JavaScript is disabled in your browser. Please enable JavaScript to view this website.
AB137015

重组Anti-CYP2C19抗体[EPR6576]

Anti-CYP2C19 antibody [EPR6576]

Be the first to review this product! Submit a review

|

(17 Publications)

Rabbit Recombinant Monoclonal CP2CJ antibody. Suitable for WB, IHC-P and reacts with Mouse, Rat, Human samples. Cited in 17 publications.

查看别名

Cytochrome P450 2C19, (R)-limonene 6-monooxygenase, (S)-limonene 6-monooxygenase, (S)-limonene 7-monooxygenase, CYPIIC17, CYPIIC19, Cytochrome P450-11A, Cytochrome P450-254C, Fenbendazole monooxygenase (4'-hydroxylating), Mephenytoin 4-hydroxylase, CYP2C19

9 Images
Immunohistochemistry (Formalin/PFA-fixed paraffin-embedded sections) - Anti-CYP2C19 antibody [EPR6576] (AB137015)
  • IHC-P

Unknown

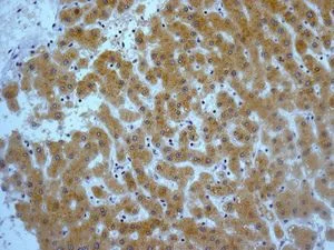
Immunohistochemistry (Formalin/PFA-fixed paraffin-embedded sections) - Anti-CYP2C19 antibody [EPR6576] (AB137015)

Immunohistochemical analysis of paraffin-embedded Human liver tissue labelling CYP2C19 with unpurified ab137015 at 1/250 dilution.

Immunohistochemistry (Formalin/PFA-fixed paraffin-embedded sections) - Anti-CYP2C19 antibody [EPR6576] (AB137015)
  • IHC-P

Unknown

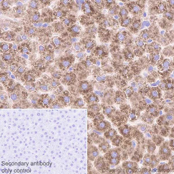
Immunohistochemistry (Formalin/PFA-fixed paraffin-embedded sections) - Anti-CYP2C19 antibody [EPR6576] (AB137015)

Immunohistochemistry (Formalin/PFA-fixed paraffin-embedded sections) analysis of Human liver tissue sections labeling CYP2C19 with Purified ab137015 at 1 : 1000 dilution (0.49 μg/ml). Heat mediated antigen retrieval was performed using ab93684 (Tris/EDTA buffer, pH 9.0) ImmunoHistoProbe one step HRP Polymer (ready to use) was used as the secondary antibody. Negative control : PBS instead of the primary antibody. Hematoxylinwas used as a counterstain.

Immunohistochemistry (Formalin/PFA-fixed paraffin-embedded sections) - Anti-CYP2C19 antibody [EPR6576] (AB137015)
  • IHC-P

Unknown

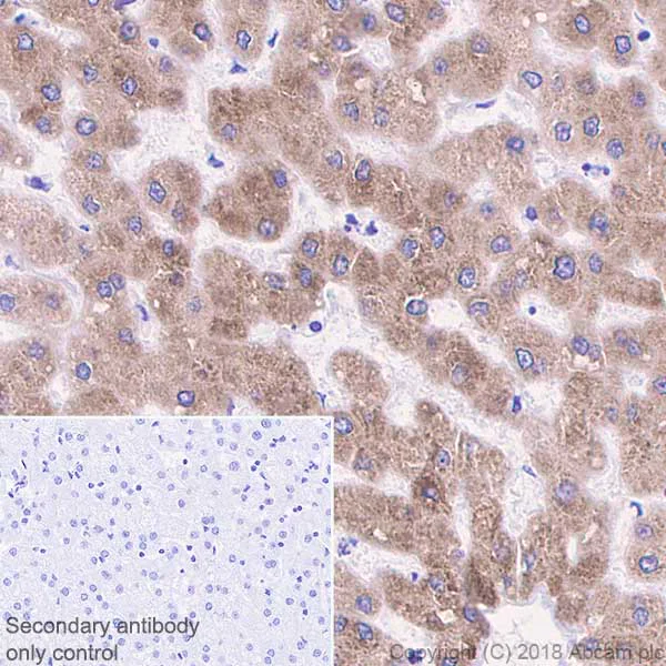
Immunohistochemistry (Formalin/PFA-fixed paraffin-embedded sections) - Anti-CYP2C19 antibody [EPR6576] (AB137015)

Immunohistochemistry (Formalin/PFA-fixed paraffin-embedded sections) analysis of Rat liver tissue sections labeling CYP2C19 with Purified ab137015 at 1 : 1000 dilution (0.49 μg/ml). Heat mediated antigen retrieval was performed using ab93684 (Tris/EDTA buffer, pH 9.0) ImmunoHistoProbe one step HRP Polymer (ready to use)was used as the secondary antibody. Negative control : PBS instead of the primary antibody. Hematoxylinwas used as a counterstain.

