JavaScript is disabled in your browser. Please enable JavaScript to view this website.
AB32064

Anti-Cleaved PARP1 抗体 [E51]

Anti-Cleaved PARP1 antibody [E51]

  • RabMAb
  • Recombinant
  • KO Validated
  • Lab Essentials
  • 20ul selling size
  • 了解详情

4

(18 Reviews)

|

(526 Publications)

Anti-Cleaved PARP1 antibody [E51] (ab32064) is a rabbit monoclonal antibody detecting Cleaved PARP1 in Western Blot, IHC-P. Suitable for Human, Mouse, Rat.

- KO validated for confirmed specificity
- Biophysical QC for unrivalled batch-batch consistency
- Over 400 publications
- Trusted since 2006

查看别名

ADPRT, PPOL, PARP1, Poly [ADP-ribose] polymerase 1, PARP-1, ADP-ribosyltransferase diphtheria toxin-like 1, DNA ADP-ribosyltransferase PARP1, NAD(+) ADP-ribosyltransferase 1, Poly[ADP-ribose] synthase 1, Protein poly-ADP-ribosyltransferase PARP1, ARTD1, ADPRT 1

12 Images
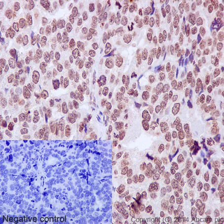
Immunohistochemistry (Formalin/PFA-fixed paraffin-embedded sections) - Anti-Cleaved PARP1 antibody [E51] (AB32064)
  • IHC-P

Lab

Immunohistochemistry (Formalin/PFA-fixed paraffin-embedded sections) - Anti-Cleaved PARP1 antibody [E51] (AB32064)

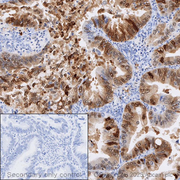
Immunohistochemical analysis of formalin fixed paraffin embedded human ovarian carcinoma labelling Cleaved PARP1 with ab32064 at a concentration of 0.5µg/ml. The immunostaining was performed on a Ventana DISCOVERY ULTRA (Roche Tissue Diagnostics) instrument with a OptiView DAB IHC Detection Kit. Heat mediated antigen retrieval was performed with DISCOVERY cell conditioning solution (CC1) 100°C, pH8.5 for 32mins. ab32064 anti-Cleaved PARP1 antibody [E51] was incubated for 16mins at 37°C. Sections were counterstained with Hematoxylin II. Image inset shows absence of staining in secondary antibody only control.

Customers are encouraged to optimise antigen retrieval conditions, antibody concentration, incubation times and temperature for best results in their own IHC assay workflow (automated and manual).

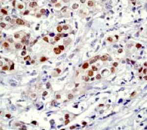
Immunohistochemistry (Formalin/PFA-fixed paraffin-embedded sections) - Anti-Cleaved PARP1 antibody [E51] (AB32064)
  • IHC-P

Unknown

Immunohistochemistry (Formalin/PFA-fixed paraffin-embedded sections) - Anti-Cleaved PARP1 antibody [E51] (AB32064)

Immunohistochemical staining of paraffin embedded human breast carcinoma tissue with unpurified ab32064 at a 1/100 dilution.

Immunohistochemistry (Formalin/PFA-fixed paraffin-embedded sections) - Anti-Cleaved PARP1 antibody [E51] (AB32064)
  • IHC-P

Unknown

Immunohistochemistry (Formalin/PFA-fixed paraffin-embedded sections) - Anti-Cleaved PARP1 antibody [E51] (AB32064)

Immunohistochemical staining of paraffin embedded human ovarian carcinoma with purified ab32064 at a working dilution of 1 in 100. The secondary antibody used is a HRP polymer for rabbit IgG. Counterstained with hematoxylin. Antigen retrieval was perfomed using Tris-EDTA buffer, pH 9.0.

PBS was used instead of the primary antibody as the negative control (inset).

Immunohistochemistry (Formalin/PFA-fixed paraffin-embedded sections) - Anti-Cleaved PARP1 antibody [E51] (AB32064)
  • IHC-P

Unknown

Immunohistochemistry (Formalin/PFA-fixed paraffin-embedded sections) - Anti-Cleaved PARP1 antibody [E51] (AB32064)

Immunohistochemical staining of paraffin embedded rat colon with purified ab32064 at a working dilution of 1/100. The secondary antibody used is a HRP polymer for rabbit IgG. The sample is counterstained with hematoxylin. Antigen retrieval was perfomed using Tris-EDTA buffer, pH 9.0.

