JavaScript is disabled in your browser. Please enable JavaScript to view this website.
AB215203

Anti-cleaved N-terminal GSDMD 抗体 [EPR20829-408]

Anti-cleaved N-terminal GSDMD antibody [EPR20829-408]

5

(4 Reviews)

|

(240 Publications)

Anti-cleaved N-terminal GSDMD antibody [EPR20829-408] (ab215203) is a rabbit monoclonal antibody detecting cleaved N-terminal GSDMD in Western Blot. Suitable for Human.

- Biophysical QC for unrivalled batch-batch consistency
- Over 110 publications

查看别名

DFNA5L, GSDMDC1, FKSG10, GSDMD, Gasdermin-D, Gasdermin domain-containing protein 1

3 Images
Western blot - Anti-cleaved N-terminal GSDMD antibody [EPR20829-408] (AB215203)
  • WB

Unknown

Western blot - Anti-cleaved N-terminal GSDMD antibody [EPR20829-408] (AB215203)

The lysate was kindly provided by our collaborator Dr Feng Shao's lab, NIBS.

The molecular weight observed is consistent with literature (PMID : 26375003).

Blocking/Dilution buffer : 5% NFDM/TBST.

The N-term cleaved Gasdermin-D needs inflammatory caspases in response to canonical and non-canonical inflammasome activators (PubMed : 31548300, PubMed : 27418190, PubMed : 26375259). If need to detect cleavage of GSDMD, please ensure that the samples are treated with inflammation before testing.

All lanes:

Western blot - Anti-cleaved N-terminal GSDMD antibody [EPR20829-408] (ab215203) at 1/1000 dilution

Lane 1:

Untreated THP-1 (human epidermoid carcinoma cell line) whole cell lysate at 20 µg

Lane 2:

THP-1 treated with 500 ng/ml EprI for 2h, whole cell lysate at 20 µg

Secondary

All lanes:

Western blot - Goat Anti-Rabbit IgG H&L (HRP) (<a href='/products/secondary-antibodies/goat-rabbit-igg-h-l-hrp-ab97051'>ab97051</a>) at 1/100000 dilution

Predicted band size: 53 kDa

Observed band size: 31 kDa

false

Exposure time: 3min

Western blot - Anti-cleaved N-terminal GSDMD antibody [EPR20829-408] (AB215203)
  • WB

Unknown

Western blot - Anti-cleaved N-terminal GSDMD antibody [EPR20829-408] (AB215203)

The lysate was kindly provided by our collaborator Dr Feng Shao's lab, NIBS.

The molecular weight observed is consistent with literature (PMID : 26375003).

Blocking/Dilution buffer : 5% NFDM/TBST.

The N-term cleaved Gasdermin-D needs inflammatory caspases in response to canonical and non-canonical inflammasome activators (PubMed : 31548300, PubMed : 27418190, PubMed : 26375259). If need to detect cleavage of GSDMD, please ensure that the samples are treated with inflammation before testing.

All lanes:

Western blot - Anti-cleaved N-terminal GSDMD antibody [EPR20829-408] (ab215203) at 1/1000 dilution

All lanes:

Salmonella Infected (MOI:100) A431 (human epidermoid carcinoma cell line) whole cell lysate at 20 µg

Secondary

All lanes:

Western blot - Goat Anti-Rabbit IgG H&L (HRP) (<a href='/products/secondary-antibodies/goat-rabbit-igg-h-l-hrp-ab97051'>ab97051</a>) at 1/100000 dilution

Predicted band size: 53 kDa

Observed band size: 31 kDa

false

Exposure time: 3min

Western blot - Anti-cleaved N-terminal GSDMD antibody [EPR20829-408] (AB215203)
  • WB

Lab

Western blot - Anti-cleaved N-terminal GSDMD antibody [EPR20829-408] (AB215203)

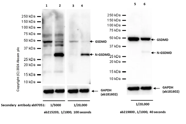
ab215203 mainly recognizes N-terminal GSDMD and ab219800 mainly recognizes full length GSDMD.

Exposure time : Lanes 1-4 : 100 seconds, Lanes 5-6 : 40 seconds.

