JavaScript is disabled in your browser. Please enable JavaScript to view this website.
AB235841

重组Anti-CPT1A抗体[EPR21843-71-2F] - BSA and Azide free

Anti-CPT1A antibody [EPR21843-71-2F] - BSA and Azide free

4

(3 Reviews)

|

(6 Publications)

Anti-CPT1A antibody [EPR21843-71-2F] - BSA and Azide free (ab235841) is a rabbit recombinant monoclonal antibody provided in a PBS only buffer for easy conjugation detecting CPT1A in Western Blot, Flow Cytometry, IHC-P. Suitable for Human, Mouse, Rat.

- KO validated for confirmed specificity
- BSA, sodium azide, and glycerol-free for easy conjugation
- Biophysical QC for unrivalled batch-batch consistency

查看别名

CPT1, CPT1A, CPT1-L, Carnitine palmitoyltransferase 1A, Succinyltransferase CPT1A, CPT I, CPTI-L

11 Images
Flow Cytometry (Intracellular) - Anti-CPT1A antibody [EPR21843-71-2F] - BSA and Azide free (AB235841)
  • Flow Cyt (Intra)

Lab

Flow Cytometry (Intracellular) - Anti-CPT1A antibody [EPR21843-71-2F] - BSA and Azide free (AB235841)

This data was developed using ab234111, the same antibody clone in a different buffer formulation.

Flow cytometry overlay histogram showing left wild-type HAP1 positive cells and right negative CPT1A knockout HAP1 stained with ab234111 (red line). The cells were fixed with 80% methanol (5 min) and then permeabilised with 0.1% PBS-Triton X-100 for 15 min. The cells were then incubated in 1x PBS containing 10% normal goat serum to block non-specific protein-protein interaction followed by the antibody (ab234111) (1x 106 in 100μl at 1 μg/ml (1/481)) for 30min at 22°C.

The secondary antibody Goat Anti-Rabbit IgG H&L (Alexa Fluor® 488) preadsorbed was incubated at 1/4000 for 30min at 22°C.

Isotype control antibody was Recombinant Rabbit IgG, monoclonal [EPR25A] - Isotype Control (black line) used at the same concentration and conditions as the primary antibody. Unlabelled sample (blue line) was also used as a control.

Acquisition of >5000 events were collected using a 50 mW Blue laser (488nm) and 525/40 bandpass filter.

Immunohistochemistry (Formalin/PFA-fixed paraffin-embedded sections) - Anti-CPT1A antibody [EPR21843-71-2F] - BSA and Azide free (AB235841)
  • IHC-P

Supplier Data

Immunohistochemistry (Formalin/PFA-fixed paraffin-embedded sections) - Anti-CPT1A antibody [EPR21843-71-2F] - BSA and Azide free (AB235841)

Immunohistochemical analysis of paraffin-embedded human heart tissue labeling CPT1A with ab234111 at 1/1000 dilution, followed by Goat Anti-Rabbit IgG H&L (HRP) Ready to use. Cytoplasmic staining on human heart is observed. Counter stained with hematoxylin.

Secondary antibody only control : Used PBS instead of primary antibody, secondary antibody is Goat Anti-Rabbit IgG H&L (HRP) Ready to use.

This data was developed using the same antibody clone in a different buffer formulation containing PBS, BSA, glycerol, and sodium azide (ab234111).

Heat mediated antigen retrieval was performed with Tris/EDTA buffer pH 9.0 before commencing with IHC staining protocol.

Flow Cytometry (Intracellular) - Anti-CPT1A antibody [EPR21843-71-2F] - BSA and Azide free (AB235841)
  • Flow Cyt (Intra)

Unknown

Flow Cytometry (Intracellular) - Anti-CPT1A antibody [EPR21843-71-2F] - BSA and Azide free (AB235841)

Intracellular flow cytometric analysis of 4% paraformaldehyde-fixed, 90% methanol-permeabilized SK-OV-3 (human ovarian cancer cell line) cell line labeling CPT1A with ab234111 at 1/50 dilution (red) compared with a Rabbit IgG, monoclonal [EPR25A] - Isotype Control (ab172730) (black) and an unlabeled control (cells without incubation with primary antibody and secondary antibody) (blue). Goat Anti-Rabbit IgG H&L (Alexa Fluor® 488) (ab150077) at 1/2000 dilution was used as the secondary antibody.

