JavaScript is disabled in your browser. Please enable JavaScript to view this website.
AB211737

Anti-Claudin 1 抗体 [EPRR18871]

Anti-Claudin 1 antibody [EPRR18871]

5

(7 Reviews)

|

(37 Publications)

Anti-Claudin 1 antibody [EPRR18871] (ab211737) is a rabbit monoclonal antibody detecting Claudin 1 in Western Blot, Flow Cytometry (Intra), Flow Cytometry, IP, IHC-P, ICC/IF. Suitable for Human,.

- KO validated for confirmed specificity
- Biophysical QC for unrivalled batch-batch consistency
- Over 30 publications

查看别名

CLD1, SEMP1, UNQ481/PRO944, CLDN1, Claudin-1, Senescence-associated epithelial membrane protein

13 Images
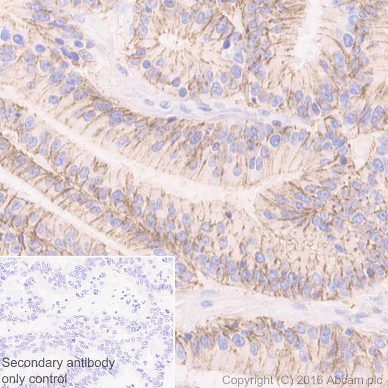
Immunohistochemistry (Formalin/PFA-fixed paraffin-embedded sections) - Anti-Claudin 1 antibody [EPRR18871] (AB211737)
  • IHC-P

Supplier Data

Immunohistochemistry (Formalin/PFA-fixed paraffin-embedded sections) - Anti-Claudin 1 antibody [EPRR18871] (AB211737)

Immunohistochemical analysis of paraffin-embedded human colon cancer tissue labeling Claudin 1 with ab211737 at 1/250 dilution, followed by Goat Anti-Rabbit IgG H&L (HRP) (ab97051) at 1/500 dilution. Membrane staining on human colon cancer (PMID : 15475928) is observed. Counter stained with Hematoxylin.

Secondary antibody only control : Used PBS instead of primary antibody, secondary antibody is Goat Anti-Rabbit IgG H&L (HRP) (ab97051) at 1/500 dilution.

Perform heat mediated antigen retrieval with Tris/EDTA buffer pH 9.0 before commencing with IHC staining protocol.

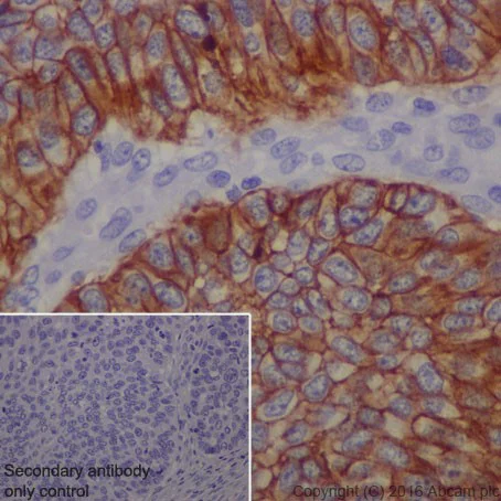
Immunohistochemistry (Formalin/PFA-fixed paraffin-embedded sections) - Anti-Claudin 1 antibody [EPRR18871] (AB211737)
  • IHC-P

Supplier Data

Immunohistochemistry (Formalin/PFA-fixed paraffin-embedded sections) - Anti-Claudin 1 antibody [EPRR18871] (AB211737)

Immunohistochemical analysis of paraffin-embedded human lung squamous cell cancer tissue labeling Claudin 1 with ab211737 at 1/250 dilution, followed by Goat Anti-Rabbit IgG H&L (HRP) (ab97051) at 1/500 dilution. Membrane staining on human lung squamous cell cancer is observed. Counter stained with Hematoxylin.

Secondary antibody only control : Used PBS instead of primary antibody, secondary antibody is Goat Anti-Rabbit IgG H&L (HRP) (ab97051) at 1/500 dilution.

