JavaScript is disabled in your browser. Please enable JavaScript to view this website.
AB324019

Anti-CYP21A2 antibody [EPR29787-27]

Anti-CYP21A2 antibody [EPR29787-27]

  • Advanced Validation
  • BOND RX™ Validated
  • RabMAb
  • Recombinant
  • 20ul selling size
  • 了解详情

Be the first to review this product! Submit a review

|

(0 Publication)

Rabbit Recombinant Monoclonal CYP21A2 antibody. Suitable for IHC-P, WB, mIHC and reacts with Transfected cell line - Human, Human, Mouse, Rat samples.

查看别名

CYP21, CYP21B, CYP21A2, Steroid 21-hydroxylase, 21-OHase, Cytochrome P-450c21, Cytochrome P450 21, Cytochrome P450 XXI, Cytochrome P450-C21, Cytochrome P450-C21B

11 Images
Immunohistochemistry (Formalin/PFA-fixed paraffin-embedded sections) - Anti-CYP21A2 antibody [EPR29787-27] (AB324019)
  • IHC-P

Supplier Data

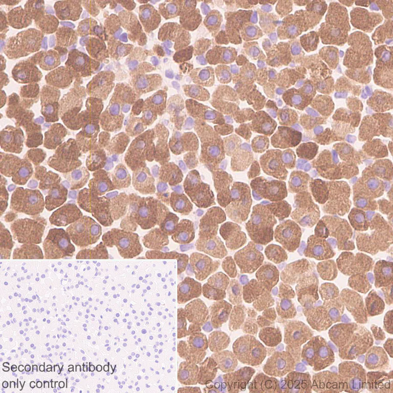
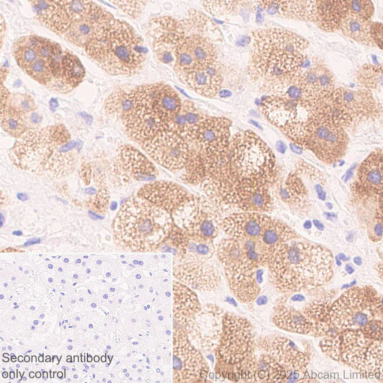
Immunohistochemistry (Formalin/PFA-fixed paraffin-embedded sections) - Anti-CYP21A2 antibody [EPR29787-27] (AB324019)

Immunohistochemical analysis of paraffin-embedded Human adrenal gland tissue labeling CYP21A2 with ab324019 at 1/5000 (0.1 ug/ml) dilution, followed by a ready to use LeicaDS9800 (Bond™ Polymer Refine Detection).

Positive staining in human adrenal gland.
The primary antibody was incubated for 30 mins at room temperature.
The immunostaining was performed on a Leica Biosystems BOND® RX instrument

Counterstained with Hematoxylin.

Secondary antibody only control : Secondary antibody is a ready to use LeicaDS9800 (Bond™ Polymer Refine Detection).

Heat mediated antigen retrieval was performed with Tris-EDTA buffer (pH 9.0, Epitope Retrieval Solution2) for 20 mins

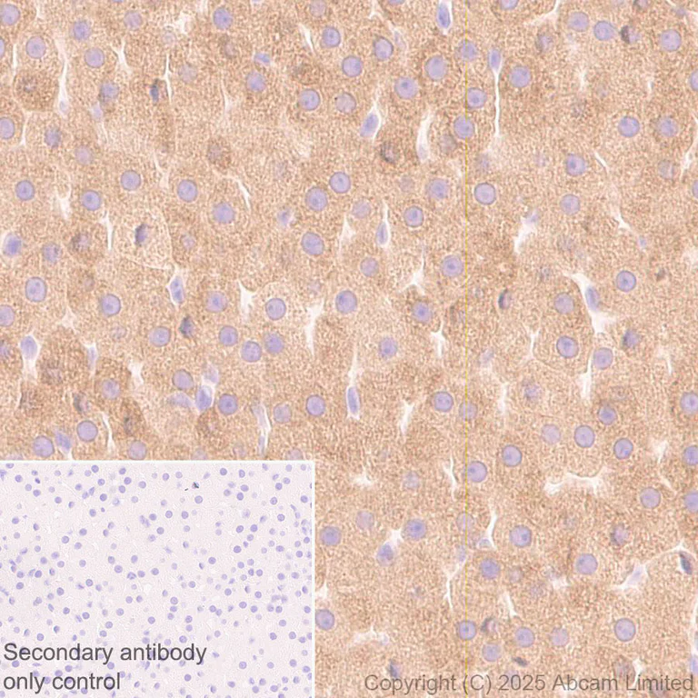
Immunohistochemistry (Formalin/PFA-fixed paraffin-embedded sections) - Anti-CYP21A2 antibody [EPR29787-27] (AB324019)
  • IHC-P