Immunohistochemistry (Formalin/PFA-fixed paraffin-embedded sections) - Anti-CYP2C19 antibody [EPR6576] (AB137015)
  • IHC-P

Unknown

Immunohistochemistry (Formalin/PFA-fixed paraffin-embedded sections) - Anti-CYP2C19 antibody [EPR6576] (AB137015)

Immunohistochemistry (Formalin/PFA-fixed paraffin-embedded sections) analysis of Mouse liver tissue sections labeling CYP2C19 with Purified ab137015 at 1 : 1000 dilution (0.49 μg/ml). Heat mediated antigen retrieval was performed using ab93684 (Tris/EDTA buffer, pH 9.0) ImmunoHistoProbe one step HRP Polymer (ready to use) was used as the secondary antibody. Negative control : PBS instead of the primary antibody. Hematoxylinwas used as a counterstain.

Western blot - Anti-CYP2C19 antibody [EPR6576] (AB137015)
  • WB

Unknown

Western blot - Anti-CYP2C19 antibody [EPR6576] (AB137015)

Blocking and diluting buffer : 5% NFDM/TBST.
The doublet should be due to the cross-reaction with family members.

All lanes:

Western blot - Anti-CYP2C19 antibody [EPR6576] (ab137015) at 0.5 µg/mL

Lane 1:

Human fetal liver lysates at 15 µg

Lane 2:

HepG2 (Human hepatocellular carcinoma epithelial cell) whole cell lysates, negative control at 15 µg

Secondary

All lanes:

Western blot - Goat Anti-Rabbit IgG H&L (HRP) (<a href='/products/secondary-antibodies/goat-rabbit-igg-h-l-hrp-ab97051'>ab97051</a>) at 1/20000 dilution

Predicted band size: 56 kDa

false

Western blot - Anti-CYP2C19 antibody [EPR6576] (AB137015)
  • WB

Unknown

Western blot - Anti-CYP2C19 antibody [EPR6576] (AB137015)

Blocking and diluting buffer : 5% NFDM/TBST.

All lanes:

Western blot - Anti-CYP2C19 antibody [EPR6576] (ab137015) at 0.5 µg/mL

Lane 1:

Mouse liver lysates at 15 µg

Lane 2:

Rat liver lysates at 15 µg

Secondary

All lanes:

Western blot - Goat Anti-Rabbit IgG H&L (HRP) (<a href='/products/secondary-antibodies/goat-rabbit-igg-h-l-hrp-ab97051'>ab97051</a>) at 1/20000 dilution

Predicted band size: 56 kDa

false

Western blot - Anti-CYP2C19 antibody [EPR6576] (AB137015)
  • WB

Unknown

Western blot - Anti-CYP2C19 antibody [EPR6576] (AB137015)

All lanes:

Western blot - Anti-CYP2C19 antibody [EPR6576] (ab137015) at 1/1000 dilution

Lane 1:

Mouse liver lysate at 10 µg

Lane 2:

Rat liver lysate at 10 µg

Secondary

All lanes:

HRP labelled goat anti-rabbit at 1/2000 dilution

Predicted band size: 56 kDa

false

OI-RD Scanning - Anti-CYP2C19 antibody [EPR6576] (AB137015)
  • OI-RD Scanning

Unknown

OI-RD Scanning - Anti-CYP2C19 antibody [EPR6576] (AB137015)

We have systematically measured KD (the equilibrium dissociation constant between the antibody and its antigen), of more than 840 recombinant antibodies to assess not only their individual KD values but also to see the average affinity of antibody. Based on the comparison with published literature values for mouse monoclonal antibodies, Recombinant antibodies appear to be on average 1-2 order of magnitude higher affinity.

Western blot - Anti-CYP2C19 antibody [EPR6576] (AB137015)
  • WB

CiteAb

Western blot - Anti-CYP2C19 antibody [EPR6576] (AB137015)

CYP2C19 western blot using anti-CYP2C19 antibody [EPR6576] ab137015. Publication image and figure legend from Grant, M. K. O., Abdelgawad, I. Y., et al., 2020, Int J Mol Sci, PubMed 32074957.

ab137015 was used in this publication in western blot. This may not be the same as the application(s) guaranteed by Abcam. For a full list of applications guaranteed by Abcam for ab137015 please see the product overview.

