JavaScript is disabled in your browser. Please enable JavaScript to view this website.
AB320827

重组Anti-CXCL9抗体[EPR28968-26]

Anti-CXCL9 antibody [EPR28968-26]

  • BOND RX™ Validated
  • 20ul selling size
  • Recombinant
  • RabMAb
  • 了解详情

Be the first to review this product! Submit a review

|

(0 Publication)

Rabbit Recombinant Monoclonal CXCL9 antibody. Suitable for WB, IHC-P and reacts with Mouse samples.

查看别名

Mig, Scyb9, Cxcl9, C-X-C motif chemokine 9, Gamma-interferon-induced monokine, Monokine induced by interferon-gamma, Protein m119, Small-inducible cytokine B9, MIG, MuMIG

4 Images
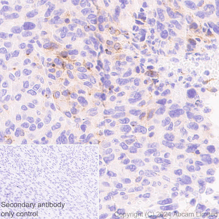
Immunohistochemistry (Formalin/PFA-fixed paraffin-embedded sections) - Anti-CXCL9 antibody [EPR28968-26] (AB320827)
  • IHC-P

Supplier Data

Immunohistochemistry (Formalin/PFA-fixed paraffin-embedded sections) - Anti-CXCL9 antibody [EPR28968-26] (AB320827)

Immunohistochemical analysis of paraffin-embedded Mouse pancreatic cancer tissue labeling CXCL9 with ab320827 at 1/1000 (0.488 ug/ml) dilution, followed by a ready to use LeicaDS9800 (Bond™ Polymer Refine Detection).

Positive staining on immune cells of mouse pancreatic cancer.
The section was incubated with ab320827 for 30 mins at room temperature.
The immunostaining was performed on a Leica Biosystems BOND® RX instrument
Incubate slides with 3% Hydrogen Peroxide for 10 mins at room temperature after secondary antibody incubation to reduce the background

Counterstained with Hematoxylin.

Secondary antibody only control : Secondary antibody is a ready to use LeicaDS9800 (Bond™ Polymer Refine Detection).

Heat mediated antigen retrieval was performed with Tris-EDTA buffer (pH 9.0, Epitope Retrieval Solution2) for 20 mins

Immunohistochemistry (Formalin/PFA-fixed paraffin-embedded sections) - Anti-CXCL9 antibody [EPR28968-26] (AB320827)
  • IHC-P

Supplier Data

Immunohistochemistry (Formalin/PFA-fixed paraffin-embedded sections) - Anti-CXCL9 antibody [EPR28968-26] (AB320827)

Immunohistochemical analysis of paraffin-embedded Mouse Inflammatory bowel disease tissue labeling CXCL9 with ab320827 at 1/1000 (0.488 ug/ml) dilution, followed by a ready to use LeicaDS9800 (Bond™ Polymer Refine Detection).

Positive staining observed on immune cells in a mouse colon sample from an inflammatory bowel disease model (Dinitrobenzene sulfonic acid (DNBS)-induced model) (PMID : 34964822).
The section was incubated with ab320827 for 30 mins at room temperature.
The immunostaining was performed on a Leica Biosystems BOND® RX instrument
Incubate slides with 3% Hydrogen Peroxide for 10 mins at room temperature after secondary antibody incubation to reduce the background

Counterstained with Hematoxylin.

Secondary antibody only control : Secondary antibody is a ready to use LeicaDS9800 (Bond™ Polymer Refine Detection).

Heat mediated antigen retrieval was performed with Tris-EDTA buffer (pH 9.0, Epitope Retrieval Solution2) for 20 mins

Western blot - Anti-CXCL9 antibody [EPR28968-26] (AB320827)
  • WB

Supplier Data

Western blot - Anti-CXCL9 antibody [EPR28968-26] (AB320827)

Blocking and diluting buffer and concentration : 5% NFDM/TBST.

The expression profile observed is consistent with what has been described in the literature (PMID : 2115167).

In Western blot, Anti-GAPDH antibody [EPR16891] - Loading Control (ab181602) staining at 1/200000 dilution.

All lanes:

Western blot - Anti-CXCL9 antibody [EPR28968-26] (ab320827) at 1/1000 dilution

Lane 1:

Untreated RAW 264.7 (mouse abelson murine leukemia virus-induced tumor macrophage) whole cell lysate at 30 µg

Lane 2:

RAW 264.7 treated with 10ng/ml IFN gamma and 300ng/ml Brefeldin A/BFA for 8 hours whole cell lysate at 30 µg

Secondary

All lanes:

Western blot - Goat Anti-Rabbit IgG H&L (HRP) (<a href='/products/secondary-antibodies/goat-rabbit-igg-h-l-hrp-ab97051'>ab97051</a>) at 1/20000 dilution

Observed band size: 17 kDa,36 kDa

false

Exposure time: 81s

Immunohistochemistry (Formalin/PFA-fixed paraffin-embedded sections) - Anti-CXCL9 antibody [EPR28968-26] (AB320827)
  • IHC-P

Supplier Data

Immunohistochemistry (Formalin/PFA-fixed paraffin-embedded sections) - Anti-CXCL9 antibody [EPR28968-26] (AB320827)

Immunohistochemical analysis of paraffin-embedded Mouse testis tissue labeling CXCL9 with ab320827 at 1/1000 (0.488 ug/ml) dilution, followed by a ready to use LeicaDS9800 (Bond™ Polymer Refine Detection).

Negative control : no staining on mouse testis.
The section was incubated with ab320827 for 30 mins at room temperature.
The immunostaining was performed on a Leica Biosystems BOND® RX instrument
Incubate slides with 3% Hydrogen Peroxide for 10 mins at room temperature after secondary antibody incubation to reduce the background

Counterstained with Hematoxylin.

