JavaScript is disabled in your browser. Please enable JavaScript to view this website.
AB109508

重组Anti-Cystatin C抗体[EPR4413]

Anti-Cystatin C antibody [EPR4413]

  • BOND RX™ Validated
  • RabMAb
  • Recombinant
  • KO Validated
  • 了解详情

5

(2 Reviews)

|

(29 Publications)

Rabbit Recombinant Monoclonal Cystatin C antibody. Suitable for IHC-P, WB and reacts with Human, Mouse, Rat samples. Cited in 29 publications.

查看别名

Cystatin-C, Cystatin-3, Gamma-trace, Neuroendocrine basic polypeptide, Post-gamma-globulin, CST3

8 Images
Immunohistochemistry (Formalin/PFA-fixed paraffin-embedded sections) - Anti-Cystatin C antibody [EPR4413] (AB109508)
  • IHC-P

Unknown

Immunohistochemistry (Formalin/PFA-fixed paraffin-embedded sections) - Anti-Cystatin C antibody [EPR4413] (AB109508)

Immunohistochemical analysis of paraffin-embedded Human brain tissue using ab109508 at adilution of 1/250.

Perform heat mediated antigen retrieval with citrate buffer pH 6 before commencing with IHC staining protocol.

Immunohistochemistry (Formalin/PFA-fixed paraffin-embedded sections) - Anti-Cystatin C antibody [EPR4413] (AB109508)
  • IHC-P

Lab

Immunohistochemistry (Formalin/PFA-fixed paraffin-embedded sections) - Anti-Cystatin C antibody [EPR4413] (AB109508)

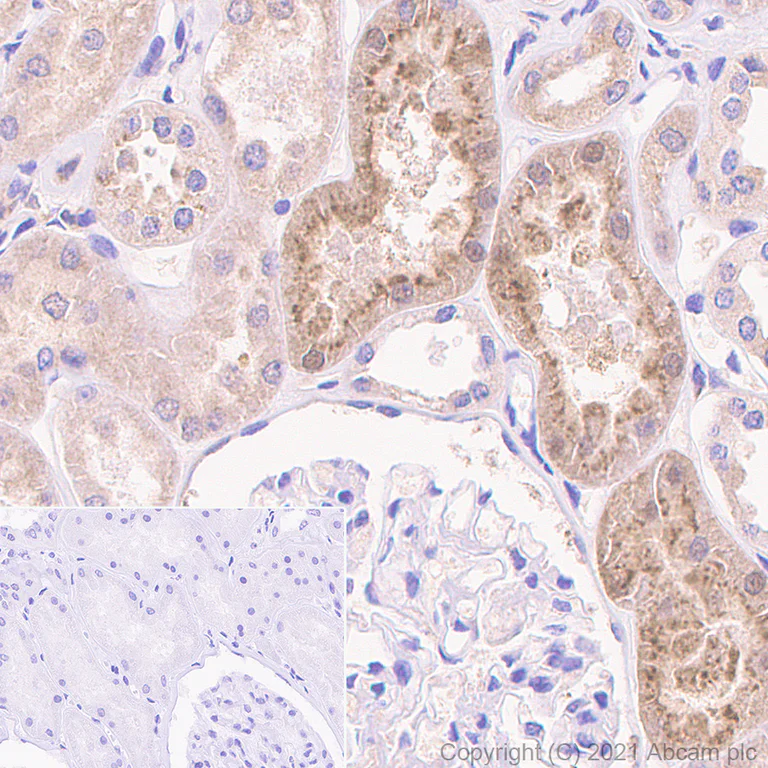
Immunohistochemistry analysis of paraffin-embedded human kidney tissue sections labelling Cystatin C with ab109508 at 1/8000 dilution. The section was incubated with ab109508 for 30 mins at room temperature. Rabbit specific IHC polymer detection kit HRP/DAB (ab209101) was used as the secondary antibody. Sections were counterstained with Hematoxylin. Antigen retrieval was heat mediated with Tris-EDTA buffer (pH 9.0, epitope retrieval solution 2) for 20 mins. Positive staining on human kidney tissue. The immunostaining was performed on a Leica Biosystems BOND® RX instrument.

