JavaScript is disabled in your browser. Please enable JavaScript to view this website.
AB281934

重组Anti-CXCR6抗体[EPR24686-113] - BSA and Azide free

Anti-CXCR6 antibody [EPR24686-113] - BSA and Azide free

2

(3 Reviews)

|

(0 Publication)

Rabbit Recombinant Monoclonal CXCR6 antibody. Carrier free. Suitable for IHC-P and reacts with Human samples.

查看别名

CD186, BONZO, STRL33, TYMSTR, CXCR6, C-X-C chemokine receptor type 6, CXC-R6, CXCR-6, CDw186, G-protein coupled receptor STRL33, G-protein coupled receptor bonzo

3 Images
Immunohistochemistry (Formalin/PFA-fixed paraffin-embedded sections) - Anti-CXCR6 antibody [EPR24686-113] - BSA and Azide free (AB281934)
  • IHC-P

Supplier Data

Immunohistochemistry (Formalin/PFA-fixed paraffin-embedded sections) - Anti-CXCR6 antibody [EPR24686-113] - BSA and Azide free (AB281934)

This data was developed using ab273116, the same antibody clone in a different buffer formulation.

Immunohistochemical analysis of paraffin-embedded Human cerebrum tissue labelling CXCR6 with ab273116 at 1/1000 dilution (0.533 ug/ml) followed by a ready to use LeicaDS9800 (Bond™ Polymer Refine Detection). Negative control : No staining in human cerebrum (PMID : 9230441). The section was incubated with ab273116 for 30 mins at room temperature. The immunostaining was performed on a Leica Biosystems BOND® RX instrument. Counterstained with Hematoxylin.

Secondary antibody only control : Secondary antibody is a ready to use LeicaDS9800 (Bond™ Polymer Refine Detection).

Heat mediated antigen retrieval with Tris-EDTA buffer (pH 9.0, epitope retrieval solution2) for 20 mins.

Immunohistochemistry (Formalin/PFA-fixed paraffin-embedded sections) - Anti-CXCR6 antibody [EPR24686-113] - BSA and Azide free (AB281934)
  • IHC-P

Supplier Data

Immunohistochemistry (Formalin/PFA-fixed paraffin-embedded sections) - Anti-CXCR6 antibody [EPR24686-113] - BSA and Azide free (AB281934)

This data was developed using ab273116, the same antibody clone in a different buffer formulation.

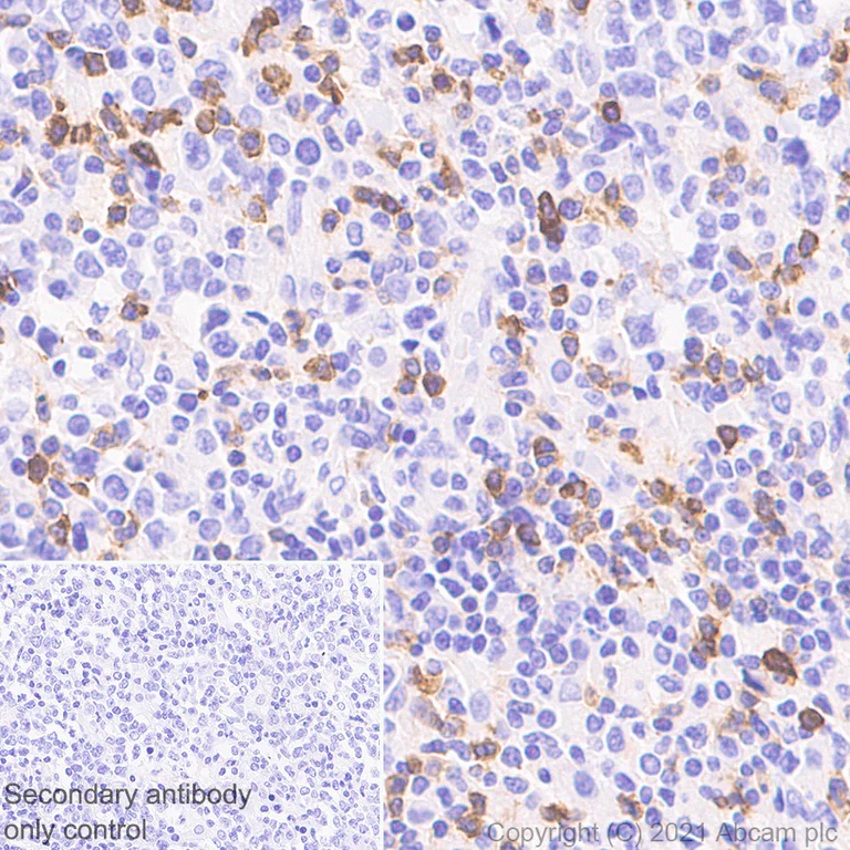
Immunohistochemical analysis of paraffin-embedded Human diffuse large B cell lymphoma tissue labelling CXCR6 with ab273116 at 1/1000 dilution (0.533 ug/ml) followed by a ready to use LeicaDS9800 (Bond™ Polymer Refine Detection). Membranous and cytoplasmic staining in human diffuse large B cell lymphoma. The section was incubated with ab273116 for 30 mins at room temperature. The immunostaining was performed on a Leica Biosystems BOND® RX instrument. Counterstained with Hematoxylin.

