JavaScript is disabled in your browser. Please enable JavaScript to view this website.
AB4236

Anti-CYP2C9抗体

Anti-CYP2C9 antibody

5

(2 Reviews)

|

(15 Publications)

Rabbit Polyclonal CYP2C9 antibody. Suitable for IHC-P, WB and reacts with Human, Mouse samples. Cited in 15 publications. Immunogen corresponding to Recombinant Full Length Protein corresponding to Human CYP2C9.

查看别名

CYP2C10, CYP2C9, Cytochrome P450 2C9, (R)-limonene 6-monooxygenase, (S)-limonene 6-monooxygenase, (S)-limonene 7-monooxygenase, CYPIIC9, Cholesterol 25-hydroxylase, Cytochrome P-450MP, Cytochrome P450 MP-4, Cytochrome P450 MP-8, Cytochrome P450 PB-1, S-mephenytoin 4-hydroxylase

1 Images
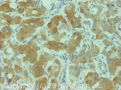
Immunohistochemistry (Formalin/PFA-fixed paraffin-embedded sections) - Anti-CYP2C9 antibody (AB4236)
  • IHC-P

Unknown

Immunohistochemistry (Formalin/PFA-fixed paraffin-embedded sections) - Anti-CYP2C9 antibody (AB4236)

IHC image of ab4236 staining in human liver formalin fixed paraffin embedded tissue section, performed on a Leica BondTM system using the standard protocol F. The section was pre-treated using heat mediated antigen retrieval with sodium citrate buffer (pH6, epitope retrieval solution 1) for 20 mins. The section was then incubated with ab4236, 1µg/ml, for 15 mins at room temperature and detected using an HRP conjugated compact polymer system. DAB was used as the chromogen. The section was then counterstained with haematoxylin and mounted with DPX.

For other IHC staining systems (automated and non-automated) customers should optimize variable parameters such as antigen retrieval conditions, primary antibody concentration and antibody incubation times.

关键信息

宿主种属

Rabbit

克隆

Polyclonal

亚型

IgG

不含载体蛋白

No

反应种属

Human, Mouse

应用

WB, IHC-P

applications

免疫原

Recombinant Full Length Protein corresponding to Human CYP2C9.

P11712

反应性数据

{ "title": "Reactivity Data", "filters": { "stats": ["", "Species", "Dilution Info", "Notes"], "tabs": { "all-applications": {"fullname" : "All Applications", "shortname": "All Applications"}, "IHCP" : {"fullname" : "Immunohistochemistry (Formalin/PFA-fixed paraffin-embedded sections)", "shortname":"IHC-P"}, "WB" : {"fullname" : "Western blot", "shortname":"WB"} }, "product-promise": { "all": "all", "testedAndGuaranteed": "tested", "guaranteed": "expected", "predicted": "predicted", "notRecommended": "not-recommended" } }, "values": { "Human": { "IHCP-species-checked": "testedAndGuaranteed", "IHCP-species-dilution-info": "1 µg/mL", "IHCP-species-notes": "<p></p> Perform heat-mediated antigen retrieval with citrate buffer pH 6 before commencing with IHC staining protocol.", "WB-species-checked": "guaranteed", "WB-species-dilution-info": "", "WB-species-notes": "<p>Positive control 0.1 Âμg of recombinant human cytochrome P450 2.</p>" }, "Mouse": { "IHCP-species-checked": "predicted", "IHCP-species-dilution-info": "", "IHCP-species-notes": "", "WB-species-checked": "guaranteed", "WB-species-dilution-info": "", "WB-species-notes": "<p>Positive control 0.1 Âμg of recombinant human cytochrome P450 2.</p>" } } }

产品详情

The Cytochrome P450 (P450) superfamily of enzymes is one of three enzyme systems which metabolize the fatty acid arachadonic acid (AA) to regulators of vascular tone. P450 enzymes are monooxygenase enzymes which require several co-factors such as nicotinamide adenine dinucleotide phosphate (NADPH) and P450 reductase. There are over 200 known genes which encode P450s. Epoxygenases are those P450s which metabolize AA to epoxyeicosatrienoic acid (EETs) and omega-hydroxylases are those P450s which produce 19- and 20-hydroxyeicosatetraenoic acids (19- and 20-HETE). As well as fatty acid metabolism, P450s also metabolize many drugs and toxins. Cytochrome P450 3A4 is abundantly expressed in liver and small intestine and is inducible by barbiturates, glucocorticoids and rifampicin.

性能和储存信息

形式
Liquid
纯化工艺
Precipitation Ammonium Sulphate
存储溶液
pH: 8 Constituents: 0.0536% PBS
运输条件
Blue Ice
推荐的短期储存条件
+4°C
推荐的长期储存条件
-20°C
分装信息
Upon delivery aliquot
储存信息
Avoid freeze / thaw cycle

补充信息

This supplementary information is collated from multiple sources and compiled automatically.