Immunohistochemistry (Formalin/PFA-fixed paraffin-embedded sections) - Anti-Cystatin C antibody [EPR4413] (AB109508)
  • IHC-P

Lab

Immunohistochemistry (Formalin/PFA-fixed paraffin-embedded sections) - Anti-Cystatin C antibody [EPR4413] (AB109508)

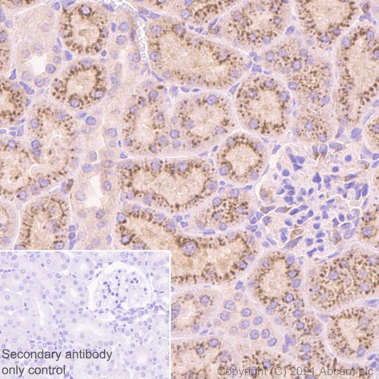
Immunohistochemistry analysis of paraffin-embedded rat kidney tissue sections labelling Cystatin C with ab109508 at 1/8000 dilution. The section was incubated with ab109508 for 30 mins at room temperature. Rabbit specific IHC polymer detection kit HRP/DAB (ab209101) was used as the secondary antibody. Sections were counterstained with Hematoxylin. Antigen retrieval was heat mediated with Tris-EDTA buffer (pH 9.0, epitope retrieval solution 2) for 20 mins. Positive staining on rat kidney tissue. The immunostaining was performed on a Leica Biosystems BOND® RX instrument.

Immunohistochemistry (Formalin/PFA-fixed paraffin-embedded sections) - Anti-Cystatin C antibody [EPR4413] (AB109508)
  • IHC-P

Lab

Immunohistochemistry (Formalin/PFA-fixed paraffin-embedded sections) - Anti-Cystatin C antibody [EPR4413] (AB109508)

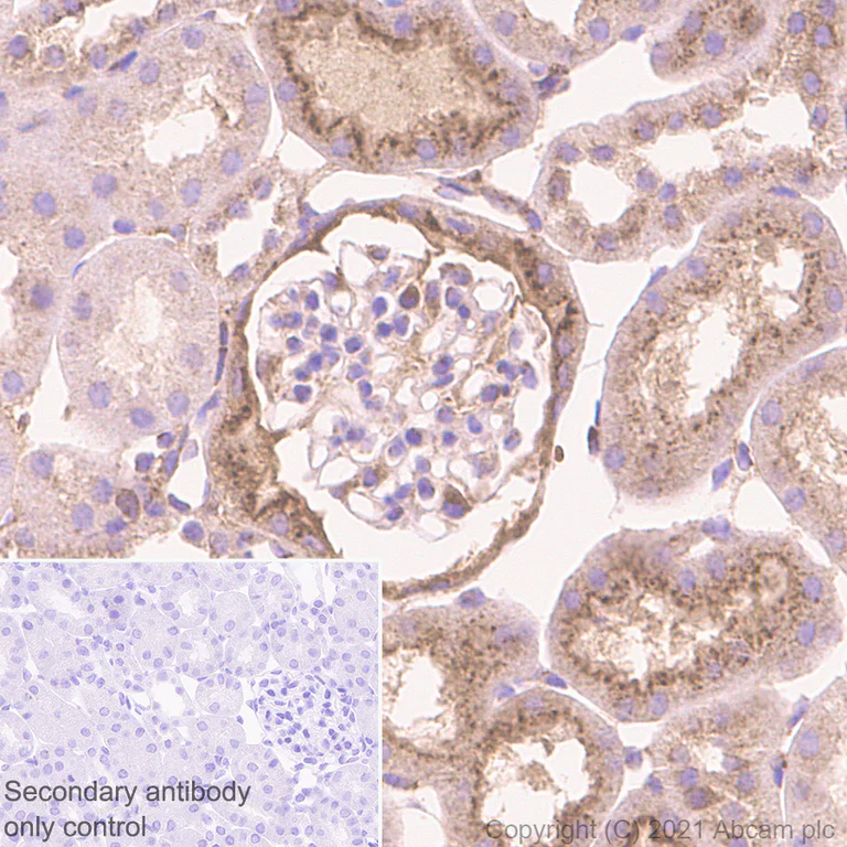
Immunohistochemistry analysis of paraffin-embedded mouse kidney tissue sections labelling Cystatin C with ab109508 at 1/8000 dilution. The section was incubated with ab109508 for 30 mins at room temperature. Rabbit specific IHC polymer detection kit HRP/DAB (ab209101) was used as the secondary antibody. Sections were counterstained with Hematoxylin. Antigen retrieval was heat mediated with Tris-EDTA buffer (pH 9.0, epitope retrieval solution 2) for 20 mins. Positive staining on mouse kidney tissue. The immunostaining was performed on a Leica Biosystems BOND® RX instrument.