Secondary antibody only control : Secondary antibody is a ready to use LeicaDS9800 (Bond™ Polymer Refine Detection).

Heat mediated antigen retrieval with Tris-EDTA buffer (pH 9.0, epitope retrieval solution2) for 20 mins.

Immunohistochemistry (Formalin/PFA-fixed paraffin-embedded sections) - Anti-CXCR6 antibody [EPR24686-113] - BSA and Azide free (AB281934)
  • IHC-P

Supplier Data

Immunohistochemistry (Formalin/PFA-fixed paraffin-embedded sections) - Anti-CXCR6 antibody [EPR24686-113] - BSA and Azide free (AB281934)

This data was developed using ab273116, the same antibody clone in a different buffer formulation.

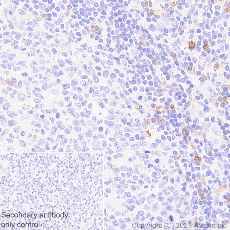
Immunohistochemical analysis of paraffin-embedded Human tonsil tissue labelling CXCR6 with ab273116 at 1/1000 dilution (0.533 ug/ml) followed by a ready to use LeicaDS9800 (Bond™ Polymer Refine Detection). Membranous and cytoplasmic staining on scattered immune cells of human tonsil. The section was incubated with ab273116 for 30 mins at room temperature. The immunostaining was performed on a Leica Biosystems BOND® RX instrument. Counterstained with Hematoxylin.

Secondary antibody only control : Secondary antibody is a ready to use LeicaDS9800 (Bond™ Polymer Refine Detection).

Heat mediated antigen retrieval with Tris-EDTA buffer (pH 9.0, epitope retrieval solution2) for 20 mins.

不同偶联物与剂型 (1)

关键信息

宿主种属

Rabbit

克隆

Monoclonal

克隆号

EPR24686-113

亚型

IgG

不含载体蛋白

Yes

反应种属

Human

应用

IHC-P

applications

免疫原

The exact immunogen used to generate this antibody is proprietary information.

反应性数据

{ "title": "Reactivity Data", "filters": { "stats": ["", "Species", "Dilution Info", "Notes"], "tabs": { "all-applications": {"fullname" : "All Applications", "shortname": "All Applications"}, "IP" : {"fullname" : "Immunoprecipitation", "shortname":"IP"}, "WB" : {"fullname" : "Western blot", "shortname":"WB"}, "IHCP" : {"fullname" : "Immunohistochemistry (Formalin/PFA-fixed paraffin-embedded sections)", "shortname":"IHC-P"} }, "product-promise": { "all": "all", "testedAndGuaranteed": "tested", "guaranteed": "expected", "predicted": "predicted", "notRecommended": "not-recommended" } }, "values": { "Human": { "IP-species-checked": "notRecommended", "IP-species-dilution-info": "", "IP-species-notes": "<p></p>", "WB-species-checked": "notRecommended", "WB-species-dilution-info": "", "WB-species-notes": "<p></p>", "IHCP-species-checked": "testedAndGuaranteed", "IHCP-species-dilution-info": "", "IHCP-species-notes": "<p></p>" }, "Mouse": { "IP-species-checked": "notRecommended", "IP-species-dilution-info": "", "IP-species-notes": "", "WB-species-checked": "notRecommended", "WB-species-dilution-info": "", "WB-species-notes": "<p></p>", "IHCP-species-checked": "notRecommended", "IHCP-species-dilution-info": "", "IHCP-species-notes": "<p></p>" }, "Rat": { "IP-species-checked": "notRecommended", "IP-species-dilution-info": "", "IP-species-notes": "", "WB-species-checked": "notRecommended", "WB-species-dilution-info": "", "WB-species-notes": "<p></p>", "IHCP-species-checked": "notRecommended", "IHCP-species-dilution-info": "", "IHCP-species-notes": "<p></p>" } } }

产品详情

ab281934 is the carrier-free version of ab273116.

