JavaScript is disabled in your browser. Please enable JavaScript to view this website.
AB197893

重组Anti-Cytokeratin 14抗体[EPR17336]

Anti-Cytokeratin 14 antibody [EPR17336]

Be the first to review this product! Submit a review

|

(3 Publications)

Rabbit Recombinant Monoclonal Cytokeratin 14 antibody. Suitable for WB, IHC-P and reacts with Mouse, Rat, Human samples. Cited in 3 publications.

查看别名

Cytokeratin-14, Keratin-14, CK-14, K14, KRT14

5 Images
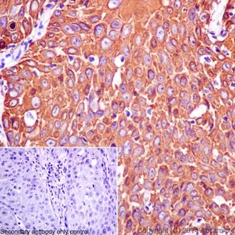
Immunohistochemistry (Formalin/PFA-fixed paraffin-embedded sections) - Anti-Cytokeratin 14 antibody [EPR17336] (AB197893)
  • IHC-P

Supplier Data

Immunohistochemistry (Formalin/PFA-fixed paraffin-embedded sections) - Anti-Cytokeratin 14 antibody [EPR17336] (AB197893)

Immunohistochemical analysis of paraffin-embedded Humansquamous cell carcinoma of cervix tissue labeling Cytokeratin 14 using ab197893 at 1/500 dilution. A Goat Anti-Rabbit IgG H&L (HRP) (ab97051) was used as secondary at 1/500 dilution. Counterstain : Hematoxylin.
Inset image : negative control obtained using PBS instead of ab197893 and secondary antibody only.
Note : Cytoplasm staining on human squamous cell carcinoma of cervix tissue was observed.

Perform heat mediated antigen retrieval with Tris/EDTA buffer pH 9.0 before commencing with IHC staining protocol.

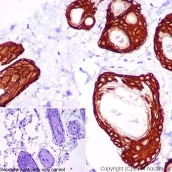
Immunohistochemistry (Formalin/PFA-fixed paraffin-embedded sections) - Anti-Cytokeratin 14 antibody [EPR17336] (AB197893)
  • IHC-P

Supplier Data

Immunohistochemistry (Formalin/PFA-fixed paraffin-embedded sections) - Anti-Cytokeratin 14 antibody [EPR17336] (AB197893)

Immunohistochemical analysis of paraffin-embedded Mouse skin tissue labeling Cytokeratin 14 using ab197893 at 1/500 dilution. A Goat Anti-Rabbit IgG H&L (HRP) (ab97051) was used as secondary at 1/500 dilution. Counterstain : Hematoxylin.
Inset image : negative control obtained using PBS instead of ab197893 and secondary antibody only.
Note : Cytoplasm staining on mouse skin tissue was observed.

Perform heat mediated antigen retrieval with Tris/EDTA buffer pH 9.0 before commencing with IHC staining protocol.

Western blot - Anti-Cytokeratin 14 antibody [EPR17336] (AB197893)
  • WB

Supplier Data

Western blot - Anti-Cytokeratin 14 antibody [EPR17336] (AB197893)

5% NFDM/TBST : Blocking and diluting buffer.

All lanes:

Western blot - Anti-Cytokeratin 14 antibody [EPR17336] (ab197893) at 1/50000 dilution

All lanes:

human fetal skin lysate at 10 µg

Secondary

All lanes:

Anti-Rabbit IgG (HRP), specific to the non-reduced form of IgG at 1/1000 dilution

Predicted band size: 52 kDa

Observed band size: 53 kDa

false

Exposure time: 30s

Western blot - Anti-Cytokeratin 14 antibody [EPR17336] (AB197893)
  • WB

Supplier Data

Western blot - Anti-Cytokeratin 14 antibody [EPR17336] (AB197893)

5% NFDM/TBST : Blocking and diluting buffer.

The expression of Cytokeratin 14 is basal cells of epidermis and other stratified epithelia. Lanes 3-10 represent Cytokeratin 14 negative tissues and cell lines.

All lanes:

Western blot - Anti-Cytokeratin 14 antibody [EPR17336] (ab197893) at 1/50000 dilution

Lane 1:

Mouse skin lysate at 20 µg

Lane 2:

Rat skin lysate at 20 µg

Lane 3:

Rat brain lysate at 10 µg

Lane 4:

Rat heart lysate at 10 µg

Lane 5:

Rat kidney lysate at 10 µg

Lane 6:

Rat spleen lysate at 10 µg

Lane 7:

C6(Rat glial tumor cells) whole cell lysate at 10 µg

Lane 8:

Raw264.7(Mouse macrophage cells transformed with Abelson murine leukemia virus ) whole cell lysate at 10 µg

Lane 9:

