JavaScript is disabled in your browser. Please enable JavaScript to view this website.
AB220809

重组Anti-CRTC3抗体[EPR3440] - BSA and Azide free

Anti-CRTC3 antibody [EPR3440] - BSA and Azide free

Be the first to review this product! Submit a review

|

(4 Publications)

Rabbit Recombinant Monoclonal CRTC3 antibody. Carrier free. Suitable for ICC/IF, WB, IHC-P and reacts with Human, Mouse, Rat samples. Cited in 4 publications.

查看别名

TORC3, CRTC3, CREB-regulated transcription coactivator 3, Transducer of regulated cAMP response element-binding protein 3, TORC-3, Transducer of CREB protein 3

5 Images
Immunohistochemistry (Formalin/PFA-fixed paraffin-embedded sections) - Anti-CRTC3 antibody [EPR3440] - BSA and Azide free (AB220809)
  • IHC-P

Unknown

Immunohistochemistry (Formalin/PFA-fixed paraffin-embedded sections) - Anti-CRTC3 antibody [EPR3440] - BSA and Azide free (AB220809)

Immunohistochemical staining of paraffin embedded human tonsil with purified ab91654 at a working dilution of 1/250. The secondary antibody used is ab97051, a goat anti-rabbit IgG (H&L) at a dilution of 1/500. The sample is counter-stained with hematoxylin. Antigen retrieval was perfomed using Tris-EDTA buffer, pH 9.0. PBS was used instead of the primary antibody as the negative control, and is shown in the inset.This data was developed using the same antibody clone in a different buffer formulation containing PBS, BSA, glycerol, and sodium azide (ab91654).

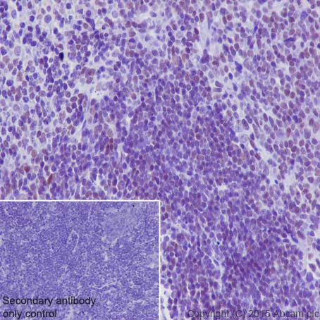
Immunohistochemistry (Formalin/PFA-fixed paraffin-embedded sections) - Anti-CRTC3 antibody [EPR3440] - BSA and Azide free (AB220809)
  • IHC-P

Unknown

Immunohistochemistry (Formalin/PFA-fixed paraffin-embedded sections) - Anti-CRTC3 antibody [EPR3440] - BSA and Azide free (AB220809)

Immunohistochemical staining of paraffin embedded mouse spleen with purified ab91654 at a working dilution of 1/250. The secondary antibody used is ab97051, a goat anti-rabbit IgG (H&L) at a dilution of 1/500. The sample is counter-stained with hematoxylin. Antigen retrieval was perfomed using Tris-EDTA buffer, pH 9.0. PBS was used instead of the primary antibody as the negative control, and is shown in the inset.This data was developed using the same antibody clone in a different buffer formulation containing PBS, BSA, glycerol, and sodium azide (ab91654).

Immunocytochemistry/ Immunofluorescence - Anti-CRTC3 antibody [EPR3440] - BSA and Azide free (AB220809)
  • ICC/IF

Lab

Immunocytochemistry/ Immunofluorescence - Anti-CRTC3 antibody [EPR3440] - BSA and Azide free (AB220809)

Immunofluorescence staining of Jurkat cells with purified ab91654 at a working dilution of 1/100, counter-stained with DAPI. The secondary antibody was Alexa Fluor® 488 goat anti-rabbit (ab150077), used at a dilution of 1/1000. ab7291, a mouse anti-tubulin antibody (1/1000), was used to stain tubulin along with ab150120 (Alexa Fluor® 594 goat anti-mouse, 1/1000), shown in the top right hand panel. The cells were fixed in 4% PFA and permeabilized using 0.1% Triton X 100. The negative controls are shown in bottom middle and right hand panels - for negative control 1, purified ab91654 was used at a dilution of 1/500 followed by an Alexa Fluor® 594 goat anti-mouse antibody (ab150120) at a dilution of 1/500. For negative control 2, ab7291 (mouse anti-tubulin) was used at a dilution of 1/500 followed by an Alexa Fluor® 488 goat anti-rabbit antibody (ab150077) at a dilution of 1/400.

This data was developed using the same antibody clone in a different buffer formulation containing PBS, BSA, glycerol, and sodium azide (ab91654).