Perform heat mediated antigen retrieval with Tris/EDTA buffer pH 9.0 before commencing with IHC staining protocol.

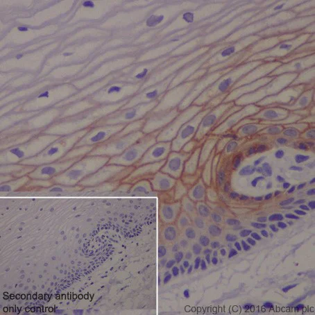
Immunohistochemistry (Formalin/PFA-fixed paraffin-embedded sections) - Anti-Claudin 1 antibody [EPRR18871] (AB211737)
  • IHC-P

Supplier Data

Immunohistochemistry (Formalin/PFA-fixed paraffin-embedded sections) - Anti-Claudin 1 antibody [EPRR18871] (AB211737)

Immunohistochemical analysis of paraffin-embedded human cervix tissue labeling Claudin 1 with ab211737 at 1/250 dilution, followed by Goat Anti-Rabbit IgG H&L (HRP) (ab97051) at 1/500 dilution. Membrane staining on human cervix is observed. Counter stained with Hematoxylin.

Secondary antibody only control : Used PBS instead of primary antibody, secondary antibody is Goat Anti-Rabbit IgG H&L (HRP) (ab97051) at 1/500 dilution.

Perform heat mediated antigen retrieval with Tris/EDTA buffer pH 9.0 before commencing with IHC staining protocol.

Immunocytochemistry/ Immunofluorescence - Anti-Claudin 1 antibody [EPRR18871] (AB211737)
  • ICC/IF

Supplier Data

Immunocytochemistry/ Immunofluorescence - Anti-Claudin 1 antibody [EPRR18871] (AB211737)

Immunofluorescent analysis of 4% paraformaldehyde-fixed, 0.1% Triton X-100 permeabilized HepG2 (Human liver hepatocellular carcinoma cell line) cells labeling Claudin 1 with ab211737 at 1/1000 dilution, followed by Goat Anti-Rabbit IgG H&L (Alexa Fluor® 488) (ab150077) secondary antibody at 1/1000 dilution (green).

Confocal image showing membranous staining on HepG2 cell line.

The nuclear counterstain is DAPI (blue).

Tubulin is detected with Anti-alpha Tubulin mouse MAb (ab7291) at 1/1000 dilution and Goat Anti-Mouse IgG H&L (Alexa Fluor® 594) (ab150120) secondary antibody at 1/1000 dilution (red).

The negative controls are as follows : -

-ve control 1 : ab211737 at 1/1000 dilution followed by Goat Anti-Mouse IgG H&L (Alexa Fluor® 594) (ab150120) secondary antibody at 1/1000 dilution.

-ve control 2 : Anti-alpha Tubulin mouse MAb (ab7291) at 1/1000 dilution followed by Goat Anti-Rabbit IgG H&L (Alexa Fluor® 488) (ab150077) secondary antibody at 1/1000 dilution.

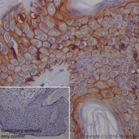
Immunohistochemistry (Formalin/PFA-fixed paraffin-embedded sections) - Anti-Claudin 1 antibody [EPRR18871] (AB211737)
  • IHC-P

Supplier Data

Immunohistochemistry (Formalin/PFA-fixed paraffin-embedded sections) - Anti-Claudin 1 antibody [EPRR18871] (AB211737)

Immunohistochemical analysis of paraffin-embedded human skin tissue labeling Claudin 1 with ab211737 at 1/250 dilution, followed by Goat Anti-Rabbit IgG H&L (HRP) (ab97051) at 1/500 dilution. Membrane staining on human skin squamous cells is observed. Counter stained with Hematoxylin.

Secondary antibody only control : Used PBS instead of primary antibody, secondary antibody is Goat Anti-Rabbit IgG H&L (HRP) (ab97051) at 1/500 dilution.

