JavaScript is disabled in your browser. Please enable JavaScript to view this website.
AB184099

重组Anti-Clusterin beta chain抗体[EPR17538-101]

Anti-Clusterin beta chain antibody [EPR17538-101]

  • BOND RX™ Validated
  • RabMAb
  • Recombinant
  • KO Validated
  • 了解详情

Be the first to review this product! Submit a review

|

(2 Publications)

Rabbit Recombinant Monoclonal Clusterin antibody. Suitable for WB, IHC-P and reacts with Mouse, Rat samples. Cited in 2 publications.

查看别名

Apoj, Msgp-2, Clu, Clusterin, Apolipoprotein J, Clustrin, Sulfated glycoprotein 2, Apo-J, SGP-2

8 Images
Immunohistochemistry (Formalin/PFA-fixed paraffin-embedded sections) - Anti-Clusterin beta chain antibody [EPR17538-101] (AB184099)
  • IHC-P

Supplier Data

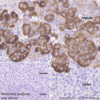
Immunohistochemistry (Formalin/PFA-fixed paraffin-embedded sections) - Anti-Clusterin beta chain antibody [EPR17538-101] (AB184099)

Immunohistochemical analysis of paraffin-embedded rat adrenal gland tissue labeling Clusterin with ab184099 at 1/1000 dilution, followed by a ready to use Goat Anti-Rabbit IgG H&L (HRP). Stronger cytoplasmic staining in the medulla than the cortex of rat adrenal gland (PMID : 16436671) is observed. Counter stained with hematoxylin.

Secondary antibody only control : Used PBS instead of primary antibody, secondary antibody is a ready to use Goat Anti-Rabbit IgG H&L (HRP).

Perform heat mediated antigen retrieval with Tris/EDTA buffer pH 9.0 before commencing with IHC staining protocol.

Immunohistochemistry (Formalin/PFA-fixed paraffin-embedded sections) - Anti-Clusterin beta chain antibody [EPR17538-101] (AB184099)
  • IHC-P

Lab

Immunohistochemistry (Formalin/PFA-fixed paraffin-embedded sections) - Anti-Clusterin beta chain antibody [EPR17538-101] (AB184099)

Immunohistochemical analysis of paraffin-embedded (A) Adrenal gland tissue from wild-type C57BL/6J mice (B) Adrenal gland tissue from Clusterin knockout mice staining with ab184099 at 1/2000 dilution and ready-to-use Goat Anti-Rabbit IgG H&L (HRP) secondary. Counterstaining with hematoxylin. Heat mediated antigen retrieval was performed with Citrate buffer (pH 6.0, Epitope Retrieval Solution 1) for 20 mins. Positive staining on (A) Adrenal gland tissue from wild-type C57BL/6J mice and no staining on (B) Adrenal gland tissue from Clusterin knockout mice. The section was incubated with ab184099 for 30 mins at room temperature. The immunostaining was performed on a Leica Biosystems BOND™ RX instrument.The tissue samples were kindly provided by GemPharmatech. C57BL/6JGpt wildtype mice and Clusterin-KO homozygous mice (Strain ID : T014419).

Immunohistochemistry (Formalin/PFA-fixed paraffin-embedded sections) - Anti-Clusterin beta chain antibody [EPR17538-101] (AB184099)
  • IHC-P

Lab

Immunohistochemistry (Formalin/PFA-fixed paraffin-embedded sections) - Anti-Clusterin beta chain antibody [EPR17538-101] (AB184099)

Immunohistochemical analysis of paraffin-embedded (A) Spleen tissue from wild-type C57BL/6J mice (B) Spleen tissue from Clusterin knockout mice staining with ab184099 at 1/2000 dilution and ready-to-use Goat Anti-Rabbit IgG H&L (HRP) secondary. Counterstaining with hematoxylin. Heat mediated antigen retrieval was performed with Citrate buffer (pH 6.0, Epitope Retrieval Solution 1) for 20 mins. Positive staining on (A) Spleen tissue from wild-type C57BL/6J mice and no staining on (B) Spleen tissue from Clusterin knockout mice. The section was incubated with ab184099 for 30 mins at room temperature. The immunostaining was performed on a Leica Biosystems BOND™ RX instrument. The tissue samples were kindly provided by GemPharmatech. C57BL/6JGpt wildtype mice and Clusterin-KO homozygous mice (Strain ID : T014419).

