JavaScript is disabled in your browser. Please enable JavaScript to view this website.
AB76318

Anti-Cytokeratin 10 抗体 [EP1607IHCY] - Cytoskeleton Marker

Anti-Cytokeratin 10 antibody [EP1607IHCY] - Cytoskeleton Marker

5

(14 Reviews)

|

(182 Publications)

Anti-Cytokeratin 10 antibody [EP1607IHCY] - Cytoskeleton Marker (ab76318) is a rabbit monoclonal antibody detecting Cytokeratin 10 in Western Blot, IHC-P, ICC/IF. Suitable for Human, Mouse, Rat.

- Biophysical QC for unrivalled batch-batch consistency
- Over 120 publications
- Trusted since 2009

查看别名

KPP, KRT10, Cytokeratin-10, Keratin-10, CK-10, K10

12 Images
Immunocytochemistry/ Immunofluorescence - Anti-Cytokeratin 10 antibody [EP1607IHCY] - Cytoskeleton Marker (AB76318)
  • ICC/IF

Unknown

Immunocytochemistry/ Immunofluorescence - Anti-Cytokeratin 10 antibody [EP1607IHCY] - Cytoskeleton Marker (AB76318)

Immunocytochemistry/Immunofluorescence analysis of HACAT cells labelling Cytokeratin 10 with purified ab76318 at 1/150. Cells were fixed with 4% paraformaldehyde and permeabilized with 0.1% Triton X-100. ab150077, an Alexa Fluor® 488-conjugated goat anti-rabbit IgG (1/500) was used as the secondary antibody. DAPI (blue) was used as the nuclear counterstain. ab7291, a mouse anti-tubulin (1/500) and ab150120, an Alexa Fluor® 594-conjugated goat anti-mouse IgG (1/500) were also used.

Control 1 : primary antibody (1/100) and secondary antibody, ab150120, an Alexa Fluor® 594-conjugated goat anti-mouse IgG (1/500).

Control 2 : ab7291 (1/1000) and secondary antibody, ab150077, an Alexa Fluor® 488-conjugated goat anti-rabbit IgG (1/500).

Immunohistochemistry (Formalin/PFA-fixed paraffin-embedded sections) - Anti-Cytokeratin 10 antibody [EP1607IHCY] - Cytoskeleton Marker (AB76318)
  • IHC-P

Lab

Immunohistochemistry (Formalin/PFA-fixed paraffin-embedded sections) - Anti-Cytokeratin 10 antibody [EP1607IHCY] - Cytoskeleton Marker (AB76318)

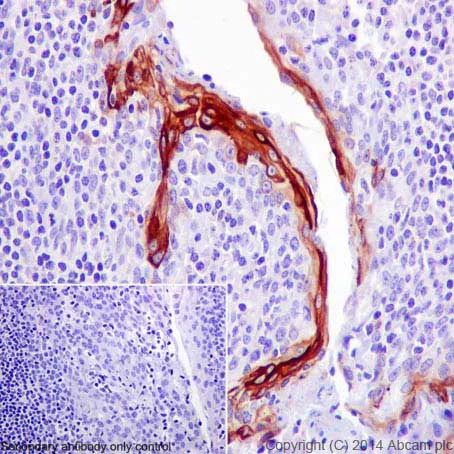
Immunohistochemical analysis of formalin fixed paraffin embedded human tonsil labelling Cytokeratin 10 with ab76318 at a concentration of 0.5µg/ml. The immunostaining was performed on a Ventana DISCOVERY ULTRA (Roche Tissue Diagnostics) instrument with a OptiView DAB IHC Detection Kit. Heat mediated antigen retrieval was performed with DISCOVERY cell conditioning solution (CC1) 100°C, pH8.5 for 32 mins. ab76318 Anti-Cytokeratin 10 antibody [EP1607IHCY] was incubated for 16 mins at 37°C. Sections were counterstained with Hematoxylin II. Image inset shows absence of staining in secondary antibody only control.

Customers are encouraged to optimise antigen retrieval conditions, antibody concentration, incubation times and temperature for best results in their own IHC assay workflow (automated and manual).

