JavaScript is disabled in your browser. Please enable JavaScript to view this website.
AB109025

Anti-COX1 / Cyclooxygenase 1 抗体 [EPR5866]

Anti-COX1 / Cyclooxygenase 1 antibody [EPR5866]

  • 20ul selling size
  • RabMAb
  • Recombinant
  • KO Validated
  • 了解详情

4

(3 Reviews)

|

(53 Publications)

Anti-COX1 / Cyclooxygenase 1 antibody [EPR5866] (ab109025) is a rabbit monoclonal antibody detecting COX1 / Cyclooxygenase 1 in Western Blot, Flow Cytometry (Intra), IP, IHC-P, ICC/IF. Suitable for Human, Mouse, Rat.

- KO validated for confirmed specificity
- Biophysical QC for unrivalled batch-batch consistency
- Over 40 publications

查看别名

COX1, PTGS1, Prostaglandin G/H synthase 1, Cyclooxygenase-1, Prostaglandin H2 synthase 1, Prostaglandin-endoperoxide synthase 1, COX-1, PGH synthase 1, PGHS-1, PHS 1

14 Images
Immunocytochemistry/ Immunofluorescence - Anti-COX1 / Cyclooxygenase 1 antibody [EPR5866] (AB109025)
  • ICC/IF

Unknown

Immunocytochemistry/ Immunofluorescence - Anti-COX1 / Cyclooxygenase 1 antibody [EPR5866] (AB109025)

Unpurified ab109025 at 1/100 dilution staining COX1 / Cyclooxygenase 1 in HeLa cells by Immunofluorescence.

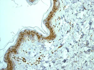
Immunohistochemistry (Formalin/PFA-fixed paraffin-embedded sections) - Anti-COX1 / Cyclooxygenase 1 antibody [EPR5866] (AB109025)
  • IHC-P

Unknown

Immunohistochemistry (Formalin/PFA-fixed paraffin-embedded sections) - Anti-COX1 / Cyclooxygenase 1 antibody [EPR5866] (AB109025)

Unpurified ab109025 at 1/250 dilution staining COX1 / Cyclooxygenase 1 in human skin by immunohistochemistry, paraffin-embedded tissue.

Immunohistochemistry (Formalin/PFA-fixed paraffin-embedded sections) - Anti-COX1 / Cyclooxygenase 1 antibody [EPR5866] (AB109025)
  • IHC-P

Unknown

Immunohistochemistry (Formalin/PFA-fixed paraffin-embedded sections) - Anti-COX1 / Cyclooxygenase 1 antibody [EPR5866] (AB109025)

Immunohistochemistry (Formalin/PFA-fixed paraffin-embedded sections) analysis of human cerebrum tissue sections labeling COX1 / Cyclooxygenase 1 with Purified ab109025 at 1 : 150 dilution. Heat mediated antigen retrieval was performed using ab93684 (Tris/EDTA buffer, pH 9.0). Tissue was counterstained with Hematoxylin. ImmunoHistoProbe one step HRP Polymer (ready to use) secondary antibody was used at 1 : 0 dilution.

PBS instead of the primary antibody was used as the negative control.

Flow Cytometry (Intracellular) - Anti-COX1 / Cyclooxygenase 1 antibody [EPR5866] (AB109025)
  • Flow Cyt (Intra)

Unknown

Flow Cytometry (Intracellular) - Anti-COX1 / Cyclooxygenase 1 antibody [EPR5866] (AB109025)

Intracellular Flow Cytometry analysis of NIH/3T3 (Mouse embryonic fibroblast) cells labeling COX1 / Cyclooxygenase 1 with purified ab109025 at 1/100 dilution (red). Cells were fixed with 4% Paraformaldehyde. A Goat anti rabbit IgG (Alexa Fluorr® 488) secondary antibody was used at 1/2000 dilution. Isotype control - Rabbit monoclonal IgG (Black). Unlabeled control - Cell without incubation with primary antibody and secondary antibody (Blue).

