JavaScript is disabled in your browser. Please enable JavaScript to view this website.
AB236640

重组Anti-Collagen IV抗体[EPR22911-127]

Anti-Collagen IV antibody [EPR22911-127]

  • BOND RX™ Validated
  • RabMAb
  • Recombinant
  • 20ul selling size
  • 了解详情

5

(2 Reviews)

|

(28 Publications)

Anti-Collagen IV antibody [EPR22911-127] (ab236640) is a rabbit monoclonal antibody detecting Collagen IV in IHC-P, IHC-Fr. Suitable for Human, Mouse, Rat.

- Biophysical QC for unrivalled batch-batch consistency
- Over 10 publications

查看别名

Collagen alpha-1(IV) chain, COL4A1

7 Images
Immunohistochemistry (Formalin/PFA-fixed paraffin-embedded sections) - Anti-Collagen IV antibody [EPR22911-127] (AB236640)
  • IHC-P

Unknown

Immunohistochemistry (Formalin/PFA-fixed paraffin-embedded sections) - Anti-Collagen IV antibody [EPR22911-127] (AB236640)

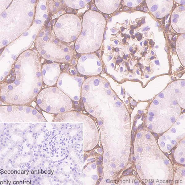
Immunohistochemical analysis of paraffin-embedded human kidney tissue labeling Collagen IV with ab236640 at 1/500 dilution, followed by ready to use Rabbit specific IHC polymer detection kit HRP/DAB (ab209101). Basement membrane staining on human kidney (PMID : 26260163). The section was incubated with ab236640 for 15 mins at room temperature. The immunostaining was performed on a Leica Biosystems BOND® RX instrument. Counterstained with hematoxylin. Secondary antibody only control : Used PBS instead of primary antibody, secondary antibody is ready to use Rabbit specific IHC polymer detection kit HRP/DAB (ab209101). Heat mediated antigen retrieval with Tris-EDTA buffer (pH 9.0, epitope retrieval solution 2) for 20 mins.

Immunohistochemistry (Formalin/PFA-fixed paraffin-embedded sections) - Anti-Collagen IV antibody [EPR22911-127] (AB236640)
  • IHC-P

Unknown

Immunohistochemistry (Formalin/PFA-fixed paraffin-embedded sections) - Anti-Collagen IV antibody [EPR22911-127] (AB236640)

Immunohistochemical analysis of paraffin-embedded human glioma tissue labeling Collagen IV with ab236640 at 1/500 dilution, followed by ready to use Rabbit specific IHC polymer detection kit HRP/DAB (ab209101). Positive staining the blood vessels in human glioma (PMID : 20063114). The section was incubated with ab236640 for 15 mins at room temperature. The immunostaining was performed on a Leica Biosystems BOND® RX instrument. Counterstained with hematoxylin. Secondary antibody only control : Used PBS instead of primary antibody, secondary antibody is ready to use Rabbit specific IHC polymer detection kit HRP/DAB (ab209101). Heat mediated antigen retrieval with Tris-EDTA buffer (pH 9.0, epitope retrieval solution 2) for 20 mins.

Immunohistochemistry (Formalin/PFA-fixed paraffin-embedded sections) - Anti-Collagen IV antibody [EPR22911-127] (AB236640)
  • IHC-P

Unknown

Immunohistochemistry (Formalin/PFA-fixed paraffin-embedded sections) - Anti-Collagen IV antibody [EPR22911-127] (AB236640)

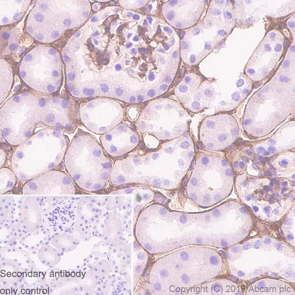
Immunohistochemical analysis of paraffin-embedded rat kidney tissue labeling Collagen IV with ab236640 at 1/2000 dilution, followed by ready to use Rabbit specific IHC polymer detection kit HRP/DAB (ab209101). Basement membrane staining on rat kidney (PMID : 26260163). The section was incubated with ab236640 for 15 mins at room temperature. The immunostaining was performed on a Leica Biosystems BOND® RX instrument. Counterstained with hematoxylin. Secondary antibody only control : Used PBS instead of primary antibody, secondary antibody is ready to use Rabbit specific IHC polymer detection kit HRP/DAB (ab209101). Heat mediated antigen retrieval with Tris-EDTA buffer (pH 9.0, epitope retrieval solution 2) for 20 mins.

