JavaScript is disabled in your browser. Please enable JavaScript to view this website.
AB210796

重组Anti-Claudin 4抗体[EPRR17575]

Anti-Claudin 4 antibody [EPRR17575]

5

(2 Reviews)

|

(22 Publications)

Anti-Claudin 4 antibody [EPRR17575] (ab210796) is a rabbit monoclonal antibody detecting Claudin 4 in Western Blot, IP, IHC-P. Suitable for Human, Mouse.

- KO validated for confirmed specificity
- Biophysical QC for unrivalled batch-batch consistency
- Over 10 publications

查看别名

CPER, CPETR1, WBSCR8, CLDN4, Claudin-4, Clostridium perfringens enterotoxin receptor, Williams-Beuren syndrome chromosomal region 8 protein, CPE-R, CPE-receptor

10 Images
Immunohistochemistry (Formalin/PFA-fixed paraffin-embedded sections) - Anti-Claudin 4 antibody [EPRR17575] (AB210796)
  • IHC-P

Supplier Data

Immunohistochemistry (Formalin/PFA-fixed paraffin-embedded sections) - Anti-Claudin 4 antibody [EPRR17575] (AB210796)

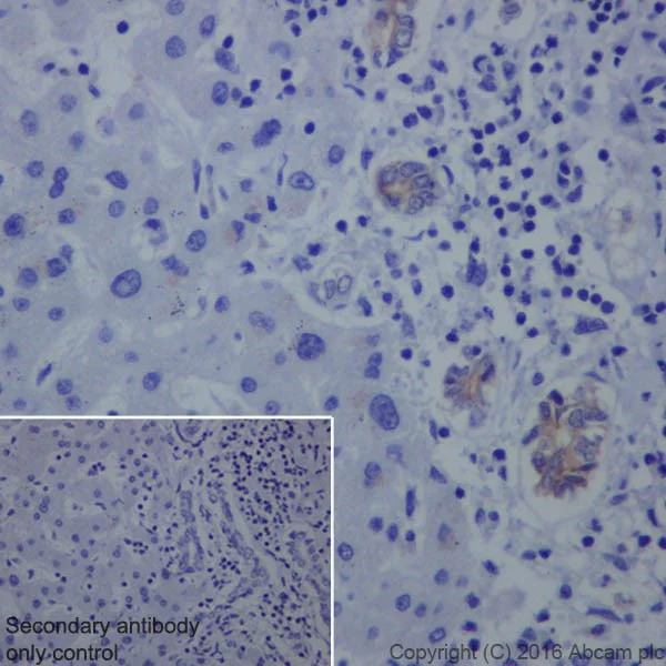
Immunohistochemical analysis of paraffin-embedded human liver tissue labeling Claudin 4 with ab210796 at 1/4000 dilution, followed by Goat Anti-Rabbit IgG H&L (HRP) (ab97051) at 1/500 dilution.

Weak membrane staining on biliary epithelium of human liver is observed.

Counter stained with Hematoxylin.

Secondary antibody only control : Used PBS instead of primary antibody, secondary antibody is Goat Anti-Rabbit IgG H&L (HRP) (ab97051) at 1/500 dilution.

Perform heat mediated antigen retrieval with Tris/EDTA buffer pH 9.0 before commencing with IHC staining protocol.

Immunohistochemistry (Formalin/PFA-fixed paraffin-embedded sections) - Anti-Claudin 4 antibody [EPRR17575] (AB210796)
  • IHC-P

Supplier Data

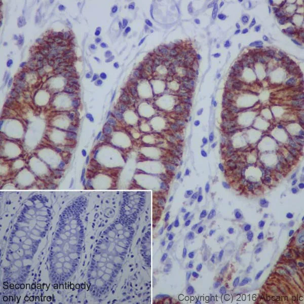
Immunohistochemistry (Formalin/PFA-fixed paraffin-embedded sections) - Anti-Claudin 4 antibody [EPRR17575] (AB210796)

Immunohistochemical analysis of paraffin-embedded human colon tissue labeling Claudin 4 with ab210796 at 1/4000 dilution, followed by Goat Anti-Rabbit IgG H&L (HRP) (ab97051) at 1/500 dilution.

