JavaScript is disabled in your browser. Please enable JavaScript to view this website.
AB138492

Anti-Collagen I 抗体 [EPR7785]

Anti-Collagen I antibody [EPR7785]

  • BOND RX™ Validated
  • KO Validated
  • RabMAb
  • Recombinant
  • Lab Essentials
  • 了解详情

4

(36 Reviews)

|

(428 Publications)

Anti-Collagen I antibody [EPR7785] (ab138492) is a rabbit monoclonal antibody detecting Collagen I in Western Blot, IHC-P, IHC-Fr, ICC/IF. Suitable for Human.

- KO validated for confirmed specificity
- Biophysical QC for unrivalled batch-batch consistency
- Over 250 publications

查看别名

Collagen alpha-1(I) chain, Alpha-1 type I collagen, COL1A1

20 Images
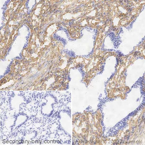
Immunohistochemistry (Frozen sections) - Anti-Collagen I antibody [EPR7785] (AB138492)
  • IHC-Fr

Supplier Data

Immunohistochemistry (Frozen sections) - Anti-Collagen I antibody [EPR7785] (AB138492)

IHC image of Collagen I staining in a section of frozen human cervix* performed on a Leica Biosystems BOND® RX instrumen using the standard protocol. The section was fixed in 10% paraformaldehyde (10 min) prior to staining. The section was incubated with ab138492, 0.01 ug/ml, for 15 mins at room temperature and detected using an HRP conjugated compact polymer system. DAB was used as the chromogen. The section was then counterstained with haematoxylin and mounted with DPX. The inset secondary-only control image is taken from an identical assay without primary antibody.

For other IHC staining systems (automated and non-automated) customers should optimize variable parameters such as antigen retrieval conditions, primary antibody concentration and antibody incubation times.

*Tissue obtained from the Human Research Tissue Bank, supported by the NIHR Cambridge Biomedical Research Centre.

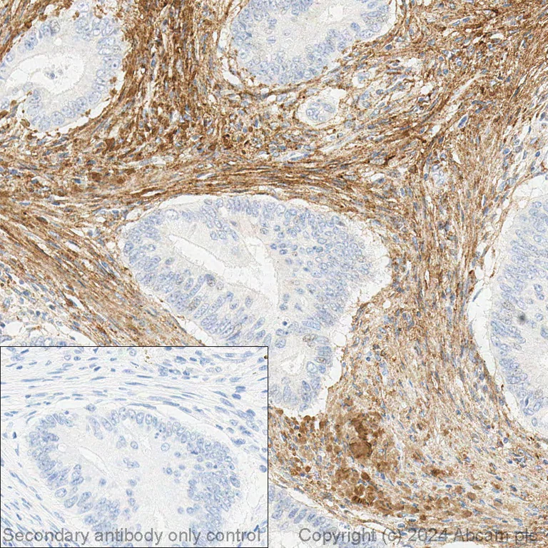
Immunohistochemistry (Formalin/PFA-fixed paraffin-embedded sections) - Anti-Collagen I antibody [EPR7785] (AB138492)
  • IHC-P

Lab

Immunohistochemistry (Formalin/PFA-fixed paraffin-embedded sections) - Anti-Collagen I antibody [EPR7785] (AB138492)

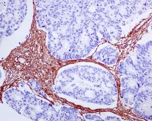
Immunohistochemical analysis of formalin fixed paraffin embedded human colon cancer labelling Collagen I with ab138492 at a concentration of 0.89 µg/ml. The immunostaining was performed on a Ventana DISCOVERY ULTRA (Roche Tissue Diagnostics) instrument with an OptiView DAB IHC Detection Kit followed by OptiView Amplification kit. Heat mediated antigen retrieval was conducted for 32 mins at 100°C with ULTRA cell conditioning solution (CC1, pH 8.5). ab138492 anti-Collagen I antibody [EPR7785] was incubated at 37°C for 16 mins. Sections were counterstained with Hematoxylin II. Image inset shows absence of staining in secondary antibody only control.

Immunohistochemistry (Formalin/PFA-fixed paraffin-embedded sections) - Anti-Collagen I antibody [EPR7785] (AB138492)
  • IHC-P

Unknown

Immunohistochemistry (Formalin/PFA-fixed paraffin-embedded sections) - Anti-Collagen I antibody [EPR7785] (AB138492)

Formalin/PFA-fixed paraffin-embedded sections of human colon tissue staining Collagen I with unpurified ab138492 in immunohistochemical analysis.

