHC-species-notes": "<p></p> Perform heat-mediated antigen retrieval with Tris/EDTA buffer pH 9.0 before commencing with IHC staining protocol.", "IP-species-checked": "notRecommended", "IP-species-dilution-info": "", "IP-species-notes": "", "WB-species-checked": "guaranteed", "WB-species-dilution-info": "", "WB-species-notes": "", "ICCIF-species-checked": "guaranteed", "ICCIF-species-dilution-info": "", "ICCIF-species-notes": "", "IHCP-species-checked": "guaranteed", "IHCP-species-dilution-info": "", "IHCP-species-notes": "", "FlowCytIntra-species-checked": "guaranteed", "FlowCytIntra-species-dilution-info": "", "FlowCytIntra-species-notes": "" } } }

产品详情

Anti-Cytokeratin 19 antibody [EP1580Y] - Cytoskeleton Marker (ab52625) was developed by Abcam using patented rabbit monoclonal antibody technology and is validated for use in Flow Cyt (Intra), ICC/IF, IHC-P, WB and mIHC.

Anti-Cytokeratin 19 antibody [EP1580Y] - Cytoskeleton Marker (ab52625) was first used in a scientific publication in 2008 and has been cited over 231 times in peer reviewed journals. It's performance in IHC in mouse and human samples is trusted by the scientific community.

Abcam's high quality manufacturing and validation processes ensure Anti-Cytokeratin 19 antibody [EP1580Y] - Cytoskeleton Marker (ab52625) has high sensitivity and specificity alongside high lot-to-lot consistency and reproducibility.

Anti-Cytokeratin 19 antibody [EP1580Y] - Cytoskeleton Marker (ab52625) has 13 independent reviews from customers.

Anti-Cytokeratin 19 antibody [EP1580Y] - Cytoskeleton Marker (ab52625) specifically detects Cytokeratin 19 (UniProt ID: P08727; Molecular weight: 45kDa) and is sold in a convenient trial size to enable initial testing (20 µL) and larger sizes for subsequent scaling up experiments (100 µL and 1 mL).

Conjugation-ready, carrier free format available for antibody clone EP1580Y - ab195872.

Antibody clone EP1580Y is also available pre-conjugated to a variety of labels for your convenience - Alexa Fluor® 488, Alexa Fluor® 647, HRP, Alexa Fluor® 594, Alexa Fluor® 555, Alexa Fluor® 568, APC, PE (ab192643, ab192980, ab193600, ab203443, ab203444, ab203445, ab224980, ab224981).

Cytokeratin 19 (CK19) is a protein marker used to identify epithelial cancers, particularly in the liver, pancreas and gastrointestinal tract, where its presence is often associated with aggressive tumor behaviour and poor prognosis; it is considered a valuable tool for diagnosing and assessing the potential aggressiveness of certain cancers, particularly when positive staining is observed in tumor cells.

Patented technology
Our RabMAb® technology is a patented hybridoma-based technology for making rabbit monoclonal antibodies. For details on our patents, please refer to RabMAb® patents.

What are the advantages of a recombinant monoclonal antibody?
This product is a recombinant monoclonal antibody, which offers several advantages including:

  • - High batch-to-batch consistency and reproducibility
  • - Improved sensitivity and specificity
  • - Long-term security of supply
  • - Animal-free batch production

For more information, read more on recombinant antibodies.

性能和储存信息

形式
Liquid
纯化工艺
Affinity purification Protein A
存储溶液
pH: 7.2 - 7.4 Preservative: 0.01% Sodium azide Constituents: PBS, 40% Glycerol (glycerin, glycerine), 0.05% BSA
运输条件
Blue Ice
推荐的短期储存条件
+4°C
推荐的长期储存条件
-20°C
分装信息
Upon delivery aliquot
储存信息
Avoid freeze / thaw cycle

补充信息

This supplementary information is collated from multiple sources and compiled automatically.

Cytokeratin 19 (CK19) also known as cytokera­tine 19 keratin 19 (KRT19) or CK19 is a type of intermediate filament found in epithelial cells. It serves as an essential component of the cytoskeleton. CK19 weighs approximately 40 kDa and is broadly expressed in simple epithelial tissues including liver intestine and various glandular epithelial cells. As a cytokeratin marker it often appears in combination with others like cytokeratin 17 in certain tissue types helping to maintain the structural integrity of cells.
Biological function summary

CK19 plays a role in maintaining the cytoskeletal framework that provides mechanical support and helps control cell size and shape. It is not part of a large protein complex but works closely with other cytokeratins to ensure the stability and resilience of epithelial tissues. The A53-B/A22.26 positive staining is often used to confirm its presence in clinical histopathology.

