JavaScript is disabled in your browser. Please enable JavaScript to view this website.
AB32018

重组Anti-CrkL抗体[Y244]

Anti-CrkL antibody [Y244]

  • BOND RX™ Validated
  • RabMAb
  • Recombinant
  • KO Validated
  • 了解详情

Be the first to review this product! Submit a review

|

(9 Publications)

Rabbit Recombinant Monoclonal CRKL antibody. Suitable for IHC-P, ICC/IF, IP, Flow Cyt, WB and reacts with Human, Mouse, Rat samples. Cited in 9 publications.

查看别名

Crk-like protein, CRKL

7 Images
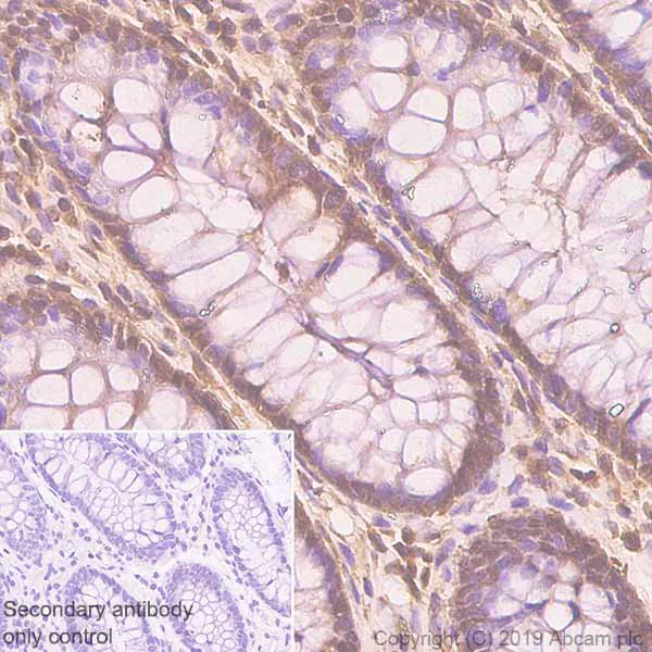
Immunohistochemistry (Formalin/PFA-fixed paraffin-embedded sections) - Anti-CrkL antibody [Y244] (AB32018)
  • IHC-P

Lab

Immunohistochemistry (Formalin/PFA-fixed paraffin-embedded sections) - Anti-CrkL antibody [Y244] (AB32018)

Immunohistochemistry (Formalin/PFA-fixed paraffin-embedded sections) analysis of human colon tissue sections labeling CrkL with purified ab32018 at 1/100 dilution (2.24 μg/mL). Heat mediated antigen retrieval was performed using Heat mediated antigen retrieval using Bond™ Epitope Retrieval Solution 2 (pH 9.0). Tissue was counterstained with Hematoxylin. Rabbit specific IHC polymer detection kit HRP/DAB (ab209101) secondary antibody was used at 1/0 dilution. PBS instead of the primary antibody was used as the negative control.

The immunostaining was performed on a Leica Biosystems BOND® RX instrument.

Flow Cytometry - Anti-CrkL antibody [Y244] (AB32018)
  • Flow Cyt

Lab

Flow Cytometry - Anti-CrkL antibody [Y244] (AB32018)

Flow Cytometry analysis of K-562 (Human chronic myelogenous leukemia lymphoblast) cells labelling CrkL with purified ab32018 at 1/20 dilution (10 µg/mL) (Red). Cells were fixed with 4% Paraformaldehyde and permeabilised with 90% Methanol. A Goat anti rabbit IgG (Alexa Fluor® 488, ab150077) secondary antibody was used at 1/2000. Isotype control - Rabbit monoclonal IgG (Black). Unlabelled control - Cell without incubation with primary antibody and secondary antibody (Blue).