Membrane and staining on epithelial cells of human colon is observed.

Counter stained with Hematoxylin.

Secondary antibody only control : Used PBS instead of primary antibody, secondary antibody is Goat Anti-Rabbit IgG H&L (HRP) (ab97051) at 1/500 dilution.

Perform heat mediated antigen retrieval with Tris/EDTA buffer pH 9.0 before commencing with IHC staining protocol.

Immunohistochemistry (Formalin/PFA-fixed paraffin-embedded sections) - Anti-Claudin 4 antibody [EPRR17575] (AB210796)
  • IHC-P

Supplier Data

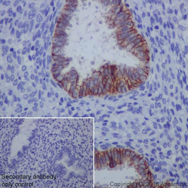
Immunohistochemistry (Formalin/PFA-fixed paraffin-embedded sections) - Anti-Claudin 4 antibody [EPRR17575] (AB210796)

Immunohistochemical analysis of paraffin-embedded human endometrium tissue labeling Claudin 4 with ab210796 at 1/4000 dilution, followed by Goat Anti-Rabbit IgG H&L (HRP) (ab97051) at 1/500 dilution.

Membrane staining on epithelial cells of human endometrium is observed.

Counter stained with Hematoxylin.

Secondary antibody only control : Used PBS instead of primary antibody, secondary antibody is Goat Anti-Rabbit IgG H&L (HRP) (ab97051) at 1/500 dilution.

Perform heat mediated antigen retrieval with Tris/EDTA buffer pH 9.0 before commencing with IHC staining protocol.

Immunohistochemistry (Formalin/PFA-fixed paraffin-embedded sections) - Anti-Claudin 4 antibody [EPRR17575] (AB210796)
  • IHC-P

Supplier Data

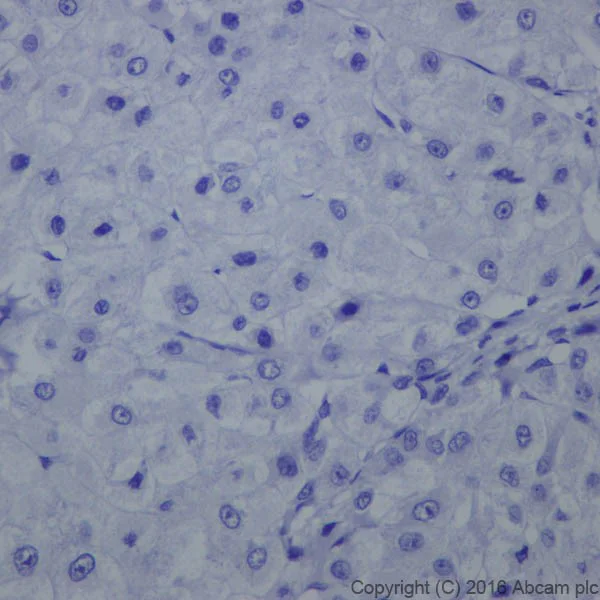
Immunohistochemistry (Formalin/PFA-fixed paraffin-embedded sections) - Anti-Claudin 4 antibody [EPRR17575] (AB210796)

Immunohistochemical analysis of paraffin-embedded human hepatocellular carcinoma tissue labeling Claudin 4 with ab210796 at 1/4000 dilution, followed by Goat Anti-Rabbit IgG H&L (HRP) (ab97051) at 1/500 dilution.

Negative staining on human hepatocellular carcinoma.

Counter stained with Hematoxylin.

Perform heat mediated antigen retrieval with Tris/EDTA buffer pH 9.0 before commencing with IHC staining protocol.