Heat mediated antigen retrieval with Tris/EDTA buffer pH 9.0 was performed before commencing with IHC staining protocol.

Immunohistochemistry (Formalin/PFA-fixed paraffin-embedded sections) - Anti-Collagen I antibody [EPR7785] (AB138492)
  • IHC-P

Lab

Immunohistochemistry (Formalin/PFA-fixed paraffin-embedded sections) - Anti-Collagen I antibody [EPR7785] (AB138492)

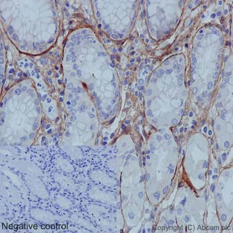
Immunohistochemistry (Formalin/PFA-fixed paraffin-embedded sections) analysis of human stomach tissue labelling Collagen I with unpurified ab138492 at 1/1500. Heat mediated antigen retrieval was performed using Tris/EDTA buffer pH 9. A prediluted HRP-polymer conjugated anti-rabbit IgG was used as the secondary antibody.

Negative control using PBS instead of primary antibody. Counterstained with hematoxylin.

Immunohistochemistry (Formalin/PFA-fixed paraffin-embedded sections) - Anti-Collagen I antibody [EPR7785] (AB138492)
  • IHC-P

Lab

Immunohistochemistry (Formalin/PFA-fixed paraffin-embedded sections) - Anti-Collagen I antibody [EPR7785] (AB138492)

Immunohistochemistry of human breast carcinoma tissue staining Collagen I with ab138492 at 0.5μg/ml.

Heat mediated antigen retrieval with Tris/EDTA buffer pH 9.0 was performed before commencing with IHC staining protocol.

Immunocytochemistry/ Immunofluorescence - Anti-Collagen I antibody [EPR7785] (AB138492)
  • ICC/IF

Lab

Immunocytochemistry/ Immunofluorescence - Anti-Collagen I antibody [EPR7785] (AB138492)

ab138492 staining Collagen alpha-1 chain in wild-type U2OS cells (top panel) and COL1A1 knockout U2OS cells (bottom panel) (ab273846). The cells were fixed with 100% methanol (5 min) then permeabilized with 0.1% Triton X-100 for 5 minutes and then blocked with 1% BSA/10% normal goat serum/0.3M glycine in 0.1% PBS-Tween for 1h. The cells were then incubated with ab138492 at 0.4μg/ml concentration and ab7291 (Mouse monoclonal to alpha Tubulin) at 1/1000 dilution overnight at 4°C followed by a further incubation at room temperature for 1h with a goat secondary antibody to rabbit IgG (Alexa Fluor® 488) (ab150081) at 2 μg/ml (shown in green) and a goat secondary antibody to mouse IgG (Alexa Fluor® 594) (ab150120) at 2 μg/ml (shown in red). Nuclear DNA was labelled in blue with DAPI.
Image was taken with a confocal microscope (Leica-Microsystems TCS SP8).

Immunohistochemistry (Formalin/PFA-fixed paraffin-embedded sections) - Anti-Collagen I antibody [EPR7785] (AB138492)
  • IHC-P

Unknown

Immunohistochemistry (Formalin/PFA-fixed paraffin-embedded sections) - Anti-Collagen I antibody [EPR7785] (AB138492)

Formalin/PFA-fixed paraffin-embedded sections of human breast carcinoma tissue stained for Collagen I with unpurified ab138492 in immunohistochemical analysis.

Heat mediated antigen retrieval with Tris/EDTA buffer pH 9.0 was performed before commencing with IHC staining protocol.

Immunohistochemistry (Formalin/PFA-fixed paraffin-embedded sections) - Anti-Collagen I antibody [EPR7785] (AB138492)
  • IHC-P

Lab

Immunohistochemistry (Formalin/PFA-fixed paraffin-embedded sections) - Anti-Collagen I antibody [EPR7785] (AB138492)

Immunohistochemistry (Formalin/PFA-fixed paraffin-embedded sections) analysis of human stomach tissue labeling Collagen I with purified ab138492 at 1/1500. Heat mediated antigen retrieval was performed using Tris/EDTA buffer pH 9. A prediluted HRP-polymer conjugated anti-rabbit IgG was used as the secondary antibody.