Immunocytochemistry/ Immunofluorescence - Anti-CrkL antibody [Y244] (AB32018)
  • ICC/IF

Supplier Data

Immunocytochemistry/ Immunofluorescence - Anti-CrkL antibody [Y244] (AB32018)

Immunocytochemistry analysis of K-562 (Human chronic myelogenous leukemia lymphoblast) cells labeling CrkL with purified ab32018 at 1/50 dilution (4.5 μg/mL). Cells were fixed in 100% Methanol and permeabilized with 0.1% tritonX-100. Cells were counterstained with ab195889 Anti-alpha Tubulin antibody [DM1A] - Microtubule Marker (Alexa Fluor® 594) 1/200 (2.5 μg/mL). Goat anti rabbit IgG (Alexa Fluor®488, ab150077) was used as the secondary antibody at 1/1000 (2 μg/mL) dilution. DAPI (blue) was used as nuclear counterstain. PBS instead of the primary antibody was used as the secondary antibody only control.

Immunoprecipitation - Anti-CrkL antibody [Y244] (AB32018)
  • IP

Lab

Immunoprecipitation - Anti-CrkL antibody [Y244] (AB32018)

Purified ab32018 at 1/50 dilution (2μg) immunoprecipitating CrkL in K-562 whole cell lysate.
Lane 1 (input) : K-562 (Human chronic myelogenous leukemia lymphoblast) whole cell lysate 10μg
Lane 2 (+) : ab32018 + K-562 whole cell lysate.
Lane 3 (-) : Rabbit monoclonal IgG (ab172730) instead of ab32018 in K-562 whole cell lysate.
VeriBlot for IP Detection Reagent (HRP) (ab131366) (1/1000 dilution) was used for Western blotting.
Blocking Buffer and concentration : 5% NFDM/TBST.
Diluting buffer and concentration : 5% NFDM/TBST.
Observed band size : 37 kDa

All lanes:

Immunoprecipitation - Anti-CrkL antibody [Y244] (ab32018)

Predicted band size: 34 kDa

false

Western blot - Anti-CrkL antibody [Y244] (AB32018)
  • WB

Lab

Western blot - Anti-CrkL antibody [Y244] (AB32018)

Lanes 1-3 : Merged signal (red and green). Green - ab32018 observed at 37 kDa. Red - loading control ab7291 observed at 50 kDa.

ab32018 Anti-CrkL antibody [Y244] was shown to specifically react with CrkL in wild-type HeLa cells. Loss of signal was observed when knockout cell line ab265993 (knockout cell lysate ab257397) was used. Wild-type and CrkL knockout samples were subjected to SDS-PAGE. ab32018 and Anti-alpha Tubulin antibody [DM1A] - Loading Control (ab7291) were incubated overnight at 4°C at 1 in 1000 dilution and 1 in 20000 dilution respectively. Blots were developed with Goat anti-Rabbit IgG H&L (IRDye® 800CW) preadsorbed (ab216773) and Goat anti-Mouse IgG H&L (IRDye® 680RD) preadsorbed (ab216776) secondary antibodies at 1 in 20000 dilution for 1 hour at room temperature before imaging.

All lanes:

Western blot - Anti-CrkL antibody [Y244] (ab32018) at 1/1000 dilution

Lane 1:

Wild-type HeLa cell lysate at 20 µg

Lane 2:

CRKL knockout HeLa cell lysate at 20 µg

Lane 2:

Western blot - Human CRKL knockout HeLa cell line (<a href='/products/cell-lines/human-crkl-knockout-hela-cell-line-ab265993'>ab265993</a>)

Lane 3:

K-562 cell lysate at 20 µg

Secondary

All lanes:

Western blot - Goat anti-Rabbit IgG H&L (IRDye® 800CW) preadsorbed (<a href='/products/secondary-antibodies/goat-rabbit-igg-h-l-irdye-800cw-preadsorbed-ab216773'>ab216773</a>) at 1/10000 dilution

