JavaScript is disabled in your browser. Please enable JavaScript to view this website.
AB16693

Anti-Chromogranin A 抗体 [SP12]

Anti-Chromogranin A antibody [SP12]

Be the first to review this product! Submit a review

|

(1 Publication)

Anti-Chromogranin A antibody [SP12] (ab16693) is a rabbit monoclonal antibody detecting Chromogranin A in IHC-P. Suitable for Human.

- Trusted since 2005

查看别名

Chromogranin-A, CgA, Pituitary secretory protein I, SP-I, CHGA

1 Images
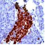
Immunohistochemistry (Formalin/PFA-fixed paraffin-embedded sections) - Anti-Chromogranin A antibody [SP12] (AB16693)
  • IHC-P

Unknown

Immunohistochemistry (Formalin/PFA-fixed paraffin-embedded sections) - Anti-Chromogranin A antibody [SP12] (AB16693)

Paraffin embedded formalin fixed human pancreas stained with anti Chromogranin A antibody ab16693 at 1/100 dilution.

关键信息

宿主种属

Rabbit

克隆

Monoclonal

克隆号

SP12

亚型

IgG

不含载体蛋白

No

反应种属

Human

应用

IHC-P

applications

免疫原

The exact immunogen used to generate this antibody is proprietary information.

反应性数据

{ "title": "Reactivity Data", "filters": { "stats": ["", "Species", "Dilution Info", "Notes"], "tabs": { "all-applications": {"fullname" : "All Applications", "shortname": "All Applications"}, "IHCP" : {"fullname" : "Immunohistochemistry (Formalin/PFA-fixed paraffin-embedded sections)", "shortname":"IHC-P"} }, "product-promise": { "all": "all", "testedAndGuaranteed": "tested", "guaranteed": "expected", "predicted": "predicted", "notRecommended": "not-recommended" } }, "values": { "Human": { "IHCP-species-checked": "testedAndGuaranteed", "IHCP-species-dilution-info": "1/100", "IHCP-species-notes": "<p></p> Perform heat-mediated antigen retrieval before commencing with IHC staining protocol." } } }

产品详情

What is this antibody validated in?
Anti-Chromogranin A antibody [SP12] (ab16693) is a rabbit monoclonal antibody and is validated for use in Immunohistochemistry (IHC-P) in Human samples.

Collaboration
Anti-Chromogranin A [SP12] (ab16693) is a clone from the portfolio of Spring Bioscience (Roche) SP clones which have been optimised for immunohistochemistry (IHC).

Other related products
We have a range of other formats of antibody clone [SP12] also available for your convenience: ab16693, ab288428

性能和储存信息

形式
Liquid
纯度
Tissue culture supernatant
存储溶液
pH: 7.5 Preservative: 0.1% Sodium azide Constituents: Tissue culture supernatant, Tris buffered saline, 1% BSA
运输条件
Blue Ice
推荐的短期储存条件
+4°C
推荐的长期储存条件
-20°C
分装信息
Upon delivery aliquot
储存信息
Avoid freeze / thaw cycle

补充信息

This supplementary information is collated from multiple sources and compiled automatically.

Chromogranin A (CgA) sometimes called chromagranin A is a glycoprotein with a molecular weight of approximately 49–52 kDa. It is highly expressed in the secretory granules of neuroendocrine cells present in tissues such as the adrenal medulla pancreas and endocrine cells of the gastrointestinal tract. CgA identified as part of a family including chromogranin B and chromogranin C functions mechanically as a precursor to various bioactive peptides. This translates into its involvement in the storage and release of hormones and peptides within vesicles.
Biological function summary

Chromogranin A assists in the regulation of secretory pathways across multiple neuroendocrine systems. It plays a role in hormone storage conversion to active peptides and regulates the exocytosis of hormones. CgA acts within a complex contributing to secretory granule biogenesis and influencing intravesicular acidity. As a regulatory component the exact physiological roles are diverse impacting cardiovascular metabolic and immunological processes.

Pathways

Chromogranin A is involved in pathways such as the catecholamine synthesis and release pathway and the serotonergic pathway. Within these pathways it interacts with proteins like secretogranin II and parathyroid hormone (PTH). These interactions modulate neurotransmitter storage and secretion across various systems. CgA's bioactive peptides also contribute to modulating physiological processes like vasoconstriction and insulin regulation linking it closely with these signaling cascades.

Chromogranin A is a known marker for neuroendocrine tumors where its levels in blood may increase due to tumor activity. It links to diseases like pheochromocytoma and carcinoid tumors where improper regulation of CgA-associated pathways occurs. Additionally its connection to parathyroid disorders through the PTH pathway illustrates its broader implication in endocrine pathophysiology. CgA serves as an invaluable diagnostic and prognostic tool in these disease states and supports the development of targeted therapies.

产品实验方案

For this product, it's our understanding that no specific protocols are required. You can visit:

靶点信息

Pancreastatin. Strongly inhibits glucose induced insulin release from the pancreas.. Catestatin. Inhibits catecholamine release from chromaffin cells and noradrenergic neurons by acting as a non-competitive nicotinic cholinergic antagonist (PubMed : 15326220). Displays antibacterial activity against Gram-positive bacteria S.aureus and M.luteus, and Gram-negative bacteria E.coli and P.aeruginosa (PubMed : 15723172, PubMed : 24723458). Can induce mast cell migration, degranulation and production of cytokines and chemokines (PubMed : 21214543). Acts as a potent scavenger of free radicals in vitro (PubMed : 24723458). May play a role in the regulation of cardiac function and blood pressure (PubMed : 18541522).. Serpinin. Regulates granule biogenesis in endocrine cells by up-regulating the transcription of protease nexin 1 (SERPINE2) via a cAMP-PKA-SP1 pathway. This leads to inhibition of granule protein degradation in the Golgi complex which in turn promotes granule formation.
See full target information CHGA

文献 (1)

Recent publications for all applications. Explore the full list and refine your search

PloS one 10:e0125255 PubMed25955027

2015

Initiation and characterization of small cell lung cancer patient-derived xenografts from ultrasound-guided transbronchial needle aspirates.

Applications

Unspecified application

Species

Unspecified reactive species

Wade C Anderson,Michael B Boyd,Jorge Aguilar,Brett Pickell,Amy Laysang,Marybeth A Pysz,Sheila Bheddah,Johanna Ramoth,Brian C Slingerland,Scott J Dylla,Edmundo R Rubio
View all publications

Abcam Product Promise

我们致力于为您的研究提供高质量的试剂,为您科研的每一步提供支持。若我们的产品未能达到预期性能,我们向您提供 Abcam Product Promise 保障。
详情请参阅我们的条款与条件。

Please note: All products are 'FOR RESEARCH USE ONLY. NOT FOR USE IN DIAGNOSTIC OR THERAPEUTIC PROCEDURES'.

For licensing inquiries, please contact partnerships@abcam.com