Immunocytochemistry/ Immunofluorescence - Anti-COX1 / Cyclooxygenase 1 antibody [EPR5866] (AB109025)
  • ICC/IF

Unknown

Immunocytochemistry/ Immunofluorescence - Anti-COX1 / Cyclooxygenase 1 antibody [EPR5866] (AB109025)

Immunocytochemistry/Immunofluorescence analysis of Neuro-2a (mouse neuroblastoma) labelling COX1 with purified ab109025 at 1/50. Cells were fixed with 100% methanol. An Alexa Fluor® 488-conjugated goat anti-rabbit IgG (1/1000) was used as the secondary antibody (ab150077). Nuclei counterstained with DAPI (blue).

Control : PBS only.

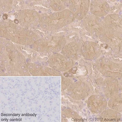
Immunohistochemistry (Formalin/PFA-fixed paraffin-embedded sections) - Anti-COX1 / Cyclooxygenase 1 antibody [EPR5866] (AB109025)
  • IHC-P

Unknown

Immunohistochemistry (Formalin/PFA-fixed paraffin-embedded sections) - Anti-COX1 / Cyclooxygenase 1 antibody [EPR5866] (AB109025)

Immunohistochemistry (Formalin/PFA-fixed paraffin-embedded sections) analysis of rat kidney tissue sections labeling COX1 / Cyclooxygenase 1 with Purified ab109025 at 1 : 150 dilution. Heat mediated antigen retrieval was performed using ab93684 (Tris/EDTA buffer, pH 9.0). Tissue was counterstained with Hematoxylin. ImmunoHistoProbe one step HRP Polymer (ready to use) secondary antibody was used at 1 : 0 dilution.

PBS instead of the primary antibody was used as the negative control.

Flow Cytometry (Intracellular) - Anti-COX1 / Cyclooxygenase 1 antibody [EPR5866] (AB109025)
  • Flow Cyt (Intra)

Unknown

Flow Cytometry (Intracellular) - Anti-COX1 / Cyclooxygenase 1 antibody [EPR5866] (AB109025)

Overlay histogram showing NIH/3T3 cells stained with unpurified ab109025 (red line). The cells were fixed with 80% methanol (5 min) and then permeabilized with 0.1% PBS-Tween for 20 min. The cells were then incubated in 1x PBS / 10% normal goat serum / 0.3M glycine to block non-specific protein-protein interactions followed by the antibody (ab109025 1/100 dilution) for 30 min at 22°C. The secondary antibody used was DyLight® 488 goat anti-rabbit IgG (H+L) (ab96899) at 1/500 dilution for 30 min at 22°C. Isotype control antibody (black line) was rabbit IgG (monoclonal) (1μg/1x106 cells) used under the same conditions. Acquisition of >5000 events was performed.

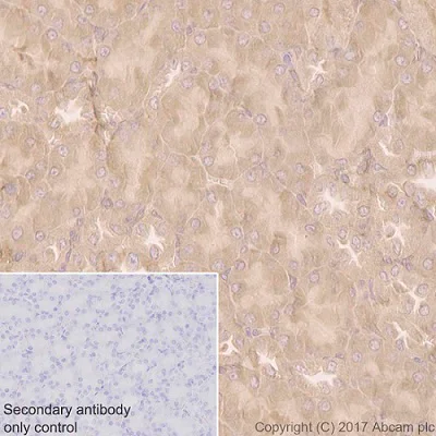
Immunohistochemistry (Formalin/PFA-fixed paraffin-embedded sections) - Anti-COX1 / Cyclooxygenase 1 antibody [EPR5866] (AB109025)
  • IHC-P

Unknown

Immunohistochemistry (Formalin/PFA-fixed paraffin-embedded sections) - Anti-COX1 / Cyclooxygenase 1 antibody [EPR5866] (AB109025)

Immunohistochemistry (Formalin/PFA-fixed paraffin-embedded sections) analysis of mouse kidney tissue sections labeling COX1 / Cyclooxygenase 1 with Purified ab109025 at 1 : 150 dilution. Heat mediated antigen retrieval was performed using ab93684 (Tris/EDTA buffer, pH 9.0). Tissue was counterstained with Hematoxylin. ImmunoHistoProbe one step HRP Polymer (ready to use) secondary antibody was used at 1 : 0 dilution.