Negative control using PBS instead of primary antibody. Counterstained with hematoxylin.

Immunohistochemistry (Formalin/PFA-fixed paraffin-embedded sections) - Anti-Collagen I antibody [EPR7785] (AB138492)
  • IHC-P

PubMed

Immunohistochemistry (Formalin/PFA-fixed paraffin-embedded sections) - Anti-Collagen I antibody [EPR7785] (AB138492)

Type I collagen (ab138492) and Type III collagen immunostainings for control, Subtype I, and Subtype II adenomyotic cases.

The type I collagen staining bands for adenomyotic cases were thicker than those of the control uteri, and were seen with more fine muscle bundles. Arrowheads indicate vascular walls. Original magnification : X100. Scale bar = 50μm.

Image from Kishi Y et al., PLoS One. 2017;12(12):e0189522. Fig 2.; doi: 10.1371/journal.pone.0189522. Reproduced under the Creative Commons license http://creativecommons.org/licenses/by/4.0/

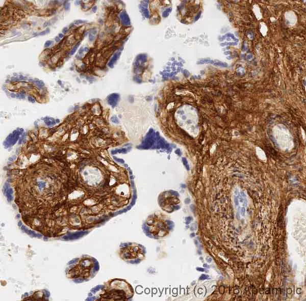
Immunohistochemistry (Formalin/PFA-fixed paraffin-embedded sections) - Anti-Collagen I antibody [EPR7785] (AB138492)
  • IHC-P

Lab

Immunohistochemistry (Formalin/PFA-fixed paraffin-embedded sections) - Anti-Collagen I antibody [EPR7785] (AB138492)

IHC image of Collagen I staining in human placenta formalin fixed paraffin embedded tissue section*, performed on a Leica Bond™ system using the standard protocol B. The section was pre-treated using heat mediated antigen retrieval (EDTA based pH 9.0 solution, epitope retrieval solution 2) for 20 minutes. The section was then incubated with ab138492 at 1/1500, for 15 minutes at room temperature and detected using an HRP conjugated compact polymer system. DAB was used as the chromogen. The section was then counterstained with haematoxylin and mounted with DPX.

For other IHC staining systems (automated and non-automated) customers should optimize variable parameters such as antigen retrieval conditions, primary antibody concentration and antibody incubation times.

*Tissue obtained from the Human Research Tissue Bank, supported by the NIHR Cambridge Biomedical Research Centre

Immunohistochemistry (Formalin/PFA-fixed paraffin-embedded sections) - Anti-Collagen I antibody [EPR7785] (AB138492)
  • IHC-P

AbReview61068****

Immunohistochemistry (Formalin/PFA-fixed paraffin-embedded sections) - Anti-Collagen I antibody [EPR7785] (AB138492)

Paraffin-embedded human skin tissue stained for Collagen I using ab138492 at 1/3000 dilution in immunohistochemical analysis, followed by Goat anti rabbit Alexa Fluor­® 555.

This image is courtesy of an anonymous Abreview.

Immunohistochemistry (Frozen sections) - Anti-Collagen I antibody [EPR7785] (AB138492)
  • IHC-Fr

Supplier Data

Immunohistochemistry (Frozen sections) - Anti-Collagen I antibody [EPR7785] (AB138492)

IHC image of Collagen I staining in a section of frozen human uterus* performed on a Leica Biosystems BOND® RX instrumen using the standard protocol. The section was fixed in 10% paraformaldehyde (10 min) prior to staining. The section was incubated with ab138492, 0.05 ug/ml, for 15 mins at room temperature and detected using an HRP conjugated compact polymer system. DAB was used as the chromogen. The section was then counterstained with haematoxylin and mounted with DPX. The inset secondary-only control image is taken from an identical assay without primary antibody.

For other IHC staining systems (automated and non-automated) customers should optimize variable parameters such as antigen retrieval conditions, primary antibody concentration and antibody incubation times.

*Tissue obtained from the Human Research Tissue Bank, supported by the NIHR Cambridge Biomedical Research Centre.

Western blot - Anti-Collagen I antibody [EPR7785] (AB138492)
  • WB

Lab

Western blot - Anti-Collagen I antibody [EPR7785] (AB138492)

Blocking buffer : 5% NFDM/TBST.

Exposure time : 180 seconds.

