JavaScript is disabled in your browser. Please enable JavaScript to view this website.
AB134910

重组Anti-Cytochrome P450 17A1/CYP17A1抗体[EPR6294(2)]

Anti-Cytochrome P450 17A1/CYP17A1 antibody [EPR6294(2)]

1

(1 Review)

|

(14 Publications)

Rabbit Recombinant Monoclonal Cytochrome P450 17A1/CYP17A1 antibody. Suitable for IHC-P, WB and reacts with Mouse, Human, Rat samples. Cited in 14 publications.

查看别名

CYP17, S17AH, CYP17A1, 17-alpha-hydroxyprogesterone aldolase, CYPXVII, Cytochrome P450 17A1, Cytochrome P450-C17, Steroid 17-alpha-monooxygenase, Cytochrome P450c17

4 Images
Immunohistochemistry (Formalin/PFA-fixed paraffin-embedded sections) - Anti-Cytochrome P450 17A1/CYP17A1 antibody [EPR6294(2)] (AB134910)
  • IHC-P

Unknown

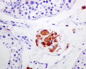
Immunohistochemistry (Formalin/PFA-fixed paraffin-embedded sections) - Anti-Cytochrome P450 17A1/CYP17A1 antibody [EPR6294(2)] (AB134910)

Immunohistochemical analysis of paraffin-embedded Human testis tissue labelling Cytochrome P450 17A1/CYP17A1 with ab134910 at 1/250 dilution.

Perform heat mediated antigen retrieval with citrate buffer pH 6 before commencing with IHC staining protocol.

Immunohistochemistry (Formalin/PFA-fixed paraffin-embedded sections) - Anti-Cytochrome P450 17A1/CYP17A1 antibody [EPR6294(2)] (AB134910)
  • IHC-P

Lab

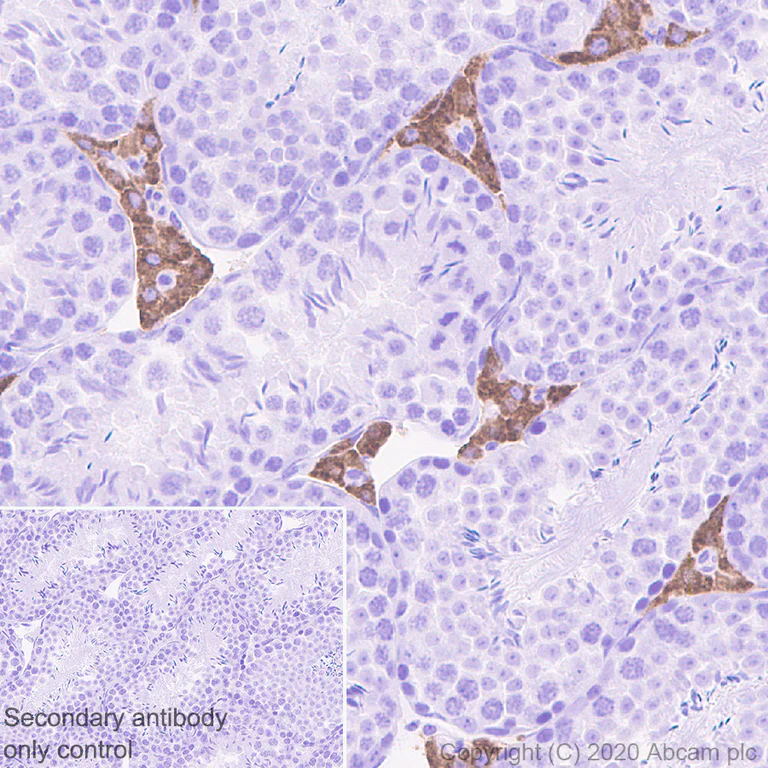
Immunohistochemistry (Formalin/PFA-fixed paraffin-embedded sections) - Anti-Cytochrome P450 17A1/CYP17A1 antibody [EPR6294(2)] (AB134910)

Immunohistochemical analysis of paraffin-embedded Mouse testis tissue labeling Cytochrome P450 17A1/CYP17A1 with ab134910 at 1/250 followed by a Rabbit specific IHC polymer detection kit HRP/DAB (ab209101) at Ready to use dilution. Cytoplasmic staining on mouse Leydig cells.The section was incubated with ab134910 for 30 mins at room temperature.The immunostaining was performed on a Leica Biosystems BOND RX instrument Counterstained with Hematoxylin.

Secondary antibody only control : Secondary antibody is Rabbit specific IHC polymer detection kit HRP/DAB (ab209101) at Ready to use dilution.