Supplier Data

Immunohistochemistry (Formalin/PFA-fixed paraffin-embedded sections) - Anti-CYP21A2 antibody [EPR29787-27] (AB324019)

Immunohistochemical analysis of paraffin-embedded Human pancreas tissue labeling CYP21A2 with ab324019 at 1/5000 (0.1 ug/ml) dilution, followed by a ready to use LeicaDS9800 (Bond™ Polymer Refine Detection).

Negative control : No staining in human pancreas.
The primary antibody was incubated for 30 mins at room temperature.
The immunostaining was performed on a Leica Biosystems BOND® RX instrument

Counterstained with Hematoxylin.

Secondary antibody only control : Secondary antibody is a ready to use LeicaDS9800 (Bond™ Polymer Refine Detection).

Heat mediated antigen retrieval was performed with Tris-EDTA buffer (pH 9.0, Epitope Retrieval Solution2) for 20 mins

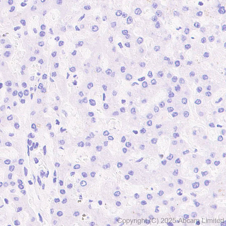
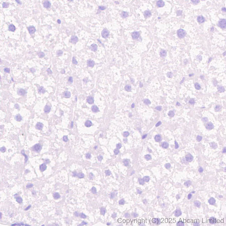
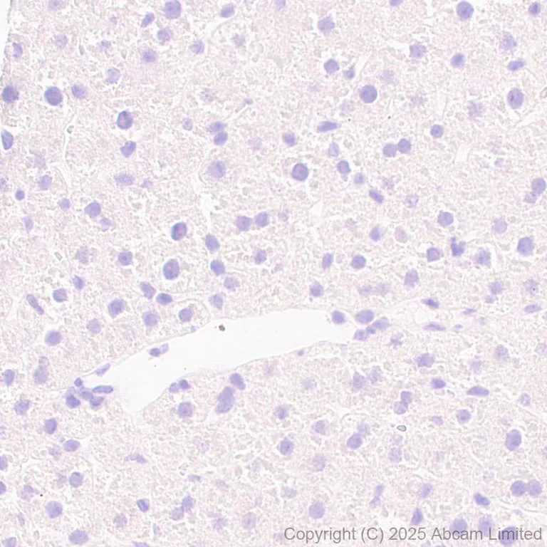
Immunohistochemistry (Formalin/PFA-fixed paraffin-embedded sections) - Anti-CYP21A2 antibody [EPR29787-27] (AB324019)
  • IHC-P

Supplier Data

Immunohistochemistry (Formalin/PFA-fixed paraffin-embedded sections) - Anti-CYP21A2 antibody [EPR29787-27] (AB324019)

Immunohistochemical analysis of paraffin-embedded Human liver tissue labeling CYP21A2 with ab324019 at 1/5000 (0.1 ug/ml) dilution, followed by a ready to use LeicaDS9800 (Bond™ Polymer Refine Detection).

Negative control : No staining in human liver.
The primary antibody was incubated for 30 mins at room temperature.
The immunostaining was performed on a Leica Biosystems BOND® RX instrument

Counterstained with Hematoxylin.

Secondary antibody only control : Secondary antibody is a ready to use LeicaDS9800 (Bond™ Polymer Refine Detection).

