JavaScript is disabled in your browser. Please enable JavaScript to view this website.
AB33911

重组Anti-Cyclin E1抗体[EP435E]

Anti-Cyclin E1 antibody [EP435E]

  • BOND RX™ Validated
  • KO Validated
  • RabMAb
  • Recombinant
  • 了解详情

4

(8 Reviews)

|

(177 Publications)

Anti-Cyclin E1 antibody [EP435E] (ab33911) is a rabbit monoclonal antibody detecting Cyclin E1 in Western Blot, Flow Cytometry (Intra), Flow Cytometry, IP, IHC-P, ICC/IF. Suitable for Human.

- KO validated for confirmed specificity
- Biophysical QC for unrivalled batch-batch consistency
- Over 130 publications
- Trusted since 2006

查看别名

CCNE, CCNE1, G1/S-specific cyclin-E1

14 Images
Immunohistochemistry (Formalin/PFA-fixed paraffin-embedded sections) - Anti-Cyclin E1 antibody [EP435E] (AB33911)
  • IHC-P

Lab

Immunohistochemistry (Formalin/PFA-fixed paraffin-embedded sections) - Anti-Cyclin E1 antibody [EP435E] (AB33911)

Immunohistochemical analysis of paraffin-embedded (A) Wild-type HAP1 (human chronic myelogenous leukemia near-haploid cell) cell pellets (B)CCNE1 KO HAP1 cell pellets tissue labeling Cyclin E1 with ab33911 at 1/2000 (0.12 μg/ml) dilution followed by a ready to use LeicaDS9800 (Bond™ Polymer Refine Detection). Nuclear staining on (A) Wild-type HAP1 cell pellets, no staining on (B) CCNE1 KO HAP1 cell pellets.The section was incubated with ab33911 for 30 mins at room temperature. The immunostaining was performed on a Leica Biosystems BOND® RX instrument. Counterstained with Hematoxylin. Secondary antibody only control : Secondary antibody is a ready to use LeicaDS9800 (Bond™ Polymer Refine Detection). Heat mediated antigen retrieval was performed with Tris-EDTA buffer (pH 9.0, Epitope Retrieval Solution2) for 20 mins

Immunocytochemistry/ Immunofluorescence - Anti-Cyclin E1 antibody [EP435E] (AB33911)
  • ICC/IF

Unknown

Immunocytochemistry/ Immunofluorescence - Anti-Cyclin E1 antibody [EP435E] (AB33911)

Immunocytochemistry/Immunofluorescence analysis of HeLa (human cervix adenocarcinoma) cells labeling Cyclin E1 (green) with purified ab33911 at 1/500. Cells were fixed with 4% paraformaldehyde and permeabilized with 0.1% Triton X-100. ab150077, Alexa Fluor® 488-conjugated goat anti-rabbit IgG (1/1000) was used as the secondary antibody. Nuclei were counterstained with DAPI (blue).

Secondary Only Control : PBS was used instead of the primary antibody as the negative control.

Immunohistochemistry (Formalin/PFA-fixed paraffin-embedded sections) - Anti-Cyclin E1 antibody [EP435E] (AB33911)
  • IHC-P

Lab

Immunohistochemistry (Formalin/PFA-fixed paraffin-embedded sections) - Anti-Cyclin E1 antibody [EP435E] (AB33911)

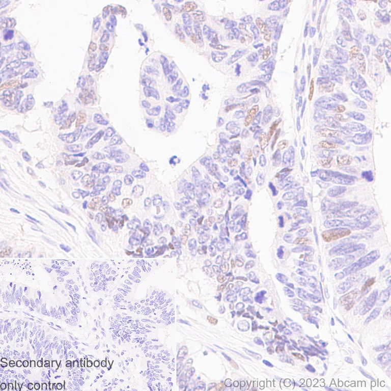
mmunohistochemical analysis of paraffin-embedded Human colon carcinoma tissue labeling Cyclin E1 with ab33911 at 1/2000 (0.12 μg/ml) dilution followed by a ready to use LeicaDS9800 (Bond™ Polymer Refine Detection). Nuclear staining on the human colon carcinoma. The section was incubated with ab33911 for 30 mins at room temperature. The immunostaining was performed on a Leica Biosystems BOND® RX instrument. Counterstained with Hematoxylin. Secondary antibody only control : Secondary antibody is a ready to use LeicaDS9800 (Bond™ Polymer Refine Detection). Heat mediated antigen retrieval was performed with Tris-EDTA buffer (pH 9.0, Epitope Retrieval Solution2) for 20 mins

