JavaScript is disabled in your browser. Please enable JavaScript to view this website.
AB32053

Anti-Cyclin B1 抗体 [Y106]

Anti-Cyclin B1 antibody [Y106]

5

(4 Reviews)

|

(238 Publications)

Anti-Cyclin B1 antibody [Y106] (ab32053) is a rabbit monoclonal antibody detecting Cyclin B1 in Western Blot, Flow Cytometry (Intra), Flow Cytometry, IP, IHC-P, ICC/IF. Suitable for Human.

- KO validated for confirmed specificity
- Biophysical QC for unrivalled batch-batch consistency
- Over 180 publications
- Trusted since 2006

查看别名

CCNB, CCNB1, G2/mitotic-specific cyclin-B1

10 Images
Immunohistochemistry (Formalin/PFA-fixed paraffin-embedded sections) - Anti-Cyclin B1 antibody [Y106] (AB32053)
  • IHC-P

Unknown

Immunohistochemistry (Formalin/PFA-fixed paraffin-embedded sections) - Anti-Cyclin B1 antibody [Y106] (AB32053)

Unpurified ab32053 at a 1 : 100 dilution staining Human cyclin B1 in human skin carcinoma, using Immunohistochemistry, Paraffin Embedded Tissue.

Immunocytochemistry/ Immunofluorescence - Anti-Cyclin B1 antibody [Y106] (AB32053)
  • ICC/IF

Unknown

Immunocytochemistry/ Immunofluorescence - Anti-Cyclin B1 antibody [Y106] (AB32053)

Immunocytochemistry/ Immunofluorescence analysis of HeLa (Human cervix adenocarcinoma epithelial cell) cells labeling Cyclin B1 with Purified ab32053 at 1 : 100 dilution. Cells were fixed in 100% Methanol. ab150077 Goat anti rabbit IgG(Alexa Fluor® 488) was used as the secondary antibody at 1 : 1000 dilution. DAPI nuclear counterstain. PBS instead of the primary antibody was used as the secondary antibody only control.

Immunocytochemistry/ Immunofluorescence - Anti-Cyclin B1 antibody [Y106] (AB32053)
  • ICC/IF

AbReview59803****

Immunocytochemistry/ Immunofluorescence - Anti-Cyclin B1 antibody [Y106] (AB32053)

Unpurified ab32053 staining Cyclin B1 in the U2OS cell line from human by ICC/IF (Immunocytochemistry/immunofluorescence).Cells were fixed with formaldehyde,permeabilized with 1% Triton X-100 in PBS and blocked with 1% BSA for 1 hour at 37°C.Alexa Fluor® 594-conjugated goat anti-rabbit IgG polyclonal was used as the secondary antibody.

This image is courtesy of an Abreview submitted by Stephanie Hilss.

Flow Cytometry (Intracellular) - Anti-Cyclin B1 antibody [Y106] (AB32053)
  • Flow Cyt (Intra)

Unknown

Flow Cytometry (Intracellular) - Anti-Cyclin B1 antibody [Y106] (AB32053)

Overlay histogram showing Jurkat cells stained with unpurified ab32053 (red line). The cells were fixed with 80% methanol (5 min) and then permeabilized with 0.1% PBS-Tween for 20 min. The cells were then incubated in 1x PBS / 10% normal goat serum / 0.3M glycine to block non-specific protein-protein interactions followed by the antibody (ab32053, 1/20 dilution) for 30 min at 22°C. The secondary antibody used was DyLight® 488 goat anti-rabbit IgG (H+L) (ab96899) at 1/500 dilution for 30 min at 22°C. Isotype control antibody (black line) was rabbit IgG (monoclonal) (1μg/1x106 cells) used under the same conditions. Acquisition of >5,000 events was performed.