Predicted band size: 34 kDa

Observed band size: 37 kDa

false

Western blot - Anti-CrkL antibody [Y244] (AB32018)
  • WB

Unknown

Western blot - Anti-CrkL antibody [Y244] (AB32018)

All lanes:

Western blot - Anti-CrkL antibody [Y244] (ab32018) at 1/1000 dilution

Lane 1:

K-562 (Human chronic myelogenous leukemia lymphoblast) whole cell lysate at 15 µg

Lane 2:

Mouse thymus lysate at 15 µg

Lane 3:

Rat thymus lysate at 15 µg

Secondary

All lanes:

Western blot - Goat Anti-Rabbit IgG H&L (HRP) (<a href='/products/secondary-antibodies/goat-rabbit-igg-h-l-hrp-ab97051'>ab97051</a>) at 1/20000 dilution

Predicted band size: 34 kDa

false

Western blot - Anti-CrkL antibody [Y244] (AB32018)
  • WB

CiteAb

Western blot - Anti-CrkL antibody [Y244] (AB32018)

CrkL western blot using anti-CrkL antibody [Y244] ab32018. Publication image and figure legend from Kostrzewska-Poczekaj, M., Bednarek, K., et al., 2020, Sci Rep, PubMed 31913340.

ab32018 was used in this publication in western blot. This may not be the same as the application(s) guaranteed by Abcam. For a full list of applications guaranteed by Abcam for ab32018 please see the product overview.

SiRNA mediated CRKL knockdown in UT-SCC-6A, UT-SCC-11 and UT-SCC-29 cell lines (RT-qPCR and Western Blot).

false

不同偶联物与剂型 (1)

  • Carrier free

    Anti-CrkL antibody [Y244] - BSA and Azide free

关键信息

宿主种属

Rabbit

克隆

Monoclonal

克隆号

Y244

亚型

IgG

不含载体蛋白

No

反应种属

Mouse, Rat, Human

应用

ICC/IF, Flow Cyt, WB, IHC-P, IP

applications

免疫原

The exact immunogen used to generate this antibody is proprietary information.

特异性

ab32018 recognises CrkL (Crk-like)protein.

The mouse and rat recommendation is based on the WB results. We do not guarantee IHC-P for mouse and rat.

反应性数据

{ "title": "Reactivity Data", "filters": { "stats": ["", "Species", "Dilution Info", "Notes"], "tabs": { "all-applications": {"fullname" : "All Applications", "shortname": "All Applications"}, "IHCP" : {"fullname" : "Immunohistochemistry (Formalin/PFA-fixed paraffin-embedded sections)", "shortname":"IHC-P"}, "ICCIF" : {"fullname" : "Immunocytochemistry/ Immunofluorescence", "shortname":"ICC/IF"}, "IP" : {"fullname" : "Immunoprecipitation", "shortname":"IP"}, "FlowCyt" : {"fullname" : "Flow Cytometry", "shortname":"Flow Cyt"}, "WB" : {"fullname" : "Western blot", "shortname":"WB"} }, "product-promise": { "all": "all", "testedAndGuaranteed": "tested", "guaranteed": "expected", "predicted": "predicted", "notRecommended": "not-recommended" } }, "values": { "Human": { "IHCP-species-checked": "testedAndGuaranteed", "IHCP-species-dilution-info": "1/100", "IHCP-species-notes": "<p>The mouse and rat recommendation is based on the WB results. We do not guarantee IHC-P for mouse and rat.</p>", "ICCIF-species-checked": "testedAndGuaranteed", "ICCIF-species-dilution-info": "1/50", "ICCIF-species-notes": "<p></p>", "IP-species-checked": "guaranteed", "IP-species-dilution-info": "1/50", "IP-species-notes": "<p></p>", "FlowCyt-species-checked": "testedAndGuaranteed", "FlowCyt-species-dilution-info": "1/20", "FlowCyt-species-notes": "<p></p>", "WB-species-checked": "testedAndGuaranteed", "WB-species-dilution-info": "1/1000", "WB-species-notes": "<p></p>" }, "Mouse": { "IHCP-species-checked": "guaranteed", "IHCP-species-dilution-info": "1/100", "IHCP-species-notes": "<p>The mouse and rat recommendation is based on the WB results. We do not guarantee IHC-P for mouse and rat.</p>", "ICCIF-species-checked": "guaranteed", "ICCIF-species-dilution-info": "1/50", "ICCIF-species-notes": "<p></p>", "IP-species-checked": "testedAndGuaranteed", "IP-species-dilution-info": "1/50", "IP-species-notes": "<p></p>", "FlowCyt-species-checked": "guaranteed", "FlowCyt-species-dilution-info": "1/20", "FlowCyt-species-notes": "<p></p>", "WB-species-checked": "guaranteed", "WB-species-dilution-info": "1/1000", "WB-species-notes": "<p></p>" }, "Rat": { "IHCP-species-checked": "guaranteed", "IHCP-species-dilution-info": "1/100", "IHCP-species-notes": "<p>The mouse and rat recommendation is based on the WB results. We do not guarantee IHC-P for mouse and rat.</p>", "ICCIF-species-checked": "guaranteed", "ICCIF-species-dilution-info": "1/50", "ICCIF-species-notes": "<p></p>", "IP-species-checked": "guaranteed", "IP-species-dilution-info": "1/50", "IP-species-notes": "<p></p>", "FlowCyt-species-checked": "guaranteed", "FlowCyt-species-dilution-info": "1/20", "FlowCyt-species-notes": "<p></p>", "WB-species-checked": "guaranteed", "WB-species-dilution-info": "1/1000", "WB-species-notes": "<p></p>" } } }

