JavaScript is disabled in your browser. Please enable JavaScript to view this website.
AB317317

重组Anti-Claudin 2抗体[EPR28730-220]

Anti-Claudin 2 antibody [EPR28730-220]

Be the first to review this product! Submit a review

|

(0 Publication)

Rabbit Recombinant Monoclonal Claudin 2 antibody. Suitable for WB and reacts with Human samples.

查看别名

PSEC0059, SP82, UNQ705/PRO1356, CLDN2, Claudin-2

2 Images
Western blot - Anti-Claudin 2 antibody [EPR28730-220] (AB317317)
  • WB

Lab

Western blot - Anti-Claudin 2 antibody [EPR28730-220] (AB317317)

Western blot : Anti-Cldn2 antibody [EPR28730-220] (ab317317) staining at 1/1000 dilution, shown in green; Mouse anti-Alpha Tubulin [DM1A] (ab7291) loading control staining at 1/20000 dilution, shown in magenta. In Western blot, ab317317 was shown to bind specifically to Cldn2. First, samples were run on an SDS-PAGE gel then transferred onto a nitrocellulose membrane. Membranes were blocked in 5 % milk in TBS-0.1 % Tween® 20 (TBS-T) before incubation with primary antibodies overnight at 4 °C. Blots were washed four times in TBS-T, incubated with secondary antibodies for 1 h at room temperature, washed again four times then imaged. Secondary antibodies used were Goat anti-Rabbit IgG H&L 800CW and Goat anti-Mouse IgG H&L 680RD at 1/20000 dilution.

All lanes:

Western blot - Anti-Claudin 2 antibody [EPR28730-220] (ab317317) at 1/1000 dilution

Lane 1:

HT-29 cell lysate at 20 µg

Lane 2:

Human Kidney cell lysate at 20 µg

Lane 3:

HCT 116 cell lysate at 20 µg

Secondary

Lanes 1 - 3:

Goat anti-Rabbit IgG H&L 800CW at 1/20000 dilution

Lanes 1 - 3:

Goat anti-Mouse IgG H&L 680RD at 1/20000 dilution

Observed band size: 20-24 kDa

false

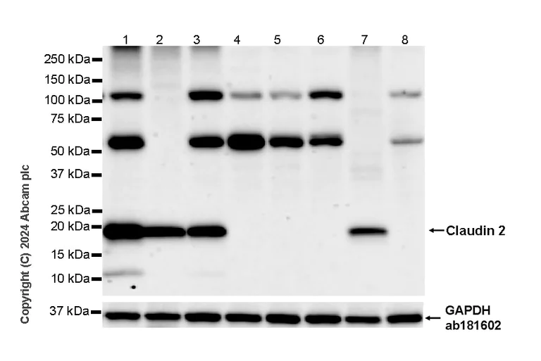
Western blot - Anti-Claudin 2 antibody [EPR28730-220] (AB317317)
  • WB

Supplier Data

Western blot - Anti-Claudin 2 antibody [EPR28730-220] (AB317317)

Low expression : SW620, SW480, HCT 116 (PMID : 21383692), PANC-1.

The expression profile/ molecular weight observed is consistent with what has been described in the literature (PMID : 21383692).

The identity of the higher MW bands at approximately 60 kDa and 110 kDa are unknown.

The identity of the lower MW band at approximately 10 kDa in lane 1 is unknown.

In Western blot, Anti-GAPDH antibody [EPR16891] - Loading Control (ab181602) staining at 1/200000 dilution.