Perform heat mediated antigen retrieval with Tris/EDTA buffer pH 9.0 before commencing with IHC staining protocol.

Immunohistochemistry (Formalin/PFA-fixed paraffin-embedded sections) - Anti-Claudin 1 antibody [EPRR18871] (AB211737)
  • IHC-P

Unknown

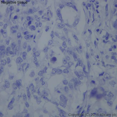
Immunohistochemistry (Formalin/PFA-fixed paraffin-embedded sections) - Anti-Claudin 1 antibody [EPRR18871] (AB211737)

Immunohistochemical analysis of paraffin-embedded human lung adenocarcinoma tissue labeling Claudin 1 with ab211737 at 1/250 dilution, followed by Goat Anti-Rabbit IgG H&L (HRP) (ab97051) at 1/500 dilution.

Negative control : Negative staining on human lung adenocarcinoma, which is consistent with the literature (PMID : 17585317).

Counter stained with Hematoxylin.

Perform heat mediated antigen retrieval with Tris/EDTA buffer pH 9.0 before commencing with IHC staining protocol.

Immunocytochemistry/ Immunofluorescence - Anti-Claudin 1 antibody [EPRR18871] (AB211737)
  • ICC/IF

Supplier Data

Immunocytochemistry/ Immunofluorescence - Anti-Claudin 1 antibody [EPRR18871] (AB211737)

Immunofluorescent analysis of 4% paraformaldehyde-fixed, 0.1% Triton X-100 permeabilized A431 (Human epidermoid carcinoma cell line) cells labeling Claudin 1 with ab211737 at 1/1000 dilution, followed by Goat Anti-Rabbit IgG H&L (Alexa Fluor® 488) (ab150077) secondary antibody at 1/1000 dilution (green). Confocal image showing membrane staining on A431 cell line.The nuclear counterstain is DAPI (blue).

Tubulin is detected with Anti-alpha Tubulin mouse MAb (ab7291) at 1/1000 dilution and Goat Anti-Mouse IgG H&L (Alexa Fluor® 594) (ab150120) secondary antibody at 1/1000 dilution (red).

The negative controls are as follows : -

-ve control 1 : ab211737 at 1/1000 dilution followed by Goat Anti-Mouse IgG H&L (Alexa Fluor® 594) (ab150120) secondary antibody at 1/1000 dilution.

-ve control 2 : Anti-alpha Tubulin mouse MAb (ab7291) at 1/1000 dilution followed by Goat Anti-Rabbit IgG H&L (Alexa Fluor® 488) (ab150077) secondary antibody at 1/1000 dilution.

Flow Cytometry (Intracellular) - Anti-Claudin 1 antibody [EPRR18871] (AB211737)
  • Flow Cyt (Intra)

Supplier Data

Flow Cytometry (Intracellular) - Anti-Claudin 1 antibody [EPRR18871] (AB211737)

Intracellular flow cytometric analysis of 4% paraformaldehyde-fixed HepG2 (Human liver hepatocellular carcinoma cell line) cells labeling Claudin 1with ab211737 at 1/60 dilution (red) compared with a rabbit monoclonal IgG isotype control (ab172730; black) and an unlabelled control (cells without incubation with primary antibody and secondary antibody; blue). Goat Anti-Rabbit IgG (Alexa Fluor® 488) at 1/2000 dilution was used as the secondary antibody.

Immunoprecipitation - Anti-Claudin 1 antibody [EPRR18871] (AB211737)
  • IP

Supplier Data

Immunoprecipitation - Anti-Claudin 1 antibody [EPRR18871] (AB211737)

Claudin 1 was immunoprecipitated from 0.35 mg of HepG2 (Human liver hepatocellular carcinoma cell line) whole cell lysate with ab211737 at 1/40 dilution.

Western blot was performed from the immunoprecipitate using ab211737 at 1/2000 dilution.

VeriBlot for IP Detection Reagent (HRP) (ab131366), was used for detection at 1/10,000 dilution

Lane 1 : HepG2 whole cell lysate 10μg (Input).

