JavaScript is disabled in your browser. Please enable JavaScript to view this website.
AB223498

Anti-CTAG1B 抗体 [SP349]

Anti-CTAG1B antibody [SP349]

Be the first to review this product! Submit a review

|

(2 Publications)

Rabbit Recombinant Monoclonal CTAG1B antibody. Suitable for Flow Cyt, WB, IHC-P and reacts with Human samples. Cited in 2 publications.

查看别名

CTAG, CTAG1, ESO1, LAGE2, LAGE2A, CTAG1B, LAGE2B, CTAG1A, Cancer/testis antigen 1, Autoimmunogenic cancer/testis antigen NY-ESO-1, Cancer/testis antigen 6.1, L antigen family member 2, CT6.1, LAGE-2

7 Images
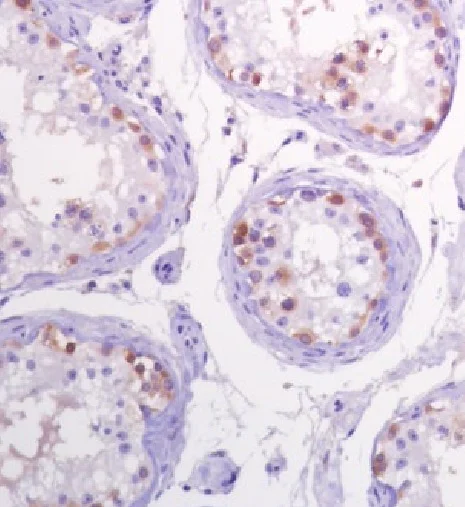
Immunohistochemistry (Formalin/PFA-fixed paraffin-embedded sections) - Anti-CTAG1B antibody [SP349] (AB223498)
  • IHC-P

Unknown

Immunohistochemistry (Formalin/PFA-fixed paraffin-embedded sections) - Anti-CTAG1B antibody [SP349] (AB223498)

Immunohistochemistry (Formalin/PFA-fixed paraffin-embedded sections) analysis of Human testis tissue sections labeling CTAG1B with Purified ab223498 at 1/100 dilution (3.83 µg/ml). Heat mediated antigen retrieval was performed Heat mediated antigen retrieval with sodium citrate buffer (pH 6.0, epitope retrieval solution

  1. for 10mins. Goat Anti-Rabbit & Mouse IgG (HRP) was used as the secondary antibody. Negative control : PBS instead of the primary antibody. Hematoxylin was used as a counterstain.
Flow Cytometry - Anti-CTAG1B antibody [SP349] (AB223498)
  • Flow Cyt

Unknown

Flow Cytometry - Anti-CTAG1B antibody [SP349] (AB223498)

Flow Cytometry analysis of NCI-H1299 (human lung carcinoma epithelial cell) cells labeling CTAG1B with purified ab223498 at 1 : 380 dilution (1.01 µg/ml) - Red. Cells were fixed with 4% paraformaldehyde . A Goat anti rabbit IgG (Alexa Fluor® 488, ab150081) secondary antibody was used at 1 : 2000 dilution. Isotype control - Rabbit monoclonal IgG (ab172730) - Black. Unlabeled control - Blue.

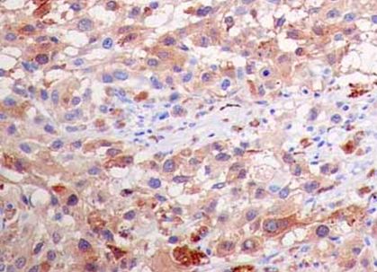
Immunohistochemistry (Formalin/PFA-fixed paraffin-embedded sections) - Anti-CTAG1B antibody [SP349] (AB223498)
  • IHC-P

Unknown

Immunohistochemistry (Formalin/PFA-fixed paraffin-embedded sections) - Anti-CTAG1B antibody [SP349] (AB223498)

Immunohistochemistry (Formalin/PFA-fixed paraffin-embedded sections) analysis of Human gastric carcinoma tissue sections labeling CTAG1B with Purified ab223498 at 1/100 dilution (3.83 µg/ml). Heat mediated antigen retrieval was performed Heat mediated antigen retrieval with sodium citrate buffer (pH 6.0, epitope retrieval solution 1) for 10mins. Goat Anti-Rabbit & Mouse IgG (HRP) was used as the secondary antibody. Negative control : PBS instead of the primary antibody. Hematoxylin was used as a counterstain.