Heat mediated antigen retrieval was performed with Tris-EDTA buffer (pH 9.0, Epitope Retrieval Solution2) for 20 mins

Immunohistochemistry (Formalin/PFA-fixed paraffin-embedded sections) - Anti-CYP21A2 antibody [EPR29787-27] (AB324019)
  • IHC-P

Supplier Data

Immunohistochemistry (Formalin/PFA-fixed paraffin-embedded sections) - Anti-CYP21A2 antibody [EPR29787-27] (AB324019)

Immunohistochemical analysis of paraffin-embedded (A) HEK-293T (human embryonic kidney epithelial cell) transfected with a human CYP21A2 expression vector containing a Myc-His tag and (B) HEK-293T transfected with empty vector containing a Myc-His tag labeling CYP21A2 with ab324019 at 1/5000 (0.1 ug/ml) dilution, followed by a ready to use LeicaDS9800 (Bond™ Polymer Refine Detection).

Positive staining in (A) HEK-293T transfected with a human CYP21A2 expression vector containing a Myc-His tag, no signal in (B) HEK-293T transfected with empty vector containing a Myc-His tag.
The primary antibody was incubated for 30 mins at room temperature.
The immunostaining was performed on a Leica Biosystems BOND® RX instrument

Counterstained with Hematoxylin.

Secondary antibody only control : Secondary antibody is a ready to use LeicaDS9800 (Bond™ Polymer Refine Detection).

Heat mediated antigen retrieval was performed with Tris-EDTA buffer (pH 9.0, Epitope Retrieval Solution2) for 20 mins

Immunohistochemistry (Formalin/PFA-fixed paraffin-embedded sections) - Anti-CYP21A2 antibody [EPR29787-27] (AB324019)
  • IHC-P

Supplier Data

Immunohistochemistry (Formalin/PFA-fixed paraffin-embedded sections) - Anti-CYP21A2 antibody [EPR29787-27] (AB324019)

Immunohistochemical analysis of paraffin-embedded Mouse adrenal gland tissue labeling CYP21A2 with ab324019 at 1/5000 (0.1 ug/ml) dilution, followed by a ready to use LeicaDS9800 (Bond™ Polymer Refine Detection).

Positive staining in mouse adrenal gland.
The primary antibody was incubated for 30 mins at room temperature.
The immunostaining was performed on a Leica Biosystems BOND® RX instrument

Counterstained with Hematoxylin.

Secondary antibody only control : Secondary antibody is a ready to use LeicaDS9800 (Bond™ Polymer Refine Detection).

Heat mediated antigen retrieval was performed with Tris-EDTA buffer (pH 9.0, Epitope Retrieval Solution2) for 20 mins

Immunohistochemistry (Formalin/PFA-fixed paraffin-embedded sections) - Anti-CYP21A2 antibody [EPR29787-27] (AB324019)
  • IHC-P

Supplier Data

Immunohistochemistry (Formalin/PFA-fixed paraffin-embedded sections) - Anti-CYP21A2 antibody [EPR29787-27] (AB324019)

Immunohistochemical analysis of paraffin-embedded Rat adrenal gland tissue labeling CYP21A2 with ab324019 at 1/5000 (0.1 ug/ml) dilution, followed by a ready to use LeicaDS9800 (Bond™ Polymer Refine Detection).

Positive staining in rat adrenal gland.
The primary antibody was incubated for 30 mins at room temperature.
The immunostaining was performed on a Leica Biosystems BOND® RX instrument

Counterstained with Hematoxylin.

Secondary antibody only control : Secondary antibody is a ready to use LeicaDS9800 (Bond™ Polymer Refine Detection).

Heat mediated antigen retrieval was performed with Tris-EDTA buffer (pH 9.0, Epitope Retrieval Solution2) for 20 mins

Multiplex immunohistochemistry - Anti-CYP21A2 antibody [EPR29787-27] (AB324019)
  • mIHC

Lab

Multiplex immunohistochemistry - Anti-CYP21A2 antibody [EPR29787-27] (AB324019)

Multiplex immunohistochemistry analysis of formalin/PFA-fixed paraffin-embedded rat adrenal gland tissue staining Angiotensin II Type 2 Receptor with ab324679 at a 1/100 ( 5.0 μg/ml) dilution, ab308287 anti-VGF used at a 1/500 ( 0.498 μg/ml) dilution and ab324019 anti-CYP21A2 used at a 1/5000 ( 0.1 μg/ml) dilution.