Immunohistochemistry (Formalin/PFA-fixed paraffin-embedded sections) - Anti-Cyclin E1 antibody [EP435E] (AB33911)
  • IHC-P

Lab

Immunohistochemistry (Formalin/PFA-fixed paraffin-embedded sections) - Anti-Cyclin E1 antibody [EP435E] (AB33911)

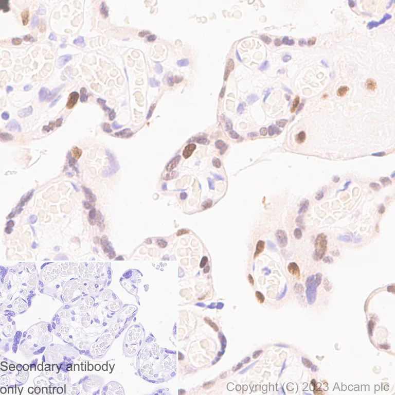
Immunohistochemical analysis of paraffin-embedded Human placenta tissue labeling Cyclin E1 with ab33911 at 1/2000 (0.12 μg/ml) dilution followed by a ready to use LeicaDS9800 (Bond™ Polymer Refine Detection). Nuclear staining on the human placenta. The section was incubated with ab33911 for 30 mins at room temperature. The immunostaining was performed on a Leica Biosystems BOND® RX instrument. Counterstained with Hematoxylin. Secondary antibody only control : Secondary antibody is a ready to use LeicaDS9800 (Bond™ Polymer Refine Detection). Heat mediated antigen retrieval was performed with Tris-EDTA buffer (pH 9.0, Epitope Retrieval Solution2) for 20 mins

Immunocytochemistry/ Immunofluorescence - Anti-Cyclin E1 antibody [EP435E] (AB33911)
  • ICC/IF

AbReview42932****

Immunocytochemistry/ Immunofluorescence - Anti-Cyclin E1 antibody [EP435E] (AB33911)

ab33911 staining Cyclin E1 in HeLa cells by ICC/IF (Immunocytochemistry/immunofluorescence). Cells were fixed with paraformaldehyde, permeabilized with 0.2% Triton X-100 and blocked with 2% BSA for 45 minutes at room temperature. Samples were incubated with primary antibody (1/300 in PBS + 2% BSA) for 14 hours at 4°C. An Alexa Fluor® 488-conjugated goat anti-rabbit IgG polyclonal (1/500) was used as the secondary antibody.

This image was generated using the unpurified format of the antibody.

This image is courtesy of an anonymous Abreview.

Immunocytochemistry/ Immunofluorescence - Anti-Cyclin E1 antibody [EP435E] (AB33911)
  • ICC/IF

AbReview57481****

Immunocytochemistry/ Immunofluorescence - Anti-Cyclin E1 antibody [EP435E] (AB33911)

Immunocytochemistry/Immunofluorescence analysis of HeLa cells labeling Cyclin E1 with ab33911 at 1/500 dilution. Cells were fixed in paraformaldehyde and permeabilized with 0.5% Triton X-100 in PBS. Staining with ab33911 at 1/500 was carried out for 1 hour at 22°C in PBS buffer. ab150081, a Goat Anti-Rabbit IgG H&L (Alexa Fluor® 488) preadsorbed secondary antibody, was used at 1/200 dilution. DAPI was used to counterstain.

This image was generated using the unpurified format of the antibody.

This image is courtesy of an Abreview submitted by Kirk McManus.

Flow Cytometry (Intracellular) - Anti-Cyclin E1 antibody [EP435E] (AB33911)
  • Flow Cyt (Intra)

Unknown

Flow Cytometry (Intracellular) - Anti-Cyclin E1 antibody [EP435E] (AB33911)

Intracellular Flow Cytometry analysis of HeLa (Human cervix adenocarcinoma epithelial cell) cells labeling Cyclin E1 with Purified ab33911 at 1/30 dilution (10 μg/mL) (Red). Cells were fixed with 4% Paraformaldehyde and permeabilised with 90% Methanol. A Goat anti rabbit IgG (Alexa Fluor® 488, ab150077) secondary antibody was used at 1/2000. Isotype control - Rabbit monoclonal IgG (Black). Unlabeled control - Cell without incubation with primary antibody and secondary antibody (Blue).