PC-12(Rat adrenal gland pheochromocytoma) whole cell lysate at 10 µg

Lane 10:

NIH/3T3 (Mouse embyro fibroblast cells) whole cell lysate at 10 µg

Secondary

All lanes:

Goat Anti-Rabbit IgG, (H+L), Peroxidase conjugated at 1/1000 dilution

Predicted band size: 52 kDa

Observed band size: 53 kDa

false

Exposure time: 30s

Western blot - Anti-Cytokeratin 14 antibody [EPR17336] (AB197893)
  • WB

Lab

Western blot - Anti-Cytokeratin 14 antibody [EPR17336] (AB197893)

Lanes 1 - 4 : Merged signal (red and green). Green - ab197893 observed at 52 kDa. Red - loading control, ab8245 (Mouse anti-GAPDH antibody [6C5]) observed at 37kDa.

ab197893 was shown to react with KRT14 in A431 wild-type cells in Western blot. Loss of signal was observed when KRT14 knockout sample was used. A431 wild-type and KRT14 knockout cell lysates were subjected to SDS-PAGE. Membranes were blocked in 3% Milk in TBS-T (0.1% Tween®) before incubation with ab197893 and ab8245 (Mouse anti-GAPDH antibody [6C5]) overnight at 4°C at a 1 in 50000 dilution and a 1 in 20000 dilution respectively. Blots were developed with Goat anti-Rabbit IgG H&L (IRDye® 800CW) preabsorbed (ab216773) and Goat anti-Mouse IgG H&L (IRDye® 680RD) preabsorbed (ab216776) secondary antibodies at 1 in 20000 dilution for 1 hour at room temperature before imaging.

All lanes:

Western blot - Anti-Cytokeratin 14 antibody [EPR17336] (ab197893) at 1/50000 dilution

Lane 1:

Wild-type A-431 (Human epidermoid carcinoma cell line) whole cell lysate at 20 µg

Lane 2:

KRT14 knockout A-431 (Human epidermoid carcinoma cell line) whole cell lysate at 20 µg

Lane 2:

Western blot - Human KRT14 (Cytokeratin 14) knockout A-431 cell line (<a href='/products/cell-lines/human-krt14-cytokeratin-14-knockout-a-431-cell-line-ab261897'>ab261897</a>)

Lane 3:

Human skin whole tissue lysate at 20 µg

Lane 4:

MCF7 (Human breast adenocarcinoma cell line) whole cell lysate at 20 µg

Predicted band size: 52 kDa

Observed band size: 52 kDa

false

关键信息

宿主种属

Rabbit

克隆

Monoclonal

克隆号

EPR17336

亚型

IgG

不含载体蛋白

No

反应种属

Mouse, Rat, Human

应用

IHC-P, WB

applications

免疫原

The exact immunogen used to generate this antibody is proprietary information.

反应性数据

{ "title": "Reactivity Data", "filters": { "stats": ["", "Species", "Dilution Info", "Notes"], "tabs": { "all-applications": {"fullname" : "All Applications", "shortname": "All Applications"}, "WB" : {"fullname" : "Western blot", "shortname":"WB"}, "IHCP" : {"fullname" : "Immunohistochemistry (Formalin/PFA-fixed paraffin-embedded sections)", "shortname":"IHC-P"} }, "product-promise": { "all": "all", "testedAndGuaranteed": "tested", "guaranteed": "expected", "predicted": "predicted", "notRecommended": "not-recommended" } }, "values": { "Human": { "WB-species-checked": "testedAndGuaranteed", "WB-species-dilution-info": "1/50000", "WB-species-notes": "<p></p>", "IHCP-species-checked": "testedAndGuaranteed", "IHCP-species-dilution-info": "1/500", "IHCP-species-notes": "<p></p>" }, "Mouse": { "WB-species-checked": "testedAndGuaranteed", "WB-species-dilution-info": "1/50000", "WB-species-notes": "<p></p>", "IHCP-species-checked": "testedAndGuaranteed", "IHCP-species-dilution-info": "1/500", "IHCP-species-notes": "<p></p>" }, "Rat": { "WB-species-checked": "testedAndGuaranteed", "WB-species-dilution-info": "1/50000", "WB-species-notes": "<p></p>", "IHCP-species-checked": "guaranteed", "IHCP-species-dilution-info": "", "IHCP-species-notes": "" } } }

产品详情

Patented technology
Our RabMAb® technology is a patented hybridoma-based technology for making rabbit monoclonal antibodies. For details on our patents, please refer to RabMAb® patents.

What are the advantages of a recombinant monoclonal antibody?
This product is a recombinant monoclonal antibody, which offers several advantages including:

  • - High batch-to-batch consistency and reproducibility
  • - Improved sensitivity and specificity
  • - Long-term security of supply
  • - Animal-free batch production

For more information, read more on recombinant antibodies.