This data was developed using the same antibody clone in a different buffer formulation containing PBS, BSA, glycerol, and sodium azide (ab234111).

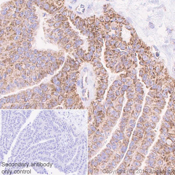
Immunohistochemistry (Formalin/PFA-fixed paraffin-embedded sections) - Anti-CPT1A antibody [EPR21843-71-2F] - BSA and Azide free (AB235841)
  • IHC-P

Supplier Data

Immunohistochemistry (Formalin/PFA-fixed paraffin-embedded sections) - Anti-CPT1A antibody [EPR21843-71-2F] - BSA and Azide free (AB235841)

Immunohistochemical analysis of paraffin-embedded human ovarian carcinoma tissue labeling CPT1A with ab234111 at 1/1000 dilution, followed by Goat Anti-Rabbit IgG H&L (HRP) Ready to use. Granular cytoplasmic staining in human ovarian carcinoma (PMID : 26716645) is observed. Counter stained with hematoxylin.

Secondary antibody only control : Used PBS instead of primary antibody, secondary antibody is Goat Anti-Rabbit IgG H&L (HRP) Ready to use.

This data was developed using the same antibody clone in a different buffer formulation containing PBS, BSA, glycerol, and sodium azide (ab234111).

Heat mediated antigen retrieval was performed with Tris/EDTA buffer pH 9.0 before commencing with IHC staining protocol.

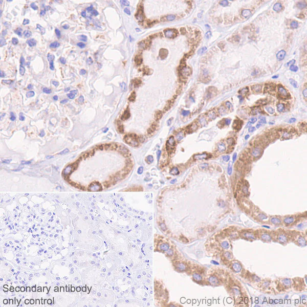
Immunohistochemistry (Formalin/PFA-fixed paraffin-embedded sections) - Anti-CPT1A antibody [EPR21843-71-2F] - BSA and Azide free (AB235841)
  • IHC-P

Supplier Data

Immunohistochemistry (Formalin/PFA-fixed paraffin-embedded sections) - Anti-CPT1A antibody [EPR21843-71-2F] - BSA and Azide free (AB235841)

Immunohistochemical analysis of paraffin-embedded human kidney tissue labeling CPT1A with ab234111 at 1/1000 dilution, followed by Goat Anti-Rabbit IgG H&L (HRP) Ready to use. Granular cytoplasmic staining in human kidney (PMID : 18192268; PMID : 28956034; PMID : 15363638; PMID : 8679700) is observed. Counter stained with hematoxylin.

Secondary antibody only control : Used PBS instead of primary antibody, secondary antibody is Goat Anti-Rabbit IgG H&L (HRP) Ready to use.

This data was developed using the same antibody clone in a different buffer formulation containing PBS, BSA, glycerol, and sodium azide (ab234111).

Heat mediated antigen retrieval was performed with Tris/EDTA buffer pH 9.0 before commencing with IHC staining protocol.

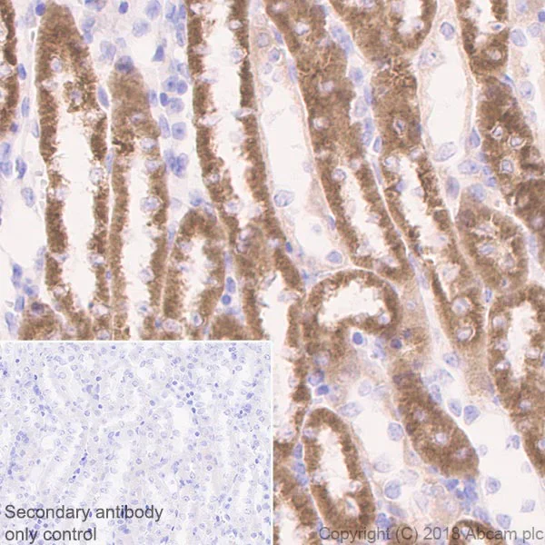
Immunohistochemistry (Formalin/PFA-fixed paraffin-embedded sections) - Anti-CPT1A antibody [EPR21843-71-2F] - BSA and Azide free (AB235841)
  • IHC-P

Supplier Data

Immunohistochemistry (Formalin/PFA-fixed paraffin-embedded sections) - Anti-CPT1A antibody [EPR21843-71-2F] - BSA and Azide free (AB235841)

Immunohistochemical analysis of paraffin-embedded mouse kidney tissue labeling CPT1A with ab234111 at 1/1000 dilution, followed by Goat Anti-Rabbit IgG H&L (HRP) Ready to use. Cytoplasmic staining in mouse kidney (PMID : 18192268; PMID : 28956034; PMID : 15363638; PMID : 8679700) is observed. Counter stained with hematoxylin.