Secondary antibody only control : Secondary antibody is a ready to use LeicaDS9800 (Bond™ Polymer Refine Detection).

Heat mediated antigen retrieval was performed with Tris-EDTA buffer (pH 9.0, Epitope Retrieval Solution2) for 20 mins

关键信息

宿主种属

Rabbit

克隆

Monoclonal

克隆号

EPR28968-26

亚型

IgG

不含载体蛋白

No

反应种属

Mouse

应用

WB, IHC-P

applications

免疫原

The exact immunogen used to generate this antibody is proprietary information.

反应性数据

{ "title": "Reactivity Data", "filters": { "stats": ["", "Species", "Dilution Info", "Notes"], "tabs": { "all-applications": {"fullname" : "All Applications", "shortname": "All Applications"}, "WB" : {"fullname" : "Western blot", "shortname":"WB"}, "IHCP" : {"fullname" : "Immunohistochemistry (Formalin/PFA-fixed paraffin-embedded sections)", "shortname":"IHC-P"}, "ICCIF" : {"fullname" : "Immunocytochemistry/ Immunofluorescence", "shortname":"ICC/IF"}, "FlowCytIntra" : {"fullname" : "Flow Cytometry (Intracellular)", "shortname":"Flow Cyt (Intra)"} }, "product-promise": { "all": "all", "testedAndGuaranteed": "tested", "guaranteed": "expected", "predicted": "predicted", "notRecommended": "not-recommended" } }, "values": { "Mouse": { "WB-species-checked": "testedAndGuaranteed", "WB-species-dilution-info": "1/1000", "WB-species-notes": "<p></p>", "IHCP-species-checked": "testedAndGuaranteed", "IHCP-species-dilution-info": "1/1000", "IHCP-species-notes": "<p></p> Perform heat-mediated antigen retrieval with Tris/EDTA buffer pH 9.0 before commencing with IHC staining protocol.", "ICCIF-species-checked": "notRecommended", "ICCIF-species-dilution-info": "", "ICCIF-species-notes": "<p></p>", "FlowCytIntra-species-checked": "notRecommended", "FlowCytIntra-species-dilution-info": "", "FlowCytIntra-species-notes": "<p></p>" } } }

您可能对以下产品感兴趣:

AB203364

Mouse CXCL9 ELISA Kit

0

0 Reviews

查看产品
为什么推荐这个?

我们推荐这个产品,因为它经常被用于相同的实验或相关的研究。

我们建议您务必查阅产品说明书,以确认其是否符合您的实验需求;若有疑问,也可联系我们的技术团队获取协助。

产品详情

性能和储存信息

形式
Liquid
纯化工艺
Affinity purification Protein A
存储溶液
pH: 7.2 - 7.4 Preservative: 0.01% Sodium azide Constituents: PBS, 40% Glycerol (glycerin, glycerine), 0.05% BSA
运输条件
Blue Ice
推荐的短期储存时间
1-2 weeks
推荐的短期储存条件
+4°C
推荐的长期储存条件
-20°C
分装信息
Upon delivery aliquot
储存信息
Avoid freeze / thaw cycle

补充信息

This supplementary information is collated from multiple sources and compiled automatically.

CXCL9 also known as MIG (monokine induced by gamma interferon) is a small cytokine protein with a molecular weight of approximately 13 kDa. CXCL9 exhibits strong chemotactic properties and is secreted by various cells including endothelial cells macrophages and fibroblasts upon stimulation by interferon-gamma. Its expression primarily occurs in inflamed tissues and is associated with immune responses. Researchers often use tools like a CXCL9 ELISA kit or CXCL9 test to measure its expression levels in biological samples aiding in understanding its role in various conditions.
Biological function summary

This cytokine plays a pivotal role in the immune system by regulating leukocyte trafficking. CXCL9 exerts its function through binding to the CXCR3 receptor attracting T cells towards sites of inflammation or infection. This interaction is significant in mediating immune surveillance and host defense. CXCL9 does not form part of a larger protein complex but its chemokine activity is critical for immune system coordination. Scientific studies often highlight its involvement through CXCL9 function and expression analysis.

Pathways

CXCL9 significantly influences the chemokine signaling pathway and the Th1-type adaptive immune response. Within these pathways it interacts closely with other chemokines like CXCL10 and CXCL11 which also bind to the CXCR3 receptor. These pathways highlight the coordinated mobilization of T cells during immune challenges and inflammation emphasizing how CXCL9 is often examined alongside these related chemokines in research settings.

CXCL9 is notably associated with autoimmune diseases such as rheumatoid arthritis and inflammatory conditions like psoriasis. Its elevated expression is often observed in affected tissues contributing to disease pathogenesis through T cell migration and activation. In these contexts CXCL9 is frequently examined alongside other pro-inflammatory cytokines such as interferon-gamma and TNF-alpha which are known to modulate its expression and activity impacting disease progression and therapeutic strategies.

产品实验方案

For this product, it's our understanding that no specific protocols are required. You can visit:

靶点信息

May be a cytokine that affects the growth, movement, or activation state of cells that participate in immune and inflammatory response.
See full target information Cxcl9

Abcam Product Promise

我们致力于为您的研究提供高质量的试剂,为您科研的每一步提供支持。若我们的产品未能达到预期性能,我们向您提供 Abcam Product Promise 保障。
详情请参阅我们的条款与条件。

Please note: All products are 'FOR RESEARCH USE ONLY. NOT FOR USE IN DIAGNOSTIC OR THERAPEUTIC PROCEDURES'.

For licensing inquiries, please contact partnerships@abcam.com