All lanes:

Western blot - Anti-Collagen I antibody [EPR7785] (ab138492) at 1/5000 dilution

Lane 1:

HFF-1 (human skin fibroblast) whole cell lysate at 15 µg

Lane 2:

MRC-5 (Human lung fibroblast) whole cell lysate at 15 µg

Secondary

All lanes:

Western blot - Goat Anti-Rabbit IgG H&L (HRP) (<a href='/products/secondary-antibodies/goat-rabbit-igg-h-l-hrp-ab97051'>ab97051</a>) at 1/100000 dilution

Predicted band size: 139 kDa

Observed band size: 220 kDa

false

Western blot - Anti-Collagen I antibody [EPR7785] (AB138492)
  • WB

Lab

Western blot - Anti-Collagen I antibody [EPR7785] (AB138492)

Different batches of ab138492 were tested on HFF-1 (human skin fibroblast) lysate at 0.5 µg/ml. 15 µg of lysate was loaded in each lane. Bands observed at 220 kDa.

All lanes:

Western blot - Anti-Collagen I antibody [EPR7785] (ab138492)

Predicted band size: 139 kDa

false

Western blot - Anti-Collagen I antibody [EPR7785] (AB138492)
  • WB

Lab

Western blot - Anti-Collagen I antibody [EPR7785] (AB138492)

Frozen, ground tissue samples were added to hot lysis buffer (10 mM Tris-HCl (pH 8.0); 1%SDS; 1.0 mM Na-Orthovanadate), boiled for 10-20 minutes and sonicated (3 seconds, 30 intervals).

Blocking buffer and concentration : 5% NFDM/TBST.

Diluting buffer and concentration : 5% NFDM /TBST.

TBST).

The lysate in this image is prepared by 1%SDS Hot lysis method. For Lysate preparation protocol, please refer to the protocol section of the website and/or here.

All lanes:

Western blot - Anti-Collagen I antibody [EPR7785] (ab138492) at 1/5000 dilution

All lanes:

Human skin tissue lysate at 10 µg

Secondary

All lanes:

HRP-conjugated anti-rabbit IgG, specific to the non-reduced form of IgG at 1/5000 dilution

Predicted band size: 139 kDa

Observed band size: 139 kDa

false

Western blot - Anti-Collagen I antibody [EPR7785] (AB138492)
  • WB

PubMed

Western blot - Anti-Collagen I antibody [EPR7785] (AB138492)

Western blot results of Collagen I from ADSCs (human adipose derived stem cells) cultured in RAD16-I alone, RAD/CS or RAD/Decorin. Actin was used as an internal control. Samples were prepared in triplicate; control, control medium; chondro, chondrogenic medium.

Samples were lysed in RIPA buffer with a protease inhibitor cocktail. Acrylamide gels were prepared according to the size of the proteins, generally at concentrations of 7.5% or 10% (w/v). Cell lysates (5 mg) were run by applying 150 V for 90 min. Proteins were transferred to a PVDF membrane by applying 40 V for 2 hours at RT. The membrane was incubated at RT for 2 hours in blocking buffer (BB) consisting of 4% (w/v) nonfat milk powder in PBST. Membranes were incubated for 1 hour at RT with ab138492 at a final concentration of 1 mg/mL in PBST. An anti-rabbit (IgG-HRP) secondary antibody was added, at a final concentration of 1 mg/mL, and incubated at RT for 1 h.

For full image please see paper.

All lanes:

Western blot - Anti-Collagen I antibody [EPR7785] (ab138492)

Predicted band size: 139 kDa

false

Recha-Sancho et al PLoS One. 2016 Jun 17;11(6):e0157603. doi: 10.1371/journal.pone.0157603. eCollection 2016. Fig 7. Reproduced under the Creative Commons license http://creativecommons.org/licenses/by/4.0/

Western blot - Anti-Collagen I antibody [EPR7785] (AB138492)
  • WB

Unknown

Western blot - Anti-Collagen I antibody [EPR7785] (AB138492)

The lysate in this image is prepared by 1%SDS Hot lysis method. For Lysate preparation protocol, please refer to the protocol section of the website and/or here.