Secondary antibody only control : Used PBS instead of primary antibody, secondary antibody is Goat Anti-Rabbit IgG H&L (HRP) Ready to use.

This data was developed using the same antibody clone in a different buffer formulation containing PBS, BSA, glycerol, and sodium azide (ab234111).

Heat mediated antigen retrieval was performed with Tris/EDTA buffer pH 9.0 before commencing with IHC staining protocol.

Immunohistochemistry (Formalin/PFA-fixed paraffin-embedded sections) - Anti-CPT1A antibody [EPR21843-71-2F] - BSA and Azide free (AB235841)
  • IHC-P

Supplier Data

Immunohistochemistry (Formalin/PFA-fixed paraffin-embedded sections) - Anti-CPT1A antibody [EPR21843-71-2F] - BSA and Azide free (AB235841)

Immunohistochemical analysis of paraffin-embedded rat kidney tissue labeling CPT1A with ab234111 at 1/1000 dilution, followed by Goat Anti-Rabbit IgG H&L (HRP) Ready to use. Granular cytoplasmic staining in rat kidney (PMID : 18192268; PMID : 28956034; PMID : 15363638; PMID : 8679700) is observed. Counter stained with hematoxylin.

Secondary antibody only control : Used PBS instead of primary antibody, secondary antibody is Goat Anti-Rabbit IgG H&L (HRP) Ready to use.

This data was developed using the same antibody clone in a different buffer formulation containing PBS, BSA, glycerol, and sodium azide (ab234111).

Heat mediated antigen retrieval was performed with Tris/EDTA buffer pH 9.0 before commencing with IHC staining protocol.

Western blot - Anti-CPT1A antibody [EPR21843-71-2F] - BSA and Azide free (AB235841)
  • WB

Lab

Western blot - Anti-CPT1A antibody [EPR21843-71-2F] - BSA and Azide free (AB235841)

This data was developed using the same antibody clone in a different buffer formulation (ab234111).

Lanes 1- 2 : Merged signal (red and green). Green - ab234111 observed at 88 kDa. Red - Anti-GAPDH antibody [6C5] - Loading Control (ab8245) observed at 37 kDa.

ab234111 was shown to react with CPT1A in wild-type HEK-293T cells in western blot. Loss of signal was observed when knockout cell line ab266319 (knockout cell lysate ab256880) was used. Wild-type HEK-293T and CPT1A knockout HEK-293T cell lysates were subjected to SDS-PAGE. Membrane was blocked for 1 hour at room temperature in 0.1% TBST with 3% non-fat dried milk. ab234111 and Anti-GAPDH antibody [6C5] - Loading Control (ab8245) overnight at 4°C at a 1 in 1000 dilution and a 1 in 20000 dilution respectively. Blots were developed with Goat anti-Rabbit IgG H&L (IRDye®800CW) preadsorbed (ab216773) and Goat anti-Mouse IgG H&L (IRDye®680RD) preadsorbed (ab216776) secondary antibodies at 1 in 20000 dilution for 1 hour at room temperature before imaging.

All lanes:

Western blot - Anti-CPT1A antibody [EPR21843-71-2F] (<a href='/products/primary-antibodies/cpt1a-antibody-epr21843-71-2f-ab234111'>ab234111</a>) at 1/1000 dilution

Lane 1:

Wild-type HEK-293T cell lysate at 20 µg

Lane 2:

CPT1A knockout HEK-293T cell lysate at 20 µg

Lane 2:

Western blot - Human CPT1A knockout HEK-293T cell line (<a href='/products/cell-lines/human-cpt1a-knockout-hek-293t-cell-line-ab266319'>ab266319</a>)

Predicted band size: 88 kDa

Observed band size: 88 kDa

false

Western blot - Anti-CPT1A antibody [EPR21843-71-2F] - BSA and Azide free (AB235841)
  • WB