Western blot - Anti-Cystatin C antibody [EPR4413] (AB109508)
  • WB

Unknown

Western blot - Anti-Cystatin C antibody [EPR4413] (AB109508)

All lanes:

Western blot - Anti-Cystatin C antibody [EPR4413] (ab109508) at 1/10000 dilution

Lane 1:

Human testis lysate at 10 µg

Lane 2:

HeLa cell lysate at 10 µg

Lane 3:

HepG2 cell lysate at 10 µg

Lane 4:

U87-MG cell lysate at 10 µg

Predicted band size: 15 kDa

Observed band size: 13 kDa

false

Western blot - Anti-Cystatin C antibody [EPR4413] (AB109508)
  • WB

Lab

Western blot - Anti-Cystatin C antibody [EPR4413] (AB109508)

Lane 1 : Wild type HAP1 whole cell lysate (20 μg)
Lane 2 : CST3 knockout HAP1 whole cell lysate (20 μg)
Lane 3 : Caco2 whole cell lysate (20 μg)
Lane 4 : U20S whole cell lysate (20 μg)

Lanes 1 - 4 : Merged signal (red and green). Green - ab109508 observed at 15 kDa. Red - loading control, ab9484, observed at 37 kDa.

ab109508 was shown to specifically react with CST3 when CST3 knockout samples were used. Wild-type and CST3 knockout samples were subjected to SDS-PAGE. ab109508 and ab9484 (Mouse anti GAPDH loading control) were incubated overnight at 4°C at 10000 dilution and 1/10000 dilution respectively. Blots were developed with Goat anti-Rabbit IgG H&L (IRDye® 800CW) preabsorbed ab216773 and Goat anti-Mouse IgG H&L (IRDye® 680RD) preabsorbed ab216776 secondary antibodies at 1/10000 dilution for 1 hour at room temperature before imaging.

All lanes:

Western blot - Anti-Cystatin C antibody [EPR4413] (ab109508)

Predicted band size: 15 kDa,19 kDa

false

Western blot - Anti-Cystatin C antibody [EPR4413] (AB109508)
  • WB

Lab

Western blot - Anti-Cystatin C antibody [EPR4413] (AB109508)

Blocking buffer and concentration : 5% NFDM/TBST Diluting buffer and concentration : 5% NFDM/TBST

Lane 1:

Western blot - Anti-Cystatin C antibody [EPR4413] - BSA and Azide free (<a href='/products/primary-antibodies/cystatin-c-antibody-epr4413-bsa-and-azide-free-ab217569'>ab217569</a>) at 1/10000 dilution

Lane 1:

Western blot - Anti-Cystatin C antibody [EPR4413] (ab109508) at 1/10000 dilution

All lanes:

Mouse thymus tissue lysate at 20 µg

Secondary

All lanes:

Western blot - Goat Anti-Rabbit IgG H&L (HRP) (<a href='/products/secondary-antibodies/goat-rabbit-igg-h-l-hrp-ab97051'>ab97051</a>) at 1/20000 dilution

Predicted band size: 15 kDa

Observed band size: 13 kDa

false

Exposure time: 3min

Western blot - Anti-Cystatin C antibody [EPR4413] (AB109508)
  • WB

Lab

Western blot - Anti-Cystatin C antibody [EPR4413] (AB109508)

Blocking buffer and concentration : 5% NFDM/TBST Diluting buffer and concentration : 5% NFDM/TBST

Lane 1:

Western blot - Anti-Cystatin C antibody [EPR4413] - BSA and Azide free (<a href='/products/primary-antibodies/cystatin-c-antibody-epr4413-bsa-and-azide-free-ab217569'>ab217569</a>) at 1/10000 dilution

Lane 1:

Western blot - Anti-Cystatin C antibody [EPR4413] (ab109508) at 1/10000 dilution

All lanes:

Rat heart tissue lysate at 20 µg

Secondary

All lanes:

Goat Anti-Rabbit IgG (HRP) with minimal cross-reactivity with human IgG at 1/2000 dilution

Predicted band size: 15 kDa

Observed band size: 13 kDa

false

Exposure time: 80s

不同偶联物与剂型 (1)

  • Carrier free

    Anti-Cystatin C antibody [EPR4413] - BSA and Azide free

关键信息

宿主种属

Rabbit

克隆

Monoclonal

克隆号

EPR4413

亚型

IgG

不含载体蛋白

No

反应种属

Mouse, Rat, Human

应用

IHC-P, WB

applications

免疫原

The exact immunogen used to generate this antibody is proprietary information.

反应性数据

{ "title": "Reactivity Data", "filters": { "stats": ["", "Species", "Dilution Info", "Notes"], "tabs": { "all-applications": {"fullname" : "All Applications", "shortname": "All Applications"}, "IHCP" : {"fullname" : "Immunohistochemistry (Formalin/PFA-fixed paraffin-embedded sections)", "shortname":"IHC-P"}, "ICCIF" : {"fullname" : "Immunocytochemistry/ Immunofluorescence", "shortname":"ICC/IF"}, "IP" : {"fullname" : "Immunoprecipitation", "shortname":"IP"}, "FlowCyt" : {"fullname" : "Flow Cytometry", "shortname":"Flow Cyt"}, "WB" : {"fullname" : "Western blot", "shortname":"WB"} }, "product-promise": { "all": "all", "testedAndGuaranteed": "tested", "guaranteed": "expected", "predicted": "predicted", "notRecommended": "not-recommended" } }, "values": { "Human": { "IHCP-species-checked": "testedAndGuaranteed", "IHCP-species-dilution-info": "1/250 - 1/8000", "IHCP-species-notes": "<p></p>", "ICCIF-species-checked": "notRecommended", "ICCIF-species-dilution-info": "1/50", "ICCIF-species-notes": "<p></p>", "IP-species-checked": "notRecommended", "IP-species-dilution-info": "", "IP-species-notes": "<p></p>", "FlowCyt-species-checked": "notRecommended", "FlowCyt-species-dilution-info": "", "FlowCyt-species-notes": "<p></p>", "WB-species-checked": "testedAndGuaranteed", "WB-species-dilution-info": "1/10000 - 1/50000", "WB-species-notes": "<p></p>" }, "Mouse": { "IHCP-species-checked": "testedAndGuaranteed", "IHCP-species-dilution-info": "1/250 - 1/8000", "IHCP-species-notes": "<p></p>", "ICCIF-species-checked": "notRecommended", "ICCIF-species-dilution-info": "1/50", "ICCIF-species-notes": "<p></p>", "IP-species-checked": "notRecommended", "IP-species-dilution-info": "", "IP-species-notes": "", "FlowCyt-species-checked": "notRecommended", "FlowCyt-species-dilution-info": "", "FlowCyt-species-notes": "", "WB-species-checked": "testedAndGuaranteed", "WB-species-dilution-info": "1/10000 - 1/50000", "WB-species-notes": "<p></p>" }, "Rat": { "IHCP-species-checked": "testedAndGuaranteed", "IHCP-species-dilution-info": "1/250 - 1/8000", "IHCP-species-notes": "<p></p>", "ICCIF-species-checked": "notRecommended", "ICCIF-species-dilution-info": "", "ICCIF-species-notes": "", "IP-species-checked": "notRecommended", "IP-species-dilution-info": "", "IP-species-notes": "", "FlowCyt-species-checked": "notRecommended", "FlowCyt-species-dilution-info": "", "FlowCyt-species-notes": "", "WB-species-checked": "testedAndGuaranteed", "WB-species-dilution-info": "1/10000 - 1/50000", "WB-species-notes": "<p></p>" } } }