Immunohistochemistry (Formalin/PFA-fixed paraffin-embedded sections) - Anti-Claudin 4 antibody [EPRR17575] (AB210796)
  • IHC-P

Supplier Data

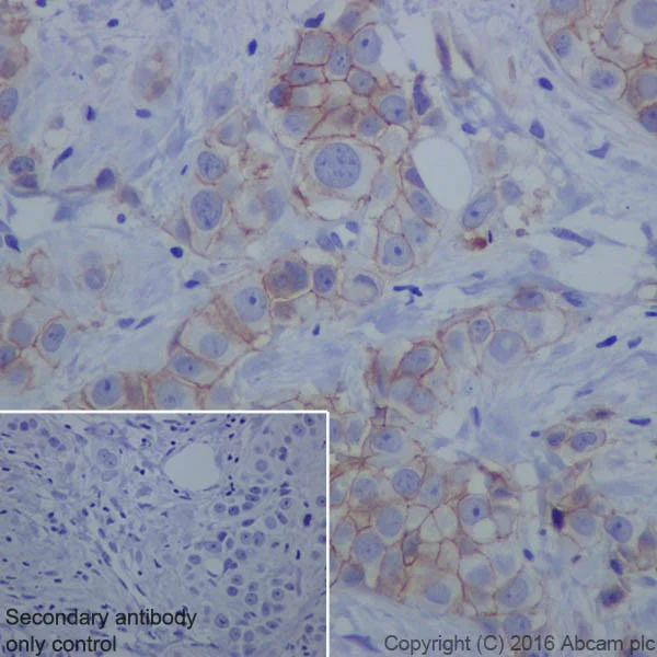
Immunohistochemistry (Formalin/PFA-fixed paraffin-embedded sections) - Anti-Claudin 4 antibody [EPRR17575] (AB210796)

Immunohistochemical analysis of paraffin-embedded human cholangiocarcinoma tissue labeling Claudin 4 with ab210796 at 1/4000 dilution, followed by Goat Anti-Rabbit IgG H&L (HRP) (ab97051) at 1/500 dilution.

Membrane staining on human cholangiocarcinoma is observed.

Counter stained with Hematoxylin.

Secondary antibody only control : Used PBS instead of primary antibody, secondary antibody is Goat Anti-Rabbit IgG H&L (HRP) (ab97051) at 1/500 dilution.

Perform heat mediated antigen retrieval with Tris/EDTA buffer pH 9.0 before commencing with IHC staining protocol.

Immunohistochemistry (Formalin/PFA-fixed paraffin-embedded sections) - Anti-Claudin 4 antibody [EPRR17575] (AB210796)
  • IHC-P

Supplier Data

Immunohistochemistry (Formalin/PFA-fixed paraffin-embedded sections) - Anti-Claudin 4 antibody [EPRR17575] (AB210796)

Immunohistochemical analysis of paraffin-embedded human breast cancer tissue labeling Claudin 4 with ab210796 at 1/4000 dilution, followed by Goat Anti-Rabbit IgG H&L (HRP) (ab97051) at 1/500 dilution.

Membrane staining on epithelial cells of human breast cancer is observed.

Counter stained with Hematoxylin.

Secondary antibody only control : Used PBS instead of primary antibody, secondary antibody is Goat Anti-Rabbit IgG H&L (HRP) (ab97051) at 1/500 dilution.

Perform heat mediated antigen retrieval with Tris/EDTA buffer pH 9.0 before commencing with IHC staining protocol.

Western blot - Anti-Claudin 4 antibody [EPRR17575] (AB210796)
  • WB

Supplier Data

Western blot - Anti-Claudin 4 antibody [EPRR17575] (AB210796)

False colour image of Western blot : Anti-Claudin 4 antibody [EPRR17575] staining at 1/1000 dilution, shown in green; Mouse anti-GAPDH antibody [6C5] (ab8245) loading control staining at 1/20000 dilution, shown in red. In Western blot, ab210796 was shown to bind specifically to Claudin 4. A band was observed at 17 kDa in wild-type MCF7 cell lysates with no signal observed at this size in CLDN4 knockout cell line ab274946 (knockout cell lysate ab275004). To generate this image, wild-type and CLDN4 knockout MCF7 cell lysates were analysed. First, samples were run on an SDS-PAGE gel then transferred onto a nitrocellulose membrane. Membranes were blocked in fluorescent western blot (TBS-based) blocking solution before incubation with primary antibodies overnight at 4 °C. Blots were washed four times in TBS-T, incubated with secondary antibodies for 1 h at room temperature, washed again four times then imaged. Secondary antibodies used were Goat anti-Rabbit IgG H&L 800CW and Goat anti-Mouse IgG H&L 680RD at 1/20000 dilution.