Immunohistochemistry (Formalin/PFA-fixed paraffin-embedded sections) - Anti-Collagen IV antibody [EPR22911-127] (AB236640)
  • IHC-P

Unknown

Immunohistochemistry (Formalin/PFA-fixed paraffin-embedded sections) - Anti-Collagen IV antibody [EPR22911-127] (AB236640)

Immunohistochemical analysis of paraffin-embedded mouse kidney tissue labeling Collagen IV with ab236640 at 1/2000 dilution, followed by ready to use Rabbit specific IHC polymer detection kit HRP/DAB (ab209101). Basement membrane staining on mouse kidney (PMID : 26260163). The section was incubated with ab236640 for 15 mins at room temperature. The immunostaining was performed on a Leica Biosystems BOND® RX instrument. Counterstained with hematoxylin. Secondary antibody only control : Used PBS instead of primary antibody, secondary antibody is ready to use Rabbit specific IHC polymer detection kit HRP/DAB (ab209101). Heat mediated antigen retrieval with Tris-EDTA buffer (pH 9.0, epitope retrieval solution 2) for 20 mins.

Immunohistochemistry (Formalin/PFA-fixed paraffin-embedded sections) - Anti-Collagen IV antibody [EPR22911-127] (AB236640)
  • IHC-P

Unknown

Immunohistochemistry (Formalin/PFA-fixed paraffin-embedded sections) - Anti-Collagen IV antibody [EPR22911-127] (AB236640)

Immunohistochemical analysis of paraffin-embedded mouse cerebrum tissue labeling Collagen IV with ab236640 at 1/2000 dilution, followed by ready to use Rabbit specific IHC polymer detection kit HRP/DAB (ab209101). Positive staining on the blood vessels in mouse cerebrum (PMID : 20063114). The section was incubated with ab236640 for 15 mins at room temperature. The immunostaining was performed on a Leica Biosystems BOND® RX instrument. Counterstained with hematoxylin. Secondary antibody only control : Used PBS instead of primary antibody, secondary antibody is ready to use Rabbit specific IHC polymer detection kit HRP/DAB (ab209101). Heat mediated antigen retrieval with Tris-EDTA buffer (pH 9.0, epitope retrieval solution 2) for 20 mins.

Immunohistochemistry (Frozen sections) - Anti-Collagen IV antibody [EPR22911-127] (AB236640)
  • IHC-Fr

Unknown

Immunohistochemistry (Frozen sections) - Anti-Collagen IV antibody [EPR22911-127] (AB236640)

Immunohistochemical analysis of 4% PFA-fixed, 0.2% Triton X-100 permeabilized frozen rat kidney tissue labeling Collagen IV with ab236640 at 1/100 dilution (green), followed by ab150077 AlexaFluor®488 Goat anti-Rabbit secondary at a 1/1,000 dilution. Positive staining on tubular basement membrane of rat kidney (PMID : 23757342) is observed. Counterstained with DAPI (blue). Secondary antibody only control : Used PBS instead of primary antibody, secondary antibody is ab150077 AlexaFluor®488 Goat anti-Rabbit used at a 1/1,000 dilution. Heat mediated antigen retrieval using sodium citrate buffer (10 mM citrate pH 6.0 and 0.05% Tween-20).

Immunohistochemistry (Frozen sections) - Anti-Collagen IV antibody [EPR22911-127] (AB236640)
  • IHC-Fr

Unknown

Immunohistochemistry (Frozen sections) - Anti-Collagen IV antibody [EPR22911-127] (AB236640)

Immunohistochemical analysis of 4% PFA-fixed, 0.2% Triton X-100 permeabilized frozen mouse kidney tissue labeling Collagen IV with ab236640 at 1/100 dilution (green), followed by ab150077 AlexaFluor®488 Goat anti-Rabbit secondary at a 1/1,000 dilution. Positive staining on tubular basement membrane of mouse kidney (PMID : 23757342) is observed. Counterstained with DAPI (blue). Secondary antibody only control : Used PBS instead of primary antibody, secondary antibody is ab150077 AlexaFluor®488 Goat anti-Rabbit used at a 1/1,000 dilution. Heat mediated antigen retrieval using sodium citrate buffer (10 mM citrate pH 6.0 and 0.05% Tween-20).

不同偶联物与剂型 (3)

  • Carrier free

    Anti-Collagen IV antibody [EPR22911-127] - BSA and Azide free

  • 665 Alexa Fluor® 647

    Alexa Fluor® 647 Anti-Collagen IV antibody [EPR22911-127]

  • 519 Alexa Fluor® 488

    Alexa Fluor® 488 Anti-Collagen IV antibody [EPR22911-127]

关键信息

宿主种属

Rabbit

克隆

Monoclonal

克隆号

EPR22911-127

亚型

IgG

不含载体蛋白

No

反应种属

Mouse, Rat, Human

应用

IHC-Fr, IHC-P

applications

免疫原

The exact immunogen used to generate this antibody is proprietary information.