Lanes 1 - 4:

Western blot - Anti-cleaved N-terminal GSDMD antibody [EPR20829-408] (ab215203) at 1/1000 dilution

Lanes 5 - 6:

Western blot - Anti-GSDMD antibody [EPR20859] (<a href='/products/primary-antibodies/gsdmd-antibody-epr20859-ab219800'>ab219800</a>) at 1/1000 dilution

Lanes 1, 3 and 5:

Untreated THP-1 (human epidermoid carcinoma cell line) whole cell lysate at 20 µg

Lanes 2, 4 and 6:

THP-1 (human epidermoid carcinoma cell line) treated with 50ng/ml TPA for 24 hours, then treated with 5ng/ml LPS for 3 hours and add 1&mu;g/ml BFA for another 3 h whole cell lysate at 20 µg

Secondary

Lanes 1, 2, 5 and 6:

Western blot - Goat Anti-Rabbit IgG H&L (HRP) (<a href='/products/secondary-antibodies/goat-rabbit-igg-h-l-hrp-ab97051'>ab97051</a>) at 1/20000 dilution

Lanes 3 - 4:

Western blot - Goat Anti-Rabbit IgG H&L (HRP) (<a href='/products/secondary-antibodies/goat-rabbit-igg-h-l-hrp-ab97051'>ab97051</a>) at 1/5000 dilution

Observed band size: 31 kDa

false

不同偶联物与剂型 (1)

  • Carrier free

    Anti-cleaved N-terminal GSDMD antibody [EPR20829-408] - BSA and Azide free

关键信息

宿主种属

Rabbit

克隆

Monoclonal

克隆号

EPR20829-408

亚型

IgG

不含载体蛋白

No

反应种属

Human

应用

WB

applications

免疫原

The exact immunogen used to generate this antibody is proprietary information.

特异性

ab215203 mainly recognizes N-terminal GSDMD and can also detect a faint band of full-length GSDMD.

The N-term cleaved Gasdermin-D needs inflammatory caspases in response to canonical and non-canonical inflammasome activators (PubMed: 31548300, PubMed: 27418190, PubMed: 26375259). If need to detect cleavage of GSDMD, please ensure that the samples are treated with inflammation before testing.

FURTHER INFORMATION ON SPECIFICITY (Chinese Version) available under the product protocols section. This file includes key technical notes of experience when using this product.

反应性数据

{ "title": "Reactivity Data", "filters": { "stats": ["", "Species", "Dilution Info", "Notes"], "tabs": { "all-applications": {"fullname" : "All Applications", "shortname": "All Applications"}, "WB" : {"fullname" : "Western blot", "shortname":"WB"}, "IHCP" : {"fullname" : "Immunohistochemistry (Formalin/PFA-fixed paraffin-embedded sections)", "shortname":"IHC-P"} }, "product-promise": { "all": "all", "testedAndGuaranteed": "tested", "guaranteed": "expected", "predicted": "predicted", "notRecommended": "not-recommended" } }, "values": { "Human": { "WB-species-checked": "testedAndGuaranteed", "WB-species-dilution-info": "1/1000", "WB-species-notes": "<p>We recommend using a higher sensitive ECL substrate to increase the band intensity.</p>", "IHCP-species-checked": "notRecommended", "IHCP-species-dilution-info": "", "IHCP-species-notes": "<p></p>" } } }

产品详情

Product Specifications
Anti-cleaved N-terminal GSDMD antibody [EPR20829-408] (ab215203) was developed by Abcam using patented rabbit monoclonal antibody technology and is validated for use in WB in human samples.
Anti-cleaved N-terminal GSDMD antibody [EPR20829-408] (ab215203) specifically detects cleaved N-terminal GSDMD (UniProt ID: P57764; Molecular weight: 53kDa) and is sold in 100 µL and 1 mL selling sizes.

Quality and Validation
Abcam's high quality manufacturing and validation processes ensure Anti-cleaved N-terminal GSDMD antibody [EPR20829-408] (ab215203) has high sensitivity and specificity alongside high lot-to-lot consistency and reproducibility.
Anti-cleaved N-terminal GSDMD antibody [EPR20829-408] (ab215203) has been cited over 114 times in peer reviewed journals and is trusted by the scientific community.

Related Products
Conjugation-ready, carrier free format available for antibody clone EPR20829-408 - ab255983.