Immunohistochemistry (Formalin/PFA-fixed paraffin-embedded sections) - Anti-Cytokeratin 10 antibody [EP1607IHCY] - Cytoskeleton Marker (AB76318)
  • IHC-P

Unknown

Immunohistochemistry (Formalin/PFA-fixed paraffin-embedded sections) - Anti-Cytokeratin 10 antibody [EP1607IHCY] - Cytoskeleton Marker (AB76318)

Immunohistochemistry (Formalin/PFA-fixed paraffin-embedded sections) analysis of human tonsil tissue labelling Cytokeratin 10 with purified ab76318 at 1/5000. Heat mediated antigen retrieval was performed using Tris/EDTA buffer pH 9. ab97051, a HRP-conjugated goat anti-rabbit IgG (H+L) was used as the secondary antibody (1/500). Negative control using PBS instead of primary antibody. Counterstained with hematoxylin.

Immunohistochemistry (Formalin/PFA-fixed paraffin-embedded sections) - Anti-Cytokeratin 10 antibody [EP1607IHCY] - Cytoskeleton Marker (AB76318)
  • IHC-P

Unknown

Immunohistochemistry (Formalin/PFA-fixed paraffin-embedded sections) - Anti-Cytokeratin 10 antibody [EP1607IHCY] - Cytoskeleton Marker (AB76318)

Immunohistochemistry (Formalin/PFA-fixed paraffin-embedded sections) analysis of human normal skin tissue labelling Cytokeratin 10 with unpurified ab76318.

Green - CK10, red - PI.

Perform heat mediated antigen retrieval before commencing with IHC staining protocol.

Immunohistochemistry (Formalin/PFA-fixed paraffin-embedded sections) - Anti-Cytokeratin 10 antibody [EP1607IHCY] - Cytoskeleton Marker (AB76318)
  • IHC-P

Lab

Immunohistochemistry (Formalin/PFA-fixed paraffin-embedded sections) - Anti-Cytokeratin 10 antibody [EP1607IHCY] - Cytoskeleton Marker (AB76318)

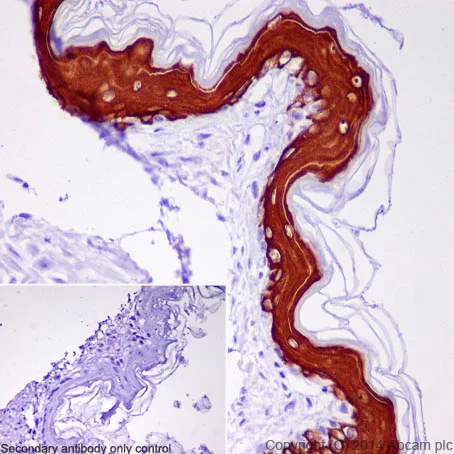
Immunohistochemical analysis of formalin fixed paraffin embedded human skin labelling Cytokeratin 10 with ab76318 at a concentration of 0.08µg/ml. The immunostaining was performed on a Ventana DISCOVERY ULTRA (Roche Tissue Diagnostics) instrument with a OptiView DAB IHC Detection Kit. Heat mediated antigen retrieval was performed with DISCOVERY cell conditioning solution (CC1) 100°C, pH8.5 for 32 mins. ab76318 Anti-Cytokeratin 10 antibody [EP1607IHCY] was incubated for 16 mins at 37°C. Sections were counterstained with Hematoxylin II. Image inset shows absence of staining in secondary antibody only control.

Customers are encouraged to optimise antigen retrieval conditions, antibody concentration, incubation times and temperature for best results in their own IHC assay workflow (automated and manual).

Immunohistochemistry (Formalin/PFA-fixed paraffin-embedded sections) - Anti-Cytokeratin 10 antibody [EP1607IHCY] - Cytoskeleton Marker (AB76318)
  • IHC-P

Unknown

Immunohistochemistry (Formalin/PFA-fixed paraffin-embedded sections) - Anti-Cytokeratin 10 antibody [EP1607IHCY] - Cytoskeleton Marker (AB76318)

Immunohistochemistry (Formalin/PFA-fixed paraffin-embedded sections) analysis of mouse skin tissue labelling Cytokeratin 10 with purified ab76318 at 1/5000. Heat mediated antigen retrieval was performed using Tris/EDTA buffer pH 9. ab97051, a HRP-conjugated goat anti-rabbit IgG (H+L) was used as the secondary antibody (1/500). Negative control using PBS instead of primary antibody. Counterstained with hematoxylin.

