JavaScript is disabled in your browser. Please enable JavaScript to view this website.
AB124921

Anti-Cytochrome P450 3A4/CYP3A4 抗体 [EPR6202]

Anti-Cytochrome P450 3A4/CYP3A4 antibody [EPR6202]

4

(1 Review)

|

(16 Publications)

Anti-Cytochrome P450 3A4/CYP3A4 antibody [EPR6202] (ab124921) is a rabbit monoclonal antibody detecting Cytochrome P450 3A4/CYP3A4 in Western Blot, IP, IHC-P. Suitable for Human.

- Biophysical QC for unrivalled batch-batch consistency
- Over 10 publications

查看别名

CYP3A3, CYP3A4, Cytochrome P450 3A4, Albendazole monooxygenase (sulfoxide-forming), Albendazole sulfoxidase, CYPIIIA3, CYPIIIA4, Cholesterol 25-hydroxylase, Cytochrome P450 3A3, Cytochrome P450 HLp, Cytochrome P450 NF-25, Cytochrome P450-PCN1, Nifedipine oxidase, Quinine 3-monooxygenase

8 Images
Immunohistochemistry (Formalin/PFA-fixed paraffin-embedded sections) - Anti-Cytochrome P450 3A4/CYP3A4 antibody [EPR6202] (AB124921)
  • IHC-P

Unknown

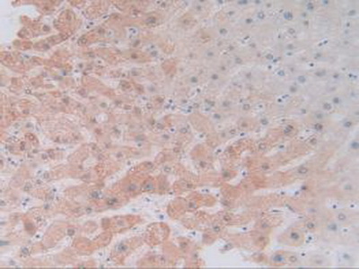
Immunohistochemistry (Formalin/PFA-fixed paraffin-embedded sections) - Anti-Cytochrome P450 3A4/CYP3A4 antibody [EPR6202] (AB124921)

Immunohistochemistry (Formalin/PFA-fixed paraffin-embedded sections) analysis of Human liver tissue sections labeling Cytochrome P450 3A4/CYP3A4 with purified ab124921 at 1/400 dilution (0.35 µg/ml). Perform heat mediated antigen retrieval using ab93684 (Tris/EDTA buffer, pH 9.0). ImmunoHistoProbe one step HRP Polymer (ready to use) was used as the secondary antibody. Negative control : PBS instead of the primary antibody. Hematoxylin was used as a counterstain.

Immunohistochemistry (Formalin/PFA-fixed paraffin-embedded sections) - Anti-Cytochrome P450 3A4/CYP3A4 antibody [EPR6202] (AB124921)
  • IHC-P

Unknown

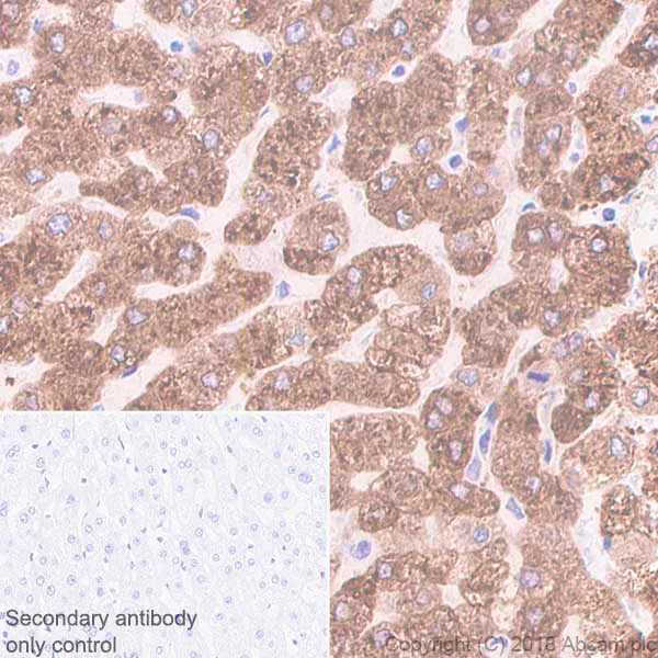
Immunohistochemistry (Formalin/PFA-fixed paraffin-embedded sections) - Anti-Cytochrome P450 3A4/CYP3A4 antibody [EPR6202] (AB124921)

ab124921 (unpurified), at a 1/100 dilution, staining Cytochrome P450 3A4/CYP3A4 in paraffin embedded Human liver tissue by Immunohistochemistry.

