JavaScript is disabled in your browser. Please enable JavaScript to view this website.
AB275028

重组Anti-Chromogranin C/SGII抗体[EPR23876-52] - BSA and Azide free

Anti-Chromogranin C/SGII antibody [EPR23876-52] - BSA and Azide free

Be the first to review this product! Submit a review

|

(0 Publication)

Rabbit Recombinant Monoclonal Chromogranin C/SGII antibody. Carrier free. Suitable for IHC-P, ICC/IF, WB, IHC-Fr, Flow Cyt (Intra) and reacts with Mouse, Rat, Human samples.

查看别名

CHGC, SCG2, Secretogranin-2, Chromogranin-C, Secretogranin II, SgII

11 Images
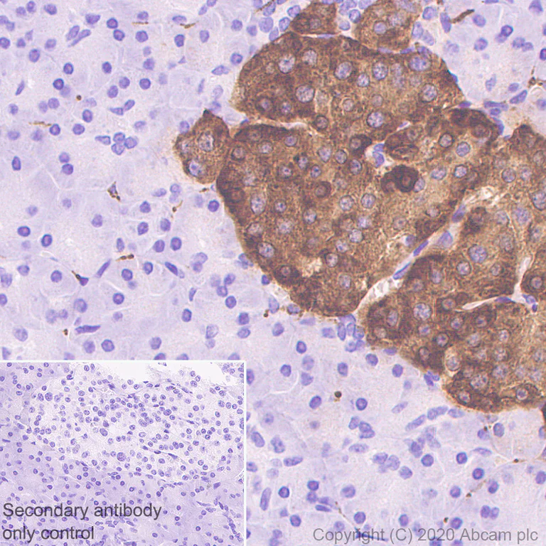
Immunohistochemistry (Formalin/PFA-fixed paraffin-embedded sections) - Anti-Chromogranin C/SGII antibody [EPR23876-52] - BSA and Azide free (AB275028)
  • IHC-P

Unknown

Immunohistochemistry (Formalin/PFA-fixed paraffin-embedded sections) - Anti-Chromogranin C/SGII antibody [EPR23876-52] - BSA and Azide free (AB275028)

This data was developed using ab275019, the same antibody clone in a different buffer formulation.

Immunohistochemical analysis of paraffin-embedded Human pancreas tissue labeling Chromogranin C/SGII with ab275019 at 1/2000 (0.267 ug/ml) followed by a ready to use Rabbit specific IHC polymer detection kit HRP/DAB (ab209101). Cytoplasmic staining in human pancreatic islet (PMID : 30690892)The section was incubated with ab275019 for 30 mins at room temperature.The immunostaining was performed on a Leica Biosystems BOND® RX instrument Counterstained with Hematoxylin.

Secondary antibody only control : Secondary antibody is a ready to use Rabbit specific IHC polymer detection kit HRP/DAB (ab209101).

Heat mediated antigen retrieval with Tris-EDTA buffer (pH 9.0, epitope retrieval solution2) for 20 mins.

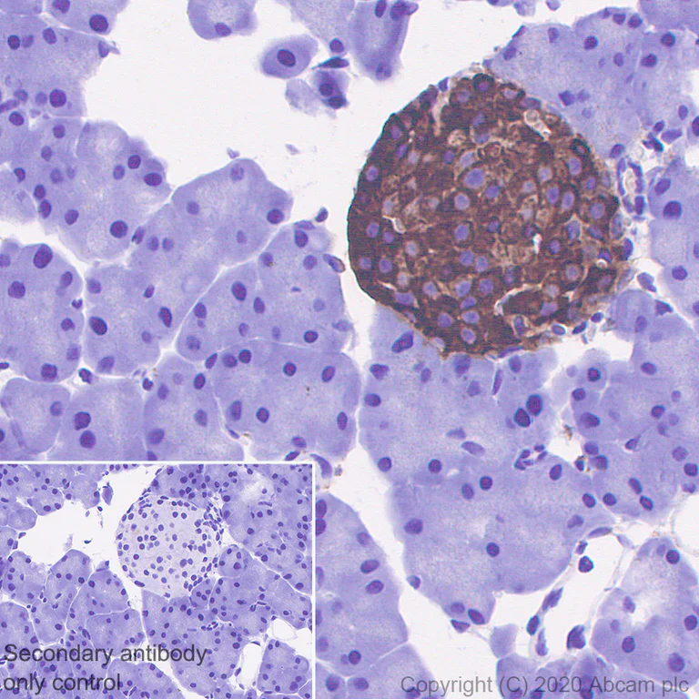
Immunohistochemistry (Formalin/PFA-fixed paraffin-embedded sections) - Anti-Chromogranin C/SGII antibody [EPR23876-52] - BSA and Azide free (AB275028)
  • IHC-P