Supplier Data

Western blot - Anti-CPT1A antibody [EPR21843-71-2F] - BSA and Azide free (AB235841)

This data was developed using the same antibody clone in a different buffer formulation (ab234111). Blocking and diluting buffer : 5% NFDM/TBST

Lanes 1 - 3:

Western blot - Anti-CPT1A antibody [EPR21843-71-2F] - BSA and Azide free (ab235841) at 1/1000 dilution

Lanes 1 - 3:

Western blot - Anti-CPT1A antibody [EPR21843-71-2F] (<a href='/products/primary-antibodies/cpt1a-antibody-epr21843-71-2f-ab234111'>ab234111</a>) at 1/1000 dilution

Lane 1:

MCF7 (Human breast adenocarcinoma epithelial cell) cell lysate at 20 µg

Lane 2:

HeLa (Human cervix adenocarcinoma epithelial cell) cell lysate at 20 µg

Lane 3:

HepG2 (Human hepatocellular carcinoma epithelial cell) cell lysate at 20 µg

Secondary

All lanes:

Western blot - Goat Anti-Rabbit IgG H&L (HRP) (<a href='/products/secondary-antibodies/goat-rabbit-igg-h-l-hrp-ab97051'>ab97051</a>) at 1/20000 dilution

Observed band size: 88 kDa

false

Exposure time: 180s

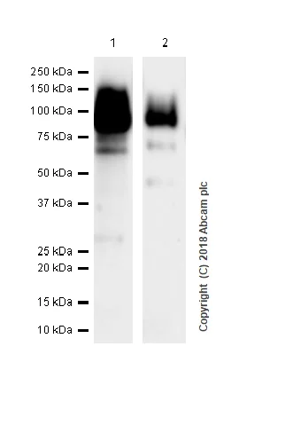
Western blot - Anti-CPT1A antibody [EPR21843-71-2F] - BSA and Azide free (AB235841)
  • WB

Supplier Data

Western blot - Anti-CPT1A antibody [EPR21843-71-2F] - BSA and Azide free (AB235841)

This data was developed using the same antibody clone in a different buffer formulation (ab234111). Blocking and diluting buffer : 5% NFDM /TBST

Lanes 1 - 2:

Western blot - Anti-CPT1A antibody [EPR21843-71-2F] (<a href='/products/primary-antibodies/cpt1a-antibody-epr21843-71-2f-ab234111'>ab234111</a>) at 1/1000 dilution

Lanes 1 - 2:

Western blot - Anti-CPT1A antibody [EPR21843-71-2F] - BSA and Azide free (ab235841) at 1/1000 dilution

Lane 1:

Human kidney tissue lysate at 20 µg

Lane 2:

Human liver tissue lysate at 1/20 dilution

Secondary

All lanes:

Western blot - VeriBlot for IP Detection Reagent (HRP) (<a href='/products/reagents/veriblot-for-ip-detection-reagent-hrp-ab131366'>ab131366</a>) at 1/1000 dilution

Observed band size: 88 kDa

false

Exposure time: 92s

Western blot - Anti-CPT1A antibody [EPR21843-71-2F] - BSA and Azide free (AB235841)
  • WB

Lab

Western blot - Anti-CPT1A antibody [EPR21843-71-2F] - BSA and Azide free (AB235841)

This data was developed using the same antibody clone in a different buffer formulation (ab234111).

Blocking/Dilution buffer : 5% NFDM/TBST.

ab234111 was shown to specifically react with CPT1A in wild-type HAP1 cells as signal was lost in CPT1A knockout cells. Wild-type and CPT1A knockout samples were subjected to SDS-PAGE. ab234111 and ab181602 (Rabbit anti-GAPDH loading control) were incubated 1 hour at room temperature at 1/1000 dilution and 1/200,000 dilution respectively. Blots were developed with Goat Anti-Rabbit IgG, (H+L), Peroxidase conjugated (ab97051) secondary antibody at 1/100,000 dilution for 1 hour at room temperature before imaging. The blot was developed on a BIO-RAD® ChemiDoc™ MP instrument using the ECL technique.