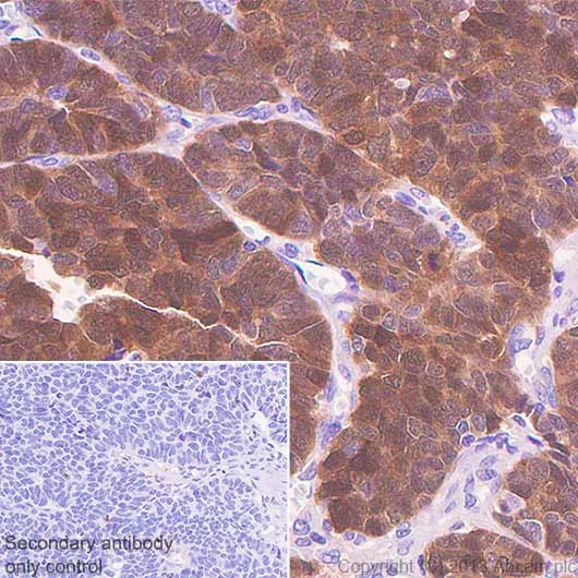
Immunohistochemistry (Formalin/PFA-fixed paraffin-embedded sections) - Anti-CTAG1B antibody [SP349] (AB223498)
  • IHC-P

Supplier Data

Immunohistochemistry (Formalin/PFA-fixed paraffin-embedded sections) - Anti-CTAG1B antibody [SP349] (AB223498)

Formalin-fixed paraffin-embedded human lung squamous cell carcinoma tissue stained for CTAG1B with ab223498 at 1/100 dilution in immunohistochemical analysis.

Immunohistochemistry (Formalin/PFA-fixed paraffin-embedded sections) - Anti-CTAG1B antibody [SP349] (AB223498)
  • IHC-P

Supplier Data

Immunohistochemistry (Formalin/PFA-fixed paraffin-embedded sections) - Anti-CTAG1B antibody [SP349] (AB223498)

Formalin-fixed paraffin-embedded human testis tissue stained for CTAG1B using ab223498 at 1/100 dilution in immunohistochemical analysis.

Flow Cytometry - Anti-CTAG1B antibody [SP349] (AB223498)
  • Flow Cyt

Supplier Data

Flow Cytometry - Anti-CTAG1B antibody [SP349] (AB223498)

Flow cytometric analysis of ab223498 staining HeLa (human epithelial cell line from cervix adenocarcinoma) cells for CTAG1B (green) at 1/100 dilution compared to negative control of rabbit IgG (blue).

Western blot - Anti-CTAG1B antibody [SP349] (AB223498)
  • WB

Supplier Data

Western blot - Anti-CTAG1B antibody [SP349] (AB223498)

All lanes:

Western blot - Anti-CTAG1B antibody [SP349] (ab223498) at 1/100 dilution

Lane 1:

HEK-293 (human epithelial cell line from embryonic kidney) transfected with LAGE-1 cell lysate.

Lane 2:

HEK-293 (human epithelial cell line from embryonic kidney) CTAG1B isoform1a transfected cell lysate.

Predicted band size: 18 kDa

false

不同偶联物与剂型 (1)

  • Carrier free

    Anti-CTAG1B antibody [SP349] - BSA and Azide free

关键信息

宿主种属

Rabbit

克隆

Monoclonal

克隆号

SP349

亚型

IgG

不含载体蛋白

No

反应种属

Human

应用

WB, IHC-P, Flow Cyt

applications

免疫原

The exact immunogen used to generate this antibody is proprietary information.