Panel A : merged staining of anti-Angiotensin II Type 2 Receptor (green; Opal™520), anti-VGF (magenta; Opal™570) and anti-CYP21A2 (gray; Opal™690) on rat adrenal gland.

Panel B : anti-Angiotensin II Type 2 Receptor staining membrane of adrenal medulla in rat adrenal gland.

Panel C : anti-VGF staining endocrine cells of adrenal medulla in rat adrenal gland.

Panel D : anti-CYP21A2 staining adrenal cortex in rat adrenal gland.

Nuclear DNA was labeled with DAPI (shown in blue).

The section was incubated in three rounds of staining : in the order of ab324679, ab308287 and ab324019 for 30 mins at room temperature. Each round was followed by a separate fluorescent tyramide signal amplification system.

The immunostaining was performed on a Leica Biosystems BOND® RX instrument with an Opal™ 4-color kit. Image acquisition was performed with Leica SP8 confocal microscope.

Heat mediated antigen retrieval was performed with Tris-EDTA buffer (pH 9.0, Epitope Retrieval Solution2) for 20 mins.

Immunohistochemistry (Formalin/PFA-fixed paraffin-embedded sections) - Anti-CYP21A2 antibody [EPR29787-27] (AB324019)
  • IHC-P

Supplier Data

Immunohistochemistry (Formalin/PFA-fixed paraffin-embedded sections) - Anti-CYP21A2 antibody [EPR29787-27] (AB324019)

Immunohistochemical analysis of paraffin-embedded Mouse liver tissue labeling CYP21A2 with ab324019 at 1/5000 (0.1 ug/ml) dilution, followed by a ready to use LeicaDS9800 (Bond™ Polymer Refine Detection).

Negative control : No staining in mouse liver.
The primary antibody was incubated for 30 mins at room temperature.
The immunostaining was performed on a Leica Biosystems BOND® RX instrument

Counterstained with Hematoxylin.

Secondary antibody only control : Secondary antibody is a ready to use LeicaDS9800 (Bond™ Polymer Refine Detection).

Heat mediated antigen retrieval was performed with Tris-EDTA buffer (pH 9.0, Epitope Retrieval Solution2) for 20 mins

Multiplex immunohistochemistry - Anti-CYP21A2 antibody [EPR29787-27] (AB324019)
  • mIHC

Lab

Multiplex immunohistochemistry - Anti-CYP21A2 antibody [EPR29787-27] (AB324019)

Multiplex immunohistochemistry analysis of formalin/PFA-fixed paraffin-embedded mouse adrenal gland tissue staining Angiotensin II Type 2 Receptor with ab324679 at a 1/100 ( 5.0 μg/ml) dilution, ab308287 anti-VGF used at a 1/500 ( 0.498 μg/ml) dilution and ab324019 anti-CYP21A2 used at a 1/5000 ( 0.1 μg/ml) dilution.

Panel A : merged staining of anti-Angiotensin II Type 2 Receptor (green; Opal™520), anti-VGF (magenta; Opal™570) and anti-CYP21A2 (gray; Opal™690) on mouse adrenal gland.

Panel B : anti-Angiotensin II Type 2 Receptor staining membrane of adrenal medulla in mouse adrenal gland.

Panel C : anti-VGF staining endocrine cells of adrenal medulla in mouse adrenal gland.

Panel D : anti-CYP21A2 staining adrenal cortex in mouse adrenal gland.

Nuclear DNA was labeled with DAPI (shown in blue).

The section was incubated in three rounds of staining : in the order of ab324679, ab308287 and ab324019 for 30 mins at room temperature. Each round was followed by a separate fluorescent tyramide signal amplification system.

The immunostaining was performed on a Leica Biosystems BOND® RX instrument with an Opal™ 4-color kit. Image acquisition was performed with Leica SP8 confocal microscope.

Heat mediated antigen retrieval was performed with Tris-EDTA buffer (pH 9.0, Epitope Retrieval Solution2) for 20 mins.