PBS was used instead of the primary antibody as the negative control (inset).

Western blot - Anti-Cleaved PARP1 antibody [E51] (AB32064)
  • WB

Lab

Western blot - Anti-Cleaved PARP1 antibody [E51] (AB32064)

Lanes 1 - 6 : Merged signal (red and green). Green - ab32064 observed at 27 kDa. Red - loading control ab8245 (Mouse anti-GAPDH antibody [6C5]) observed at 37 kDa.

ab32064 was shown to react with Cleaved PARP1 in wild-type HAP1 cells in Western blot with loss of signal observed in PARP1 knockout sample.Wild-type HAP1 and PARP1 knockout cell lysates were subjected to SDS-PAGE. Membranes were blocked in 3 % milk in TBS-T (0.1 % Tween®) before incubation with ab32064 and ab8245 (Mouse anti-GAPDH antibody [6C5]) overnight at 4°C at a 1 in 10000 dilution and a 1 in 20000 dilution respectively. Blots were incubated with Goat anti-Rabbit IgG H&L (IRDye® 800CW) preabsorbed (ab216773) and Goat anti-Mouse IgG H&L (IRDye® 680RD) preabsorbed (ab216776) secondary antibodies at 1 in 20000 dilution for 1 h at room temperature before imaging.

All lanes:

Western blot - Anti-Cleaved PARP1 antibody [E51] (ab32064) at 1/10000 dilution

Lane 1:

Wild-type (1uM Staurosporine for 3hrs) HAP1 cell lysate at 20 µg

Lane 2:

Wild-type (Staurosporine control) HAP1 cell lysate at 20 µg

Lane 3:

PARP1 knockout (1uM Staurosporine for 3hrs) HAP1 cell lysate at 20 µg

Lane 4:

PARP1 knockout (Staurosporine control) HAP1 cell lysate at 20 µg

Lane 5:

HeLa (1uM Staurosporine for 3hrs) cell lysate at 20 µg

Lane 6:

HeLa cell lysate at 20 µg

Predicted band size: 113 kDa

Observed band size: 27 kDa

false

Western blot - Anti-Cleaved PARP1 antibody [E51] (AB32064)
  • WB

Lab

Western blot - Anti-Cleaved PARP1 antibody [E51] (AB32064)

Western blot : Anti-PARP1 antibody [E51] (ab32064) staining at 1/10000 dilution, shown in green; Mouse anti-Alpha Tubulin [DM1A] (ab7291) loading control staining at 1/20000 dilution, shown in magenta. In Western blot, ab32064 was shown to bind specifically to PARP1. A band was observed at 27 kDa in wild-type A549 cell lysates with no signal observed at this size in PARP1 knockout cell line. To generate this image, wild-type and PARP1 knockout A549 cell lysates were analysed. First, samples were run on an SDS-PAGE gel then transferred onto a nitrocellulose membrane. Membranes were blocked in 3% milk in TBS-0.1% Tween® 20 (TBS-T) before incubation with primary antibodies overnight at 4°C. Blots were washed four times in TBS-T, incubated with secondary antibodies for 1 h at room temperature, washed again four times then imaged. Secondary antibodies used were Goat anti-Rabbit IgG H&L 800CW and Goat anti-Mouse IgG H&L 680RD at 1/20000 dilution.

All lanes:

Western blot - Anti-Cleaved PARP1 antibody [E51] (ab32064) at 1/10000 dilution

Lane 1:

Wild-type A549 control staurosporine (0 uM, 72 h) cell lysate at 20 µg

Lane 2:

Wild-type A549 treated staurosporine (3 uM, 24 h) cell lysate at 20 µg

Lane 3:

Wild-type A549 control staurosporine (3 uM, 72 h) cell lysate at 20 µg

Lane 4:

PARP1 knockout A549 treated staurosporine (3 uM, 24 h) cell lysate at 20 µg

Observed band size: 27 kDa

false

Western blot - Anti-Cleaved PARP1 antibody [E51] (AB32064)
  • WB

Lab

Western blot - Anti-Cleaved PARP1 antibody [E51] (AB32064)

Blocking/Dilution buffer 5% NFDM/TBST

Exposure time :Lane 1,2 : 1 second
Lane 3,4 : 8 seconds

All lanes:

Western blot - Anti-Cleaved PARP1 antibody [E51] (ab32064) at 1/1000 dilution

Lane 1:

HeLa (Human epithelial cell line from cervix adenocarcinoma) whole cell lysates treated with 1uM Staurosporine for 3 hours at 20 µg

Lane 2:

Untreated HeLa whole cell lysates at 20 µg

Lane 3:

NIH/3T3 (Mouse embryo fibroblast cell line) whole cell lysates treated with 1uM Staurosporine for 3 hours at 20 µg

Lane 4:

Untreated NIH/3T3 whole cell lysates at 20 µg

Secondary

All lanes:

Western blot - Goat Anti-Rabbit IgG H&L (HRP) (<a href='/products/secondary-antibodies/goat-rabbit-igg-h-l-hrp-ab97051'>ab97051</a>) at 1/20000 dilution

Predicted band size: 113 kDa

Observed band size: 25 kDa

false

Western blot - Anti-Cleaved PARP1 antibody [E51] (AB32064)
  • WB

Lab

Western blot - Anti-Cleaved PARP1 antibody [E51] (AB32064)

Jurkat (Human T cell leukemia cell line from peripheral blood) cells were incubated at 37°C for 24 hours with vehicle control (0 μM) and different concentrations of 15-Acetoxyscirpenol (ab142381). Increased expression of cleaved PARP1 (ab32064) in Jurkat cells correlates with an increase in 15-Acetoxyscirpenol concentration, as described in literature.

Whole cell lysates were prepared with RIPA buffer (containing protease inhibitors and sodium orthovanadate), 20μg of each were loaded on the gel and the WB was run under reducing conditions. After transfer the membrane was blocked for an hour using 5% BSA before being incubated with ab32064 at 1/10000 dilution and ab8227 at 1 μg/ml overnight at 4°C. Antibody binding was detected using an anti-rabbit antibody conjugated to HRP (ab97051) at 1/10000 and visualised using ECL development solution.

All lanes:

Western blot - Anti-Cleaved PARP1 antibody [E51] (ab32064)

Predicted band size: 113 kDa

Observed band size: 25 kDa

true

Exposure time: 10s

Western blot - Anti-Cleaved PARP1 antibody [E51] (AB32064)
  • WB

Lab

Western blot - Anti-Cleaved PARP1 antibody [E51] (AB32064)

Lane 1 : Wild type HAP1 whole cell lysate (20 μg)
Lane 2 : PARP1 knockout HAP1 whole cell lysate (20 μg)
Lane 3 : HeLa whole cell lysate (20 μg)
Lane 4 : MCF7 whole cell lysate (20 μg)

Lanes 1 - 4 : Merged signal (red and green). Green - ab32064 observed at 30 kDa. Red - loading control, ab8245, observed at 37 kDa.

ab32064 was shown to specifically react with PARP1 when PARP1 knockout samples were used. Wild-type and PARP1 knockout samples were subjected to SDS-PAGE. ab32064 and ab8245 (Mouse anti-GAPDH loading control) were incubated overnight at 4°C at 1/10000 dilutions.

Blots were developed with Goat anti-Rabbit IgG H&L (IRDye® 800CW) ab216773 and 680CW Goat anti Mouse secondary antibodies at 1/10000 dilution for 1 hour at room temperature before imaging.

All lanes:

Western blot - Anti-Cleaved PARP1 antibody [E51] (ab32064)

Predicted band size: 113 kDa

false

Western blot - Anti-Cleaved PARP1 antibody [E51] (AB32064)
  • WB

Lab

Western blot - Anti-Cleaved PARP1 antibody [E51] (AB32064)

Blocking buffer : 5% NFDM/TBST

Dilution buffer : 5% NFDM/TBST

All lanes:

Western blot - Anti-Cleaved PARP1 antibody [E51] (ab32064) at 1/10000 dilution

Lane 1:

Untreated Jurkat (Human T cell leukemia cell line from peripheral blood) cell lysate at 10 µg

Lane 2:

Jurkat cell lysate treated with camptothecin at 10 µg

Secondary

All lanes:

HRP goat anti-rabbit (H+L) at 1/1000 dilution

Predicted band size: 113 kDa

Observed band size: 25 kDa

false

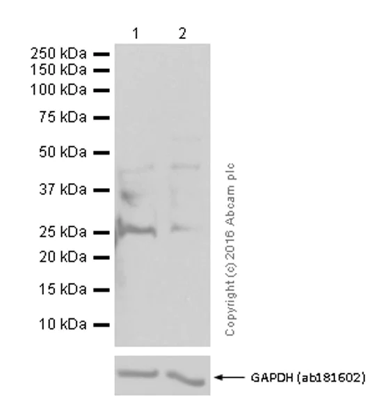
Western blot - Anti-Cleaved PARP1 antibody [E51] (AB32064)
  • WB

Unknown

Western blot - Anti-Cleaved PARP1 antibody [E51] (AB32064)

Blocking/Dilution buffer : 5% NFDM/TBST.

