JavaScript is disabled in your browser. Please enable JavaScript to view this website.
AB231257

Anti-CRYL1抗体

Anti-CRYL1 antibody

Be the first to review this product! Submit a review

|

(1 Publication)

Rabbit Polyclonal CRYL1 antibody. Suitable for WB, IHC-P and reacts with Mouse, Human samples. Cited in 1 publication. Immunogen corresponding to Recombinant Fragment Protein within Human CRYL1 aa 1-250.

查看别名

CRY, CRYL1, Lambda-crystallin homolog, L-gulonate 3-dehydrogenase, Gul3DH

3 Images
Western blot - Anti-CRYL1 antibody (AB231257)
  • WB

Supplier Data

Western blot - Anti-CRYL1 antibody (AB231257)

All lanes:

Western blot - Anti-CRYL1 antibody (ab231257) at 2 µg/mL

All lanes:

Mouse kidney lysate

Predicted band size: 35 kDa

false

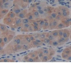
Immunohistochemistry (Formalin/PFA-fixed paraffin-embedded sections) - Anti-CRYL1 antibody (AB231257)
  • IHC-P

Supplier Data

Immunohistochemistry (Formalin/PFA-fixed paraffin-embedded sections) - Anti-CRYL1 antibody (AB231257)

Formalin-fixed, paraffin-embedded human liver tissue stained for CRYL1 using ab231257 at 20 μg/mL in immunohistochemical analysis.

Western blot - Anti-CRYL1 antibody (AB231257)
  • WB

Supplier Data

Western blot - Anti-CRYL1 antibody (AB231257)

All lanes:

Western blot - Anti-CRYL1 antibody (ab231257) at 2 µg/mL

All lanes:

Recombinant human CRYL1 protein

Predicted band size: 35 kDa

false

关键信息

宿主种属

Rabbit

克隆

Polyclonal

亚型

IgG

不含载体蛋白

No

反应种属

Mouse, Human

应用

WB, IHC-P

applications

免疫原

Recombinant Fragment Protein within Human CRYL1 aa 1-250. The exact immunogen used to generate this antibody is proprietary information.

Q9Y2S2

反应性数据

{ "title": "Reactivity Data", "filters": { "stats": ["", "Species", "Dilution Info", "Notes"], "tabs": { "all-applications": {"fullname" : "All Applications", "shortname": "All Applications"}, "WB" : {"fullname" : "Western blot", "shortname":"WB"}, "IHCP" : {"fullname" : "Immunohistochemistry (Formalin/PFA-fixed paraffin-embedded sections)", "shortname":"IHC-P"} }, "product-promise": { "all": "all", "testedAndGuaranteed": "tested", "guaranteed": "expected", "predicted": "predicted", "notRecommended": "not-recommended" } }, "values": { "Human": { "WB-species-checked": "testedAndGuaranteed", "WB-species-dilution-info": "0.2-2 µg/mL", "WB-species-notes": "<p></p>", "IHCP-species-checked": "testedAndGuaranteed", "IHCP-species-dilution-info": "5-20 µg/mL", "IHCP-species-notes": "<p></p>" }, "Mouse": { "WB-species-checked": "testedAndGuaranteed", "WB-species-dilution-info": "0.2-2 µg/mL", "WB-species-notes": "<p></p>", "IHCP-species-checked": "guaranteed", "IHCP-species-dilution-info": "", "IHCP-species-notes": "" }, "Orangutan": { "WB-species-checked": "predicted", "WB-species-dilution-info": "", "WB-species-notes": "", "IHCP-species-checked": "predicted", "IHCP-species-dilution-info": "", "IHCP-species-notes": "" } } }

性能和储存信息

形式
Liquid
纯化工艺
Affinity purification Protein A
纯化说明
Antigen-specific affinity chromatography followed by Protein A affinity chromatography.
存储溶液
pH: 7.4 Preservative: 0.011% Proclin 300 Constituents: PBS, 55.77% Glycerol (glycerin, glycerine)
运输条件
Blue Ice
推荐的短期储存时间
1-2 weeks
推荐的短期储存条件
+4°C
推荐的长期储存条件
-20°C
分装信息
Upon delivery aliquot
储存信息
Avoid freeze / thaw cycle

产品实验方案

For this product, it's our understanding that no specific protocols are required. You can visit:

靶点信息

Has high L-gulonate 3-dehydrogenase activity. It also exhibits low dehydrogenase activity toward L-3-hydroxybutyrate (HBA) and L-threonate.
See full target information CRYL1

文献 (1)

Recent publications for all applications. Explore the full list and refine your search

Heliyon 10:e33212 PubMed39021933

2024

TMT-based proteomics analysis of the blood enriching mechanism of the total Tannins of Gei Herba in mice.

Applications

Unspecified application

Species

Unspecified reactive species

Wenbi Mu,Cancan Duan,Jingwen Ao,Fanpan Du,Jianyong Zhang
View all publications

Abcam Product Promise

我们致力于为您的研究提供高质量的试剂,为您科研的每一步提供支持。若我们的产品未能达到预期性能,我们向您提供 Abcam Product Promise 保障。
详情请参阅我们的条款与条件。

Please note: All products are 'FOR RESEARCH USE ONLY. NOT FOR USE IN DIAGNOSTIC OR THERAPEUTIC PROCEDURES'.

For licensing inquiries, please contact partnerships@abcam.com