Flow Cytometry (Intracellular) - Anti-Cyclin E1 antibody [EP435E] (AB33911)
  • Flow Cyt (Intra)

Unknown

Flow Cytometry (Intracellular) - Anti-Cyclin E1 antibody [EP435E] (AB33911)

Overlay histogram showing MCF7 cells stained with ab33911 (red line). The cells were fixed with 4% paraformaldehyde (10 min) and then permeabilized with 0.1% PBS-Tween for 20 min. The cells were then incubated in 1x PBS / 10% normal goat serum / 0.3M glycine to block non-specific protein-protein interactions followed by the antibody (ab33911, 1/1000 dilution) for 30 min at 22°C. The secondary antibody used was Alexa Fluor® 488 goat anti-rabbit IgG (H&L) (ab150077) at 1/2000 dilution for 30 min at 22°C. Isotype control antibody (black line) was rabbit IgG (monoclonal) (0.1μg/1x106 cells) used under the same conditions. Unlabelled sample (blue line) was also used as a control. Acquisition of >5,000 events were collected using a 20mW Argon ion laser (488nm) and 525/30 bandpass filter. This antibody gave a positive signal in MCF7 cells fixed with 80% methanol (5 min)/permeabilized with 0.1% PBS-Tween for 20 min used under the same conditions.

This image was generated using the unpurified format of the antibody.

Immunoprecipitation - Anti-Cyclin E1 antibody [EP435E] (AB33911)
  • IP

Unknown

Immunoprecipitation - Anti-Cyclin E1 antibody [EP435E] (AB33911)

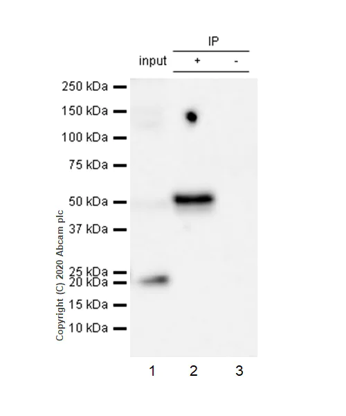
Purified ab33911 at 1/30 dilution (2ug) immunoprecipitating Cyclin E1 in HeLa whole cell lysate.
Lane 1 (input) : HeLa (Human cervix adenocarcinoma epithelial cell) whole cell lysate (10μg)
Lane 2 (+) : ab33911 + HeLa whole cell lysate.
Lane 3 (-) : Rabbit monoclonal IgG (ab172730) instead of ab33911 in HeLa whole cell lysate.
VeriBlot for IP Detection Reagent (HRP) (ab131366) (1/1000) was used for Western blotting.
Blocking Buffer and concentration : 5% NFDM/TBST.
Diluting buffer and concentration : 5% NFDM/TBST.
Observed band size : 50 kDa

All lanes:

Immunoprecipitation - Anti-Cyclin E1 antibody [EP435E] (ab33911)

Predicted band size: 47 kDa

false

Western blot - Anti-Cyclin E1 antibody [EP435E] (AB33911)
  • WB

Lab

Western blot - Anti-Cyclin E1 antibody [EP435E] (AB33911)

Western blot : Anti-CCNE1 antibody [EPR26497-64] (ab33911) staining at 1/1000 dilution, shown in green; Mouse anti-GAPDH antibody [6C5] (ab8245) loading control staining at 1/20000 dilution, shown in magenta. In Western blot, ab33911 was shown to bind specifically to CCNE1. A band was observed at 45 kDa in wild-type HCT 116 cell lysates with no signal observed at this size in CCNE1 knockout cell line. To generate this image, wild-type and CCNE1 knockout HCT 116 cell lysates were analysed. First, samples were run on an SDS-PAGE gel then transferred onto a nitrocellulose membrane. Membranes were blocked in 3 % milk in TBS-0.1 % Tween® 20 (TBS-T) before incubation with primary antibodies overnight at 4 °C. Blots were washed four times in TBS-T, incubated with secondary antibodies for 1 h at room temperature, washed again four times then imaged. Secondary antibodies used were Goat anti-Rabbit IgG H&L 800CW and Goat anti-Mouse IgG H&L 680RD at 1/20000 dilution.