Effect of DOX treatment on the expression of the Cyp2c sub-family in the liver. Livers were collected from male or female C57Bl/6 mice 24 or 72 h following the administration of a single intraperitoneal injection of 20 mg/kg DOX or saline, and total proteins and RNA were isolated. (A) Gene expression of Cyp2c29 was determined by real-time PCR (n = 8 per group) and (B) protein levels of total Cyp2c were determined by western blot (n = 4 per group) in samples collected 24 h following DOX treatment. (C) Gene expression of Cyp2c29 (n = 4–5 per group) and (D) protein levels of Cyp2c (n = 4–5 per group) were determined in samples collected 72 h following DOX treatment. PCR results were normalized to beta-actin, and protein expression was normalized to alpha-tubulin. Results of all groups are expressed relative to the male control. Data are presented as the mean ± SEM. * p < 0.05, compared to control mice of the same sex; # p < 0.05, compared to male DOX-treated mice.

false

不同偶联物与剂型 (1)

  • Carrier free

    Anti-CYP2C19 antibody [EPR6576] - BSA and Azide free

关键信息

宿主种属

Rabbit

克隆

Monoclonal

克隆号

EPR6576

亚型

IgG

不含载体蛋白

No

反应种属

Mouse, Rat, Human

应用

WB, IHC-P

applications

免疫原

The exact immunogen used to generate this antibody is proprietary information.

特异性

This antibody is very likely to be cross-reactive with many Cytochrome P450 family members. According to the blast result, in human species, the immunogen has 100% homology with CYP2C9, CYP2A6 and CYP2A7, 85.7% with CYP2C18, 78.6% with CYP2A13 and CYP2C8. CYP2C19 doesn`t exist in mouse and rat species. The immunogen shares 100% homology with mouse CYP2A4, CYP2A5, CYP2A12, CYP2C29, CYP2C70 and rat CYP2A3, CYP2C6, CYP2C55, 92.9% with mouse CYP2C37, CYP2C50, CYP2C55 and rat CYP2C11, CYP2C13.

反应性数据

{ "title": "Reactivity Data", "filters": { "stats": ["", "Species", "Dilution Info", "Notes"], "tabs": { "all-applications": {"fullname" : "All Applications", "shortname": "All Applications"}, "WB" : {"fullname" : "Western blot", "shortname":"WB"}, "IHCP" : {"fullname" : "Immunohistochemistry (Formalin/PFA-fixed paraffin-embedded sections)", "shortname":"IHC-P"} }, "product-promise": { "all": "all", "testedAndGuaranteed": "tested", "guaranteed": "expected", "predicted": "predicted", "notRecommended": "not-recommended" } }, "values": { "Human": { "WB-species-checked": "testedAndGuaranteed", "WB-species-dilution-info": "1/1000 - 1/10000", "WB-species-notes": "<p></p>", "IHCP-species-checked": "testedAndGuaranteed", "IHCP-species-dilution-info": "1/1000", "IHCP-species-notes": "<p><strong>For unpurified use at 1/250 - 1/500</strong></p>" }, "Mouse": { "WB-species-checked": "testedAndGuaranteed", "WB-species-dilution-info": "1/1000 - 1/10000", "WB-species-notes": "<p></p>", "IHCP-species-checked": "testedAndGuaranteed", "IHCP-species-dilution-info": "1/1000", "IHCP-species-notes": "<p><strong>For unpurified use at 1/250 - 1/500</strong></p>" }, "Rat": { "WB-species-checked": "testedAndGuaranteed", "WB-species-dilution-info": "1/1000 - 1/10000", "WB-species-notes": "<p></p>", "IHCP-species-checked": "testedAndGuaranteed", "IHCP-species-dilution-info": "1/1000", "IHCP-species-notes": "<p><strong>For unpurified use at 1/250 - 1/500</strong></p>" } } }

产品详情

Patented technology
Our RabMAb® technology is a patented hybridoma-based technology for making rabbit monoclonal antibodies. For details on our patents, please refer to RabMAb® patents.

What are the advantages of a recombinant monoclonal antibody?
This product is a recombinant monoclonal antibody, which offers several advantages including:

  • - High batch-to-batch consistency and reproducibility
  • - Improved sensitivity and specificity
  • - Long-term security of supply
  • - Animal-free batch production

For more information, read more on recombinant antibodies.

