JavaScript is disabled in your browser. Please enable JavaScript to view this website.
AB109626

Anti-CRLF2抗体

Anti-CRLF2 antibody

Be the first to review this product! Submit a review

|

(2 Publications)

Rabbit Polyclonal CRLF2 antibody. Suitable for IHC-P, WB and reacts with Human samples. Cited in 2 publications. Immunogen corresponding to Synthetic Peptide within Human CRLF2 conjugated to Keyhole Limpet Haemocyanin.

查看别名

CRL2, ILXR, TSLPR, CRLF2, Cytokine receptor-like factor 2, Cytokine receptor-like 2, IL-XR, Thymic stromal lymphopoietin protein receptor, TSLP receptor

3 Images
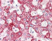
Immunohistochemistry (Formalin/PFA-fixed paraffin-embedded sections) - Anti-CRLF2 antibody (AB109626)
  • IHC-P

Unknown

Immunohistochemistry (Formalin/PFA-fixed paraffin-embedded sections) - Anti-CRLF2 antibody (AB109626)

Human liver tissue (formalin-fixed, paraffin-embedded) stained with ab109626 at a concentration of 5 μg/ml.

Immunohistochemistry (Formalin/PFA-fixed paraffin-embedded sections) - Anti-CRLF2 antibody (AB109626)
  • IHC-P

Unknown

Immunohistochemistry (Formalin/PFA-fixed paraffin-embedded sections) - Anti-CRLF2 antibody (AB109626)

Human kidney tissue (formalin-fixed, paraffin-embedded) stained with ab109626 at a concentration of 5 μg/ml.

Western blot - Anti-CRLF2 antibody (AB109626)
  • WB

Unknown

Western blot - Anti-CRLF2 antibody (AB109626)

Lane 1:

Western blot - Anti-CRLF2 antibody (ab109626) at 0.5 µg/mL

Lane 2:

Western blot - Anti-CRLF2 antibody (ab109626) at 1 µg/mL

Lane 3:

Western blot - Anti-CRLF2 antibody (ab109626) at 2 µg/mL

All lanes:

Human liver tissue lysate

Predicted band size: 42 kDa

false

关键信息

宿主种属

Rabbit

克隆

Polyclonal

亚型

IgG

不含载体蛋白

No

反应种属

Human

应用

WB, IHC-P

applications

免疫原

Synthetic Peptide within Human CRLF2 conjugated to Keyhole Limpet Haemocyanin. The exact immunogen used to generate this antibody is proprietary information.

Q9HC73

反应性数据

{ "title": "Reactivity Data", "filters": { "stats": ["", "Species", "Dilution Info", "Notes"], "tabs": { "all-applications": {"fullname" : "All Applications", "shortname": "All Applications"}, "IHCP" : {"fullname" : "Immunohistochemistry (Formalin/PFA-fixed paraffin-embedded sections)", "shortname":"IHC-P"}, "WB" : {"fullname" : "Western blot", "shortname":"WB"} }, "product-promise": { "all": "all", "testedAndGuaranteed": "tested", "guaranteed": "expected", "predicted": "predicted", "notRecommended": "not-recommended" } }, "values": { "Human": { "IHCP-species-checked": "testedAndGuaranteed", "IHCP-species-dilution-info": "5 µg/mL", "IHCP-species-notes": "<p></p> Perform heat-mediated antigen retrieval with citrate buffer pH 6 before commencing with IHC staining protocol.", "WB-species-checked": "testedAndGuaranteed", "WB-species-dilution-info": "1 µg/mL", "WB-species-notes": "<p></p>" } } }

性能和储存信息

形式
Liquid
纯化工艺
Affinity purification Immunogen
存储溶液
pH: 7.4 Preservative: 0.02% Sodium azide Constituents: PBS
运输条件
Blue Ice
推荐的短期储存时间
1-2 weeks
推荐的短期储存条件
+4°C
推荐的长期储存条件
-20°C
储存信息
Avoid freeze / thaw cycle

补充信息

This supplementary information is collated from multiple sources and compiled automatically.

CRLF2 also known as cytokine receptor-like factor 2 is a receptor with a mass of approximately 40 kDa. It is primarily expressed on the cell surface of hematopoietic cells including early B-cell progenitors and certain types of leukemia cells. CRLF2 forms a part of the cytokine receptor family and its expression can be significantly increased in certain conditions most notably in some forms of leukemia.
Biological function summary

CRLF2 plays an important role in lymphoid cell development and differentiation. It partners with the interleukin-7 receptor alpha chain (IL-7Rα) to create a receptor complex. This complex is responsible for the activation of downstream signaling pathways that are key for cell survival proliferation and differentiation. The presence and regulation of this receptor complex are essential for maintaining normal hematopoietic function.

Pathways

This receptor is integral to the JAK/STAT signaling pathway. This pathway is critical for the regulation of immune cell proliferation and function. CRLF2 by binding to its ligands activates JAK kinases which then recruit and phosphorylate STAT proteins. Another important pathway associated with CRLF2 is the PI3K/AKT pathway which also gets activated upon ligand binding and plays a significant role in cell survival and growth. The IL-7Rα as part of the receptor complex is an important interacting partner in these pathways.

CRLF2 overexpression or mutation is linked to certain leukemias such as B-cell acute lymphoblastic leukemia (B-ALL). These abnormalities lead to uncontrolled proliferation and survival of leukemia cells. CRLF2 involvement in such malignancies frequently associates with other protein alterations including those in the JAK family of kinases. Aside from leukemia aberrations in this receptor have been observed in myeloproliferative disorders where similarly they aid in unchecked cell proliferation and contribute to the disease pathology.

产品实验方案

For this product, it's our understanding that no specific protocols are required. You can visit:

靶点信息

Receptor for thymic stromal lymphopoietin (TSLP). Forms a functional complex with TSLP and IL7R which is capable of stimulating cell proliferation through activation of STAT3 and STAT5. Also activates JAK2 (By similarity). Implicated in the development of the hematopoietic system.
See full target information CRLF2

文献 (2)

Recent publications for all applications. Explore the full list and refine your search

Oncology reports 41:885-894 PubMed30535452

2018

Potential efficacy and prognosis of silencing the CRLF2‑mediated AKT/mTOR pathway in pediatric acute B‑cell lymphoblastic leukemia.

Applications

Unspecified application

Species

Unspecified reactive species

Min Jiang,Xueqin Zou,Lingyun Lu

PloS one 12:e0173017 PubMed28278185

2017

Myeloid dendritic cells stimulated by thymic stromal lymphopoietin promote Th2 immune responses and the pathogenesis of oral lichen planus.

Applications

IHC

Species

Unspecified reactive species

Masaki Yamauchi,Masafumi Moriyama,Jun-Nosuke Hayashida,Takashi Maehara,Noriko Ishiguro,Keigo Kubota,Sachiko Furukawa,Miho Ohta,Mizuki Sakamoto,Akihiko Tanaka,Seiji Nakamura
View all publications

Abcam Product Promise

我们致力于为您的研究提供高质量的试剂,为您科研的每一步提供支持。若我们的产品未能达到预期性能,我们向您提供 Abcam Product Promise 保障。
详情请参阅我们的条款与条件。

Please note: All products are 'FOR RESEARCH USE ONLY. NOT FOR USE IN DIAGNOSTIC OR THERAPEUTIC PROCEDURES'.

For licensing inquiries, please contact partnerships@abcam.com