JavaScript is disabled in your browser. Please enable JavaScript to view this website.
AB240384

重组Anti-Claudin 4抗体[EPRR17575] - BSA and Azide free

Anti-Claudin 4 antibody [EPRR17575] - BSA and Azide free

Be the first to review this product! Submit a review

|

(1 Publication)

Knockout Tested Rabbit Recombinant Monoclonal Claudin 4 antibody. Carrier free. Suitable for IP, WB, IHC-P and reacts with Human, Mouse samples. Cited in 1 publication.

查看别名

CPER, CPETR1, WBSCR8, CLDN4, Claudin-4, Clostridium perfringens enterotoxin receptor, Williams-Beuren syndrome chromosomal region 8 protein, CPE-R, CPE-receptor

9 Images
Immunohistochemistry (Formalin/PFA-fixed paraffin-embedded sections) - Anti-Claudin 4 antibody [EPRR17575] - BSA and Azide free (AB240384)
  • IHC-P

Supplier Data

Immunohistochemistry (Formalin/PFA-fixed paraffin-embedded sections) - Anti-Claudin 4 antibody [EPRR17575] - BSA and Azide free (AB240384)

Immunohistochemical analysis of paraffin-embedded human liver tissue labeling Claudin 4 with ab210796 at 1/4000 dilution, followed by Goat Anti-Rabbit IgG H&L (HRP) (ab97051) at 1/500 dilution.

Weak membrane staining on biliary epithelium of human liver is observed.

Counter stained with Hematoxylin.

Secondary antibody only control : Used PBS instead of primary antibody, secondary antibody is Goat Anti-Rabbit IgG H&L (HRP) (ab97051) at 1/500 dilution.

This data was developed using the same antibody clone in a different buffer formulation containing PBS, BSA, glycerol, and sodium azide (ab210796).

Perform heat mediated antigen retrieval with Tris/EDTA buffer pH 9.0 before commencing with IHC staining protocol.

Immunohistochemistry (Formalin/PFA-fixed paraffin-embedded sections) - Anti-Claudin 4 antibody [EPRR17575] - BSA and Azide free (AB240384)
  • IHC-P

Supplier Data

Immunohistochemistry (Formalin/PFA-fixed paraffin-embedded sections) - Anti-Claudin 4 antibody [EPRR17575] - BSA and Azide free (AB240384)

Immunohistochemical analysis of paraffin-embedded human breast cancer tissue labeling Claudin 4 with ab210796 at 1/4000 dilution, followed by Goat Anti-Rabbit IgG H&L (HRP) (ab97051) at 1/500 dilution.

Membrane staining on epithelial cells of human breast cancer is observed.

Counter stained with Hematoxylin.

Secondary antibody only control : Used PBS instead of primary antibody, secondary antibody is Goat Anti-Rabbit IgG H&L (HRP) (ab97051) at 1/500 dilution.

This data was developed using the same antibody clone in a different buffer formulation containing PBS, BSA, glycerol, and sodium azide (ab210796).

Perform heat mediated antigen retrieval with Tris/EDTA buffer pH 9.0 before commencing with IHC staining protocol.

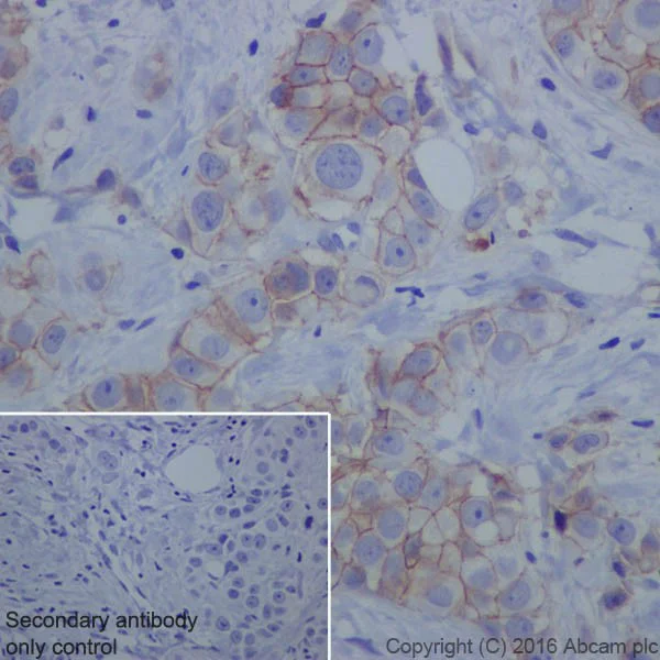
Immunohistochemistry (Formalin/PFA-fixed paraffin-embedded sections) - Anti-Claudin 4 antibody [EPRR17575] - BSA and Azide free (AB240384)
  • IHC-P