All lanes:

Western blot - Anti-Cleaved PARP1 antibody [E51] (ab32064) at 1/1000 dilution

Lane 1:

RAW 264.7 (Mouse macrophage cell line transformed with Abelson murine leukemia virus) cell lysate at 20 µg

Lane 2:

NIH/3T3 (Mouse embryo fibroblast cell line) cell lysate at 20 µg

Secondary

All lanes:

HRP goat anti-rabbit (H+L) at 1/1000 dilution

Predicted band size: 113 kDa

Observed band size: 25 kDa

false

Western blot - Anti-Cleaved PARP1 antibody [E51] (AB32064)
  • WB

Lab

Western blot - Anti-Cleaved PARP1 antibody [E51] (AB32064)

Blockinng/Diluting buffer 5% NFDM/TBST

All lanes:

Western blot - Anti-Cleaved PARP1 antibody [E51] (ab32064) at 1/1000 dilution

Lane 1:

PC-12 (Rat adrenal gland pheochromocytoma cell line) whole cell lysates treated with 1uM Staurosporine for 3 hours at 20 µg

Lane 2:

Untreated PC-12 whole cell lysates at 20 µg

Secondary

All lanes:

Western blot - Goat Anti-Rabbit IgG H&L (HRP) (<a href='/products/secondary-antibodies/goat-rabbit-igg-h-l-hrp-ab97051'>ab97051</a>) at 1/20000 dilution

Predicted band size: 113 kDa

Observed band size: 25 kDa

false

Exposure time: 30s

不同偶联物与剂型 (1)

  • Carrier free

    Anti-Cleaved PARP1 antibody [E51] - BSA and Azide free

关键信息

宿主种属

Rabbit

克隆

Monoclonal

克隆号

E51

亚型

IgG

不含载体蛋白

No

反应种属

Mouse, Rat, Human

应用

IHC-P, WB

applications

免疫原

The exact immunogen used to generate this antibody is proprietary information.

特异性

This antibody is specific for the p25 cleaved form of human PARP1.

反应性数据

{ "title": "Reactivity Data", "filters": { "stats": ["", "Species", "Dilution Info", "Notes"], "tabs": { "all-applications": {"fullname" : "All Applications", "shortname": "All Applications"}, "WB" : {"fullname" : "Western blot", "shortname":"WB"}, "ICCIF" : {"fullname" : "Immunocytochemistry/ Immunofluorescence", "shortname":"ICC/IF"}, "IHCP" : {"fullname" : "Immunohistochemistry (Formalin/PFA-fixed paraffin-embedded sections)", "shortname":"IHC-P"} }, "product-promise": { "all": "all", "testedAndGuaranteed": "tested", "guaranteed": "expected", "predicted": "predicted", "notRecommended": "not-recommended" } }, "values": { "Human": { "WB-species-checked": "testedAndGuaranteed", "WB-species-dilution-info": "1/1000 - 1/10000", "WB-species-notes": "<p></p>", "ICCIF-species-checked": "notRecommended", "ICCIF-species-dilution-info": "", "ICCIF-species-notes": "<p></p>", "IHCP-species-checked": "testedAndGuaranteed", "IHCP-species-dilution-info": "1/100", "IHCP-species-notes": "<p></p> Perform heat-mediated antigen retrieval with Tris/EDTA buffer pH 9.0 before commencing with IHC staining protocol." }, "Mouse": { "WB-species-checked": "testedAndGuaranteed", "WB-species-dilution-info": "1/1000 - 1/10000", "WB-species-notes": "<p></p>", "ICCIF-species-checked": "notRecommended", "ICCIF-species-dilution-info": "", "ICCIF-species-notes": "<p></p>", "IHCP-species-checked": "guaranteed", "IHCP-species-dilution-info": "", "IHCP-species-notes": "" }, "Rat": { "WB-species-checked": "testedAndGuaranteed", "WB-species-dilution-info": "1/1000 - 1/10000", "WB-species-notes": "<p></p>", "ICCIF-species-checked": "notRecommended", "ICCIF-species-dilution-info": "", "ICCIF-species-notes": "<p></p>", "IHCP-species-checked": "testedAndGuaranteed", "IHCP-species-dilution-info": "1/100", "IHCP-species-notes": "<p></p> Perform heat-mediated antigen retrieval with Tris/EDTA buffer pH 9.0 before commencing with IHC staining protocol." }, "Chinese hamster": { "WB-species-checked": "predicted", "WB-species-dilution-info": "", "WB-species-notes": "", "ICCIF-species-checked": "notRecommended", "ICCIF-species-dilution-info": "", "ICCIF-species-notes": "", "IHCP-species-checked": "predicted", "IHCP-species-dilution-info": "", "IHCP-species-notes": "" } } }