Immunohistochemistry (Formalin/PFA-fixed paraffin-embedded sections) - Anti-Cytokeratin 10 antibody [EP1607IHCY] - Cytoskeleton Marker (AB76318)
  • IHC-P

AbReview32716****

Immunohistochemistry (Formalin/PFA-fixed paraffin-embedded sections) - Anti-Cytokeratin 10 antibody [EP1607IHCY] - Cytoskeleton Marker (AB76318)

Immunohistochemistry (Formalin/PFA-fixed paraffin-embedded sections) analysis of mouse skin tissue labelling Cytokeratin 10 with unpurified ab76318 at a 1/10000 dilution. The sections were subjected to heat mediated antigen retrieval. The sections were then blocked using 1% BSA for 10 mins at 21°C. ab76318 was incubated for 2 hours at 21°C. A biotin-conjugated goat anti-rabbit IgG polyclonal was used as the secondary antibody (1/250).

This image is courtesy of an abreview submitted by Carl Hobbs, King's College London, United Kingdom

Western blot - Anti-Cytokeratin 10 antibody [EP1607IHCY] - Cytoskeleton Marker (AB76318)
  • WB

Unknown

Western blot - Anti-Cytokeratin 10 antibody [EP1607IHCY] - Cytoskeleton Marker (AB76318)

Blocking and diluting buffer : 5% NFDM/TBST.

All lanes:

Western blot - Anti-Cytokeratin 10 antibody [EP1607IHCY] - Cytoskeleton Marker (ab76318) at 1/50000 dilution

All lanes:

Human fetal skin tissue lysate at 20 µg

Secondary

All lanes:

Goat Anti-Rabbit IgG, (H+L), Peroxidase conjugated at 1/1000 dilution

Predicted band size: 59 kDa

Observed band size: 60 kDa

false

Western blot - Anti-Cytokeratin 10 antibody [EP1607IHCY] - Cytoskeleton Marker (AB76318)
  • WB

Unknown

Western blot - Anti-Cytokeratin 10 antibody [EP1607IHCY] - Cytoskeleton Marker (AB76318)

Blocking and diluting buffer : 5% NFDM/TBST.

All lanes:

Western blot - Anti-Cytokeratin 10 antibody [EP1607IHCY] - Cytoskeleton Marker (ab76318) at 1/10000 dilution

Lane 1:

HACAT cell lysate at 20 µg

Lane 2:

A431 cell lysate at 20 µg

Secondary

All lanes:

Goat Anti-Rabbit IgG, (H+L), Peroxidase conjugated at 1/1000 dilution

Predicted band size: 59 kDa

Observed band size: 60 kDa

false

Western blot - Anti-Cytokeratin 10 antibody [EP1607IHCY] - Cytoskeleton Marker (AB76318)
  • WB

Unknown

Western blot - Anti-Cytokeratin 10 antibody [EP1607IHCY] - Cytoskeleton Marker (AB76318)

Blocking and diluting buffer : 5% NFDM/TBST.

All lanes:

Western blot - Anti-Cytokeratin 10 antibody [EP1607IHCY] - Cytoskeleton Marker (ab76318) at 1/200000 dilution

All lanes:

Mouse skin tissue lysate at 10 µg

Secondary

All lanes:

Goat Anti-Rabbit IgG, (H+L), Peroxidase conjugated at 1/1000 dilution

Predicted band size: 59 kDa

Observed band size: 60 kDa

false

Western blot - Anti-Cytokeratin 10 antibody [EP1607IHCY] - Cytoskeleton Marker (AB76318)
  • WB

Unknown

Western blot - Anti-Cytokeratin 10 antibody [EP1607IHCY] - Cytoskeleton Marker (AB76318)

Blocking and diluting buffer : 5% NFDM/TBST.

All lanes:

Western blot - Anti-Cytokeratin 10 antibody [EP1607IHCY] - Cytoskeleton Marker (ab76318) at 1/50000 dilution

All lanes:

Rat skin tissue lysate at 20 µg

Secondary

All lanes:

Goat Anti-Rabbit IgG, (H+L), Peroxidase conjugated at 1/1000 dilution

Predicted band size: 59 kDa

Observed band size: 60 kDa

false

Western blot - Anti-Cytokeratin 10 antibody [EP1607IHCY] - Cytoskeleton Marker (AB76318)
  • WB

Unknown

Western blot - Anti-Cytokeratin 10 antibody [EP1607IHCY] - Cytoskeleton Marker (AB76318)

All lanes:

Western blot - Anti-Cytokeratin 10 antibody [EP1607IHCY] - Cytoskeleton Marker (ab76318) at 1/100000 dilution

All lanes:

HaCat cell lysate at 10 µg

Secondary

All lanes:

HRP-conjugated goat anti-rabbit IgG at 1/2000 dilution

Predicted band size: 59 kDa

Observed band size: 60 kDa

false

不同偶联物与剂型 (3)

