JavaScript is disabled in your browser. Please enable JavaScript to view this website.
AB181593

重组Anti-Cyclin B1抗体[EPR17060]

Anti-Cyclin B1 antibody [EPR17060]

Be the first to review this product! Submit a review

|

(42 Publications)

Rabbit Recombinant Monoclonal Cyclin B1 antibody. Suitable for WB, ICC/IF, Flow Cyt (Intra), IHC-P and reacts with Mouse, Human samples. Cited in 42 publications.

查看别名

CCNB, CCNB1, G2/mitotic-specific cyclin-B1

11 Images
Immunohistochemistry (Formalin/PFA-fixed paraffin-embedded sections) - Anti-Cyclin B1 antibody [EPR17060] (AB181593)
  • IHC-P

Supplier Data

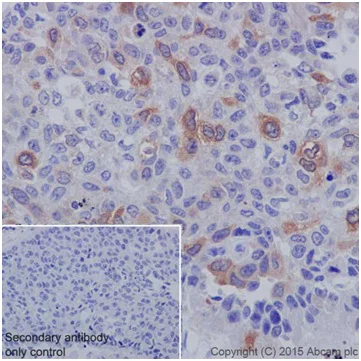
Immunohistochemistry (Formalin/PFA-fixed paraffin-embedded sections) - Anti-Cyclin B1 antibody [EPR17060] (AB181593)

Immunohistochemical analysis of paraffin-embedded Human lung squamous cell carcinomal tissue labeling Cyclin B1 using ab181593 at 1/500 dilution. A Goat Anti-Rabbit IgG H&L (HRP) (ab97051) was used as secondary at 1/500 dilution. Cytoplasm staining on cancer cells of Human lung squamous cell carcinoma is observed. Counter stained with Hematoxylin.

Negative control : Used PBS instead of primary antibody, secondary antibody is Goat Anti-Rabbit IgG H&L (HRP) (ab97051) at 1/500 dilution.

Perform heat mediated antigen retrieval with Tris/EDTA buffer pH 9.0 before commencing with IHC staining protocol.

Immunohistochemistry (Formalin/PFA-fixed paraffin-embedded sections) - Anti-Cyclin B1 antibody [EPR17060] (AB181593)
  • IHC-P

Supplier Data

Immunohistochemistry (Formalin/PFA-fixed paraffin-embedded sections) - Anti-Cyclin B1 antibody [EPR17060] (AB181593)

Immunohistochemical analysis of paraffin-embedded Mouse colon tissue labeling Cyclin B1 using ab181593 at 1/500 dilution. A Goat Anti-Rabbit IgG H&L (HRP) (ab97051) was used as secondary at 1/500 dilution. Cytoplasm staining on epithelial cells of mouse colon is observed. Counter stained with Hematoxylin.

Negative control : Used PBS instead of primary antibody, secondary antibody is Goat Anti-Rabbit IgG H&L (HRP) (ab97051) at 1/500 dilution.

Perform heat mediated antigen retrieval with Tris/EDTA buffer pH 9.0 before commencing with IHC staining protocol.

Immunohistochemistry (Formalin/PFA-fixed paraffin-embedded sections) - Anti-Cyclin B1 antibody [EPR17060] (AB181593)
  • IHC-P

Supplier Data

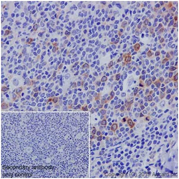
Immunohistochemistry (Formalin/PFA-fixed paraffin-embedded sections) - Anti-Cyclin B1 antibody [EPR17060] (AB181593)

Immunohistochemical analysis of paraffin-embedded Human tonsil tissue labeling Cyclin B1 using ab181593 at 1/500 dilution. A Goat Anti-Rabbit IgG H&L (HRP) (ab97051) was used as secondary at 1/500 dilution. Cytoplasm staining on the germinal center of Human tonsil is observed. Counter stained with Hematoxylin.

Negative control : Used PBS instead of primary antibody, secondary antibody is Goat Anti-Rabbit IgG H&L (HRP) (ab97051) at 1/500 dilution.

Perform heat mediated antigen retrieval with Tris/EDTA buffer pH 9.0 before commencing with IHC staining protocol.