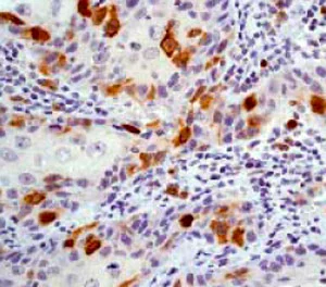
Immunohistochemistry (Formalin/PFA-fixed paraffin-embedded sections) - Anti-Cyclin B1 antibody [Y106] (AB32053)
  • IHC-P

Unknown

Immunohistochemistry (Formalin/PFA-fixed paraffin-embedded sections) - Anti-Cyclin B1 antibody [Y106] (AB32053)

Immunohistochemistry (Formalin/PFA-fixed paraffin-embedded sections) analysis of Human cervical carcinoma tissue sections labeling Cyclin B1 with Purified ab32053 at 1 : 250 dilution (1.47 μg/ml). Heat mediated antigen retrieval was performed using ab93684 (Tris/EDTA buffer, pH 9.0). Tissue was counterstained with Hematoxylin. ImmunoHistoProbe one step HRP Polymer (ready to use) secondary antibody was used at 1 : 0 dilution. PBS instead of the primary antibody was used as the negative control.

Flow Cytometry (Intracellular) - Anti-Cyclin B1 antibody [Y106] (AB32053)
  • Flow Cyt (Intra)

Unknown

Flow Cytometry (Intracellular) - Anti-Cyclin B1 antibody [Y106] (AB32053)

Intracellular Flow Cytometry analysis of HeLa (Human cervix adenocarcinoma epithelial cell) cells labeling Cyclin B1 with purified ab32053 at 1/400 dilution (1μg/ml) (Right). Cells were fixed with 80% Methanol and permeabilised with 0.1% Tween-20. A Goat anti rabbit IgG (Alexa Fluor® 488) secondary antibody was used at 1/2000 dilution. Isotype control - Rabbit monoclonal IgG (Left). Cells were pre-treated with 20μg/ml RNaseA for 30min to minimize the binding between PI and RNA.Then intracellular stained with ab32053 and PI.

Immunoprecipitation - Anti-Cyclin B1 antibody [Y106] (AB32053)
  • IP

Unknown

Immunoprecipitation - Anti-Cyclin B1 antibody [Y106] (AB32053)

ab32053 (purified) at 1 : 20 dilution (2μg) immunoprecipitating Cyclin B1 in Jurkat (Human T cell leukemia T lymphocyte) whole cell lysate.

Lane 1 (input) : Jurkat (Human T cell leukemia T lymphocyte) whole cell lysate 10μg
Lane 2 (+) : ab32053 & Jurkat (Human T cell leukemia T lymphocyte) whole cell lysate
Lane 3 (-) : Rabbit monoclonal IgG (ab172730) instead of ab32053 in Jurkat (Human T cell leukemia T lymphocyte) whole cell lysate

For western blotting, VeriBlot for IP Detection Reagent (HRP) (ab131366) was used for detection at 1 : 1000 dilution.
Blocking and diluting buffer : 5% NFDM/TBST.

All lanes:

Immunoprecipitation - Anti-Cyclin B1 antibody [Y106] (ab32053)

Predicted band size: 48 kDa

false

Western blot - Anti-Cyclin B1 antibody [Y106] (AB32053)
  • WB

Lab

Western blot - Anti-Cyclin B1 antibody [Y106] (AB32053)

Lane 1 : Wild-type HAP1 whole cell lysate (20 μg)
Lane 2 : CCNB1 knockout HAP1 whole cell lysate (20 μg)
Lane 3 : HeLa whole cell lysate (20 μg)
Lanes 1 - 3 : Merged signal (red and green). Green - ab32053 observed at 55 kDa. Red - loading control, ab8245, observed at 37 kDa.

Unpurified ab32053 was shown to specifically react with CCNB1 in wild-type HAP1 cells. No band was observed when CCNB1 knockout samples were examined. Wild-type and CCNB1 knockout samples were subjected to SDS-PAGE. ab32053 and ab8245 (Mouse anti GAPDH loading control) were incubated overnight at 4°C at 1/3000 dilution and 1/10,000 dilution respectively. Blots were developed with Goat anti-Rabbit IgG H&L (IRDye® 800CW) preabsorbed ab216773 and Goat anti-Mouse IgG H&L (IRDye® 680RD) preabsorbed ab216776 secondary antibodies at 1/10,000 dilution for 1 hour at room temperature before imaging.