Lane 2 : ab211737 IP in HepG2 whole cell lysate.

Lane 3 : Rabbit monoclonal IgG (ab172730) instead of ab211737 in HepG2 whole cell lysate.

Blocking and dilution buffer and concentration : 5% NFDM/TBST.

Exposure time : 3 seconds.

All lanes:

Immunoprecipitation - Anti-Claudin 1 antibody [EPRR18871] (ab211737)

Predicted band size: 22 kDa

false

Western blot - Anti-Claudin 1 antibody [EPRR18871] (AB211737)
  • WB

Supplier Data

Western blot - Anti-Claudin 1 antibody [EPRR18871] (AB211737)

Blocking/Dilution buffer : 5% NFDM/TBST.

The expression profile/ molecular weight observed is consistent with what has been described in the literature PMID : 26601075.

All lanes:

Western blot - Anti-Claudin 1 antibody [EPRR18871] (ab211737) at 1/2000 dilution

Lane 1:

Human fetal liver lysate at 10 µg

Lane 2:

Human fetal kidney lysate at 10 µg

Secondary

All lanes:

Goat Anti-Rabbit IgG Peroxidase Conjugate, specific to the non-reduced form of IgG at 1/10000 dilution

Predicted band size: 22 kDa

Observed band size: 18 kDa

false

Exposure time: 3min

Western blot - Anti-Claudin 1 antibody [EPRR18871] (AB211737)
  • WB

Supplier Data

Western blot - Anti-Claudin 1 antibody [EPRR18871] (AB211737)

Blocking/Dilution buffer : 5% NFDM/TBST.

Human Claudin 1 full length recombinant protein contains aa1-211 with His-Tag® and GST-tag. This recombinant was made in house.

All lanes:

Western blot - Anti-Claudin 1 antibody [EPRR18871] (ab211737) at 1/5000 dilution

All lanes:

Human Claudin 1 full length recombinant protein at 0.01 µg

Secondary

All lanes:

Western blot - Goat Anti-Rabbit IgG H&L (HRP) (<a href='/products/secondary-antibodies/goat-rabbit-igg-h-l-hrp-ab97051'>ab97051</a>) at 1/100000 dilution

Predicted band size: 22 kDa

Observed band size: 45 kDa

false

Exposure time: 1s

Western blot - Anti-Claudin 1 antibody [EPRR18871] (AB211737)
  • WB

Supplier Data

Western blot - Anti-Claudin 1 antibody [EPRR18871] (AB211737)

Blocking/Dilution buffer : 5% NFDM/TBST.

Exposure time : Lane 1/2 : 15 seconds; Lane 3 : 5 seconds.

The expression profile/ molecular weight observed is consistent with what has been described in the literature PMID : 26601075.

All lanes:

Western blot - Anti-Claudin 1 antibody [EPRR18871] (ab211737) at 1/2000 dilution

Lane 1:

HEK-293 (Human epithelial cell line from embryonic kidney) whole cell lysate at 10 µg

Lane 2:

A431 (Human epidermoid carcinoma cell line) whole cell lysate at 10 µg

Lane 3:

HepG2 (Human liver hepatocellular carcinoma cell line) whole cell lysate at 10 µg

Secondary

All lanes:

Western blot - Goat Anti-Rabbit IgG H&L (HRP) (<a href='/products/secondary-antibodies/goat-rabbit-igg-h-l-hrp-ab97051'>ab97051</a>) at 1/100000 dilution

Predicted band size: 22 kDa

Observed band size: 18 kDa

false

Western blot - Anti-Claudin 1 antibody [EPRR18871] (AB211737)
  • WB

Lab

Western blot - Anti-Claudin 1 antibody [EPRR18871] (AB211737)

Lanes 1 - 4 : Merged signal (red and green). Green - ab211737 observed at 18 kDa. Red - loading control, ab8245, observed at 37 kDa.