Target Information
Cleaved N-terminal GSDMD (Gasdermin D) is an important protein fragment involved in the execution of pyroptosis, an inflammatory form of cell death. The N-terminal fragment, generated by cleavage, creates pores in the cell membrane, leading to cell death and the release of inflammatory cytokines. Abnormal regulation of cleaved N-terminal GSDMD is associated with various diseases, including inflammatory disorders like rheumatoid arthritis and neurodegenerative diseases such as Alzheimer's disease, contributing to sustained inflammation and tissue damage.

Patented technology
Our RabMAb® technology is a patented hybridoma-based technology for making rabbit monoclonal antibodies. For details on our patents, please refer to RabMAb® patents.

What are the advantages of a recombinant monoclonal antibody?
This product is a recombinant monoclonal antibody, which offers several advantages including:

  • - High batch-to-batch consistency and reproducibility
  • - Improved sensitivity and specificity
  • - Long-term security of supply
  • - Animal-free batch production

For more information, read more on recombinant antibodies.

性能和储存信息

形式
Liquid
纯化工艺
Affinity purification Protein A
存储溶液
pH: 7.2 - 7.4 Preservative: 0.01% Sodium azide Constituents: PBS, 40% Glycerol (glycerin, glycerine), 0.05% BSA
运输条件
Blue Ice
推荐的短期储存时间
1-2 weeks
推荐的短期储存条件
+4°C
推荐的长期储存条件
-20°C
分装信息
Upon delivery aliquot
储存信息
Avoid freeze / thaw cycle

补充信息

This supplementary information is collated from multiple sources and compiled automatically.

Cleaved N-terminal GSDMD also known as cleaved Gasdermin D is a protein fragment derived from the gasdermin D (GSDMD) molecule with an approximate molecular weight of 31-32 kDa. GSDMD is predominantly expressed in the cytosol of immune cells. Upon activation inflammasome pathways cause the cleavage of GSDMD into its active N-terminal fragment known as GSDMD-N. This cleavage is a critical event that translocates the cleaved form to the plasma membrane where it mediates its function.
Biological function summary

The N-terminal fragment of cleaved GSDMD executes an important role in pyroptosis a type of programmed cell death. This fragment forms pores in the cell membrane allowing the release of pro-inflammatory cytokines. GSDMD does not act alone; it functions as part of a larger molecular complex often interacting with caspases like Caspase-1 and inflammatory molecules which enhance its role in immune responses. The formation of membrane pores by cleaved gasdermin D signifies its fundamental job in enabling cellular defense mechanisms against infections.

Pathways

Cleaved N-terminal GSDMD participates in both pyroptosis and canonical inflammasome pathways. In the inflammasome pathway inflammasomes activate caspases that subsequently cleave GSDMD therefore linking it to a broad inflammatory response. This pathway involves proteins such as Caspase-1 and interleukin-1? which synergize with GSDMD to drive cytokine release. In addition GSDMD cleavage acts downstream of these interactions directly implementing pyroptotic cell death thereby contributing to the body’s innate immune defense.

Cleaved N-terminal GSDMD is notably linked to inflammatory conditions such as sepsis and inflammatory bowel disease. In sepsis the excessive activation of pyroptosis mediated by cleaved GSDMD leads to widespread inflammation and tissue damage. Cleaved GSDMD is also implicated in inflammatory bowel disease where dysregulation of the associated inflammation pathways causes chronic inflammation. In these conditions GSDMD's interaction with Caspase-1 and IL-1? amplifies the inflammatory responses underlining its potential as a target for therapeutic intervention in managing such diseases.

产品实验方案

For this product, it's our understanding that no specific protocols are required. You can visit:

靶点信息

Gasdermin-D. Precursor of a pore-forming protein that plays a key role in host defense against pathogen infection and danger signals (PubMed : 26375003, PubMed : 26375259, PubMed : 27281216). This form constitutes the precursor of the pore-forming protein : upon cleavage, the released N-terminal moiety (Gasdermin-D, N-terminal) binds to membranes and forms pores, triggering pyroptosis (PubMed : 26375003, PubMed : 26375259, PubMed : 27281216).. Gasdermin-D, N-terminal. Promotes pyroptosis in response to microbial infection and danger signals (PubMed : 26375003, PubMed : 26375259, PubMed : 27418190, PubMed : 28392147, PubMed : 32820063, PubMed : 34289345, PubMed : 38040708, PubMed : 38530158, PubMed : 38599239). Produced by the cleavage of gasdermin-D by inflammatory caspases CASP1, CASP4 or CASP5 in response to canonical, as well as non-canonical (such as cytosolic LPS) inflammasome activators (PubMed : 26375003, PubMed : 26375259, PubMed : 27418190). After cleavage, moves to the plasma membrane where it strongly binds to inner leaflet lipids, including monophosphorylated phosphatidylinositols, such as phosphatidylinositol 4-phosphate, bisphosphorylated phosphatidylinositols, such as phosphatidylinositol (4,5)-bisphosphate, as well as phosphatidylinositol (3,4,5)-bisphosphate, and more weakly to phosphatidic acid and phosphatidylserine (PubMed : 27281216, PubMed : 29898893, PubMed : 36227980). Homooligomerizes within the membrane and forms pores of 10-15 nanometers (nm) of inner diameter, allowing the release of mature interleukin-1 (IL1B and IL18) and triggering pyroptosis (PubMed : 27281216, PubMed : 27418190, PubMed : 29898893, PubMed : 33883744, PubMed : 38040708, PubMed : 38530158, PubMed : 38599239). Gasdermin pores also allow the release of mature caspase-7 (CASP7) (By similarity). In some, but not all, cells types, pyroptosis is followed by pyroptotic cell death, which is caused by downstream activation of ninjurin-1 (NINJ1), which mediates membrane rupture (cytolysis) (PubMed : 33472215, PubMed : 37198476). Also forms pores in the mitochondrial membrane, resulting in release of mitochondrial DNA (mtDNA) into the cytosol (By similarity). Gasdermin-D, N-terminal released from pyroptotic cells into the extracellular milieu rapidly binds to and kills both Gram-negative and Gram-positive bacteria, without harming neighboring mammalian cells, as it does not disrupt the plasma membrane from the outside due to lipid-binding specificity (PubMed : 27281216). Under cell culture conditions, also active against intracellular bacteria, such as Listeria monocytogenes (By similarity). Also active in response to MAP3K7/TAK1 inactivation by Yersinia toxin YopJ, which triggers cleavage by CASP8 and subsequent activation (By similarity). Required for mucosal tissue defense against enteric pathogens (By similarity). Activation of the non-canonical inflammasome in brain endothelial cells can lead to excessive pyroptosis, leading to blood-brain barrier breakdown (By similarity). Strongly binds to bacterial and mitochondrial lipids, including cardiolipin (PubMed : 27281216). Does not bind to unphosphorylated phosphatidylinositol, phosphatidylethanolamine nor phosphatidylcholine (PubMed : 27281216).. Gasdermin-D, p13. Transcription coactivator produced by the cleavage by CASP3 or CASP7 in the upper small intestine in response to dietary antigens (By similarity). Required to maintain food tolerance in small intestine : translocates to the nucleus and acts as a coactivator for STAT1 to induce the transcription of CIITA and MHC class II molecules, which in turn induce type 1 regulatory T (Tr1) cells in upper small intestine (By similarity).. Gasdermin-D, p40. Produced by the cleavage by papain allergen (PubMed : 35794369). After cleavage, moves to the plasma membrane and homooligomerizes within the membrane and forms pores of 10-15 nanometers (nm) of inner diameter, allowing the specific release of mature interleukin-33 (IL33), promoting type 2 inflammatory immune response (PubMed : 35794369).
See full target information GSDMD

文献 (240)

Recent publications for all applications. Explore the full list and refine your search

Cancer biology & therapy 26:2558402 PubMed40947978

2025

USP7 overexpression prevents the progression of clear cell renal cell carcinoma by enhancing pyroptosis via TRIP12 deubiquitination.

Applications

Unspecified application

Species

Unspecified reactive species

Hongsheng Li,Yao Ning,Junjie Yu,Yiju Chen,Qiang He,Juan Jin

Journal of inflammation research 18:11095-11108 PubMed40831518

2025

ALDH2 Ameliorates Acute Gouty Arthritis Through Inhibiting NLRP3 Inflammasome and Pyroptosis by Nrf2/ROS Pathway.