Immunohistochemistry (Formalin/PFA-fixed paraffin-embedded sections) - Anti-CRTC3 antibody [EPR3440] - BSA and Azide free (AB220809)
  • IHC-P

Unknown

Immunohistochemistry (Formalin/PFA-fixed paraffin-embedded sections) - Anti-CRTC3 antibody [EPR3440] - BSA and Azide free (AB220809)

Unpurified ab91654 at 1/100 dilution staining CRTC3 in Human tonsil by immunohistochemistry (paraffin-embedded section).

This data was developed using the same antibody clone in a different buffer formulation containing PBS, BSA, glycerol, and sodium azide (ab91654).

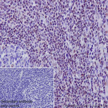
Immunohistochemistry (Formalin/PFA-fixed paraffin-embedded sections) - Anti-CRTC3 antibody [EPR3440] - BSA and Azide free (AB220809)
  • IHC-P

Unknown

Immunohistochemistry (Formalin/PFA-fixed paraffin-embedded sections) - Anti-CRTC3 antibody [EPR3440] - BSA and Azide free (AB220809)

Immunohistochemical staining of paraffin embedded rat spleen with purified ab91654 at a working dilution of 1/250. The secondary antibody used is ab97051, a goat anti-rabbit IgG (H&L) at a dilution of 1/500. The sample is counter-stained with hematoxylin. Antigen retrieval was perfomed using Tris-EDTA buffer, pH 9.0. PBS was used instead of the primary antibody as the negative control, and is shown in the inset.This data was developed using the same antibody clone in a different buffer formulation containing PBS, BSA, glycerol, and sodium azide (ab91654).

不同偶联物与剂型 (2)

关键信息

宿主种属

Rabbit

克隆

Monoclonal

克隆号

EPR3440

亚型

IgG

不含载体蛋白

Yes

反应种属

Mouse, Rat, Human

应用

IHC-P, WB, ICC/IF

applications

免疫原

The exact immunogen used to generate this antibody is proprietary information.

反应性数据

{ "title": "Reactivity Data", "filters": { "stats": ["", "Species", "Dilution Info", "Notes"], "tabs": { "all-applications": {"fullname" : "All Applications", "shortname": "All Applications"}, "ICCIF" : {"fullname" : "Immunocytochemistry/ Immunofluorescence", "shortname":"ICC/IF"}, "IP" : {"fullname" : "Immunoprecipitation", "shortname":"IP"}, "WB" : {"fullname" : "Western blot", "shortname":"WB"}, "IHCP" : {"fullname" : "Immunohistochemistry (Formalin/PFA-fixed paraffin-embedded sections)", "shortname":"IHC-P"} }, "product-promise": { "all": "all", "testedAndGuaranteed": "tested", "guaranteed": "expected", "predicted": "predicted", "notRecommended": "not-recommended" } }, "values": { "Human": { "ICCIF-species-checked": "testedAndGuaranteed", "ICCIF-species-dilution-info": "", "ICCIF-species-notes": "<p></p>", "IP-species-checked": "notRecommended", "IP-species-dilution-info": "", "IP-species-notes": "<p></p>", "WB-species-checked": "guaranteed", "WB-species-dilution-info": "", "WB-species-notes": "<p></p>", "IHCP-species-checked": "testedAndGuaranteed", "IHCP-species-dilution-info": "", "IHCP-species-notes": "<p></p>" }, "Mouse": { "ICCIF-species-checked": "predicted", "ICCIF-species-dilution-info": "", "ICCIF-species-notes": "", "IP-species-checked": "notRecommended", "IP-species-dilution-info": "", "IP-species-notes": "<p></p>", "WB-species-checked": "guaranteed", "WB-species-dilution-info": "", "WB-species-notes": "<p></p>", "IHCP-species-checked": "predicted", "IHCP-species-dilution-info": "", "IHCP-species-notes": "" }, "Rat": { "ICCIF-species-checked": "predicted", "ICCIF-species-dilution-info": "", "ICCIF-species-notes": "", "IP-species-checked": "notRecommended", "IP-species-dilution-info": "", "IP-species-notes": "<p></p>", "WB-species-checked": "guaranteed", "WB-species-dilution-info": "", "WB-species-notes": "<p></p>", "IHCP-species-checked": "predicted", "IHCP-species-dilution-info": "", "IHCP-species-notes": "" } } }

您可能对以下产品感兴趣:

AB65336

Triglyceride Assay Kit - Quantification

4

4 Reviews

查看产品
为什么推荐这个?