产品详情

Patented technology
Our RabMAb® technology is a patented hybridoma-based technology for making rabbit monoclonal antibodies. For details on our patents, please refer to RabMAb® patents.

What are the advantages of a recombinant monoclonal antibody?
This product is a recombinant monoclonal antibody, which offers several advantages including:

  • - High batch-to-batch consistency and reproducibility
  • - Improved sensitivity and specificity
  • - Long-term security of supply
  • - Animal-free batch production

For more information, read more on recombinant antibodies.

性能和储存信息

形式
Liquid
纯化工艺
Affinity purification Protein A
存储溶液
pH: 7.2 - 7.4 Preservative: 0.01% Sodium azide Constituents: PBS, 40% Glycerol (glycerin, glycerine), 0.05% BSA
运输条件
Blue Ice
推荐的短期储存条件
+4°C
推荐的长期储存条件
-20°C
分装信息
Upon delivery aliquot
储存信息
Avoid freeze / thaw cycle

产品实验方案

For this product, it's our understanding that no specific protocols are required. You can visit:

靶点信息

May mediate the transduction of intracellular signals.
See full target information CRKL

文献 (9)

Recent publications for all applications. Explore the full list and refine your search

Cellular & molecular biology letters 30:28 PubMed40045194

2025

tRF-5028c disrupts trophoblast function in recurrent spontaneous abortion by inhibiting CRKL-mediated Rap1 signaling pathway.

Applications

Unspecified application

Species

Unspecified reactive species

Jialyu Huang,Jiawei Wang,Shuang Wang,Xiangpeng Xiong,Ruiyin Jiang,Chaoyi Xiong,Lu Wang,Lingling Huang,Yan Zhao,Zheng Fang,Xiaoyan Ai,Jiaying Lin

Journal of cancer research and clinical oncology 150:51 PubMed38289488

2024

Vitamin D-mediated tsRNA-07804 triggers mitochondrial dysfunction and suppresses non-small cell lung cancer progression by targeting CRKL.

Applications

Unspecified application

Species

Unspecified reactive species

Yonggang Liang,Xiaoqiang Zhang,Jinhua Peng,Jing Liu,He Chen,Shanxian Guo

Frontiers in oncology 13:1112576 PubMed37124494

2023

Spatial transcriptomics reveals the heterogeneity and FGG+CRP+ inflammatory cancer-associated fibroblasts replace islets in pancreatic ductal adenocarcinoma.

