JavaScript is disabled in your browser. Please enable JavaScript to view this website.
AB199720

重组Anti-Collagen VI抗体[EPR17077] - C-terminal

Anti-Collagen VI antibody [EPR17077] - C-terminal

3

(4 Reviews)

|

(8 Publications)

Rabbit Recombinant Monoclonal COL6A1 antibody. C-terminal. Suitable for WB, IHC-P and reacts with Mouse, Rat, Human samples. Cited in 8 publications.

查看别名

Collagen alpha-1(VI) chain, COL6A1

6 Images
Immunohistochemistry (Formalin/PFA-fixed paraffin-embedded sections) - Anti-Collagen VI antibody [EPR17077] - C-terminal (AB199720)
  • IHC-P

Supplier Data

Immunohistochemistry (Formalin/PFA-fixed paraffin-embedded sections) - Anti-Collagen VI antibody [EPR17077] - C-terminal (AB199720)

Immunohistochemical analysis of paraffin-embedded Human colon tissue labeling Collagen VI with ab199720 at 1/1600 dilution followed by Goat Anti-Rabbit IgG H&L (HRP) (ab97051) at 1/500 dilution. Cytoplasm staining on stromal cells of Human colon tissue is observed. Counter stained with Hematoxylin.
Negative control : Used PBS instead of primary antibody, secondary antibody is Goat Anti-Rabbit IgG H&L (HRP) (ab97051).

Perform heat mediated antigen retrieval with Tris/EDTA buffer pH 9.0 before commencing with IHC staining protocol.

Immunohistochemistry (Formalin/PFA-fixed paraffin-embedded sections) - Anti-Collagen VI antibody [EPR17077] - C-terminal (AB199720)
  • IHC-P

AbReview77641****

Immunohistochemistry (Formalin/PFA-fixed paraffin-embedded sections) - Anti-Collagen VI antibody [EPR17077] - C-terminal (AB199720)

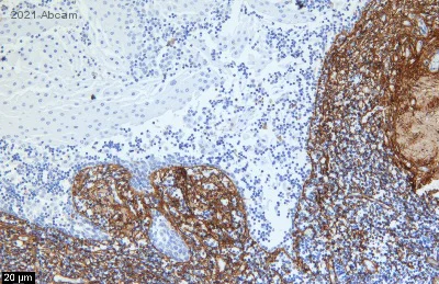
Immunohistochemistry analysis (Formalin/PFA-fixed paraffin-embedded sections) of paraformaldehyde fixed human palatine tonsil tissue. Stained with ab199720 at 1/500 dilution. Secondary antibody used was EnVision+ System- HRP Labelled Polymer anti rabbit. Blocking was done with 5% serum for 1 hour at 21°C. The sample was incubated with the primary antibody and 5% normal goat serum for 19 hours at 4°C. Antigen retrieval method was heat mediated Tris/EDTA pH 9.0

This image is courtesy of an anonymous Abreview

Immunohistochemistry (Formalin/PFA-fixed paraffin-embedded sections) - Anti-Collagen VI antibody [EPR17077] - C-terminal (AB199720)
  • IHC-P

Supplier Data

Immunohistochemistry (Formalin/PFA-fixed paraffin-embedded sections) - Anti-Collagen VI antibody [EPR17077] - C-terminal (AB199720)

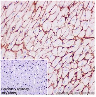
Immunohistochemical analysis of paraffin-embedded Mouse cardiac muscle tissue labeling Collagen VI with ab199720 at 1/1600 dilution followed by Goat Anti-Rabbit IgG H&L (HRP) (ab97051) at 1/500 dilution. Extracellular matrix staining on mouse cardiac muscle tissue is observed. Counter stained with Hematoxylin.
Negative control : Used PBS instead of primary antibody, secondary antibody is Goat Anti-Rabbit IgG H&L (HRP) (ab97051).

Perform heat mediated antigen retrieval with Tris/EDTA buffer pH 9.0 before commencing with IHC staining protocol.

Western blot - Anti-Collagen VI antibody [EPR17077] - C-terminal (AB199720)
  • WB

Supplier Data

Western blot - Anti-Collagen VI antibody [EPR17077] - C-terminal (AB199720)

Blocking/dilution buffer : 5% NFDM/TBST.