All lanes:

Western blot - Anti-Cyclin E1 antibody [EP435E] (ab33911) at 1/1000 dilution

Lane 1:

Wild-type HCT 116 cell lysate at 20 µg

Lane 2:

CCNE1 knockout HCT 116 cell lysate at 20 µg

Lane 3:

Wild-type MCF7 ab288560 cell lysate at 20 µg

Lane 4:

CCNE1 knockout MCF7 <a href='/products/cell-lines/human-ccne1-knockout-mcf7-cell-line-ab286303'>ab286303</a> cell lysate at 20 µg

Secondary

All lanes:

Goat anti-Rabbit IgG H&L 800CW and Goat anti-Mouse IgG H&L 680RD at 1/20000 dilution

Predicted band size: 47 kDa

Observed band size: 45 kDa

false

Western blot - Anti-Cyclin E1 antibody [EP435E] (AB33911)
  • WB

Lab

Western blot - Anti-Cyclin E1 antibody [EP435E] (AB33911)

Lanes 1 - 2 : Merged signal (red and green). Green - ab33911 observed at 47 kDa. Red - loading control, ab9484, observed at 37 kDa.

ab33911 was shown to recognize CCNE1 in wild-type HAP1 cells as signal was lost at the expected MW in CCNE1 (Cyclin E1) knockout cells. Additional cross-reactive bands were observed in the wild-type and knockout cells. Wild-type and CCNE1 (Cyclin E1) knockout samples were subjected to SDS-PAGE. ab33911 and ab9484 (Mouse anti-GAPDH loading control) were incubated overnight at 4°C at 1/1000 dilution and 1/20000 dilution respectively. Blots were developed with Goat anti-Rabbit IgG H&L (IRDye® 800CW) preabsorbed ab216773 and Goat anti-Mouse IgG H&L (IRDye® 680RD) preabsorbed ab216776 secondary antibodies at 1/20000 dilution for 1 hour at room temperature before imaging.

This image was generated using the unpurified format of the antibody.

All lanes:

Western blot - Anti-Cyclin E1 antibody [EP435E] (ab33911) at 1/1000 dilution

Lane 1:

Wild-type HAP1 whole cell lysate at 40 µg

Lane 2:

CCNE1 (Cyclin E1) knockout HAP1 whole cell lysate at 40 µg

Predicted band size: 47 kDa

false

Western blot - Anti-Cyclin E1 antibody [EP435E] (AB33911)
  • WB

Unknown

Western blot - Anti-Cyclin E1 antibody [EP435E] (AB33911)

Cyclin E1 is highly expressed in testis and placenta which is described in PMID : 9840943.

Blocking/Diluting buffer : 5% NFDM/TBST.

All lanes:

Western blot - Anti-Cyclin E1 antibody [EP435E] (ab33911) at 1/1000 dilution

Lane 1:

HeLa (Human cervix adenocarcinoma epithelial cell) whole cell lysates at 20 µg

Lane 2:

Human testis lysates at 20 µg

Lane 3:

Human placenta lysates at 20 µg

Secondary

All lanes:

Goat Anti-Rabbit IgG (HRP) with minimal cross-reactivity with human IgG at 1/2000 dilution

Predicted band size: 47 kDa

Observed band size: 50 kDa

false

Western blot - Anti-Cyclin E1 antibody [EP435E] (AB33911)
  • WB

Lab

Western blot - Anti-Cyclin E1 antibody [EP435E] (AB33911)