性能和储存信息

形式
Liquid
纯化工艺
Affinity purification Protein A
存储溶液
pH: 7.2 - 7.4 Preservative: 0.01% Sodium azide Constituents: PBS, 40% Glycerol (glycerin, glycerine), 0.05% BSA
运输条件
Blue Ice
推荐的短期储存时间
1-2 weeks
推荐的短期储存条件
+4°C
推荐的长期储存条件
-20°C
分装信息
Upon delivery aliquot
储存信息
Avoid freeze / thaw cycle

补充信息

This supplementary information is collated from multiple sources and compiled automatically.

CYP2C19 also referred to as cytochrome P450 2C19 is an enzyme that belongs to the cytochrome P450 superfamily. This protein has a molecular mass of approximately 56 kDa. CYP2C19 is primarily expressed in the liver but also appears in the intestine. The enzyme plays a significant mechanical role in the oxidative metabolism of various substrates including both endogenous compounds and exogenous drugs. The chemical reactions it facilitates involve the oxidation of organic substances.
Biological function summary

Cytochrome P450 2C19 is responsible for metabolizing drugs such as proton pump inhibitors antiepileptic drugs and some antidepressants. This enzyme is part of a larger enzyme family that contributes to the detoxification processes and biosynthesis of steroid hormones. It acts by catalyzing the oxidative transformation of compounds which influences drug activation and clearance. Its substrate specificity includes many significant pharmacological agents.

Pathways

CYP2C19 is integrally involved in drug metabolism pathways particularly the Phase I metabolism. It cooperates with enzymes like CYP2C9 and CYP3A4 within these pathways performing hydrolytic and oxidative reactions that transform lipophilic drugs into more water-soluble derivatives. Consequently this activity prepares compounds for further modification in Phase II metabolism facilitating excretion from the body.

CYP2C19 is implicated in conditions such as cardiovascular disease and adverse drug reactions. Genetic polymorphisms within the CYP2C19 gene lead to varied metabolic capacities affecting the efficacy and safety of therapeutics especially antiplatelet drugs like clopidogrel. Additionally alterations in CYP2C19 activity are associated with altered drug metabolism which may result in interactions with proteins such as P-glycoprotein and other cytochrome P450 enzymes affecting therapeutic outcomes.

产品实验方案

For this product, it's our understanding that no specific protocols are required. You can visit:

靶点信息

A cytochrome P450 monooxygenase involved in the metabolism of polyunsaturated fatty acids (PUFA) (PubMed : 18577768, PubMed : 19965576, PubMed : 20972997). Mechanistically, uses molecular oxygen inserting one oxygen atom into a substrate, and reducing the second into a water molecule, with two electrons provided by NADPH via cytochrome P450 reductase (NADPH--hemoprotein reductase) (PubMed : 18577768, PubMed : 19965576, PubMed : 20972997). Catalyzes the hydroxylation of carbon-hydrogen bonds. Hydroxylates PUFA specifically at the omega-1 position (PubMed : 18577768). Catalyzes the epoxidation of double bonds of PUFA (PubMed : 19965576, PubMed : 20972997). Also metabolizes plant monoterpenes such as limonene. Oxygenates (R)- and (S)-limonene to produce carveol and perillyl alcohol (PubMed : 11950794). Responsible for the metabolism of a number of therapeutic agents such as the anticonvulsant drug S-mephenytoin, omeprazole, proguanil, certain barbiturates, diazepam, propranolol, citalopram and imipramine. Hydroxylates fenbendazole at the 4' position (PubMed : 23959307).
See full target information CYP2C19

文献 (17)

Recent publications for all applications. Explore the full list and refine your search

Current protocols 4:e1003 PubMed38483112

2024

Use of Lentivirus-Based Method for Establishing TK6 Human Cell Lines Expressing Cytochrome P450 and its Applications in Genotoxicity Testing.

Applications

Unspecified application

Species

Unspecified reactive species

Xilin Li,Si Chen,Xiaobo He,Qiangen Wu,Lei Guo,Nan Mei

Pharmaceuticals (Basel, Switzerland) 16: PubMed37111350

2023

CYP2C19 Contributes to THP-1-Cell-Derived M2 Macrophage Polarization by Producing 11,12- and 14,15-Epoxyeicosatrienoic Acid, Agonists of the PPARγ Receptor.

Applications

Unspecified application

Species

Unspecified reactive species

Hee Young Cho,Sangzin Ahn,Yong-Soon Cho,Su-Kil Seo,Dong Hyun Kim,Jae-Gook Shin,Su-Jun Lee

Frontiers in pharmacology 14:1055991 PubMed36713839

2023

Comprehensive and assessments of metabolic capabilities of 24 genomic variants of using two different substrates.