Pathways

CK19 connects to cellular processes especially involving the keratinization and epithelial cell differentiation pathways. It interacts with other cytokeratins including BA16 and KR17 to facilitate these processes. This interaction aids in modulating the dynamics of cytoskeletal rearrangement during cell movement division and differentiation.

CK19 overexpression is linked with certain cancers notably hepatocellular carcinoma and breast cancer. It can serve as a prognostic marker in these diseases often in conjunction with other markers like CK17. The involvement of CK19 in the epithelial-mesenchymal transition (EMT) process connects it to the progression and aggressiveness of tumors facilitated by interactions with proteins involved in EMT pathways.

产品实验方案

For this product, it's our understanding that no specific protocols are required. You can visit:

靶点信息

Involved in the organization of myofibers. Together with KRT8, helps to link the contractile apparatus to dystrophin at the costameres of striated muscle.
See full target information KRT19

文献 (380)

Recent publications for all applications. Explore the full list and refine your search

Hepatology (Baltimore, Md.) : PubMed41370247

2025

Spatiotemporal landscape of intrahepatic cholangiocarcinoma liver metastasis at the single-cell level.

Applications

mIHC

Species

Human

Ziyu Xun,Hao Wang,Zhengfeng Xuan,Kexu Xiong,Nan Zhang,Junyu Long,Huishan Sun,Yiran Li,Chengpei Zhu,Mingjian Piao,Ting Zhang,Longhao Zhang,Shuofeng Li,Chengjie Li,Jiongyuan Li,Boyu Sun,Zixiang Zhou,Shanshan Wang,Ziyue Huang,Kai Liu,Yang Tan,Xiaohua Shi,Xiaobo Yang,Hanping Wang,Ling Lu,Haitao Zhao

Signal transduction and targeted therapy 10:316 PubMed40987771

2025

An aptamer-drug conjugate for promising cancer therapy with comprehensive evaluation from rodents to non-human primates.

Applications

Unspecified application

Species

Unspecified reactive species

Minhui Su,Yuan Liu,Hongxin Lin,Xiaoxing Wang,Danxia Ying,Lizhuan Zhang,Cai Yang,Mengyuan Jiang,Lujuan Xu,Xie Wang,Yang Sun,Haiyan Xu,Ziwen Zhang,Xiaojia Wang,Ting Fu,Sitao Xie,Jiaxuan He,Xiangsheng Liu,Weihong Tan

Gastro hep advances 4:100745 PubMed40937171

2025

Beta-Klotho Protein Expression in Healthy Human Tissues and Liver Biopsies From Patients With MASLD or MASH.

Applications

Unspecified application

Species

Unspecified reactive species

Alexandra S Aaldijk,Dicky Struik,Stan Driessen,Cristy R C Verzijl,Joanne Verheij,Max Nieuwdorp,Roos Eilers,Justina C Wolters,Adriaan G Holleboom,Johan W Jonker

Cellular oncology (Dordrecht, Netherlands) 48:1395-1411 PubMed40890537

2025

RACK1 attenuates pancreatic tumorigenesis by suppressing acinar-to-ductal metaplasia through inflammatory signaling modulation.

Applications

Unspecified application

Species

Unspecified reactive species

Wei Zhang,Tingting Jiang,Huiqing Zhang,Fang Wei,Xiaojia Li,Keping Xie

Nature genetics : PubMed40825871

2025

Tracing the evolution of single-cell 3D genomes in Kras-driven cancers.

Applications

Unspecified application

Species

Unspecified reactive species

Miao Liu,Shengyan Jin,Sherry S Agabiti,Tyler B Jensen,Tianqi Yang,Jonathan S D Radda,Christian F Ruiz,Gabriel Baldissera,Moein Rajaei,Fang-Yong Li,Jeffrey P Townsend,Mandar Deepak Muzumdar,Siyuan Wang

Nature 644:516-526 PubMed40681898

2025

Pathology-oriented multiplexing enables integrative disease mapping.