反应性数据

{ "title": "Reactivity Data", "filters": { "stats": ["", "Species", "Dilution Info", "Notes"], "tabs": { "all-applications": {"fullname" : "All Applications", "shortname": "All Applications"}, "IP" : {"fullname" : "Immunoprecipitation", "shortname":"IP"}, "FlowCyt" : {"fullname" : "Flow Cytometry", "shortname":"Flow Cyt"}, "WB" : {"fullname" : "Western blot", "shortname":"WB"}, "ICCIF" : {"fullname" : "Immunocytochemistry/ Immunofluorescence", "shortname":"ICC/IF"}, "IHCFr" : {"fullname" : "Immunohistochemistry (Frozen sections)", "shortname":"IHC-Fr"}, "IHCP" : {"fullname" : "Immunohistochemistry (Formalin/PFA-fixed paraffin-embedded sections)", "shortname":"IHC-P"} }, "product-promise": { "all": "all", "testedAndGuaranteed": "tested", "guaranteed": "expected", "predicted": "predicted", "notRecommended": "not-recommended" } }, "values": { "Human": { "IP-species-checked": "notRecommended", "IP-species-dilution-info": "", "IP-species-notes": "<p></p>", "FlowCyt-species-checked": "notRecommended", "FlowCyt-species-dilution-info": "", "FlowCyt-species-notes": "<p></p>", "WB-species-checked": "notRecommended", "WB-species-dilution-info": "", "WB-species-notes": "<p></p>", "ICCIF-species-checked": "notRecommended", "ICCIF-species-dilution-info": "", "ICCIF-species-notes": "<p></p>", "IHCFr-species-checked": "guaranteed", "IHCFr-species-dilution-info": "", "IHCFr-species-notes": "", "IHCP-species-checked": "testedAndGuaranteed", "IHCP-species-dilution-info": "", "IHCP-species-notes": "<p>Use at 1/2000 dilution for mouse and rat, 1/500 for human.</p> Perform heat-mediated antigen retrieval with Tris/EDTA buffer pH 9.0 before commencing with IHC staining protocol." }, "Mouse": { "IP-species-checked": "notRecommended", "IP-species-dilution-info": "", "IP-species-notes": "<p></p>", "FlowCyt-species-checked": "notRecommended", "FlowCyt-species-dilution-info": "", "FlowCyt-species-notes": "<p></p>", "WB-species-checked": "notRecommended", "WB-species-dilution-info": "", "WB-species-notes": "<p></p>", "ICCIF-species-checked": "notRecommended", "ICCIF-species-dilution-info": "", "ICCIF-species-notes": "<p></p>", "IHCFr-species-checked": "testedAndGuaranteed", "IHCFr-species-dilution-info": "1/100", "IHCFr-species-notes": "<p>Heat mediated antigen retrieval using sodium citrate buffer (10 mM citrate pH 6.0 and 0.05% Tween-20).</p>", "IHCP-species-checked": "testedAndGuaranteed", "IHCP-species-dilution-info": "", "IHCP-species-notes": "<p>Use at 1/2000 dilution for mouse and rat, 1/500 for human.</p> Perform heat-mediated antigen retrieval with Tris/EDTA buffer pH 9.0 before commencing with IHC staining protocol." }, "Rat": { "IP-species-checked": "notRecommended", "IP-species-dilution-info": "", "IP-species-notes": "<p></p>", "FlowCyt-species-checked": "notRecommended", "FlowCyt-species-dilution-info": "", "FlowCyt-species-notes": "<p></p>", "WB-species-checked": "notRecommended", "WB-species-dilution-info": "", "WB-species-notes": "<p></p>", "ICCIF-species-checked": "notRecommended", "ICCIF-species-dilution-info": "", "ICCIF-species-notes": "<p></p>", "IHCFr-species-checked": "testedAndGuaranteed", "IHCFr-species-dilution-info": "1/100", "IHCFr-species-notes": "<p>Heat mediated antigen retrieval using sodium citrate buffer (10 mM citrate pH 6.0 and 0.05% Tween-20).</p>", "IHCP-species-checked": "testedAndGuaranteed", "IHCP-species-dilution-info": "", "IHCP-species-notes": "<p>Use at 1/2000 dilution for mouse and rat, 1/500 for human.</p> Perform heat-mediated antigen retrieval with Tris/EDTA buffer pH 9.0 before commencing with IHC staining protocol." } } }

产品详情

What is this antibody validated in?
Anti-Collagen IV antibody [EPR22911-127] (ab236640) is a rabbit recombinant monoclonal antibody and is validated for use in Immunohistochemistry (IHC-P), Immunohistochemistry (IHC-Fr) in Human, Mouse, Rat samples.