The observed MW is consistent with what has been described in the following literature : PMID : 16130093 and 21186846

All lanes:

Western blot - Anti-Collagen VI antibody [EPR17077] - C-terminal (ab199720) at 1/10000 dilution

Lane 1:

Human fetal heart at 20 µg

Lane 2:

Human skeletal muscle at 20 µg

Lane 3:

WI-38 (Human lung) whole cell lysate at 20 µg

Secondary

All lanes:

Anti-Rabbit IgG (HRP), specific to the non-reduced form of IgG at 1/1000 dilution

Predicted band size: 109 kDa

Observed band size: 147 kDa

false

Exposure time: 15s

Western blot - Anti-Collagen VI antibody [EPR17077] - C-terminal (AB199720)
  • WB

Lab

Western blot - Anti-Collagen VI antibody [EPR17077] - C-terminal (AB199720)

Lanes 1 - 3 : Merged signal (red and green). Green - ab199720 observed at 109 kDa. Red - loading control, ab9484, observed at 37 kDa.

ab199720 was shown to recognize Collagen VI in wild-type Hek 293T cells as signal was lost at the expected MW in COL6A1 knockout cells. Additional cross-reactive bands were observed in the wild-type and knockout cells. Wild-type and COL6A1 knockout samples were subjected to SDS-PAGE. ab199720 and ab9484 (Mouse anti GAPDH loading control) were incubated overnight at 4°C at 1/1000 dilution and 1/20000 dilution respectively. Blots were developed with Goat anti-Rabbit IgG H&L (IRDye® 800CW) preabsorbed ab216773 and Goat anti-Mouse IgG H&L (IRDye® 680RD) preabsorbed ab216776 secondary antibodies at 1/20000 dilution for 1 hour at room temperature before imaging.

All lanes:

Western blot - Anti-Collagen VI antibody [EPR17077] - C-terminal (ab199720) at 1/1000 dilution

Lane 1:

Wild-type HEK-293T whole cell lysate at 20 µg

Lane 2:

COL6A1 knockout HEK-293T whole cell lysate at 20 µg

Lane 3:

Human Skeletal Muscle whole cell lysate at 20 µg

Predicted band size: 109 kDa

false

Western blot - Anti-Collagen VI antibody [EPR17077] - C-terminal (AB199720)
  • WB

Supplier Data

Western blot - Anti-Collagen VI antibody [EPR17077] - C-terminal (AB199720)

Blocking/dilution buffer : 5% NFDM/TBST.

The observed MW is consistent with what has been described in the following literature : PMID : 16130093 and 21186846

All lanes:

Western blot - Anti-Collagen VI antibody [EPR17077] - C-terminal (ab199720) at 1/1000 dilution

Lane 1:

Mouse heart at 10 µg

Lane 2:

Mouse kidney at 10 µg

Lane 3:

Mouse spleen at 10 µg

Lane 4:

Rat heart at 10 µg

Lane 5:

Rat kidney at 10 µg

Lane 6:

Rat spleen at 10 µg

Lane 7:

NIH/3T3 (mouse embryo) whole cell lysate at 10 µg

Secondary

All lanes:

Goat Anti-Rabbit IgG, (H+L), Peroxidase conjugated at 1/1000 dilution

Predicted band size: 109 kDa

Observed band size: 147 kDa

false

Exposure time: 10s

关键信息

宿主种属

Rabbit

克隆

Monoclonal

克隆号

EPR17077

亚型

IgG

不含载体蛋白

No

反应种属

Mouse, Rat, Human

应用

IHC-P, WB

applications

免疫原

The exact immunogen used to generate this antibody is proprietary information.