Unknown

Immunohistochemistry (Formalin/PFA-fixed paraffin-embedded sections) - Anti-Chromogranin C/SGII antibody [EPR23876-52] - BSA and Azide free (AB275028)

This data was developed using ab275019, the same antibody clone in a different buffer formulation.

Immunohistochemical analysis of paraffin-embedded Rat pancreas tissue labeling Chromogranin C/SGII with ab275019 at 1/2000 dilution followed by a ready to use Rabbit specific IHC polymer detection kit HRP/DAB (ab209101). Cytoplasmic staining in pancreatic islet (PMID : 30690892). The section was incubated with ab275019 for 10 mins at room temperature. The immunostaining was performed on a Leica Biosystems BOND® RX instrument.Counterstained with Hematoxylin.

Secondary antibody only control : Secondary antibody is a ready to use Rabbit specific IHC polymer detection kit HRP/DAB (ab209101).

Heat mediated antigen retrieval with Citrate buffer (pH 6.0, epitope retrieval solution 1) for 20 mins.

Immunocytochemistry/ Immunofluorescence - Anti-Chromogranin C/SGII antibody [EPR23876-52] - BSA and Azide free (AB275028)
  • ICC/IF

Unknown

Immunocytochemistry/ Immunofluorescence - Anti-Chromogranin C/SGII antibody [EPR23876-52] - BSA and Azide free (AB275028)

This data was developed using ab275019, the same antibody clone in a different buffer formulation.

Immunofluorescent analysis of 100% methanol-fixed PC-12 cells labelling Chromogranin C/SGII with ab275019 at 1/50 (10.68 ug/ml) dilution, followed by ab150077 Goat Anti-Rabbit IgG H&L (Alexa Fluor® 488) antibody at 1/1000 dilution (Green). Confocal image showing cytoplasmic staining in PC-12 cell line. is observed. ab195889 Anti-alpha Tubulin mouse monoclonal antibody - Microtubule Marker (Alexa Fluor® 594) was used to counterstain tubulin at 1/200 dilution (Red). The Nuclear counterstain was DAPI (Blue).

Secondary antibody only control : Secondary antibody is ab150077 Goat Anti-Rabbit IgG H&L (Alexa Fluor® 488) at 1/1000 dilution.

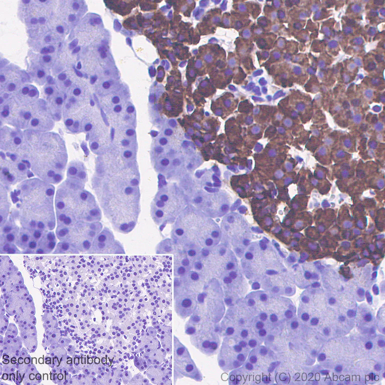
Immunohistochemistry (Formalin/PFA-fixed paraffin-embedded sections) - Anti-Chromogranin C/SGII antibody [EPR23876-52] - BSA and Azide free (AB275028)
  • IHC-P

Unknown

Immunohistochemistry (Formalin/PFA-fixed paraffin-embedded sections) - Anti-Chromogranin C/SGII antibody [EPR23876-52] - BSA and Azide free (AB275028)

This data was developed using ab275019, the same antibody clone in a different buffer formulation.

Immunohistochemical analysis of paraffin-embedded Mouse pancreas tissue labeling Chromogranin C/SGII with ab275019 at 1/2000 dilution followed by a ready to use Rabbit specific IHC polymer detection kit HRP/DAB (ab209101). Cytoplasmic staining in mouse pancreatic islet (PMID : 30690892). The section was incubated with ab275019 for 10 mins at room temperature. The immunostaining was performed on a Leica Biosystems BOND® RX instrument.Counterstained with Hematoxylin.

Secondary antibody only control : Secondary antibody is a ready to use Rabbit specific IHC polymer detection kit HRP/DAB (ab209101).