Supplier Data

Immunohistochemistry (Formalin/PFA-fixed paraffin-embedded sections) - Anti-Claudin 4 antibody [EPRR17575] - BSA and Azide free (AB240384)

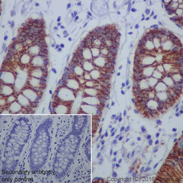
Immunohistochemical analysis of paraffin-embedded human colon tissue labeling Claudin 4 with ab210796 at 1/4000 dilution, followed by Goat Anti-Rabbit IgG H&L (HRP) (ab97051) at 1/500 dilution.

Membrane and staining on epithelial cells of human colon is observed.

Counter stained with Hematoxylin.

Secondary antibody only control : Used PBS instead of primary antibody, secondary antibody is Goat Anti-Rabbit IgG H&L (HRP) (ab97051) at 1/500 dilution.

This data was developed using the same antibody clone in a different buffer formulation containing PBS, BSA, glycerol, and sodium azide (ab210796).

Perform heat mediated antigen retrieval with Tris/EDTA buffer pH 9.0 before commencing with IHC staining protocol.

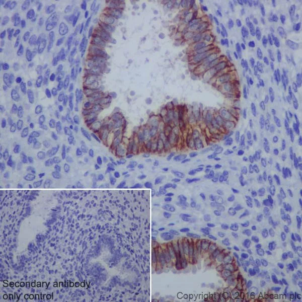
Immunohistochemistry (Formalin/PFA-fixed paraffin-embedded sections) - Anti-Claudin 4 antibody [EPRR17575] - BSA and Azide free (AB240384)
  • IHC-P

Supplier Data

Immunohistochemistry (Formalin/PFA-fixed paraffin-embedded sections) - Anti-Claudin 4 antibody [EPRR17575] - BSA and Azide free (AB240384)

Immunohistochemical analysis of paraffin-embedded human endometrium tissue labeling Claudin 4 with ab210796 at 1/4000 dilution, followed by Goat Anti-Rabbit IgG H&L (HRP) (ab97051) at 1/500 dilution.

Membrane staining on epithelial cells of human endometrium is observed.

Counter stained with Hematoxylin.

Secondary antibody only control : Used PBS instead of primary antibody, secondary antibody is Goat Anti-Rabbit IgG H&L (HRP) (ab97051) at 1/500 dilution.

This data was developed using the same antibody clone in a different buffer formulation containing PBS, BSA, glycerol, and sodium azide (ab210796).

Perform heat mediated antigen retrieval with Tris/EDTA buffer pH 9.0 before commencing with IHC staining protocol.

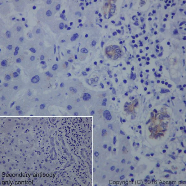
Immunohistochemistry (Formalin/PFA-fixed paraffin-embedded sections) - Anti-Claudin 4 antibody [EPRR17575] - BSA and Azide free (AB240384)
  • IHC-P

Supplier Data

Immunohistochemistry (Formalin/PFA-fixed paraffin-embedded sections) - Anti-Claudin 4 antibody [EPRR17575] - BSA and Azide free (AB240384)

Immunohistochemical analysis of paraffin-embedded human hepatocellular carcinoma tissue labeling Claudin 4 with ab210796 at 1/4000 dilution, followed by Goat Anti-Rabbit IgG H&L (HRP) (ab97051) at 1/500 dilution.

Negative staining on human hepatocellular carcinoma.

Counter stained with Hematoxylin.

This data was developed using the same antibody clone in a different buffer formulation containing PBS, BSA, glycerol, and sodium azide (ab210796).

Perform heat mediated antigen retrieval with Tris/EDTA buffer pH 9.0 before commencing with IHC staining protocol.