Western blot : Anti-CCNE1 antibody [EP435E] (ab33911) staining at 1/1000 dilution, shown in green; Mouse anti-GAPDH antibody [6C5] (ab8245) loading control staining at 1/20000 dilution, shown in magenta. In Western blot, ab33911 was shown to bind specifically to CCNE1. A band was observed at 47 kDa in wild-type MCF7 cell lysates with no signal observed at this size in CCNE1 knockout cell line ab286303 (knockout cell lysate ab300211). To generate this image, wild-type and CCNE1 knockout MCF7 cell lysates were analysed. First, samples were run on an SDS-PAGE gel then transferred onto a nitrocellulose membrane. Membranes were blocked in 3% milk in TBS-0.1 % Tween® 20 (TBS-T) before incubation with primary antibodies overnight at 4°C. Blots were washed four times in TBS-T, incubated with secondary antibodies for 1 h at room temperature, washed again four times then imaged. Secondary antibodies used were Goat anti-Rabbit IgG H&L 800CW and Goat anti-Mouse IgG H&L 680RD at 1/20000 dilution.

All lanes:

Western blot - Anti-Cyclin E1 antibody [EP435E] (ab33911) at 1/1000 dilution

Lane 1:

Wild-type MCF7 cell lysate at 20 µg

Lane 2:

CCNE1 knockout MCF7 cell lysate at 20 µg

Lane 3:

HT-29 cell lysate at 20 µg

Lane 4:

PC-3 cell lysate at 20 µg

Observed band size: 47 kDa

true

Western blot - Anti-Cyclin E1 antibody [EP435E] (AB33911)
  • WB

Lab

Western blot - Anti-Cyclin E1 antibody [EP435E] (AB33911)

False colour image of Western blot : Anti-Cyclin E1 antibody [EP435E] staining at 1/1000 dilution, shown in green; Mouse anti-GAPDH antibody [6C5] (ab8245) loading control staining at 1/20000 dilution, shown in red. In Western blot, ab33911 was shown to bind specifically to Cyclin E1. A band was observed at 47 kDa in wild-type HAP1 cell lysates with no signal observed at this size in CCNE1 knockout cell line. To generate this image, wild-type and CCNE1 knockout HAP1 cell lysates were analysed. First, samples were run on an SDS-PAGE gel then transferred onto a nitrocellulose membrane. Membranes were blocked in 3 % milk in TBS-0.1 % Tween® 20 (TBS-T) before incubation with primary antibodies overnight at 4 °C. Blots were washed four times in TBS-T, incubated with secondary antibodies for 1 h at room temperature, washed again four times then imaged. Secondary antibodies used were Goat anti-Rabbit IgG H&L (IRDye® 800CW) preabsorbed (ab216773) and Goat anti-Mouse IgG H&L (IRDye® 680RD) preabsorbed (ab216776) at 1/20000 dilution.

All lanes:

Western blot - Anti-Cyclin E1 antibody [EP435E] (ab33911) at 1/1000 dilution

Lane 1:

Wild-type HAP1 cell lysate at 20 µg

Lane 2:

CCNE1 knockout HAP1 cell lysate at 20 µg

Lane 3:

Jurkat cell lysate at 20 µg

Predicted band size: 47 kDa

Observed band size: 47 kDa

false

不同偶联物与剂型 (2)

关键信息

宿主种属

Rabbit

克隆

Monoclonal

克隆号

EP435E

亚型

IgG

不含载体蛋白

No

反应种属

Human

应用

ICC/IF, IHC-P, WB, Flow Cyt (Intra), IP

applications

免疫原

The exact immunogen used to generate this antibody is proprietary information.

特异性

This antibody recognises Cyclin E1. It is predicted to detect the splice isoform 2 based on sequence analysis.