产品详情

What is this antibody validated in?
Anti-Cleaved PARP1 antibody [E51] (ab32064) is a rabbit recombinant monoclonal antibody and is validated for use in Western Blot (WB), Immunohistochemistry (IHC-P) in Human, Mouse, Rat samples.

What is the molecular weight of Cleaved PARP1?
Anti-Cleaved PARP1 [E51] (ab32064) specifically detects a band for Cleaved PARP1 (UniProt: P09874) at a molecular weight of 25kDa.

Trusted by the scientific community
Anti-Cleaved PARP1 [E51] (ab32064) was first used in a scientific publication in 2006 and has been cited over 400 times in peer-reviewed journals.

Reviewed by scientists
Anti-Cleaved PARP1 [E51] (ab32064) has over 15 independent reviews from customers.

Trial sizes available!
Test your antibody or perform pre-screening before committing to a larger quantity. Sold in 10µl. Discover our selection of trial-size antibodies.

Specificity confirmed
The specificity of Anti-Cleaved PARP1 antibody [E51] (ab32064) has been confirmed by Western blot testing in PARP1 Knockout HAP1 cells.

Other related products
We have a range of other formats of antibody clone [E51] also available for your convenience: ab32064, Carrier free - ab203467

Patented technology
Our RabMAb® technology is a patented hybridoma-based technology for making rabbit monoclonal antibodies. For details on our patents, please refer to RabMAb® patents.

What are the advantages of a recombinant monoclonal antibody?
This product is a recombinant monoclonal antibody, which offers several advantages including:

  • - High batch-to-batch consistency and reproducibility
  • - Improved sensitivity and specificity
  • - Long-term security of supply
  • - Animal-free batch production

For more information, read more on recombinant antibodies.

性能和储存信息

形式
Liquid
纯化工艺
Affinity purification Protein A
存储溶液
pH: 7.2 - 7.4 Preservative: 0.01% Sodium azide Constituents: PBS, 40% Glycerol (glycerin, glycerine), 0.05% BSA
运输条件
Blue Ice
推荐的短期储存时间
1-2 weeks
推荐的短期储存条件
+4°C
推荐的长期储存条件
-20°C
分装信息
Upon delivery aliquot
储存信息
Avoid freeze / thaw cycle

补充信息

This supplementary information is collated from multiple sources and compiled automatically.

Cleaved PARP1 also known as cPARP is a fragment of the PARP1 protein an important DNA repair enzyme. The full PARP1 protein has a molecular weight of approximately 116 kDa but after cleavage during apoptosis the cleaved PARP1 fragments typically have a molecular weight of around 89 kDa and 24 kDa. PARP1 is expressed abundantly in the cell nucleus where it plays important roles in maintaining genomic integrity. The cleavage of PARP1 is a common marker for cell apoptosis pointing towards its breakdown in response to cellular stress.
Biological function summary

The enzymatic function of PARP1 involves the transfer of ADP-ribose units from NAD+ to target proteins a process known as ADP-ribosylation. PARP1 operates as a part of the base excision repair complex essential in DNA repair processes. The cleaved form of PARP1 no longer facilitates DNA repair marking a shift towards apoptosis. When PARP1 is cleaved it indicates caspase activity implying cells are undergoing programmed cell death.

Pathways

Cleaved PARP1 is deeply involved in the apoptosis and DNA damage response pathways. In the apoptosis pathway PARP1 interacts with key proteins like caspase-3 which cleaves PARP during apoptosis. In the DNA damage response PARP1 collaborates with proteins such as XRCC1 facilitating the base excision repair pathway important for fixing single-strand DNA breaks. These pathways highlight the dual role of PARP1 in promoting cell survival through repair and cell death via apoptosis.