PBS instead of the primary antibody was used as the negative control.

Immunoprecipitation - Anti-COX1 / Cyclooxygenase 1 antibody [EPR5866] (AB109025)
  • IP

Lab

Immunoprecipitation - Anti-COX1 / Cyclooxygenase 1 antibody [EPR5866] (AB109025)

ab109025 (purified) at 1 : 20 dilution (0.8μg) immunoprecipitating COX1 / Cyclooxygenase 1 in C2C12 whole cell lysate.

Lane 1 (input) : C2C12 (Mouse myoblasts myoblast) whole cell lysate,10μg
Lane 2 (+) : ab109025 & C2C12 whole cell lysate
Lane 3 (-) : Rabbit monoclonal IgG (ab172730) instead of ab109025 in C2C12 whole cell lysate

For western blotting, VeriBlot for IP Detection Reagent (HRP) (ab131366) was used for detection at 1 : 1000 dilution.

Blocking and diluting buffer : 5% NFDM/TBST.

All lanes:

Immunoprecipitation - Anti-COX1 / Cyclooxygenase 1 antibody [EPR5866] (ab109025)

Predicted band size: 68 kDa

false

Western blot - Anti-COX1 / Cyclooxygenase 1 antibody [EPR5866] (AB109025)
  • WB

Lab

Western blot - Anti-COX1 / Cyclooxygenase 1 antibody [EPR5866] (AB109025)

False colour image of Western blot : Anti-COX1 / Cyclooxygenase 1 antibody [EPR5866] staining at 1/1000 dilution, shown in green; Mouse anti-GAPDH antibody [6C5] (ab8245) loading control staining at 1/20000 dilution, shown in red. In Western blot, ab109025 was shown to bind specifically to COX1 / Cyclooxygenase 1. A band was observed at 70 kDa in wild-type A431 cell lysates with no signal observed at this size in PTGS1 knockout cell line ab270477 (knockout cell lysate ab270500). To generate this image, wild-type and PTGS1 knockout A431 cell lysates were analysed. First, samples were run on an SDS-PAGE gel then transferred onto a nitrocellulose membrane. Membranes were blocked in 3 % milk in TBS-0.1 % Tween® 20 (TBS-T) before incubation with primary antibodies overnight at 4 °C. Blots were washed four times in TBS-T, incubated with secondary antibodies for 1 h at room temperature, washed again four times then imaged. Secondary antibodies used were Goat anti-Rabbit IgG H&L 800CW and Goat anti-Mouse IgG H&L 680RD at 1/20000 dilution.

Lanes 1 - 4:

Western blot - Anti-COX1 / Cyclooxygenase 1 antibody [EPR5866] - BSA and Azide free (<a href='/products/primary-antibodies/cox1-cyclooxygenase-1-antibody-epr5866-bsa-and-azide-free-ab219375'>ab219375</a>) at 1/1000 dilution

Lanes 1 - 4:

Western blot - Anti-COX1 / Cyclooxygenase 1 antibody [EPR5866] (ab109025) at 1/1000 dilution

Lane 1:

Wild-type A431 cell lysate at 20 µg

Lane 2:

Western blot - Human PTGS1 knockout A-431 cell lysate (ab270500)

Lane 2:

PTGS1 knockout A431 cell lysate at 20 µg

Lane 2:

Western blot - Human PTGS1 knockout A-431 cell line (<a href='/products/cell-lines/human-ptgs1-knockout-a-431-cell-line-ab270477'>ab270477</a>)

Lane 3:

C2C12 cell lysate at 20 µg

Lane 4:

MOLT-4 cell lysate at 20 µg

Secondary

All lanes:

Goat anti-Rabbit IgG H&L 800CW and Goat anti-Mouse IgG H&L 680RD at 1/20000 dilution

Observed band size: 70 kDa

false

Western blot - Anti-COX1 / Cyclooxygenase 1 antibody [EPR5866] (AB109025)
  • WB

Lab

Western blot - Anti-COX1 / Cyclooxygenase 1 antibody [EPR5866] (AB109025)

Blocking and diluting buffer : 5% NFDM/TBST.