Patented technology
Our RabMAb® technology is a patented hybridoma-based technology for making rabbit monoclonal antibodies. For details on our patents, please refer to RabMAb® patents.

What are the advantages of a recombinant monoclonal antibody?
This product is a recombinant monoclonal antibody, which offers several advantages including:

  • - High batch-to-batch consistency and reproducibility
  • - Improved sensitivity and specificity
  • - Long-term security of supply
  • - Animal-free batch production

For more information, read more on recombinant antibodies.

Conjugation ready
Our carrier-free antibodies are typically supplied in a PBS-only formulation, purified and free of BSA, sodium azide and glycerol. This conjugation-ready format is designed for use with fluorochromes, metal isotopes, oligonucleotides, and enzymes, which makes them ideal for antibody labelling, functional and cell-based assays, flow-based assays (e.g. mass cytometry) and Multiplex Imaging applications.

Use our conjugation kits for antibody conjugates that are ready-to-use in as little as 20 minutes with 1 minute hands-on-time and 100% antibody recovery: available for fluorescent dyes, HRP, biotin and gold.

Compatibility
This product is compatible with the Maxpar® Antibody Labeling Kit from Fluidigm, without the need for antibody preparation. Maxpar® is a trademark of Fluidigm Canada Inc.

性能和储存信息

形式
Liquid
纯化工艺
Affinity purification Protein A
存储溶液
pH: 7.2 - 7.4 Constituents: PBS
运输条件
Blue Ice
推荐的短期储存条件
+4°C
推荐的长期储存条件
+4°C

补充信息

This supplementary information is collated from multiple sources and compiled automatically.

CXCR6 also known as CD186 or BONZO is a chemokine receptor that belongs to the larger family of G protein-coupled receptors. This receptor has a molecular weight of approximately 45 kDa. CXCR6 gets expressed on various leukocytes including T-cells and natural killer cells. This expression profiles CXCR6 as essential in the immune system where its occupation involves directing cell movement via chemotaxis a process integral for normal immune surveillance and inflammatory response.
Biological function summary

CXCR6 critically orchestrates the interactions between T-cells and antigen-presenting cells within tissues. By engaging its ligand CXCL16 CXCR6 helps mediate cell adhesion and migration. This receptor works as part of an immune complex influencing the migration and retention of immune cells at sites of inflammation. The presence of CXCR6 enhances tissue-specific homing which is vital for localized immune responses.

Pathways

CXCR6 plays a significant role in the chemokine signaling pathway. This pathway leads immune cells to sites of inflammation or infection. Moreover CXCR6 interacts closely with other chemokine receptors such as CCR5. These receptor interactions ensure efficient communication and coordination in cell trafficking across immune environments all of which are critical for proper immune function.

CXCR6 has a known association with diseases like HIV and certain forms of cancer. CXCR6 can act as a co-receptor for the entry of some HIV strains into cells linking it to viral pathogenesis. In the context of cancer CXCR6 and its ligand CXCL16 have connections with tumor cell migration and metastasis. The interaction of CXCR6 with proteins like CXCL16 creates a microenvironment that can either suppress or promote tumor progression depending on the context.

产品实验方案

For this product, it's our understanding that no specific protocols are required. You can visit:

靶点信息

Receptor for the C-X-C chemokine CXCL16. Used as a coreceptor by SIVs and by strains of HIV-2 and m-tropic HIV-1.
See full target information CXCR6

Abcam Product Promise

我们致力于为您的研究提供高质量的试剂,为您科研的每一步提供支持。若我们的产品未能达到预期性能,我们向您提供 Abcam Product Promise 保障。
详情请参阅我们的条款与条件。

Please note: All products are 'FOR RESEARCH USE ONLY. NOT FOR USE IN DIAGNOSTIC OR THERAPEUTIC PROCEDURES'.

For licensing inquiries, please contact partnerships@abcam.com