反应性数据

{ "title": "Reactivity Data", "filters": { "stats": ["", "Species", "Dilution Info", "Notes"], "tabs": { "all-applications": {"fullname" : "All Applications", "shortname": "All Applications"}, "WB" : {"fullname" : "Western blot", "shortname":"WB"}, "IHCP" : {"fullname" : "Immunohistochemistry (Formalin/PFA-fixed paraffin-embedded sections)", "shortname":"IHC-P"} }, "product-promise": { "all": "all", "testedAndGuaranteed": "tested", "guaranteed": "expected", "predicted": "predicted", "notRecommended": "not-recommended" } }, "values": { "Human": { "WB-species-checked": "testedAndGuaranteed", "WB-species-dilution-info": "1/1000", "WB-species-notes": "<p></p>", "IHCP-species-checked": "testedAndGuaranteed", "IHCP-species-dilution-info": "1/800", "IHCP-species-notes": "<p></p> Perform heat-mediated antigen retrieval with Tris/EDTA buffer pH 9.0 before commencing with IHC staining protocol." }, "Mouse": { "WB-species-checked": "testedAndGuaranteed", "WB-species-dilution-info": "1/1000", "WB-species-notes": "<p></p>", "IHCP-species-checked": "testedAndGuaranteed", "IHCP-species-dilution-info": "1/800", "IHCP-species-notes": "<p></p> Perform heat-mediated antigen retrieval with Tris/EDTA buffer pH 9.0 before commencing with IHC staining protocol." }, "Rat": { "WB-species-checked": "testedAndGuaranteed", "WB-species-dilution-info": "1/1000", "WB-species-notes": "<p></p>", "IHCP-species-checked": "guaranteed", "IHCP-species-dilution-info": "", "IHCP-species-notes": "" } } }

产品详情

Patented technology
Our RabMAb® technology is a patented hybridoma-based technology for making rabbit monoclonal antibodies. For details on our patents, please refer to RabMAb® patents.

What are the advantages of a recombinant monoclonal antibody?
This product is a recombinant monoclonal antibody, which offers several advantages including:

  • - High batch-to-batch consistency and reproducibility
  • - Improved sensitivity and specificity
  • - Long-term security of supply
  • - Animal-free batch production

For more information, read more on recombinant antibodies.

性能和储存信息

形式
Liquid
纯化工艺
Affinity purification Protein A
存储溶液
pH: 7.2 - 7.4 Preservative: 0.01% Sodium azide Constituents: PBS, 40% Glycerol (glycerin, glycerine), 0.05% BSA
运输条件
Blue Ice
推荐的短期储存时间
1-2 weeks
推荐的短期储存条件
+4°C
推荐的长期储存条件
-20°C
分装信息
Upon delivery aliquot
储存信息
Avoid freeze / thaw cycle

补充信息

This supplementary information is collated from multiple sources and compiled automatically.

Collagen VI also known as Collagen 6 is a type of collagen that plays an important role in the extracellular matrix. It consists of three different chains: α1(VI) α2(VI) and α3(VI) with a combined mass of approximately 140 kDa. This collagen type strongly associates with several tissues notably in skeletal muscle skin and the walls of blood vessels. Scientists often study collagen VI with specific collagen antibodies to understand its unique structural properties and its end which binds to other matrix components.
Biological function summary

Collagen VI contributes to structural integrity and cellular scaffolding within tissues. This protein is integral to the formation of microfibrillar networks part of a larger complex that connects the extracellular matrix to cells and other matrix components. Its protective role helps cells resist mechanical stress and the network provided by collagen VI powder stabilizes the tissue architecture. Additionally low endotoxin collagen is often preferable in research to minimize inflammatory responses during experimentation providing more accurate results.

Pathways

Collagen VI participates in extracellular matrix organization and mechanotransduction pathways. It functions alongside other proteins like collagen I and IV. In particular collagen VI interacts with cell surface receptors which influences cellular communication and signaling pathways. This interaction plays a role in transmitting mechanical signals that affect cellular behavior and function proving important for tissue maintenance and repair processes.

Mutations or malfunctions involving collagen VI can lead to significant clinical outcomes. It is prominently linked with disorders such as Ullrich congenital muscular dystrophy and Bethlem myopathy both affecting muscle and connective tissue. These conditions often involve disruptions in the assembly or function of the collagen VI network. Additionally related proteins like collagen I and integrin proteins can influence the progression and severity of these disorders illustrating the interconnected nature of these extracellular elements.

产品实验方案

For this product, it's our understanding that no specific protocols are required. You can visit:

靶点信息

Collagen VI acts as a cell-binding protein.
See full target information COL6A1

文献 (8)

Recent publications for all applications. Explore the full list and refine your search

Cancer research 84:2761-2775 PubMed38900938

2024

Obesity Induces Temporally Regulated Alterations in the Extracellular Matrix That Drive Breast Tumor Invasion and Metastasis.