Heat mediated antigen retrieval with Citrate buffer (pH 6.0, epitope retrieval solution 1) for 20 mins.

Immunohistochemistry (Frozen sections) - Anti-Chromogranin C/SGII antibody [EPR23876-52] - BSA and Azide free (AB275028)
  • IHC-Fr

Unknown

Immunohistochemistry (Frozen sections) - Anti-Chromogranin C/SGII antibody [EPR23876-52] - BSA and Azide free (AB275028)

This data was developed using ab275019, the same antibody clone in a different buffer formulation.

Immunohistochemical analysis of 4% PFA-fixed, 0.2% Triton X-100 permeabilized frozen Mouse pancreas tissue labeling Chromogranin C/SGII with ab275019 at 1/500 (1.068 ug/ml) dilution followed by ab150077 Goat Anti-Rabbit IgG H&L (Alexa Fluor® 488) at 1/1000 dilution (Green). Positive staining on mouse pancreatic islet is observed. Insulin was counterstained using ab6995 at 1/1000 dilution, followed by ab150120 Goat Anti-Mouse IgG H&L (Alexa Fluor® 594) at 1/1000 dilution (Red).The nuclear counterstain was DAPI (Blue).

Heat mediated antigen retrieval using sodium citrate buffer (10mM citrate pH 6.0 + 0.05% Tween-20).

Immunohistochemistry (Frozen sections) - Anti-Chromogranin C/SGII antibody [EPR23876-52] - BSA and Azide free (AB275028)
  • IHC-Fr

Unknown

Immunohistochemistry (Frozen sections) - Anti-Chromogranin C/SGII antibody [EPR23876-52] - BSA and Azide free (AB275028)

This data was developed using ab275019, the same antibody clone in a different buffer formulation.

Immunohistochemical analysis of 4% PFA-fixed, 0.2% Triton X-100 permeabilized frozen Rat pancreas tissue labeling Chromogranin C/SGII with ab275019 at 1/500 (1.068 ug/ml) dilution followed by ab150077 Goat Anti-Rabbit IgG H&L (Alexa Fluor® 488) at 1/1000 dilution (Green). Positive staining on rat pancreatic islet is observed. The nuclear counterstain was DAPI (Blue). Insulin was counterstained using ab6995 at 1/1000 dilution, followed by ab150120 Goat Anti-Mouse IgG H&L (Alexa Fluor® 594) at 1/1000 dilution (Red).

Secondary antibody control : Secondary antibody is ab150077 Goat Anti-Rabbit IgG H&L (Alexa Fluor® 488)at 1/1000 dilution.

Heat mediated antigen retrieval using sodium citrate buffer (10mM citrate pH 6.0 + 0.05% Tween-20).

Flow Cytometry (Intracellular) - Anti-Chromogranin C/SGII antibody [EPR23876-52] - BSA and Azide free (AB275028)
  • Flow Cyt (Intra)

Unknown

Flow Cytometry (Intracellular) - Anti-Chromogranin C/SGII antibody [EPR23876-52] - BSA and Azide free (AB275028)

This data was developed using ab275019, the same antibody clone in a different buffer formulation.

Intracellular flow cytometric analysis of 4% paraformaldehyde fixed 90% methanol permeabilized Beta-TC-6 (Mouse pancreas insulinoma beta cell) cells labelling Chromogranin C/SGII with ab275019 at 1/500 dilution (0.1ug) (Red) compared with a Rabbit monoclonal IgG (ab172730) isotype control (Black) and an unlabelled control (cells without incubation with primary antibody and secondary antibody) (Blue).

A Goat anti rabbit IgG (Alexa Fluor®488, ab150077) at 1/2000 dilution was used as the secondary antibody.

Flow Cytometry (Intracellular) - Anti-Chromogranin C/SGII antibody [EPR23876-52] - BSA and Azide free (AB275028)
  • Flow Cyt (Intra)

Unknown

Flow Cytometry (Intracellular) - Anti-Chromogranin C/SGII antibody [EPR23876-52] - BSA and Azide free (AB275028)

This data was developed using ab275019, the same antibody clone in a different buffer formulation.

