JavaScript is disabled in your browser. Please enable JavaScript to view this website.
AB3720

Anti-Claspin 抗体

Anti-Claspin antibody

4

(5 Reviews)

|

(16 Publications)

Rabbit Polyclonal Claspin antibody. Suitable for IHC-P and reacts with Human samples. Cited in 16 publications. Immunogen corresponding to Synthetic Peptide within Human Claspin.

查看别名

Claspin, hClaspin, CLSPN

1 Images
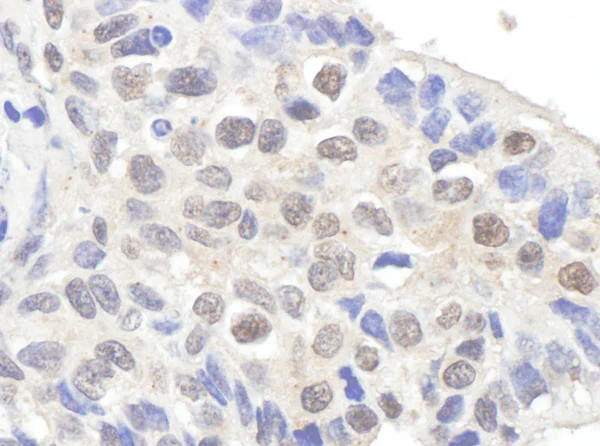
Immunohistochemistry (Formalin/PFA-fixed paraffin-embedded sections) - Anti-Claspin antibody (AB3720)
  • IHC-P

Unknown

Immunohistochemistry (Formalin/PFA-fixed paraffin-embedded sections) - Anti-Claspin antibody (AB3720)

Immunohistochemistry (Formalin/PFA-fixed paraffin-embedded sections) analysis of human lung carcinoma tissue labelling Claspin with ab3720 at 1/1000 (1µg/ml). Detection : DAB.

关键信息

宿主种属

Rabbit

克隆

Polyclonal

亚型

IgG

不含载体蛋白

No

反应种属

Human

应用

IHC-P

applications

免疫原

Synthetic Peptide within Human Claspin. The exact immunogen used to generate this antibody is proprietary information.

Q9HAW4

反应性数据

{ "title": "Reactivity Data", "filters": { "stats": ["", "Species", "Dilution Info", "Notes"], "tabs": { "all-applications": {"fullname" : "All Applications", "shortname": "All Applications"}, "IHCP" : {"fullname" : "Immunohistochemistry (Formalin/PFA-fixed paraffin-embedded sections)", "shortname":"IHC-P"} }, "product-promise": { "all": "all", "testedAndGuaranteed": "tested", "guaranteed": "expected", "predicted": "predicted", "notRecommended": "not-recommended" } }, "values": { "Human": { "IHCP-species-checked": "testedAndGuaranteed", "IHCP-species-dilution-info": "1/500 - 1/2000", "IHCP-species-notes": "<p></p> Perform heat-mediated antigen retrieval with citrate buffer pH 6 before commencing with IHC staining protocol." }, "Chimpanzee": { "IHCP-species-checked": "predicted", "IHCP-species-dilution-info": "", "IHCP-species-notes": "" }, "Gorilla": { "IHCP-species-checked": "predicted", "IHCP-species-dilution-info": "", "IHCP-species-notes": "" }, "Orangutan": { "IHCP-species-checked": "predicted", "IHCP-species-dilution-info": "", "IHCP-species-notes": "" } } }

性能和储存信息

形式
Liquid
纯化工艺
Affinity purification Immunogen
存储溶液
pH: 7 - 8 Preservative: 0.1% Sodium azide Constituents: PBS, 1.815% Tris, 1.764% Sodium citrate
运输条件
Blue Ice
推荐的短期储存条件
+4°C
推荐的长期储存条件
+4°C
分装信息
Upon delivery aliquot
储存信息
Avoid freeze / thaw cycle

补充信息

This supplementary information is collated from multiple sources and compiled automatically.

Claspin also known as CLSPN is a protein involved in DNA replication and checkpoint control during the cell cycle. Its estimated molecular weight is approximately 133 kDa. Claspin acts as a mediator within the ATR (ATM and Rad3-related) signaling pathway particularly during DNA damage response. The protein is highly expressed in cells with active DNA replication such as in rapidly dividing tissues.
Biological function summary

Claspin plays a significant role in stabilizing replication forks and assists in the activation of checkpoint kinase 1 (Chk1). It is not an isolated player; instead Claspin functions as part of a larger complex involving ATR and other checkpoint proteins. Through its interactions it helps to enforce a halt in the cell cycle allowing cells to repair DNA and maintain genomic integrity.

Pathways

Claspin has a critical function in the ATR-Chk1 pathway essential for the DNA damage response and the maintenance of replication fork stability. Claspin interacts with the protein TopBP1 an important player in facilitating ATR activation. It also works alongside proteins such as Rad17 and replication protein A (RPA) all of which play roles in monitoring and responding to DNA replication stress.

Claspin has been linked to cancer particularly in cases where DNA damage response pathways are disrupted. Dysregulation of Claspin can affect the cell’s ability to repair DNA contributing to oncogenesis. Another condition related to Claspin is ataxia-telangiectasia a disorder characterized by total loss of ATM function which can cascade into ineffective DNA damage responses where Claspin’s role becomes compromised.