  • HRP

    HRP Anti-Cytokeratin 10 antibody [EP1607IHCY]

  • Carrier free

    Anti-Cytokeratin 10 antibody [EP1607IHCY] - BSA and Azide free

  • 665 Alexa Fluor® 647

    Alexa Fluor® 647 Anti-Cytokeratin 10 antibody [EP1607IHCY]

关键信息

宿主种属

Rabbit

克隆

Monoclonal

克隆号

EP1607IHCY

亚型

IgG

不含载体蛋白

No

反应种属

Mouse, Rat, Human

应用

ICC/IF, WB, IHC-P

applications

免疫原

The exact immunogen used to generate this antibody is proprietary information.

特异性

Some customers have successfully used this antibody to staining Cytokeratin 10 in mouse tissue. Please see Abreviews for more details.

反应性数据

{ "title": "Reactivity Data", "filters": { "stats": ["", "Species", "Dilution Info", "Notes"], "tabs": { "all-applications": {"fullname" : "All Applications", "shortname": "All Applications"}, "IHCP" : {"fullname" : "Immunohistochemistry (Formalin/PFA-fixed paraffin-embedded sections)", "shortname":"IHC-P"}, "WB" : {"fullname" : "Western blot", "shortname":"WB"}, "ICCIF" : {"fullname" : "Immunocytochemistry/ Immunofluorescence", "shortname":"ICC/IF"} }, "product-promise": { "all": "all", "testedAndGuaranteed": "tested", "guaranteed": "expected", "predicted": "predicted", "notRecommended": "not-recommended" } }, "values": { "Human": { "IHCP-species-checked": "testedAndGuaranteed", "IHCP-species-dilution-info": "1/2500 - 1/5000", "IHCP-species-notes": "<p><strong>For unpurified use at 1/100 - 1/250.</strong></p><p><a href='/products/primary-antibodies/rabbit-igg-monoclonal-epr25a-isotype-control-ab172730'>ab172730</a> - Rabbit monoclonal IgG, is suitable for use as an isotype control with this antibody.</p> Perform heat-mediated antigen retrieval before commencing with IHC staining protocol.", "WB-species-checked": "testedAndGuaranteed", "WB-species-dilution-info": "1/10000", "WB-species-notes": "<p><strong>For unpurified use at 1/50000 - 1/100000.</strong></p>", "ICCIF-species-checked": "testedAndGuaranteed", "ICCIF-species-dilution-info": "1/150", "ICCIF-species-notes": "<p><strong>For unpurified use at 1/100 - 1/250.</strong></p>" }, "Mouse": { "IHCP-species-checked": "guaranteed", "IHCP-species-dilution-info": "", "IHCP-species-notes": "", "WB-species-checked": "testedAndGuaranteed", "WB-species-dilution-info": "1/10000", "WB-species-notes": "<p><strong>For unpurified use at 1/50000 - 1/100000.</strong></p>", "ICCIF-species-checked": "guaranteed", "ICCIF-species-dilution-info": "", "ICCIF-species-notes": "" }, "Rat": { "IHCP-species-checked": "guaranteed", "IHCP-species-dilution-info": "", "IHCP-species-notes": "", "WB-species-checked": "testedAndGuaranteed", "WB-species-dilution-info": "1/10000", "WB-species-notes": "<p><strong>For unpurified use at 1/50000 - 1/100000.</strong></p>", "ICCIF-species-checked": "guaranteed", "ICCIF-species-dilution-info": "", "ICCIF-species-notes": "" } } }

产品详情

Anti-Cytokeratin 10 antibody [EP1607IHCY] - Cytoskeleton Marker (ab76318) was developed by Abcam using patented rabbit monoclonal antibody technology and is validated for use in ICC/IF, IHC-P, WB in human, mouse, rat samples.

Anti-Cytokeratin 10 antibody [EP1607IHCY] - Cytoskeleton Marker (ab76318) has been cited over 129 times in peer reviewed journals and is trusted by the scientific community.

Abcams high quality manufacturing and validation processes ensure Anti-Cytokeratin 10 antibody [EP1607IHCY] - Cytoskeleton Marker (ab76318) has high sensitivity and specificity alongside high lot-to-lot consistency and reproducibility.

Anti-Cytokeratin 10 antibody [EP1607IHCY] - Cytoskeleton Marker (ab76318) has 13 independent reviews from customers.