Intracellular flow cytometric analysis of 4% paraformaldehyde fixed, 90% methanol permeabilized PC-12 (Rat adrenal gland pheochromocytoma) cells labelling Chromogranin C/SGII with ab275019 at 1/500 dilution (0.1ug) (Red) compared with a Rabbit monoclonal IgG (ab172730) isotype control (Black) and an unlabelled control (cells without incubation with primary antibody and secondary antibody) (Blue).

A Goat anti rabbit IgG (Alexa Fluor®488, ab150077) at 1/2000 dilution was used as the secondary antibody.

Immunocytochemistry/ Immunofluorescence - Anti-Chromogranin C/SGII antibody [EPR23876-52] - BSA and Azide free (AB275028)
  • ICC/IF

Unknown

Immunocytochemistry/ Immunofluorescence - Anti-Chromogranin C/SGII antibody [EPR23876-52] - BSA and Azide free (AB275028)

This data was developed using ab275019, the same antibody clone in a different buffer formulation.

Immunofluorescent analysis of 4% Paraformaldehyde-fixed, 0.1% TritonX-100 permeabilized Beta-TC-6 cells labelling Chromogranin C/SGII with ab275019 at 1/50 (10.68 ug/ml) dilution, followed by ab150077 Goat Anti-Rabbit IgG H&L (Alexa Fluor® 488) antibody at 1/1000 dilution (Green). Confocal image showing cytoplasmic staining in Beta-TC-6 cell line. ab195889 Anti-alpha Tubulin mouse monoclonal antibody - Microtubule Marker (Alexa Fluor® 594) was used to counterstain tubulin at 1/200 dilution (Red). The Nuclear counterstain was DAPI (Blue).

Secondary antibody only control : Secondary antibody is ab150077 Goat Anti-Rabbit IgG H&L (Alexa Fluor® 488) at 1/1000 dilution.

Western blot - Anti-Chromogranin C/SGII antibody [EPR23876-52] - BSA and Azide free (AB275028)
  • WB

Unknown

Western blot - Anti-Chromogranin C/SGII antibody [EPR23876-52] - BSA and Azide free (AB275028)

This data was developed using ab275019, the same antibody clone in a different buffer formulation.

All lanes:

Western blot - Anti-Chromogranin C/SGII antibody [EPR23876-52] (<a href='/products/primary-antibodies/chromogranin-c-sgii-antibody-epr23876-52-ab275019'>ab275019</a>) at 1/1000 dilution

Lane 1:

SH-SY5Y (human neuroblastoma epithelial cell) whole cell lysate at 40 µg

Lane 2:

Neuro-2a (mouse neuroblastoma neuroblast) whole cell lysate at 40 µg

Lane 3:

Beta-TC-6 (mouse pancreas insulinoma beta cell) whole cell lysate at 40 µg

Lane 4:

GH3 (rat pituitary epithelial) whole cell lysate at 40 µg

Lane 5:

PC-12 (rat adrenal gland pheochromocytoma) whole cell lysate at 40 µg

Secondary

All lanes:

Goat Anti-Rabbit IgG, (H+L), Peroxidase conjugated (<a href='/products/secondary-antibodies/goat-rabbit-igg-h-l-hrp-ab97051'>ab97051</a>) at 1/20000 dilution

Predicted band size: 71 kDa

false

Western blot - Anti-Chromogranin C/SGII antibody [EPR23876-52] - BSA and Azide free (AB275028)
  • WB

Unknown

Western blot - Anti-Chromogranin C/SGII antibody [EPR23876-52] - BSA and Azide free (AB275028)

This data was developed using ab275019, the same antibody clone in a different buffer formulation.

Blocking and dilution buffer : 5% NFDM/TBST.

Exposure times : Lane 1 : 26 seconds; Lane 2 : 48 seconds.

Chromogranin C/SGII is proteolytically processed to small fragments. 81-kDa, 22 to 48 kDa forms are observed. The molecular weight observed is consistent with what has been described in the literature (PMID : 2282535, 8492910, 16357044, 7883050).

