JavaScript is disabled in your browser. Please enable JavaScript to view this website.
AB126887

Anti-CYP1A1抗体

Anti-CYP1A1 antibody

Be the first to review this product! Submit a review

|

(6 Publications)

Anti-CYP1A1 antibody (ab126887) is a goat polyclonal antibody detecting CYP1A1 in Western Blot, IHC-P, ICC/IF. Suitable for Human, Mouse, Rat.

查看别名

Cytochrome P450 1A1, CYPIA1, Cytochrome P450 form 6, Cytochrome P450-C, Cytochrome P450-P1, Hydroperoxy icosatetraenoate dehydratase, CYP1A1

4 Images
Western blot - Anti-CYP1A1 antibody (AB126887)
  • WB

Unknown

Western blot - Anti-CYP1A1 antibody (AB126887)

All lanes:

Western blot - Anti-CYP1A1 antibody (ab126887) at 0.1 µg/mL

All lanes:

Rat lung lysate (in RIPA buffer) at 35 µg

Predicted band size: 58 kDa

true

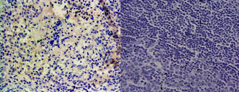
Immunohistochemistry (Formalin/PFA-fixed paraffin-embedded sections) - Anti-CYP1A1 antibody (AB126887)
  • IHC-P

Supplier Data

Immunohistochemistry (Formalin/PFA-fixed paraffin-embedded sections) - Anti-CYP1A1 antibody (AB126887)

Immunohistochemistry analysis of paraffin embedded human tonsil tissue labeling CYP1A1 with ab126887. Heat induced antigen retrieval was performed with Tris-EDTA pH 9, HRP-Staining (1/500) (left).

Negative Control showing staining of paraffin embedded Human Tonsil, with no primary antibody (right).

Immunocytochemistry/ Immunofluorescence - Anti-CYP1A1 antibody (AB126887)
  • ICC/IF

Supplier Data

Immunocytochemistry/ Immunofluorescence - Anti-CYP1A1 antibody (AB126887)

Immunofluorescence analysis of paraformaldehyde fixed NIH3T3 cells, permeabilized with 0.15% Triton. Primary incubation 1hr (10ug/ml) followed by Alexa Fluor 488 secondary antibody (2ug/ml), showing endoplasmic reticulum and cytoplasmic staining. The nuclear stain is DAPI (blue). Negative control : Unimmunized goat IgG (10ug/ml) followed by Alexa Fluor 488 secondary antibody (2ug/ml).

Western blot - Anti-CYP1A1 antibody (AB126887)
  • WB

Supplier Data

Western blot - Anti-CYP1A1 antibody (AB126887)

Detected by chemiluminescence.

All lanes:

Western blot - Anti-CYP1A1 antibody (ab126887) at 0.1 µg/mL

All lanes:

Human Lung lysate (35 µg protein in RIPA buffer)

Predicted band size: 58 kDa

false

关键信息

宿主种属

Goat

克隆

Polyclonal

亚型

IgG

不含载体蛋白

No

反应种属

Mouse, Rat, Human

应用

ICC/IF, WB, IHC-P

applications

免疫原

Synthetic Peptide within Mouse Cyp1a1 aa 250-350. The exact immunogen used to generate this antibody is proprietary information.

P00184

特异性

ab126887 is not expected to cross-react with the similar P450 1A2.

反应性数据

{ "title": "Reactivity Data", "filters": { "stats": ["", "Species", "Dilution Info", "Notes"], "tabs": { "all-applications": {"fullname" : "All Applications", "shortname": "All Applications"}, "WB" : {"fullname" : "Western blot", "shortname":"WB"}, "IHCP" : {"fullname" : "Immunohistochemistry (Formalin/PFA-fixed paraffin-embedded sections)", "shortname":"IHC-P"}, "ICCIF" : {"fullname" : "Immunocytochemistry/ Immunofluorescence", "shortname":"ICC/IF"} }, "product-promise": { "all": "all", "testedAndGuaranteed": "tested", "guaranteed": "expected", "predicted": "predicted", "notRecommended": "not-recommended" } }, "values": { "Human": { "WB-species-checked": "guaranteed", "WB-species-dilution-info": "", "WB-species-notes": "", "IHCP-species-checked": "testedAndGuaranteed", "IHCP-species-dilution-info": "10 µg/mL", "IHCP-species-notes": "<p></p>", "ICCIF-species-checked": "guaranteed", "ICCIF-species-dilution-info": "", "ICCIF-species-notes": "" }, "Mouse": { "WB-species-checked": "guaranteed", "WB-species-dilution-info": "", "WB-species-notes": "", "IHCP-species-checked": "guaranteed", "IHCP-species-dilution-info": "", "IHCP-species-notes": "", "ICCIF-species-checked": "testedAndGuaranteed", "ICCIF-species-dilution-info": "10 µg/mL", "ICCIF-species-notes": "<p></p>" }, "Rat": { "WB-species-checked": "testedAndGuaranteed", "WB-species-dilution-info": "0.1-0.3 µg/mL", "WB-species-notes": "<p>1 hour primary incubation is recommended for this product.</p>", "IHCP-species-checked": "guaranteed", "IHCP-species-dilution-info": "", "IHCP-species-notes": "", "ICCIF-species-checked": "guaranteed", "ICCIF-species-dilution-info": "", "ICCIF-species-notes": "" } } }