Heat mediated antigen retrieval with Tris-EDTA buffer (pH 9.0, epitope retrieval solution2) for 20 mins

Western blot - Anti-Cytochrome P450 17A1/CYP17A1 antibody [EPR6294(2)] (AB134910)
  • WB

Unknown

Western blot - Anti-Cytochrome P450 17A1/CYP17A1 antibody [EPR6294(2)] (AB134910)

All lanes:

Western blot - Anti-Cytochrome P450 17A1/CYP17A1 antibody [EPR6294(2)] (ab134910) at 1/10000 dilution

All lanes:

Human adrenal gland lysate at 10 µg

Secondary

All lanes:

HRP-conjugated goat anti-rabbit IgG polyclonal at 1/2000 dilution

Predicted band size: 57 kDa

false

Western blot - Anti-Cytochrome P450 17A1/CYP17A1 antibody [EPR6294(2)] (AB134910)
  • WB

Unknown

Western blot - Anti-Cytochrome P450 17A1/CYP17A1 antibody [EPR6294(2)] (AB134910)

All lanes:

Western blot - Anti-Cytochrome P450 17A1/CYP17A1 antibody [EPR6294(2)] (ab134910) at 1/1000 dilution

Lane 1:

Mouse testis lysate at 20 µg

Lane 2:

Rat testis lysate at 20 µg

Secondary

All lanes:

Goat Anti-Rabbit IgG (HRP) with minimal cross-reactivity with human IgG at 1/2000 dilution

Predicted band size: 57 kDa

false

不同偶联物与剂型 (1)

  • Carrier free

    Anti-Cytochrome P450 17A1/CYP17A1 antibody [EPR6294(2)] - BSA and Azide free

关键信息

宿主种属

Rabbit

克隆

Monoclonal

克隆号

EPR6294(2)

亚型

IgG

不含载体蛋白

No

反应种属

Mouse, Rat, Human

应用

WB, IHC-P

applications

免疫原

The exact immunogen used to generate this antibody is proprietary information.

反应性数据

{ "title": "Reactivity Data", "filters": { "stats": ["", "Species", "Dilution Info", "Notes"], "tabs": { "all-applications": {"fullname" : "All Applications", "shortname": "All Applications"}, "IHCP" : {"fullname" : "Immunohistochemistry (Formalin/PFA-fixed paraffin-embedded sections)", "shortname":"IHC-P"}, "WB" : {"fullname" : "Western blot", "shortname":"WB"} }, "product-promise": { "all": "all", "testedAndGuaranteed": "tested", "guaranteed": "expected", "predicted": "predicted", "notRecommended": "not-recommended" } }, "values": { "Human": { "IHCP-species-checked": "testedAndGuaranteed", "IHCP-species-dilution-info": "1/250 - 1/500", "IHCP-species-notes": "<p></p>", "WB-species-checked": "testedAndGuaranteed", "WB-species-dilution-info": "1/10000 - 1/50000", "WB-species-notes": "<p></p>" }, "Mouse": { "IHCP-species-checked": "testedAndGuaranteed", "IHCP-species-dilution-info": "1/250 - 1/500", "IHCP-species-notes": "<p></p>", "WB-species-checked": "testedAndGuaranteed", "WB-species-dilution-info": "1/10000 - 1/50000", "WB-species-notes": "<p></p>" }, "Rat": { "IHCP-species-checked": "guaranteed", "IHCP-species-dilution-info": "1/250 - 1/500", "IHCP-species-notes": "<p></p>", "WB-species-checked": "testedAndGuaranteed", "WB-species-dilution-info": "1/10000 - 1/50000", "WB-species-notes": "<p></p>" } } }

产品详情

Patented technology
Our RabMAb® technology is a patented hybridoma-based technology for making rabbit monoclonal antibodies. For details on our patents, please refer to RabMAb® patents.

What are the advantages of a recombinant monoclonal antibody?
This product is a recombinant monoclonal antibody, which offers several advantages including:

  • - High batch-to-batch consistency and reproducibility
  • - Improved sensitivity and specificity
  • - Long-term security of supply
  • - Animal-free batch production

For more information, read more on recombinant antibodies.

性能和储存信息

形式
Liquid
纯化工艺
Affinity purification Protein A
存储溶液
pH: 7.2 - 7.4 Preservative: 0.01% Sodium azide Constituents: PBS, 50% Tissue culture supernatant, 40% Glycerol (glycerin, glycerine), 0.05% BSA
运输条件
Blue Ice
推荐的短期储存条件
+4°C
推荐的长期储存条件
-20°C

补充信息

This supplementary information is collated from multiple sources and compiled automatically.