All lanes:

Western blot - Anti-Chromogranin C/SGII antibody [EPR23876-52] (<a href='/products/primary-antibodies/chromogranin-c-sgii-antibody-epr23876-52-ab275019'>ab275019</a>) at 1/1000 dilution

Lane 1:

Mouse hypothalamus tissue lysate at 40 µg

Lane 2:

Rat hypothalamus tissue lysate at 40 µg

Secondary

All lanes:

Goat Anti-Rabbit IgG, (H+L), Peroxidase conjugated (<a href='/products/secondary-antibodies/goat-rabbit-igg-h-l-hrp-ab97051'>ab97051</a>) at 1/20000 dilution

Predicted band size: 71 kDa

false

不同偶联物与剂型 (1)

  • Unconjugated

    Anti-Chromogranin C/SGII antibody [EPR23876-52]

关键信息

宿主种属

Rabbit

克隆

Monoclonal

克隆号

EPR23876-52

亚型

IgG

不含载体蛋白

Yes

反应种属

Mouse, Rat, Human

应用

WB, IHC-Fr, Flow Cyt (Intra), IHC-P, ICC/IF

applications

免疫原

The exact immunogen used to generate this antibody is proprietary information.

反应性数据

{ "title": "Reactivity Data", "filters": { "stats": ["", "Species", "Dilution Info", "Notes"], "tabs": { "all-applications": {"fullname" : "All Applications", "shortname": "All Applications"}, "IHCP" : {"fullname" : "Immunohistochemistry (Formalin/PFA-fixed paraffin-embedded sections)", "shortname":"IHC-P"}, "ICCIF" : {"fullname" : "Immunocytochemistry/ Immunofluorescence", "shortname":"ICC/IF"}, "IP" : {"fullname" : "Immunoprecipitation", "shortname":"IP"}, "WB" : {"fullname" : "Western blot", "shortname":"WB"}, "IHCFr" : {"fullname" : "Immunohistochemistry (Frozen sections)", "shortname":"IHC-Fr"}, "FlowCytIntra" : {"fullname" : "Flow Cytometry (Intracellular)", "shortname":"Flow Cyt (Intra)"} }, "product-promise": { "all": "all", "testedAndGuaranteed": "tested", "guaranteed": "expected", "predicted": "predicted", "notRecommended": "not-recommended" } }, "values": { "Human": { "IHCP-species-checked": "testedAndGuaranteed", "IHCP-species-dilution-info": "", "IHCP-species-notes": "<p></p>", "ICCIF-species-checked": "guaranteed", "ICCIF-species-dilution-info": "", "ICCIF-species-notes": "", "IP-species-checked": "notRecommended", "IP-species-dilution-info": "", "IP-species-notes": "<p></p>", "WB-species-checked": "testedAndGuaranteed", "WB-species-dilution-info": "", "WB-species-notes": "<p></p>", "IHCFr-species-checked": "guaranteed", "IHCFr-species-dilution-info": "", "IHCFr-species-notes": "", "FlowCytIntra-species-checked": "guaranteed", "FlowCytIntra-species-dilution-info": "", "FlowCytIntra-species-notes": "" }, "Mouse": { "IHCP-species-checked": "testedAndGuaranteed", "IHCP-species-dilution-info": "", "IHCP-species-notes": "<p></p>", "ICCIF-species-checked": "testedAndGuaranteed", "ICCIF-species-dilution-info": "", "ICCIF-species-notes": "<p></p>", "IP-species-checked": "notRecommended", "IP-species-dilution-info": "", "IP-species-notes": "<p></p>", "WB-species-checked": "testedAndGuaranteed", "WB-species-dilution-info": "", "WB-species-notes": "<p></p>", "IHCFr-species-checked": "testedAndGuaranteed", "IHCFr-species-dilution-info": "", "IHCFr-species-notes": "<p>Heat mediated antigen retrieval using sodium citrate buffer (10mM citrate pH 6.0 + 0.05% Tween-20).</p>", "FlowCytIntra-species-checked": "testedAndGuaranteed", "FlowCytIntra-species-dilution-info": "", "FlowCytIntra-species-notes": "<p></p>" }, "Rat": { "IHCP-species-checked": "testedAndGuaranteed", "IHCP-species-dilution-info": "", "IHCP-species-notes": "<p></p>", "ICCIF-species-checked": "testedAndGuaranteed", "ICCIF-species-dilution-info": "", "ICCIF-species-notes": "<p></p>", "IP-species-checked": "notRecommended", "IP-species-dilution-info": "", "IP-species-notes": "<p></p>", "WB-species-checked": "testedAndGuaranteed", "WB-species-dilution-info": "", "WB-species-notes": "<p></p>", "IHCFr-species-checked": "testedAndGuaranteed", "IHCFr-species-dilution-info": "", "IHCFr-species-notes": "<p>Heat mediated antigen retrieval using sodium citrate buffer (10mM citrate pH 6.0 + 0.05% Tween-20).</p>", "FlowCytIntra-species-checked": "guaranteed", "FlowCytIntra-species-dilution-info": "", "FlowCytIntra-species-notes": "" } } }

产品详情

ab275028 is the carrier-free version of ab275019.