Immunohistochemistry (Formalin/PFA-fixed paraffin-embedded sections) - Anti-Cyclin B1 antibody [EPR17060] (AB181593)
  • IHC-P

Supplier Data

Immunohistochemistry (Formalin/PFA-fixed paraffin-embedded sections) - Anti-Cyclin B1 antibody [EPR17060] (AB181593)

Immunohistochemical analysis of paraffin-embedded Mouse liver tissue labeling Cyclin B1 using ab181593 at 1/500 dilution. A Goat Anti-Rabbit IgG H&L (HRP) (ab97051) was used as secondary at 1/500 dilution. Negative staining on Mouse liver tissue. Counter stained with Hematoxylin.

Negative control : Used PBS instead of primary antibody, secondary antibody is Goat Anti-Rabbit IgG H&L (HRP) (ab97051) at 1/500 dilution.

Perform heat mediated antigen retrieval with Tris/EDTA buffer pH 9.0 before commencing with IHC staining protocol.

Flow Cytometry (Intracellular) - Anti-Cyclin B1 antibody [EPR17060] (AB181593)
  • Flow Cyt (Intra)

Supplier Data

Flow Cytometry (Intracellular) - Anti-Cyclin B1 antibody [EPR17060] (AB181593)

Intracellular flow cytometric analysis of 4% paraformaldehyde-fixed Jurkat (Human T cell leukemia cells from peripheral blood) cells labeling Cyclin B1 with ab181593 at 1/200 dilution (red) compared with a rabbit monoclonal IgG isotype control (ab172730; black) and an unlabelled control (cells without incubation with primary antibody and secondary antibody; blue). Goat anti rabbit IgG (FITC) at 1/500 dilution was used as the secondary antibody.

Immunocytochemistry/ Immunofluorescence - Anti-Cyclin B1 antibody [EPR17060] (AB181593)
  • ICC/IF

Supplier Data

Immunocytochemistry/ Immunofluorescence - Anti-Cyclin B1 antibody [EPR17060] (AB181593)

Immunofluorescent analysis of 4% paraformaldehyde-fixed, 0.1% Triton X-100 permeabilized HeLa (Human epithelial cells from cervix adenocarcinoma) cells labeling Cyclin B1 with ab181593 at 1/500 dilution, followed by Goat anti-rabbit IgG (Alexa Fluor® 488) (ab150077) secondary antibody at 1/1000 dilution (green).

Confocal image showing cytoplasm and weak nuclear staining on HeLa cell line.

The nuclear counter stain is DAPI (blue).

Tubulin is detected with ab7291 (anti-Tubulin mouse mAb) at 1/1000 dilution and ab150120 (AlexaFluor®594 Goat anti-Mouse secondary) at 1/1000 dilution (red).
The negative controls are as follows :
1. ab181593 at 1/500 dilution followed by ab150120 (AlexaFluor®594 Goat anti-Mouse secondary) at 1/1000 dilution.
2. ab7291 (anti-Tubulin mouse mAb) at 1/1000 dilution followed by ab150077 (Alexa Fluor®488 Goat Anti-Rabbit IgG H&L) at 1/1000 dilution.

Immunocytochemistry/ Immunofluorescence - Anti-Cyclin B1 antibody [EPR17060] (AB181593)
  • ICC/IF

Supplier Data

Immunocytochemistry/ Immunofluorescence - Anti-Cyclin B1 antibody [EPR17060] (AB181593)

Immunofluorescent analysis of 4% paraformaldehyde-fixed, 0.1% Triton X-100 permeabilized C2C12 (Mouse myoblast cell line) cells labeling Cyclin B1 with ab181593 at 1/500 dilution, followed by Goat anti-rabbit IgG (Alexa Fluor® 488) (ab150077) secondary antibody at 1/1000 dilution (green).

Confocal image showing cytoplasm and nuclear staining on C2C12 cell line.

The nuclear counter stain is DAPI (blue).