Immunohistochemistry (Formalin/PFA-fixed paraffin-embedded sections) - Anti-Claudin 4 antibody [EPRR17575] - BSA and Azide free (AB240384)
  • IHC-P

Supplier Data

Immunohistochemistry (Formalin/PFA-fixed paraffin-embedded sections) - Anti-Claudin 4 antibody [EPRR17575] - BSA and Azide free (AB240384)

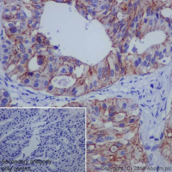
Immunohistochemical analysis of paraffin-embedded human cholangiocarcinoma tissue labeling Claudin 4 with ab210796 at 1/4000 dilution, followed by Goat Anti-Rabbit IgG H&L (HRP) (ab97051) at 1/500 dilution.

Membrane staining on human cholangiocarcinoma is observed.

Counter stained with Hematoxylin.

Secondary antibody only control : Used PBS instead of primary antibody, secondary antibody is Goat Anti-Rabbit IgG H&L (HRP) (ab97051) at 1/500 dilution.

This data was developed using the same antibody clone in a different buffer formulation containing PBS, BSA, glycerol, and sodium azide (ab210796).

Perform heat mediated antigen retrieval with Tris/EDTA buffer pH 9.0 before commencing with IHC staining protocol.

Immunoprecipitation - Anti-Claudin 4 antibody [EPRR17575] - BSA and Azide free (AB240384)
  • IP

Supplier Data

Immunoprecipitation - Anti-Claudin 4 antibody [EPRR17575] - BSA and Azide free (AB240384)

Claudin 4 was immunoprecipitated from 1mg of SW480 (Human colorectal adenocarcinoma cell line) whole cell lysate with ab210796 at 1/30 dilution.

Western blot was performed from the immunoprecipitate using ab210796 at 1/1000 dilution.

VeriBlot for IP Detection Reagent (HRP) (ab131366), was used for detection at 1/10000 dilution.

Lane 1 : SW480 whole cell lysate 10μg (Input).

Lane 2 : ab210796 IP in SW480 whole cell lysate.

Lane 3 : Rabbit monoclonal IgG (ab172730) instead of ab210796 in SW480 whole cell lysate.

Blocking and dilution buffer and concentration : 5% NFDM/TBST.

Exposure time : 30 seconds.

This data was developed using the same antibody clone in a different buffer formulation containing PBS, BSA, glycerol, and sodium azide (ab210796).

All lanes:

Immunoprecipitation - Anti-Claudin 4 antibody [EPRR17575] (<a href='/products/primary-antibodies/claudin-4-antibody-eprr17575-ab210796'>ab210796</a>)

Predicted band size: 22 kDa

false

Western blot - Anti-Claudin 4 antibody [EPRR17575] - BSA and Azide free (AB240384)
  • WB

Supplier Data

Western blot - Anti-Claudin 4 antibody [EPRR17575] - BSA and Azide free (AB240384)

False colour image of Western blot : Anti-Claudin 4 antibody [EPRR17575] staining at 1/1000 dilution, shown in green; Mouse anti-GAPDH antibody [6C5] (ab8245) loading control staining at 1/20000 dilution, shown in red. In Western blot, ab210796 was shown to bind specifically to Claudin 4. A band was observed at 17 kDa in wild-type MCF7 cell lysates with no signal observed at this size in CLDN4 knockout cell line ab274946 (knockout cell lysate ab275004). To generate this image, wild-type and CLDN4 knockout MCF7 cell lysates were analysed. First, samples were run on an SDS-PAGE gel then transferred onto a nitrocellulose membrane. Membranes were blocked in fluorescent western blot (TBS-based) blocking solution before incubation with primary antibodies overnight at 4 °C. Blots were washed four times in TBS-T, incubated with secondary antibodies for 1 h at room temperature, washed again four times then imaged. Secondary antibodies used were Goat anti-Rabbit IgG H&L 800CW and Goat anti-Mouse IgG H&L 680RD at 1/20000 dilution. This data was developed using the same antibody clone in a different buffer formulation containing PBS, BSA, glycerol, and sodium azide (ab210796).