Applications

Unspecified application

Species

Unspecified reactive species

Zhangyong Ren,Bing Pan,Fangfei Wang,Shaocheng Lyu,Jialei Zhai,Xiumei Hu,Zhe Liu,Lixin Li,Ren Lang,Qiang He,Xin Zhao

Experimental & molecular medicine 54:334-345 PubMed35354913

2022

Identification of novel rheumatoid arthritis-associated MiRNA-204-5p from plasma exosomes.

Applications

Unspecified application

Species

Unspecified reactive species

Long-Fei Wu,Qin Zhang,Xing-Bo Mo,Jun Lin,Yang-Lin Wu,Xin Lu,Pei He,Jian Wu,Yu-Fan Guo,Ming-Jun Wang,Wen-Yan Ren,Hong-Wen Deng,Shu-Feng Lei,Fei-Yan Deng

Bioengineered 12:4159-4173 PubMed34288815

2021

Circular RNA circRNA_0082835 promotes progression and lymphatic metastasis of primary melanoma by sponging microRNA miRNA-429.

Applications

Unspecified application

Species

Unspecified reactive species

Yute Sun,Zuoqiong Hou,Binlin Luo,Chujun Li,Jinfang Liu,Jianlan Liu,Jian Tang,Gang Yao

Scientific reports 10:24 PubMed31913340

2020

Copy number gains of the putative CRKL oncogene in laryngeal squamous cell carcinoma result in strong nuclear expression of the protein and influence cell proliferation and migration.

Applications

Unspecified application

Species

Unspecified reactive species

Magdalena Kostrzewska-Poczekaj,Kinga Bednarek,Malgorzata Jarmuz-Szymczak,Magdalena Bodnar,Violeta Filas,Andrzej Marszalek,Anna Bartochowska,Reidar Grenman,Katarzyna Kiwerska,Krzysztof Szyfter,Maciej Giefing

Molecular medicine reports 13:3236-42 PubMed26936585

2016

Downregulation of miR‑429 and inhibition of cell migration and invasion in nasopharyngeal carcinoma.

Applications

Unspecified application

Species

Unspecified reactive species

Fangzheng Wang,Chuner Jiang,Quanquan Sun,Fenqin Yan,Lei Wang,Zhenfu Fu,Tongxin Liu,Fujun Hu

Experimental hematology & oncology 3:7 PubMed24618035

2014

Lymphocytes from chronic lymphocytic leukaemia undergo ABL1-linked amoeboid motility and homotypic interaction as an early adaptive change to ex vivo culture.

Applications

Unspecified application

Species

Unspecified reactive species

Claire V Hutchinson,Shiva Natarajan,Suzanne M Johnson,Julie A Adams,Karen S Rees-Unwin,John Burthem

Journal of translational medicine 10:97 PubMed22591714

2012

The CRKL gene encoding an adaptor protein is amplified, overexpressed, and a possible therapeutic target in gastric cancer.

Applications

Unspecified application

Species

Unspecified reactive species

Hiroko Natsume,Kazuya Shinmura,Hong Tao,Hisaki Igarashi,Masaya Suzuki,Kiyoko Nagura,Masanori Goto,Hidetaka Yamada,Matsuyoshi Maeda,Hiroyuki Konno,Satoki Nakamura,Haruhiko Sugimura
View all publications

Abcam Product Promise

我们致力于为您的研究提供高质量的试剂,为您科研的每一步提供支持。若我们的产品未能达到预期性能,我们向您提供 Abcam Product Promise 保障。
详情请参阅我们的条款与条件。

Please note: All products are 'FOR RESEARCH USE ONLY. NOT FOR USE IN DIAGNOSTIC OR THERAPEUTIC PROCEDURES'.

For licensing inquiries, please contact partnerships@abcam.com