Tubulin is detected with ab7291 (anti-Tubulin mouse mAb) at 1/1000 dilution and ab150120 (AlexaFluor®594 Goat anti-Mouse secondary) at 1/1000 dilution (red).
The negative controls are as follows :
1. ab181593 at 1/500 dilution followed by ab150120 (AlexaFluor®594 Goat anti-Mouse secondary) at 1/1000 dilution.
2. ab7291 (anti-Tubulin mouse mAb) at 1/1000 dilution followed by ab150077 (Alexa Fluor®488 Goat Anti-Rabbit IgG H&L) at 1/1000 dilution.

Immunohistochemistry (Formalin/PFA-fixed paraffin-embedded sections) - Anti-Cyclin B1 antibody [EPR17060] (AB181593)
  • IHC-P

Supplier Data

Immunohistochemistry (Formalin/PFA-fixed paraffin-embedded sections) - Anti-Cyclin B1 antibody [EPR17060] (AB181593)

Immunohistochemical analysis of paraffin-embedded Human brain tissue labeling Cyclin B1 using ab181593 at 1/500 dilution. A Goat Anti-Rabbit IgG H&L (HRP) (ab97051) was used as secondary at 1/500 dilution. Negative staining on Human brain tissue. Counter stained with Hematoxylin.

Negative control : Used PBS instead of primary antibody, secondary antibody is Goat Anti-Rabbit IgG H&L (HRP) (ab97051) at 1/500 dilution.

Perform heat mediated antigen retrieval with Tris/EDTA buffer pH 9.0 before commencing with IHC staining protocol.

Western blot - Anti-Cyclin B1 antibody [EPR17060] (AB181593)
  • WB

Supplier Data

Western blot - Anti-Cyclin B1 antibody [EPR17060] (AB181593)

5% NFDM/TBST : Blocking and diluting buffer.

All lanes:

Western blot - Anti-Cyclin B1 antibody [EPR17060] (ab181593) at 1/2000 dilution

Lane 1:

C2C12 (Mouse myoblast cell line) whole cell lysate at 10 µg

Lane 2:

NIH 3T3 (Mouse embyro fibroblast cells) whole cell lysate at 10 µg

Secondary

All lanes:

Western blot - Goat Anti-Rabbit IgG H&L (HRP) (<a href='/products/secondary-antibodies/goat-rabbit-igg-h-l-hrp-ab97051'>ab97051</a>) at 1/1000 dilution

Predicted band size: 48 kDa

Observed band size: 55 kDa

false

Exposure time: 30s

Western blot - Anti-Cyclin B1 antibody [EPR17060] (AB181593)
  • WB

Lab

Western blot - Anti-Cyclin B1 antibody [EPR17060] (AB181593)

Lane 1 : Wild type HAP1 whole cell lysate (20 μg)
Lane 2 : CCNB1 (KO) knockout HAP1 whole cell lysate (20 μg)
Lane 3 : HeLa whole cell lysate (20 μg)
Lane 4 : Hek293 whole cell lysate (20 μg)
Lanes 1 - 4 : Merged signal (red and green). Green - ab181593 observed at 55 kDa. Red - loading control, ab8245, observed at 37 kDa.

ab181593 was shown to recognize CCNB1 when CCNB1 knockout samples were used, along with additional cross-reactive bands. Wild-type and CCNB1 (KO) knockout samples were subjected to SDS-PAGE. ab181593 and ab8245 (Mouse anti GAPDH loading control) were incubated overnight at 4°C at 2000 dilution and 1/10000 dilution respectively. Blots were developed with Goat anti-Rabbit IgG H&L (IRDye® 800CW) preabsorbed ab216773 and Goat anti-Mouse IgG H&L (IRDye® 680RD) preabsorbed ab216776 secondary antibodies at 1/10000 dilution for 1 hour at room temperature before imaging.

All lanes:

Western blot - Anti-Cyclin B1 antibody [EPR17060] (ab181593)

Predicted band size: 48 kDa

false

Western blot - Anti-Cyclin B1 antibody [EPR17060] (AB181593)
  • WB

Supplier Data

Western blot - Anti-Cyclin B1 antibody [EPR17060] (AB181593)

5% NFDM/TBST : Blocking and diluting buffer.