All lanes:

Western blot - Anti-Cyclin B1 antibody [Y106] (ab32053)

Predicted band size: 48 kDa

false

Western blot - Anti-Cyclin B1 antibody [Y106] (AB32053)
  • WB

Unknown

Western blot - Anti-Cyclin B1 antibody [Y106] (AB32053)

All lanes:

Western blot - Anti-Cyclin B1 antibody [Y106] (ab32053) at 1/20000 dilution

Lane 1:

Hela cell lysate.

Lane 2:

Jurkat cell lysate.

Predicted band size: 48 kDa

false

Western blot - Anti-Cyclin B1 antibody [Y106] (AB32053)
  • WB

Lab

Western blot - Anti-Cyclin B1 antibody [Y106] (AB32053)

Blocking and diluting buffer : 5% NFDM/TBST

All lanes:

Western blot - Anti-Cyclin B1 antibody [Y106] (ab32053) at 1/50000 dilution

Lane 1:

HeLa (Human cervix adenocarcinoma epithelial cell) whole cell lysates at 15 µg

Lane 2:

HEK-293 (Human embryonic kidney epithelial cell) whole cell lysates at 15 µg

Secondary

All lanes:

Western blot - Goat Anti-Rabbit IgG H&L (HRP) (<a href='/products/secondary-antibodies/goat-rabbit-igg-h-l-hrp-ab97051'>ab97051</a>) at 1/20000 dilution

Predicted band size: 48 kDa

Observed band size: 58 kDa

false

不同偶联物与剂型 (3)

  • 565 Alexa Fluor® 555

    Alexa Fluor® 555 Anti-Cyclin B1 antibody [Y106]

  • Carrier free

    Anti-Cyclin B1 antibody [Y106] - BSA and Azide free

  • 578 PE

    PE Anti-Cyclin B1 antibody [Y106]

关键信息

宿主种属

Rabbit

克隆

Monoclonal

克隆号

Y106

亚型

IgG

不含载体蛋白

No

反应种属

Human

应用

ICC/IF, IP, WB, IHC-P, Flow Cyt (Intra)

applications

免疫原

The exact immunogen used to generate this antibody is proprietary information.

表位

ab32053 reacts with an epitope located in teh C terminal region of Cyclin B1.

特异性

This antibody is specific for Human cyclin B1.
It does not cross-react with other cyclin family members.

反应性数据

{ "title": "Reactivity Data", "filters": { "stats": ["", "Species", "Dilution Info", "Notes"], "tabs": { "all-applications": {"fullname" : "All Applications", "shortname": "All Applications"}, "IP" : {"fullname" : "Immunoprecipitation", "shortname":"IP"}, "WB" : {"fullname" : "Western blot", "shortname":"WB"}, "ICCIF" : {"fullname" : "Immunocytochemistry/ Immunofluorescence", "shortname":"ICC/IF"}, "FlowCytIntra" : {"fullname" : "Flow Cytometry (Intracellular)", "shortname":"Flow Cyt (Intra)"}, "IHCP" : {"fullname" : "Immunohistochemistry (Formalin/PFA-fixed paraffin-embedded sections)", "shortname":"IHC-P"} }, "product-promise": { "all": "all", "testedAndGuaranteed": "tested", "guaranteed": "expected", "predicted": "predicted", "notRecommended": "not-recommended" } }, "values": { "Human": { "IP-species-checked": "testedAndGuaranteed", "IP-species-dilution-info": "1/20", "IP-species-notes": "<p><strong>For unpurified use at 1/100.</strong></p>", "WB-species-checked": "testedAndGuaranteed", "WB-species-dilution-info": "1/50000", "WB-species-notes": "<p><strong>For unpurified use at 1/3000 - 1/20000.</strong></p>", "ICCIF-species-checked": "testedAndGuaranteed", "ICCIF-species-dilution-info": "1/100", "ICCIF-species-notes": "<p><strong>For unpurified use at 1/50.</strong></p>", "FlowCytIntra-species-checked": "testedAndGuaranteed", "FlowCytIntra-species-dilution-info": "1/400", "FlowCytIntra-species-notes": "<p><a href='/products/primary-antibodies/rabbit-igg-monoclonal-epr25a-isotype-control-ab172730'>ab172730</a> - Rabbit monoclonal IgG, is suitable for use as an isotype control with this antibody. For unpurified use at 1/20.</p>", "IHCP-species-checked": "testedAndGuaranteed", "IHCP-species-dilution-info": "1/250", "IHCP-species-notes": "<p></p> Perform heat-mediated antigen retrieval with Tris/EDTA buffer pH 9.0 before commencing with IHC staining protocol." } } }