Immunohistochemistry (Formalin/PFA-fixed paraffin-embedded sections) - Anti-Clusterin beta chain antibody [EPR17538-101] (AB184099)
  • IHC-P

Supplier Data

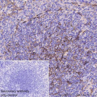
Immunohistochemistry (Formalin/PFA-fixed paraffin-embedded sections) - Anti-Clusterin beta chain antibody [EPR17538-101] (AB184099)

Immunohistochemical analysis of paraffin-embedded mouse spleen tissue labeling Clusterin with ab184099 at 1/1000 dilution, followed by a ready to use Goat Anti-Rabbit IgG H&L (HRP). Positive staining in stromal cells of mouse spleen (PMID : 24865838) is observed. Counter stained with Hematoxylin.

Secondary antibody only control : Used PBS instead of primary antibody, secondary antibody is a ready to use Goat Anti-Rabbit IgG H&L (HRP).

Perform heat mediated antigen retrieval with Tris/EDTA buffer pH 9.0 before commencing with IHC staining protocol.

Immunohistochemistry (Formalin/PFA-fixed paraffin-embedded sections) - Anti-Clusterin beta chain antibody [EPR17538-101] (AB184099)
  • IHC-P

Lab

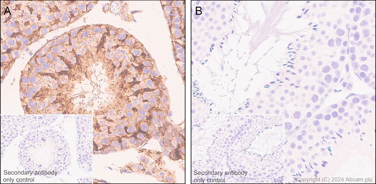
Immunohistochemistry (Formalin/PFA-fixed paraffin-embedded sections) - Anti-Clusterin beta chain antibody [EPR17538-101] (AB184099)

Immunohistochemical analysis of paraffin-embedded (A) Testis tissue from wild-type C57BL/6J mice (B) Testis tissue from Clusterin knockout mice staining with ab184099 at 1/2000 dilution and ready-to-use Goat Anti-Rabbit IgG H&L (HRP) secondary. Counterstaining with hematoxylin. Heat mediated antigen retrieval was performed with Citrate buffer (pH 6.0, Epitope Retrieval Solution 1) for 20 mins. Positive staining on (A) Testis tissue from wild-type C57BL/6J mice and no staining on (B) Testis tissue from Clusterin knockout mice. The section was incubated with ab184099 for 30 mins at room temperature. The immunostaining was performed on a Leica Biosystems BOND™ RX instrument. The tissue samples were kindly provided by GemPharmatech. C57BL/6JGpt wildtype mice and Clusterin-KO homozygous mice (Strain ID : T014419).

Western blot - Anti-Clusterin beta chain antibody [EPR17538-101] (AB184099)
  • WB

Supplier Data

Western blot - Anti-Clusterin beta chain antibody [EPR17538-101] (AB184099)

Blocking and dilution buffer : 5% NFDM/TBST.

Exposure times.

Lanes 1 & 2 : 5 seconds.

Lane 3 : 3 seconds.

Lane 4 : 1 minute.

The molecular masses observed are consistent with what has been described in the literature (PMID : 8373947).

All lanes:

Western blot - Anti-Clusterin beta chain antibody [EPR17538-101] (ab184099) at 1/1000 dilution

Lane 1:

Mouse serum at 20 µg

Lane 2:

Rat serum at 20 µg

Lane 3:

Mouse testis tissue lysate at 20 µg

Lane 4:

Rat testis tissue lysate at 20 µg

Secondary

All lanes:

Western blot - Goat Anti-Rabbit IgG H&L (HRP) (<a href='/products/secondary-antibodies/goat-rabbit-igg-h-l-hrp-ab97051'>ab97051</a>) at 1/100000 dilution

Predicted band size: 52 kDa

Observed band size: 33 kDa,70 kDa

true

Western blot - Anti-Clusterin beta chain antibody [EPR17538-101] (AB184099)
  • WB

Supplier Data

Western blot - Anti-Clusterin beta chain antibody [EPR17538-101] (AB184099)

Blocking and dilution buffer : 5% NFDM/TBST .

Exposure times.

Lanes 1, 2 & 3 : 3 minutes.

Lane 4 : 53 seconds.

Lanes 5 & 6 : 100 seconds.

The molecular masses observed are consistent with what has been described in the literature (PMID : 8373947).