Immunohistochemistry (Formalin/PFA-fixed paraffin-embedded sections) - Anti-CYP21A2 antibody [EPR29787-27] (AB324019)
  • IHC-P

Supplier Data

Immunohistochemistry (Formalin/PFA-fixed paraffin-embedded sections) - Anti-CYP21A2 antibody [EPR29787-27] (AB324019)

Immunohistochemical analysis of paraffin-embedded Rat liver tissue labeling CYP21A2 with ab324019 at 1/5000 (0.1 ug/ml) dilution, followed by a ready to use LeicaDS9800 (Bond™ Polymer Refine Detection).

Negative control : No staining in rat liver.
The primary antibody was incubated for 30 mins at room temperature.
The immunostaining was performed on a Leica Biosystems BOND® RX instrument

Counterstained with Hematoxylin.

Secondary antibody only control : Secondary antibody is a ready to use LeicaDS9800 (Bond™ Polymer Refine Detection).

Heat mediated antigen retrieval was performed with Tris-EDTA buffer (pH 9.0, Epitope Retrieval Solution2) for 20 mins

Western blot - Anti-CYP21A2 antibody [EPR29787-27] (AB324019)
  • WB

Supplier Data

Western blot - Anti-CYP21A2 antibody [EPR29787-27] (AB324019)

Blocking and diluting buffer and concentration : 5% NFDM/TBST.

Negative control : liver, placenta

In Western blot, Anti-GAPDH antibody [EPR16891] - Loading Control (ab181602) staining at 1/200000 dilution.

All lanes:

Western blot - Anti-CYP21A2 antibody [EPR29787-27] (ab324019) at 1/1000 dilution

Lane 1:

Human adrenal gland tissue lysate at 20 µg

Lane 2:

Human liver tissue lysate at 20 µg

Lane 3:

Mouse adrenal gland tissue lysate at 20 µg

Lane 4:

Mouse liver tissue lysate at 20 µg

Lane 5:

Mouse placenta tissue lysate at 20 µg

Lane 6:

Rat adrenal gland tissue lysate at 20 µg

Lane 7:

Rat liver tissue lysate at 20 µg

Lane 8:

Rat placenta tissue lysate at 20 µg

Secondary

All lanes:

Western blot - Goat Anti-Rabbit IgG H&L (HRP) (<a href='/products/secondary-antibodies/goat-rabbit-igg-h-l-hrp-ab97051'>ab97051</a>) at 1/100000 dilution

Observed band size: 56 kDa,36 kDa

false

Exposure time: 59s

不同偶联物与剂型 (1)

  • Carrier free

    Anti-CYP21A2 antibody [EPR29787-27] - BSA and Azide free

关键信息

宿主种属

Rabbit

克隆

Monoclonal

克隆号

EPR29787-27

亚型

IgG

不含载体蛋白

No

反应种属

Human, Mouse, Rat

应用

mIHC, IHC-P, WB

applications

免疫原

The exact immunogen used to generate this antibody is proprietary information.