产品详情

What is this antibody validated in?
Anti-Cyclin B1 antibody [Y106] (ab32053) is a rabbit recombinant monoclonal antibody and is validated for use in Western Blot (WB), Flow Cytometry (Intra), Flow Cytometry (Flow Cyt), Immunoprecipitation (IP), Immunohistochemistry (IHC-P), Immunocytochemistry/immunofluorescence (ICC/IF) in Human samples.

What is the molecular weight of Cyclin B1?
Anti-Cyclin B1 [Y106] (ab32053) specifically detects a band for Cyclin B1 (UniProt: P14635) at a molecular weight of 58kDa.

Trusted by the scientific community
Anti-Cyclin B1 [Y106] (ab32053) was first used in a scientific publication in 2006 and has been cited over 180 times in peer-reviewed journals.

Trial sizes available!
Test your antibody or perform pre-screening before committing to a larger quantity. Sold in 10µl. Discover our selection of trial-size antibodies.

Specificity confirmed
The specificity of Anti-Cyclin B1 antibody [Y106] (ab32053) has been confirmed by Western blot testing in CCNB1 Knockout HAP1 cells.

Other related products
We have a range of other formats of antibody clone [Y106] also available for your convenience: ab32053, Carrier free - ab156447, HRP - ab193977, PE - ab210615, Alexa Fluor® 555 - ab214381

Species reactivity
Mouse, Rat: We have preliminary internal testing data to indicate this antibody may not react with these species.
Please contact us for more information.

Patented technology
Our RabMAb® technology is a patented hybridoma-based technology for making rabbit monoclonal antibodies. For details on our patents, please refer to RabMAb® patents.

What are the advantages of a recombinant monoclonal antibody?
This product is a recombinant monoclonal antibody, which offers several advantages including:

  • - High batch-to-batch consistency and reproducibility
  • - Improved sensitivity and specificity
  • - Long-term security of supply
  • - Animal-free batch production

For more information, read more on recombinant antibodies.

性能和储存信息

形式
Liquid
纯化工艺
Affinity purification Protein A
存储溶液
pH: 7.2 - 7.4 Preservative: 0.01% Sodium azide Constituents: PBS, 40% Glycerol (glycerin, glycerine), 0.05% BSA
运输条件
Blue Ice
推荐的短期储存时间
1-2 weeks
推荐的短期储存条件
+4°C
推荐的长期储存条件
-20°C
分装信息
Upon delivery aliquot
储存信息
Avoid freeze / thaw cycle

产品实验方案

For this product, it's our understanding that no specific protocols are required. You can visit:

靶点信息

Essential for the control of the cell cycle at the G2/M (mitosis) transition.
See full target information CCNB1

文献 (238)

Recent publications for all applications. Explore the full list and refine your search

World journal of gastrointestinal oncology 17:106781 PubMed40837761

2025

regulates cell proliferation, migration, apoptosis and ferroptosis in gastric cancer.

Applications

Unspecified application

Species

Unspecified reactive species

Qi Zhang,Zu-Guo Yuan,Kai-Feng Zheng,Ke Chen

Frontiers in pharmacology 16:1588722 PubMed40771929

2025

Dual PI3K/mTOR inhibitor NVP-BEZ235 induces cell cycle arrest via autophagy mediated protein degradation of RPL19 in nephroblastoma cell.

Applications

Unspecified application

Species

Unspecified reactive species

Yan Gao,Xinran Xing,Ruizhi Cai,Dong Liu,Qili Feng,Jiaqi Luo,Yongzhao Zhu,Zeli Su

Cancer medicine 14:e70958 PubMed40567110

2025

STOX1 Isoform A Promotes Proliferation and Progression of Hepatocellular Carcinoma by Dual Mechanisms of Transcriptionally Upregulation of Cyclin B1 and Activation of ROS-Dependent PTEN/AKT1 Signaling.