All lanes:

Western blot - Anti-Cyclin B1 antibody [EPR17060] (ab181593) at 1/10000 dilution

Lane 1:

HeLa (Human epithelial cells from cervix adenocarcinoma) whole cell lysate at 20 µg

Lane 2:

Jurkat (Human T cell leukemia cells from peripheral blood) whole cell lysate at 20 µg

Secondary

All lanes:

Western blot - Goat Anti-Rabbit IgG H&L (HRP) (<a href='/products/secondary-antibodies/goat-rabbit-igg-h-l-hrp-ab97051'>ab97051</a>) at 1/1000 dilution

Predicted band size: 48 kDa

Observed band size: 55 kDa

false

Exposure time: 30s

不同偶联物与剂型 (2)

  • 665 Alexa Fluor® 647

    Alexa Fluor® 647 Anti-Cyclin B1 antibody [EPR17060]

  • Carrier free

    Anti-Cyclin B1 antibody [EPR17060] - BSA and Azide free

关键信息

宿主种属

Rabbit

克隆

Monoclonal

克隆号

EPR17060

亚型

IgG

不含载体蛋白

No

反应种属

Mouse, Human

应用

WB, IHC-P, ICC/IF, Flow Cyt (Intra)

applications

免疫原

The exact immunogen used to generate this antibody is proprietary information.

反应性数据

{ "title": "Reactivity Data", "filters": { "stats": ["", "Species", "Dilution Info", "Notes"], "tabs": { "all-applications": {"fullname" : "All Applications", "shortname": "All Applications"}, "WB" : {"fullname" : "Western blot", "shortname":"WB"}, "ICCIF" : {"fullname" : "Immunocytochemistry/ Immunofluorescence", "shortname":"ICC/IF"}, "FlowCytIntra" : {"fullname" : "Flow Cytometry (Intracellular)", "shortname":"Flow Cyt (Intra)"}, "IHCP" : {"fullname" : "Immunohistochemistry (Formalin/PFA-fixed paraffin-embedded sections)", "shortname":"IHC-P"} }, "product-promise": { "all": "all", "testedAndGuaranteed": "tested", "guaranteed": "expected", "predicted": "predicted", "notRecommended": "not-recommended" } }, "values": { "Human": { "WB-species-checked": "testedAndGuaranteed", "WB-species-dilution-info": "1/2000", "WB-species-notes": "<p></p> Perform heat-mediated antigen retrieval with Tris/EDTA buffer pH 9.0 before commencing with IHC staining protocol.", "ICCIF-species-checked": "testedAndGuaranteed", "ICCIF-species-dilution-info": "1/500", "ICCIF-species-notes": "<p></p>", "FlowCytIntra-species-checked": "testedAndGuaranteed", "FlowCytIntra-species-dilution-info": "1/200", "FlowCytIntra-species-notes": "<p><a href='/products/primary-antibodies/rabbit-igg-monoclonal-epr25a-isotype-control-ab172730'>ab172730</a> - Rabbit monoclonal IgG, is suitable for use as an isotype control with this antibody.</p>", "IHCP-species-checked": "testedAndGuaranteed", "IHCP-species-dilution-info": "1/500", "IHCP-species-notes": "<p></p> Perform heat-mediated antigen retrieval with Tris/EDTA buffer pH 9.0 before commencing with IHC staining protocol." }, "Mouse": { "WB-species-checked": "testedAndGuaranteed", "WB-species-dilution-info": "1/2000", "WB-species-notes": "<p></p> Perform heat-mediated antigen retrieval with Tris/EDTA buffer pH 9.0 before commencing with IHC staining protocol.", "ICCIF-species-checked": "testedAndGuaranteed", "ICCIF-species-dilution-info": "1/500", "ICCIF-species-notes": "<p></p>", "FlowCytIntra-species-checked": "guaranteed", "FlowCytIntra-species-dilution-info": "", "FlowCytIntra-species-notes": "", "IHCP-species-checked": "testedAndGuaranteed", "IHCP-species-dilution-info": "1/500", "IHCP-species-notes": "<p></p> Perform heat-mediated antigen retrieval with Tris/EDTA buffer pH 9.0 before commencing with IHC staining protocol." } } }