All lanes:

Western blot - Anti-Collagen I antibody [EPR7785] (ab138492) at 1/1000 dilution

Lane 1:

Human stomach tissue lysate at 10 µg

Lane 2:

Human skin lysate at 10 µg

Lane 3:

Human adrenal gland lysate at 10 µg

Secondary

Lane 1:

HRP-conjugated goat anti-rabbit IgG at 1/2000 dilution

Lanes 2 - 3:

HRP labelled goat anti-rabbit at 1/2000 dilution

Predicted band size: 139 kDa

false

Western blot - Anti-Collagen I antibody [EPR7785] (AB138492)
  • WB

Lab

Western blot - Anti-Collagen I antibody [EPR7785] (AB138492)

Frozen, ground tissue samples were added to hot lysis buffer (10 mM Tris-HCl (pH 8.0); 1%SDS; 1.0 mM Na-Orthovanadate), boiled for 10-20 minutes and sonicated (3 seconds, 30 intervals).

The blocking and antibody incubations were performed in 5% non-fat milk (TBST).

The lysate in this image is prepared by 1%SDS Hot lysis method. For Lysate preparation protocol, please refer to the protocol section of the website and/or here.

All lanes:

Western blot - Anti-Collagen I antibody [EPR7785] (ab138492) at 1/5000 dilution

All lanes:

Human skin tissue lysate at 10 µg

Secondary

All lanes:

HRP-conjugated anti-rabbit IgG, specific to the non-reduced form of IgG at 1/1000 dilution

Predicted band size: 139 kDa

Observed band size: 139 kDa

false

Western blot - Anti-Collagen I antibody [EPR7785] (AB138492)
  • WB

Lab

Western blot - Anti-Collagen I antibody [EPR7785] (AB138492)

Blocking buffer and concentration : 5% NFDM/TBST. Diluting buffer and concentration : 5% NFDM/TBST. Exposure Time : Lane 1-7 : 180 seconds, Lane 8 : 60 seconds. ab181602 was used as loading control. Compared with ab138492, ab255809 has higher affinity. We recommend ab255809 as an alternative for testing pro-Collagen forms in western blot. ab138492 is specific for pro-Collagen and 139kda mature from, while ab255809 is specific for pro-Collagen and 35kda C-terminal pro peptide. For better using ab255809, we recommend loading higher amount of lysate or using lower antibody dilution.

All lanes:

Western blot - Anti-Collagen I antibody [EPR7785] (ab138492) at 1/1000 dilution

Lane 1:

A549 (Human lung carcinoma epithelial cell) whole cell lysate at 20 µg

Lane 2:

MDA-MB-231 (Human breast adenocarcinoma epithelial cell) whole cell lysate at 20 µg

Lane 3:

MDA-MB-231 (Human breast adenocarcinoma epithelial cell) supernatant lysate at 20 µg

Lane 4:

A431 (Human epidermoid carcinoma epithelial cell) whole cell lysate at 20 µg

Lane 5:

SW480 (Human colorectal adenocarcinoma epithelial cell) whole cell lysate at 20 µg

Lane 6:

Human lung tissue lysate at 20 µg

Lane 7:

Human liver tissue lysate at 20 µg

Lane 8:

HFF-1 (Human Skin fibroblast) whole cell lysate at 20 µg

Secondary

All lanes:

Western blot - Goat Anti-Rabbit IgG H&L (HRP) (<a href='/products/secondary-antibodies/goat-rabbit-igg-h-l-hrp-ab97051'>ab97051</a>) at 1/20000 dilution

Predicted band size: 139 kDa

Observed band size: 220 kDa

false

OI-RD Scanning - Anti-Collagen I antibody [EPR7785] (AB138492)
  • OI-RD Scanning

Unknown

OI-RD Scanning - Anti-Collagen I antibody [EPR7785] (AB138492)

We have systematically measured KD (the equilibrium dissociation constant between the antibody and its antigen), of more than 840 recombinant antibodies to assess not only their individual KD values but also to see the average affinity of antibody. Based on the comparison with published literature values for mouse monoclonal antibodies, Recombinant antibodies appear to be on average 1-2 order of magnitude higher affinity.

不同偶联物与剂型 (8)

关键信息

宿主种属

Rabbit

克隆

Monoclonal

克隆号

EPR7785

亚型

IgG

不含载体蛋白

No

反应种属

Human

应用

IHC-Fr, IHC-P, ICC/IF, WB

applications

免疫原

The exact immunogen used to generate this antibody is proprietary information.

特异性

Compared with ab138492, ab255809 has higher affinity. We recommend ab255809 as an alternative for testing pro-Collagen forms in western blot. ab138492 works in western blot in samples with high level of collagen I, like HFF-1, MRC-5, skin tissue etc.

ab138492 is specific for pro-Collagen and 139kda mature from, while ab255809 is specific for pro-Collagen and 35kda C-terminal pro peptide.