All lanes:

Western blot - Anti-COX1 / Cyclooxygenase 1 antibody [EPR5866] (ab109025) at 1/2000 dilution

Lane 1:

HaCaT (Human skin keratinocyte) whole cell lysates at 20 µg

Lane 2:

NIH/3T3 (Mouse embryonic fibroblast) whole cell lysates at 20 µg

Secondary

All lanes:

Western blot - Goat Anti-Rabbit IgG H&L (HRP) (<a href='/products/secondary-antibodies/goat-rabbit-igg-h-l-hrp-ab97051'>ab97051</a>) at 1/20000 dilution

Predicted band size: 68 kDa

false

Western blot - Anti-COX1 / Cyclooxygenase 1 antibody [EPR5866] (AB109025)
  • WB

Lab

Western blot - Anti-COX1 / Cyclooxygenase 1 antibody [EPR5866] (AB109025)

Blocking and diluting buffer : 5% NFDM/TBST.

All lanes:

Western blot - Anti-COX1 / Cyclooxygenase 1 antibody [EPR5866] (ab109025) at 1/10000 dilution

Lane 1:

A431 (Human epidermoid carcinoma epithelial cell) whole cell lysates at 20 µg

Lane 2:

L6 (Rat skeletal muscle myoblast) whole cell lysates at 20 µg

Secondary

All lanes:

Western blot - Goat Anti-Rabbit IgG H&L (HRP) (<a href='/products/secondary-antibodies/goat-rabbit-igg-h-l-hrp-ab97051'>ab97051</a>) at 1/20000 dilution

Predicted band size: 68 kDa

false

Western blot - Anti-COX1 / Cyclooxygenase 1 antibody [EPR5866] (AB109025)
  • WB

Unknown

Western blot - Anti-COX1 / Cyclooxygenase 1 antibody [EPR5866] (AB109025)

All lanes:

Western blot - Anti-COX1 / Cyclooxygenase 1 antibody [EPR5866] (ab109025) at 1/1000 dilution

Lane 1:

NIH/3T3 cell lysate at 10 µg

Lane 2:

HaCaT cell lysate at 10 µg

Lane 3:

Neuro 2a cell lysate at 10 µg

Lane 4:

C2C12 cell lysate at 10 µg

Lane 5:

A431 cell lysate at 10 µg

Lane 6:

L6 cell lysate at 10 µg

Predicted band size: 68 kDa

false

OI-RD Scanning - Anti-COX1 / Cyclooxygenase 1 antibody [EPR5866] (AB109025)
  • OI-RD Scanning

Unknown

OI-RD Scanning - Anti-COX1 / Cyclooxygenase 1 antibody [EPR5866] (AB109025)

We have systematically measured KD (the equilibrium dissociation constant between the antibody and its antigen), of more than 840 recombinant antibodies to assess not only their individual KD values but also to see the average affinity of antibody. Based on the comparison with published literature values for mouse monoclonal antibodies, Recombinant antibodies appear to be on average 1-2 order of magnitude higher affinity.

不同偶联物与剂型 (5)

  • Carrier free

    Anti-COX1 / Cyclooxygenase 1 antibody [EPR5866] - BSA and Azide free

  • 519 Alexa Fluor® 488

    Alexa Fluor® 488 Anti-COX1 / Cyclooxygenase 1 antibody [EPR5866]

  • 665 Alexa Fluor® 647

    Alexa Fluor® 647 Anti-COX1 / Cyclooxygenase 1 antibody [EPR5866]

  • HRP

    HRP Anti-COX1 / Cyclooxygenase 1 antibody [EPR5866]

  • 578 PE

    PE Anti-COX1 / Cyclooxygenase 1 antibody [EPR5866]

关键信息

宿主种属

Rabbit

克隆

Monoclonal

克隆号

EPR5866

亚型

IgG

不含载体蛋白

No

反应种属

Mouse, Rat, Human

应用

Flow Cyt (Intra), IHC-P, IP, ICC/IF, WB

applications

免疫原

The exact immunogen used to generate this antibody is proprietary information.

