JavaScript is disabled in your browser. Please enable JavaScript to view this website.
AB229060

Anti-CHRAC-17抗体

Anti-CHRAC-17 antibody

Be the first to review this product! Submit a review

|

(1 Publication)

Rabbit Polyclonal CHRAC-17 antibody. Suitable for WB, IHC-P, ICC/IF and reacts with Human, Mouse samples. Cited in 1 publication. Immunogen corresponding to Recombinant Fragment Protein within Human POLE3.

查看别名

CHRAC17, POLE3, DNA polymerase epsilon subunit 3, Arsenic-transactivated protein, Chromatin accessibility complex 17 kDa protein, DNA polymerase II subunit 3, DNA polymerase epsilon subunit p17, AsTP, CHRAC-17, HuCHRAC17

4 Images
Immunocytochemistry/ Immunofluorescence - Anti-CHRAC-17 antibody (AB229060)
  • ICC/IF

Supplier Data

Immunocytochemistry/ Immunofluorescence - Anti-CHRAC-17 antibody (AB229060)

Paraformaldehyde-fixed HeLa (human epithelial cell line from cervix adenocarcinoma) cells stained for CHRAC-17 (green) using ab229060 at 1/200 dilution in ICC/IF.

Nuclear counterstain : Hoechst 33342 (blue).

Immunohistochemistry (Formalin/PFA-fixed paraffin-embedded sections) - Anti-CHRAC-17 antibody (AB229060)
  • IHC-P

Supplier Data

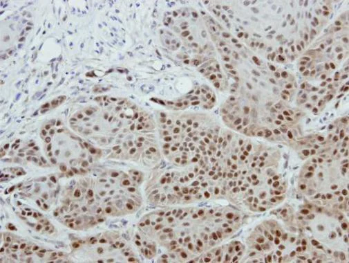
Immunohistochemistry (Formalin/PFA-fixed paraffin-embedded sections) - Anti-CHRAC-17 antibody (AB229060)

Paraffin-embedded Cal27 xenograft tissue stained for CHRAC-17 with ab229060 at 1/500 dilution in immunohistochemical analysis.

Immunohistochemistry (Formalin/PFA-fixed paraffin-embedded sections) - Anti-CHRAC-17 antibody (AB229060)
  • IHC-P

Supplier Data

Immunohistochemistry (Formalin/PFA-fixed paraffin-embedded sections) - Anti-CHRAC-17 antibody (AB229060)

Paraffin-embedded mouse muscle tissue stained for CHRAC-17 with ab229060 at 1/1000 dilution in immunohistochemical analysis.

Western blot - Anti-CHRAC-17 antibody (AB229060)
  • WB

Supplier Data

Western blot - Anti-CHRAC-17 antibody (AB229060)

15% SDS-PAGE

All lanes:

Western blot - Anti-CHRAC-17 antibody (ab229060) at 1/1000 dilution

All lanes:

HEK-293T (human epithelial cell line from embryonic kidney transformed with large T antigen) whole cell lysate at 30 µg

Predicted band size: 16 kDa

true

关键信息

宿主种属

Rabbit

克隆

Polyclonal

亚型

IgG

不含载体蛋白

No

反应种属

Mouse, Human

应用

IHC-P, WB, ICC/IF

applications

免疫原

Recombinant Fragment Protein within Human POLE3. The exact immunogen used to generate this antibody is proprietary information.