Cytochrome P450 17A1 also known as CYP17A1 is an essential enzyme in the steroidogenic pathway. Its molecular mass is approximately 57 kDa. It is part of the cytochrome P450 family and shows expression primarily in the adrenal glands and gonads. This enzyme catalyzes two key reactions: the 17α-hydroxylation of pregnenolone and progesterone and the subsequent 1720-lyase reaction. These reactions are critical for the production of steroid hormones such as glucocorticoids and sex steroids.
Biological function summary

CYP17A1 plays a central role in hormone biosynthesis. The enzyme exists as a single protein and does not form part of a larger complex. By facilitating the conversion of progestogens into androgens it directly impacts the balance and levels of steroid hormones in the body. This function supports vital processes like the development of secondary sexual characteristics and the regulation of metabolism therefore affecting multiple physiological functions.

Pathways

CYP17A1 integrates into both the steroidogenesis and biosynthesis pathways of adrenal and sex hormones. It links directly with proteins such as steroidogenic acute regulatory protein (StAR) and cytochrome P450 oxidoreductase (POR) which assist in enabling its enzymatic function. These pathways regulate the levels of hormones influencing biological processes including stress responses and reproductive functions.

CYP17A1 is associated with conditions like congenital adrenal hyperplasia and prostate cancer. In congenital adrenal hyperplasia CYP17A1 mutations disrupt the steroidogenesis pathway leading to cortisol production deficiency. In prostate cancer CYP17A1 is often upregulated contributing to increased androgen levels that fuel cancer progression. Proteins such as 3β-hydroxysteroid dehydrogenase (3β-HSD) and androgen receptor (AR) interact with CYP17A1 in these disorders demonstrating its importance in disease mechanisms.

产品实验方案

For this product, it's our understanding that no specific protocols are required. You can visit:

靶点信息

A cytochrome P450 monooxygenase involved in corticoid and androgen biosynthesis (PubMed : 22266943, PubMed : 25301938, PubMed : 27339894, PubMed : 9452426). Catalyzes 17-alpha hydroxylation of C21 steroids, which is common for both pathways. A second oxidative step, required only for androgen synthesis, involves an acyl-carbon cleavage. The 17-alpha hydroxy intermediates, as part of adrenal glucocorticoids biosynthesis pathway, are precursors of cortisol (Probable) (PubMed : 25301938, PubMed : 9452426). Hydroxylates steroid hormones, pregnenolone and progesterone to form 17-alpha hydroxy metabolites, followed by the cleavage of the C17-C20 bond to form C19 steroids, dehydroepiandrosterone (DHEA) and androstenedione (PubMed : 22266943, PubMed : 25301938, PubMed : 27339894, PubMed : 36640554, PubMed : 9452426). Has 16-alpha hydroxylase activity. Catalyzes 16-alpha hydroxylation of 17-alpha hydroxy pregnenolone, followed by the cleavage of the C17-C20 bond to form 16-alpha-hydroxy DHEA (PubMed : 36640554). Also 16-alpha hydroxylates androgens, relevant for estriol synthesis (PubMed : 25301938, PubMed : 27339894). Mechanistically, uses molecular oxygen inserting one oxygen atom into a substrate, and reducing the second into a water molecule, with two electrons provided by NADPH via cytochrome P450 reductase (CPR; NADPH-ferrihemoprotein reductase) (PubMed : 22266943, PubMed : 25301938, PubMed : 27339894, PubMed : 9452426).
See full target information CYP17A1

文献 (14)

Recent publications for all applications. Explore the full list and refine your search

Frontiers in immunology 16:1515490 PubMed40124382

2025

Identification and analysis of oxidative stress-related genes in endometriosis.

Applications

Unspecified application

Species

Unspecified reactive species

Chengmao Xie,Chang Lu,Na Lv,Weimin Kong,Yong Liu

Life medicine 3:lnae028 PubMed39872443

2025

The evolution of ovarian somatic cells characterized by transcriptome and chromatin accessibility across rodents, monkeys, and humans.

Applications

Unspecified application

Species

Unspecified reactive species

Qiancheng Zhang,Fengyuan Sun,Ruifeng Zhang,Donghong Zhao,Ran Zhu,Xin Cheng,Xin Long,Xinling Hou,Rui Yan,Yu Cao,Fan Guo,Long Yan,Yuqiong Hu

Orphanet journal of rare diseases 19:453 PubMed39623453

2024

Clinical spectrum and molecular basis in 19 Chinese patients with 46, XY disorder of sexual development caused by NR5A1 mutations.