反应性数据

{ "title": "Reactivity Data", "filters": { "stats": ["", "Species", "Dilution Info", "Notes"], "tabs": { "all-applications": {"fullname" : "All Applications", "shortname": "All Applications"}, "FlowCyt" : {"fullname" : "Flow Cytometry", "shortname":"Flow Cyt"}, "WB" : {"fullname" : "Western blot", "shortname":"WB"}, "IHCP" : {"fullname" : "Immunohistochemistry (Formalin/PFA-fixed paraffin-embedded sections)", "shortname":"IHC-P"} }, "product-promise": { "all": "all", "testedAndGuaranteed": "tested", "guaranteed": "expected", "predicted": "predicted", "notRecommended": "not-recommended" } }, "values": { "Human": { "FlowCyt-species-checked": "testedAndGuaranteed", "FlowCyt-species-dilution-info": "1/100", "FlowCyt-species-notes": "<p></p>", "WB-species-checked": "testedAndGuaranteed", "WB-species-dilution-info": "1/100", "WB-species-notes": "<p></p>", "IHCP-species-checked": "testedAndGuaranteed", "IHCP-species-dilution-info": "1/100", "IHCP-species-notes": "<p></p>" } } }

性能和储存信息

形式
Liquid
纯化工艺
Affinity purification Protein A/G
存储溶液
pH: 7.6 Preservative: 0.1% Sodium azide Constituents: PBS, 1% BSA
运输条件
Blue Ice
推荐的短期储存时间
1-2 weeks
推荐的短期储存条件
+4°C
推荐的长期储存条件
-20°C
分装信息
Upon delivery aliquot
储存信息
Avoid freeze / thaw cycle

补充信息

This supplementary information is collated from multiple sources and compiled automatically.

CTAG1B also known as NY-ESO-1 is a cancer/testis antigen with an approximate molecular mass of 22 kDa. This protein is absent in most normal tissues but shows expression in the testes and a variety of tumors. CTAG1B is recognized for its potential role in immune targeting due to its restricted expression profile. The protein plays a part in antigenic presentation and stimulates T-cell response making it a significant focus for cancer immunotherapy research.
Biological function summary

CTAG1B is involved in the immune response against tumors. It is part of the group called cancer/testis antigens due to its low expression in normal tissues except the testes. This restricted pattern allows CTAG1B to function in distinguishing between tumor and normal cells which is important for targeted therapies. It does not belong to a specific multiprotein complex but contributes to immune recognition by presenting as an antigenic determinant.

Pathways

CTAG1B engages predominantly in cellular processes associated with the immune system's adaptive arm. It plays a role in the antigen processing and presentation pathway where it functions to engage CD8+ T cells. The protein associates with other antigens expressed in cancer such as MAGE-A1 in enabling an immune response against tumor cells. By acting alongside these proteins CTAG1B supports pathways leading to the recognition and destruction of malignant cells.

CTAG1B shows a strong connection to cancer particularly in melanoma and ovarian cancer. It is considered a biomarker for these cancers due to its restricted expression and detection in tumor tissues. In cancer CTAG1B interacts with immune checkpoint proteins such as PD-L1 where it helps sustain and enhance immune responses. This relationship has made CTAG1B a promising target in immunotherapy aiming to improve cancer treatment outcomes.

产品实验方案

For this product, it's our understanding that no specific protocols are required. You can visit:

文献 (2)

Recent publications for all applications. Explore the full list and refine your search

Frontiers in oncology 13:1106434 PubMed37081973

2023

Tumor immune microenvironment of cutaneous angiosarcoma with cancer testis antigens and the formation of tertiary lymphoid structures.

Applications

Unspecified application

Species

Unspecified reactive species

Tetsuya Magara,Motoki Nakamura,Yuka Nojiri,Maki Yoshimitsu,Shinji Kano,Hiroshi Kato,Akimichi Morita

Experimental biology and medicine (Maywood, N.J.) 246:2579-2588 PubMed34515546

2021

Extracellular matrix remodeling is associated with the survival of cardiomyocytes in the subendocardial region of the ischemic myocardium.

Applications

Unspecified application

Species

Unspecified reactive species

Qing Chu,Ying Xiao,Xin Song,Y James Kang
View all publications

Abcam Product Promise

我们致力于为您的研究提供高质量的试剂,为您科研的每一步提供支持。若我们的产品未能达到预期性能,我们向您提供 Abcam Product Promise 保障。
详情请参阅我们的条款与条件。

Please note: All products are 'FOR RESEARCH USE ONLY. NOT FOR USE IN DIAGNOSTIC OR THERAPEUTIC PROCEDURES'.

For licensing inquiries, please contact partnerships@abcam.com