反应性数据

{ "title": "Reactivity Data", "filters": { "stats": ["", "Species", "Dilution Info", "Notes"], "tabs": { "all-applications": {"fullname" : "All Applications", "shortname": "All Applications"}, "IHCP" : {"fullname" : "Immunohistochemistry (Formalin/PFA-fixed paraffin-embedded sections)", "shortname":"IHC-P"}, "IP" : {"fullname" : "Immunoprecipitation", "shortname":"IP"}, "WB" : {"fullname" : "Western blot", "shortname":"WB"}, "ICCIF" : {"fullname" : "Immunocytochemistry/ Immunofluorescence", "shortname":"ICC/IF"}, "FlowCytIntra" : {"fullname" : "Flow Cytometry (Intracellular)", "shortname":"Flow Cyt (Intra)"} }, "product-promise": { "all": "all", "testedAndGuaranteed": "tested", "guaranteed": "expected", "predicted": "predicted", "notRecommended": "not-recommended" } }, "values": { "Human": { "IHCP-species-checked": "testedAndGuaranteed", "IHCP-species-dilution-info": "1/2000", "IHCP-species-notes": "<p></p>", "IP-species-checked": "testedAndGuaranteed", "IP-species-dilution-info": "1/30", "IP-species-notes": "<p></p>", "WB-species-checked": "testedAndGuaranteed", "WB-species-dilution-info": "1/1000", "WB-species-notes": "<p></p>", "ICCIF-species-checked": "testedAndGuaranteed", "ICCIF-species-dilution-info": "1/100 - 1/500", "ICCIF-species-notes": "<p></p>", "FlowCytIntra-species-checked": "testedAndGuaranteed", "FlowCytIntra-species-dilution-info": "1/30", "FlowCytIntra-species-notes": "<p>For unpurified use 1/100 - 1/1000. <a href='/products/primary-antibodies/rabbit-igg-monoclonal-epr25a-isotype-control-ab172730'>ab172730</a> - Rabbit monoclonal IgG, is suitable for use as an isotype control with this antibody.</p>" } } }

产品详情

What is this antibody validated in?
Anti-Cyclin E1 antibody [EP435E] (ab33911) is a rabbit recombinant monoclonal antibody and is validated for use in Western Blot (WB), Flow Cytometry (Intra), Flow Cytometry (Flow Cyt), Immunoprecipitation (IP), Immunohistochemistry (IHC-P), Immunocytochemistry/immunofluorescence (ICC/IF) in Human samples.

What is the molecular weight of Cyclin E1?
Anti-Cyclin E1 [EP435E] (ab33911) specifically detects a band for Cyclin E1 (UniProt: P24864) at a molecular weight of 47kDa.

Trusted by the scientific community
Anti-Cyclin E1 [EP435E] (ab33911) was first used in a scientific publication in 2006 and has been cited over 130 times in peer-reviewed journals.

Reviewed by scientists
Anti-Cyclin E1 [EP435E] (ab33911) has over 5 independent reviews from customers.

Trial sizes available!
Test your antibody or perform pre-screening before committing to a larger quantity. Sold in 10µl. Discover our selection of trial-size antibodies.

Specificity confirmed
The specificity of Anti-Cyclin E1 antibody [EP435E] (ab33911) has been confirmed by Western blot testing in CCNE1 Knockout HAP1 cell line, ab286303.

Other related products
We have a range of other formats of antibody clone [EP435E] also available for your convenience: ab33911, Alexa Fluor® 647 - ab194069, HRP - ab194070, Carrier free - ab208696

Species reactivity
Mouse, Rat: We have preliminary internal testing data to indicate this antibody may not react with these species.
Please contact us for more information.

Patented technology
Our RabMAb® technology is a patented hybridoma-based technology for making rabbit monoclonal antibodies. For details on our patents, please refer to RabMAb® patents.

What are the advantages of a recombinant monoclonal antibody?
This product is a recombinant monoclonal antibody, which offers several advantages including:

  • - High batch-to-batch consistency and reproducibility
  • - Improved sensitivity and specificity
  • - Long-term security of supply
  • - Animal-free batch production

For more information, read more on recombinant antibodies.

性能和储存信息

形式
Liquid
纯化工艺
Affinity purification Protein A
存储溶液
pH: 7.2 - 7.4 Preservative: 0.01% Sodium azide Constituents: PBS, 40% Glycerol (glycerin, glycerine), 0.05% BSA
运输条件
Blue Ice
推荐的短期储存时间
1-2 weeks
推荐的短期储存条件
+4°C
推荐的长期储存条件
-20°C
分装信息
Upon delivery aliquot
储存信息
Avoid freeze / thaw cycle

产品实验方案

For this product, it's our understanding that no specific protocols are required. You can visit:

靶点信息

Essential for the control of the cell cycle at the G1/S (start) transition.
See full target information CCNE1

文献 (177)

Recent publications for all applications. Explore the full list and refine your search

Translational lung cancer research 14:2771-2787 PubMed40799432

2025

Overexpression of promotes cell metabolism and activates the NOTCH signaling pathway in lung adenocarcinoma.