Immunoprecipitation - Anti-Cytochrome P450 3A4/CYP3A4 antibody [EPR6202] (AB124921)
  • IP

Unknown

Immunoprecipitation - Anti-Cytochrome P450 3A4/CYP3A4 antibody [EPR6202] (AB124921)

ab124921 (purified) at 1/20 dilution (1ug) immunoprecipitating Cytochrome P450 3A4/CYP3A4 in Human liver lysates.
Lane 1 : Human liver lysates 10ug
Lane 2 (+) : ab124921 & Human liver lysates
Lane 3 (-) : Rabbit monoclonal IgG (ab172730) instead of ab124921 in Human liver lysates
For western blotting, VeriBlot for IP Detection Reagent (HRP) (ab131366) was at 1/1000 dilution.
Blocking and diluting buffer : 5% NFDM/TBST.

All lanes:

Immunoprecipitation - Anti-Cytochrome P450 3A4/CYP3A4 antibody [EPR6202] (ab124921)

Predicted band size: 57 kDa

false

Western blot - Anti-Cytochrome P450 3A4/CYP3A4 antibody [EPR6202] (AB124921)
  • WB

Unknown

Western blot - Anti-Cytochrome P450 3A4/CYP3A4 antibody [EPR6202] (AB124921)

All lanes:

Western blot - Anti-Cytochrome P450 3A4/CYP3A4 antibody [EPR6202] (ab124921) at 1/10000 dilution

All lanes:

Human fetal liver lysate at 10 µg

Secondary

All lanes:

HRP labelled goat anti rabbit at 1/2000 dilution

Predicted band size: 57 kDa

false

Western blot - Anti-Cytochrome P450 3A4/CYP3A4 antibody [EPR6202] (AB124921)
  • WB

Unknown

Western blot - Anti-Cytochrome P450 3A4/CYP3A4 antibody [EPR6202] (AB124921)

HepG2 cells were incubated at 37°C for 48h with vehicle control (0 μM) and different concentrations of nicardipine hydrochloride (ab120531) in DMSO. Increased expression of Cytochrome P450 3A4/CYP3A4 (ab124921, unpurified) correlates with an increase in nicardipine hydrochloride concentration, as described in literature.

Whole cell lysates were prepared with RIPA buffer (containing protease inhibitors and sodium orthovanadate), 10μg of each were loaded on the gel and the WB was run under reducing conditions. After transfer the membrane was blocked for an hour using 5% BSA before being incubated with ab124921 (unpurified) at 1/10000 dilution and ab9484 at 1 μg /ml overnight at 4°C. Antibody binding was detected using an anti-rabbit antibody conjugated to HRP (ab97051) at 1/10000 dilution and visualised using ECL development solution.

All lanes:

Western blot - Anti-Cytochrome P450 3A4/CYP3A4 antibody [EPR6202] (ab124921)

Predicted band size: 57 kDa

true

Exposure time: 20min

Western blot - Anti-Cytochrome P450 3A4/CYP3A4 antibody [EPR6202] (AB124921)
  • WB

Lab

Western blot - Anti-Cytochrome P450 3A4/CYP3A4 antibody [EPR6202] (AB124921)

This antibody fails to detect BOI in normal HepG2 cells which is positive reported by PMID 26089940 and 25141173

All lanes:

Western blot - Anti-Cytochrome P450 3A4/CYP3A4 antibody [EPR6202] (ab124921) at 1/1000 dilution

Lane 1:

Human liver lysates at 20 µg

Lane 2:

HepG2 (Human hepatocellular carcinoma epithelial cell), Whole cell lysate at 20 µg

Secondary

All lanes:

Western blot - Goat Anti-Rabbit IgG H&L (HRP) (<a href='/products/secondary-antibodies/goat-rabbit-igg-h-l-hrp-ab97051'>ab97051</a>) at 1/20000 dilution

Predicted band size: 57 kDa

Observed band size: 50 kDa

false

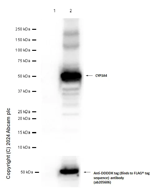
Western blot - Anti-Cytochrome P450 3A4/CYP3A4 antibody [EPR6202] (AB124921)
  • WB

Supplier Data

Western blot - Anti-Cytochrome P450 3A4/CYP3A4 antibody [EPR6202] (AB124921)

Blocking and diluting buffer and concentration : 5% NFDM/TBST.

ab205606 was used as a tag loading control.

The detection of CYP3A4 recombinant protein or over -expressed protein with a C - terminal tag yielded a negative result because the immunogen of this product is located at the C - terminal of CYP3A4.