Please navigate to the Product Protocol section for specificity details in Chinese.

反应性数据

{ "title": "Reactivity Data", "filters": { "stats": ["", "Species", "Dilution Info", "Notes"], "tabs": { "all-applications": {"fullname" : "All Applications", "shortname": "All Applications"}, "ICCIF" : {"fullname" : "Immunocytochemistry/ Immunofluorescence", "shortname":"ICC/IF"}, "WB" : {"fullname" : "Western blot", "shortname":"WB"}, "IHCFr" : {"fullname" : "Immunohistochemistry (Frozen sections)", "shortname":"IHC-Fr"}, "IHCP" : {"fullname" : "Immunohistochemistry (Formalin/PFA-fixed paraffin-embedded sections)", "shortname":"IHC-P"} }, "product-promise": { "all": "all", "testedAndGuaranteed": "tested", "guaranteed": "expected", "predicted": "predicted", "notRecommended": "not-recommended" } }, "values": { "Human": { "ICCIF-species-checked": "testedAndGuaranteed", "ICCIF-species-dilution-info": "0.4 µg/mL", "ICCIF-species-notes": "<p></p>", "WB-species-checked": "testedAndGuaranteed", "WB-species-dilution-info": "1/1000 - 1/10000", "WB-species-notes": "<p>Sample preparation: frozen, ground tissue samples were added to hot lysis buffer (10 mM Tris-HCl (pH 8.0); 1%SDS; 1.0 mM Na-Orthovanadate), boiled for 10-20 minutes and sonicated (3 seconds at 40kW, 30 intervals) prior to centrifugation.</p><p>Positive Control: Hu stomach, skin and adrenal gland tissue lysates.</p><p>Acid or enzyme treatment with pepsin is a better method to isolate collagen.<br>Continuous refrigeration throughout collagen extraction is important to avoid degradation and denaturation.<br>Take care with pH, temperature, and concentration to avoid collagen polymerization.</p>", "IHCFr-species-checked": "testedAndGuaranteed", "IHCFr-species-dilution-info": "0.1-0.5 µg/mL", "IHCFr-species-notes": "<p></p>", "IHCP-species-checked": "testedAndGuaranteed", "IHCP-species-dilution-info": "1/1500", "IHCP-species-notes": "<p><a href='/products/primary-antibodies/rabbit-igg-monoclonal-epr25a-isotype-control-ab172730'>ab172730</a> - Rabbit monoclonal IgG, is suitable for use as an isotype control with this antibody.</p> Perform heat-mediated antigen retrieval before commencing with IHC staining protocol." }, "Cow": { "ICCIF-species-checked": "predicted", "ICCIF-species-dilution-info": "", "ICCIF-species-notes": "", "WB-species-checked": "predicted", "WB-species-dilution-info": "", "WB-species-notes": "", "IHCFr-species-checked": "predicted", "IHCFr-species-dilution-info": "", "IHCFr-species-notes": "", "IHCP-species-checked": "predicted", "IHCP-species-dilution-info": "", "IHCP-species-notes": "" } } }

产品详情

Anti-Collagen I antibody [EPR7785] (ab138492) was developed by Abcam using patented rabbit monoclonal antibody technology and is validated for use in ICC/IF, IHC-Fr IHC-P and WB.

Anti-Collagen I antibody [EPR7785] (ab138492) was first used in a scientific publication in 2014 and has been cited over 253 times in peer reviewed journals. It's performance in Western Blot and IHC in human samples is trusted by the scientific community.

Abcam's high quality manufacturing and validation processes ensure Anti-Collagen I antibody [EPR7785] (ab138492) has high sensitivity and specificity alongside high lot-to-lot consistency and reproducibility.

The specificity of Anti-Collagen I antibody [EPR7785] (ab138492) has been confirmed by testing in Collagen I knockout cells.

Anti-Collagen I antibody [EPR7785] (ab138492) has 34 independent reviews from customers.

Anti-Collagen I antibody [EPR7785] (ab138492) specifically detects Collagen I (UniProt ID: P02452; Molecular weight: 95kDa) and is sold in 100 µL and 1 mL selling sizes.

Conjugation-ready, carrier free format available for antibody clone EPR7785 - ab215969.