Cytochrome P450 2C9 often abbreviated as CYP2C9 is an enzyme belonging to the cytochrome P450 family known for its function in drug metabolism. CYP2C9 possesses an approximate mass of 55kDa and is found predominantly in the liver where it is highly expressed. As a heme-thiolate monooxygenase its mechanical action involves the oxidation of structurally diverse endogenous and exogenous compounds. These compounds include drugs steroids and fatty acids converting them into more water-soluble metabolites. Its role as a cytochrome P450 enzyme makes it an important target for CYP2C9 inhibitor assays used in various studies.
Biological function summary

CYP2C9 plays a significant role in drug metabolism and detoxification within the body including warfarin phenytoin and tolbutamide. It is a part of the extensive cytochrome P450 complex that is vital for the monooxygenation of various substrates. The enzyme acts on many drugs involved in anticoagulation anti-inflammatory processes and oral hypoglycemics facilitating their clearance from the body and influencing their pharmacokinetics and pharmacodynamics. Researchers conduct in vitro systems to test CYP2C9 activity and its inhibition contributing to drug safety evaluations.

Pathways

CYP2C9 integrates into the drug metabolism and lipid biosynthesis pathways. It works closely with other cytochrome P450 enzymes like CYP3A4 and CYP2C19 in metabolizing xenobiotics and endogenous substrates. In the arachidonic acid pathway CYP2C9 converts arachidonic acid to epoxyeicosatrienoic acids (EETs) which play roles in blood pressure regulation and inflammatory responses. These pathways highlight the importance of matching CYP2C9 and its related proteins to specific clinical outcomes particularly in the metabolism of various pharmaceutical agents.

CYP2C9 exhibits significant associations with bleeding disorders related to warfarin metabolism and with phenytoin-induced toxicity. Genetic polymorphisms of CYP2C9 can result in altered enzyme activity leading to variable drug responses and adverse drug reactions particularly in medications with a narrow therapeutic index. The enzyme strongly interacts with VKORC1 in the context of warfarin therapy and mutations can cause issues in dose management. Understanding these interactions helps refine therapeutic strategies adjusting drug dosing to reduce risks of toxicity or therapeutic failure.

产品实验方案

For this product, it's our understanding that no specific protocols are required. You can visit:

靶点信息

A cytochrome P450 monooxygenase involved in the metabolism of various endogenous substrates, including fatty acids and steroids (PubMed : 12865317, PubMed : 15766564, PubMed : 19965576, PubMed : 21576599, PubMed : 7574697, PubMed : 9435160, PubMed : 9866708). Mechanistically, uses molecular oxygen inserting one oxygen atom into a substrate, and reducing the second into a water molecule, with two electrons provided by NADPH via cytochrome P450 reductase (NADPH--hemoprotein reductase) (PubMed : 12865317, PubMed : 15766564, PubMed : 19965576, PubMed : 21576599, PubMed : 7574697, PubMed : 9435160, PubMed : 9866708). Catalyzes the epoxidation of double bonds of polyunsaturated fatty acids (PUFA) (PubMed : 15766564, PubMed : 19965576, PubMed : 7574697, PubMed : 9866708). Catalyzes the hydroxylation of carbon-hydrogen bonds. Metabolizes cholesterol toward 25-hydroxycholesterol, a physiological regulator of cellular cholesterol homeostasis (PubMed : 21576599). Exhibits low catalytic activity for the formation of catechol estrogens from 17beta-estradiol (E2) and estrone (E1), namely 2-hydroxy E1 and E2 (PubMed : 12865317). Catalyzes bisallylic hydroxylation and hydroxylation with double-bond migration of polyunsaturated fatty acids (PUFA) (PubMed : 9435160, PubMed : 9866708). Also metabolizes plant monoterpenes such as limonene. Oxygenates (R)- and (S)-limonene to produce carveol and perillyl alcohol (PubMed : 11950794). Contributes to the wide pharmacokinetics variability of the metabolism of drugs such as S-warfarin, diclofenac, phenytoin, tolbutamide and losartan (PubMed : 25994031).
See full target information CYP2C9

文献 (15)

Recent publications for all applications. Explore the full list and refine your search

PloS one 19:e0314765 PubMed39636946

2024

Mechanism of exacerbation of traumatic brain injury under warfarin anticoagulation in male mice.

Applications

Unspecified application

Species

Unspecified reactive species

Yuki Tatara,Ken-Ichiro Nakao,Ryo Shimada,Kazuhiko Kibayashi

Cancer medicine 13:e70284 PubMed39540710

2024

Predictive Prognostic Model for Hepatocellular Carcinoma Based on Seven Genes Participating in Arachidonic Acid Metabolism.