Cleaved PARP1 serves as an important marker in cancer and neurodegenerative diseases. In cancer research elevated levels of cleaved PARP1 suggest increased rates of apoptosis in response to anti-cancer therapies linking it to tumor suppression efforts. In neurodegenerative diseases excessive activation and cleavage of PARP1 can result in cell death exacerbating conditions like Alzheimer's disease. Through these contexts cleaved PARP1 connects to other therapeutic targets such as caspase proteins in cancer and to potential PARP inhibitors in neurodegenerative disorders.

产品实验方案

For this product, it's our understanding that no specific protocols are required. You can visit:

靶点信息

Poly-ADP-ribosyltransferase that mediates poly-ADP-ribosylation of proteins and plays a key role in DNA repair (PubMed : 17177976, PubMed : 18055453, PubMed : 18172500, PubMed : 19344625, PubMed : 19661379, PubMed : 20388712, PubMed : 21680843, PubMed : 22582261, PubMed : 23230272, PubMed : 25043379, PubMed : 26344098, PubMed : 26626479, PubMed : 26626480, PubMed : 30104678, PubMed : 31796734, PubMed : 32028527, PubMed : 32241924, PubMed : 32358582, PubMed : 33186521, PubMed : 34465625, PubMed : 34737271). Mediates glutamate, aspartate, serine, histidine or tyrosine ADP-ribosylation of proteins : the ADP-D-ribosyl group of NAD(+) is transferred to the acceptor carboxyl group of target residues and further ADP-ribosyl groups are transferred to the 2'-position of the terminal adenosine moiety, building up a polymer with an average chain length of 20-30 units (PubMed : 19764761, PubMed : 25043379, PubMed : 28190768, PubMed : 29954836, PubMed : 35393539, PubMed : 7852410, PubMed : 9315851). Serine ADP-ribosylation of proteins constitutes the primary form of ADP-ribosylation of proteins in response to DNA damage (PubMed : 33186521, PubMed : 34874266). Specificity for the different amino acids is conferred by interacting factors, such as HPF1 and NMNAT1 (PubMed : 28190768, PubMed : 29954836, PubMed : 32028527, PubMed : 33186521, PubMed : 33589610, PubMed : 34625544, PubMed : 34874266). Following interaction with HPF1, catalyzes serine ADP-ribosylation of target proteins; HPF1 confers serine specificity by completing the PARP1 active site (PubMed : 28190768, PubMed : 29954836, PubMed : 32028527, PubMed : 33186521, PubMed : 33589610, PubMed : 34625544, PubMed : 34874266). Also catalyzes tyrosine ADP-ribosylation of target proteins following interaction with HPF1 (PubMed : 29954836, PubMed : 30257210). Following interaction with NMNAT1, catalyzes glutamate and aspartate ADP-ribosylation of target proteins; NMNAT1 confers glutamate and aspartate specificity (By similarity). PARP1 initiates the repair of DNA breaks : recognizes and binds DNA breaks within chromatin and recruits HPF1, licensing serine ADP-ribosylation of target proteins, such as histones (H2BS6ADPr and H3S10ADPr), thereby promoting decompaction of chromatin and the recruitment of repair factors leading to the reparation of DNA strand breaks (PubMed : 17177976, PubMed : 18172500, PubMed : 19344625, PubMed : 19661379, PubMed : 23230272, PubMed : 27067600, PubMed : 34465625, PubMed : 34874266). HPF1 initiates serine ADP-ribosylation but restricts the polymerase activity of PARP1 in order to limit the length of poly-ADP-ribose chains (PubMed : 33683197, PubMed : 34732825, PubMed : 34795260). In addition to base excision repair (BER) pathway, also involved in double-strand breaks (DSBs) repair : together with TIMELESS, accumulates at DNA damage sites and promotes homologous recombination repair by mediating poly-ADP-ribosylation (PubMed : 26344098, PubMed : 30356214). Mediates the