The blot was developed on a BIO-RAD® ChemiDoc™ MP instrument

All lanes:

Western blot - Anti-Clusterin beta chain antibody [EPR17538-101] (ab184099) at 1/1000 dilution

Lane 1:

Mouse lung tissue lysate at 20 µg

Lane 2:

Mouse adrenal gland tissue lysate at 20 µg

Lane 3:

Rat adrenal gland tissue lysate at 20 µg

Lane 4:

Rat lung tissue lysate at 20 µg

Lane 5:

Mouse stomach tissue lysate at 20 µg

Lane 6:

Rat stomach tissue lysate at 20 µg

Secondary

All lanes:

Western blot - Goat Anti-Rabbit IgG H&L (HRP) (<a href='/products/secondary-antibodies/goat-rabbit-igg-h-l-hrp-ab97051'>ab97051</a>) at 1/100000 dilution

Predicted band size: 52 kDa

Observed band size: 33 kDa,70 kDa

true

Western blot - Anti-Clusterin beta chain antibody [EPR17538-101] (AB184099)
  • WB

Lab

Western blot - Anti-Clusterin beta chain antibody [EPR17538-101] (AB184099)

The tissue samples were kindly provided by GemPharmatech. C57BL/6JGpt wildtype mice and Clusterin-KO homozygous mice (Strain ID : T014419).

All lanes:

Western blot - Anti-Clusterin beta chain antibody [EPR17538-101] (ab184099) at 1/1000 dilution

Lane 1:

Wild-type mouse adrenal gland tissue lysate (male)

Lane 2:

Clusterin knockout adrenal gland tissue lysate (male)

Lane 3:

Wild-type mouse spleen tissue lysate (male)

Lane 4:

Clusterin knockout spleen tissue lysate (male)

Lane 5:

Wild-type mouse testis tissue lysate (male)

Lane 6:

Clusterin knockout testis tissue lysate (male)

Lane 7:

Wild-type mouse adrenal gland tissue lysate (female)

Lane 8:

Clusterin knockout adrenal gland tissue lysate (female)

Lane 9:

Wild-type mouse spleen tissue lysate (female)

Lane 10:

Clusterin knockout spleen tissue lysate (female)

false

关键信息

宿主种属

Rabbit

克隆

Monoclonal

克隆号

EPR17538-101

亚型

IgG

不含载体蛋白

No

反应种属

Mouse, Rat

应用

IHC-P, WB

applications

免疫原

The exact immunogen used to generate this antibody is proprietary information.

反应性数据

{ "title": "Reactivity Data", "filters": { "stats": ["", "Species", "Dilution Info", "Notes"], "tabs": { "all-applications": {"fullname" : "All Applications", "shortname": "All Applications"}, "WB" : {"fullname" : "Western blot", "shortname":"WB"}, "IHCP" : {"fullname" : "Immunohistochemistry (Formalin/PFA-fixed paraffin-embedded sections)", "shortname":"IHC-P"} }, "product-promise": { "all": "all", "testedAndGuaranteed": "tested", "guaranteed": "expected", "predicted": "predicted", "notRecommended": "not-recommended" } }, "values": { "Mouse": { "WB-species-checked": "testedAndGuaranteed", "WB-species-dilution-info": "1/1000", "WB-species-notes": "<p></p>", "IHCP-species-checked": "testedAndGuaranteed", "IHCP-species-dilution-info": "1/1000", "IHCP-species-notes": "<p></p>" }, "Rat": { "WB-species-checked": "testedAndGuaranteed", "WB-species-dilution-info": "1/1000", "WB-species-notes": "<p></p>", "IHCP-species-checked": "testedAndGuaranteed", "IHCP-species-dilution-info": "1/1000", "IHCP-species-notes": "<p></p>" } } }

产品详情

Patented technology
Our RabMAb® technology is a patented hybridoma-based technology for making rabbit monoclonal antibodies. For details on our patents, please refer to RabMAb® patents.

What are the advantages of a recombinant monoclonal antibody?
This product is a recombinant monoclonal antibody, which offers several advantages including:

  • - High batch-to-batch consistency and reproducibility
  • - Improved sensitivity and specificity
  • - Long-term security of supply
  • - Animal-free batch production

For more information, read more on recombinant antibodies.

性能和储存信息

形式
Liquid
纯化工艺
Affinity purification Protein A
存储溶液
pH: 7.2 Preservative: 0.01% Sodium azide Constituents: PBS, 40% Glycerol (glycerin, glycerine), 0.05% BSA
运输条件
Blue Ice
推荐的短期储存时间
1-2 weeks
推荐的短期储存条件
+4°C
推荐的长期储存条件
-20°C
分装信息
Upon delivery aliquot
储存信息
Avoid freeze / thaw cycle

补充信息

This supplementary information is collated from multiple sources and compiled automatically.

Clusterin beta chain also known as Apolipoprotein J is part of the clusterin protein complex that goes through heterodimerization to form a mature glycoprotein composed of alpha and beta chains. The estimated mass of the clusterin beta chain subunit is around 35-40 kDa. This protein is present in many tissues throughout the body with higher expression noted in the brain testes and kidneys as well as in blood plasma. It functions in molecular chaperoning and stabilizes numerous proteins and cells under stressful conditions.
Biological function summary

Clusterin beta chain engages in diverse functions related to cell apoptosis cell signaling and lipid transport. It is part of a secreted glycoprotein complex that includes an alpha chain. In the extracellular space it plays a significant role in inhibiting programmed cell death while also engaging in the regulation of immune responses. Its molecular chaperone capability safeguards cells from aggregation-prone stressors.