产品详情

Patented technology
Our RabMAb® technology is a patented hybridoma-based technology for making rabbit monoclonal antibodies. For details on our patents, please refer to RabMAb® patents.

What are the advantages of a recombinant monoclonal antibody?
This product is a recombinant monoclonal antibody, which offers several advantages including:

  • - High batch-to-batch consistency and reproducibility
  • - Improved sensitivity and specificity
  • - Long-term security of supply
  • - Animal-free batch production

For more information, read more on recombinant antibodies.

性能和储存信息

形式
Liquid
纯化工艺
Affinity purification Protein A
存储溶液
pH: 7.2 - 7.4 Preservative: 0.05% Sodium azide Constituents: 50% Tissue culture supernatant, 40% Glycerol (glycerin, glycerine), 9.85% Tris glycine, 0.1% BSA
运输条件
Blue Ice
推荐的短期储存条件
+4°C
推荐的长期储存条件
-20°C
储存信息
Stable for 12 months at -20°C

产品实验方案

For this product, it's our understanding that no specific protocols are required. You can visit:

靶点信息

As an inhibitor of cysteine proteinases, this protein is thought to serve an important physiological role as a local regulator of this enzyme activity.
See full target information CST3

文献 (29)

Recent publications for all applications. Explore the full list and refine your search

Advanced science (Weinheim, Baden-Wurttemberg, Germany) 11:e2403627 PubMed39535354

2024

Spatiotemporal Molecular Architecture of Lineage Allocation and Cellular Organization in Tooth Morphogenesis.

Applications

Unspecified application

Species

Unspecified reactive species

Shengjie Jiang,Yuning Zhang,Huimin Zheng,Kai Zhao,Yue Yang,Binbin Lai,Xuliang Deng,Yan Wei

International journal of molecular sciences 24: PubMed37445705

2023

Microcystin-LR-Induced Interaction between M2 Tumor-Associated Macrophage and Colorectal Cancer Cell Promotes Colorectal Cancer Cell Migration through Regulating the Expression of TGF-β1 and CST3.

Applications

Unspecified application

Species

Unspecified reactive species

Xinying Jiang,Hailing Zhang,Hengshuo Zhang,Fan Wang,Xiaochang Wang,Tong Ding,Xuxiang Zhang,Ting Wang

The Journal of cell biology 222: PubMed36920342

2023

The exocyst complex is an essential component of the mammalian constitutive secretory pathway.

Applications

Unspecified application

Species

Unspecified reactive species

Conceição Pereira,Danièle Stalder,Georgina S F Anderson,Amber S Shun-Shion,Jack Houghton,Robin Antrobus,Michael A Chapman,Daniel J Fazakerley,David C Gershlick

Cells 12: PubMed36899848

2023

Analysis of Wild Type and Variant B Cystatin C Interactome in Retinal Pigment Epithelium Cells Reveals Variant B Interacting Mitochondrial Proteins.