产品详情

性能和储存信息

形式
Liquid
纯化工艺
Affinity purification Protein A
存储溶液
Preservative: 0.01% Sodium azide Constituents: 59% PBS, 40% Glycerol (glycerin, glycerine), 0.05% BSA
运输条件
Blue Ice
推荐的短期储存时间
1-2 weeks
推荐的短期储存条件
+4°C
推荐的长期储存条件
-20°C
分装信息
Upon delivery aliquot
储存信息
Avoid freeze / thaw cycle

产品实验方案

For this product, it's our understanding that no specific protocols are required. You can visit:

靶点信息

Essential for the control of the cell cycle at the G2/M (mitosis) transition.
See full target information CCNB1

文献 (42)

Recent publications for all applications. Explore the full list and refine your search

FEBS letters 597:3072-3086 PubMed37873730

2023

TUBA1A licenses APC/C-mediated mitotic progression to drive glioblastoma growth by inhibiting PLK3.

Applications

Unspecified application

Species

Unspecified reactive species

Jiaqi Wen,Qiuke Wang,Wenyi Zhang,Weizhang Wang

Frontiers in oncology 13:1156177 PubMed37274251

2023

CEP55 as a promising biomarker and therapeutic target on gallbladder cancer.

Applications

Unspecified application

Species

Unspecified reactive species

Maotuan Huang,Fuxiu Zhong,Mingyuan Chen,Lingju Hong,Weihong Chen,Xiahenazi Abudukeremu,Feifei She,Yanling Chen

iScience 26:106862 PubMed37275516

2023

macrophages promote hepatocellular carcinoma tumor stemness and progression through /β-catenin/ axis.

Applications

Unspecified application

Species

Unspecified reactive species

Hai-Chao Zhao,Chang-Zhou Chen,Yan-Zhang Tian,Huang-Qin Song,Xiao-Xiao Wang,Yan-Jun Li,Jie-Feng He,Hao-Liang Zhao

Aging and disease : PubMed37196128

2023

Matrix Stiffness Activating YAP/TEAD1-Cyclin B1 in Nucleus Pulposus Cells Promotes Intervertebral Disc Degeneration.

Applications

Unspecified application

Species

Unspecified reactive species

Zijie Zhou,Yinxuan Suo,Jinyu Bai,Fanguo Lin,Xiang Gao,Huajian Shan,Yichao Ni,Xiaozhong Zhou,Lei Sheng,Jun Dai

Experimental & molecular medicine 54:2022-2035 PubMed36424455

2022

Protective effect of hepatocyte-enriched lncRNA-Mir122hg by promoting hepatocyte proliferation in acute liver injury.

Applications

Unspecified application

Species

Unspecified reactive species

Zhenjun Yu,Yuhan Li,Shuai Shao,Beichen Guo,Mengxia Zhang,Lina Zheng,Kun Zhang,Feng Zhou,Li Zhang,Chiyi Chen,Wentao Jiang,Wei Hong,Tao Han

Frontiers in genetics 13:1035638 PubMed36313419

2022

Depletion of PARP10 inhibits the growth and metastatic potential of oral squamous cell carcinoma.

Applications

Unspecified application

Species

Unspecified reactive species

Zihui Zhou,Bing Wei,Yu Liu,Tian Liu,Sien Zeng,Jinfeng Gan,Guangying Qi

American journal of cancer research 12:3601-3624 PubMed36119830

2022

Cordycepin enhances radiosensitivity to induce apoptosis through cell cycle arrest, caspase pathway and ER stress in MA-10 mouse Leydig tumor cells.

Applications

Unspecified application

Species

Unspecified reactive species

Yi-Ping Lee,Wei-Ru Huang,Wun-Syuan Wu,Yuan-Hua Wu,Sheng-Yow Ho,Ying-Jan Wang,Bu-Miin Huang

Scientific reports 12:11962 PubMed35831365

2022

Spatiotemporal expression of HMGB2 regulates cell proliferation and hepatocyte size during liver regeneration.

Applications

Unspecified application

Species

Unspecified reactive species

Koichi Yano,Narantsog Choijookhuu,Makoto Ikenoue, Fidya,Tomohiro Fukaya,Katsuaki Sato,Deokcheol Lee,Noboru Taniguchi,Etsuo Chosa,Atsushi Nanashima,Yoshitaka Hishikawa

Cell proliferation 55:e13277 PubMed35746834

2022

Nivalenol affects Cyclin B1 level and activates SAC for cell cycle progression in mouse oocyte meiosis.