Applications

Unspecified application

Species

Unspecified reactive species

Yue Xu,Xuemeng Liu,Yang Liu,Hui Zhu,Jing Wu,Bing Han,Shiying Ling,Ren Cao,Haijun Yao,Yan Chen,Yu Liu,Yamin Rao,Xiaoyu Liu,Shuangxia Zhao,Huaidong Song,Jie Qiao

The Tohoku journal of experimental medicine 264:9-19 PubMed38839357

2024

Shenqi Qiangjing Granules Ameliorate Asthenozoospermia in Mice by Regulating Ferroptosis through the METTL3/GPX4 Signaling Axis.

Applications

Unspecified application

Species

Unspecified reactive species

Qiuyu Lu,Jiabao Ma,Luying Wei,Jing Fu,Xiaoxia Li,Kedao Lai,Xin Li,Bingyu Xia,Bin Bin,Aicun Tang

EBioMedicine 103:105087 PubMed38570222

2024

Steroids-producing nodules: a two-layered adrenocortical nodular structure as a precursor lesion of cortisol-producing adenoma.

Applications

Unspecified application

Species

Unspecified reactive species

Tazuru Fukumoto,Hironobu Umakoshi,Norifusa Iwahashi,Tatsuki Ogasawara,Maki Yokomoto-Umakoshi,Hiroki Kaneko,Masamichi Fujita,Naohiro Uchida,Hiroshi Nakao,Namiko Kawamura,Yayoi Matsuda,Ryuichi Sakamoto,Takashi Miyazawa,Masahide Seki,Masatoshi Eto,Yoshinao Oda,Yutaka Suzuki,Seishi Ogawa,Yoshihiro Ogawa

FASEB journal : official publication of the Federation of American Societies for Experimental Biology 37:e22781 PubMed36688818

2023

Loss of Adgra3 causes obstructive azoospermia with high penetrance in male mice.

Applications

Unspecified application

Species

Unspecified reactive species

Maja L Nybo,Jone M Kvam,John E Nielsen,Hanne Frederiksen,Katja Spiess,Kristian H R Jensen,Sarina Gadgaard,Anna L S Walser,Jesper S Thomsen,Pamela Cowin,Anders Juul,Martin Blomberg Jensen,Mette M Rosenkilde

Journal of ovarian research 15:129 PubMed36476625

2022

Luteinizing hormone stimulates the expression of amphiregulin in human theca cells.

Applications

Unspecified application

Species

Unspecified reactive species

Yang Liu,Yiping Zhong,Xiaoting Shen,Xi Guo,Rihan Wu,Turui Yang,Minghui Chen

iScience 25:103627 PubMed35005562

2022

Obesity modulates cell-cell interactions during ovarian folliculogenesis.

Applications

Unspecified application

Species

Unspecified reactive species

Xin Long,Qiuyun Yang,Jingjing Qian,Huiying Yao,Rui Yan,Xin Cheng,Qiancheng Zhang,Chan Gu,Fei Gao,Hongmei Wang,Lin Zhang,Fan Guo

BMC medicine 19:204 PubMed34493283

2021

The effects of selected inhibitors on human fetal adrenal steroidogenesis differs under basal and ACTH-stimulated conditions.

Applications

Unspecified application

Species

Unspecified reactive species

Cecilie Melau,Malene Lundgaard Riis,John E Nielsen,Signe Perlman,Lene Lundvall,Lea Langhoff Thuesen,Kristine Juul Hare,Mette Schou Hammerum,Rod T Mitchell,Hanne Frederiksen,Anders Juul,Anne Jørgensen

Human reproduction (Oxford, England) 34:2228-2243 PubMed31734698

2019

Dysregulation of FGFR signalling by a selective inhibitor reduces germ cell survival in human fetal gonads of both sexes and alters the somatic niche in fetal testes.

Applications

Unspecified application

Species

Unspecified reactive species

K Harpelunde Poulsen,J E Nielsen,H Frederiksen,C Melau,K Juul Hare,L Langhoff Thuesen,S Perlman,L Lundvall,R T Mitchell,A Juul,E Rajpert-De Meyts,A Jørgensen
View all publications

Abcam Product Promise

我们致力于为您的研究提供高质量的试剂,为您科研的每一步提供支持。若我们的产品未能达到预期性能,我们向您提供 Abcam Product Promise 保障。
详情请参阅我们的条款与条件。

Please note: All products are 'FOR RESEARCH USE ONLY. NOT FOR USE IN DIAGNOSTIC OR THERAPEUTIC PROCEDURES'.

For licensing inquiries, please contact partnerships@abcam.com