Applications

Unspecified application

Species

Unspecified reactive species

Chunlin Jiang,Chong Wang,Jian Ao,Yangping Liu,Fengjie Sun,Wangpan Shi,Zeyi Guo,Yanping Wu,Luxiang Gan,Meimei Wu,Yaofeng Zhi,Zijie Meng,Wanting Wu,Juanhua Wu,Yong Ye,Xin Zhang,Dong Ren,Mingxin Pan

Acta pharmacologica Sinica 46:2820-2834 PubMed40394236

2025

Norcantharidin promotes M1 macrophage polarization and suppresses colorectal cancer growth.

Applications

Unspecified application

Species

Unspecified reactive species

Xiao-Man Wei,Si-Cheng Lu,Liu Li,Ying-Jie Gao,Jun-Yi Wang,Song-Yang Xi,Ling-Yu Linda Ye,Wei-Xing Shen,Mian-Hua Wu,Dayue Darrel Duan,Hai-Bo Cheng

Respiratory research 26:138 PubMed40223048

2025

Analysis of tumor cell proliferation (Ki-67) and cell cycle regulator proteins in lung adenocarcinoma with different radiological subtypes.

Applications

Unspecified application

Species

Unspecified reactive species

Rirong Qu,Yang Zhang,Shenghui Qin,Jing Xiong,Xiangning Fu,Lequn Li,Dehao Tu,Yixin Cai

International journal of molecular medicine 55: PubMed40116083

2025

ABCG8‑mediated sterol efflux increases cancer cell progression via the LRP6/Wnt/β‑catenin signaling pathway in radiotherapy‑resistant MDA‑MB‑231 triple‑negative breast cancer cells.

Applications

Unspecified application

Species

Unspecified reactive species

Young Shin Ko,Ju Yeong Won,Hana Jin,Nam Binh Nguyen,Yaeram Won,Vedaste Nsanzimana,Seung Pil Yun,Sang Won Park,Hye Jung Kim

Cancer cell international 25:100 PubMed40098146

2025

Broussoflavonol B induces S-phase arrest and apoptosis in pancreatic cancer cells by modulating the cell cycle checkpoint through inhibition of the AURKA/PLK1 pathway.

Applications

Unspecified application

Species

Unspecified reactive species

HyokChol Choe,Zhen Wang,Jianhua Huang,Yutong Yang,Zhihao Zhao,HyonSu Jo,HyonU Pak,Tanveer Ali,Kaiyue Ding,Junnan Ma,Lingzhi Li,Dong Shang,Lin Zhang

Molecular cancer 24:29 PubMed39856701

2025

Circular RNA circBNC2 inhibits tumorigenesis by modulating ferroptosis and acts as a nanotherapeutic target in prostate cancer.

Applications

Unspecified application

Species

Unspecified reactive species

Xiang Pan,Kailai Chen,Wei Gao,Meiqi Xu,Fanlong Meng,Mengyuan Wu,Zi Qi Wang,Yun Qi Li,Wanhai Xu,Manjie Zhang,Yakun Luo

Open medicine (Warsaw, Poland) 20:20241119 PubMed39822992

2025

Knockdown of CCNB1 alleviates high glucose-triggered trophoblast dysfunction during gestational diabetes via Wnt/β-catenin signaling pathway.

Applications

Unspecified application

Species

Unspecified reactive species

Biru Xiao,Wenmiao Zhang,Nini Ji,Qiuyue Chen

Journal of ovarian research 18:6 PubMed39806494

2025

Long non-coding RNA NEAT1 promotes ovarian granulosa cell proliferation and cell cycle progression via the miR-29a-3p/IGF1 axis.

Applications

Unspecified application

Species

Unspecified reactive species

Lina He,Jie Lin,Zhengwen Qin,Qing Xu,Li Hao,Yanhong Fu,Xu Ran,Wei Chen
View all publications

Abcam Product Promise

我们致力于为您的研究提供高质量的试剂,为您科研的每一步提供支持。若我们的产品未能达到预期性能,我们向您提供 Abcam Product Promise 保障。
详情请参阅我们的条款与条件。

Please note: All products are 'FOR RESEARCH USE ONLY. NOT FOR USE IN DIAGNOSTIC OR THERAPEUTIC PROCEDURES'.

For licensing inquiries, please contact partnerships@abcam.com