Applications

Unspecified application

Species

Unspecified reactive species

Guangmin Xi,Caibo Zhang,Cong Yu,Yiya Wang,Jinfeng Fu,Haining Qi,Kenichi Suda,Guoying Wu

Journal of animal science and biotechnology 16:107 PubMed40745344

2025

Yeast culture in weaned lamb feed: a proteomic journey into enhanced rumen health and growth.

Applications

Unspecified application

Species

Unspecified reactive species

Xueqiang Li,Xiaolin Yang,Hui Chen,Shixiong Liu,Puguo Hao,Jie Ning,Yingga Wu,Xi Liang,Yufei Zhang,Dacheng Liu

The EMBO journal 44:4378-4405 PubMed40551011

2025

WIP1 mutations suppress DNA damage triggered bypass of the mitotic timer.

Applications

Unspecified application

Species

Unspecified reactive species

Tomoaki Sobajima,Luke J Fulcher,Caleb Batley,Susanna J Alsop,Jonah Veakins,Francis A Barr

NPJ breast cancer 11:54 PubMed40506447

2025

Baseline cell cycle and immune profiles indicate CDK4/6 inhibitor response in metastatic HR + /HER2- breast cancer.

Applications

Unspecified application

Species

Unspecified reactive species

Stephanie L Tzetzo,Emily Schultz,Jianxin Wang,Hanna R Rosenheck,Sidney Mahan,Erik S Knudsen,Agnieszka K Witkiewicz

BMC gastroenterology 25:365 PubMed40360974

2025

Investigation of the mechanism by which miR-223-3p inhibits reflux esophagitis through targeting the NLRP3 inflammasome.

Applications

Unspecified application

Species

Unspecified reactive species

Shuying Lin,Binbin Zheng,Ruchen Wu,Qiuli Wu,Xiangbo Chen

Cellular oncology (Dordrecht, Netherlands) 48:815-834 PubMed40327295

2025

High extracellular matrix stiffness upregulates TNNT1 to awaken dormant tumor cells in liver metastatic niches of gastric cancer.

Applications

Unspecified application

Species

Unspecified reactive species

Linhua Ji,Jie Peng,Yuxuan Lin,Yiqing Zhong,Bo Ni,Chunchao Zhu,Zizhen Zhang

Oncology research 33:123-132 PubMed39735672

2024

enhances the development of lung adenocarcinoma by regulating the glycolysis pathway.

Applications

Unspecified application

Species

Unspecified reactive species

Lei Wang,Xianjin Xie

Acta biochimica et biophysica Sinica 57:995-1005 PubMed39574166

2024

Ivermectin inhibits the growth of ESCC by activating the ATF4-mediated endoplasmic reticulum stress-autophagy pathway.

Applications

Unspecified application

Species

Unspecified reactive species

Huiyang Liu,Zhirong Chai,Ya Gao,Yanming Wang,Mengmeng Lu

Oncology reports 52: PubMed39329268

2024

miR‑25‑3p serves as an oncogenic in colorectal cancer cells by regulating the ubiquitin ligase FBXW7 function.

Applications

Unspecified application

Species

Unspecified reactive species

Yanbin Chen,Bingchen Chen,Shiliang Tu,Hang Yuan

Technology in cancer research & treatment 23:15330338241274337 PubMed39166273

2024

Tumor-Associated Macrophage-Derived TGF-β1 Activates GLI2 via the Smad2/3 Signaling Pathway to Affect Cisplatin Resistance in Lung Adenocarcinoma.

Applications

Unspecified application

Species

Unspecified reactive species

Xiaoling Lan,Dalong Wei,Lini Fang,Xiangsheng Wu,Biaoliang Wu
View all publications

Abcam Product Promise

我们致力于为您的研究提供高质量的试剂,为您科研的每一步提供支持。若我们的产品未能达到预期性能,我们向您提供 Abcam Product Promise 保障。
详情请参阅我们的条款与条件。

Please note: All products are 'FOR RESEARCH USE ONLY. NOT FOR USE IN DIAGNOSTIC OR THERAPEUTIC PROCEDURES'.

For licensing inquiries, please contact partnerships@abcam.com