ab211737 was shown to specifically react with in wild-type A431 WT cells as signal was lost in A431 CLDN1 knockout cells. Wild-type and A431 CLDN1 knockout samples were subjected to SDS-PAGE. The membrane was blocked with 3pc Milk. ab211737 and ab8245 (Mouse anti GAPDH loading control) were incubated overnight at 4°C at 1/2000 dilution and 1/20000 dilution respectively. Blots were developed with Goat anti-Rabbit IgG H&L (IRDye® 800CW) preabsorbed ab216773 and Goat anti-Mouse IgG H&L (IRDye® 680RD) preabsorbed ab216776 secondary antibodies at 1/20000 dilution for 1 hour at room temperature before imaging.

All lanes:

Western blot - Anti-Claudin 1 antibody [EPRR18871] (ab211737) at 1/2000 dilution

Lane 1:

Wild-type A-431 (Human epidermoid carcinoma cell line) whole cell lysate at 20 µg

Lane 2:

CLDN1 knockout A-431 (Human epidermoid carcinoma cell line) whole cell lysate at 20 µg

Lane 2:

Western blot - Human CLDN1 knockout A-431 cell line (<a href='/products/cell-lines/human-cldn1-knockout-a-431-cell-line-ab261889'>ab261889</a>)

Lane 3:

A549 (Human lung carcinoma cell line) whole cell lysate at 20 µg

Lane 4:

MCF7 (Human breast adenocarcinoma cell line) whole cell lysate at 20 µg

Predicted band size: 22 kDa

false

不同偶联物与剂型 (11)

  • Carrier free

    Anti-Claudin 1 antibody [EPRR18871] - BSA and Azide free

  • 578 PE

    PE Anti-Claudin 1 antibody [EPRR18871]

  • HRP

    HRP Anti-Claudin 1 antibody [EPRR18871]

  • 617 Alexa Fluor® 594

    Alexa Fluor® 594 Anti-Claudin 1 antibody [EPRR18871]

  • 519 Alexa Fluor® 488

    Alexa Fluor® 488 Anti-Claudin 1 antibody [EPRR18871]

  • 665 Alexa Fluor® 647

    Alexa Fluor® 647 Anti-Claudin 1 antibody [EPRR18871]

  • 565 Alexa Fluor® 555

    Alexa Fluor® 555 Anti-Claudin 1 antibody [EPRR18871]

  • 660 APC

    APC Anti-Claudin 1 antibody [EPRR18871]

  • Carrier free

    Anti-Claudin 1 antibody [RM1186] - BSA and Azide free

  • Unconjugated

    Anti-Claudin 1 antibody [RM1186]

  • Unconjugated

    Anti-Claudin 1 antibody [EPR25359-48]

关键信息

宿主种属

Rabbit

克隆

Monoclonal

克隆号

EPRR18871

亚型

IgG

不含载体蛋白

No

反应种属

Human

应用

IP, ICC/IF, IHC-P, Flow Cyt (Intra), WB

applications

免疫原

The exact immunogen used to generate this antibody is proprietary information.

