JavaScript is disabled in your browser. Please enable JavaScript to view this website.
AB7046

Anti-Collagen V 抗体

Anti-Collagen V antibody

5

(11 Reviews)

|

(72 Publications)

Anti-Collagen V antibody (ab7046) is a rabbit polyclonal antibody detecting Collagen V in Western Blot, IP, IHC-P, IHC-Fr, ELISA. Suitable for Cow, Human, Mouse.

- Over 50 publications
- Trusted since 2001

查看别名

Collagen alpha-1(V) chain, COL5A1

3 Images
Immunohistochemistry (Formalin/PFA-fixed paraffin-embedded sections) - Anti-Collagen V antibody (AB7046)
  • IHC-P

AbReview27228****

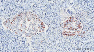
Immunohistochemistry (Formalin/PFA-fixed paraffin-embedded sections) - Anti-Collagen V antibody (AB7046)

ab7046 staining Collagen V in Human pancreas tissue by Immunohistochemistry (Formalin/PFA-fixed paraffin-embedded tissue sections). The sections were fixed in formaldehyde and subjected to heat-mediated antigen retrieval in citrate pH 6 prior to blocking with 0.25% casein for 5 minutes at 25°C. The primary antibody was diluted 1/75 in Tris--HCL and incubated with the sample for 30 minutes at 25°C. An HRP polymer-conjugated goat anti-rabbit antibody was used as the secondary antibody.

This image is courtesy of an anonymous Abreview.

Immunohistochemistry (Formalin/PFA-fixed paraffin-embedded sections) - Anti-Collagen V antibody (AB7046)
  • IHC-P

Supplier Data

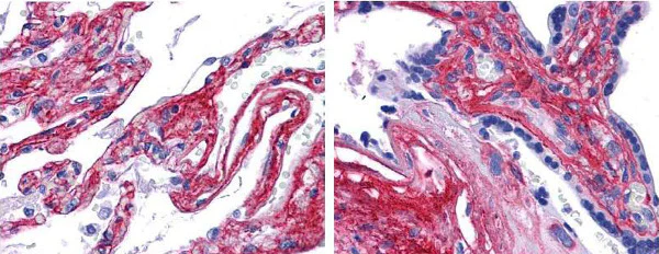
Immunohistochemistry (Formalin/PFA-fixed paraffin-embedded sections) - Anti-Collagen V antibody (AB7046)

Immunohistochemical analysis of formalin-fixed paraffin-embedded human lung (left) and placenta (right) sections labelling collagen V with ab7046 at a dilution of 1/200 for 45 minutes at room temperature. An antigen retrival step was performed with 0.01 M sodium citrate buffer pH 6.0 at 100°C for 20 mins.

Western blot - Anti-Collagen V antibody (AB7046)
  • WB

Unknown

Western blot - Anti-Collagen V antibody (AB7046)

All lanes:

Western blot - Anti-Collagen V antibody (ab7046) at 1 µg/mL

All lanes:

Human pancreas tissue lysate - total protein (<a href='/products/unavailable/human-pancreas-tissue-lysate-total-protein-ab29816'>ab29816</a>) at 10 µg

Secondary

All lanes:

Western blot - Goat Anti-Rabbit IgG H&L (HRP) preadsorbed (<a href='/products/secondary-antibodies/goat-rabbit-igg-h-l-hrp-preadsorbed-ab97080'>ab97080</a>) at 1/5000 dilution

Predicted band size: 184 kDa

Observed band size: 122 kDa,180 kDa,54 kDa

true

Exposure time: 8min

关键信息

宿主种属

Rabbit

克隆

Polyclonal

亚型

IgG

不含载体蛋白

No

反应种属

Human, Mouse, Cow

应用

ICC, WB, IP, IHC-P, IHC-Fr, sELISA

applications

免疫原

Native Full Length Protein corresponding to Human COL5A1.

P20908

特异性

Some class specific anti-collagens may be specific for three-dimensional epitopes which may result in diminished reactivity with denatured collagen or formalin-fixed, paraffin embedded tissues.В  This antibody reacts with most mammalian Type V collagens and has negligible cross-reactivity with Type I, II, III, IV or VI collagens. Non-specific cross reaction of anti-collagen antibodies with other human serum proteins or non-collagen extracellular matrix proteins is negligible.

