JavaScript is disabled in your browser. Please enable JavaScript to view this website.
AB129504

Anti-COMT抗体

Anti-COMT antibody

5

(1 Review)

|

(3 Publications)

Rabbit Polyclonal COMT antibody. Suitable for IHC-P, IP, WB and reacts with Human samples. Cited in 3 publications. Immunogen corresponding to Synthetic Peptide within Human Catechol O-methyltransferase aa 200 to C-terminus.

查看别名

Catechol O-methyltransferase, COMT

3 Images
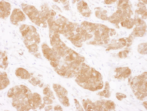
Immunohistochemistry (Formalin/PFA-fixed paraffin-embedded sections) - Anti-COMT antibody (AB129504)
  • IHC-P

Unknown

Immunohistochemistry (Formalin/PFA-fixed paraffin-embedded sections) - Anti-COMT antibody (AB129504)

Immunohistochemistry (Formalin/PFA-fixed paraffin-embedded sections) analysis of human breast carcinoma tissue labelling COMT with ab129504 at 1/1000 (1µg/ml). Detection : DAB.

Western blot - Anti-COMT antibody (AB129504)
  • WB

Unknown

Western blot - Anti-COMT antibody (AB129504)

All lanes:

Western blot - Anti-COMT antibody (ab129504) at 0.1 µg/mL

Lane 1:

Whole cell lysate from HeLa cells at 50 µg

Lane 2:

Whole cell lysate from HeLa cells at 15 µg

Lane 3:

Whole cell lysate from 293T cells at 50 µg

Lane 4:

Whole cell lysate from Jurkat cells at 50 µg

Predicted band size: 30 kDa

true

Exposure time: 3min

Immunoprecipitation - Anti-COMT antibody (AB129504)
  • IP

Unknown

Immunoprecipitation - Anti-COMT antibody (AB129504)

ab129504 at 1 μg/ml staining COMT by WB, following immunoprecipitation of whole cell lysate from HeLa cells.
Lane 1; IP using ab129504 at 6 μg/mg lysate.
Lane 2; IP using control IgG.
1 mg of lysate was used for IP and 20% of IP was loaded. Detection utilised Chemiluminescence with a 10 second exposure.

All lanes:

Immunoprecipitation - Anti-COMT antibody (ab129504)

Predicted band size: 30 kDa

false

关键信息

宿主种属

Rabbit

克隆

Polyclonal

亚型

IgG

不含载体蛋白

No

反应种属

Human

应用

IHC-P, IP, WB

applications

免疫原

Synthetic Peptide within Human Catechol O-methyltransferase aa 200 to C-terminus. The exact immunogen used to generate this antibody is proprietary information.

P21964

反应性数据

{ "title": "Reactivity Data", "filters": { "stats": ["", "Species", "Dilution Info", "Notes"], "tabs": { "all-applications": {"fullname" : "All Applications", "shortname": "All Applications"}, "IHCP" : {"fullname" : "Immunohistochemistry (Formalin/PFA-fixed paraffin-embedded sections)", "shortname":"IHC-P"}, "IP" : {"fullname" : "Immunoprecipitation", "shortname":"IP"}, "WB" : {"fullname" : "Western blot", "shortname":"WB"} }, "product-promise": { "all": "all", "testedAndGuaranteed": "tested", "guaranteed": "expected", "predicted": "predicted", "notRecommended": "not-recommended" } }, "values": { "Human": { "IHCP-species-checked": "testedAndGuaranteed", "IHCP-species-dilution-info": "1/500 - 1/2000", "IHCP-species-notes": "<p></p> Perform heat-mediated antigen retrieval with citrate buffer pH 6 before commencing with IHC staining protocol.", "IP-species-checked": "testedAndGuaranteed", "IP-species-dilution-info": "2-10 µg/mg of lysate", "IP-species-notes": "<p></p>", "WB-species-checked": "testedAndGuaranteed", "WB-species-dilution-info": "1/2000 - 1/10000", "WB-species-notes": "<p></p>" }, "Chimpanzee": { "IHCP-species-checked": "predicted", "IHCP-species-dilution-info": "", "IHCP-species-notes": "", "IP-species-checked": "predicted", "IP-species-dilution-info": "", "IP-species-notes": "", "WB-species-checked": "predicted", "WB-species-dilution-info": "", "WB-species-notes": "" }, "Gorilla": { "IHCP-species-checked": "predicted", "IHCP-species-dilution-info": "", "IHCP-species-notes": "", "IP-species-checked": "predicted", "IP-species-dilution-info": "", "IP-species-notes": "", "WB-species-checked": "predicted", "WB-species-dilution-info": "", "WB-species-notes": "" }, "Orangutan": { "IHCP-species-checked": "predicted", "IHCP-species-dilution-info": "", "IHCP-species-notes": "", "IP-species-checked": "predicted", "IP-species-dilution-info": "", "IP-species-notes": "", "WB-species-checked": "predicted", "WB-species-dilution-info": "", "WB-species-notes": "" } } }