反应性数据

{ "title": "Reactivity Data", "filters": { "stats": ["", "Species", "Dilution Info", "Notes"], "tabs": { "all-applications": {"fullname" : "All Applications", "shortname": "All Applications"}, "IP" : {"fullname" : "Immunoprecipitation", "shortname":"IP"}, "WB" : {"fullname" : "Western blot", "shortname":"WB"}, "ICCIF" : {"fullname" : "Immunocytochemistry/ Immunofluorescence", "shortname":"ICC/IF"}, "FlowCytIntra" : {"fullname" : "Flow Cytometry (Intracellular)", "shortname":"Flow Cyt (Intra)"}, "IHCP" : {"fullname" : "Immunohistochemistry (Formalin/PFA-fixed paraffin-embedded sections)", "shortname":"IHC-P"} }, "product-promise": { "all": "all", "testedAndGuaranteed": "tested", "guaranteed": "expected", "predicted": "predicted", "notRecommended": "not-recommended" } }, "values": { "Human": { "IP-species-checked": "guaranteed", "IP-species-dilution-info": "", "IP-species-notes": "", "WB-species-checked": "testedAndGuaranteed", "WB-species-dilution-info": "1/1000 - 1/10000", "WB-species-notes": "<p></p>", "ICCIF-species-checked": "testedAndGuaranteed", "ICCIF-species-dilution-info": "", "ICCIF-species-notes": "<p></p>", "FlowCytIntra-species-checked": "guaranteed", "FlowCytIntra-species-dilution-info": "", "FlowCytIntra-species-notes": "", "IHCP-species-checked": "testedAndGuaranteed", "IHCP-species-dilution-info": "1/150", "IHCP-species-notes": "<p>Heat up to 98 °C, below boiling, and then let cool for 10-20 min.</p><p><strong>For unpurified use at 1/250 - 1/500.</strong></p> Perform heat-mediated antigen retrieval with Tris/EDTA buffer pH 9.0 before commencing with IHC staining protocol." }, "Mouse": { "IP-species-checked": "testedAndGuaranteed", "IP-species-dilution-info": "1/10 - 1/100", "IP-species-notes": "<p></p>", "WB-species-checked": "testedAndGuaranteed", "WB-species-dilution-info": "1/1000 - 1/10000", "WB-species-notes": "<p></p>", "ICCIF-species-checked": "testedAndGuaranteed", "ICCIF-species-dilution-info": "", "ICCIF-species-notes": "<p></p>", "FlowCytIntra-species-checked": "testedAndGuaranteed", "FlowCytIntra-species-dilution-info": "1/10 - 1/100", "FlowCytIntra-species-notes": "<p><a href='/products/primary-antibodies/rabbit-igg-monoclonal-epr25a-isotype-control-ab172730'>ab172730</a> - Rabbit monoclonal IgG, is suitable for use as an isotype control with this antibody.</p>", "IHCP-species-checked": "testedAndGuaranteed", "IHCP-species-dilution-info": "1/150", "IHCP-species-notes": "<p>Heat up to 98 °C, below boiling, and then let cool for 10-20 min.</p><p><strong>For unpurified use at 1/250 - 1/500.</strong></p> Perform heat-mediated antigen retrieval with Tris/EDTA buffer pH 9.0 before commencing with IHC staining protocol." }, "Rat": { "IP-species-checked": "guaranteed", "IP-species-dilution-info": "", "IP-species-notes": "", "WB-species-checked": "guaranteed", "WB-species-dilution-info": "", "WB-species-notes": "", "ICCIF-species-checked": "guaranteed", "ICCIF-species-dilution-info": "", "ICCIF-species-notes": "", "FlowCytIntra-species-checked": "guaranteed", "FlowCytIntra-species-dilution-info": "", "FlowCytIntra-species-notes": "", "IHCP-species-checked": "testedAndGuaranteed", "IHCP-species-dilution-info": "1/150", "IHCP-species-notes": "<p>Heat up to 98 °C, below boiling, and then let cool for 10-20 min.</p><p><strong>For unpurified use at 1/250 - 1/500.</strong></p> Perform heat-mediated antigen retrieval with Tris/EDTA buffer pH 9.0 before commencing with IHC staining protocol." } } }