Antibody clone EPR7785 is also available pre-conjugated to a variety of labels for your convenience - Alexa Fluor® 488, Alexa Fluor® 647, Alexa Fluor® 594, Alexa Fluor® 568, Alexa Fluor® 555, Alexa Fluor® 750 (ab275996, ab280968, ab311739, ab313018, ab313221, ab321114).

Collagen I modulates the tumor microenvironment by enhancing tissue rigidity and facilitating neoplastic cell proliferation. Additionally, it contributes to immune evasion by forming a structural barrier that impedes T-cell infiltration and activity.

Species reactivity
Mouse, Rat: We have preliminary internal testing data to indicate this antibody may not react with these species.
Please contact us for more information.

Patented technology
Our RabMAb® technology is a patented hybridoma-based technology for making rabbit monoclonal antibodies. For details on our patents, please refer to RabMAb® patents.

What are the advantages of a recombinant monoclonal antibody?
This product is a recombinant monoclonal antibody, which offers several advantages including:

  • - High batch-to-batch consistency and reproducibility
  • - Improved sensitivity and specificity
  • - Long-term security of supply
  • - Animal-free batch production

For more information, read more on recombinant antibodies.

性能和储存信息

形式
Liquid
纯化工艺
Affinity purification Protein A
存储溶液
Preservative: 0.01% Sodium azide Constituents: PBS, 40% Glycerol (glycerin, glycerine), 0.05% BSA
运输条件
Blue Ice
推荐的短期储存时间
1-2 weeks
推荐的短期储存条件
+4°C
推荐的长期储存条件
-20°C
分装信息
Upon delivery aliquot
储存信息
Avoid freeze / thaw cycle

补充信息

This supplementary information is collated from multiple sources and compiled automatically.

Collagen type I also called collagen I is a structural protein expressed mainly in connective tissues such as skin tendon bone and ligaments. It serves as an important component in providing mechanical strength and integrity to these tissues. Collagen I is a fibrillar collagen known for its triple-helix structure composed of two alpha-1 chains and one alpha-2 chain and has a molecular mass of approximately 300 kDa. Researchers often employ collagen western blot and collagen ELISA techniques for its detection. Collagen suppliers offer various collagen antibodies used in these assays to study its distribution and function.
Biological function summary

Collagen type I plays a central role in maintaining the extracellular matrix and supporting cellular environments. It interacts with other matrix proteins and cells forming complexes that help in tissue development and repair. Type I collagen is especially important in bone matrix working alongside minerals like hydroxyapatite to provide rigidity and support. Anti-collagen antibodies aid in studying its biological functions and interactions which are critical to understanding tissue dynamics.

Pathways

Collagen type I interacts with multiple signaling cascades involved in tissue remodeling and repair. It is a significant player in the TGF-β pathway which regulates fibrosis and wound healing processes. In these pathways proteins such as fibronectin and integrins work in concert with collagen type I to orchestrate cellular responses to damage. Researchers often examine its role in these pathways to uncover therapeutic possibilities for disease interventions.

Collagen type I has strong connections to conditions like osteogenesis imperfecta and fibrosis. Mutations or irregularities in collagen I production can lead to osteogenesis imperfecta a genetic disorder characterized by brittle bones. In fibrosis excessive collagen deposition disrupts normal tissue architecture contributing to organ dysfunction. In both conditions type I collagen interacts with other proteins like matrix metalloproteinases which modulate its breakdown and remodeling highlighting its importance in disease pathology.

产品实验方案

For this product, it's our understanding that no specific protocols are required. You can visit:

靶点信息

Type I collagen is a member of group I collagen (fibrillar forming collagen).
See full target information COL1A1

文献 (428)

Recent publications for all applications. Explore the full list and refine your search

Communications biology 8:1387 PubMed41028816

2025

Uncovering a fibroblast differentiation-based keloid classification by integration of single-cell and bulk RNA sequencing.

Applications

Unspecified application

Species

Unspecified reactive species

Wei Zhang,Jianyu Lu,Xirui Tong,Sujie Xie,Shuyuan Xian,Yifan Liu,Jiale Yan,Weijin Qian,Hanlin Sun,Yushu Zhu,Luofeng Jiang,Xinya Guo,Xinran Ding,Yixu Li,Chenguang Bai,Runzhi Huang,Zhaofan Xia,Shizhao Ji

Current issues in molecular biology 47: PubMed41020815

2025

The Axis Modulates the Immunosuppressive Tumor Microenvironment and Predicts Immunotherapy Response in Hepatocellular Carcinoma.