性能和储存信息

形式
Liquid
纯化工艺
Affinity purification Immunogen
存储溶液
pH: 7 - 8 Preservative: 0.09% Sodium azide Constituents: 99% Tris citrate/phosphate
运输条件
Blue Ice
推荐的短期储存条件
+4°C
推荐的长期储存条件
+4°C

补充信息

This supplementary information is collated from multiple sources and compiled automatically.

COMT also known as catechol-O-methyltransferase is an enzyme responsible for the methylation of catechol compounds including neurotransmitters like dopamine epinephrine and norepinephrine. This reaction requires S-adenosylmethionine as a methyl donor. COMT primarily has two forms: a soluble form and a membrane-bound form with masses around 24 kDa and 30 kDa respectively. This protein shows significant expression in the liver brain and kidneys. COMT expression is also noted in cell lines such as HEK293T where it plays an important role in catecholamine metabolism.
Biological function summary

Catechol-O-methyltransferase serves as a regulator of neurotransmitter levels in the central nervous system and peripheral tissues. It does not appear to form part of a larger protein complex functioning mainly as a singular entity for metabolizing catechols. Through its action COMT impacts processes such as mood regulation cognition and stress response. Its role in degrading dopamine is especially significant in regions like the prefrontal cortex where dopamine plays an important role in executive functions.

Pathways

COMT participates in the catecholamine degradation pathway and impacts dopaminergic signaling. It works alongside enzymes such as monoamine oxidase (MAO) to regulate levels of neurotransmitters. COMT's activity influences the synaptic presence of dopamine and its interaction in signaling pathways. Moreover it indirectly affects the balance within the dopaminergic system which is important for normal neurological function and behavior.

COMT has links to psychiatric and neurological conditions such as schizophrenia and Parkinson’s disease. Variations in COMT function can affect dopamine metabolism which may contribute to the etiology of these disorders. Additionally proteins like MAO and dopamine transporter (DAT) also connect to COMT through their shared involvement in neurotransmitter regulation. Alterations in COMT activity can influence disease severity and patient response to treatment underlining its importance in understanding these disorders.

产品实验方案

For this product, it's our understanding that no specific protocols are required. You can visit:

靶点信息

Catalyzes the O-methylation, and thereby the inactivation, of catecholamine neurotransmitters and catechol hormones. Also shortens the biological half-lives of certain neuroactive drugs, like L-DOPA, alpha-methyl DOPA and isoproterenol.
See full target information Catechol O-methyltransferase

文献 (3)

Recent publications for all applications. Explore the full list and refine your search

Scientific reports 13:1285 PubMed36690660

2023

Catechol-O-methyl transferase suppresses cell invasion and interplays with MET signaling in estrogen dependent breast cancer.

Applications

Unspecified application

Species

Unspecified reactive species

Lucia Janacova,Michaela Stenckova,Petr Lapcik,Sarka Hrachovinova,Pavla Bouchalova,David Potesil,Roman Hrstka,Petr Müller,Pavel Bouchal

Journal of environmental science and health. Part C, Toxicology and carcinogenesis 40:106-118 PubMed35895929

2022

The expression of Phase II drug-metabolizing enzymes in human B-lymphoblastoid TK6 cells.

Applications

Unspecified application

Species

Unspecified reactive species

Xilin Li,Yuxi Li,Kylie G Ning,Si Chen,Lei Guo,Jessica A Bonzo,Nan Mei

Cell death & disease 10:919 PubMed31801939

2019

Characterization of the role of TMEM45A in cancer cell sensitivity to cisplatin.

Applications

Unspecified application

Species

Unspecified reactive species

Kathleen Schmit,Jia-Wei Chen,Sophie Ayama-Canden,Maude Fransolet,Laure Finet,Catherine Demazy,Lionel D'Hondt,Carlos Graux,Carine Michiels
View all publications

Abcam Product Promise

我们致力于为您的研究提供高质量的试剂,为您科研的每一步提供支持。若我们的产品未能达到预期性能,我们向您提供 Abcam Product Promise 保障。
详情请参阅我们的条款与条件。

Please note: All products are 'FOR RESEARCH USE ONLY. NOT FOR USE IN DIAGNOSTIC OR THERAPEUTIC PROCEDURES'.

For licensing inquiries, please contact partnerships@abcam.com