Applications

Unspecified application

Species

Unspecified reactive species

Malte Kuehl,Yusuke Okabayashi,Milagros N Wong,Lukas Gernhold,Gabriele Gut,Nico Kaiser,Maria Schwerk,Stefanie K Gräfe,Frank Y Ma,Jovan Tanevski,Philipp S L Schäfer,Sam Mezher,Jacobo Sarabia Del Castillo,Thiago Goldbeck-Strieder,Olga Zolotareva,Michael Hartung,Fernando M Delgado Chaves,Lukas Klinkert,Ann-Christin Gnirck,Marc Spehr,David Fleck,Mehdi Joodaki,Victor Parra,Mina Shaigan,Martin Diebold,Marco Prinz,Jennifer Kranz,Johan M Kux,Fabian Braun,Oliver Kretz,Hui Wu,Florian Grahammer,Sven Heins,Marina Zimmermann,Fabian Haas,Dominik Kylies,Nicola Wanner,Jan Czogalla,Bernhard Dumoulin,Nikolay Zolotarev,Maja Lindenmeyer,Pall Karlson,Jens R Nyengaard,Marcial Sebode,Sören Weidemann,Thorsten Wiech,Hermann-Josef Groene,Nicola M Tomas,Catherine Meyer-Schwesinger,Christoph Kuppe,Rafael Kramann,Alexandre Karras,Patrick Bruneval,Pierre-Louis Tharaux,Diego Pastene,Benito Yard,Jennifer A Schaub,Phillip J McCown,Laura Pyle,Ye Ji Choi,Takashi Yokoo,Jan Baumbach,Pablo J Sáez,Ivan Costa,Jan-Eric Turner,Jeffrey B Hodgin,Julio Saez-Rodriguez,Tobias B Huber,Petter Bjornstad,Matthias Kretzler,Olivia Lenoir,David J Nikolic-Paterson,Lucas Pelkmans,Stefan Bonn,Victor G Puelles

Cellular and molecular gastroenterology and hepatology 19:101588 PubMed40681041

2025

Differential Protective Roles of c-Jun N-terminal Kinase-2 in Nonparenchymal Liver Cells and Hepatocytes During Cholestasis.

Applications

Unspecified application

Species

Unspecified reactive species

Mohamed Ramadan Mohamed,Gang Zhao,Ines Volkert,Antonio Molinaro,Carolin V Schneider,Pavel Strnad,Jan G Hengstler,Chi Xu,Roger J Davis,Kai Markus Schneider,Francisco Javier Cubero,Christian Trautwein

Frontiers in cell and developmental biology 13:1579121 PubMed40655943

2025

Single-cell analysis reveals the spatiotemporal effects of long-term electromagnetic field exposure on the liver.

Applications

Unspecified application

Species

Unspecified reactive species

Mingming Zhang,Zhichun Lv,Lingping Zhao,Quan Zeng,Yunqiang Wu,Junnian Zhou,Jiafei Xi,Xuetao Pei,Haiyang Wang,Changyan Li,Wen Yue

Hepatology communications 9: PubMed40536537

2025

Rbpj deletion in hepatic progenitor cells attenuates endothelial responses and fibrosis in DDC-fed mice.

Applications

Unspecified application

Species

Unspecified reactive species

Sanghoon Lee,Lu Ren,Weiwei Li,Aditi Paranjpe,Ping Zhou,Andrew Potter,Stacey S Huppert,Soona Shin

Journal of cellular and molecular medicine 29:e70590 PubMed40525915

2025

CuATSM Enhances Wound Repair Without Scarring via Hippo/YAP Signalling Pathway to Reduce Ferroptosis and Macrophage Polarisation.

Applications

Unspecified application

Species

Unspecified reactive species

Yingdan Tang,Jiazong Ye,Tingye Xu,Yuhuan Sun,Weiyang Meng,Lielie Zhu,Zhongheng Jia,Qian Wu,Daqing Chen,Fangfang Wu
View all publications

Abcam Product Promise

我们致力于为您的研究提供高质量的试剂,为您科研的每一步提供支持。若我们的产品未能达到预期性能,我们向您提供 Abcam Product Promise 保障。
详情请参阅我们的条款与条件。

Please note: All products are 'FOR RESEARCH USE ONLY. NOT FOR USE IN DIAGNOSTIC OR THERAPEUTIC PROCEDURES'.

For licensing inquiries, please contact partnerships@abcam.com