All lanes:

Western blot - Anti-Claudin 4 antibody [EPRR17575] (<a href='/products/primary-antibodies/claudin-4-antibody-eprr17575-ab210796'>ab210796</a>) at 1/1000 dilution

Lane 1:

Wild-type MCF7 cell lysate at 20 µg

Lane 2:

Western blot - Human CLDN4 knockout MCF7 cell lysate (ab275004)

Lane 3:

PC-3 cell lysate at 20 µg

Lane 4:

U-2 OS cell lysate at 20 µg

Lane 5:

SW480 cell lysate at 20 µg

Secondary

All lanes:

Goat anti-Rabbit IgG H&L 800CW and Goat anti-Mouse IgG H&L 680RD at 1/20000 dilution

Predicted band size: 22 kDa

Observed band size: 17 kDa

false

Western blot - Anti-Claudin 4 antibody [EPRR17575] - BSA and Azide free (AB240384)
  • WB

Lab

Western blot - Anti-Claudin 4 antibody [EPRR17575] - BSA and Azide free (AB240384)

Blocking and diluting buffer and concentration : 5% NFDM/TBST The identity of the higher MW band at approximately 35 kDa is unknown. This data was developed using the same antibody clone in a different buffer formulation containing PBS, BSA, glycerol, and sodium azide (ab210796).

All lanes:

Western blot - Anti-Claudin 4 antibody [EPRR17575] (<a href='/products/primary-antibodies/claudin-4-antibody-eprr17575-ab210796'>ab210796</a>) at 1/1000 dilution

All lanes:

4T1 (mouse mammary gland carcinoma epithelial cell), whole cell lysate at 20 µg

Secondary

All lanes:

Western blot - Goat Anti-Rabbit IgG H&L (HRP) (<a href='/products/secondary-antibodies/goat-rabbit-igg-h-l-hrp-ab97051'>ab97051</a>) at 1/100000 dilution

Predicted band size: 22 kDa

Observed band size: 18 kDa

false

Exposure time: 3min

关键信息

宿主种属

Rabbit

克隆

Monoclonal

克隆号

EPRR17575

亚型

IgG

不含载体蛋白

Yes

反应种属

Human, Mouse

应用

IP, IHC-P, WB

applications

免疫原

The exact immunogen used to generate this antibody is proprietary information.

特异性

The mouse recommendation is based on the WB results. We do not guarantee IHC-P for mouse.

反应性数据

{ "title": "Reactivity Data", "filters": { "stats": ["", "Species", "Dilution Info", "Notes"], "tabs": { "all-applications": {"fullname" : "All Applications", "shortname": "All Applications"}, "IP" : {"fullname" : "Immunoprecipitation", "shortname":"IP"}, "WB" : {"fullname" : "Western blot", "shortname":"WB"}, "IHCP" : {"fullname" : "Immunohistochemistry (Formalin/PFA-fixed paraffin-embedded sections)", "shortname":"IHC-P"} }, "product-promise": { "all": "all", "testedAndGuaranteed": "tested", "guaranteed": "expected", "predicted": "predicted", "notRecommended": "not-recommended" } }, "values": { "Human": { "IP-species-checked": "testedAndGuaranteed", "IP-species-dilution-info": "", "IP-species-notes": "<p></p>", "WB-species-checked": "testedAndGuaranteed", "WB-species-dilution-info": "", "WB-species-notes": "<p></p>", "IHCP-species-checked": "testedAndGuaranteed", "IHCP-species-dilution-info": "", "IHCP-species-notes": "<p></p>" }, "Mouse": { "IP-species-checked": "guaranteed", "IP-species-dilution-info": "", "IP-species-notes": "", "WB-species-checked": "testedAndGuaranteed", "WB-species-dilution-info": "", "WB-species-notes": "<p></p>", "IHCP-species-checked": "notRecommended", "IHCP-species-dilution-info": "", "IHCP-species-notes": "<p></p>" } } }

产品详情

ab240384 is the carrier-free version of ab210796.

Patented technology
Our RabMAb® technology is a patented hybridoma-based technology for making rabbit monoclonal antibodies. For details on our patents, please refer to RabMAb® patents.

What are the advantages of a recombinant monoclonal antibody?
This product is a recombinant monoclonal antibody, which offers several advantages including:

  • - High batch-to-batch consistency and reproducibility
  • - Improved sensitivity and specificity
  • - Long-term security of supply
  • - Animal-free batch production

For more information, read more on recombinant antibodies.

Conjugation ready
Our carrier-free antibodies are typically supplied in a PBS-only formulation, purified and free of BSA, sodium azide and glycerol. This conjugation-ready format is designed for use with fluorochromes, metal isotopes, oligonucleotides, and enzymes, which makes them ideal for antibody labelling, functional and cell-based assays, flow-based assays (e.g. mass cytometry) and Multiplex Imaging applications.