Trusted by the scientific community
Anti-Collagen IV [EPR22911-127] (ab236640) was first used in a scientific publication in 2019 and has been cited over 10 times in peer-reviewed journals.

Trial sizes available!
Test your antibody or perform pre-screening before committing to a larger quantity. Sold in 10µl. Discover our selection of trial-size antibodies.

Other related products
We have a range of other formats of antibody clone [EPR22911-127] also available for your convenience: Alexa Fluor® 488 - ab309502, Alexa Fluor® 647 - ab309503

Patented technology
Our RabMAb® technology is a patented hybridoma-based technology for making rabbit monoclonal antibodies. For details on our patents, please refer to RabMAb® patents.

What are the advantages of a recombinant monoclonal antibody?
This product is a recombinant monoclonal antibody, which offers several advantages including:

  • - High batch-to-batch consistency and reproducibility
  • - Improved sensitivity and specificity
  • - Long-term security of supply
  • - Animal-free batch production

For more information, read more on recombinant antibodies.

性能和储存信息

形式
Liquid
纯化工艺
Affinity purification Protein A
存储溶液
pH: 7.2 - 7.4 Preservative: 0.01% Sodium azide Constituents: PBS, 40% Glycerol (glycerin, glycerine), 0.05% BSA
运输条件
Blue Ice
推荐的短期储存时间
1-2 weeks
推荐的短期储存条件
+4°C
推荐的长期储存条件
-20°C
分装信息
Upon delivery aliquot
储存信息
Avoid freeze / thaw cycle

补充信息

This supplementary information is collated from multiple sources and compiled automatically.

Collagen IV also known as COL4A1 or collagen type IV is a structural protein essential to the basement membrane in tissues. The molecular weight of collagen type 4 varies but it generally forms a high-molecular-weight complex. This protein expresses prominently in various tissues especially in the kidneys lens capsule of the eye and skin. Collagen IV comprises six different alpha chains where its distinctiveness lies in its non-fibrillar network-forming structure which serves as a supportive scaffold for tissues and contributes to tissue regeneration and cell adhesion.
Biological function summary

The highly organized network of collagen type IV plays a supreme role in maintaining the integrity and functionality of the basement membrane. It exists predominantly as part of a supramolecular complex associating with laminin nidogen and perlecan forming a multifunctional platform. This platform facilitates cellular signaling tissue elasticity and filtration functions. The basement membrane's selective permeability heavily relies on this network structure to regulate the exchange of molecules between tissues like blood vessels and epithelial sheets.

Pathways

Collagen IV contributes to several critical functions within the extracellular matrix organization and cell-matrix adhesion pathways. Specifically it interacts intimately with integrins and matrix metalloproteinases (MMPs) playing roles in angiogenesis and tissue repair. Additionally its interactions with other collagens and integrins within these pathways enhance cellular responses to mechanical stress and contribute to structural resilience in tissues.

Mutations or abnormalities in collagen IV are linked closely with hereditary conditions such as Alport syndrome and Goodpasture syndrome. These conditions often result in compromised structural integrity and function of the basement membrane particularly affecting the kidneys and lungs. Alterations in collagen IV can influence interactions with other proteins like collagen type IV-associated proteins altering normal physiological functions and leading to tissue dysfunction and disease manifestations.

产品实验方案

For this product, it's our understanding that no specific protocols are required. You can visit:

靶点信息

Type IV collagen is the major structural component of glomerular basement membranes (GBM), forming a 'chicken-wire' meshwork together with laminins, proteoglycans and entactin/nidogen.. Arresten, comprising the C-terminal NC1 domain, inhibits angiogenesis and tumor formation. The C-terminal half is found to possess the anti-angiogenic activity. Specifically inhibits endothelial cell proliferation, migration and tube formation.
See full target information COL4A1

文献 (28)

Recent publications for all applications. Explore the full list and refine your search

Journal of nanobiotechnology 23:649 PubMed41074120

2025

Targeting JAK2 with a multifunctional nanoinhibitor for long-lasting anti-inflammatory effects and bone repair.

Applications

Unspecified application

Species

Unspecified reactive species

Yang Liu,Duan Wang,Wenqian Zheng,Yuxuan Wang,Peiyu Wang,Yuping Zhao,Xiaofan Liu,Yaru Shi,Yi Wang,Na Zhou,Fermín E González,Hongchen Sun,Ding Zhou,Xiaowei Xu

Frontiers in bioengineering and biotechnology 13:1578467 PubMed40539096

2025

Generation of decellularized human brain tissue for investigating cell-matrix interactions: a proof-of-concept study.