Applications

Unspecified application

Species

Unspecified reactive species

Ping-Shuang Lu,Yue Wang,Le Jiao,Shao-Chen Sun

Nature 605:357-365 PubMed35508654

2022

CDC7-independent G1/S transition revealed by targeted protein degradation.

Applications

Unspecified application

Species

Unspecified reactive species

Jan M Suski,Nalin Ratnayeke,Marcin Braun,Tian Zhang,Vladislav Strmiska,Wojciech Michowski,Geylani Can,Antoine Simoneau,Konrad Snioch,Mikolaj Cup,Caitlin M Sullivan,Xiaoji Wu,Joanna Nowacka,Timothy B Branigan,Lindsey R Pack,James A DeCaprio,Yan Geng,Lee Zou,Steven P Gygi,Johannes C Walter,Tobias Meyer,Piotr Sicinski
View all publications

Abcam Product Promise

我们致力于为您的研究提供高质量的试剂,为您科研的每一步提供支持。若我们的产品未能达到预期性能,我们向您提供 Abcam Product Promise 保障。
详情请参阅我们的条款与条件。

关联产品

Select an associated product type
Alternative Product
Primary Antibodies

AB212977

Anti-Cyclin B1 antibody [CCNB1/1098]

primary-antibodies

cyclin-b1-antibody-ccnb1-1098-ab212977

2

(1 reviews)

Alternative Product
Primary Antibodies

AB97712

Anti-Cyclin B1 (phospho S126) antibody [ilv-phos4.1]

primary-antibodies

cyclin-b1-phospho-s126-antibody-ilv-phos41-ab97712

0

(0 reviews)

Alternative Product
Primary Antibodies

AB18221

Anti-Cyclin B1 antibody [V92.1]

primary-antibodies

cyclin-b1-antibody-v921-ab18221

0

(0 reviews)

Alternative Product
Primary Antibodies

AB3488

Anti-Cyclin B1 (phospho S126) antibody

primary-antibodies

cyclin-b1-phospho-s126-antibody-ab3488

0

(0 reviews)

Alternative Product
Primary Antibodies

AB131502

Anti-Cyclin B1 (phospho S147) antibody

primary-antibodies

cyclin-b1-phospho-s147-antibody-ab131502

0

(0 reviews)

Alternative Product
Primary Antibodies

AB215436

Anti-Cyclin B1 antibody

primary-antibodies

cyclin-b1-antibody-ab215436

0

(0 reviews)

Alternative Product
Primary Antibodies

AB214381

Alexa Fluor® 555 Anti-Cyclin B1 antibody [Y106]

primary-antibodies

alexa-fluor-555-cyclin-b1-antibody-y106-ab214381

0

(0 reviews)

Alternative Product
Primary Antibodies

AB156447

Anti-Cyclin B1 antibody [Y106] - BSA and Azide free

primary-antibodies

cyclin-b1-antibody-y106-bsa-and-azide-free-ab156447

0

(0 reviews)

Alternative Product
Primary Antibodies

AB55184

Anti-Cyclin B1 (phospho S126) antibody

primary-antibodies

cyclin-b1-phospho-s126-antibody-ab55184

0

(0 reviews)

Alternative Product
Primary Antibodies

AB133439

Anti-Cyclin B1 (phospho S126) antibody [EPR3670]

primary-antibodies

cyclin-b1-phospho-s126-antibody-epr3670-ab133439

0

(0 reviews)

Alternative Product
Primary Antibodies

AB210615

PE Anti-Cyclin B1 antibody [Y106]

primary-antibodies

pe-cyclin-b1-antibody-y106-ab210615

0

(0 reviews)

Alternative Product
Primary Antibodies

AB32053

Anti-Cyclin B1 antibody [Y106]

primary-antibodies

cyclin-b1-antibody-y106-ab32053

5

(4 reviews)

Please note: All products are 'FOR RESEARCH USE ONLY. NOT FOR USE IN DIAGNOSTIC OR THERAPEUTIC PROCEDURES'.

For licensing inquiries, please contact partnerships@abcam.com