Patented technology
Our RabMAb® technology is a patented hybridoma-based technology for making rabbit monoclonal antibodies. For details on our patents, please refer to RabMAb® patents.

What are the advantages of a recombinant monoclonal antibody?
This product is a recombinant monoclonal antibody, which offers several advantages including:

  • - High batch-to-batch consistency and reproducibility
  • - Improved sensitivity and specificity
  • - Long-term security of supply
  • - Animal-free batch production

For more information, read more on recombinant antibodies.

Conjugation ready
Our carrier-free antibodies are typically supplied in a PBS-only formulation, purified and free of BSA, sodium azide and glycerol. This conjugation-ready format is designed for use with fluorochromes, metal isotopes, oligonucleotides, and enzymes, which makes them ideal for antibody labelling, functional and cell-based assays, flow-based assays (e.g. mass cytometry) and Multiplex Imaging applications.

Use our conjugation kits for antibody conjugates that are ready-to-use in as little as 20 minutes with 1 minute hands-on-time and 100% antibody recovery: available for fluorescent dyes, HRP, biotin and gold.

Compatibility
This product is compatible with the Maxpar® Antibody Labeling Kit from Fluidigm, without the need for antibody preparation. Maxpar® is a trademark of Fluidigm Canada Inc.

性能和储存信息

形式
Liquid
纯化工艺
Affinity purification Protein A
存储溶液
Constituents: PBS
运输条件
Blue Ice
推荐的短期储存条件
+4°C
推荐的长期储存条件
+4°C
储存信息
Do Not Freeze

补充信息

This supplementary information is collated from multiple sources and compiled automatically.

Chromogranin C also known as secretogranin II (SGII) is a member of the granin family and weighs approximately 68 kDa. This protein is mainly located within the dense core secretory granules of endocrine and neuronal cells. It plays a mechanical role in the storage and release of peptide hormones and neurotransmitters. Chromogranin C is found in various regions of the brain adrenal medulla and in the pituitary gland reflecting its involvement in the neuroendocrine system.
Biological function summary

This protein functions in the regulation of peptide hormone secretion and is part of a complex with other granin proteins such as Chromogranin A. It modulates the granule's environment by affecting the pH and ionic composition which influences the storage and release of hormones and neurotransmitters. Chromogranin C participates in the production of biologically active peptides after proteolytic processing playing roles in the modulation of endocrine and neuronal activities.

Pathways

Chromogranin C connects to the neuroendocrine signaling pathways and regulated secretory pathway. Within these pathways it interacts with other proteins such as the prohormone convertases and furin which handle peptide precursors' cleavage into active hormones and neurotransmitters. This procession is important for maintaining cellular communication and response mechanisms linking Chromogranin C to cellular signaling and biochemical processes that control physiological homeostasis and stress responses.

Chromogranin C correlates with neurodegenerative diseases like Alzheimer's disease and psychiatric disorders such as depression. These connections arise through its relationship with amyloid precursor protein in Alzheimer's and alterations in serotonergic systems in depression. The expression levels and processing of Chromogranin C may serve as a biomarker for these diseases highlighting its potential role in the pathogenesis and progression of neuro-psychiatric conditions.

产品实验方案

For this product, it's our understanding that no specific protocols are required. You can visit:

靶点信息

Neuroendocrine protein of the granin family that regulates the biogenesis of secretory granules.
See full target information SCG2

Abcam Product Promise

我们致力于为您的研究提供高质量的试剂,为您科研的每一步提供支持。若我们的产品未能达到预期性能,我们向您提供 Abcam Product Promise 保障。
详情请参阅我们的条款与条件。

Please note: All products are 'FOR RESEARCH USE ONLY. NOT FOR USE IN DIAGNOSTIC OR THERAPEUTIC PROCEDURES'.

For licensing inquiries, please contact partnerships@abcam.com