All lanes:

Western blot - Anti-CPT1A antibody [EPR21843-71-2F] - BSA and Azide free (ab235841) at 1/1000 dilution

Secondary

All lanes:

Western blot - Goat Anti-Rabbit IgG H&L (HRP) (<a href='/products/secondary-antibodies/goat-rabbit-igg-h-l-hrp-ab97051'>ab97051</a>) at 1/100000 dilution

Predicted band size: 88 kDa

false

不同偶联物与剂型 (1)

关键信息

宿主种属

Rabbit

克隆

Monoclonal

克隆号

EPR21843-71-2F

亚型

IgG

不含载体蛋白

Yes

反应种属

Mouse, Rat, Human

应用

Flow Cyt (Intra), IHC-P, WB

applications

免疫原

The exact immunogen used to generate this antibody is proprietary information.

特异性

We detected weak cross-reactivity with CPT1B with the recombinant protein only. Our WB images were generated by testing unboiled samples only.

反应性数据

{ "title": "Reactivity Data", "filters": { "stats": ["", "Species", "Dilution Info", "Notes"], "tabs": { "all-applications": {"fullname" : "All Applications", "shortname": "All Applications"}, "WB" : {"fullname" : "Western blot", "shortname":"WB"}, "FlowCytIntra" : {"fullname" : "Flow Cytometry (Intracellular)", "shortname":"Flow Cyt (Intra)"}, "IHCP" : {"fullname" : "Immunohistochemistry (Formalin/PFA-fixed paraffin-embedded sections)", "shortname":"IHC-P"} }, "product-promise": { "all": "all", "testedAndGuaranteed": "tested", "guaranteed": "expected", "predicted": "predicted", "notRecommended": "not-recommended" } }, "values": { "Human": { "WB-species-checked": "testedAndGuaranteed", "WB-species-dilution-info": "", "WB-species-notes": "<p></p>", "FlowCytIntra-species-checked": "testedAndGuaranteed", "FlowCytIntra-species-dilution-info": "", "FlowCytIntra-species-notes": "<p></p>", "IHCP-species-checked": "testedAndGuaranteed", "IHCP-species-dilution-info": "", "IHCP-species-notes": "<p></p>" }, "Mouse": { "WB-species-checked": "testedAndGuaranteed", "WB-species-dilution-info": "", "WB-species-notes": "<p></p>", "FlowCytIntra-species-checked": "guaranteed", "FlowCytIntra-species-dilution-info": "", "FlowCytIntra-species-notes": "", "IHCP-species-checked": "testedAndGuaranteed", "IHCP-species-dilution-info": "", "IHCP-species-notes": "<p></p>" }, "Rat": { "WB-species-checked": "testedAndGuaranteed", "WB-species-dilution-info": "", "WB-species-notes": "<p></p>", "FlowCytIntra-species-checked": "guaranteed", "FlowCytIntra-species-dilution-info": "", "FlowCytIntra-species-notes": "", "IHCP-species-checked": "testedAndGuaranteed", "IHCP-species-dilution-info": "", "IHCP-species-notes": "<p></p>" } } }

产品详情

What is this antibody validated in?
Anti-CPT1A antibody [EPR21843-71-2F] - BSA and Azide free (ab235841) is a rabbit recombinant monoclonal antibody and is validated for use in Western Blot (WB), Flow Cytometry (Intra), Flow Cytometry (Flow Cyt), Immunohistochemistry (IHC-P) in Human, Mouse, Rat samples.

What is the molecular weight of CPT1A?
Anti-CPT1A [EPR21843-71-2F] - BSA and Azide free (ab235841) specifically detects a band for CPT1A (UniProt: P50416) at a molecular weight of 88kDa.

Specificity confirmed
The specificity of Anti-CPT1A antibody [EPR21843-71-2F] - BSA and Azide free (ab235841) has been confirmed by Western blot testing in CPT1A Knockout HAP1 cells.

Other related products
We have a range of other formats of antibody clone [EPR21843-71-2F] also available for your convenience: ab234111, Carrier free - ab235841

Patented technology
Our RabMAb® technology is a patented hybridoma-based technology for making rabbit monoclonal antibodies. For details on our patents, please refer to RabMAb® patents.

What are the advantages of a recombinant monoclonal antibody?
This product is a recombinant monoclonal antibody, which offers several advantages including:

  • - High batch-to-batch consistency and reproducibility
  • - Improved sensitivity and specificity
  • - Long-term security of supply
  • - Animal-free batch production

For more information, read more on recombinant antibodies.