All lanes:

Western blot - Anti-Cytochrome P450 3A4/CYP3A4 antibody [EPR6202] (ab124921) at 1/1000 dilution

Lane 1:

293T cells transfected with an empty vector containing a Flag tag whole cell lysate at 20 µg

Lane 2:

293T cells transfected with a human CYP3A4 expression vector containing a N-terminal Flag tag whole cell lysate at 20 µg

Secondary

All lanes:

Western blot - Goat Anti-Rabbit IgG H&L (HRP) (<a href='/products/secondary-antibodies/goat-rabbit-igg-h-l-hrp-ab97051'>ab97051</a>) at 1/20000 dilution

Observed band size: 50 kDa

false

Exposure time: 1s

OI-RD Scanning - Anti-Cytochrome P450 3A4/CYP3A4 antibody [EPR6202] (AB124921)
  • OI-RD Scanning

Supplier Data

OI-RD Scanning - Anti-Cytochrome P450 3A4/CYP3A4 antibody [EPR6202] (AB124921)

We have systematically measured KD (the equilibrium dissociation constant between the antibody and its antigen) of more than 840 recombinant antibodies to assess not only their individual KD values but also to see the average affinity of antibody. Based on the comparison with published literature values for mouse monoclonal antibodies Recombinant antibodies appear to be on average 1-2 order of magnitude higher affinity.

不同偶联物与剂型 (4)

  • Carrier free

    Anti-Cytochrome P450 3A4/CYP3A4 antibody [EPR6202] - BSA and Azide free

  • 665 Alexa Fluor® 647

    Alexa Fluor® 647 Anti-Cytochrome P450 3A4/CYP3A4 antibody [EPR6202]

  • 519 Alexa Fluor® 488

    Alexa Fluor® 488 Anti-Cytochrome P450 3A4/CYP3A4 antibody [EPR6202]

  • Biotin

    Biotin Anti-Cytochrome P450 3A4/CYP3A4 antibody [EPR6202]

关键信息

宿主种属

Rabbit

克隆

Monoclonal

克隆号

EPR6202

亚型

IgG

不含载体蛋白

No

反应种属

Human

应用

WB, IP, IHC-P

applications

免疫原

The exact immunogen used to generate this antibody is proprietary information.

特异性

Cross-reactivity with other CYP3A family: ab124921 has high possibility of reacting with CYP3A7 based on our internal test.

反应性数据

{ "title": "Reactivity Data", "filters": { "stats": ["", "Species", "Dilution Info", "Notes"], "tabs": { "all-applications": {"fullname" : "All Applications", "shortname": "All Applications"}, "IP" : {"fullname" : "Immunoprecipitation", "shortname":"IP"}, "WB" : {"fullname" : "Western blot", "shortname":"WB"}, "IHCP" : {"fullname" : "Immunohistochemistry (Formalin/PFA-fixed paraffin-embedded sections)", "shortname":"IHC-P"} }, "product-promise": { "all": "all", "testedAndGuaranteed": "tested", "guaranteed": "expected", "predicted": "predicted", "notRecommended": "not-recommended" } }, "values": { "Human": { "IP-species-checked": "testedAndGuaranteed", "IP-species-dilution-info": "1/10 - 1/100", "IP-species-notes": "<p></p>", "WB-species-checked": "testedAndGuaranteed", "WB-species-dilution-info": "1/1000", "WB-species-notes": "<p>For unpurified use at 1/10000 - 1/50000 dilution.</p><p>The detection of CYP3A4 recombinant protein or over -expressed protein with a C - terminal tag yielded a negative result because the immunogen of this product is located at the C - terminal of CYP3A4.</p>", "IHCP-species-checked": "testedAndGuaranteed", "IHCP-species-dilution-info": "1/400", "IHCP-species-notes": "<p>For unpurified use at 1/100 - 1/250 dilution.</p> Perform heat-mediated antigen retrieval with Tris/EDTA buffer pH 9.0 before commencing with IHC staining protocol." }, "Transfected cell line - Human": { "IP-species-checked": "notRecommended", "IP-species-dilution-info": "", "IP-species-notes": "", "WB-species-checked": "testedAndGuaranteed", "WB-species-dilution-info": "1/1000", "WB-species-notes": "<p>The detection of CYP3A4 recombinant protein or over -expressed protein with a C - terminal tag yielded a negative result because the immunogen of this product is located at the C - terminal of CYP3A4.</p>", "IHCP-species-checked": "notRecommended", "IHCP-species-dilution-info": "", "IHCP-species-notes": "" } } }

产品详情

What is this antibody validated in?
Anti-Cytochrome P450 3A4/CYP3A4 antibody [EPR6202] (ab124921) is a rabbit recombinant monoclonal antibody and is validated for use in Western Blot (WB), Immunoprecipitation (IP), Immunohistochemistry (IHC-P) in Human samples.