产品详情

What is this antibody validated in?
Anti-COX1 / Cyclooxygenase 1 antibody [EPR5866] (ab109025) is a rabbit recombinant monoclonal antibody and is validated for use in Western Blot (WB), Flow Cytometry (Intra), Flow Cytometry (Flow Cyt), Immunoprecipitation (IP), Immunohistochemistry (IHC-P), Immunocytochemistry/immunofluorescence (ICC/IF) in Human, Mouse, Rat samples.

What is the molecular weight of COX1 / Cyclooxygenase 1?
Anti-COX1 / Cyclooxygenase 1 [EPR5866] (ab109025) specifically detects a band for COX1 / Cyclooxygenase 1 (UniProt: P23219) at a molecular weight of 69kDa.

Trusted by the scientific community
Anti-COX1 / Cyclooxygenase 1 [EPR5866] (ab109025) was first used in a scientific publication in 2011 and has been cited over 40 times in peer-reviewed journals.

Trial sizes available!
Test your antibody or perform pre-screening before committing to a larger quantity. Sold in 10µl. Discover our selection of trial-size antibodies.

Specificity confirmed
The specificity of Anti-COX1 / Cyclooxygenase 1 antibody [EPR5866] (ab109025) has been confirmed by Western blot testing in PTGS1 Knockout A431 cell line, ab270477.

Other related products
We have a range of other formats of antibody clone [EPR5866] also available for your convenience: ab109025, Alexa Fluor® 488 - ab199027, Alexa Fluor® 647 - ab199202, HRP - ab199203, PE - ab209581, Carrier free - ab219375

Patented technology
Our RabMAb® technology is a patented hybridoma-based technology for making rabbit monoclonal antibodies. For details on our patents, please refer to RabMAb® patents.

What are the advantages of a recombinant monoclonal antibody?
This product is a recombinant monoclonal antibody, which offers several advantages including:

  • - High batch-to-batch consistency and reproducibility
  • - Improved sensitivity and specificity
  • - Long-term security of supply
  • - Animal-free batch production

For more information, read more on recombinant antibodies.

性能和储存信息

形式
Liquid
纯化工艺
Affinity purification Protein A
存储溶液
pH: 7.2 - 7.4 Preservative: 0.01% Sodium azide Constituents: PBS, 40% Glycerol (glycerin, glycerine), 0.05% BSA
运输条件
Blue Ice
推荐的短期储存时间
1-2 weeks
推荐的短期储存条件
+4°C
推荐的长期储存条件
-20°C
分装信息
Upon delivery aliquot
储存信息
Avoid freeze / thaw cycle

补充信息

This supplementary information is collated from multiple sources and compiled automatically.

Cyclooxygenase 1 (COX-1) also known as COX1 cyclooxygenase-1 COX one and the COX1 protein is an important enzyme in the conversion of arachidonic acid to prostaglandins. It is a heme-containing dimer enzyme with a molecular weight of approximately 70 kDa. COX-1 is widely expressed in most tissues and cell types where it plays a significant role in maintaining homeostatic functions. This protein is constitutively active meaning it is often active under normal physiological conditions.
Biological function summary

COX-1 is involved in producing prostaglandins that regulate a variety of normal physiological processes including gastric mucosal protection renal blood flow and platelet aggregation. Unlike COX-2 COX-1 is not induced by inflammatory stimuli and is not part of an inducible complex. It serves to maintain essential physiological functions in various organs and systems making its activity critical for cellular maintenance.

Pathways

COX-1 is primarily involved in the prostaglandin biosynthesis pathway. It converts arachidonic acid into prostaglandin H2 a precursor for other prostaglandins and thromboxanes. Thromboxane A2 produced from this pathway plays an important role in platelet aggregation and vasoconstriction linking COX-1's functions with hemostatic processes. Another protein involved in this pathway is thromboxane synthase which further processes the products of COX-1 activity.