我们推荐这个产品,因为它经常被用于相同的实验或相关的研究。

我们建议您务必查阅产品说明书,以确认其是否符合您的实验需求;若有疑问,也可联系我们的技术团队获取协助。

产品详情

性能和储存信息

形式
Liquid
纯化工艺
Affinity purification Protein A
存储溶液
pH: 7.2 - 7.4 Constituents: PBS
运输条件
Blue Ice
推荐的短期储存条件
+4°C
推荐的长期储存条件
+4°C
储存信息
Do Not Freeze

产品实验方案

For this product, it's our understanding that no specific protocols are required. You can visit:

靶点信息

Transcriptional coactivator for CREB1 which activates transcription through both consensus and variant cAMP response element (CRE) sites. Acts as a coactivator, in the SIK/TORC signaling pathway, being active when dephosphorylated and acts independently of CREB1 'Ser-133' phosphorylation. Enhances the interaction of CREB1 with TAF4. Regulates the expression of specific CREB-activated genes such as the steroidogenic gene, StAR. Potent coactivator of PPARGC1A and inducer of mitochondrial biogenesis in muscle cells. Also coactivator for TAX activation of the human T-cell leukemia virus type 1 (HTLV-1) long terminal repeats (LTR).
See full target information CRTC3

文献 (4)

Recent publications for all applications. Explore the full list and refine your search

The Journal of neuroscience : the official journal of the Society for Neuroscience 35:12248-60 PubMed26338335

2015

Oxytocin Regulates Stress-Induced Crf Gene Transcription through CREB-Regulated Transcription Coactivator 3.

Applications

ChIP, WB

Species

Human, Human

Benjamin Jurek,David A Slattery,Yuichi Hiraoka,Ying Liu,Katsuhiko Nishimori,Greti Aguilera,Inga D Neumann,Erwin H van den Burg

Nature communications 5:4535 PubMed25088745

2014

The LKB1-salt-inducible kinase pathway functions as a key gluconeogenic suppressor in the liver.

Applications

WB

Species

Unspecified reactive species

Kashyap Patel,Marc Foretz,Allison Marion,David G Campbell,Robert Gourlay,Nadia Boudaba,Emilie Tournier,Paul Titchenell,Mark Peggie,Maria Deak,Min Wan,Klaus H Kaestner,Olga Göransson,Benoit Viollet,Nathanael S Gray,Morris J Birnbaum,Calum Sutherland,Kei Sakamoto

Journal of immunology (Baltimore, Md. : 1950) 190:565-77 PubMed23241891

2012

PGE(2) induces macrophage IL-10 production and a regulatory-like phenotype via a protein kinase A-SIK-CRTC3 pathway.

Applications

ICC/IF

Species

Mouse

Kirsty F MacKenzie,Kristopher Clark,Shaista Naqvi,Victoria A McGuire,Gesa Nöehren,Yosua Kristariyanto,Mirjam van den Bosch,Manikhandan Mudaliar,Pierre C McCarthy,Michael J Pattison,Patrick G A Pedrioli,Geoff J Barton,Rachel Toth,Alan Prescott,J Simon C Arthur

Proceedings of the National Academy of Sciences of 109:16986-91 PubMed23033494

2012

Phosphorylation of CRTC3 by the salt-inducible kinases controls the interconversion of classically activated and regulatory macrophages.

Applications

ICC/IF, WB

Species

Unspecified reactive species, Unspecified reactive species

Kristopher Clark,Kirsty F MacKenzie,Kasparas Petkevicius,Yosua Kristariyanto,Jiazhen Zhang,Hwan Geun Choi,Mark Peggie,Lorna Plater,Patrick G A Pedrioli,Ed McIver,Nathanael S Gray,J Simon C Arthur,Philip Cohen
View all publications

Abcam Product Promise

我们致力于为您的研究提供高质量的试剂,为您科研的每一步提供支持。若我们的产品未能达到预期性能,我们向您提供 Abcam Product Promise 保障。
详情请参阅我们的条款与条件。

关联产品

Select an associated product type
Alternative Version
Primary Antibodies

AB206248

Alexa Fluor® 488 Anti-CRTC3 antibody [EPR3440]

primary-antibodies

alexa-fluor-488-crtc3-antibody-epr3440-ab206248

0

(0 reviews)

Please note: All products are 'FOR RESEARCH USE ONLY. NOT FOR USE IN DIAGNOSTIC OR THERAPEUTIC PROCEDURES'.

For licensing inquiries, please contact partnerships@abcam.com