What is the molecular weight of Cytochrome P450 3A4/CYP3A4?
Anti-Cytochrome P450 3A4/CYP3A4 [EPR6202] (ab124921) specifically detects a band for Cytochrome P450 3A4/CYP3A4 (UniProt: P08684) at a molecular weight of 57kDa.

Trusted by the scientific community
Anti-Cytochrome P450 3A4/CYP3A4 [EPR6202] (ab124921) was first used in a scientific publication in 2012 and has been cited over 10 times in peer-reviewed journals.

Trial sizes available!
Test your antibody or perform pre-screening before committing to a larger quantity. Sold in 10µl. Discover our selection of trial-size antibodies.

Other related products
We have a range of other formats of antibody clone [EPR6202] also available for your convenience: ab124921, Carrier free - ab245774, Alexa Fluor® 647 - ab323439, Alexa Fluor® 488 - ab323440, Biotin - ab323530

Species reactivity
Mouse, Rat: We have preliminary internal testing data to indicate this antibody may not react with these species.
Please contact us for more information.

Patented technology
Our RabMAb® technology is a patented hybridoma-based technology for making rabbit monoclonal antibodies. For details on our patents, please refer to RabMAb® patents.

What are the advantages of a recombinant monoclonal antibody?
This product is a recombinant monoclonal antibody, which offers several advantages including:

  • - High batch-to-batch consistency and reproducibility
  • - Improved sensitivity and specificity
  • - Long-term security of supply
  • - Animal-free batch production

For more information, read more on recombinant antibodies.

性能和储存信息

形式
Liquid
纯化工艺
Affinity purification Protein A
存储溶液
pH: 7.2 - 7.4 Preservative: 0.01% Sodium azide Constituents: PBS, 40% Glycerol (glycerin, glycerine), 0.05% BSA
运输条件
Blue Ice
推荐的短期储存时间
1-2 weeks
推荐的短期储存条件
+4°C
推荐的长期储存条件
-20°C
分装信息
Upon delivery aliquot
储存信息
Avoid freeze / thaw cycle

补充信息

This supplementary information is collated from multiple sources and compiled automatically.

Cytochrome P450 3A4 also known as CYP3A4 is an enzyme that plays an important role in the metabolism of many xenobiotics and endogenous compounds. It belongs to the cytochrome P450 superfamily and is a monooxygenase with a mass of approximately 57 kDa. CYP3A4 is primarily expressed in the liver and small intestine although it can be found in other tissues at lower levels. This enzyme catalyzes the oxidation of a wide variety of structurally unrelated compounds facilitating their excretion. Proadifen is a known inhibitor of CYP3A4 often used in research to study the effects of enzyme inhibition.
Biological function summary

CYP3A4 is involved in the metabolism of approximately half of all drugs used in clinical settings making it one of the most significant enzymes in drug metabolism. It does not usually function as part of a larger complex but acts individually on various substrates. Besides xenobiotic metabolism CYP3A4 also metabolizes steroids and other endogenous molecules. Climbazole an antifungal agent is a substrate for CYP3A4 demonstrating the enzyme's broad substrate specificity within the body's complex biochemical environment.

Pathways

CYP3A4 plays a central role in the drug metabolism pathway and the synthesis and metabolism of steroids. These pathways involve other cytochrome P450 enzymes including CYP2D6 and CYP2C9 which often work alongside CYP3A4 to metabolize compounds. The pathway's coordinated activities ensure proper drug metabolism and hormone regulation. Understanding the involvement of CYP3A4 in these pathways is critical for drug development and determining drug-drug interactions.

CYP3A4 is associated with conditions such as drug-induced liver injury and variable drug responses. Alterations in CYP3A4 activity can lead to either toxic accumulations or reduced efficacy of medications. Additionally certain liver diseases can alter CYP3A4 expression further complicating treatment outcomes. The enzyme's interaction with other proteins like those of the cytochrome P450 family means that any dysfunctions can impact a wide range of metabolic processes and influence disease progression.