Applications

Unspecified application

Species

Unspecified reactive species

Myung-Eui Seo,Byung-Joo Min,Nayoon Heo,Kye Hwa Lee,Ju Han Kim

Evidence-based complementary and alternative medicine : eCAM 2022:2481654 PubMed36285162

2022

Mechanisms Underlying the Differences in the Pharmacokinetics of Six Active Constituents of Huangqi Liuyi Decoction between Normal and Diabetic Nephropathy Mouse Models.

Applications

Unspecified application

Species

Unspecified reactive species

Qun Wang,Yonglin Wang,Wen Liu,Dingyan Lu,Yang Jin,Nian Tang,Ya Shi,Zipeng Gong,Weiyi Tian,Ting Liu

Molecules (Basel, Switzerland) 27: PubMed35889364

2022

Kinetic Characteristics of Curcumin and Germacrone in Rat and Human Liver Microsomes: Involvement of CYP Enzymes.

Applications

Unspecified application

Species

Unspecified reactive species

Shaofeng Su,Hongxian Wu,Jingfan Zhou,Guangwei Yuan,Haibo Wang,Jie Feng

Biopharmaceutics & drug disposition 43:130-139 PubMed35748067

2022

Mouse Cyp2c expression and zonation structure in the liver begins in the early neonatal stage.

Applications

Unspecified application

Species

Unspecified reactive species

Taisuke Kawamura,Mako Ichikawa,Jo Hatogai,Yuya Koyama,Misa Tachibana,Misaki Kuwahara,Keita Negishi,Miyu Matsumoto,Masafumi Miyazaki,Wataru Ochiai

Evidence-based complementary and alternative medicine : eCAM 2022:2782702 PubMed35529917

2022

Intermittent Hypoxia Inhibits Hepatic CYP1a2 Expression and Delays Aminophylline Metabolism.

Applications

Unspecified application

Species

Unspecified reactive species

Xiao-Bin Zhang,Xiao-Yang Chen,Kam Yu Chiu,Xiu-Zhen He,Jian-Ming Wang,Hui-Qing Zeng,Yiming Zeng

Chemotherapy 67:12-23 PubMed34844236

2021

Dysregulated MDR1 by PRDM1/Blimp1 Is Involved in the Doxorubicin Resistance of Non-Germinal Center B-Cell-Like Diffuse Large B-Cell Lymphoma.

Applications

Unspecified application

Species

Unspecified reactive species

Kai Qing,Zhen Jin,Zizhen Xu,Wenfang Wang,Xiaoyang Li,Yunxiang Zhang,Lining Wang,Hongming Zhu,Rufang Xiang,Shishuang Wu,Ran Li,Ge Jiang,Kai Xue,Junmin Li

British journal of pharmacology 179:46-64 PubMed34415054

2021

Is platelet responsiveness to clopidogrel attenuated in overweight or obese patients and why? A reverse translational study in mice.

Applications

Unspecified application

Species

Unspecified reactive species

Li-Ping Jiang,Jin-Zi Ji,Peng-Xin Ge,Ting Zhu,Qiong-Yu Mi,Ting Tai,Yi-Fei Li,Hong-Guang Xie

Cardiovascular drugs and therapy : PubMed32623598

2020

Next-Generation Sequencing of CYP2C19 in Stent Thrombosis: Implications for Clopidogrel Pharmacogenomics.

Applications

Unspecified application

Species

Unspecified reactive species

Joel A Morales-Rosado,Kashish Goel,Lingxin Zhang,Axel Åkerblom,Saurabh Baheti,John L Black,Niclas Eriksson,Lars Wallentin,Stefan James,Robert F Storey,Shaun G Goodman,Gregory D Jenkins,Bruce W Eckloff,Suzette J Bielinski,Hugues Sicotte,Stephen Johnson,Veronique L Roger,Liewei Wang,Richard Weinshilboum,Eric W Klee,Charanjit S Rihal,Naveen L Pereira
View all publications

Abcam Product Promise

我们致力于为您的研究提供高质量的试剂,为您科研的每一步提供支持。若我们的产品未能达到预期性能,我们向您提供 Abcam Product Promise 保障。
详情请参阅我们的条款与条件。

Please note: All products are 'FOR RESEARCH USE ONLY. NOT FOR USE IN DIAGNOSTIC OR THERAPEUTIC PROCEDURES'.

For licensing inquiries, please contact partnerships@abcam.com