COX-1's role connects it closely to conditions like peptic ulcers and cardiovascular diseases. Inhibition of COX-1 by nonsteroidal anti-inflammatory drugs (NSAIDs) can lead to gastric mucosal damage contributing to the development of peptic ulcers. Additionally due to its involvement in platelet aggregation COX-1 affects thrombotic diseases. COX-1's interactions with proteins such as COX-2 become relevant in inflammation and pain management where selective inhibition of COX-2 is sought to reduce adverse effects related to COX-1.

产品实验方案

For this product, it's our understanding that no specific protocols are required. You can visit:

靶点信息

Dual cyclooxygenase and peroxidase that plays an important role in the biosynthesis pathway of prostanoids, a class of C20 oxylipins mainly derived from arachidonate ((5Z,8Z,11Z,14Z)-eicosatetraenoate, AA, C20 : 4(n-6)), with a particular role in the inflammatory response. The cyclooxygenase activity oxygenates AA to the hydroperoxy endoperoxide prostaglandin G2 (PGG2), and the peroxidase activity reduces PGG2 to the hydroxy endoperoxide prostaglandin H2 (PGH2), the precursor of all 2-series prostaglandins and thromboxanes. This complex transformation is initiated by abstraction of hydrogen at carbon 13 (with S-stereochemistry), followed by insertion of molecular O2 to form the endoperoxide bridge between carbon 9 and 11 that defines prostaglandins. The insertion of a second molecule of O2 (bis-oxygenase activity) yields a hydroperoxy group in PGG2 that is then reduced to PGH2 by two electrons (PubMed : 7947975). Involved in the constitutive production of prostanoids in particular in the stomach and platelets. In gastric epithelial cells, it is a key step in the generation of prostaglandins, such as prostaglandin E2 (PGE2), which plays an important role in cytoprotection. In platelets, it is involved in the generation of thromboxane A2 (TXA2), which promotes platelet activation and aggregation, vasoconstriction and proliferation of vascular smooth muscle cells (Probable). Can also use linoleate (LA, (9Z,12Z)-octadecadienoate, C18 : 2(n-6)) as substrate and produce hydroxyoctadecadienoates (HODEs) in a regio- and stereospecific manner, being (9R)-HODE ((9R)-hydroxy-(10E,12Z)-octadecadienoate) and (13S)-HODE ((13S)-hydroxy-(9Z,11E)-octadecadienoate) its major products (By similarity).
See full target information PTGS1

文献 (53)

Recent publications for all applications. Explore the full list and refine your search

Cells 14: PubMed40801649

2025

When Two Worlds Collide: The Contribution and Association Between Genetics (APOEε4) and Neuroinflammation (IL-1β) in Alzheimer's Neuropathogenesis.

Applications

Unspecified application

Species

Unspecified reactive species

Jagadeesh Narasimhappagari,Ling Liu,Meenakshisundaram Balasubramaniam,Srinivas Ayyadevara,W Sue T Griffin

Frontiers in immunology 16:1557790 PubMed40176805

2025

Celecoxib prevents malignant progression of smoking-induced lung tumors via suppression of the COX-2/PGE signaling pathway in mice.

Applications

Unspecified application

Species

Unspecified reactive species

Kaori Sakurai,Shotaro Chubachi,Jun Miyata,Junko Hamamoto,Tatsuro Naganuma,Takashi Shimada,Shiro Otake,Shingo Nakayama,Hidehiro Irie,Akihiro Tsutsumi,Naofumi Kameyama,Ahmed E Hegab,Masayuki Shimoda,Hideki Terai,Hiroyuki Yasuda,Yae Kanai,Makoto Arita,Koichi Fukunaga

Chinese herbal medicines 17:148-155 PubMed39949807

2025

Sini decoction alleviates inflammation injury after myocardial infarction through regulating arachidonic acid metabolism.