Applications

Unspecified application

Species

Unspecified reactive species

Xinyu Gu,Jing Wang,Jun Guan,Guojun Li,Xiao Ma,Yanli Ren,Shanshan Wu,Chao Chen,Haihong Zhu

Current protocols 4:e1003 PubMed38483112

2024

Use of Lentivirus-Based Method for Establishing TK6 Human Cell Lines Expressing Cytochrome P450 and its Applications in Genotoxicity Testing.

Applications

Unspecified application

Species

Unspecified reactive species

Xilin Li,Si Chen,Xiaobo He,Qiangen Wu,Lei Guo,Nan Mei

Nature communications 13:7345 PubMed36446858

2022

IL6 supports long-term expansion of hepatocytes in vitro.

Applications

Unspecified application

Species

Unspecified reactive species

Ren Guo,Mengmeng Jiang,Gang Wang,Bing Li,Xiaohui Jia,Yan Ai,Shanshan Chen,Peilan Tang,Aijie Liu,Qianting Yuan,Xin Xie

Evidence-based complementary and alternative medicine : eCAM 2022:2481654 PubMed36285162

2022

Mechanisms Underlying the Differences in the Pharmacokinetics of Six Active Constituents of Huangqi Liuyi Decoction between Normal and Diabetic Nephropathy Mouse Models.

Applications

Unspecified application

Species

Unspecified reactive species

Qun Wang,Yonglin Wang,Wen Liu,Dingyan Lu,Yang Jin,Nian Tang,Ya Shi,Zipeng Gong,Weiyi Tian,Ting Liu

Evidence-based complementary and alternative medicine : eCAM 2022:2782702 PubMed35529917

2022

Intermittent Hypoxia Inhibits Hepatic CYP1a2 Expression and Delays Aminophylline Metabolism.

Applications

Unspecified application

Species

Unspecified reactive species

Xiao-Bin Zhang,Xiao-Yang Chen,Kam Yu Chiu,Xiu-Zhen He,Jian-Ming Wang,Hui-Qing Zeng,Yiming Zeng

Journal of personalized medicine 11: PubMed33540768

2021

Functional Assessment of 12 Rare Allelic Variants Identified in a Population of 4773 Japanese Individuals.

Applications

Unspecified application

Species

Unspecified reactive species

Masaki Kumondai,Akio Ito,Evelyn Marie Gutiérrez Rico,Eiji Hishinuma,Akiko Ueda,Sakae Saito,Tomoki Nakayoshi,Akifumi Oda,Shu Tadaka,Kengo Kinoshita,Masamitsu Maekawa,Nariyasu Mano,Noriyasu Hirasawa,Masahiro Hiratsuka

FASEB journal : official publication of the Federation of American Societies for Experimental Biology 34:14458-14472 PubMed32885495

2020

Extramyocellular interleukin-6 influences skeletal muscle mitochondrial physiology through canonical JAK/STAT signaling pathways.

Applications

Unspecified application

Species

Unspecified reactive species

Hinnah Abid,Zachary C Ryan,Philippe Delmotte,Gary C Sieck,Ian R Lanza

Cells 9: PubMed32121096

2020

Mitochondrial Structure and Function in the Metabolic Myopathy Accompanying Patients with Critical Limb Ischemia.

Applications

Unspecified application

Species

Unspecified reactive species

Thomas Groennebaek,Tine Borum Billeskov,Camilla Tvede Schytz,Nichlas Riise Jespersen,Hans Erik Bøtker,Rikke Kathrine Jentoft Olsen,Nikolaj Eldrup,Joachim Nielsen,Jean Farup,Frank Vincenzo De Paoli,Kristian Vissing

Materials (Basel, Switzerland) 12: PubMed31835701

2019

Influence of Selected Carbon Nanostructures on the CYP2C9 Enzyme of the P450 Cytochrome.

Applications

Unspecified application

Species

Unspecified reactive species

Justyna Sekretarska,Jarosław Szczepaniak,Malwina Sosnowska,Marta Grodzik,Marta Kutwin,Mateusz Wierzbicki,Sławomir Jaworski,Jaśmina Bałaban,Karolina Daniluk,Ewa Sawosz,André Chwalibog,Barbara Strojny
View all publications

Abcam Product Promise

我们致力于为您的研究提供高质量的试剂,为您科研的每一步提供支持。若我们的产品未能达到预期性能,我们向您提供 Abcam Product Promise 保障。
详情请参阅我们的条款与条件。

Please note: All products are 'FOR RESEARCH USE ONLY. NOT FOR USE IN DIAGNOSTIC OR THERAPEUTIC PROCEDURES'.

For licensing inquiries, please contact partnerships@abcam.com