Pathways

Clusterin beta chain interacts with pathways associated with neuroprotection and immune regulation. It significantly participates in the apoptosis signaling pathway where it relates to other proteins such as Bax and Bcl-2 family members. Additionally its presence in the complement cascade relates it to complement component proteins such as C1q and C3 indicating its involvement in immune responses.

Clusterin beta chain relates strongly to neurodegenerative diseases and some cancers. In Alzheimer's disease its interaction with amyloid-beta highlights its potential impact in amyloid plaque formation and clearance. It associates with amyloid precursor proteins in the disease mechanism. Furthermore in various cancer progressions its altered expression links to tumor suppression and metastasis. Proteins like p53 and Hsp70 display interactions with clusterin beta chain within these contexts influencing tumor cell survival and spread.

产品实验方案

For this product, it's our understanding that no specific protocols are required. You can visit:

靶点信息

Functions as extracellular chaperone that prevents aggregation of non native proteins. Prevents stress-induced aggregation of blood plasma proteins (By similarity). Inhibits formation of amyloid fibrils by APP, APOC2, B2M, CALCA, CSN3, SNCA and aggregation-prone LYZ variants (in vitro) (PubMed : 14741101). Does not require ATP. Maintains partially unfolded proteins in a state appropriate for subsequent refolding by other chaperones, such as HSPA8/HSC70. Does not refold proteins by itself. Binding to cell surface receptors triggers internalization of the chaperone-client complex and subsequent lysosomal or proteasomal degradation. When secreted, protects cells against apoptosis and against cytolysis by complement. Intracellular forms interact with ubiquitin and SCF (SKP1-CUL1-F-box protein) E3 ubiquitin-protein ligase complexes and promote the ubiquitination and subsequent proteasomal degradation of target proteins. Promotes proteasomal degradation of COMMD1 and IKBKB. Modulates NF-kappa-B transcriptional activity (By similarity). Following stress, promotes apoptosis (PubMed : 12551933). Inhibits apoptosis when associated with the mitochondrial membrane by interference with BAX-dependent release of cytochrome c into the cytoplasm. Plays a role in the regulation of cell proliferation. Following ER stress, suppresses stress-induced apoptosis by stabilizing mitochondrial membrane integrity through interaction with HSPA5. When secreted, does not affect caspase or BAX-mediated intrinsic apoptosis and TNF-induced NF-kappa-B-activity (By similarity). When secreted, acts as an important modulator during neuronal differentiation through interaction with STMN3 (By similarity). Plays a role in the clearance of immune complexes that arise during cell injury (PubMed : 11865066).
See full target information Clu

文献 (2)

Recent publications for all applications. Explore the full list and refine your search

ACS chemical biology 18:494-507 PubMed36877831

2023

PROTAC Linkerology Leads to an Optimized Bivalent Chemical Degrader of Polycomb Repressive Complex 2 (PRC2) Components.

Applications

Unspecified application

Species

Unspecified reactive species

Frances M Bashore,Caroline A Foley,Han Wee Ong,Justin M Rectenwald,Ronan P Hanley,Jacqueline L Norris-Drouin,Stephanie H Cholensky,Christine A Mills,Kenneth H Pearce,Laura E Herring,Dmitri Kireev,Stephen V Frye,Lindsey I James

Frontiers in genetics 11:565479 PubMed33250918

2020

Comprehensive Proteomic Profiling of Urinary Exosomes and Identification of Potential Non-invasive Early Biomarkers of Alzheimer's Disease in 5XFAD Mouse Model.

Applications

Unspecified application

Species

Unspecified reactive species

Zhiqi Song,Yanfeng Xu,Ling Zhang,Li Zhou,Yu Zhang,Yunlin Han,Xianglei Li,Pin Yu,Yajin Qu,Wenjie Zhao,Chuan Qin
View all publications

Abcam Product Promise

我们致力于为您的研究提供高质量的试剂,为您科研的每一步提供支持。若我们的产品未能达到预期性能,我们向您提供 Abcam Product Promise 保障。
详情请参阅我们的条款与条件。

Please note: All products are 'FOR RESEARCH USE ONLY. NOT FOR USE IN DIAGNOSTIC OR THERAPEUTIC PROCEDURES'.

For licensing inquiries, please contact partnerships@abcam.com