产品实验方案

For this product, it's our understanding that no specific protocols are required. You can visit:

靶点信息

A cytochrome P450 monooxygenase involved in the metabolism of sterols, steroid hormones, retinoids and fatty acids (PubMed : 10681376, PubMed : 11093772, PubMed : 11555828, PubMed : 12865317, PubMed : 14559847, PubMed : 15373842, PubMed : 15764715, PubMed : 19965576, PubMed : 20702771, PubMed : 21490593, PubMed : 21576599). Mechanistically, uses molecular oxygen inserting one oxygen atom into a substrate, and reducing the second into a water molecule, with two electrons provided by NADPH via cytochrome P450 reductase (NADPH--hemoprotein reductase). Catalyzes the hydroxylation of carbon-hydrogen bonds (PubMed : 12865317, PubMed : 14559847, PubMed : 15373842, PubMed : 15764715, PubMed : 21490593, PubMed : 21576599, PubMed : 2732228). Exhibits high catalytic activity for the formation of hydroxyestrogens from estrone (E1) and 17beta-estradiol (E2), namely 2-hydroxy E1 and E2, as well as D-ring hydroxylated E1 and E2 at the C-16 position (PubMed : 11555828, PubMed : 12865317, PubMed : 14559847). Plays a role in the metabolism of androgens, particularly in oxidative deactivation of testosterone (PubMed : 15373842, PubMed : 15764715, PubMed : 22773874, PubMed : 2732228). Metabolizes testosterone to less biologically active 2beta- and 6beta-hydroxytestosterones (PubMed : 15373842, PubMed : 15764715, PubMed : 2732228). Contributes to the formation of hydroxycholesterols (oxysterols), particularly A-ring hydroxylated cholesterol at the C-4beta position, and side chain hydroxylated cholesterol at the C-25 position, likely contributing to cholesterol degradation and bile acid biosynthesis (PubMed : 21576599). Catalyzes bisallylic hydroxylation of polyunsaturated fatty acids (PUFA) (PubMed : 9435160). Catalyzes the epoxidation of double bonds of PUFA with a preference for the last double bond (PubMed : 19965576). Metabolizes endocannabinoid arachidonoylethanolamide (anandamide) to 8,9-, 11,12-, and 14,15-epoxyeicosatrienoic acid ethanolamides (EpETrE-EAs), potentially modulating endocannabinoid system signaling (PubMed : 20702771). Plays a role in the metabolism of retinoids. Displays high catalytic activity for oxidation of all-trans-retinol to all-trans-retinal, a rate-limiting step for the biosynthesis of all-trans-retinoic acid (atRA) (PubMed : 10681376). Further metabolizes atRA toward 4-hydroxyretinoate and may play a role in hepatic atRA clearance (PubMed : 11093772). Responsible for oxidative metabolism of xenobiotics. Acts as a 2-exo-monooxygenase for plant lipid 1,8-cineole (eucalyptol) (PubMed : 11159812). Metabolizes the majority of the administered drugs. Catalyzes sulfoxidation of the anthelmintics albendazole and fenbendazole (PubMed : 10759686). Hydroxylates antimalarial drug quinine (PubMed : 8968357). Acts as a 1,4-cineole 2-exo-monooxygenase (PubMed : 11695850). Also involved in vitamin D catabolism and calcium homeostasis. Catalyzes the inactivation of the active hormone calcitriol (1-alpha,25-dihydroxyvitamin D(3)) (PubMed : 29461981).
See full target information CYP3A4

文献 (16)

Recent publications for all applications. Explore the full list and refine your search

Journal of xenobiotics 14:907-922 PubMed39051346

2024

Ionic Liquid 1-Octyl-3-Methylimidazolium (M8OI) Is Mono-Oxygenated by CYP3A4 and CYP3A5 in Adult Human Liver.

Applications

Unspecified application

Species

Unspecified reactive species

Alistair C Leitch,Tarek M Abdelghany,Alex Charlton,Martin Cooke,Matthew C Wright

Toxicological sciences : an official journal of the Society of Toxicology 199:227-245 PubMed38335931

2024

Development of a human liver microphysiological coculture system for higher throughput chemical safety assessment.

Applications

Unspecified application

Species

Unspecified reactive species

Blanche C Ip,Samantha J Madnick,Sophia Zheng,Tessa C A van Tongeren,Susan J Hall,Hui Li,Suzanne Martin,Sandrine Spriggs,Paul Carmichael,Wei Chen,David Ames,Lori A Breitweiser,Heather E Pence,Andrew J Bowling,Kamin J Johnson,Richard Cubberley,Jeffrey R Morgan,Kim Boekelheide

iScience 25:105503 PubMed36404924

2022

Biofabrication of synthetic human liver tissue with advanced programmable functions.