Anti-Cytokeratin 10 antibody [EP1607IHCY] - Cytoskeleton Marker (ab76318) specifically detects Cytokeratin 10 (UniProt ID: P13645; Molecular weight: 59kDa) and is sold in 100 uL and 1 mL selling sizes.

Conjugation-ready, carrier free format available for antibody clone EP1607IHCY - ab2286.

Antibody clone EP1607IHCY is also available pre-conjugated to a variety of labels for your convenience - Alexa Fluor® 647, HRP (ab194231, ab194232).

Patented technology
Our RabMAb® technology is a patented hybridoma-based technology for making rabbit monoclonal antibodies. For details on our patents, please refer to RabMAb® patents.

What are the advantages of a recombinant monoclonal antibody?
This product is a recombinant monoclonal antibody, which offers several advantages including:

  • - High batch-to-batch consistency and reproducibility
  • - Improved sensitivity and specificity
  • - Long-term security of supply
  • - Animal-free batch production

For more information, read more on recombinant antibodies.

性能和储存信息

形式
Liquid
纯化工艺
Affinity purification Protein A
存储溶液
pH: 7.2 - 7.4 Preservative: 0.01% Sodium azide Constituents: PBS, 40% Glycerol (glycerin, glycerine), 0.05% BSA
运输条件
Blue Ice
推荐的短期储存时间
1-2 weeks
推荐的短期储存条件
+4°C
推荐的长期储存条件
-20°C
分装信息
Upon delivery aliquot
储存信息
Avoid freeze / thaw cycle

补充信息

This supplementary information is collated from multiple sources and compiled automatically.

Cytokeratin 10 also known as CK10 K10 or KRT10 is a type I keratin protein with a mass of about 59 kDa. Researchers recognize it as an important structural protein found mainly in the suprabasal layers of the epidermis where it contributes to maintaining the integrity and function of the skin barrier. Cytokeratin 10 is also expressed in other stratified squamous epithelia. Scientists use antibodies against cytokeratin 10 sometimes called 'lh2' and 'cytokeratin 10 anticuerpos' as neomarkers for identifying specific cell types in tissue studies.
Biological function summary

Keratin proteins like cytokeratin 10 provide mechanical stability to cells and tissues. Cytokeratin 10 forms a heterodimer with keratin 1 (KRT1) creating a complex that plays a critical role in the cytoskeleton of keratinocytes. This structure supports cellular resilience against mechanical stresses helping maintain the integrity of epithelial tissues. Keratin 10 function is essential for normal skin development and differentiation highlighting its significance in epidermal morphogenesis.

Pathways

Cytokeratin 10 is integral to the epidermal differentiation complex. This pathway involves many regulatory proteins and is essential for proper skin formation and repair. Cytokeratin 10 together with KRT1 contributes to the terminal differentiation of keratinocytes. Another key pathway is the cornification process where cytokeratin 10 helps form the protective outer layer of the skin. These biological roles place cytokeratin 10 at an essential point in maintaining skin homeostasis and function.

Abnormal expression or mutation of cytokeratin 10 leads to skin conditions like epidermolytic hyperkeratosis. This rare inherited disorder results in blistering and thickening of the skin. Cytokeratin 10 mutations often appear alongside changes in KRT1 due to their forming a functional pair indicating their collaborative role in disease manifestation. Additionally altered cytokeratin 10 expression can be associated with psoriasis as disrupted keratinocyte differentiation contributes to this inflammatory skin disease. Understanding these associations helps in studying and developing treatment strategies for skin disorders.

产品实验方案

For this product, it's our understanding that no specific protocols are required. You can visit:

靶点信息

Plays a role in the establishment of the epidermal barrier on plantar skin (By similarity). Involved in the maintenance of cell layer development and keratin filament bundles in suprabasal cells of the epithelium (By similarity).. (Microbial infection) Acts as a mediator of S.aureus adherence to desquamated nasal epithelial cells via clfB, and hence may play a role in nasal colonization.. (Microbial infection) Binds S.pneumoniae PsrP, mediating adherence of the bacteria to lung cell lines. Reduction of levels of KRT10 keratin decrease adherence, overexpression increases adherence. Neither protein has to be glycosylated for the interaction to occur.
See full target information KRT10

文献 (182)

Recent publications for all applications. Explore the full list and refine your search

Wound repair and regeneration : official publication of the Wound Healing Society [and] the European Tissue Repair Society 33:e70082 PubMed40880422

2025

Re-Epithelialisation in a Yorkshire Pig Full-Thickness Excisional Wound Model Is Associated With Keratinocyte Activation, Oxidative Stress, and Biomacromolecule Oxidation.