poly-ADP-ribosylation of a number of proteins, including itself, APLF, CHFR, RPA1 and NFAT5 (PubMed : 17396150, PubMed : 19764761, PubMed : 24906880, PubMed : 34049076). In addition to proteins, also able to ADP-ribosylate DNA : catalyzes ADP-ribosylation of DNA strand break termini containing terminal phosphates and a 2'-OH group in single- and double-stranded DNA, respectively (PubMed : 27471034). Required for PARP9 and DTX3L recruitment to DNA damage sites (PubMed : 23230272). PARP1-dependent PARP9-DTX3L-mediated ubiquitination promotes the rapid and specific recruitment of 53BP1/TP53BP1, UIMC1/RAP80, and BRCA1 to DNA damage sites (PubMed : 23230272). PARP1-mediated DNA repair in neurons plays a role in sleep : senses DNA damage in neurons and promotes sleep, facilitating efficient DNA repair (By similarity). In addition to DNA repair, also involved in other processes, such as transcription regulation, programmed cell death, membrane repair, adipogenesis and innate immunity (PubMed : 15607977, PubMed : 17177976, PubMed : 19344625, PubMed : 27256882, PubMed : 32315358, PubMed : 32844745, PubMed : 35124853, PubMed : 35393539, PubMed : 35460603). Acts as a repressor of transcription : binds to nucleosomes and modulates chromatin structure in a manner similar to histone H1, thereby altering RNA polymerase II (PubMed : 15607977, PubMed : 22464733). Acts both as a positive and negative regulator of transcription elongation, depending on the context (PubMed : 27256882, PubMed : 35393539). Acts as a positive regulator of transcription elongation by mediating poly-ADP-ribosylation of NELFE, preventing RNA-binding activity of NELFE and relieving transcription pausing (PubMed : 27256882). Acts as a negative regulator of transcription elongation in response to DNA damage by catalyzing poly-ADP-ribosylation of CCNT1, disrupting the phase separation activity of CCNT1 and subsequent activation of CDK9 (PubMed : 35393539). Involved in replication fork progression following interaction with CARM1 : mediates poly-ADP-ribosylation at replication forks, slowing fork progression (PubMed : 33412112). Poly-ADP-ribose chains generated by PARP1 also play a role in poly-ADP-ribose-dependent cell death, a process named parthanatos (By similarity). Also acts as a negative regulator of the cGAS-STING pathway (PubMed : 32315358, PubMed : 32844745, PubMed : 35460603). Acts by mediating poly-ADP-ribosylation of CGAS : PARP1 translocates into the cytosol following phosphorylation by PRKDC and catalyzes poly-ADP-ribosylation and inactivation of CGAS (PubMed : 35460603). Acts as a negative regulator of adipogenesis : catalyzes poly-ADP-ribosylation of histone H2B on 'Glu-35' (H2BE35ADPr) following interaction with NMNAT1, inhibiting phosphorylation of H2B at 'Ser-36' (H2BS36ph), thereby blocking expression of pro-adipogenetic genes (By similarity). Involved in the synthesis of ATP in the nucleus, together with NMNAT1, PARG and NUDT5 (PubMed : 27257257). Nuclear ATP generation is required for extensive chromatin remodeling events that are energy-consuming (PubMed : 27257257).. Poly [ADP-ribose] polymerase 1, processed C-terminus. Promotes AIFM1-mediated apoptosis (PubMed : 33168626). This form, which translocates into the cytoplasm following cleavage by caspase-3 (CASP3) and caspase-7 (CASP7) in response to apoptosis, is auto-poly-ADP-ribosylated and serves as a poly-ADP-ribose carrier to induce AIFM1-mediated apoptosis (PubMed : 33168626).. Poly [ADP-ribose] polymerase 1, processed N-terminus. This cleavage form irreversibly binds to DNA breaks and interferes with DNA repair, promoting DNA damage-induced apoptosis.
See full target information PARP1