All lanes:

Western blot - Anti-Claudin 2 antibody [EPR28730-220] (ab317317) at 1/1000 dilution

Lane 1:

LoVo (human colorectal adenocarcinoma epithelial cell) whole cell lysate at 20 µg with NFDM/TBST

Lane 2:

HT-29 (human colorectal adenocarcinoma epithelial cell) whole cell lysate at 20 µg with NFDM/TBST

Lane 3:

HCT-15 (human colon epithelial cell) whole cell lysate at 20 µg with NFDM/TBST

Lane 4:

SW620 (human colorectal adenocarcinoma epithelial cell) whole cell lysate at 20 µg with NFDM/TBST

Lane 5:

SW480 (human colorectal adenocarcinoma epithelial cell) whole cell lysate at 20 µg with NFDM/TBST

Lane 6:

HCT 116 (human colorectal carcinoma epithelial cell) whole cell lysate at 20 µg with NFDM/TBST

Lane 7:

A549 (human lu carcinoma epithelial cell) whole cell lysate at 20 µg with NFDM/TBST

Lane 8:

PANC-1 (human pancreatic epithelioid carcinoma epithelial cell) whole cell lysate at 20 µg with NFDM/TBST

Secondary

All lanes:

Western blot - Goat Anti-Rabbit IgG H&L (HRP) (<a href='/products/secondary-antibodies/goat-rabbit-igg-h-l-hrp-ab97051'>ab97051</a>) at 1/20000 dilution

Observed band size: 20 kDa,36 kDa

false

Exposure time: 81s

关键信息

宿主种属

Rabbit

克隆

Monoclonal

克隆号

EPR28730-220

亚型

IgG

不含载体蛋白

No

反应种属

Human

应用

WB

applications

免疫原

The exact immunogen used to generate this antibody is proprietary information.

特异性

Not suitable for use with tissue lysates in WB. A non-specific band at ~25KDa is observed.

反应性数据

{ "title": "Reactivity Data", "filters": { "stats": ["", "Species", "Dilution Info", "Notes"], "tabs": { "all-applications": {"fullname" : "All Applications", "shortname": "All Applications"}, "WB" : {"fullname" : "Western blot", "shortname":"WB"}, "IP" : {"fullname" : "Immunoprecipitation", "shortname":"IP"}, "ICCIF" : {"fullname" : "Immunocytochemistry/ Immunofluorescence", "shortname":"ICC/IF"}, "FlowCytIntra" : {"fullname" : "Flow Cytometry (Intracellular)", "shortname":"Flow Cyt (Intra)"}, "IHCP" : {"fullname" : "Immunohistochemistry (Formalin/PFA-fixed paraffin-embedded sections)", "shortname":"IHC-P"} }, "product-promise": { "all": "all", "testedAndGuaranteed": "tested", "guaranteed": "expected", "predicted": "predicted", "notRecommended": "not-recommended" } }, "values": { "Human": { "WB-species-checked": "testedAndGuaranteed", "WB-species-dilution-info": "1/1000", "WB-species-notes": "<p></p>", "IP-species-checked": "notRecommended", "IP-species-dilution-info": "", "IP-species-notes": "<p></p>", "ICCIF-species-checked": "notRecommended", "ICCIF-species-dilution-info": "", "ICCIF-species-notes": "<p></p>", "FlowCytIntra-species-checked": "notRecommended", "FlowCytIntra-species-dilution-info": "", "FlowCytIntra-species-notes": "<p></p>", "IHCP-species-checked": "notRecommended", "IHCP-species-dilution-info": "", "IHCP-species-notes": "<p></p>" }, "Mouse": { "WB-species-checked": "notRecommended", "WB-species-dilution-info": "", "WB-species-notes": "<p></p>", "IP-species-checked": "notRecommended", "IP-species-dilution-info": "", "IP-species-notes": "", "ICCIF-species-checked": "notRecommended", "ICCIF-species-dilution-info": "", "ICCIF-species-notes": "<p></p>", "FlowCytIntra-species-checked": "notRecommended", "FlowCytIntra-species-dilution-info": "", "FlowCytIntra-species-notes": "<p></p>", "IHCP-species-checked": "notRecommended", "IHCP-species-dilution-info": "", "IHCP-species-notes": "<p></p>" }, "Rat": { "WB-species-checked": "notRecommended", "WB-species-dilution-info": "", "WB-species-notes": "<p></p>", "IP-species-checked": "notRecommended", "IP-species-dilution-info": "", "IP-species-notes": "", "ICCIF-species-checked": "notRecommended", "ICCIF-species-dilution-info": "", "ICCIF-species-notes": "", "FlowCytIntra-species-checked": "notRecommended", "FlowCytIntra-species-dilution-info": "", "FlowCytIntra-species-notes": "", "IHCP-species-checked": "notRecommended", "IHCP-species-dilution-info": "", "IHCP-species-notes": "<p></p>" } } }

产品详情

Patented technology
Our RabMAb® technology is a patented hybridoma-based technology for making rabbit monoclonal antibodies. For details on our patents, please refer to RabMAb® patents.