Applications

Unspecified application

Species

Unspecified reactive species

Roemel Jeusep Bueno,Camila Fernández-Zapata,Maren Salla,Juliana Campo Garcia,Aylin Alacam,Oliver Klein,Chotima Böttcher,Helena Radbruch,Friedemann Paul,Sarah C Starossom,Rafaela V Silva,Carmen Infante-Duarte

Journal of ovarian research 18:126 PubMed40495228

2025

MACS and acellular autologous non-ovarian tissue scaffolds: a promising strategy for safe and efficient follicle transplantation in hematologic cancer.

Applications

Unspecified application

Species

Unspecified reactive species

Lijun Yin,Yating Zhao,Peiwen Zhang,Tongyun Qi,Peilin Han,Luya Cai,Jun Pan,Yongyi Yang,Jie Shi,Shi Feng,Yinying Zou,Kangxin He,Guoliang Xie,Weihua He,Xinhui Zhou,Jianhua Qian

Molecular medicine reports 31: PubMed40052569

2025

Apelin/APJ alleviates diabetic nephropathy by improving glomerular endothelial cells dysfunction via SIRT3‑KLF15.

Applications

Unspecified application

Species

Unspecified reactive species

Mingcong Huang,Jing Chang,Yu Liu,Jiming Yin,Xiangjun Zeng

Renal failure 47:2458764 PubMed39901448

2025

IgG expressed by renal tubular epithelial cells in epithelial mesenchymal transformation and interstitial fibrosis in diabetic kidney disease.

Applications

Unspecified application

Species

Unspecified reactive species

Xinyao Wang,Zhenling Deng,Yue Wang

Molecular medicine (Cambridge, Mass.) 30:231 PubMed39592929

2024

Leveraging CAR macrophages targeting c-Met for precision immunotherapy in pancreatic cancer: insights from single-cell multi-omics.

Applications

Unspecified application

Species

Unspecified reactive species

Lingyu Hu,Xiaoguang Wang,Zhengwei Song,Fei Chen,Bin Wu

Brain, behavior, and immunity 121:365-383 PubMed39084541

2024

House dust mite-induced asthma exacerbates Alzheimer's disease changes in the brain of the App mouse model of disease.

Applications

Unspecified application

Species

Unspecified reactive species

Bijayani Sahu,Suba Nookala,Angela M Floden,Nilesh S Ambhore,Venkatachalem Sathish,Marilyn G Klug,Colin K Combs

Translational vision science & technology 13:16 PubMed39042048

2024

Characterization of Ocular Morphology in Col4a3-/- Mice as a Murine Model for Alport Syndrome.

Applications

Unspecified application

Species

Unspecified reactive species

Yuwei Wang,Ruilin Zhu,Liang Zhao,Fang Wang,Yanqin Zhang,Shiguang Liu,Jie Ding,Liu Yang

Heliyon 10:e33585 PubMed39040273

2024

Lung decellularized matrix-derived 3D spheroids: Exploring silicosis through the impact of the Nrf2/Bax pathway on myofibroblast dynamics.

Applications

Unspecified application

Species

Unspecified reactive species

Wenming Xue,Jiaxin Wang,Yao Hou,Di Wu,Hongwei Wang,Qiyue Jia,Qiyue Jiang,Yan Wang,Chenzhao Song,Yifei Wang,Zhonghui Zhu,Lin Tian

JCI insight 9: PubMed38713515

2024

Liver sinusoidal endothelial cells contribute to portal hypertension through collagen type IV-driven sinusoidal remodeling.

Applications

Unspecified application

Species

Unspecified reactive species

Can Gan,Usman Yaqoob,Jianwen Lu,Man Xie,Abid Anwar,Nidhi Jalan-Sakrikar,Sofia Jerez,Tejasav S Sehrawat,Amaia Navarro-Corcuera,Enis Kostallari,Nawras W Habash,Sheng Cao,Vijay H Shah
View all publications

Abcam Product Promise

我们致力于为您的研究提供高质量的试剂,为您科研的每一步提供支持。若我们的产品未能达到预期性能,我们向您提供 Abcam Product Promise 保障。
详情请参阅我们的条款与条件。

Please note: All products are 'FOR RESEARCH USE ONLY. NOT FOR USE IN DIAGNOSTIC OR THERAPEUTIC PROCEDURES'.

For licensing inquiries, please contact partnerships@abcam.com