Applications

Unspecified application

Species

Unspecified reactive species

Sydney J Conner,Hannah B Borges,Justinne R Guarin,Thomas J Gerton,Anna Yui,Kenneth J Salhany,Diamond N Mensah,Grace A Hamilton,Giang H Le,Katherine C Lew,Crystal Zhang,Madeleine J Oudin

EBioMedicine 103:105127 PubMed38677183

2024

Multi-tissue profiling of oxylipins reveal a conserved up-regulation of epoxide:diol ratio that associates with white adipose tissue inflammation and liver steatosis in obesity.

Applications

Unspecified application

Species

Unspecified reactive species

Charlotte Hateley,Antoni Olona,Laura Halliday,Matthew L Edin,Jeong-Hun Ko,Roberta Forlano,Ximena Terra,Fred B Lih,Raúl Beltrán-Debón,Penelopi Manousou,Sanjay Purkayastha,Krishna Moorthy,Mark R Thursz,Guodong Zhang,Robert D Goldin,Darryl C Zeldin,Enrico Petretto,Jacques Behmoaras

Diagnostics (Basel, Switzerland) 14: PubMed38611693

2024

Specificities in the Structure of the Cartilage of Patients with Advanced Stages of Developmental Dysplasia of the Hip.

Applications

Unspecified application

Species

Unspecified reactive species

Tea Duvančić,Andreja Vukasović Barišić,Ana Čizmić,Mihovil Plečko,Ivan Bohaček,Domagoj Delimar

American journal of physiology. Renal physiology 322:F175-F192 PubMed34927449

2021

Multiomic identification of factors associated with progression to cystic kidney disease in mice with nephron Ift88 disruption.

Applications

Unspecified application

Species

Unspecified reactive species

Chunyan Hu,Katherine Beebe,Edgar J Hernandez,Jose M Lazaro-Guevara,Monica P Revelo,Yufeng Huang,J Alan Maschek,James E Cox,Donald E Kohan

Science advances 6: PubMed33087348

2020

Decellularized extracellular matrix scaffolds identify full-length collagen VI as a driver of breast cancer cell invasion in obesity and metastasis.

Applications

Unspecified application

Species

Unspecified reactive species

Andrew L Wishart,Sydney J Conner,Justinne R Guarin,Jackson P Fatherree,Yifan Peng,Rachel A McGinn,Rebecca Crews,Stephen P Naber,Martin Hunter,Andrew S Greenberg,Madeleine J Oudin

The American journal of pathology 189:1423-1434 PubMed31051168

2019

High-Temperature Requirement A1 Protease as a Rate-Limiting Factor in the Development of Osteoarthritis.

Applications

Unspecified application

Species

Unspecified reactive species

Peter H Chen,Tian Tang,Chenlu Liu,Beiyu Wang,Michelle Mian,Chio Oka,Maria Baquerizo,Yefu Li,Lin Xu

Archives of oral biology 98:17-25 PubMed30419485

2018

Insulin-like growth factor-1 engaged in the mandibular condylar cartilage degeneration induced by experimental unilateral anterior crossbite.

Applications

Unspecified application

Species

Unspecified reactive species

Dongmei Wang,Hongxu Yang,Mian Zhang,Hongyun Zhang,Lei Lu,Jing Zhang,Xianghong Wan,Meiqing Wang

BMC research notes 10:358 PubMed28755659

2017

Authentication of collagen VI antibodies.

Applications

Unspecified application

Species

Unspecified reactive species

Jamie Endicott,Paul Holden,Jamie Fitzgerald
View all publications

Abcam Product Promise

我们致力于为您的研究提供高质量的试剂,为您科研的每一步提供支持。若我们的产品未能达到预期性能,我们向您提供 Abcam Product Promise 保障。
详情请参阅我们的条款与条件。

Please note: All products are 'FOR RESEARCH USE ONLY. NOT FOR USE IN DIAGNOSTIC OR THERAPEUTIC PROCEDURES'.

For licensing inquiries, please contact partnerships@abcam.com