Applications

Unspecified application

Species

Unspecified reactive species

Rodrigo M Florentino,Kazutoyo Morita,Nils Haep,Takashi Motomura,Ricardo Diaz-Aragon,Lanuza A P Faccioli,Alexandra Collin de l'Hortet,Zeliha Cetin,Carla Frau,Lawrence Vernetti,Anna-Klara Amler,Alexander Thomas,Tobias Lam,Lutz Kloke,Kazuki Takeishi,D Lansing Taylor,Ira J Fox,Alejandro Soto-Gutierrez

Evidence-based complementary and alternative medicine : eCAM 2022:2782702 PubMed35529917

2022

Intermittent Hypoxia Inhibits Hepatic CYP1a2 Expression and Delays Aminophylline Metabolism.

Applications

Unspecified application

Species

Unspecified reactive species

Xiao-Bin Zhang,Xiao-Yang Chen,Kam Yu Chiu,Xiu-Zhen He,Jian-Ming Wang,Hui-Qing Zeng,Yiming Zeng

Frontiers in bioengineering and biotechnology 10:826093 PubMed35372314

2022

Application of 3D Hepatic Plate-Like Liver Model for Statin-Induced Hepatotoxicity Evaluation.

Applications

Unspecified application

Species

Unspecified reactive species

Jiecheng Xu,Daogang Pan,Wei Liao,Zhidong Jia,Mingxin Pan,Jun Weng,Xu Han,Shao Li,Yang Li,Kangyan Liang,Shuqin Zhou,Qing Peng,Yi Gao

Drug metabolism and disposition: the biological fate of chemicals 50:704-715 PubMed34949673

2021

Long Noncoding RNAs Hepatocyte Nuclear Factor 4A Antisense RNA 1 and Hepatocyte Nuclear Factor 1A Antisense RNA 1 Are Involved in Ritonavir-Induced Cytotoxicity in Hepatoma Cells.

Applications

Unspecified application

Species

Unspecified reactive species

Xiaofei Wang,Yihang Yu,Pei Wang,Kun Yang,Yiting Wang,Liang Yan,Xiao-Bo Zhong,Lirong Zhang

Drug metabolism and disposition: the biological fate of chemicals 49:361-368 PubMed33674270

2021

The Long Noncoding RNA Hepatocyte Nuclear Factor 4 Antisense RNA 1 Negatively Regulates Cytochrome P450 Enzymes in Huh7 Cells via Histone Modifications.

Applications

Unspecified application

Species

Unspecified reactive species

Pei Wang,Shitong Chen,Yiting Wang,Xiaofei Wang,Liang Yan,Kun Yang,Xiao-Bo Zhong,Shengna Han,Lirong Zhang

Liver international : official journal of the International Association for the Study of the Liver 41:608-620 PubMed33179425

2020

Ribociclib enhances infigratinib-induced cancer cell differentiation and delays resistance in FGFR-driven hepatocellular carcinoma.

Applications

Unspecified application

Species

Unspecified reactive species

Aldo Prawira,Thi Bich Uyen Le,Thanh Chung Vu,Hung Huynh

Clinical and experimental pharmacology & physiology 48:250-259 PubMed33048369

2020

DNA methylation determines the regulation of pregnane X receptor on CYP3A4 expression.

Applications

Unspecified application

Species

Unspecified reactive species

Xiaofei Wang,Luman Wei,Jingke Yang,Yiting Wang,Shitong Chen,Kun Yang,Xiangguang Meng,Lirong Zhang

Hepatic medicine : evidence and research 12:79-92 PubMed32607015

2020

In vitro Differentiation of Human TERT-Transfected Multi-Lineage Progenitor Cells (MLPC) into Immortalized Hepatocyte-Like Cells.

Applications

Unspecified application

Species

Unspecified reactive species

Daniel P Collins,Joel H Hapke,Rajagopal N Aravalli,Clifford J Steer
View all publications

Abcam Product Promise

我们致力于为您的研究提供高质量的试剂,为您科研的每一步提供支持。若我们的产品未能达到预期性能,我们向您提供 Abcam Product Promise 保障。
详情请参阅我们的条款与条件。

Please note: All products are 'FOR RESEARCH USE ONLY. NOT FOR USE IN DIAGNOSTIC OR THERAPEUTIC PROCEDURES'.

For licensing inquiries, please contact partnerships@abcam.com