What are the advantages of a recombinant monoclonal antibody?
This product is a recombinant monoclonal antibody, which offers several advantages including:

  • - High batch-to-batch consistency and reproducibility
  • - Improved sensitivity and specificity
  • - Long-term security of supply
  • - Animal-free batch production

For more information, read more on recombinant antibodies.

性能和储存信息

形式
Liquid
纯化工艺
Affinity purification Protein A
存储溶液
pH: 7.2 - 7.4 Preservative: 0.01% Sodium azide Constituents: PBS, 40% Glycerol (glycerin, glycerine), 0.05% BSA
运输条件
Blue Ice
推荐的短期储存时间
1-2 weeks
推荐的短期储存条件
+4°C
推荐的长期储存条件
-20°C
分装信息
Upon delivery aliquot
储存信息
Avoid freeze / thaw cycle

补充信息

This supplementary information is collated from multiple sources and compiled automatically.

Claudin-2 also known as CLDN2 is a protein that plays an important role in the formation and function of tight junctions between epithelial and endothelial cells. This structural protein is approximately 22 kDa in mass. It is mainly expressed in tissues with high transepithelial transport such as the kidney and intestine. As a member of the claudins Claudin-2 contributes to the paracellular transport of small ions and water distinguishing itself from other tight junction proteins.
Biological function summary

Claudin-2 facilitates the creation of ion-selective pores in the tight junction complexes allowing it to regulate paracellular permeability and maintain ion balance. It is part of the larger tight junction complex that includes proteins like occludin and zona occludens. Through these interactions Claudin-2 supports the maintenance of epithelial barrier function which is essential for controlled passage of ions and molecules in tissues.

Pathways

Claudin-2 participates in the signaling pathways related to epithelial cell polarity and transepithelial transport. It is significantly involved in the MAPK and PI3K-Akt signaling pathways which are important for cell growth and survival. It includes interactions with related proteins such as Claudin-1 and Claudin-4 which modulate the structure and integrity of tight junctions in response to various cellular signals.

An imbalance or dysregulation of Claudin-2 expression can contribute to pathological conditions like inflammatory bowel disease (IBD) and hypercalciuria. Defects in Claudin-2 disrupt barrier function increasing permeability and often correlating with disease progression. Additionally proteins like ZO-1 and ZO-2 are associated with Claudin-2 in these disorders as they together influence the dynamics and composition of tight junctions under pathophysiological conditions.

产品实验方案

For this product, it's our understanding that no specific protocols are required. You can visit:

靶点信息

Forms paracellular channels : polymerizes in tight junction strands with cation- and water-selective channels through the strands, conveying epithelial permeability in a process known as paracellular tight junction permeability (PubMed : 20460438, PubMed : 36008380). In intestinal epithelium, allows for sodium and water fluxes from the peritoneal side to the lumen of the intestine to regulate nutrient absorption and clear enteric pathogens as part of mucosal immune response (By similarity). In kidney, allows passive sodium and calcium reabsorption across proximal tubules from the lumen back to the bloodstream (By similarity). In the hepatobiliary tract, allows paracellular water and cation fluxes in the hepatic perivenous areas and biliary epithelium to generate bile flow and maintain osmotic gradients (By similarity).
See full target information CLDN2

Abcam Product Promise

我们致力于为您的研究提供高质量的试剂,为您科研的每一步提供支持。若我们的产品未能达到预期性能,我们向您提供 Abcam Product Promise 保障。
详情请参阅我们的条款与条件。

Please note: All products are 'FOR RESEARCH USE ONLY. NOT FOR USE IN DIAGNOSTIC OR THERAPEUTIC PROCEDURES'.

For licensing inquiries, please contact partnerships@abcam.com