产品详情

What is this antibody validated in?
Anti-CYP1A1 antibody (ab126887) is a goat polyclonal antibody and is validated for use in Western Blot (WB), Immunohistochemistry (IHC-P), Immunocytochemistry/immunofluorescence (ICC/IF) in Human, Mouse, Rat samples.

What is the molecular weight of CYP1A1?
Anti-CYP1A1 (ab126887) specifically detects a band for CYP1A1 (UniProt: P04798) at a molecular weight of 55kDa.

性能和储存信息

形式
Liquid
纯化工艺
Affinity purification Immunogen
纯化说明
Purified from Goat serum by ammonium sulphate precipitation followed by antigen affinity chromatography using the immunizing peptide.
存储溶液
pH: 7.3 Preservative: 0.02% Sodium azide Constituents: 99% Tris buffered saline, 0.5% BSA
运输条件
Blue Ice
推荐的短期储存条件
+4°C
推荐的长期储存条件
-20°C
分装信息
Upon delivery aliquot
储存信息
Avoid freeze / thaw cycle

补充信息

This supplementary information is collated from multiple sources and compiled automatically.

CYP1A1 also known as cytochrome P450 1A1 is an enzyme that plays a critical role in the metabolism of xenobiotics. CYP1A1 facilitates the oxidation of polycyclic aromatic hydrocarbons (PAHs) and other environmental toxins converting them into more soluble compounds. With a molecular mass of approximately 58 kDa CYP1A1 locates primarily in the endoplasmic reticulum. Expression of CYP1A1 takes place mainly in the liver although it also appears in the lungs and intestines.
Biological function summary

Cytochrome P450 1A1 acts in detoxification processes and is involved in bioactivation of precarcinogens. The enzyme is part of the cytochrome P450 family which consists of many enzymes responsible for metabolizing diverse substrates. CYP1A1's activity can lead to the activation of carcinogens if bioactivated compounds form DNA adducts potentially leading to mutagenesis.

Pathways

CYP1A1 interacts in the aryl hydrocarbon receptor (AhR) signaling pathway and xenobiotic metabolism pathway. In the AhR pathway CYP1A1 participates in the induction of metabolism of environmental pollutants. Within these pathways it works alongside other cytochrome P450 enzymes like CYP1A2 and CYP1B1 both important in similar detoxification processes. The enzyme's regulation affects chemical homeostasis impacting the removal of potential toxins from the body.

CYP1A1's activity connects closely with lung cancer and cardiovascular diseases. This enzyme upon metabolizing PAHs and similar substances results in metabolites that contribute to carcinogenesis affecting lung tissue. Likewise by-products of its activity link to vascular inflammatory processes influencing cardiovascular health. Interactions with proteins such as AhR and Nrf2 modulate responses that can mitigate or exacerbate these conditions depending on the detoxification efficacy and the balance between bioactivation and elimination of harmful compounds.

产品实验方案

For this product, it's our understanding that no specific protocols are required. You can visit:

靶点信息

A cytochrome P450 monooxygenase involved in the metabolism of various endogenous substrates, including fatty acids, steroid hormones and vitamins (PubMed : 10681376, PubMed : 11555828, PubMed : 12865317, PubMed : 14559847, PubMed : 15041462, PubMed : 15805301, PubMed : 18577768, PubMed : 19965576, PubMed : 20972997). Mechanistically, uses molecular oxygen inserting one oxygen atom into a substrate, and reducing the second into a water molecule, with two electrons provided by NADPH via cytochrome P450 reductase (NADPH--hemoprotein reductase) (PubMed : 10681376, PubMed : 11555828, PubMed : 12865317, PubMed : 14559847, PubMed : 15041462, PubMed : 15805301, PubMed : 18577768, PubMed : 19965576, PubMed : 20972997). Catalyzes the hydroxylation of carbon-hydrogen bonds. Exhibits high catalytic activity for the formation of hydroxyestrogens from estrone (E1) and 17beta-estradiol (E2), namely 2-hydroxy E1 and E2, as well as D-ring hydroxylated E1 and E2 at the C15-alpha and C16-alpha positions (PubMed : 11555828, PubMed : 12865317, PubMed : 14559847, PubMed : 15805301). Displays different regioselectivities for polyunsaturated fatty acids (PUFA) hydroxylation (PubMed : 15041462, PubMed : 18577768). Catalyzes the epoxidation of double bonds of certain PUFA (PubMed : 15041462, PubMed : 19965576, PubMed : 20972997). Converts arachidonic acid toward epoxyeicosatrienoic acid (EET) regioisomers, 8,9-, 11,12-, and 14,15-EET, that function as lipid mediators in the vascular system (PubMed : 20972997). Displays an absolute stereoselectivity in the epoxidation of eicosapentaenoic acid (EPA) producing the 17(R),18(S) enantiomer (PubMed : 15041462). May play an important role in all-trans retinoic acid biosynthesis in extrahepatic tissues. Catalyzes two successive oxidative transformation of all-trans retinol to all-trans retinal and then to the active form all-trans retinoic acid (PubMed : 10681376). May also participate in eicosanoids metabolism by converting hydroperoxide species into oxo metabolites (lipoxygenase-like reaction, NADPH-independent) (PubMed : 21068195).
See full target information Cytochrome P450 1A1

文献 (6)

Recent publications for all applications. Explore the full list and refine your search

iScience 28:112505 PubMed40454092

2025

Polycyclic aromatic hydrocarbons promote tumorigenesis of gallbladder cancer via aryl hydrocarbon Receptor-HEGBC positive feedback axis.

Applications

Unspecified application

Species

Unspecified reactive species

Lei Yuan,Yumeng Zhang,Jianguo Xu,Feng Liu,Yingchao Liang,Beili Wang,Meihong Wu,Zhiyuan Fan,Liang Yang

Discover oncology 16:523 PubMed40221570

2025

Fulvic acid exhibits antitumor effects in ovarian cancer cells by upregulating cytochrome P450 family 1 subfamily A member 1 expression.

Applications

Unspecified application

Species

Unspecified reactive species

Min Chen,Ming Cheng,Chenchen Shao,Wenwen Liang,Yi Tang,Fangjun Ding

The FEBS journal 291:1780-1794 PubMed38317509

2024

PHGDH knockdown increases sensitivity to SR1, an aryl hydrocarbon receptor antagonist, in colorectal cancer by activating the autophagy pathway.

Applications

Unspecified application

Species

Unspecified reactive species

Hong-Ming Li,Xiang Li,Ran Xia,Xing Zhang,Tong-Zhao Jin,Hong-Sheng Zhang

BMC pharmacology & toxicology 23:8 PubMed35033194

2022

Sex-dependent effects of long-term clozapine or haloperidol medication on red blood cells and liver iron metabolism in Sprague Dawley rats as a model of metabolic syndrome.

Applications

Unspecified application

Species

Unspecified reactive species

Marie-Luise Bouvier,Karin Fehsel,Andrea Schmitt,Eva Meisenzahl-Lechner,Wolfgang Gaebel,Martina von Wilmsdorff

International journal of molecular medicine 48: PubMed34490474

2021

Taxifolin suppresses the malignant progression of gastric cancer by regulating the AhR/CYP1A1 signaling pathway.

Applications

Unspecified application

Species

Unspecified reactive species

Jiebin Xie,Yueshan Pang,Xiaoting Wu

The Journal of cell biology 219: PubMed31825461

2019

Regulated resurfacing of a somatostatin receptor storage compartment fine-tunes pituitary secretion.

Applications

Unspecified application

Species

Unspecified reactive species

Walaa Alshafie,Vincent Francis,Klaudia Bednarz,Yingzhou Edward Pan,Thomas Stroh,Peter S McPherson
View all publications

Abcam Product Promise

我们致力于为您的研究提供高质量的试剂,为您科研的每一步提供支持。若我们的产品未能达到预期性能,我们向您提供 Abcam Product Promise 保障。
详情请参阅我们的条款与条件。

Please note: All products are 'FOR RESEARCH USE ONLY. NOT FOR USE IN DIAGNOSTIC OR THERAPEUTIC PROCEDURES'.

For licensing inquiries, please contact partnerships@abcam.com