反应性数据

{ "title": "Reactivity Data", "filters": { "stats": ["", "Species", "Dilution Info", "Notes"], "tabs": { "all-applications": {"fullname" : "All Applications", "shortname": "All Applications"}, "IP" : {"fullname" : "Immunoprecipitation", "shortname":"IP"}, "WB" : {"fullname" : "Western blot", "shortname":"WB"}, "ICCIF" : {"fullname" : "Immunocytochemistry/ Immunofluorescence", "shortname":"ICC/IF"}, "FlowCytIntra" : {"fullname" : "Flow Cytometry (Intracellular)", "shortname":"Flow Cyt (Intra)"}, "IHCP" : {"fullname" : "Immunohistochemistry (Formalin/PFA-fixed paraffin-embedded sections)", "shortname":"IHC-P"} }, "product-promise": { "all": "all", "testedAndGuaranteed": "tested", "guaranteed": "expected", "predicted": "predicted", "notRecommended": "not-recommended" } }, "values": { "Human": { "IP-species-checked": "testedAndGuaranteed", "IP-species-dilution-info": "1/40", "IP-species-notes": "<p></p>", "WB-species-checked": "testedAndGuaranteed", "WB-species-dilution-info": "1/2000", "WB-species-notes": "<p></p>", "ICCIF-species-checked": "testedAndGuaranteed", "ICCIF-species-dilution-info": "1/1000", "ICCIF-species-notes": "<p></p>", "FlowCytIntra-species-checked": "testedAndGuaranteed", "FlowCytIntra-species-dilution-info": "1/60", "FlowCytIntra-species-notes": "<p></p>", "IHCP-species-checked": "testedAndGuaranteed", "IHCP-species-dilution-info": "1/250", "IHCP-species-notes": "<p></p> Perform heat-mediated antigen retrieval with Tris/EDTA buffer pH 9.0 before commencing with IHC staining protocol." }, "Mouse": { "IP-species-checked": "notRecommended", "IP-species-dilution-info": "", "IP-species-notes": "", "WB-species-checked": "notRecommended", "WB-species-dilution-info": "", "WB-species-notes": "", "ICCIF-species-checked": "notRecommended", "ICCIF-species-dilution-info": "", "ICCIF-species-notes": "", "FlowCytIntra-species-checked": "notRecommended", "FlowCytIntra-species-dilution-info": "", "FlowCytIntra-species-notes": "", "IHCP-species-checked": "notRecommended", "IHCP-species-dilution-info": "1/250", "IHCP-species-notes": "<p></p> Perform heat-mediated antigen retrieval with Tris/EDTA buffer pH 9.0 before commencing with IHC staining protocol." }, "Recombinant full length protein - Human": { "IP-species-checked": "notRecommended", "IP-species-dilution-info": "", "IP-species-notes": "", "WB-species-checked": "testedAndGuaranteed", "WB-species-dilution-info": "1/2000", "WB-species-notes": "<p></p>", "ICCIF-species-checked": "notRecommended", "ICCIF-species-dilution-info": "", "ICCIF-species-notes": "", "FlowCytIntra-species-checked": "notRecommended", "FlowCytIntra-species-dilution-info": "", "FlowCytIntra-species-notes": "", "IHCP-species-checked": "notRecommended", "IHCP-species-dilution-info": "", "IHCP-species-notes": "" } } }

产品详情

性能和储存信息

形式
Liquid
纯化工艺
Affinity purification Protein A
存储溶液
pH: 7.2 - 7.4 Preservative: 0.01% Sodium azide Constituents: 59% PBS, 40% Glycerol (glycerin, glycerine), 0.05% BSA
运输条件
Blue Ice
推荐的短期储存时间
1-2 weeks
推荐的短期储存条件
+4°C
推荐的长期储存条件
-20°C
分装信息
Upon delivery aliquot
储存信息
Avoid freeze / thaw cycle

补充信息

This supplementary information is collated from multiple sources and compiled automatically.

Claudin 1 also known as CLDN1 is a protein that plays a fundamental role in the formation of tight junctions in the epithelial cells. This claudin protein has a molecular weight of approximately 22 kDa. You can find it expressed in various tissues including the skin liver kidney and lungs. Claudin 1 belongs to the claudin family which consists of transmembrane proteins involved in sealing the space between adjacent cells therefore ensuring tissue integrity.
Biological function summary

This claudin protein contributes to establishing and maintaining the barrier function that controls paracellular transport which is the movement of substances between cells. Claudin 1 participates as a critical component of the tight junction complex and it interacts with other proteins such as occludin and zonula occludens. These interactions contribute to the regulation and maintenance of cell polarity and signaling.

Pathways

Claudin 1 is involved in the epithelial cell signaling pathways that influence cellular proliferation and differentiation. One significant pathway is the Wnt signaling pathway where claudin 1 cooperates with other claudins and proteins like Β-catenin to regulate gene transcription. Additionally it is implicated in the MAPK pathway which involves signaling cascades that affect cell growth division and response to external stress.