Applications

Unspecified application

Species

Unspecified reactive species

Emil Carlsson,Umar Sharif,Wasu Supharattanasitthi,Luminita Paraoan

Breast cancer research : BCR 25:21 PubMed36810117

2023

Transcriptomic intratumor heterogeneity of breast cancer patient-derived organoids may reflect the unique biological features of the tumor of origin.

Applications

Unspecified application

Species

Unspecified reactive species

Sumito Saeki,Kohei Kumegawa,Yoko Takahashi,Liying Yang,Tomo Osako,Mahmut Yasen,Kazutaka Otsuji,Kenichi Miyata,Kaoru Yamakawa,Jun Suzuka,Yuri Sakimoto,Yukinori Ozaki,Toshimi Takano,Takeshi Sano,Tetsuo Noda,Shinji Ohno,Ryoji Yao,Takayuki Ueno,Reo Maruyama

Frontiers in physiology 13:950960 PubMed35936906

2022

Wnt 3a Protects Myocardial Injury in Elderly Acute Myocardial Infarction by Inhibiting Serum Cystatin C/ROS-Induced Mitochondrial Damage.

Applications

Unspecified application

Species

Unspecified reactive species

Jian Shen,Ying Li,Yang Jiao,Jihang Wang,Xiaoling Hou,Yongkang Su,Bing Liu,Henan Liu,Zhijun Sun,Qing Xi,Zhenhong Fu

Journal of neuroinflammation 19:77 PubMed35379280

2022

Proteomic landscape subtype and clinical prognosis of patients with the cognitive impairment by Japanese encephalitis infection.

Applications

Unspecified application

Species

Unspecified reactive species

Rong Yin,Linpeng Yang,Ying Hao,Zhiqi Yang,Tao Lu,Wanjun Jin,Meiling Dan,Liang Peng,Yingjie Zhang,Yaxuan Wei,Rong Li,Huiping Ma,Yuanyuan Shi,Pengcheng Fan

Theranostics 11:5010-5027 PubMed33754041

2021

Deciphering the autophagy regulatory network via single-cell transcriptome analysis reveals a requirement for autophagy homeostasis in spermatogenesis.

Applications

Unspecified application

Species

Unspecified reactive species

Mei Wang,Yanwen Xu,Yuncong Zhang,Yuhan Chen,Gang Chang,Geng An,Xinyan Yang,Caihong Zheng,Jiexiang Zhao,Zhaoting Liu,Dazhuang Wang,Kai Miao,Shuan Rao,Meng Dai,Dong Wang,Xiao-Yang Zhao

Annals of translational medicine 8:1514 PubMed33313259

2020

Pressure overload promotes cystatin C secretion of cardiomyocytes to regulate the MAPK signaling pathway and mediate cardiac hypertrophy.

Applications

Unspecified application

Species

Unspecified reactive species

Yi Shen,Xiaoyi Zhang,Chenguang Li,Xiang Wang,Yong Ye,Jie Yuan,Hui Gong,Yunzeng Zou,Junbo Ge

RNA (New York, N.Y.) 27:190-201 PubMed33172965

2020

Cold-inducible RNA binding protein promotes breast cancer cell malignancy by regulating Cystatin C levels.

Applications

Unspecified application

Species

Unspecified reactive species

Alberto Indacochea,Santiago Guerrero,Macarena Ureña,Ferrán Araujo,Olga Coll,Matilde E LLeonart,Fátima Gebauer
View all publications

Abcam Product Promise

我们致力于为您的研究提供高质量的试剂,为您科研的每一步提供支持。若我们的产品未能达到预期性能,我们向您提供 Abcam Product Promise 保障。
详情请参阅我们的条款与条件。

Please note: All products are 'FOR RESEARCH USE ONLY. NOT FOR USE IN DIAGNOSTIC OR THERAPEUTIC PROCEDURES'.

For licensing inquiries, please contact partnerships@abcam.com