Q9NRF9

反应性数据

{ "title": "Reactivity Data", "filters": { "stats": ["", "Species", "Dilution Info", "Notes"], "tabs": { "all-applications": {"fullname" : "All Applications", "shortname": "All Applications"}, "WB" : {"fullname" : "Western blot", "shortname":"WB"}, "IHCP" : {"fullname" : "Immunohistochemistry (Formalin/PFA-fixed paraffin-embedded sections)", "shortname":"IHC-P"}, "ICCIF" : {"fullname" : "Immunocytochemistry/ Immunofluorescence", "shortname":"ICC/IF"} }, "product-promise": { "all": "all", "testedAndGuaranteed": "tested", "guaranteed": "expected", "predicted": "predicted", "notRecommended": "not-recommended" } }, "values": { "Human": { "WB-species-checked": "testedAndGuaranteed", "WB-species-dilution-info": "1/500 - 1/3000", "WB-species-notes": "<p></p>", "IHCP-species-checked": "testedAndGuaranteed", "IHCP-species-dilution-info": "1/100 - 1/1000", "IHCP-species-notes": "<p></p>", "ICCIF-species-checked": "testedAndGuaranteed", "ICCIF-species-dilution-info": "1/100 - 1/1000", "ICCIF-species-notes": "<p></p>" }, "Mouse": { "WB-species-checked": "guaranteed", "WB-species-dilution-info": "", "WB-species-notes": "", "IHCP-species-checked": "testedAndGuaranteed", "IHCP-species-dilution-info": "1/100 - 1/1000", "IHCP-species-notes": "<p></p>", "ICCIF-species-checked": "guaranteed", "ICCIF-species-dilution-info": "", "ICCIF-species-notes": "" }, "Rat": { "WB-species-checked": "predicted", "WB-species-dilution-info": "", "WB-species-notes": "", "IHCP-species-checked": "predicted", "IHCP-species-dilution-info": "", "IHCP-species-notes": "", "ICCIF-species-checked": "predicted", "ICCIF-species-dilution-info": "", "ICCIF-species-notes": "" }, "Chicken": { "WB-species-checked": "predicted", "WB-species-dilution-info": "", "WB-species-notes": "", "IHCP-species-checked": "predicted", "IHCP-species-dilution-info": "", "IHCP-species-notes": "", "ICCIF-species-checked": "predicted", "ICCIF-species-dilution-info": "", "ICCIF-species-notes": "" }, "Chimpanzee": { "WB-species-checked": "predicted", "WB-species-dilution-info": "", "WB-species-notes": "", "IHCP-species-checked": "predicted", "IHCP-species-dilution-info": "", "IHCP-species-notes": "", "ICCIF-species-checked": "predicted", "ICCIF-species-dilution-info": "", "ICCIF-species-notes": "" }, "Cow": { "WB-species-checked": "predicted", "WB-species-dilution-info": "", "WB-species-notes": "", "IHCP-species-checked": "predicted", "IHCP-species-dilution-info": "", "IHCP-species-notes": "", "ICCIF-species-checked": "predicted", "ICCIF-species-dilution-info": "", "ICCIF-species-notes": "" }, "Rhesus monkey": { "WB-species-checked": "predicted", "WB-species-dilution-info": "", "WB-species-notes": "", "IHCP-species-checked": "predicted", "IHCP-species-dilution-info": "", "IHCP-species-notes": "", "ICCIF-species-checked": "predicted", "ICCIF-species-dilution-info": "", "ICCIF-species-notes": "" }, "Xenopus laevis": { "WB-species-checked": "predicted", "WB-species-dilution-info": "", "WB-species-notes": "", "IHCP-species-checked": "predicted", "IHCP-species-dilution-info": "", "IHCP-species-notes": "", "ICCIF-species-checked": "predicted", "ICCIF-species-dilution-info": "", "ICCIF-species-notes": "" } } }

性能和储存信息

形式
Liquid
纯化工艺
Affinity purification Immunogen
存储溶液
pH: 7 Preservative: 0.01% Thimerosal (merthiolate) Constituents: 20% Glycerol (glycerin, glycerine), 1.21% Tris, 0.75% Glycine
运输条件
Blue Ice
推荐的短期储存时间
1-2 weeks
推荐的短期储存条件
+4°C
推荐的长期储存条件
-20°C
分装信息
Upon delivery aliquot
储存信息
Avoid freeze / thaw cycle

产品实验方案

For this product, it's our understanding that no specific protocols are required. You can visit:

靶点信息

Accessory component of the DNA polymerase epsilon complex (PubMed : 10801849). Participates in DNA repair and in chromosomal DNA replication (By similarity). Forms a complex with CHRAC1 and binds naked DNA, which is then incorporated into chromatin, aided by the nucleosome-remodeling activity of ISWI/SNF2H and ACF1 (PubMed : 10801849). Does not enhance nucleosome sliding activity of the ACF-5 ISWI chromatin remodeling complex (PubMed : 14759371).
See full target information POLE3

文献 (1)

Recent publications for all applications. Explore the full list and refine your search

Neuroscience bulletin 40:421-438 PubMed37864744

2023

Inflammatory Factor IL1α Induces Aberrant Astrocyte Proliferation in Spinal Cord Injury Through the Grin2c/Ca/CaMK2b Pathway.

Applications

Unspecified application

Species

Unspecified reactive species

Yu Xia,Lu Ding,Changlin Zhang,Qi Xu,Ming Shi,Tianshun Gao,Feng-Quan Zhou,David Y B Deng
View all publications

Abcam Product Promise

我们致力于为您的研究提供高质量的试剂,为您科研的每一步提供支持。若我们的产品未能达到预期性能,我们向您提供 Abcam Product Promise 保障。
详情请参阅我们的条款与条件。

Please note: All products are 'FOR RESEARCH USE ONLY. NOT FOR USE IN DIAGNOSTIC OR THERAPEUTIC PROCEDURES'.

For licensing inquiries, please contact partnerships@abcam.com