Conjugation ready
Our carrier-free antibodies are typically supplied in a PBS-only formulation, purified and free of BSA, sodium azide and glycerol. This conjugation-ready format is designed for use with fluorochromes, metal isotopes, oligonucleotides, and enzymes, which makes them ideal for antibody labelling, functional and cell-based assays, flow-based assays (e.g. mass cytometry) and Multiplex Imaging applications.

Use our conjugation kits for antibody conjugates that are ready-to-use in as little as 20 minutes with 1 minute hands-on-time and 100% antibody recovery: available for fluorescent dyes, HRP, biotin and gold.

Compatibility
This product is compatible with the Maxpar® Antibody Labeling Kit from Fluidigm, without the need for antibody preparation. Maxpar® is a trademark of Fluidigm Canada Inc.

性能和储存信息

形式
Liquid
纯化工艺
Affinity purification Protein A
存储溶液
pH: 7.2 - 7.4 Constituents: PBS
运输条件
Blue Ice
推荐的短期储存条件
+4°C
推荐的长期储存条件
+4°C
储存信息
Do Not Freeze

补充信息

This supplementary information is collated from multiple sources and compiled automatically.

CPT1A also known as carnitine palmitoyltransferase 1A is a vital enzyme involved in the transport of long-chain fatty acids across the mitochondrial membrane. This protein facilitates the conversion of fatty acids into acyl-carnitine a process necessary for beta-oxidation within the mitochondria. The molecular weight of CPT1A is approximately 88 kDa. CPT1A predominantly expresses in liver cells where energy metabolism from fatty acids is important. Alternate names for this target include CPT 1 and CTP1A reflecting its central role in metabolic processes related to lipid utilization.
Biological function summary

CPT1A plays a vital role in energy production by facilitating mitochondrial fatty acid oxidation. It does not function as a solitary enzyme but often associates with other enzymes forming a multiprotein complex that includes acyl-CoA synthetase. This complex enables efficient fatty acid transport and oxidation converting stored fats into usable energy. As CPT1A primarily operates in the liver its activity significantly impacts overall lipid and energy homeostasis demonstrating its critical regulatory role.

Pathways

CPT1A is central to the fatty acid beta-oxidation pathway an important process for breaking down fatty acids to produce energy. This pathway also involves proteins such as CPT1B a related isoform present in muscle tissues. CPT1A's function is important in the liver's capacity to regulate energy balance and respond to metabolic demands. Additionally CPT1A interacts within the signaling pathway of AMPK (AMP-activated protein kinase) which further integrates it into broader metabolic regulation networks linking energy status to cellular function.

CPT1A is notably associated with metabolic syndromes and fatty liver disease. Mutations or deficiencies in CPT1A can lead to disorders like hepatic carnitine palmitoyltransferase 1A deficiency characterized by hypoketotic hypoglycemia and hepatomegaly. Furthermore its dysregulation can impact proteins such as ACC1 (acetyl-CoA carboxylase) in the context of metabolic syndrome. Research continues to explore the implications of CPT1A in non-alcoholic steatohepatitis highlighting its relevance in liver energy metabolism disorders and their pathophysiology.

产品实验方案

For this product, it's our understanding that no specific protocols are required. You can visit:

靶点信息

Catalyzes the transfer of the acyl group of long-chain fatty acid-CoA conjugates onto carnitine, an essential step for the mitochondrial uptake of long-chain fatty acids and their subsequent beta-oxidation in the mitochondrion (PubMed : 11350182, PubMed : 14517221, PubMed : 16651524, PubMed : 9691089). Possesses also a lysine succinyltransferase activity that can regulate enzymatic activity of substrate proteins such as ENO1 and metabolism independent of its classical carnitine O-palmitoyltransferase activity (PubMed : 29425493). Plays an important role in hepatic triglyceride metabolism (By similarity). Plays also a role in inducible regulatory T-cell (iTreg) differentiation once activated by butyryl-CoA that antagonizes malonyl-CoA-mediated CPT1A repression (By similarity). Sustains the IFN-I response by recruiting ZDHCC4 to palmitoylate MAVS at the mitochondria leading to MAVS stabilization and activation (PubMed : 38016475). Promotes ROS-induced oxidative stress in liver injury via modulation of NFE2L2 and NLRP3-mediated signaling pathways (By similarity).
See full target information CPT1A

文献 (6)

Recent publications for all applications. Explore the full list and refine your search

Nature 644:790-798 PubMed40533564

2025

Kupffer cell programming by maternal obesity triggers fatty liver disease.