文献 (526)

Recent publications for all applications. Explore the full list and refine your search

Frontiers in molecular neuroscience 18:1606973 PubMed40881324

2025

ACTN2, regulated by PRDM9, affects the growth and inflammation of vascular smooth muscle cells by interacting with PDLIM1 in intracranial aneurysms.

Applications

Unspecified application

Species

Unspecified reactive species

Guangxu Zhang,Jinbing Zhao,Zhiqiang Yu,Hongyi Liu

BMC cancer 25:1183 PubMed40676600

2025

Alterations and correlation between DNA damage and repair response and PD-L1 expression in non-small cell lung cancers.

Applications

Unspecified application

Species

Unspecified reactive species

Jiali Peng,Jiayu Zhou,Gang Liu,Poming Kang,Xi Tang,Ziyue Luo,Yu Jiang

The Tohoku journal of experimental medicine : PubMed40571643

2025

Ligustilide Promotes Gastric Cancer Cell Apoptosis via Endoplasmic Reticulum Stress-Induced Mitochondrial Dysfunction and Autophagy.

Applications

Unspecified application

Species

Unspecified reactive species

Hanqing Liu,Qiong Xiang,Shasha Mei,Jingyi Yang,Dan Ma,Bowen Wang,Enfeng Song,Hong Zhu

Frontiers in pharmacology 16:1559675 PubMed40495885

2025

Anticancer effects of zinc ion-mediated DNA demethylation in oesophageal squamous cell carcinoma.

Applications

Unspecified application

Species

Unspecified reactive species

Bin Zhou,Changchun Wang,Yueyu Huang,Xuping Yang,Ting Ye,Lize Shen,Qiaoli Lv,Weimin Mao,An Zhao

Journal of clinical and translational hepatology 13:469-483 PubMed40474884

2025

Oleanolic Acid Restores Drug Sensitivity in Sorafenib-resistant Hepatocellular Carcinoma: Evidence from and Studies.

Applications

Unspecified application

Species

Unspecified reactive species

Tongtong Li,Xuan Shen,Tao Zhang,Jiaheng Ren,Wang Wang,Didi Wang,Pengxia Zhang

Acta biochimica et biophysica Sinica : PubMed40462670

2025

A visualized and quercetin-optimized three-dimensional culture model of mouse ovaries derived from fetal gonads.

Applications

Unspecified application

Species

Unspecified reactive species

Manman Cui,Ziye Zheng,Shiyu Bai,Zhaoxiang Ouyang,Jun Chen,Xinyan Yang,Cong Wan,Yi Zheng,Jiexiang Zhao,Gang Chang,Xiao-Yang Zhao

Clinical and experimental medicine 25:188 PubMed40465055

2025

Personalized drug stratification using endoscopic samples to assess ex vivo gastric cancer tissue susceptibility to chemotherapy and immune checkpoint inhibitors.

Applications

Unspecified application

Species

Unspecified reactive species

Laura Hennig,Astrid Monecke,Ngoc Anh Hoang,René Thieme,Sebastian Prill,Albrecht Hoffmeister,Jan Tuennemann,Ingo Bechmann,Florian Lordick,Sonja Kallendrusch

Nature communications 16:5006 PubMed40442064

2025

Cleavage of CAD by caspase-3 determines the cancer cell fate during chemotherapy.

Applications

Unspecified application

Species

Unspecified reactive species

Jingsong Ma,Jiabao Zhao,Chensong Zhang,Jinshui Tan,Ao Cheng,Zhuo Niu,Zeyang Lin,Guangchao Pan,Chao Chen,Yang Ding,Mengya Zhong,Yifan Zhuang,Yubo Xiong,Huiwen Zhou,Shengyi Zhou,Meijuan Xu,Wenjie Ye,Funan Li,Yongxi Song,Zhenning Wang,Xuehui Hong

Cancer genomics & proteomics 22:467-477 PubMed40280718

2025

KRIBB11 Exerts Anticancer Effects on A172 Glioblastoma Cells the Cdh1/SKP2/p27 and HSF1/p53/p21 Pathways.

Applications

Unspecified application

Species

Unspecified reactive species

Kyunghyun Yoo,Hye Hyeon Yun,Soon-Young Jung,Chang-Nim Im,Tae-Ryong Riew,Mun-Yong Lee,Jeong-Hwa Lee

Science advances 11:eadu3956 PubMed40238864

2025

Ara-C suppresses H3 K27-altered spinal cord diffuse midline glioma growth and enhances immune checkpoint blockade sensitivity.

Applications

Unspecified application

Species

Unspecified reactive species

Bo Pang,Yilin Wu,SongYuan An,Yuzhou Chang,Hao Yan,Han Lin,Zheng Zhao,Fan Wu,Qing Chang,Wenqing Jia,Tao Jiang,Yongzhi Wang,Ruichao Chai
View all publications

Abcam Product Promise

我们致力于为您的研究提供高质量的试剂,为您科研的每一步提供支持。若我们的产品未能达到预期性能,我们向您提供 Abcam Product Promise 保障。
详情请参阅我们的条款与条件。

Please note: All products are 'FOR RESEARCH USE ONLY. NOT FOR USE IN DIAGNOSTIC OR THERAPEUTIC PROCEDURES'.

For licensing inquiries, please contact partnerships@abcam.com