Applications

Unspecified application

Species

Unspecified reactive species

Zhenxing Wang,Xia Li,Shiyi Zhang,Jiamin Sun,Qinchen Lu,Yuting Tao,Shuang Liang,Xiuwan Lan,Jianhong Zhong,Qiuyan Wang

BMC nephrology 26:526 PubMed41013408

2025

INHBA knockdown inhibits renal fibrosis in mice following ischemia-reperfusion injury by suppressing activation of the TGF-β/Smad signaling pathway.

Applications

Unspecified application

Species

Unspecified reactive species

Yifei Wang,Qiao Tang,Qian Sun

Molecular medicine reports 32: PubMed40999952

2025

HSPD1 regulates angiotensin II‑induced atrial fibrillation via the PPAR signaling pathway.

Applications

Unspecified application

Species

Unspecified reactive species

Yimeng Zhou,Lianzhi Zhang,Shunping Zhou,Wenjia Zhang,Qunlin Gong,Nan Xu,Jiahong Wang,Zhong Zhang,Nannan Chen

The Korean journal of physiology & pharmacology : official journal of the Korean Physiological Society and the Korean Society of Pharmacology : PubMed40947964

2025

Eupatilin alleviates right ventricular fibrosis in rats with pulmonary hypertension induced by monocrotaline.

Applications

Unspecified application

Species

Unspecified reactive species

Tonggang Zhu,Xue Xiao,Xue Li,Zhenkun Liu

Biomaterials and biosystems 19:100120 PubMed40927617

2025

Utilizing biomaterials for laryngeal respiratory mucosal tissue repair in an animal model.

Applications

Unspecified application

Species

Unspecified reactive species

Mohsen Salary,Saleh Mohebbi,Aslan Ahmadi,Zohreh Bagher,Mohamad Pezeshki-Modaress,Hossein Aminianfar,Saeed Farzad-Mohajeri,Nazanin Samiei,Farzad Taghizadeh-Hesary,Hadi Ghanbari

ACS omega 10:36994-37003 PubMed40893218

2025

Potential Antiphotoaging Effect of Human Cathelicidin LL-37 Fragments and KR-12 Analogs on UVB-Induced HaCaT Cells and UVA-Induced HDF Cells.

Applications

Unspecified application

Species

Unspecified reactive species

Menggeng Li,Jing Wang,Peng Shu,Xueqing Chen,Yizhen Yan,Jiangming Zhong,Nan Zhao,Ling Liang,Zhao Liu

Materials today. Bio 34:102234 PubMed40893347

2025

Cationic microbubble loading hSIRT3 and hTIMP3 optimize cardiac-targeted delivery and myocardial protection in the porcine MI/R model.

Applications

Unspecified application

Species

Unspecified reactive species

Peian Cai,Kegong Chen,Xionghai Qin,Xingpei Jiang,Xuan Jiao,Kexun Liu,Erliang Guo,Zipeng Li,Xianxin Qiu,Chang Liu,Lu Sun,Junbo Chuai,Jie Wu,Wei Chen,Hai Tian

Brazilian journal of medical and biological research = Revista brasileira de pesquisas medicas e biologica 58:e14540 PubMed40862456

2025

Pitavastatin reduces intestinal fibrosis in chronic colitis and inhibits colon fibroblast activation by enhancing MMP-9 expression via the IGF-1/IGF-1R pathway.

Applications

Unspecified application

Species

Unspecified reactive species

Mengran Zhang,Hongping Lu,Jun Cheng

BMC biology 23:268 PubMed40859304

2025

Cranial base synostosis in mice caused by upregulation of Wnt following partial inhibition of Shh.

Applications

Unspecified application

Species

Unspecified reactive species

Jiangping Chen,Chengyan Ren,Chuanqing Mao,Yongzhen Lai,Meng Lu,Yuanjing Jiang,Weihui Chen
View all publications
websiteProtocolBooklet
en
websiteProtocolBooklet
zh

Abcam Product Promise

我们致力于为您的研究提供高质量的试剂,为您科研的每一步提供支持。若我们的产品未能达到预期性能,我们向您提供 Abcam Product Promise 保障。
详情请参阅我们的条款与条件。

Please note: All products are 'FOR RESEARCH USE ONLY. NOT FOR USE IN DIAGNOSTIC OR THERAPEUTIC PROCEDURES'.

For licensing inquiries, please contact partnerships@abcam.com