Applications

Unspecified application

Species

Unspecified reactive species

Cuiping Long,Qian Zhou,Min Xu,Xin Ding,Xingxing Zhang,Ya Zhang,Yuping Tang,Guangguo Tan

Acta biochimica et biophysica Sinica 57:758-769 PubMed39921353

2025

Cannabidiol alleviates the inflammatory response in rats with traumatic brain injury through the PGE -EP2-cAMP-PKA signaling pathway.

Applications

Unspecified application

Species

Unspecified reactive species

Yan Cao,Hengxi Li,Jiali Li,Tenghan Ling,Aiping Yin,Xinyuan Luo,Ying Zhou,Jinghui Li,Hongyan Jiang,Huawei Wang,Li Yang,Haiying Wu,Ping Li

Journal of the American Heart Association 14:e036762 PubMed39817553

2025

Janus Kinase 2/Signal Transducer and Activator of Transcription 3/Cyclooxygenase 2 Signaling Pathway Mediates the Effect of Central Angiotensin II on the Elevation of Rostral Ventrolateral Medulla Prostaglandin E-Induced Oxidative Stress in Hypertension.

Applications

Unspecified application

Species

Unspecified reactive species

Jie-Fu Fan,Xing Tan,Wen Wang,Ji-Kui Li,Yu-Chen Xiao,Wei-Zhong Wang,Yang-Kai Wang

Cancer research 85:925-941 PubMed39652583

2024

Targeting Arachidonic Acid Metabolism Enhances Immunotherapy Efficacy in ARID1A-Deficient Colorectal Cancer.

Applications

Unspecified application

Species

Unspecified reactive species

Luying Cui,Ruiqi Liu,Shuling Han,Chunhui Zhang,Bojun Wang,Yuli Ruan,Xuefan Yu,Yien Li,Yuanfei Yao,Xin Guan,Yuanyu Liao,Dan Su,Yue Ma,Shuijie Li,Chao Liu,Yanqiao Zhang

Advanced science (Weinheim, Baden-Wurttemberg, Germany) 11:e2405147 PubMed39488787

2024

HADHA Regulates Respiratory Complex Assembly and Couples FAO and OXPHOS.

Applications

Unspecified application

Species

Unspecified reactive species

Chaoying Qin,Shasha Gong,Ting Liang,Zhenbo Zhang,Jessie Thomas,Janice Deng,Yaguang Liu,Peiqing Hu,Bi Zhu,Shujie Song,Marisol Fernández Ortiz,Yuji Ikeno,Exing Wang,James Lechleiter,Susan T Weintraub,Yidong Bai

Andrology 13:894-910 PubMed39212979

2024

Human efferent ductules and epididymis display unique cell lineages with motile and primary cilia.

Applications

Unspecified application

Species

Unspecified reactive species

Ludovic Vinay,Rex A Hess,Clémence Belleannée

The clinical respiratory journal 18:e13814 PubMed39129202

2024

FOXA2 Activates RND1 to Regulate Arachidonic Acid Metabolism Pathway and Suppress Cisplatin Resistance in Lung Squamous Cell Carcinoma.

Applications

Unspecified application

Species

Unspecified reactive species

Yafu Zhou,Huiguo Chen,Jianhua Yan,Qi Yao,Chunchu Kong,You Peng,Shengying Xiao,Jinsong Yang

Brain imaging and behavior 18:368-377 PubMed38102441

2023

Radiomic features of the hippocampal based on magnetic resonance imaging in the menopausal mouse model linked to neuronal damage and cognitive deficits.

Applications

Unspecified application

Species

Unspecified reactive species

Jie Zhao,Yan Jiao,Hui Wang,Peiji Song,Zhen Gao,Xue Bing,Chunling Zhang,Aimei Ouyang,Jian Yao,Song Wang,Huijie Jiang
View all publications

Abcam Product Promise

我们致力于为您的研究提供高质量的试剂,为您科研的每一步提供支持。若我们的产品未能达到预期性能,我们向您提供 Abcam Product Promise 保障。
详情请参阅我们的条款与条件。

Please note: All products are 'FOR RESEARCH USE ONLY. NOT FOR USE IN DIAGNOSTIC OR THERAPEUTIC PROCEDURES'.

For licensing inquiries, please contact partnerships@abcam.com