Applications

Unspecified application

Species

Unspecified reactive species

Dylan Tinney,John T Walker,Emily Truscott,Douglas W Hamilton

Investigative ophthalmology & visual science 66:59 PubMed40856653

2025

Single-Cell Transcriptomics Reveals Effects of Long-Term Contact Lens Wearing on the Human Corneal Epithelium.

Applications

Unspecified application

Species

Unspecified reactive species

Xiaowen Zhang,Di Sun,Ting Liu,Ning Wang,Shengqian Dou,Qun Wang,Dewei Li,Yi Song,Le Tian,Luqin Wan,Min Chen

Cells 14: PubMed40710298

2025

Bioengineering a Human Dermal Equivalent Using Induced Pluripotent Stem Cell-Derived Fibroblasts to Support the Formation of a Full-Thickness Skin Construct.

Applications

Unspecified application

Species

Unspecified reactive species

Lucy Smith,David Bunton,Michael Finch,Stefan Przyborski

Microbial genomics 11: PubMed40668089

2025

Insights into microbial dysbiosis and CAMP factor interactions in acne vulgaris.

Applications

Unspecified application

Species

Unspecified reactive species

Qi Chen,Congyu Liu,Juan Tao,Weihong Zeng,Zhongliang Zhu,Chengbing Yao,Yuhua Shang,Jun Tang,Tengchuan Jin

BMC oral health 25:1064 PubMed40604790

2025

Clinical outcomes of a peri-implant keratinized mucosa augmentation procedure using concentrated growth factor: a prospective case series.

Applications

Unspecified application

Species

Unspecified reactive species

Lu Zhan,Yang Yang,Xiwen Zhao,Chenbing Wang,Yi Man,Yili Qu

Methods in molecular biology (Clifton, N.J.) 2922:153-172 PubMed40208534

2025

Engineering a Multilayered Skin Equivalent: The Importance of Endogenous Extracellular Matrix and Model Flexibility for Nuanced and Accurate Skin Studies.

Applications

Unspecified application

Species

Unspecified reactive species

Lucy Smith,Victoria Maltman,Paola De Los Santos Gomez,Kirsty Goncalves,Stefan Przyborski

Brazilian journal of medical and biological research = Revista brasileira de pesquisas medicas e biologicas 58:e14121 PubMed40053036

2025

1α,25-Dihydroxyvitamin D3 accelerates skin wound re-epithelialization by promoting epidermal stem cell proliferation and differentiation through PI3K activation: an in vitro and in vivo study.

Applications

Unspecified application

Species

Unspecified reactive species

Rongshuai Yan,Zhihui Liu,Song Wang,Dongli Fan

Frontiers in pharmacology 16:1519066 PubMed40046735

2025

The clinically applied PARP inhibitor talazoparib ameliorates imiquimod-induced psoriasis in mice without reducing skin inflammation.

Applications

Unspecified application

Species

Unspecified reactive species

Petra Molnár,Máté Ágoston Demény,Beáta Várkonyi,Zsuzsanna Polgár,Ágnes Pór,Ilona Kovács,Andrea Szegedi,Attila Gábor Szöllősi,Magdolna Szántó

Burns & trauma 13:tkae065 PubMed40040959

2025

Single-cell RNA sequencing reveals the impaired epidermal differentiation and pathological microenvironment in diabetic foot ulcer.

Applications

Unspecified application

Species

Unspecified reactive species

Yiling Liu,Peng Wang,Jingting Li,Lei Chen,Bin Shu,Hanwen Wang,Hengdeng Liu,Shixin Zhao,Junli Zhou,Xiaodong Chen,Julin Xie

STAR protocols 6:103658 PubMed40042969

2025

Protocol to reconstruct an in vitro 3D full-thickness skin equivalent model with collagen I in 6- and 12-well inserts.

Applications

Unspecified application

Species

Unspecified reactive species

Khek-Chian Tham,Seong Soo Lim,Carine Bonnard,John E A Common
View all publications

Abcam Product Promise

我们致力于为您的研究提供高质量的试剂,为您科研的每一步提供支持。若我们的产品未能达到预期性能,我们向您提供 Abcam Product Promise 保障。
详情请参阅我们的条款与条件。

Please note: All products are 'FOR RESEARCH USE ONLY. NOT FOR USE IN DIAGNOSTIC OR THERAPEUTIC PROCEDURES'.

For licensing inquiries, please contact partnerships@abcam.com