Use our conjugation kits for antibody conjugates that are ready-to-use in as little as 20 minutes with 1 minute hands-on-time and 100% antibody recovery: available for fluorescent dyes, HRP, biotin and gold.

Compatibility
This product is compatible with the Maxpar® Antibody Labeling Kit from Fluidigm, without the need for antibody preparation. Maxpar® is a trademark of Fluidigm Canada Inc.

性能和储存信息

形式
Liquid
纯化工艺
Affinity purification Protein A
存储溶液
pH: 7.2 - 7.4 Constituents: PBS
运输条件
Blue Ice
推荐的短期储存条件
+4°C
推荐的长期储存条件
+4°C
储存信息
Do Not Freeze

补充信息

This supplementary information is collated from multiple sources and compiled automatically.

Claudin-4 also known as CLDN4 is a protein essential for tight junctions which are critical in maintaining the permeability barrier of epithelial cells. The protein has a molecular mass of approximately 22 kDa. Claudin-4 expresses notably in epithelial cells of various tissues including the kidney lung and gastrointestinal tract. In addition to its presence in normal tissues claudin-4 can also exhibit heightened expression in certain cancerous tissues making it a subject of interest in oncology research.
Biological function summary

Claudin-4 plays a significant role in paracellular transport and cell polarity. By assembling into complexes with other claudins and tight junction proteins claudin-4 regulates the selective permeability and homeostasis across cell layers. It functions as a component of tight junction strands contributing to their barrier properties. Interaction with proteins such as occludin and ZO-1 further defines its role in tight junction structure and function.

Pathways

Claudin-4 participates in critical biological processes such as epithelial cell signaling and apoptosis regulation. It interfaces with the epithelial-to-mesenchymal transition (EMT) pathway where claudin-4 expression influences cellular adhesion and motility. Claudin-4 also interacts with related claudin proteins in these pathways contributing to structural arrangement and pathway signaling precision.

Claudin-4 has associations with several types of cancers including pancreatic and ovarian cancer. Its consistent overexpression in these conditions suggests its involvement in tumorigenesis and metastasis. In the context of ovarian cancer claudin-4 may interact with proteins such as mesothelin which plays a role in cell adhesion and tumor progression. Investigating claudin-4's involvement in cancer can provide insights into potential therapeutic targets and diagnostic markers.

产品实验方案

For this product, it's our understanding that no specific protocols are required. You can visit:

靶点信息

Can associate with other claudins to regulate tight junction structural and functional strand dynamics (PubMed : 35773259, PubMed : 36008380). May coassemble with CLDN8 into tight junction strands containing anion-selective channels that convey paracellular chloride permeability in renal collecting ducts (By similarity) (PubMed : 36008380). May integrate into CLDN3 strands to modulate localized tight junction barrier properties (PubMed : 35773259, PubMed : 36008380). May disrupt strand assembly of channel-forming CLDN2 and CLDN15 and inhibit cation conductance (PubMed : 35773259, PubMed : 36008380). Cannot form tight junction strands on its own (PubMed : 35773259, PubMed : 36008380).
See full target information CLDN4

文献 (1)

Recent publications for all applications. Explore the full list and refine your search

Oxidative medicine and cellular longevity 2020:7834252 PubMed32963701

2020

Downregulated Recycling Process but Not De Novo Synthesis of Glutathione Limits Antioxidant Capacity of Erythrocytes in Hypoxia.

Applications

Unspecified application

Species

Unspecified reactive species

Yueming Wang,Nannan Zhao,Yanlei Xiong,Jiashen Zhang,Dongmei Zhao,Yancun Yin,Lele Song,Yipeng Yin,Jing Wang,Xiying Luan,Yanlian Xiong
View all publications

Abcam Product Promise

我们致力于为您的研究提供高质量的试剂,为您科研的每一步提供支持。若我们的产品未能达到预期性能,我们向您提供 Abcam Product Promise 保障。
详情请参阅我们的条款与条件。

Please note: All products are 'FOR RESEARCH USE ONLY. NOT FOR USE IN DIAGNOSTIC OR THERAPEUTIC PROCEDURES'.

For licensing inquiries, please contact partnerships@abcam.com