Claudin 1 shows a strong association with cancers particularly hepatocellular carcinoma and melanoma. In these conditions changes in claudin 1 expression levels can affect tumor progression and metastasis. It also associates with other proteins like E-cadherin impacting cell adhesion and epithelial-mesenchymal transition in cancerous cells. Moreover abnormalities in claudin 1 expression relate to skin disorders such as ichthyosis which is marked by a dysfunction in the skin barrier.

产品实验方案

For this product, it's our understanding that no specific protocols are required. You can visit:

靶点信息

Claudins function as major constituents of the tight junction complexes that regulate the permeability of epithelia. While some claudin family members play essential roles in the formation of impermeable barriers, others mediate the permeability to ions and small molecules. Often, several claudin family members are coexpressed and interact with each other, and this determines the overall permeability. CLDN1 is required to prevent the paracellular diffusion of small molecules through tight junctions in the epidermis and is required for the normal barrier function of the skin. Required for normal water homeostasis and to prevent excessive water loss through the skin, probably via an indirect effect on the expression levels of other proteins, since CLDN1 itself seems to be dispensable for water barrier formation in keratinocyte tight junctions (PubMed : 23407391).. (Microbial infection) Acts as a co-receptor for hepatitis C virus (HCV) in hepatocytes (PubMed : 17325668, PubMed : 20375010, PubMed : 24038151). Associates with CD81 and the CLDN1-CD81 receptor complex is essential for HCV entry into host cell (PubMed : 20375010). Acts as a receptor for dengue virus (PubMed : 24074594).
See full target information CLDN1

文献 (37)

Recent publications for all applications. Explore the full list and refine your search

Microbiome 11:248 PubMed37936242

2023

Surgery-induced gut microbial dysbiosis promotes cognitive impairment via regulation of intestinal function and the metabolite palmitic amide.

Applications

Unspecified application

Species

Unspecified reactive species

Cailong Pan,Huiwen Zhang,Lingyuan Zhang,Lu Chen,Lu Xu,Ning Xu,Xue Liu,Qinghai Meng,Xiaoliang Wang,Zhi-Yuan Zhang

Antioxidants (Basel, Switzerland) 12: PubMed38001779

2023

Dietary Betaine Supplementation Enhances Colonic Barrier Function through the Nrf2/Keap1 and TLR4-NF-κB/MAPK Signaling Pathways and Alters Colonic Microbiota in Bama Mini-Pigs.

Applications

Unspecified application

Species

Unspecified reactive species

Liang Xiong,Kai Wang,Mingtong Song,Md Abul Kalam Azad,Qian Zhu,Xiangfeng Kong

Frontiers in microbiology 14:1243102 PubMed37840733

2023

Fecal microbiota transplantation from HUC-MSC-treated mice alleviates acute lung injury in mice through anti-inflammation and gut microbiota modulation.

Applications

Unspecified application

Species

Unspecified reactive species

Feng Hua,Enhai Cui,Lu Lv,Bin Wang,Liqin Li,Huadong Lu,Na Chen,Wenyan Chen

NPJ biofilms and microbiomes 9:56 PubMed37580334

2023

Bacteroides uniformis-induced perturbations in colonic microbiota and bile acid levels inhibit TH17 differentiation and ameliorate colitis developments.

Applications

Unspecified application

Species

Unspecified reactive species

YiTing Yan,Yu Lei,Ying Qu,Zhen Fan,Ting Zhang,Yangbin Xu,Qian Du,Daniel Brugger,Yulin Chen,Ke Zhang,Enping Zhang

FASEB journal : official publication of the Federation of American Societies for Experimental Biology 37:e22994 PubMed37249555

2023

Colonic mucin-2 attenuates acute necrotizing pancreatitis in rats by modulating intestinal homeostasis.