反应性数据

{ "title": "Reactivity Data", "filters": { "stats": ["", "Species", "Dilution Info", "Notes"], "tabs": { "all-applications": {"fullname" : "All Applications", "shortname": "All Applications"}, "IHCP" : {"fullname" : "Immunohistochemistry (Formalin/PFA-fixed paraffin-embedded sections)", "shortname":"IHC-P"}, "WB" : {"fullname" : "Western blot", "shortname":"WB"}, "mIHC" : {"fullname" : "Multiplex immunohistochemistry", "shortname":"mIHC"} }, "product-promise": { "all": "all", "testedAndGuaranteed": "tested", "guaranteed": "expected", "predicted": "predicted", "notRecommended": "not-recommended" } }, "values": { "Human": { "IHCP-species-checked": "testedAndGuaranteed", "IHCP-species-dilution-info": "1/5000", "IHCP-species-notes": "<p></p> Perform heat-mediated antigen retrieval with Tris/EDTA buffer pH 9.0 before commencing with IHC staining protocol.", "WB-species-checked": "testedAndGuaranteed", "WB-species-dilution-info": "1/1000", "WB-species-notes": "<p></p>", "mIHC-species-checked": "guaranteed", "mIHC-species-dilution-info": "", "mIHC-species-notes": "" }, "Mouse": { "IHCP-species-checked": "testedAndGuaranteed", "IHCP-species-dilution-info": "1/5000", "IHCP-species-notes": "<p></p> Perform heat-mediated antigen retrieval with Tris/EDTA buffer pH 9.0 before commencing with IHC staining protocol.", "WB-species-checked": "testedAndGuaranteed", "WB-species-dilution-info": "1/1000", "WB-species-notes": "<p></p>", "mIHC-species-checked": "testedAndGuaranteed", "mIHC-species-dilution-info": "1/5000", "mIHC-species-notes": "<p></p> Perform heat-mediated antigen retrieval with Tris/EDTA buffer pH 9.0 before commencing with IHC staining protocol." }, "Rat": { "IHCP-species-checked": "testedAndGuaranteed", "IHCP-species-dilution-info": "1/5000", "IHCP-species-notes": "<p></p> Perform heat-mediated antigen retrieval with Tris/EDTA buffer pH 9.0 before commencing with IHC staining protocol.", "WB-species-checked": "testedAndGuaranteed", "WB-species-dilution-info": "1/1000", "WB-species-notes": "<p></p>", "mIHC-species-checked": "testedAndGuaranteed", "mIHC-species-dilution-info": "", "mIHC-species-notes": "<p></p> Perform heat-mediated antigen retrieval with Tris/EDTA buffer pH 9.0 before commencing with IHC staining protocol." }, "Transfected cell line - Human": { "IHCP-species-checked": "testedAndGuaranteed", "IHCP-species-dilution-info": "1/5000", "IHCP-species-notes": "<p></p> Perform heat-mediated antigen retrieval with Tris/EDTA buffer pH 9.0 before commencing with IHC staining protocol.", "WB-species-checked": "notRecommended", "WB-species-dilution-info": "", "WB-species-notes": "", "mIHC-species-checked": "notRecommended", "mIHC-species-dilution-info": "", "mIHC-species-notes": "" } } }

产品详情

Patented technology
Our RabMAb® technology is a patented hybridoma-based technology for making rabbit monoclonal antibodies. For details on our patents, please refer to RabMAb® patents.

What are the advantages of a recombinant monoclonal antibody?
This product is a recombinant monoclonal antibody, which offers several advantages including:

  • - High batch-to-batch consistency and reproducibility
  • - Improved sensitivity and specificity
  • - Long-term security of supply
  • - Animal-free batch production

For more information, read more on recombinant antibodies.

性能和储存信息

形式
Liquid
纯化工艺
Affinity purification Protein A
存储溶液
pH: 7.2 - 7.4 Preservative: 0.01% Sodium azide Constituents: PBS, 40% Glycerol (glycerin, glycerine), 0.05% BSA
运输条件
Blue Ice
推荐的短期储存时间
1-2 weeks
推荐的短期储存条件
+4°C
推荐的长期储存条件
-20°C
分装信息
Upon delivery aliquot
储存信息
Avoid freeze / thaw cycle

产品实验方案

For this product, it's our understanding that no specific protocols are required. You can visit:

靶点信息

A cytochrome P450 monooxygenase that plays a major role in adrenal steroidogenesis. Catalyzes the hydroxylation at C-21 of progesterone and 17alpha-hydroxyprogesterone to respectively form 11-deoxycorticosterone and 11-deoxycortisol, intermediate metabolites in the biosynthetic pathway of mineralocorticoids and glucocorticoids (PubMed : 10602386, PubMed : 16984992, PubMed : 22014889, PubMed : 25855791, PubMed : 27721825). Mechanistically, uses molecular oxygen inserting one oxygen atom into a substrate, and reducing the second into a water molecule, with two electrons provided by NADPH via cytochrome P450 reductase (CPR; NADPH-ferrihemoprotein reductase) (PubMed : 25855791).
See full target information CYP21A2

其他靶点

,

Abcam Product Promise

我们致力于为您的研究提供高质量的试剂,为您科研的每一步提供支持。若我们的产品未能达到预期性能,我们向您提供 Abcam Product Promise 保障。
详情请参阅我们的条款与条件。

Please note: All products are 'FOR RESEARCH USE ONLY. NOT FOR USE IN DIAGNOSTIC OR THERAPEUTIC PROCEDURES'.

For licensing inquiries, please contact partnerships@abcam.com