All lanes:

Western blot - Anti-Claudin 4 antibody [EPRR17575] (ab210796) at 1/1000 dilution

Lane 1:

Wild-type MCF7 cell lysate at 20 µg

Lane 2:

Western blot - Human CLDN4 knockout MCF7 cell lysate (ab275004)

Lane 3:

PC-3 cell lysate at 20 µg

Lane 4:

U-2 OS cell lysate at 20 µg

Lane 5:

SW480 cell lysate at 20 µg

Secondary

All lanes:

Goat anti-Rabbit IgG H&L 800CW and Goat anti-Mouse IgG H&L 680RD at 1/20000 dilution

Predicted band size: 22 kDa

Observed band size: 17 kDa

false

Western blot - Anti-Claudin 4 antibody [EPRR17575] (AB210796)
  • WB

Lab

Western blot - Anti-Claudin 4 antibody [EPRR17575] (AB210796)

Blocking and diluting buffer and concentration : 5% NFDM/TBST The identity of the higher MW band at approximately 35 kDa is unknown.

All lanes:

Western blot - Anti-Claudin 4 antibody [EPRR17575] (ab210796) at 1/1000 dilution

All lanes:

4T1 (mouse mammary gland carcinoma epithelial cell), whole cell lysate at 20 µg

Secondary

All lanes:

Western blot - Goat Anti-Rabbit IgG H&L (HRP) (<a href='/products/secondary-antibodies/goat-rabbit-igg-h-l-hrp-ab97051'>ab97051</a>) at 1/100000 dilution

Predicted band size: 22 kDa

Observed band size: 18 kDa

false

Exposure time: 3min

Immunoprecipitation - Anti-Claudin 4 antibody [EPRR17575] (AB210796)
  • IP

Supplier Data

Immunoprecipitation - Anti-Claudin 4 antibody [EPRR17575] (AB210796)

Claudin 4 was immunoprecipitated from 1mg of SW480 (Human colorectal adenocarcinoma cell line) whole cell lysate with ab210796 at 1/30 dilution.

Western blot was performed from the immunoprecipitate using ab210796 at 1/1000 dilution.

VeriBlot for IP Detection Reagent (HRP) (ab131366), was used for detection at 1/10000 dilution.

Lane 1 : SW480 whole cell lysate 10μg (Input).

Lane 2 : ab210796 IP in SW480 whole cell lysate.

Lane 3 : Rabbit monoclonal IgG (ab172730) instead of ab210796 in SW480 whole cell lysate.

Blocking and dilution buffer and concentration : 5% NFDM/TBST.

Exposure time : 30 seconds.

All lanes:

Immunoprecipitation - Anti-Claudin 4 antibody [EPRR17575] (ab210796)

Predicted band size: 22 kDa

false

Western blot - Anti-Claudin 4 antibody [EPRR17575] (AB210796)
  • WB

Supplier Data

Western blot - Anti-Claudin 4 antibody [EPRR17575] (AB210796)

Blocking/Dilution buffer : 5% NFDM/TBST.

Exposure time : Lane 1/2/3/6 : 1 minute; Lane 4 : 30 seconds; Lane 5 : 3 minutes.

Lanes 1 - 2:

Western blot - Anti-Claudin 4 antibody [EPRR17575] (ab210796) at 1/2000 dilution

Lanes 3 - 6:

Western blot - Anti-Claudin 4 antibody [EPRR17575] (ab210796) at 1/1000 dilution

Lane 1:

LNCaP (Human prostate cancer cell line) whole cell lysate at 10 µg

Lane 2:

PC-3 (Human prostate adenocarcinoma cell line) whole cell lysate at 10 µg

Lane 3:

SW480 (Human colorectal adenocarcinoma cell line) whole cell lysate at 10 µg

Lane 4:

MCF7 (Human breast adenocarcinoma cell line) whole cell lysate at 10 µg

Lane 5:

SK-OV-3 (Human ovarian cancer cell line) whole cell lysate at 10 µg

Lane 6:

NIH:OVCAR-3 (Human ovary adenocarcinoma cell line) whole cell lysate at 10 µg

Secondary

All lanes:

Western blot - Goat Anti-Rabbit IgG H&L (HRP) (<a href='/products/secondary-antibodies/goat-rabbit-igg-h-l-hrp-ab97051'>ab97051</a>) at 1/100000 dilution

Predicted band size: 22 kDa

Observed band size: 18 kDa

false

关键信息

宿主种属

Rabbit

克隆

Monoclonal

克隆号

EPRR17575

亚型

IgG

不含载体蛋白

No

反应种属

Human, Mouse

应用

WB, IP, IHC-P

applications

免疫原

The exact immunogen used to generate this antibody is proprietary information.

特异性

The mouse recommendation is based on the WB results. We do not guarantee IHC-P for mouse.

反应性数据

{ "title": "Reactivity Data", "filters": { "stats": ["", "Species", "Dilution Info", "Notes"], "tabs": { "all-applications": {"fullname" : "All Applications", "shortname": "All Applications"}, "IP" : {"fullname" : "Immunoprecipitation", "shortname":"IP"}, "WB" : {"fullname" : "Western blot", "shortname":"WB"}, "IHCP" : {"fullname" : "Immunohistochemistry (Formalin/PFA-fixed paraffin-embedded sections)", "shortname":"IHC-P"} }, "product-promise": { "all": "all", "testedAndGuaranteed": "tested", "guaranteed": "expected", "predicted": "predicted", "notRecommended": "not-recommended" } }, "values": { "Human": { "IP-species-checked": "testedAndGuaranteed", "IP-species-dilution-info": "1/30", "IP-species-notes": "<p></p>", "WB-species-checked": "testedAndGuaranteed", "WB-species-dilution-info": "1/1000", "WB-species-notes": "<p></p>", "IHCP-species-checked": "testedAndGuaranteed", "IHCP-species-dilution-info": "1/4000", "IHCP-species-notes": "<p></p>" }, "Mouse": { "IP-species-checked": "guaranteed", "IP-species-dilution-info": "", "IP-species-notes": "", "WB-species-checked": "testedAndGuaranteed", "WB-species-dilution-info": "1/1000", "WB-species-notes": "<p></p>", "IHCP-species-checked": "notRecommended", "IHCP-species-dilution-info": "1/4000", "IHCP-species-notes": "<p></p>" } } }

产品详情

What is this antibody validated in?
Anti-Claudin 4 antibody [EPRR17575] (ab210796) is a rabbit recombinant monoclonal antibody and is validated for use in Western Blot (WB), Immunoprecipitation (IP), Immunohistochemistry (IHC-P) in Human, Mouse samples.

What is the molecular weight of Claudin 4?
Anti-Claudin 4 [EPRR17575] (ab210796) specifically detects a band for Claudin 4 (UniProt: O14493) at a molecular weight of 22kDa.

Trusted by the scientific community
Anti-Claudin 4 [EPRR17575] (ab210796) was first used in a scientific publication in 2016 and has been cited over 10 times in peer-reviewed journals.

Trial sizes available!
Test your antibody or perform pre-screening before committing to a larger quantity. Sold in 10µl. Discover our selection of trial-size antibodies.

Specificity confirmed
The specificity of Anti-Claudin 4 antibody [EPRR17575] (ab210796) has been confirmed by Western blot testing in CLDN4 Knockout MCF7 cells.

Other related products
We have a range of other formats of antibody clone [EPRR17575] also available for your convenience: ab210796, Carrier free - ab240384, Alexa Fluor® 488 - ab311027, Alexa Fluor® 647 - ab311153, Alexa Fluor® 594 - ab311799, Alexa Fluor® 568 - ab313082, Alexa Fluor® 555 - ab313276, Alexa Fluor® 750 - ab321368

Patented technology
Our RabMAb® technology is a patented hybridoma-based technology for making rabbit monoclonal antibodies. For details on our patents, please refer to RabMAb® patents.