性能和储存信息

形式
Liquid
纯化工艺
Affinity purification Protein A
存储溶液
pH: 7.2 - 7.4 Preservative: 0.01% Sodium azide Constituents: PBS, 50% Glycerol (glycerin, glycerine), 0.05% BSA
运输条件
Blue Ice
推荐的短期储存时间
1-2 weeks
推荐的短期储存条件
+4°C
推荐的长期储存条件
-20°C
分装信息
Upon delivery aliquot
储存信息
Avoid freeze / thaw cycle

补充信息

This supplementary information is collated from multiple sources and compiled automatically.

Cytokeratin 14 also known as CK14 keratin 14 or KRT14 is a type I keratin protein with a molecular mass of approximately 50 kDa. It forms intermediate filaments in epithelial cells primarily in the basal layer of stratified epithelium and is part of the cytoskeleton. Cytokeratin 14 expression appears in tissues such as the epidermis tongue and esophagus where it contributes to the structural integrity and mechanical stability of cells. Laboratories often utilize antibodies like anti-K14 and labels such as Alexa Fluor 555 or Alexa Fluor 647 to identify cytokeratin 14 in research settings.
Biological function summary

This protein significantly contributes to the maintenance and regeneration of epithelial tissues by forming a network of filaments with keratin 5. KRT14 pairs with keratin 5 to create a keratin intermediate filament complex which plays a structural role in the resilience and elasticity of epithelial tissues. This partnership is essential for the assembly of the cytoskeleton and supports the protective barrier function of the skin and related tissues.

Pathways

Cytokeratin 14 engages in pivotal cellular processes like keratinization and wound healing. The protein is actively involved in signal transduction pathways such as the epithelial cell differentiation pathway. Within these pathways KRT14 collaborates with KRT5 and other structural proteins to regulate cell proliferation and differentiation reflecting its importance in skin health and function.

Cytokeratin 14 associates with specific genetic conditions including epidermolysis bullosa simplex (EBS) and squamous cell carcinoma (SCC). In EBS mutations in the KRT14 gene lead to skin fragility. In SCC altered expression of KRT14 and related proteins such as keratin 5 can influence tumor progression and invasion. These associations highlight the critical role of KRT14 in both normal and pathological epithelial function.

产品实验方案

For this product, it's our understanding that no specific protocols are required. You can visit:

靶点信息

The nonhelical tail domain is involved in promoting KRT5-KRT14 filaments to self-organize into large bundles and enhances the mechanical properties involved in resilience of keratin intermediate filaments in vitro.
See full target information Keratin, type I cytoskeletal 14

文献 (3)

Recent publications for all applications. Explore the full list and refine your search

Genome biology 24:248 PubMed37904237

2023

Landscape of enhancer disruption and functional screen in melanoma cells.

Applications

Unspecified application

Species

Unspecified reactive species

Zhao Wang,Menghan Luo,Qian Liang,Ke Zhao,Yuelin Hu,Wei Wang,Xiangling Feng,Bolang Hu,Jianjin Teng,Tianyi You,Ran Li,Zhengkai Bao,Wenhao Pan,Tielong Yang,Chao Zhang,Ting Li,Xiaobao Dong,Xianfu Yi,Ben Liu,Li Zhao,Miaoxin Li,Kexin Chen,Weihong Song,Jilong Yang,Mulin Jun Li

Sovremennye tekhnologii v meditsine 15:5-13 PubMed39967917

2023

The Model of an Ischemic Non-Healing Wound: Regeneration after Transplantation of a Living Skin.

Applications

Unspecified application

Species

Unspecified reactive species

E I Morgun,K K Sukhinich,O S Rogovaya,E A Vorotelyak

Nature communications 13:4951 PubMed35999236

2022

Covalent TCR-peptide-MHC interactions induce T cell activation and redirect T cell fate in the thymus.

Applications

Unspecified application

Species

Unspecified reactive species

Christopher Szeto,Pirooz Zareie,Rushika C Wirasinha,Justin B Zhang,Andrea T Nguyen,Alan Riboldi-Tunnicliffe,Nicole L La Gruta,Stephanie Gras,Stephen R Daley
View all publications

Abcam Product Promise

我们致力于为您的研究提供高质量的试剂,为您科研的每一步提供支持。若我们的产品未能达到预期性能,我们向您提供 Abcam Product Promise 保障。
详情请参阅我们的条款与条件。

Please note: All products are 'FOR RESEARCH USE ONLY. NOT FOR USE IN DIAGNOSTIC OR THERAPEUTIC PROCEDURES'.

For licensing inquiries, please contact partnerships@abcam.com