Applications

Unspecified application

Species

Unspecified reactive species

Hao Huang,Nora R Balzer,Lea Seep,Iva Splichalova,Nelli Blank-Stein,Maria Francesca Viola,Eliana Franco Taveras,Kerim Acil,Diana Fink,Franzisca Petrovic,Nikola Makdissi,Seyhmus Bayar,Katharina Mauel,Carolin Radwaniak,Jelena Zurkovic,Amir H Kayvanjoo,Klaus Wunderling,Malin Jessen,Mohamed H Yaghmour,Lukas Kenner,Thomas Ulas,Stephan Grein,Joachim L Schultze,Charlotte L Scott,Martin Guilliams,Zhaoyuan Liu,Florent Ginhoux,Marc D Beyer,Christoph Thiele,Felix Meissner,Jan Hasenauer,Dagmar Wachten,Elvira Mass

European journal of immunology 55:e202451586 PubMed40170376

2025

IgA2 ACPA Drives a Hyper-Inflammatory Phenotype in Macrophages via ATP Synthase and COX2.

Applications

Unspecified application

Species

Unspecified reactive species

Luís Almeida,Alice Bacon,Mohan Ghorasaini,Alwin J van der Ham,René E M Toes,Martin Giera,Bart Everts

The Journal of clinical investigation 134: PubMed38954588

2024

Inhibiting the NADase CD38 improves cytomegalovirus-specific CD8+ T cell functionality and metabolism.

Applications

Unspecified application

Species

Unspecified reactive species

Nils Mülling,Felix M Behr,Graham A Heieis,Kristina Boss,Suzanne van Duikeren,Floortje J van Haften,Iris N Pardieck,Esmé Ti van der Gracht,Ward Vleeshouwers,Tetje C van der Sluis,J Fréderique de Graaf,Dominique Mb Veerkamp,Kees Lmc Franken,Xin Lei,Lukas van de Sand,Sjoerd H van der Burg,Marij Jp Welters,Sebastiaan Heidt,Wesley Huisman,Simon P Jochems,Martin Giera,Oliver Witzke,Aiko Pj de Vries,Andreas Kribben,Bart Everts,Benjamin Wilde,Ramon Arens

Nature communications 14:5627 PubMed37699869

2023

Metabolic heterogeneity of tissue-resident macrophages in homeostasis and during helminth infection.

Applications

Flow Cyt (Intra)

Species

Mouse

Graham A Heieis,Thiago A Patente,Luís Almeida,Frank Vrieling,Tamar Tak,Georgia Perona-Wright,Rick M Maizels,Rinke Stienstra,Bart Everts

Molecular carcinogenesis 62:1935-1946 PubMed37642311

2023

Downregulation of cellular retinoic acid binding protein 1 fosters epithelial-mesenchymal transition in thyroid cancer.

Applications

Unspecified application

Species

Unspecified reactive species

Yi-Chiung Hsu,Wen-Chien Huang,Chi-Yu Kuo,Ying-Syuan Li,Shih-Ping Cheng

Cell reports 40:111032 PubMed35793635

2022

mTORC1 signaling in antigen-presenting cells of the skin restrains CD8 T cell priming.

Applications

Unspecified application

Species

Unspecified reactive species

Leonard R Pelgrom,Thiago A Patente,Frank Otto,Lonneke V Nouwen,Arifa Ozir-Fazalalikhan,Alwin J van der Ham,Hendrik J P van der Zande,Graham A Heieis,Ramon Arens,Bart Everts
View all publications

Abcam Product Promise

我们致力于为您的研究提供高质量的试剂,为您科研的每一步提供支持。若我们的产品未能达到预期性能,我们向您提供 Abcam Product Promise 保障。
详情请参阅我们的条款与条件。

Please note: All products are 'FOR RESEARCH USE ONLY. NOT FOR USE IN DIAGNOSTIC OR THERAPEUTIC PROCEDURES'.

For licensing inquiries, please contact partnerships@abcam.com