What are the advantages of a recombinant monoclonal antibody?
This product is a recombinant monoclonal antibody, which offers several advantages including:

  • - High batch-to-batch consistency and reproducibility
  • - Improved sensitivity and specificity
  • - Long-term security of supply
  • - Animal-free batch production

For more information, read more on recombinant antibodies.

性能和储存信息

形式
Liquid
纯化工艺
Affinity purification Protein A
存储溶液
pH: 7.2 - 7.4 Preservative: 0.01% Sodium azide Constituents: PBS, 40% Glycerol (glycerin, glycerine), 0.05% BSA
运输条件
Blue Ice
推荐的短期储存时间
1-2 weeks
推荐的短期储存条件
+4°C
推荐的长期储存条件
-20°C
分装信息
Upon delivery aliquot
储存信息
Avoid freeze / thaw cycle

补充信息

This supplementary information is collated from multiple sources and compiled automatically.

Claudin-4 also known as CLDN4 is a protein essential for tight junctions which are critical in maintaining the permeability barrier of epithelial cells. The protein has a molecular mass of approximately 22 kDa. Claudin-4 expresses notably in epithelial cells of various tissues including the kidney lung and gastrointestinal tract. In addition to its presence in normal tissues claudin-4 can also exhibit heightened expression in certain cancerous tissues making it a subject of interest in oncology research.
Biological function summary

Claudin-4 plays a significant role in paracellular transport and cell polarity. By assembling into complexes with other claudins and tight junction proteins claudin-4 regulates the selective permeability and homeostasis across cell layers. It functions as a component of tight junction strands contributing to their barrier properties. Interaction with proteins such as occludin and ZO-1 further defines its role in tight junction structure and function.

Pathways

Claudin-4 participates in critical biological processes such as epithelial cell signaling and apoptosis regulation. It interfaces with the epithelial-to-mesenchymal transition (EMT) pathway where claudin-4 expression influences cellular adhesion and motility. Claudin-4 also interacts with related claudin proteins in these pathways contributing to structural arrangement and pathway signaling precision.

Claudin-4 has associations with several types of cancers including pancreatic and ovarian cancer. Its consistent overexpression in these conditions suggests its involvement in tumorigenesis and metastasis. In the context of ovarian cancer claudin-4 may interact with proteins such as mesothelin which plays a role in cell adhesion and tumor progression. Investigating claudin-4's involvement in cancer can provide insights into potential therapeutic targets and diagnostic markers.

产品实验方案

For this product, it's our understanding that no specific protocols are required. You can visit:

靶点信息

Can associate with other claudins to regulate tight junction structural and functional strand dynamics (PubMed : 35773259, PubMed : 36008380). May coassemble with CLDN8 into tight junction strands containing anion-selective channels that convey paracellular chloride permeability in renal collecting ducts (By similarity) (PubMed : 36008380). May integrate into CLDN3 strands to modulate localized tight junction barrier properties (PubMed : 35773259, PubMed : 36008380). May disrupt strand assembly of channel-forming CLDN2 and CLDN15 and inhibit cation conductance (PubMed : 35773259, PubMed : 36008380). Cannot form tight junction strands on its own (PubMed : 35773259, PubMed : 36008380).
See full target information CLDN4

文献 (22)

Recent publications for all applications. Explore the full list and refine your search

Frontiers in medicine 12:1636860 PubMed40933575

2025

Identification of novel gut microbiota-related biomarkers in cerebral hemorrhagic stroke.

Applications

Unspecified application

Species

Unspecified reactive species

Fengli Ye,Huili Li,Hongying Li,Xiue Mu

Chinese medicine 20:119 PubMed40745657

2025

Baitouweng decoction modulates gut microbial production of indole-3-propionic acid and epithelial necroptosis to alleviate DSS-induced colitis in mice.

Applications

Unspecified application

Species

Unspecified reactive species

Jingyi Hu,Hongxin Chen,Lei Zhu,Yiheng Tong,Cheng Cheng,Guoying Yan,Hong Shen

Nature communications 15:8737 PubMed39384741

2024

Single-cell transcriptomics reveals aberrant skin-resident cell populations and identifies fibroblasts as a determinant in rosacea.