反应性数据

{ "title": "Reactivity Data", "filters": { "stats": ["", "Species", "Dilution Info", "Notes"], "tabs": { "all-applications": {"fullname" : "All Applications", "shortname": "All Applications"}, "ICC" : {"fullname" : "Immunocytochemistry", "shortname":"ICC"}, "IP" : {"fullname" : "Immunoprecipitation", "shortname":"IP"}, "WB" : {"fullname" : "Western blot", "shortname":"WB"}, "sELISA" : {"fullname" : "Sandwich ELISA", "shortname":"sELISA"}, "IHCP" : {"fullname" : "Immunohistochemistry (Formalin/PFA-fixed paraffin-embedded sections)", "shortname":"IHC-P"}, "IHCFr" : {"fullname" : "Immunohistochemistry (Frozen sections)", "shortname":"IHC-Fr"} }, "product-promise": { "all": "all", "testedAndGuaranteed": "tested", "guaranteed": "expected", "predicted": "predicted", "notRecommended": "not-recommended" } }, "values": { "Human": { "ICC-species-checked": "guaranteed", "ICC-species-dilution-info": "", "ICC-species-notes": "<p></p>", "IP-species-checked": "guaranteed", "IP-species-dilution-info": "", "IP-species-notes": "<p></p>", "WB-species-checked": "testedAndGuaranteed", "WB-species-dilution-info": "1/5000 - 1/10000", "WB-species-notes": "<p>Native conditions are recommended.</p>", "sELISA-species-checked": "guaranteed", "sELISA-species-dilution-info": "", "sELISA-species-notes": "<p>Can be used with a suitable biotinylated detection antibody such as Rabbit polyclonal to Collagen V (Biotin) (<a href='/products/unavailable/collagen-v-antibody-biotin-ab6582'>ab6582</a>).</p>", "IHCP-species-checked": "testedAndGuaranteed", "IHCP-species-dilution-info": "1/50 - 1/200", "IHCP-species-notes": "<p></p>", "IHCFr-species-checked": "guaranteed", "IHCFr-species-dilution-info": "", "IHCFr-species-notes": "<p></p>" }, "Mouse": { "ICC-species-checked": "guaranteed", "ICC-species-dilution-info": "", "ICC-species-notes": "<p></p>", "IP-species-checked": "guaranteed", "IP-species-dilution-info": "", "IP-species-notes": "<p></p>", "WB-species-checked": "predicted", "WB-species-dilution-info": "", "WB-species-notes": "", "sELISA-species-checked": "guaranteed", "sELISA-species-dilution-info": "", "sELISA-species-notes": "<p>Can be used with a suitable biotinylated detection antibody such as Rabbit polyclonal to Collagen V (Biotin) (<a href='/products/unavailable/collagen-v-antibody-biotin-ab6582'>ab6582</a>).</p>", "IHCP-species-checked": "predicted", "IHCP-species-dilution-info": "", "IHCP-species-notes": "", "IHCFr-species-checked": "guaranteed", "IHCFr-species-dilution-info": "", "IHCFr-species-notes": "<p></p>" }, "Cow": { "ICC-species-checked": "guaranteed", "ICC-species-dilution-info": "", "ICC-species-notes": "<p></p>", "IP-species-checked": "guaranteed", "IP-species-dilution-info": "", "IP-species-notes": "<p></p>", "WB-species-checked": "predicted", "WB-species-dilution-info": "", "WB-species-notes": "", "sELISA-species-checked": "guaranteed", "sELISA-species-dilution-info": "", "sELISA-species-notes": "<p>Can be used with a suitable biotinylated detection antibody such as Rabbit polyclonal to Collagen V (Biotin) (<a href='/products/unavailable/collagen-v-antibody-biotin-ab6582'>ab6582</a>).</p>", "IHCP-species-checked": "predicted", "IHCP-species-dilution-info": "", "IHCP-species-notes": "", "IHCFr-species-checked": "guaranteed", "IHCFr-species-dilution-info": "", "IHCFr-species-notes": "<p></p>" } } }

产品详情

What is this antibody validated in?
Anti-Collagen V antibody (ab7046) is a rabbit polyclonal antibody and is validated for use in Western Blot (WB), Immunoprecipitation (IP), Immunohistochemistry (IHC-P), Immunohistochemistry (IHC-Fr), ELISA in Cow, Human, Mouse samples.

What is the molecular weight of Collagen V?
Anti-Collagen V (ab7046) specifically detects a band for Collagen V (UniProt: P20908) at a molecular weight of 180kDa.

Trusted by the scientific community
Anti-Collagen V (ab7046) was first used in a scientific publication in 2001 and has been cited over 50 times in peer-reviewed journals.

Reviewed by scientists
Anti-Collagen V (ab7046) has over 10 independent reviews from customers.