产品实验方案

For this product, it's our understanding that no specific protocols are required. You can visit:

靶点信息

Required for checkpoint mediated cell cycle arrest in response to inhibition of DNA replication or to DNA damage induced by both ionizing and UV irradiation (PubMed : 12766152, PubMed : 15190204, PubMed : 15707391, PubMed : 16123041). Adapter protein which binds to BRCA1 and the checkpoint kinase CHEK1 and facilitates the ATR-dependent phosphorylation of both proteins (PubMed : 12766152, PubMed : 15096610, PubMed : 15707391, PubMed : 16123041). Also required to maintain normal rates of replication fork progression during unperturbed DNA replication. Binds directly to DNA, with particular affinity for branched or forked molecules and interacts with multiple protein components of the replisome such as the MCM2-7 complex and TIMELESS (PubMed : 15226314, PubMed : 34694004, PubMed : 35585232). Important for initiation of DNA replication, recruits kinase CDC7 to phosphorylate MCM2-7 components (PubMed : 27401717).
See full target information Claspin

文献 (16)

Recent publications for all applications. Explore the full list and refine your search

Cancer medicine 10:5574-5588 PubMed34240817

2021

Overexpression of claspin promotes docetaxel resistance and is associated with prostate-specific antigen recurrence in prostate cancer.

Applications

Unspecified application

Species

Unspecified reactive species

Takashi Babasaki,Kazuhiro Sentani,Yohei Sekino,Go Kobayashi,Quoc Thang Pham,Narutaka Katsuya,Shintaro Akabane,Daiki Taniyama,Tetsutaro Hayashi,Masaki Shiota,Naohide Oue,Jun Teishima,Akio Matsubara,Wataru Yasui

Genetic testing and molecular biomarkers 25:131-139 PubMed33596143

2021

Overexpression Promotes Tumor Progression and Predicts Poor Clinical Outcome in Prostate Cancer.

Applications

Unspecified application

Species

Unspecified reactive species

Chao Cai,Jiexin Luo,Qinwei Liu,Zezhen Liu,Yan Zhao,Xiangkun Wu,Yuanzhi Yuegao,Yeci Lei,Jianming Lu,Ying Wang,Zhouda Cai,Xiaolu Duan,Ming Lei,Di Gu,Yongda Liu

Cancer science 111:1020-1027 PubMed31912588

2020

Claspin overexpression is associated with high-grade histology and poor prognosis in renal cell carcinoma.

Applications

Unspecified application

Species

Unspecified reactive species

Go Kobayashi,Kazuhiro Sentani,Takashi Babasaki,Yohei Sekino,Yoshinori Shigematsu,Tetsutaro Hayashi,Naohide Oue,Jun Teishima,Akio Matsubara,Naomi Sasaki,Wataru Yasui

Cell reports 29:3708-3725.e5 PubMed31825846

2019

The Replisome Mediates A-NHEJ Repair of Telomeres Lacking POT1-TPP1 Independently of MRN Function.

Applications

Unspecified application

Species

Unspecified reactive species

Rekha Rai,Peili Gu,Cayla Broton,Chandan Kumar-Sinha,Yong Chen,Sandy Chang

PloS one 11:e0155534 PubMed27187580

2016

Anti-TGF-β Antibody, 1D11, Ameliorates Glomerular Fibrosis in Mouse Models after the Onset of Proteinuria.

Applications

IHC

Species

Unspecified reactive species

Xiaoyan Liang,H William Schnaper,Taiji Matsusaka,Ira Pastan,Steve Ledbetter,Tomoko Hayashida

Cancer research 72:5516-28 PubMed22971344

2012

RhoJ regulates melanoma chemoresistance by suppressing pathways that sense DNA damage.

Applications

Unspecified application

Species

Unspecified reactive species

Hsiang Ho,Jayavani Aruri,Rubina Kapadia,Hootan Mehr,Michael A White,Anand K Ganesan

EMBO molecular medicine 2:130-42 PubMed20373286

2010

Aurora-A expressing tumour cells are deficient for homology-directed DNA double strand-break repair and sensitive to PARP inhibition.

Applications

WB

Species

Human

Tony Sourisseau,Despina Maniotis,Afshan McCarthy,Chan Tang,Christopher J Lord,Alan Ashworth,Spiros Linardopoulos

Journal of cell science 123:225-35 PubMed20048340

2010

CDC6 interaction with ATR regulates activation of a replication checkpoint in higher eukaryotic cells.

Applications

WB

Species

Human

Kazumasa Yoshida,Nozomi Sugimoto,Satoko Iwahori,Takashi Yugawa,Mako Narisawa-Saito,Tohru Kiyono,Masatoshi Fujita

Molecular cancer research : MCR 7:1510-6 PubMed19737971

2009

Prevalence and functional analysis of sequence variants in the ATR checkpoint mediator Claspin.

Applications

WB

Species

Human

Jianmin Zhang,Young-Han Song,Brian W Brannigan,Doke C R Wahrer,Taryn A Schiripo,Patricia L Harris,Sara M Haserlat,Lindsey E Ulkus,Kristen M Shannon,Judy E Garber,Matthew L Freedman,Brian E Henderson,Lee Zou,Dennis C Sgroi,Daniel A Haber,Daphne W Bell

Cell cycle (Georgetown, Tex.) 8:1036-43 PubMed19270516

2009

Claspin and Chk1 regulate replication fork stability by different mechanisms.

Applications

Unspecified application

Species

Unspecified reactive species

Jennifer Scorah,Clare H McGowan
View all publications

Abcam Product Promise

我们致力于为您的研究提供高质量的试剂,为您科研的每一步提供支持。若我们的产品未能达到预期性能,我们向您提供 Abcam Product Promise 保障。
详情请参阅我们的条款与条件。

Please note: All products are 'FOR RESEARCH USE ONLY. NOT FOR USE IN DIAGNOSTIC OR THERAPEUTIC PROCEDURES'.

For licensing inquiries, please contact partnerships@abcam.com