Applications

Unspecified application

Species

Unspecified reactive species

Zehua Huang,Huimin Wu,Junjie Fan,Qixiang Mei,Yang Fu,Nuoming Yin,Binqiang Xu,Shengzheng Luo,Baiwen Li,Jianbo Ni,Chunlan Huang,Junjie Hu,Yue Zeng

Frontiers in microbiology 13:1051100 PubMed36687648

2023

Exploration of the potential mechanism of Baicalin for hepatic fibrosis based on network pharmacology, gut microbiota, and experimental validation.

Applications

Unspecified application

Species

Unspecified reactive species

Sujie Liu,Pingping Chen,Shadi A D Mohammed,Zihui Li,Xin Jiang,Juan Wu,Shumin Liu

PLoS pathogens 19:e1011077 PubMed36652443

2023

Ebola virus disrupts the inner blood-retinal barrier by induction of vascular endothelial growth factor in pericytes.

Applications

Unspecified application

Species

Unspecified reactive species

Jiawang Gao,Zhengyuan Guo,Wei Li,Xiaowei Zhang,Xian-En Zhang,Zongqiang Cui

Nutrients 15: PubMed36678226

2023

Dihydromyricetin Protects Intestinal Barrier Integrity by Promoting IL-22 Expression in ILC3s through the AMPK/SIRT3/STAT3 Signaling Pathway.

Applications

Unspecified application

Species

Unspecified reactive species

Jie Zhou,Jing Yue,Yu Yao,Pengfei Hou,Ting Zhang,Qianyong Zhang,Long Yi,Mantian Mi

Folia histochemica et cytobiologica 60:311-322 PubMed36504132

2022

Dexmedetomidine alleviates intestinal barrier dysfunction and inflammatory response in mice via suppressing TLR4/MyD88/NF-κB signaling in an experimental model of ulcerative colitis.

Applications

Unspecified application

Species

Unspecified reactive species

Xiaojin Ye,Huailiang Xu,Yuan Xu

Frontiers in immunology 13:1046121 PubMed36483553

2022

Immune and non-immune cell subtypes identify novel targets for prognostic and therapeutic strategy: A study based on intratumoral heterogenicity analysis of multicenter scRNA-seq datasets in lung adenocarcinoma.

Applications

Unspecified application

Species

Unspecified reactive species

Tianyu Fan,Jian Lu,Delei Niu,Yue Zhang,Bin Wang,Bei Zhang,Zugui Zhang,Xinjiai He,Nan Peng,Biao Li,Huilong Fang,Zheng Gong,Li Zhang
View all publications

Abcam Product Promise

我们致力于为您的研究提供高质量的试剂,为您科研的每一步提供支持。若我们的产品未能达到预期性能,我们向您提供 Abcam Product Promise 保障。
详情请参阅我们的条款与条件。

关联产品

Select an associated product type
Alternative Product
Primary Antibodies

AB115783

Anti-Claudin 1 antibody [SP128]

primary-antibodies

claudin-1-antibody-sp128-ab115783

0

(0 reviews)

Alternative Product
Primary Antibodies

AB180158

Anti-Claudin 1 antibody [EPR9306]

primary-antibodies

claudin-1-antibody-epr9306-ab180158

4

(2 reviews)

Alternative Product
Primary Antibodies

AB240223

Anti-Claudin 1 antibody [EPR9306] - BSA and Azide free

primary-antibodies

claudin-1-antibody-epr9306-bsa-and-azide-free-ab240223

0

(0 reviews)

Alternative Product
Primary Antibodies

AB15098

Anti-Claudin 1 antibody

primary-antibodies

claudin-1-antibody-ab15098

4

(21 reviews)

Alternative Product
Primary Antibodies

AB271884

Anti-Claudin 1 antibody [SP128] - BSA and Azide free

primary-antibodies

claudin-1-antibody-sp128-bsa-and-azide-free-ab271884

0

(0 reviews)

Please note: All products are 'FOR RESEARCH USE ONLY. NOT FOR USE IN DIAGNOSTIC OR THERAPEUTIC PROCEDURES'.

For licensing inquiries, please contact partnerships@abcam.com