性能和储存信息

形式
Liquid
纯化工艺
Affinity purification Immunogen
纯化说明
This product has been prepared by immunoaffinity chromatography using immobilized antigens followed by extensive cross-adsorption against other collagens, human serum proteins and non-collagen extracellular matrix proteins to remove any unwanted specificities.
存储溶液
pH: 7.2 Preservative: 0.01% Sodium azide Constituents: 0.88% Sodium chloride, 0.424% Potassium phosphate solution
运输条件
Blue Ice
推荐的短期储存时间
1-2 weeks
推荐的短期储存条件
+4°C
推荐的长期储存条件
-20°C
分装信息
Upon delivery aliquot
储存信息
Avoid freeze / thaw cycle

补充信息

This supplementary information is collated from multiple sources and compiled automatically.

Collagen V also known as collagen type V is a fibrillar collagen integral to the formation and structure of the extracellular matrix. It plays a mechanical role by regulating the assembly of other fibrillar collagens such as type I. Collagen V is a heterotrimer composed of three alpha chains—two α1(V) and one α2(V)—and demonstrates a molecular weight that typically ranges between 180-200 kDa. Expression of collagen type 5 is prominent in connective tissues especially those found in skin tendon and cornea where it ensures proper collagen fibril formation and tissue stability.
Biological function summary

Collagen V coordinates with other collagen types to control fibrillogenesis the process by which collagen molecules assemble into fibrils. It exists as part of a complex within the extracellular matrix often found interacting with collagen type I influencing its diameter and the organization of fibrils. This involvement is important for maintaining the structural integrity and mechanical properties of tissues that require a well-organized fibrillar network like the sclera and the dermis.

Pathways

Collagen V participates in the regulation of the collagen biosynthesis and degradation pathway as well as the TGF-Β signaling pathway. It modulates the biosynthesis pathway by ensuring a controlled assembly and deposition of collagen fibrils which is essential for tissue repair and maintenance. Through its influence on the TGF-Β signaling pathway collagen type V interacts with proteins such as decorin and biglycan which are also associated with modulating collagen fibril formation and tissue morphogenesis.

Collagen V defects or imbalances can lead to conditions such as Ehlers-Danlos syndrome (EDS) and fibrosis. EDS is associated with mutations in the COL5A1 or COL5A2 genes leading to abnormal collagen V production which affects skin elasticity and joint integrity. Fibrosis involves excessive collagen deposition including collagen type V resulting in tissue stiffening and impaired function. In these disorders surrounding collagens and matrix proteins like decorin may be altered further exacerbating tissue dysfunction.

产品实验方案

For this product, it's our understanding that no specific protocols are required. You can visit:

靶点信息

Type V collagen is a member of group I collagen (fibrillar forming collagen). It is a minor connective tissue component of nearly ubiquitous distribution. Type V collagen binds to DNA, heparan sulfate, thrombospondin, heparin, and insulin.
See full target information COL5A1

文献 (72)

Recent publications for all applications. Explore the full list and refine your search

Current issues in molecular biology 47: PubMed41020815

2025

The Axis Modulates the Immunosuppressive Tumor Microenvironment and Predicts Immunotherapy Response in Hepatocellular Carcinoma.

Applications

Unspecified application

Species

Unspecified reactive species

Zhenxing Wang,Xia Li,Shiyi Zhang,Jiamin Sun,Qinchen Lu,Yuting Tao,Shuang Liang,Xiuwan Lan,Jianhong Zhong,Qiuyan Wang

Nature 644:516-526 PubMed40681898

2025

Pathology-oriented multiplexing enables integrative disease mapping.

Applications

Unspecified application

Species

Unspecified reactive species

Malte Kuehl,Yusuke Okabayashi,Milagros N Wong,Lukas Gernhold,Gabriele Gut,Nico Kaiser,Maria Schwerk,Stefanie K Gräfe,Frank Y Ma,Jovan Tanevski,Philipp S L Schäfer,Sam Mezher,Jacobo Sarabia Del Castillo,Thiago Goldbeck-Strieder,Olga Zolotareva,Michael Hartung,Fernando M Delgado Chaves,Lukas Klinkert,Ann-Christin Gnirck,Marc Spehr,David Fleck,Mehdi Joodaki,Victor Parra,Mina Shaigan,Martin Diebold,Marco Prinz,Jennifer Kranz,Johan M Kux,Fabian Braun,Oliver Kretz,Hui Wu,Florian Grahammer,Sven Heins,Marina Zimmermann,Fabian Haas,Dominik Kylies,Nicola Wanner,Jan Czogalla,Bernhard Dumoulin,Nikolay Zolotarev,Maja Lindenmeyer,Pall Karlson,Jens R Nyengaard,Marcial Sebode,Sören Weidemann,Thorsten Wiech,Hermann-Josef Groene,Nicola M Tomas,Catherine Meyer-Schwesinger,Christoph Kuppe,Rafael Kramann,Alexandre Karras,Patrick Bruneval,Pierre-Louis Tharaux,Diego Pastene,Benito Yard,Jennifer A Schaub,Phillip J McCown,Laura Pyle,Ye Ji Choi,Takashi Yokoo,Jan Baumbach,Pablo J Sáez,Ivan Costa,Jan-Eric Turner,Jeffrey B Hodgin,Julio Saez-Rodriguez,Tobias B Huber,Petter Bjornstad,Matthias Kretzler,Olivia Lenoir,David J Nikolic-Paterson,Lucas Pelkmans,Stefan Bonn,Victor G Puelles