Applications

Unspecified application

Species

Unspecified reactive species

Shuting Tong,Xin Li,Fangying Wang,Qi Cheng,Peiyu Zhang,Mo Chen,Yifan Xie,Xiaoyong Lu,Huaxiang Wu

Research (Washington, D.C.) 8:0823 PubMed40822127

2025

USP53 Drives Ethanol-Induced Myocardial Injury by Promoting K63 Deubiquitination-Dependent RIPK1 Activation at K377.

Applications

Unspecified application

Species

Unspecified reactive species

Jichen Pan,Xiaolin Liu,Xiao Li,Shanshan Wang,Yuliang Zhao,Chong Yuan,Dongdong Liu,Liyan Wang,Meng Zhang,Fengming Liu,Mei Zhang,Shen Dai

Cellular and molecular life sciences : CMLS 82:305 PubMed40779242

2025

Inhibition of STING-induced mitochondrial Drp1/N-GSDMD-mediated MtDNA release alleviates Sepsis-induced lung injury.

Applications

Unspecified application

Species

Unspecified reactive species

Shishi Zou,Yifan Zuo,Yukai Chen,Tianyu Zhang,Tinglv Fu,Guorui Li,Rui Xiong,Bohao Liu,Yong Hu,Zhaoyu Hu,Chunguang Miao,Xiaojing Wu,Ning Li,Qing Geng

European journal of medical research 30:715 PubMed40770673

2025

Mitigation of sepsis-induced liver injury by Clemastine via modulating GSDMD/NLRP-3/Caspase-1/NF-κB signalling pathways.

Applications

Unspecified application

Species

Unspecified reactive species

Mahmoud Abdelnaser,Mina Ezzat Attya,Mahmoud A El-Rehany,Moustafa Fathy

The Journal of clinical investigation 135: PubMed40759573

2025

A CD4+ T lymphocyte-specific TCR/GSDMD/IL-2 axis facilitates antitumor immunity.

Applications

Unspecified application

Species

Unspecified reactive species

Yihan Yao,Lingling Wang,Weiqin Jiang,Ning Wang,Mengjie Li,Wenlong Lin,Ting Zhang,Wanqiang Sheng,Xiaojian Wang

Acta biochimica et biophysica Sinica : PubMed40734554

2025

NLRP3 inflammasome activity and pyroptosis are involved in CD206 macrophage activation by MPO anti-neutrophil cytoplasmic antibodies.

Applications

Unspecified application

Species

Unspecified reactive species

Zhaonan Wei,Xiaoning An,Yinyin Xie,Yan Shen,Liyan Ni,Jing Xu,Yimei Wang,Pingyan Shen,Hao Shi,Wen Zhang,Yongxi Chen

Mediators of inflammation 2025:3585885 PubMed40726812

2025

G Protein-Coupled Receptor 30 Attenuates Neuronal Pyroptosis Induced by Subarachnoid Hemorrhage.

Applications

Unspecified application

Species

Unspecified reactive species

Jun Peng,Xiqi Hu,Jun He,Ying Xia

International journal of nanomedicine 20:9111-9134 PubMed40692537

2025

Blackberry-Like Doxorubicin Loaded Hyaluronic Acid/Zinc Phthalocyanine Loaded Mesoporous Silica Nanocomposites for Long-Term Tumor Photodynamic and Chemotherapy Synergistic Therapy.

Applications

Unspecified application

Species

Unspecified reactive species

Shangting Du,Lingyu Li,Junhao Kou,Tianyi Zhu,Zhenyi Song,Yonghua Zhan,Daocheng Wu,Wenhua Zhan

Scientific reports 15:21294 PubMed40595708

2025

RBPMS2 can inhibit the NLRP3 / caspase-1 / GSDMD signaling pathway to resist pyroptosis in gastric cancer cells.

Applications

Unspecified application

Species

Unspecified reactive species

Nailin Zhang,Lina Yan,Hua Cao,Nana Zhang,Tong Zhang,Shengjiang Guan,Qiquan Liu
View all publications
websiteProtocolBooklet
zh

Abcam Product Promise

我们致力于为您的研究提供高质量的试剂,为您科研的每一步提供支持。若我们的产品未能达到预期性能,我们向您提供 Abcam Product Promise 保障。
详情请参阅我们的条款与条件。

Please note: All products are 'FOR RESEARCH USE ONLY. NOT FOR USE IN DIAGNOSTIC OR THERAPEUTIC PROCEDURES'.

For licensing inquiries, please contact partnerships@abcam.com