Applications

Unspecified application

Species

Unspecified reactive species

Mengting Chen,Li Yang,Peijie Zhou,Suoqin Jin,Zheng Wu,Zixin Tan,Wenqin Xiao,San Xu,Yan Zhu,Mei Wang,Dan Jian,Fangfen Liu,Yan Tang,Zhixiang Zhao,Yingxue Huang,Wei Shi,Hongfu Xie,Qing Nie,Ben Wang,Zhili Deng,Ji Li

Aging 16:10132-10141 PubMed38862253

2024

Total flavonoids of inhibit colonic barrier injury induced by acute pancreatitis by affecting gut microorganisms.

Applications

Unspecified application

Species

Unspecified reactive species

Xiaojuan Yang,Jia Hu,Chao Zhong,Song Xu,Shiyao Hua,Peng Liu,Ling He

Proceedings of the National Academy of Sciences of the United States of America 121:e2217877121 PubMed38412124

2024

Claudin-2 upregulation enhances intestinal permeability, immune activation, dysbiosis, and mortality in sepsis.

Applications

Unspecified application

Species

Unspecified reactive species

Takehiko Oami,Shabnam Abtahi,Takashi Shimazui,Ching-Wen Chen,Yan Y Sweat,Zhe Liang,Eileen M Burd,Alton B Farris,Joe T Roland,Sachiko Tsukita,Mandy L Ford,Jerrold R Turner,Craig M Coopersmith

Scientific reports 14:3312 PubMed38332234

2024

Development of tight junction-strengthening compounds using a high-throughput screening system to evaluate cell surface-localized claudin-1 in keratinocytes.

Applications

Unspecified application

Species

Unspecified reactive species

Hiroki Sakamoto,Momoyo Nishikawa,Seigo Yamada

Heliyon 9:e18802 PubMed37576246

2023

Study on the function of Huazhuo Jiedu Decoction in promoting the homing of bone marrow mesenchymal stem cells and contributing to the treatment of ulcerative colitis.

Applications

Unspecified application

Species

Unspecified reactive species

Yumei Ma,Yongzhang Li,Shuo Zhang,Zongxiu Liu,Lipeng Du,Xiaoyan Zhang,Xuemei Jia,Qian Yang

FEBS open bio 13:713-723 PubMed36799102

2023

Adrenomedullin alleviates mucosal injury in experimental colitis and increases claudin-4 expression in the colonic epithelium.

Applications

Unspecified application

Species

Unspecified reactive species

Makiko Kawaguchi,Hiroaki Kataoka,Takumi Kiwaki,Liang Weiting,Sayaka Nagata,Kazuo Kitamura,Tsuyoshi Fukushima

Cell reports. Medicine 4:100934 PubMed36754052

2023

Single-cell sequencing identifies differentiation-related markers for molecular classification and recurrence prediction of PitNET.

Applications

Unspecified application

Species

Unspecified reactive species

Qilin Zhang,Boyuan Yao,Xin Long,Zhengyuan Chen,Min He,Yue Wu,Nidan Qiao,Zengyi Ma,Zhao Ye,Yichao Zhang,Shun Yao,Ye Wang,Haixia Cheng,Hong Chen,Hongying Ye,Yongfei Wang,Yimin Li,Jianhua Chen,Zhaoyun Zhang,Fan Guo,Yao Zhao

Cell biology international 46:1852-1863 PubMed35971749

2022

CircSERPINA3 promoted cell proliferation, migration, and invasion of laryngeal squamous cell carcinoma by targeting miR-885-5p.

Applications

Unspecified application

Species

Unspecified reactive species

Qiushi Xu,Bing Yu,Wenjing Chen,Wenlong Li,Yuanhao Sun,Yanchun Fang
View all publications

Abcam Product Promise

我们致力于为您的研究提供高质量的试剂,为您科研的每一步提供支持。若我们的产品未能达到预期性能,我们向您提供 Abcam Product Promise 保障。
详情请参阅我们的条款与条件。

Please note: All products are 'FOR RESEARCH USE ONLY. NOT FOR USE IN DIAGNOSTIC OR THERAPEUTIC PROCEDURES'.

For licensing inquiries, please contact partnerships@abcam.com