Frontiers in oncology 15:1564655 PubMed40406267

2025

HIF-1α modulates pancreatic cancer ECM proteins via the TGF-β1/Smad signaling pathway introduction.

Applications

Unspecified application

Species

Unspecified reactive species

Houle Guo,Zhanxue Zhao,Linxun Liu

Gels (Basel, Switzerland) 11: PubMed40136879

2025

Porcine Bone Extracellular Matrix Hydrogel as a Promising Graft for Bone Regeneration.

Applications

Unspecified application

Species

Unspecified reactive species

Rotem Hayam,Shani Hamias,Michal Skitel Moshe,Tzila Davidov,Feng-Chun Yen,Limor Baruch,Marcelle Machluf

PloS one 20:e0318132 PubMed39869570

2025

The cellular response of lipopolysaccharide-induced inflammation in keratoconus human corneal fibroblasts to RB-PDT: Insights into cytokines, chemokines and related signaling pathways.

Applications

Unspecified application

Species

Unspecified reactive species

Ning Chai,Tanja Stachon,Sabrina Häcker,Tim Berger,Zhen Li,Maryam Amini,Shweta Suiwal,Berthold Seitz,Achim Langenbucher,Nóra Szentmáry

Ophthalmology and therapy 13:2931-2950 PubMed39306593

2024

Effect of Ritanserin and Duloxetine on the Gene Expression of Primary Aniridia and Healthy Human Limbal Stromal Cells, In Vitro.

Applications

Unspecified application

Species

Unspecified reactive species

Zhen Li,Nóra Szentmáry,Fabian N Fries,Shweta Suiwal,Ning Chai,Berthold Seitz,Lei Shi,Maryam Amini,Tanja Stachon

PloS one 19:e0298864 PubMed38753630

2024

The effect of TG2-inhibitory monoclonal antibody zampilimab on tissue fibrosis in human in vitro and primate in vivo models of chronic kidney disease.

Applications

Unspecified application

Species

Unspecified reactive species

Linghong Huang,Helene Bon,Mabrouka Maamra,Toby Holmes,John Atkinson,Katharine Cain,Jeff Kennedy,Catherine Kettleborough,David Matthews,Breda Twomey,Jia Ni,Zhizhan Song,Philip F Watson,Timothy S Johnson

Life (Basel, Switzerland) 14: PubMed38672707

2024

Gums as Macromolecular Crowding Agents in Human Skin Fibroblast Cultures.

Applications

Unspecified application

Species

Unspecified reactive species

Salome Guillaumin,Mehmet Gurdal,Dimitrios I Zeugolis

Journal of anatomy 245:217-230 PubMed38624036

2024

Investigating the role connective tissue fibroblasts play in the altered muscle anatomy associated with the limb abnormality, Radial Dysplasia.

Applications

Unspecified application

Species

Unspecified reactive species

George R F Murphy,Eleanor Feneck,James Paget,Branavan Sivakumar,Gill Smith,Malcolm P O Logan

Royal Society open science 10:231023 PubMed37859832

2023

Mechanical loading due to muscle movement regulates establishment of the collagen network in the developing murine skeleton.

Applications

Unspecified application

Species

Unspecified reactive species

Saima Ahmed,Andrew V Rogers,Niamh C Nowlan
View all publications

Abcam Product Promise

我们致力于为您的研究提供高质量的试剂,为您科研的每一步提供支持。若我们的产品未能达到预期性能,我们向您提供 Abcam Product Promise 保障。
详情请参阅我们的条款与条件。

Please note: All products are 'FOR RESEARCH USE ONLY. NOT FOR USE IN DIAGNOSTIC OR THERAPEUTIC PROCEDURES'.

For licensing inquiries, please contact partnerships@abcam.com